CONDROSARCOMA MESENQUIMÁTICO EXTRAESQUELÉTICO DE REGIÓN CERVICAL
CONDROSARCOMA MESENQUIMÁTICO EXTRAESQUELÉTICO DE REGIÓN CERVICAL
Revista Venezolana de Oncología, vol. 30, núm. 4, pp. 264-269, 2018
Sociedad Venezolana de Oncología

Recepción: 18 Mayo 2018
Revisado: 22 Junio 2018
Aprobación: 23 Julio 2018
Resumen: OBJETIVO: El condrosarcoma mesenquimático extraesquelético es una variante inusual de condrosarcoma, representa el 0,15 % de los tumores intracraneales, correspondiendo el 6 % de todos los condrosarcomas de la base del cráneo. Las anomalías cromosómicas descritas son en la región 12q13-15, así como anomalías numéricas en los cromosomas 5, 7, 8 y 18, semejantes a otras neoplasias condroides, ocasionan problemas en el diagnóstico diferencial. Presentamos este caso clínico, enfatizando sus dificultades diagnósticas y hallazgos patológicos. CASO CLÍNICO: Paciente femenina de 24 años, con aumento de volumen latero cervical derecho de 2 meses de evolución de 10 cm x 6 cm., RMN: LOE cervical derecho, hiperdenso, que se extiende hasta C3. La biopsia con aguja gruesa, concluyó; neoplasia maligna de células redondas, compatible con condrosarcoma mesenquimático. El examen inmunohistoquímico demostró: vimentina y CD 99 positivo focalmente en células redondas y S-100 marcó las células neoplásicas y cartílago más diferenciado. DISCUSIÓN: Esta es una neoplasia de adultos jóvenes, entre los 20 y 30 años. Radiológicamente puede simular un meningioma e histológicamente un tumor vascular o de células pequeñas y redondas. Los focos de diferenciación condroide son esenciales para el diagnóstico diferenciar. La inmunohistoquímica, no siempre permite reconocerlo de otros sarcomas. Estudios en osteocondromas y condrosarcomas, revelaron alteraciones genéticas en la región 11;22, importante en su patogénesis. El condrosarcoma extraesquelético debe tenerse en cuenta en el diagnóstico de los tumores de células redondas y pequeñas en pacientes jóvenes.
Palabras clave: Condrosarcoma, mesenquimático, extraesquelético, células redondas, tejidos blandos.
Abstract: OBJECTIVE: Mesenchymal chondrosarcoma extra skeletal is an unusual variant of chondrosarcoma, represents the 0.15 % of the intracranial tumors, corresponding 6 % of all chondrosarcomas of the base of the skull. The described chromosomic anomalies are in the region 12q13-15, as well as numerical anomalies in chromosomes 5, 7, 8 and 18, condroides resemblances to others cancer, causing problems in the diagnosis differential. We presented this clinical case, emphasizing its difficulties you diagnose and pathological findings. CLINICAL CASE: Feminine patient of 24 years, with increase of cervical lateral volume straight of 2 months of evolution of 10 cm x 6 cm, MRN: Cervical LOE, straight hyper dense, extends until C3. The biopsy with heavy needle, concluded: tumor malignant of round cells, compatible with chondrosarcoma mesenchymal. The immunohistochemistry examination demonstrated: Vimentin and 99 CD positive focally in round cells and S-100 marked to the cells and differentiated cartilage more. CONCLUSIONS: This is one tumor of young adults, between the 20 and 30 years. Radiologically it can simulate meningioma histological and a vascular tumor or of small and round cells. The centers of condroides differentiation are essential the diagnosis to differentiate. The immunohistochemistry, not always allows to recognize this of others sarcomas. Studies in osteochondromas and chondrosarcomas, revealed genetic alterations in the region 11;22, important in their pathogenesis. The mesenchymal chondrosarcoma must consider in the diagnosis of the tumors of round and small cells in young patients.
Keywords: Chondrosarcoma, mesenchymal, extra skeletal, round cells, soft tissue.
