Sarcoma sinovial primario de pulmón una neoplasia extremadamente rara. Presentación de dos casos
Sarcoma sinovial primario de pulmón una neoplasia extremadamente rara. Presentación de dos casos
Revista Venezolana de Oncología, vol. 30, núm. 3, pp. 194-203, 2018
Sociedad Venezolana de Oncología

Recepción: 17 Enero 2018
Revisado: 10 Febrero 2018
Aprobación: 15 Junio 2018
Resumen: El sarcoma sinovial primario de pulmón es extremadamente raro, constituyen de 0,1 % a 0,5 % de las neoplasias de pulmón; Gaertner, en 1996, reportó el primer caso. OBJETIVO: Presentar dos casos clínicos por lo inusual que es su presentación y asimismo, conocer el comportamiento de dicha neoplasia. CASOS CLÍNICOS: Una paciente femenina de 59 años con cuadro clínico de tos seca, de inicio insidioso, concomitantemente dificultad respiratoria progresiva y un paciente masculino de 63 años cuadro clínico caracterizado por dolor en la parte inferior de la pared de hemitórax derecho, de tipo punzante de moderada intensidad, sin irradiación acompañándose de disnea progresiva. En ambos la radiografía de tórax posteroanterior, se descubrió una imagen a nivel del parénquima pulmonar tipo nodular densa ovalada de borde bien definidos, confirmadas por tomografía computada de tórax. En la paciente se procedió a la recesión quirúrgica de dicha lesión, mientras que al paciente masculino se le tomó biopsia por aguja gruesa. Evolucionan satisfactoriamente. Reporte de biopsia y de inmunohistoquímica para sarcoma sinovial del pulmón primer caso bifásico y el segundo caso monofásico. Refiriéndose al servicio de oncología médica para terapia adyuvante. Actualmente la paciente asintomática, sin evidencia de actividad tumoral. No así el segundo paciente fallece en el transcurso de la quimioterapia. CONCLUSIÓN: El sarcoma sinovial primario de pulmón es un tumor poco frecuente, su patogénesis es todavía desconocida y no están bien establecidos los factores de riesgo y su tratamiento debe ser multidisciplinario.
Palabras clave: Neoplasia, sarcoma sinovial, pulmón, bifásico, monofásico, inmunohistoquímica.
Abstract: The primary synovial sarcoma of the lung is extremely rare, with incidence of 0.1 % to 0.5 % of all lung neoplasms; Gaertner, in 1996, reported the first case. OBJECTIVE: Present two cases so unusual is its presentation and also know the behavior of this neoplasm. CLINICAL CASES: A 59-year-old female patient with clinical symptoms of dry cough, insidious onset, progressive shortness of breath and concomitantly a male patient 63 years old with clinically characterized by pain in the lower right chest wall, throbbing type of moderate intensity without irradiation accompanied by progressive dyspnea. In both patients the RX poster anterior chest film show image in the level lung parenchyma, aspect nodular type dense oval and well defined edge, confirmed by computed tomography of the chest in both patients. In the female patient was subsequently surgically recession of the lesion, while the male patient taking sale the core needle biopsy. They are evolving satisfactorily. The report biopsy and the immunohistochemistry inform for synovial sarcoma lung biphasic in the first case and monophasic in the second case. We were referring to the medical oncology service for receive adjuvant therapy. Actually the female patient is asymptomatic with no evidence of tumor activity. Not so the second patient died during the course of the chemotherapy. CONCLUSION: The primary synovial sarcoma of the lung, it is a rare tumor, its pathogenesis is still unknown and not well established risk factors and treatment is multidisciplinary.
Keywords: Neoplasms, synovial sarcoma, lung, two-phase, single phase, immunohistochemistry.
INTRODUCCIÓN
En el pulmón se pueden desarrollar diversos tumores benignos y malignos, pero la gran mayoría y los más frecuentes son los carcinomas (90 % al 95 %) (1). La descripción o el diagnóstico de otras neoplasias malignas son mucho menos frecuente por su rareza entre el 2 % y el 5 % son tumores mesenquimales y otras neoplasias diversas como lo son los sarcomas, especialmente cuando no son metastásicos y su origen es pulmonar, los cuales constituyen la causa más importante de mortalidad relacionada con el cáncer (1,2).
