Experiencia en la administración de tratamientos de radioterapia con técnica de arcos volumétricos modulados
Experiencia en la administración de tratamientos de radioterapia con técnica de arcos volumétricos modulados
Revista Venezolana de Oncología, vol. 30, núm. 3, pp. 214-224, 2018
Sociedad Venezolana de Oncología

Recepción: 23 Enero 2018
Revisado: 08 Marzo 2018
Aprobación: 12 Abril 2018
Resumen: OBJETIVO: Presentar nuestra experiencia en la aplicación de radioterapia con técnica de arcos volumétricos modulados en el tratamiento de diversas patologías cancerígenas. Evaluar ventajas y desventajas técnicas de esta modalidad y compararlas con otras modalidades modernas como la radioterapia de intensidad modulada MÉTODO: Estudio retrospectivo desde julio de 2011 hasta la fecha actual de los casos tratados, agrupándolos por patologías. Se describieron los parámetros estándares actualmente usados para los tratamientos con esta técnica y se compararon los resultados obtenidos contra la experiencia previa de radioterapia de intensidad modulada, basados en: dosimetría, tiempo de entrega del tratamiento, unidades monitor, precisión, verificación de los planes de tratamientos. Todos fueron administrados en el acelerador lineal y calculado con el sistema de planificación Eclipse. RESULTADOS: Desde julio de 2011 hasta 15 de julio 2016 se han tratado 865 pacientes empleando la radioterapia con técnica de arcos volumétricos modulados. El 45,9 % han sido tratamientos para cáncer de próstata, 24 % patologías en cabeza y cuello, 8,8 % gastrointestinales, 7,2 pulmón 5,2 % ginecológicos, 2,3 % genitourinarias, 2,3 % hematológicas, 2,3 % tejidos blandos y 2 % SNC. Para los tratamientos realizados con esta técnica se obtuvieron distribuciones de dosis bastante conformadas al volumen a tratar con un tiempo de tratamiento mucho menor al obtenido en los tratamientos con intensidad modulada. CONCLUSIONES: Esta técnica nos brinda la posibilidad de obtener tratamientos en un tiempo mucho más corto y obtener grandes ventajas para nuestros pacientes.
Palabras clave: Radioterapia, intensidad modulada, acelerador lineal, dosimetría, arcos volumétricos.
Abstract: OBJECTIVE: To present our experience in the application of the radiotherapy technique of volumetric arches modulated in the treatment of various cancer pathologies. Evaluate advantages and the technical disadvantages of this mode of treatment and compared to other modern modalities such as radiotherapy with intensity modulated. METHOD: Retrospective study from July 2011 to the current date of the cases treated, by grouping them by pathologies. The parameters described standards currently used for treatments with this technique and compared the results against the background of intensity modulated radiation therapy, based on: Dosimetry, time of duration of the treatment, the monitor, precision, and the verification of the treatment plans. All the treatments were administered in the accelerator linear and calculated with the Eclipse planning system. RESULTS: We treated 865 patients using the radiation therapy with volumetric arches modulated technique treated from July of 2011 until July 15 of 2016. The 45.9 % were treatments for the prostate cancer, 24 % pathologies localized in the head and neck, the gastrointestinal 8.8 %, 7.2 % lungs, gynecological 5.2 %, 2.3 % genitourinary, hematologic 2.3 %, 2.3 % soft tissues and 2 % central nerve system. Treatments performed with this technique obtained shaped dose volume distributions with a treatment time much less than the obtained in the treatments with the intensity modulated. CONCLUSIONS: This technique gives us the possibility to get treatments in a much shorter time and get great benefits for our patients.
Keywords: Radiation therapy, modulated intensity, lineal accelerator, dosimetry, volumetric arches.
INTRODUCCIÓN
A finales de los 70 Goitein M (1) implementa el uso de tomografía computarizada en el cálculo de dosis y la planimetría de los haces de tratamiento iniciando el desarrollo de la radioterapia conformada tridimensional (RTC3D) (Figura 1A y 1B). Luego a finales de los ochenta y principios de los 90 nace la radioterapia de intensidad modulada (RTIM) (Figura 1C) desarrollada principalmente por Brahme A, Källam P, Web S (2,3,4). Esta nace debido a la necesidad de mejorar las distribuciones de dosis que se obtenían con la RTC3D la cual ya cuenta con la presencia de avanzados sistemas de imágenes para la localización de las estructuras sanas y tumorales (CT, RMI, CTPET, etc.).