INTRODUCCIÓN
Los condrosarcomas representan un grupo de tumores diferenciados en dos tipo; esqueléticos (central) y extraesqueléticos (periféricos) (1,2)
En el condrosarcoma esquelético están incluidos los tipos histológicos; convencional, indiferenciados, mesenquimáticos y un subtipo de células claras (3), sin embargo, el condrosarcoma mesenquimático puede encontrarse en tejidos duros y blandos, fue descrito por primera vez por Linchestein y Bernstein en 1959 (4), considerándolo como un tumor maligno raro y tiende a ocurrir 2 a 3 veces más comúnmente en huesos que en sitios extra esqueléticos (5).
El condrosarcoma mesenquimático puede presentarse en cualquier parte del cuerpo incluyendo órbita, vísceras, meninges, cerebro, maxilar, costillas y pulmón, caracterizado por la presencia de áreas celulares densas compuestas por células mesenquimales redondas o alargadas con focos de diferenciación condroblástica (6,7).
Este tumor es muy raro y comprende menos del 2 % de los condrosarcomas y afecta a la población infantil, y a los adultos jóvenes a diferencia de los condrosarcomas convencionales, hombres y mujeres son igualmente afectados (8).
El diagnóstico de condrosarcoma mesenquimático extraesquelético es complejo debido a la variedad de diagnósticos diferenciales específicamente por tratarse de una patología confinada al grupo histológico de células redondas pequeñas y en la inmunohistoquímica los condrosarcomas mesenquimales pueden presentar focalmente positividad para CD99 y lo que los diferencia de un sarcoma de Ewing es la presencia de islotes condroides en el tejido (9).
El planeamiento y ejecución adecuada de la biopsia para establecer el diagnóstico son cruciales. Una biopsia inadecuada puede llevar a un diagnóstico erróneo, con consecuencias desastrosas para el paciente.
CASO CLÍNICO
Se trató de paciente femenina de 25 años de edad quien inició enfermedad actual en el año 2007, presentando aumento de volumen y dolor de leve intensidad en región de la nuca. Paciente asintomática con tumor palpable de aproximadamente 10 cm x 10 cm, en base del cráneo extendiéndose a región latero-cervical derecha (Figura. 1).

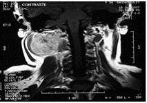
or este motivo se le realizó estudios imaginológicos como resonancia magnética nuclear (RMN) identificándose lesión ocupante de espacio (LOE) de bordes regulares que mide 10 cm x 6 cm, ubicado en región cervical profunda posterior y lateral derecha desde la base del cráneo hasta C3, de bordes regulares hiperintensa, con compresión de estructuras vasculonerviosas, pudiendo corresponder a un proceso sarcomatoso, sin descartar otro proceso de tipo neurofibroma (Figura 2).
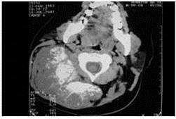
Posteriormente se le realizó tomografía axial computarizada (TAC) de cráneo que concluye: lesión tumoral de densidad mixta con zonas de densidad de partes blandas y calcificaciones de 10 cm x 7 cm en región occipital derecha. En TAC de cuello se evidencia: LOE en partes blandas de región cervical posterior derecha con extensión a región occipital en relación con diagnóstico conocido de la paciente de condrosarcoma (Figura 3).


HALLAZGOS HISTOLÓGICOS
Se le realizó biopsia con aguja gruesa, evaluando cortes histológicos de 2µ, coloreados con hematoxilina y eosina, observándose neoplasia conformada predominantemente por células redondas pequeñas de núcleos redondos hipercrómicos sin nucleolos evidenciables y escaso citoplasma indiscernible, las células se disponen difusamente o separadas por abundantes vasos de aspecto hemangiopericítico, adicionalmente se observa alternando área con mayor densidad con otras de menor densidad en las cuales se identifica un material homogéneo anfófilo irregular, en un extremo se observa una matriz cartilaginosa hialina con focos de condorcitos maduros, calcificaciones irregulares y osificación endocondral, concluyendo: neoplasia maligna de células redondas compatible con condrosarcoma mesenquimático de región de la nuca. (Figura 4, 5, 6, 7).