Los sarcomas sinoviales constituyen de 9 % a 14 % de los sarcomas de los tejidos blandos según diferentes series (2). En un principio se creía que esta neoplasia era de origen sinovial; actualmente su origen sigue siendo desconocido. Sin embargo, hoy en día se refiere a que dichos tumores se originan de células mesenquimatosas que rodean a las cavidades articulares, aunque en algunas ocasiones se encuentren totalmente alejados (3,4). Se presenta en múltiples sitios como: extremidades torácicas, extremidades pélvicas, glúteos, abdomen, tórax, retroperitoneo, cabeza y cuello mencionados por orden de frecuencia (5,6,7).
El sarcoma sinovial pulmonar primario (SSPP), es muy poco frecuente y constituye el 0,1 % de todos los tumores de pulmón. Es la localización más frecuente del sarcoma sinovial, después de la localización típica en partes blandas. No obstante, muchas han sido las localizaciones en la economía corporal en las que se han descrito casos de sarcoma sinovial, muchas de ellas excepcionales, como ocurre con el pulmón. Los sarcomas primarios torácicos habitualmente se presentan como tumor en la pared torácica, rara vez se presentan en pleura y pulmón (5).
La World Health Organization Classification of Tumors (WHOCT), define al SSPP, como un tumor de células mesenquimatosas fusiformes, con zonas de displasia de diferenciación epitelial que aparece como el resultado de la proliferación desordenada de unas células fusiformes atípicas con un núcleo oval, una actividad mitótica variable que incluye formaciones glandulares identificándose una traslocación cromosómica específica (t(X; 18)) (p11; q11), ha permitido un diagnóstico de confirmación en más del 90 % de los casos. Histológicamente, se puede dividir en tres tipos que incluyen las formas bifásicas (combinación de células epiteliales y fusiformes), una variante epitelial monofásica y las monofásicas propiamente dichas (células fusiformes y raramente epiteliales), más frecuente, indistinguible de los sarcomas monofásicos sinoviales de los tejidos blandos (3,4,5). En ocasiones, esta diferenciación no es tan sencilla y obliga a la utilización de técnicas ultraestructurales e inmunohistoquímicas para su diagnóstico o la mejor interpretación del material obtenido de las biopsias bronquiales y las punciones torácicas, estas últimas de controvertida utilidad en la mayoría de los casos, que finalmente requerirán la toma de muestras de mayor tamaño (5,6).
Los SSPP, son extremadamente raros, constituyen de 0,1 % 0,5 % de las neoplasias de pulmón (5). El primero caso fue reportado en 1996 por Gaertner y col. (5). Generalmente se presenta en áreas periféricas, bien circunscritos, pero no encapsulados; su tamaño varía. Es más frecuente en adultos jóvenes preferentemente entre la 5a y 6a década de la vida, afectando por igual a ambos sexos (6). Se presenta como masas periféricas ocasionalmente con calcio, de aspecto heterogéneo por presentar niveles líquidos en relación con hemorragia y necrosis, bien delimitadas siendo el dolor torácico el síntoma más frecuente. No existen factores predisponentes específicos para esta enfermedad (5,6).
El tipo bifásico tiene características histológicas muy parecidas al antes descrito, pero se asocia un componente epitelial, consistente en espacios glandulares hendidos con diferenciación túbulo papilar aislada. En ambos casos, los pobremente diferenciados, la actividad mitótica y nivel de necrosis, determinan un peor pronóstico (7).
La presentación clínica más frecuente en los pacientes es tos y hemoptisis. Puede haber dolor torácico, derrame pleural, disnea fiebre y pérdida de peso son raras. La mayoría suele presentar síntomas inespecíficos, pero en el 25 % de los casos son asintomáticos. Algunos pacientes pueden mantenerse asintomáticos y descubrir la lesión de forma casual o como un hallazgo incidental en una radiografía convencional del tórax. Su localización endobronquial es rara y suele ocurrir en los casos más avanzados. En las formas primarias es característica la aparición de lesiones únicas, de crecimiento lento, sin preferencia especial por ninguna localización pulmonar y la obligación de descartar que tenga un origen metastásico por su similitud histológica a los primarios extra-pulmonares, o la posibilidad de otro tipo de sarcomas como el leiomiosarcoma o el mesotelioma sarcomatoide. Se disemina y recurre principalmente de forma locorregional involucrando pared torácica, pericardio, diafragma y tejido blando paraespinal. La extensión directa a la cavidad abdominal es rara. La metástasis a ganglios linfáticos mediastinales es extremadamente infrecuente 5 %. Metástasis a distancia se observan en hígado, hueso y cerebro, ocurriendo en casi un cuarto de los pacientes (7,8).