Luego en 1995, YuCXy col. (5), desarrollan una modalidad llamada terapia en arcos de intensidad modulada (TAIM) en donde se combina la modulación que proporciona el movimiento de las láminas de la RTIM con el giro del gantry para de esta manera combinar las ventajas que proporciona la arco terapia con las de la RTIM (Figura 2A). Sin embargo, la aplicación de esta no fue tan exitosa gracias a que los algoritmos de optimización generaban planes difíciles de administrar con los aceleradores lineales (AL) convencionales. Además, se necesitaba la necesidad de varios arcos debido a que esta técnica no posee una modulación de la tasa de UM.
Posteriormente en el 2008 Otto K y col. (6), desarrollan e implementan la radioterapia de arcos volumétricos modulados (RAVM). Esta, además de modular la fluencia del haz por medio del movimiento de las láminas del colimador como la TAIM, posee la capacidad de modular la tasa de unidades monitor y la velocidad del gantry de AL dando así la posibilidad de administrar el tratamiento con un solo arco (se usa casi exclusivamente en el caso de lesiones muy esféricas).

Esta técnica fue implementada inicialmente en AL Elekta® empleándose el nombre de RAVM otorgado por Otto K, para luego ser desarrollado por Varian® con el nombre comercial de RapidArc (RA) ®.
PROCESO DE TRATAMIENTO
ADQUISICIÓN DE IMÁGENES.
Al igual que en el caso de los tratamientos con RTC3D y la RTIM se emplean los mismos sistemas de imágenes en 3D (CT, RM, CT-PET) para la planificación del tratamiento y de igual manera los mismos aditamentos de posicionamiento característicos a la técnica de tratamiento a emplear.
DELIMITACIÓN DE ESTRUCTURAS.
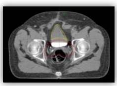
A diferencia de la optimización con modalidad de RTIM y RTC3D, en donde las estructuras blanco pueden estar superpuestas a las estructuras a riesgo, en la optimización con RAVM no es recomendable, por lo que se deben crear estructuras de optimización (vejiga sub PTV (Planning treatment volumen), recto sub PTV), etc.) (Figura 3) que se crearan a partir de la substracción de la estructura crítica y la estructura blanco con un margen adicional de 6 mm en caso de la estructura blanco sea grande y 3 mm en caso contrario

OPTIMIZACIÓN
Al igual que en RTIM se debe realizar la optimización colocando los límites de dosis máximos que deben recibir las estructuras a riesgo a partir de puntos posicionados en la curva de los histograma de dosis volumen (HDV) (Figura 4) y en el caso del o de los PTV colocar límites mínimos y máximos para cada uno (Figura 4).

CÁLCULO DE DOSIS.
Se emplea el algoritmo denominado AAA (algoritmo analítico anisotrópico).
En julio de 2011 se trató el primer paciente con la modalidad de RAVM, tratándose hasta julio de 2016 un total de 865 pacientes. En la Figura 5 se observa una gráfica la cual muestra los diversos grupos patológicos a los cuales se ha aplicado esta modalidad y la proporción de casos de cada uno.

SISTEMA NERVIOSO CENTRAL
En estos casos la técnica RAVM ofrece mayor ventaja cuando la lesión se encuentre cerca de estructuras a riesgo cuyas tolerancias son mucho menores a la dosis final a impartir (quiasma, nervios ópticos, globo ocular, cócleas, etc.). Se usan arcos con Rayos X de 6 MV y el paciente se posiciona decúbito supino. La disposición de estos arcos no es estándar, por lo que el número de estos, ángulo de inicio y finalización del arco y ángulo de la camilla dependerá intrínsecamente de la ubicación de la lesión, tamaño de esta y disposición de las estructuras a riesgo. Para este tipo de planes el tratamiento dura de 3 a 5 min lo cual es menor al tiempo que toma si se emplea RTIM el cual seria de alrededor de 10 min.
En la Figura 6 se muestra la distribución de dosis en plano axial, coronal y sagital del plan de un tratamiento de un macro-adenoma hipofisario, además de una vista tridimensional de la disposición de los arcos.

Para el tratamiento de lesiones en cráneo eje (méduloblastoma, pineoblastomas, etc.) la RAVM es la modalidad de elección primaria porque su uso disminuye la dosis recibida en estructuras como corazón, hígado, asas intestinales, etc. Se usan arcos axiales (camilla en 0°) con ángulos de inicio y finalización de 150° y 210° (paciente en posición supina) usando varios isocentros dependiendo del tamaño del paciente. En la Figura 7 se observa la distribución porcentual de la dosis en plano sagital del plan de tratamiento de un méduloblastoma usando RTC3D (Figura 7A) y usando RAVM (Figura 7B). Se observa que en este plano las estructuras anteriores torácicas y abdominales reciben considerablemente mayor dosis usando RTC3D que usando RAVM. Para este tipo de tratamientos, al compararse con RTC3D, no se obtienen grandes ventajas en lo que se refiere tiempo total de tratamiento debido a que con RAVM es mucho mayor (7,8).