HALLAZGOS INMUNOHISTOQUÍMICOS
Mediante el método de avidina-estreptavidina, y utilizando el método de recuperación de antígenos se realizó la investigación de vicentina, EMA, Fly 1, CD 34, sinaptofisina, enolasa, CD99, QAE1/AE3. Se observó inmunomarcaje en las células neoplásicas con S-100, focalmente con vimentina y CD99 concluyendo diagnóstico: tumor en región cervical: condrosarcoma mesenquimal. Lo que confirma el diagnóstico histológico realizado previamente.
TRATAMIENTO QUIRÚRGICO
Previo al tratamiento quirúrgico se observó en angiografía de cráneo: LOE de partes blandas de región cervical derecha con extensión a región occipital irrigado superiormente por ramas de la arteria occipital e inferiormente por una rama de la arteria subclavia que podría tratarse del tronco costo cervical (Figura 8).

El tratamiento fue basado en la resección quirúrgica, practicando resección marginal por la extensión del tumor adherido a la apófisis de vértebras cervicales C1, C2 y C3 (Figura 9).

DISCUSIÓN
El condrosarcoma mesenquimático es un tumor raro con publicaciones poco frecuentes y más aún si se trata del tipo extraesquelético (10, 11), presentándose en un alto porcentaje de tipo esquelético, tal como fue descrito en una revisión de 111 casos, de los cuales 72 de los tumores ocurrieron en sitios esqueléticos, y de éstos 22 afectaron los huesos craneofaciales, y solo 39 tumores fueron extraesqueléticos (11,12,13,14,15,16) (Error 1: La referencia debe estar ligada) (Error 2: El tipo de referencia es un elemento obligatorio) (Error 3: No existe una url relacionada), demostrándose así que la localización de los condrosarcoma mesenquimáticos es frecuente en cabeza y cuello, como fue descrito en este caso clínico.
La histología consiste generalmente en un patrón bimórfico compuesto por una proliferación de células fusiformes o redondas indiferenciadas, con nidos de diferenciación cartilaginosa hialina (12,13,14).
Estas células redondas pequeñas indiferenciadas asumen una gran cantidad de tumores correspondiendo al diagnóstico diferencial de ésta neoplasia que varía según la edad, la localización y el estudio inmunohistoquímico.
Dentro del grupo de tumores de células redondas pequeñas según el grupo etáreo se encuentran en infantes: sarcoma de Ewing/ PNET, neuroblastoma periférico (tipo clásico), rabdomiosarcoma, tumor desmoplásico, linfomas no Hodgkin, leucemias, osteosarcoma y condrosarcoma mesenquimático (17).
En los adultos los tumores de células redondas pudieran corresponder a carcinoma de células pequeñas azules (indiferenciado neuroendodérmico), linfomas de células grandes, carcinoma neuroendocrino cutáneo, melanoma de células pequeñas, sarcoma granulocítico, entre otros (17).
De todos los tumores de células redondas existentes, el diagnóstico diferencial de condrosarcoma mesenquimático incluye: condrosarcoma mixoide, hemangiopericitoma, sarcoma de Ewing/PNET, neuroblastoma, rabdomiosarcoma embrionario, linfomas, cordoma condroide, sarcoma sinovial, osteosarcoma, sarcoma granulocítico, entre otros (18).
Debido a esta variedad de diagnósticos diferenciales con similitud histológica entre ellos, la inmunohistoquímica se hace necesaria para establecer con precisión el diagnóstico anatomopatológico en los tumores malignos de células redondas (TMCR) es importante por las implicaciones en la clínica, terapéutica, y pronóstico de los pacientes con estas neoplasias. La necesidad de combinar en lo posible el estudio ultra estructural e inmunohistoquímico de los TMCR ha sido enfatizada por algunos investigadores (18).
En los tumores condrosarcomas mesenquimáticos extraesquelético los focos de diferenciación condroblástica muestran positividad para S100 y las células primitivas mesenquimales muestran positividad para enolasa neurona específica y vimentina. Los avances de la inmunohistoquímica relacionados con la recuperación antigénica por el calor, han transformado esta metodología en el arma más poderosa con la que cuenta el patólogo para el diagnóstico de las neoplasias (19).
Lo más importante es el hallazgo de que estos tumores de tipo condrosarcomas presentan traslocaciones cromosómicas (11; 22) lo cual lo sitúa en el grupo de tumores PNET, con una familia muy relacionada con el sarcoma de Ewing, sin embargo, el condrosarcoma mesenquimal es una neoplasia muy maligna, siendo frecuente las recidivas y metástasis a distancia las cuales pueden producirse después de 20 años (1).