En general, el pronóstico es malo, falleciendo casi la mitad de los pacientes en un período aproximado de dos años; sin embargo, una sobrevida prolongada libre de enfermedad de más de cinco años ha ocurrido en un número de pacientes
El objetivo de la investigación es describir y presentar un caso, que corresponde a un sarcoma sinovial bifásico pulmonar primario, en una paciente femenina de 59 años de edad asintomática, debido a la poca frecuencia con que se presenta esta patología. Asimismo, se hizo una revisión y actualización de la literatura sobre el tema.
CASO CLÍNICO 1
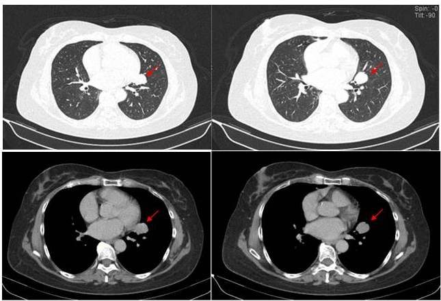
Se trata de paciente femenina de 59 años de edad, con antecedente de terapia supresora a base de anti - TNF y metrotexate debido a artritis reumatoide, quien refiere inicio de su enfermedad actual en marzo de 2010 cuando comienza a presentar tos seca de inicio insidioso, concomitantemente dificultad respiratoria progresiva motivo por el cual acude a centro de salud donde indican tratamiento médico presentando mejoría. La paciente acude a su consulta de reumatología para su control y seguimiento por el uso de la terapia anti-TNF, para su seguimiento se le realiza evaluación médica completa, la cuál incluye examen físico, exámenes de laboratorio y radiografía del tórax (proyección póstero-anterior). La exploración física fue normal y en la radiografía de tórax póstero-anterior, se descubrió una imagen para-cardíaca izquierda a nivel del parénquima pulmonar tipo nodular densa ovalada de borde bien definidos que mide aproximadamente 3,0 cm x 1,7 cm sin calcificaciones u otras anomalías (Figura 1). Se realizó una tomografía computarizada de tórax de alta resolución con contraste intravenoso que reveló una lesión nodular ovalada, homogénea de 26 mm, adyacente al hilio pulmonar izquierdo, borde bien definidos. Resto del parénquima pulmonar sin lesiones focales, estructuras adyacentes conservadas (Figura 2). Debido a los efectos inmunosupresores de la terapia anti-TNF, debe descartarse la posibilidad de infección por mycobacterium tuberculosis (TBC). Se practican exámenes de hemograma, química sanguínea cuyos reportes fueron normales, al igual que las espirometría y la bronco-fibroscopia. El test de la tuberculina PPD, tres baciloscopias y tres citologías de esputo fueron negativas, así como el bronco-aspirado selectivo realizado durante la bronco-fibroscopia y las determinaciones del VIH, Ca 19,9, Ca 125, alfafetoproteína y antígeno carcinoembrionario (CEA).
Se procedió a realizar toracotomía póstero-lateral izquierda para resección de la lesión más biopsia de la lesión nodular pulmonar izquierda, sin evidenciar afección ganglionar u otras lesiones extrapulmonares, el procedimiento quirúrgico fue bien tolerado sin complicaciones.


Evolución posoperatoria satisfactoria, motivo por el cual se retira sonda torácica y se decide el alta a las 72 h.
