Miomas extrauterinos imitando patología neoplásica
Miomas extrauterinos imitando patología neoplásica
Revista Venezolana de Oncología, vol. 30, núm. 3, pp. 204-208, 2018
Sociedad Venezolana de Oncología

Recepción: 15 Diciembre 2017
Revisado: 03 Marzo 2018
Aprobación: 15 Abril 2018
Resumen: OBJETIVO: Describir 2 casos de miomas extrauterinos que se presentaron en pacientes con diagnóstico oncológico previo que simulaban metástasis, además de revisar la literatura disponible respecto a la histopatología, el diagnóstico y el tratamiento de la entidad. MÉTODO: Es un estudio retrospectivo que describe 2 casos clínicos emblemáticos y revisión de la patología que acudieron al Centro Médico Docente la Trinidad e Instituto Médico la Floresta. CASOS CLÍNICOS: Se evaluaron 2 pacientes con edades comprendidas entre 55-71 años, que contaban con antecedentes oncológicos. Encontrándose luego presencia de lesión que imita aparente metástasis de enfermedad de base, ameritando resolución quirúrgica cuyo diagnóstico histológico resultó como: leiomatosis uterina. CONCLUSIÓN: Los miomas extrauterinos son manifestaciones extremadamente raras de este tumor benigno. Existen pocos casos reportados en la literatura, pudiendo imitar la presencia de metástasis en pacientes con diagnósticos oncológicos previos, siendo fundamental el estudio histológico para descartarlo.
Palabras clave: Miomas, extrauterino, benigno, raro, biopsia.
Abstract: OBJECTIVE: To describe 2 cases of extra uterine myomas occurred in patients with previous cancer diagnosis that simulated metastasis, in addition to reviewing the available literature on histopathology, diagnosis and treatment of the entity. METHOD: A retrospective study describes two emblematic cases and review of the pathology who attended in the Trinity Teaching Medical Center and Institute Medico La Floresta. CLINICAL CASES: We study 2 patients aged 55-71 years old who had a history of cancer were evaluated. We found a lesion that simulated the presence of metastases apparent underlying disease, and them meriting the surgical resolution which resulted histologically as uterine leiomyomatosis. CONCLUSION: The extra-uterine fibroids are extremely rare manifestations of this benign tumor. There are few cases reported in the literature and can mimic the presence of metastases in patients with previous cancer diagnosis, histological study to the case is being fundamental.
Keywords: Myoma, extra-uterine, benign, rare, biopsy.
INTRODUCCIÓN
El mioma uterino, es la patología benigna más frecuente del útero (1). En la literatura médica, existen diferentes nombres para referirse a ellos: mioma, tumor fibroide, fibromioma, fibroleiomioma y leiomioma (2). A nivel mundial se estimó que 235 millones de mujeres tenían miomas el año 2010 (6,6 %) (3). Siendo su frecuencia de 2 a 3 veces más en las mujeres de raza negra respecto a las blancas (4). Se cree que una mujer de más de 45 años, tiene un riesgo de un 60 % de tener algún mioma (5). La ubicación de la mayoría de estos tumores se desarrollan en el músculo liso uterino, sin embargo, se conocen presentaciones ginecológicas extrauterinas incluyendo trompas de Falopio, cuello uterino, ligamento redondo, ovario, ligamento útero sacro y la uretra (6).
MÉTODO
Es un estudio retrospectivo que describe 2 casos clínicos emblemáticos y revisión de la patología que acudieron al Centro Médico Docente la Trinidad e Instituto Médico la Floresta. El objetivo es informar de 2 casos de miomas extrauterinos en pacientes con diagnósticos oncológicos previos que imitaban una metástasis.
CASO 1
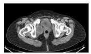
Paciente de 55 años, FUR: 43 años, I gestas, I cesárea, con antecedentes de hipertensión arterial controlada, cáncer de mama derecha, quien es referido por especialista (oncólogo) posterior a realizar CT-PEP control evidenciando LOE pélvico (Figura 1). Es evaluada evidenciándose al examen físico sin alteraciones, se solicita TC abdominopélvica con doble contraste que reporta: masa heterogénea a nivel de músculo isquiorectal derecho, sólido, con áreas de necrosis (Figura 2). Se solicitan paraclínicos: sin anteraciones + citología de cérvix: normal. Se realiza intervención quirúrgica en Clínica la Floresta donde se logra la exéresis de tumoración en su totalidad + toma de muestra de fondo de saco anterior y posterior. El resultado reportó: leiomioma. La paciente actualmente con control ecográfico cada 6 meses sin alteraciones durante su primer año, luego control anual, se encuentra libre de enfermedad a los 6 años de tratamiento.