El tratamiento es quirúrgico, en numerosos casos no se logra una resección radical, lo cual es causa de recidivas. Los condrosarcomas son resistentes a la radioterapia y la quimioterapia no es eficaz. Las metástasis hematógenas se producen raramente y los pacientes fallecen más frecuentemente como resultado del crecimiento penetrante de un tumor recurrente (19).
Referencias
1. Dorfman HD, Czerniak BI, editores. Bone tumors. San Luis: Mosby;1998.
2. Rozeman LB, Hogendoorn PCW, Bovée J. Diagnosis and prognosis of chondrosarcoma of bone. Espert Ver Mol Diagn. 2002;2:461-472.
3. Sandberg AA. Genetics of chondrosarcoma and related tumors. Curr Opin Oncol. 2004;16:342-354.
4. Huvos AG, Rosen G. Dabska M, Marcove R. Mesenchymal chondrosarcoma: A clinic pathologic, analysis of 35 patients with emphasis on treatment. Cancer. 1983;51:1230 -1237.
5. Schajowicz F. Tumors and tumor like lesions of bone and joints. Nueva York: Springer-Verlag; 1981.
6. Springfield D, Simon M. Surgery for bone and soft tissue tumors. Filadelfia: Lippincott Raven; 1998.
7. Spjut HJ, Dorfman HD, Fechner RE, Ackerman L. Tumors of Bone and Cartilage. Armed Forces Institute of Pathology. Washington, DC: Universities Associated for Research and Education in Pathology Inc. Paper; 2002.p.454-484
8. Fletcher C. Diagnostic histopathology of tumors. 2a edición. EE.UU: Elsevier Health Sciences;2000.
9. Salvador AH, Babout JW, Dahlin DC. Mesenchymal chondrosarcoma: Observations on 30 new cases. Cancer. 1971;28:605-615.
10. Vencio EF, Reeve CM, Unni K, Nascimento AG. Mesenchymal condrosarcoma of the jaw bones. Cancer. 1988;82:2350-2355.
11. Chidambaram A, Sanville P. Mesenchymal condrosarcoma of the maxilla. J Laryngol Otol. 2000;114:536-539.
12. Swanson PE, Lillemoe Tj, Manivel JC, Wick MR. Mesenchymal condrosarcoma: An immunohistochemically study. Arch Pathol Lab Med. 1990;114:943-948.
13. Kempson RL, Evans HL, Hendrickson MR. Atlas of tumor pathology, AFIP. EE.UU: American Registry of Pathology;1998.
14. Harwood AR, Krajbich JI, Fornasier VL. Mesenchymal chondrosarcoma: A report of 17 cases. Clin Orthop Relat Res. 1981;158:144-148.
15. García TJ, Hernández C. Diagnóstico inmunohistoquímico de los tumores malignos de células redondas. Laboratorio de Patología Molecular Novapth 2007. Disponible en: URL: http://odont.info/jorge-garca-tamayo-y-cathy-hernndez.html.
16. Torres F, Gómez P, Fernández MP, Díaz VA. Condrosarcoma mesenquimal extraesquelético. Descripción de un caso. Revista Española de Patología. 2010;43(2):107-110.
17. Gerald WL, Miller HK, Battifora H, Miettinen M, Silva EG, Rosai J. Intra-abdominal desmoplastic small round-cell tumor. Report of 19 cases of a distinctive type of high-grade polyphenotypic malignancy affecting young individuals. Am J Surg Pathol. 1991;15:499-513.
18. Tien N, Chaisuparat R, Fernandes R, Sarlani E, Papadimitriou JC, Ord RA, et al. Mesenchymal chondrosarcoma of the maxilla: Case report and literature review. J Oral Maxillofac Surg. 2007;65:1260-1266.
19. Tuncer S, Kebudi R, Peksayar G, Demiryont M, Cizmeci O, Ayan I, et al. Congenital mesenchymal chondrosarcoma of the orbit: Case report and review of the literature. Ophthalmology. 2004;111:1016-1022.
Notas de autor
anvifegu@gmail.com.