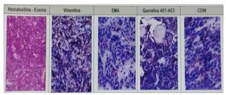
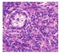
El resultado de la biopsia definitiva de dicha lesión reportó: examen macroscópico: tumoración ovalada que mide 3,5 cm x 3,5 cm x 0,7 cm, de superficie lisa marrón amarillento con áreas pardas, al corte pardo claros blandos. Examen microscópico: los cortes histológicos muestran una lesión neoplásica maligna de origen mixto formada por nidos, trabéculas y espacio pseudotubulares de células epiteliales cúbicas y ovoides con núcleos grandes e hipercromáticos atípicos, con áreas de diferenciación mesenquimal con tejido óseo inmaduro y osteoide, focos de cartílago hialino, rodeados de fibrocolágeno denso. Conclusión: neoplasia maligna indiferenciada con tejido óseo y cartilaginoso, sugestible de hemangioendotelioma epitelioide sarcomatoso, carcinosarcoma, osteosarcoma primario (Figura 3). En vista de estos hallazgos histológicos y por sugerencia del servicio de anatomía patológica se solicita estudio inmunohistoquímico el cual reporta: mediante la técnica de estreptavidina-biotina y utilizando el método de recuperación antígenica se realizó la investigación de queratina AE1-AE3, antígeno e membrana epitelial (EMA), vimentina, CD34, proteína S100, CD99 fueron positivos en células neoplásicas y bcl2 negativo. Se observó inmunomarcaje con queratina AE1-AE3, antígeno de membrana epitelial (EMA), vimentina, CD34, proteína S100 y CD99 en las células neoplásicas. Conclusión: sarcoma sinovial bifásico primario de pulmón (Figura 4).


Se refiere al servicio de oncología médica para considerar tratamiento a título adyuvante, recibiendo tratamiento con poliquimioterapia ifosfamida y adriamicina (ifosfamida D1 al D3, mesna D1 al D3 y adriamicina D1 cada 21 días por 6 ciclos). Paciente asintomática en control por consulta de cirugía de tórax. Clínicamente y paraclínicos sin evidencia de enfermedad, estudios de imágenes practicados seis meses después de la cirugía y la terapia adyuvante no se evidencia la aparición de lesiones.
CASO CLÍNICO 2
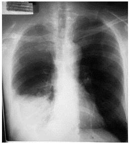
Paciente masculino de 63 años de edad con antecedente de diabetes mellitus tipo II, enfermedad tabáquica una cajetilla de cigarros diaria por 20 años, quien inicia enfermedad actual hace tres meses cuando comienza a presentar dolor en la parte inferior de la pared de hemitórax derecho, de tipo punzante de moderada intensidad, sin irradiación acompañándose de disnea progresiva por lo cual consulta es valorado, a la exploración física del tórax; refiere dolor a la palpación, a la percusión matidez a nivel de la base derecha e igualmente disminución de los ruidos respiratorios a la auscultación. Por lo cual se decide pedirle una radiografía de tórax póstero-anterior en donde se evidenció una imagen de opacidad en el campo pulmonar derecho a nivel de su base, densa homogénea sin broncograma aéreo que borra la visualización del contorno cardíaco, asimismo, los ángulos costofrénicos y cardiofrénicos con compatibilidad para el diagnóstico de derrame pleural maligno por lo antecedentes tabáquicos del paciente (Figura 5).
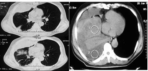
Debido al hallazgo de la radiografía se decide llevar a cabo un procedimiento de toracentesis diagnóstica, la cual fue positiva para líquido pleural serohemático, extrayéndose 20 cm3 para su estudio citoquímico y citológico. El resultado de la citoquímico de dicho líquido se reporta como un exudado con una celularidad a predomino de células tipos linfocitos 73 %, se programa y se realiza biopsia pleural con aguja de Abrams más colocación de sonda torácica conectada, drenaje posterior a control radiológico se observa imagen de masa posible lesión tumoral que ocupa lóbulo inferior del pulmón derecho. Se realizó una tomografía computarizada de tórax de alta resolución con contraste intravenoso que reveló una lesión redondeada, homogénea de 33 mm x13,7 mm, que ocupa la base del pulmón derecho (Figura 6).


Se reporta resultado de la biopsia pleural la cual es negativa para enfermedad neoplásica. Se ordenan exámenes paraclínicos marcadores tumorales CEA, CA-125, CA-19 y alfafetoproteína sus resultados fueron negativos. Se realiza broncofibroscopia flexible la cual no fue concluyente y el resultado del lavado cepillado y la biopsia endobronquial fueron negativas para células neoplásicas.
Se programa y se procede a realizar punción transtorácica de la lesión con aguja gruesa (biopsia por trucut) obteniéndose varias muestras sustanciales de tejido, los cuales son fijados en formaldehído y enviada al servicio de anatomía patológica.