CABEZA Y CUELLO
RAVM es la técnica primariamente usada para este tipo de lesiones. Se usan Rayos X de 6 MV y el paciente se posiciona decúbito supino. En el caso de que se deban tratar ambos hemi-cuellos se emplean 2 arcos axiales (camilla en 0°) parciales con ángulos de inicio y finalización de 150° y 210° para de esta manera minimizar la dosis en la médula espinal. En caso de que el tratamiento requiera la irradiación de un solo hemi-cuello, se usan 2 arcos axiales parciales de menor amplitud para así disminuir la dosis en estructuras que no son parte del PTV. En el caso de lesiones como las de senos paranasales y en aquellas donde no se necesite el tratamiento de ganglios linfáticos, se aplican arcos sagitales (camilla en 90° o 270°) obteniéndose distribuciones de dosis que favorecen la protección de estructuras como nervios ópticos, quiasma y ojos. El tiempo de tratamiento usando RAVM en estos casos es de alrededor de 3 min a diferencia de RTIM que toma alrededor de 20 min.
En la Figura 8 se muestra la distribución de dosis en plano axial, coronal y sagital del plan de un tratamiento de un cáncer en orofaringe, además de una vista tridimensional de la disposición de los arcos.

En la Figura 9 se muestra la distribución de dosis en plano axial, coronal y sagital del plan de un tratamiento de un papiloma invertido. Para este caso se utilizaron arcos sagitales.

PULMÓN
Para el caso de lesiones torácicas, dependiendo de la ubicación de la lesión, se puede decidir tratamientos con técnica híbrida (cuando la lesión está posteriorizada) o usar RAVM con arcos axiales y sagitales (cuando la lesión está anteriorizada). Esta técnica híbrida consiste en emplear RAVM (con arcos axiales) en conjunto con campos AP-PA de RTC3D gracias a que se necesitan las ventajas de ambas técnicas. RAVM ayuda a disminuir la dosis en corazón y médula espinal pero no ayuda a disminuir la dosis en pulmones. RTC3D con campos AP-PA ayuda a disminuir la dosis en el volumen pulmonar sano pero en la mayoría de los casos aumenta la dosis en médula espinal. Haciendo una ponderación de la dosis para ambos técnicas se llega a poder administrar dosis como 60 Gy sin sobrepasar las tolerancias de las estructuras a riesgo. Para el caso de lesiones anteriorizadas se usa RAVM con arcos axiales y sagitales porque estos arcos sagitales hacen la misma función de los campos AP-PA ayudando a disminuir dosis en los volúmenes pulmonares sanos. Los ángulos de inicio y finalización de los arcos dependen de la ubicación de la lesión. En caso de que la lesión sea medial se usan 2 arcos con punto de inicio y finalización de 150° y 210°, en caso de que esté lateralizada se usan se usan 2 arcos axiales parciales de menor amplitud para así disminuir la dosis en estructuras que no son parte del PTV. En caso de que se usen arcos sagitales la amplitud de estos es simulada previa al tratamiento y la planificación en la sala de tratamiento para garantizar que no exista riesgo de colisión del cabezal con el paciente. Se emplean Rayos X de 6 MV. Al igual que los tratamientos de cabeza y cuello existe una gran ventaja de la RAVM sobre la RTIM porque con la primera los tiempos de tratamientos son alrededor de 5 min a diferencia de con RTIM los cuales oscilan alrededor de 20 min.
En la siguiente Figura se observa la distribución de dosis en plano axial, coronal y sagital del plan para el tratamiento para un cáncer de células no pequeñas de pulmón usando arcos axiales y campos de RTC3D.

En la Figura 11 se muestra la distribución de dosis en planos axial, coronal y sagital para el plan de tratamiento de una lesión pulmonar usando arcos axiales y sagitales de RAVM.

GASTROINTESTINAL
Al igual que le caso de lesiones en SNC, la RAVM se emplea para disminuir la dosis en estructuras cercanas a la lesión con tolerancias menores a la dosis de tratamiento (asas delgadas, hígado, riñones, etc.). El paciente se dispone en posición supina y se emplean arcos axiales con energía de Rayos X de 6 MV. Al igual que en los casos anteriores existe una reducción de alrededor de 14 min (10).
A continuación se muestra el plan de tratamiento en plano axial, coronal y sagital para una lesión de estómago.