CASO 2
Paciente de 71 años, gestas, 2 partos, menopausia: quien cursa con antecedente diagnóstico de cáncer de mama derecha estadio T1 en 2013; y que fue manejada con cirugía + quimioterapia. Diagnóstico de ADC endometrio estadio IIIb en abril 2016 que ameritó histerectomía total + ooforectomía bilateral. Paciente se mantiene en control evidenciándose a los 3 meses del posoperatorio en TC abdominopélvica de control LOE pélvico que impresionaba probable metástasis de endometrio ubicado en cúpula vaginal, se realiza intervención quirúrgica con los siguientes hallazgos intra-operatorios: lesión de aproximadamente 4 cm x 3 cm, redondeada, bordes definidos, consistencia sólida en espacio rectovaginal, realizando exéresis de la misma. El resultado de la biopsia reportó: adenomioma (Figura 3), se realiza inmunohistoquímica que reporta: actina músculo liso: positivo en células neoplásicas, citoqueratina AE1/AE3: positivo en estructuras glandulares, alfa inhibina: negativo, KI67: actividad proliferativa menos 1 % (Figura 4). Actualmente paciente en control recibiendo tratamiento quimioterapéutico por diagnóstico de cáncer de endometrio.


DISCUSIÓN
Se cree que quien describió por primera vez un mioma, antes de la era cristiana, fue Hipócrates (460-375 AC) y los llamó “piedras del vientre”. Más tarde Galeno los denominó escleromas (2). Luego los textos medievales que describen mujeres que “expulsaban huevos de pájaros por sus vaginas”, refiriéndose probablemente a miomas. En 1854, Rudolf Virchow, el patólogo alemán, fue quien demostró que estos tumores tenían un origen en el músculo liso uterino, nombrándolos miomas. El término fibroma fue introducido por Carl von Rokitansky en 1860 y Klob en 1863 (7).
Los leiomiomas uterinos son los tumores ginecológicos más comunes y la mayoría de las veces se encuentra limitado al útero. Las características variables de estos tumores del músculo liso permiten al patólogo distinguir distintas variantes como: miomas uterinos, leiomioma parasitaria, leiomiomatosis intravenosa, leiomiomatosis peritoneal diseminada, y leiomioma benigno metastásico del tumor fibroma benigno clásico o leiomiosarcoma (8,9).
En general, los leiomiomas pueden clasificarse en primaria o parasitaria. Existen teorías que se han postulados para los leiomiomas primarios tales como:
1. Ocurren por la transformación de las células de músculo liso de los vasos sanguíneos.
2. Ocurren por los cambios de metaplasia secundarios de células no musculares (10,11).
3. La tercera teoría es que estos tumores pueden surgir como una proliferación metaplásico independiente a partir de células indiferenciadas mesenquimales (12,13).
El termino leiomiomatosis parásita (LP) fue descrita por primera vez en 1909 por Kelly y col., como el hallazgo de miomas implantados en la superficie de otros órganos por separación espontánea del útero de miomas sub-serosos pediculado (14), por alguna razón, se siembran en la superficie peritoneal adyacente recibiendo nuevo aporte vascular (15).
La leiomiomatosis parásita es una patología que en ocasiones se presenta después de una miomectomía laparoscópica con morcelación; cuando se asocia a manifestaciones clínicas puede requerir manejo quirúrgico. Las pacientes que van a ser sometidas a miomectomía laparoscópica deben recibir información sobre esta patología. Se han descrito pocos casos, por lo que se necesitan estudios prospectivos (14).
En la última década se ha incrementado el número de casos reportados de LP de forma paralela al creciente auge del manejo mínimamente invasivo para la miomatosis uterina (15,16). Es por ello que cualquier miomectomía laparoscópica aunque es ahora un procedimiento ampliamente aceptado hay que tener en cuenta que se debe ser cuidadoso para eliminar completamente todos los fragmentos triturados de la cavidad abdominal después de la morcelacion (17).
En el presente estudio, ambas pacientes tuvieron antecedente de cáncer de mama ameritando terapia con tamoxifeno, de acuerdo a Deligdisch y col., que demostraron que el uso de este fármaco causa el crecimiento de los leiomiomas uterinos, cuando se usa como un adyuvante a terapia hormonal para el carcinoma de mama, pudiendo ocasionar entonces un crecimiento en los miomas extrauterino de los casos descritos (18).
El diagnóstico diferencial es variado, por ser una patología poco usual y por presentarse fuera de la cavidad uterina, puediera presentarse en cualquier lugar, asi lo reporta Mantellini y col., describiendo un mioma extrauterino en cara posterior de vagina (19), o Ong Cun y col., que reportaron un caso de leiomioma de pared abdominal que imita tumor maligno (20). O Ricci y col., reportaron un mioma en la trompa de Falopio, alegando que la mayoría de estos casos son diagnosticados en autopsias o en cirugías abodminopélvicas realizadas por otro motivo (21).
Además, pueden existir diagnósticos diferenciales menos comunes que asemejen un leiomioma como lo describe Pitsidis y col., en su caso publicado donde un tumor del estroma extra-gastrointestinal ubicado en saco de Douglas que asemejaba un leiomioma (22).