El reporte de histopatológico al examen microscópico: los cortes histológicos muestran una lesión neoplásica maligna de estirpe mesenquimática fusocelular con fondo mixoide, ameritando estudio inmunohistoquímico que reportó sarcoma primario de pulmón monofásico (Figura 7 y 8)


DISCUSIÓN
El SSPP, es un tumor de células fusiformes mesenquimal con áreas de displasia variables de diferenciación epitelial, son extremadamente raros, constituyen de 0,1 % a 0,5 % de las neoplasias de pulmón, y sólo se ha descrito en menos de 50 casos en la bibliografía (4,5,6,7). Este tumor es una neoplasia de tejidos blandos que aparece como el resultado de la proliferación desordenada de unas células fusiformes atípicas con un núcleo oval, una actividad mitótica variable y una consistencia inicial sólida (4). Su crecimiento puede acompañarse de formaciones quísticas y lesiones necrohemorrágicas, también pueden ser más agresivos e infiltrar estructuras vecinas.
Histológicamente, se puede dividirlas en tres tipos que incluyen las formas bifásicas (combinación de células epiteliales y fusiformes), una variante epitelial monofásica y las monofásicas propiamente dichas (células fusiformes y raramente epiteliales) (6). En ocasiones, esta diferenciación no es tan sencilla y obliga a la utilización de técnicas ultraestructurales e inmunohistoquímicas para su diagnóstico o la mejor interpretación del material obtenido de las biopsias bronquiales y las punciones torácicas las cuales tienen una controvertida utilidad (8,9).
Algunos pacientes pueden mantenerse asintomáticos y descubrir la lesión de forma casual en una radiografía, pero la mayoría suele presentar síntomas inespecíficos. Su localización endobronquial es rara y suele ocurrir en los casos más avanzados.
En las formas primarias es característica la aparición de lesiones únicas, de crecimiento lento, sin una preferencia especial por ninguna localización pulmonar y la obligación de descartar que tenga un origen metastásico por su similitud histológica a los primarios extrapulmonares o la posibilidad de otro tipo de sarcomas como el leiomiosarcoma o el mesotelioma sarcomatoide (10).
Las mejores supervivencias relacionadas con este tipo de tumores ocurren en los pacientes sometidos a un tratamiento quirúrgico agresivo de las lesiones primarias y sus metástasis (6,10). La mayoría de las lesiones pulmonares puede ser tratada mediante resecciones económicas, por la posibilidad de futuras recidivas, aunque en raras ocasiones la invasión bronquial o la afección vascular hacen necesaria una neumectomía radical.
No obstante, en las formas no resecables o avanzadas, la quimioterapia y la radioterapia podrían tener una utilidad que aún es imprecisa por la rareza del tumor y unos resultados disponibles muy variados (11).
Los factores considerados de mejor pronóstico para los pacientes con SSPP, son la presencia de un tamaño menor de 5 cm, su localización periférica, una histología con predominio epitelial, la afección de pacientes más jóvenes y una histología con una actividad mitótica o necrosis tumoral limitada. El pronóstico de los pacientes, se relaciona con la posibilidad de extirparlo por completo, el tamaño del tumor, y la invasión local (8,9,10,11). Los pacientes con tumores pequeños que se pueden extirpar quirúrgicamente totalmente en el momento del diagnóstico tienen un pronóstico excelente, como en nuestro primer caso. Algunos pacientes sobreviven durante períodos variables de hasta veinte años sin recidivas después de la intervención, y otros sobreviven pero con recidivas pulmonares o extrapulmonares que obligan a nuevos tratamientos con quimioterapia o cirugía con una respuesta aceptable, aunque en un subgrupo de casos se produce una recidiva precoz o son diagnosticados en una fase avanzada y no suelen sobrevivir más de cinco años, a pesar de combinar las distintas modalidades terapéuticas (12), como resultó en nuestro segundo caso.
La supervivencia global a los cinco años es de aproximadamente el 40 %-57%, y del 30% a los 10 años, con una evolución que se caracteriza por su lentitud y un elevado riesgo de recidiva local, que llega hasta el 60 % de los casos en algunas de las series, después de su resección (7). Los factores considerados de mejor pronóstico son: la presencia de un tamaño menor de 5 cm, su localización periférica, una histología con predominio epitelial, la afección de pacientes más jóvenes y una histología con una actividad mitótica o necrosis tumoral limitadas (12,13).
Para los tumores mayores de 5 cm, el riesgo de desarrollar metástasis a distancia es mayor. La supervivencia de los pacientes con tumores no extirpables al momento del diagnóstico (IRS grupo III), alcanzan una supervivencia entre el 50 % y el 70 %, claramente menor para los casos de la región del cuello, cabeza, pulmón y abdomen (12). Los pacientes con metástasis a distancia tienen un pronóstico muy pobre.