GINECOLÓGICAS
RAVM ofrece al igual que en otras áreas la posibilidad de obtener altas dosis en el volumen blanco y minimizar al mismo tiempo la dosis a estructuras riesgo. Se usan Rayos X de 6 MV y el paciente se posiciona decúbito supino. Se emplean 2 arcos axiales (camilla en 0°) parciales con ángulos de inicio y finalización de 150° y 210° para de esta manera minimizar la dosis en el recto. Al igual que en los casos anteriores existe una reducción de alrededor de 14 min.
En la siguiente Figura se observa el plan de tratamiento en plano axial, coronal y sagital para el tratamiento de una lesión en cuello uterino.

GENITOURINARIAS
Se usan exactamente los mismos criterios que en los casos de lesiones ginecológicas.
En la siguiente Figura se observa el plan de tratamiento en plano axial, coronal y sagital para el tratamiento de una lesión vesical. Al igual que en los casos anteriores existe una reducción de alrededor de 14 min.

PRÓSTATA
En los casos de tratamientos prostáticos la RAVM es la modalidad primariamente usada. El paciente es colocado de cubito supino y se usan Rayos X de 6 MV. Se emplean arcos axiales con amplitudes de 165° y 195°. El tratamiento dura alrededor de 3 min a diferencia de RTIM el cual toma alrededor de 8 min. A continuación se muestra el plan de tratamiento en planos axial, coronal y sagital para el tratamiento de una lesión prostática.

TEJIDOS BLANDOS
Se emplea RAVM en casos en que se quiere disminuir drásticamente la dosis en estructuras sanas. Se usan Rayos X de 6 MV y el posicionamiento del paciente depende del área a tratar. A continuación se muestra la distribución de dosis en plano axial, coronal y sagital de un plan de sarcoma en pared posterior torácica.

Podemos concluir del hecho de que la RAVM nos brinde la posibilidad de obtener tratamientos en un tiempo mucho más corto se derivan grandes ventajas:
1. Mayor comodidad del paciente
2. Menor probabilidad de movimiento del paciente durante el tratamiento disminuyendo así errores intra fracción.
3. Menor cantidad de unidades monitor, conllevando a si una menor probabilidad de carcinogénesis inducidas y en caso de usar haces con energías superiores a 10 MV, disminuir la contaminación neutrónica.
Referencias
1. Goitein M. Three dimensional density reconstructions from a series of two dimensional projections. Nucl Instrum Methods. 1972;101:509-518.
2. Brahme A. Optimization of stationary and moving beam radiation therapy techniques. Radiother Oncol. 1988;12:129-140.
3. Källam P, Lind B, Ekloff A, Brahme A. Shaping of arbitrary dose distribution by dynamic multileaf collimation. Phys Med Biol. 1988;33:1291-1300.
4. Web S. Optimization of conformal dose distributions by simulated annealing. Phys Med Biol. 1989;34:1349-1370.
5. Yu CX. Intensity-modulated arc therapy with dynamic multileaf collimation: An alternative to tomotherapy. Phys Med Biol. 1995;40:1435-1449.
6. Otto K. Volumetric modulated arc therapy: IMRT in a single gantry arc. Med Phys. 2008;35:310-317.
7. Urdaneta LN, Vera A, Peschel R, Wilson L. editores. Radioterapia Oncológica Enfoque Multidisciplinario. 2a edición. Venezuela: Disinlimed;2009.
8. Urdaneta LN, Vera GA, Ruan LS, Dávila PJ, Ott SI, Salcedo E, et al. Radioterapia estereotáctica extra craneal un nuevo paradigma en terapéutica oncológica experiencia preliminar Rev Venez Oncol. 2011;23(4):214-237.
9. Dávila JE, Romero JA. Radioterapia conformada con sistemas de planificación 3D (RTC-3D). En: Urdaneta N, Vera A, Peschel RE, Wilson LD, editores. Radioterapia Oncológica. Enfoque Enfoque Multidisciplinario. Caracas, Disinlimed; 2009.p.249.
10. Papiez L, Moskvin V, Timmerman RD. Dosimetry of stereotactic radiation therapy. En: Kavanagh BD, Timmerman RD, editores. Stereotactic body radiation therapy. Filadelfia: Lippincott Williams &Wilkins; 2005.p.57
Notas de autor
jromero@radioterpia.com.ve.