Los miomas extrauterinos son manifestaciones extremadamente rara de este tumor benigno. Existen pocos casos reportados en la literatura. Pudiendo imitar la presencia de metástasis en pacientes con diagnósticos oncológicos previos, tal como se describió en el presente trabajo, siendo fundamental el estudio histológico para descartarlo.
Referencias
1. Pérez-Carbajo E, Martín A, Kazlauskas S. Patología tumoral benigna del cuerpo uterino: mioma y patología endometrial. En: Arenas B, Vicents L, Montosa X, editores. Fundamentos de ginecología. España: Sociedad Española de Ginecología y Obstetricia (S.E.G.O.); 2009.p. 391-398.
2. Bozini N, Baracat EC,. The history of myomectomy at the Medical School of University of Sao Paulo. Clinics (Sao Paulo). 2007;62:209-210.
3. Vos T, Flaxman AD, Naghavi M, Lozano R, Michaud C, Ezzati M, et al. Years lived with disability (YLDs) for 1160 sequelae of 289 diseases and injuries 1990-2010: A systematic analysis for the Global Burden of Disease Study 2010. Lancet. 2012;380:2163-2196.
4. Wise LA, Palmer JR, Cozier YC, Hunt MO, Stewart EA, Rosenberg L. Perceived racial discrimination and risk of uterine leiomyomata. Epidemiology. 2007;18:747-757.
5. Okolo S. Incidence, aetiology and epidemiology of uterine fibroids. Best Pract Res Clin Obstet Gynaecol. 2008;22:571-588.
6. Hameed N. Case report: Leiomyoma of the vagina. Combined Military Hospital, Rawalpindi. Disponible en: URL: http://www.ayubmed.edu.pk/JAMC/PAST/152/Nazli20Liomyoma.htmPakistan.
7. O`Dowd MJ, Philip EE. The History of Obstetrics and Gynaecology, New York: The Parthenon Publishing Group;1994.p.525-527.
8. Haberal A, Kayikcioglu F, Caglar GS, Cavusoglu D. Leiomyomatosis peritonealis disseminata presenting with intravascular extension and coexisting with endometriosis: A case report. J Reprod Med. 2007;52:422- 424.
9. Surmacki P, Sporny S, Tosiak A, Lasota J. Disseminated peritoneal leiomyomatosis co- existing with leiomyoma of the uterine body. Arch Gynecol Obstet. 2006;273:301-303.
10. Umranikar S, Umranikar A, Byrne B, Moors A. Intravascular leiomyomatosis: Unusual variant of leiomyoma. Gynecol Surg. 2009;6(4):399.
11. Stock H, Perino G, Athanasian E, Adler R. Leiomyoma of the foot: Sonographic features with pathologic correlation. HSS J. 2011;7(1):94-98.
12. Dallenbach C, Miklaw H, Dallenbach FD, Dallenbach-Hellweg G. Disseminated peritoneal leiomyomatosis. A rare disease picture. Geburtshilfe Frauenheilkd. 1989;49(2):201-204.
13. Drake A, Dhundee J, Buckley CH, Woolas R. Disseminated leiomyomatosis peritonealis in association with oestrogen secreting ovarian fibrothecoma. BJOG. 2001;108:661-664.
14. Cano G, Castro J, Arango A. Leiomiomatosis parásita en Medellín, Colombia: Reporte de un caso y revisión de la literatura. Rev Colomb Obstet Ginecol. 2014;65:179-182.
15. Kho KA, Nezhat C. Parasitic Myomas. Obstet Gynecol. 2009;11:611-615.
16. Leren V, Langrebrekke A, Qvigstad E. Parasitic leiomyomas after laparoscopic surgery with morcellation. Acta Obstet Gynecol Scand. 2012;91:1233-1236.
17. Miyake T, Enomoto T, Ueda Y, Ikuma E, Morii E, Matsuzaki S, et al. A case of disseminated peritoneal leiomyomatosis developing after laparoscope-assisted myomectomy. Gynecol Obstet Invest. 2009;67:96-102.
18. Deligdisch L, Kalir T, Cohen CJ, de Latour M, Le Bouedec G, Penault-Llorca F. Endometrial histopathology in 700 patients treated with tamoxifen for breast cancer. Gynecol Oncol. 2000;78(2):181-186.
19. Mantellini C, Rivero J, Morao C. Mioma vaginal: Reporte de un caso. Rev Obstet Ginecol Venez. 2011;71(1):65-72.
20. Ong CW, Siow SL. Case report: Leiomyoma of the anterior abdominal Wall. Med J Malaysia. 2016;71(2):81-82.
21. Ricci P, Troncoso J, Contreras L, Contreras S. Mioma primario de la trompa de Falopio: una localización muy infrecuente. Rev. Chil. Obstet. Ginecol. 2013;78(4):317-319.
22. Peitsidis P, Zarganis P, Trichiay H, VorgiasJ, Smith J, Akrivos T. Extra gastrointestinal stromal tumor mimicking a uterine tumor. A rare clinical entity. Int J Gynecol Cancer. 2008;18:1115-1118.
Notas de autor
sanamujer@gmail.com