El tratamiento para el sarcoma sinovial primario de pulmón es quirúrgico, se debe realizar una resección con márgenes de seguridad, a menudo incluyendo los tejidos peritumoral adyacentes. Está indicada la radioterapia posoperatoria porque mejora del control local después de la resección (14). El papel de la quimioterapia adyuvante aún no está claro, pero es posible afirmar que la resección quirúrgica con o sin la radioterapia adyuvante y/o quimioterapia basada en doxorrubicina e ifosfamida son los pilares actuales de tratamiento porque pueden reducir o retrasar la aparición de metástasis a distancia (11,12.13,14). Los sarcomas sinoviales son una entidad rara entre los tumores primarios de pulmón. En este centro hospitalario sólo se han atendido 3 casos en los últimos 14 años; uno de ellos es el que se presenta. Los otros dos casos fueron sarcomas monofásicos en cuyo tratamiento la cirugía juega un papel esencial, así como las diversas modalidades terapéuticas que han sido comentadas. Falta un consenso en el tratamiento de estos tumores, en parte debido a la poca frecuencia con que se presentan.
Referencias
1. Cuervo M. Sarcoma sinovial monofásico pulmonar. Arch Bronconeumol. 2014;50(5):206-207.
2. Alcaraz-García P, Díaz-Palacios S, Castillo-Canto C, Gatica-Pérez A., Sánchez-González J. Sarcoma sinovial bifásico primario de pulmón: Reporte de un caso y revisión de la literatura. Cir Cir. 2012;80(1):67-71.
3. Torres-Gómez F, Vázquez-Ramírez F, Torres-Olivera F. Sarcoma sinovial bifásico pulmonar: Presentación de un caso y revisión de la literatura. Rev. Chil. Enferm. Respir. 2011;27(3):203-207.
4. Pontillo H, Urbistazu J, Gadea C, González R, Mosquera J, Briceño A. Sarcoma sinovial monofásico primario de pulmón. Reporte de un caso y Revisión de la literatura. Rev Venez Oncol. 2008;20(3):149-155.
5. Estors M, Rinaldi P, Gaspar C, Sánchez F, Esturi R, Galbis JM. Neumotórax de repetición como presentación de sarcoma sinovial pleuropulmonar. Revista de Patología Respiratoria. 2012; 15(2):61-63.
6. Rodríguez y Suárez, S. Sarcomas pulmonares primarios. Revista pneuma.2008;4(3):105-110.
7. Mirzoyan M, Muslimani A, Setrakian S, Swwedeh M, Hamed A. Primary pleuropulmonary synovial sarcoma. Clinic Lung Cancer. 2008;9:257-261.
8. García de Marcos JA, Dean Ferrer A, Alamillos Granados F, Ruiz Masera JJ, Barrios Sánchez G, Vidal Jiménez A. Sarcoma sinovial, monofásico fusocelular, cervical. Rev Esp Cirug Oral Maxilofac. 2005;27(6):381-387.
9. Haro El, Baldo P, Rubio G, Quetglas S, Viñas G, Bernadó T. Sarcoma sinovial pulmonar primario. Presentación y diagnóstico de dos casos Arch Bronconeumol. 2003;39(3):136-38.
10. Etienne-Mastroianni B, Falchero L, Chalabreysse L, Loire D, Ranchere PJ. Primary sarcomas of the lung: A clinic pathologic study of 12 cases lung cancer. 2002;38:283-289.
11. Hummel P, Yang GCH, Kumar A, Cohen JC, Winkler B, Melamed J, et al. PNET-like features of synovial sarcoma of the lung. Diagn Cytopathol. 2001;24:283-288.
12. Glehen A, Allias F, Patricot LM, Thivolet F. Primary pulmonary sarcoma. A new case confirmed by citogenetic study. Ann Pathol. 2000;20:620-622.
13. Skarin A. Synovial cell sarcoma of the lung. J Clin Oncol. 2000;18:2341-2342.
14. Silverman JF, Landreneau RJ, Sturgis CD, Raab SS, Fox KR, Janosz KM, et al. Small-cell variant of synovial sarcoma: Fine-needle aspiration diagnoses. Cytopathol. 2000;23(2):118-123.
Notas de autor
jcaraujoc_65@hotmail.com