METÁSTASIS SOLITARIA INTRAPARENQUIMATOSA DEL BAZO. ESTUDIO CLÍNICO PATOLÓGICO E INMUNOHISTOQUÍMICO
METÁSTASIS SOLITARIA INTRAPARENQUIMATOSA DEL BAZO. ESTUDIO CLÍNICO PATOLÓGICO E INMUNOHISTOQUÍMICO
Revista Venezolana de Oncología, vol. 31, núm. 1, pp. 34-39, 2019
Sociedad Venezolana de Oncología

Recepción: 25 Mayo 2018
Revisado: 16 Agosto 2018
Aprobación: 15 Octubre 2018
Resumen: Las metástasis esplénicas intra-parenquimatosas de tumores sólidos son tumores muy raros, y si se trata de nódulos únicos, son excepcionales. Presentamos dos casos de metástasis intra-parenquimatosas. El primer caso se trató de una mujer de 66 años con antecedentes de una adenocarcinoma endometrial. El segundo caso se trató de un paciente de sexo masculino con antecedente de un adenocarcinoma prostático, quien se presentó con un adenocarcinoma mucinoso en el bazo, como segunda neoplasia. También realizamos una revisión de los registros de biopsias de 14 años, del servicio de anatomía patológica del instituto.
Palabras clave: Bazo, metástasis, adenocarcinoma, solitaria.
Abstract: The spleen parenchymal metastasis of the solid tumors, are very rare, but the isolated metastasis to the spleen are considered exceptional. We herein present two cases of the isolated splenic metastases. The first case was a female a 66 year old female with a diagnosis endometrial adenocarcinoma. The second cases was a 71 years old male, with a history of a prostatic adenocarcinoma, and a spleen metastasis of a mucinous adenocarcinoma, as a second malignancy. We also made a review of 14 years, biopsies records from the pathology service, of the institute.
Keywords: Spleen, metastasis, adenocarcinoma, isolated.
INTRODUCCIÓN
Las metástasis solitarias al bazo, son neoplasias raras. Se presentan dentro de la diseminación metastásica de un tumor intra-abdominal o forman parte de la diseminación intraperitoneal de una neoplasia maligna. A pesar que las metástasis al bazo son muy raras, es mucho más frecuentemente observarlas como lesiones múltiples, consecuencia de la diseminación a través de los vasos linfáticos, responsables de las metástasis capsulares, en casos de carcinomatosis intraperitoneal (1,2). En los últimos años, se ha observado un incremento en el diagnóstico de metástasis en bazo. Esto se podría explicar, por la mejoría de la sensibilidad de los métodos diagnósticos imaginológicos (3).
MÉTODO
Realizamos una revisión de todas las biopsias de bazo estudiadas en el servicio de anatomía patológica del IOMPC desde el año 2001 hasta el año 2015.
RESULTADOS
Se estudiaron un total de 23 biopsias de bazo en el servicio de anatomía patológica del IOMPC desde el año 2001 al 2014 (Figura 1). La distribución por sexo fue ligeramente superior en el sexo femenino 12 (52,1 %) pacientes. El promedio de edad fue de 54,2 con un rango de 12 y 79 años. Veintidós casos correspondieron a esplenectomías realizadas por el servicio de tumores mixtos y una revisión de una biopsia extra hospitalaria (Cuadro 1). De las 23 biopsias, 6 fueron lesiones neoplásicas de estas 3 fueron neoplasias linfohematopoyéticas, un caso correspondió a micrometástasis sub-capsulares por un carcinoma adenoescamoso de ovario, originario de un teratoma malignizado y dos casos fueron metástasis únicas intra-parenquimatosas. De los 18 casos no neoplásicos operados en el IOMPC, 6 correspondieron a trauma quirúrgico durante nefrectomías neoplásicas, el resto fueron esplenectomías en el protocolo de cirugías por neoplasias gástricas y pancreáticas Presentamos a continuación los dos casos.


CASO 1
Se trató de una paciente femenina de 66 años de edad, con antecedente de un adenocarcinoma de endometrio (variedad endometroide, grado histológico II, estadio II clínico según FIGO 1971 (4) quien recibió tratamiento con radioterapia (extra hospitalaria) preoperatoria y posteriormente se le realizó protocolo de endometrio en el año 2010 (extra hospitalario). En marzo de 2012 presentó un dolor localizado en hipocondrio izquierdo, de moderada intensidad. Se le realizó un ecosonograma abdominal, identificando un bazo de 12,5 cm con imagen quística anecoica ovalada de 5,6 cm x 5,9 cm x 9,1 cm. Como antecedente de importancia, la paciente refería un traumatismo abdominal cerrado dos meses previos. Al dolor se le sumó fiebre y anemia persistente. Un nuevo estudio ecosonográfico abdomino pélvico del 30/10/13, demostró un aumento del tamaño del bazo (14,6 cm) con imagen anecoica de bordes bien definidos, sin señal doppler, de 8,92 cm x 9,55 cm x 12,65 cm. En la TAC abdomino pélvica del 02/11/2013, se observó un bazo de 17 cm con una masa quístico de 13 cm x 11 cm de diámetro, de contornos irregulares en el polo superior. Se le realizó esplenectomía extra hospitalaria, en diciembre de 2013, identificándose bazo aumentado de tamaño, de aspecto neoplásico, con infiltración al diafragma. Al corte se observó una lesión heterogénea, con áreas de necrosis y hemorragia, así como crecimiento infiltrativo, que ocupaba casi todo el parénquima esplénico (Figura 2). Los cortes histológicos mostraron una neoplasia constituida por células epiteliales con pleomorfismo marcado, muchas de ellas en forma de tachuelas, con núcleos vesiculosos, irregulares, de cromatina densa, en las cuales se identificaban algunos nucléolos. Se disponían en nidos sólidos, o en esbozos de estructuras glandulares, alternando con extensas áreas de necrosis e inmersas en una cavidad quística con hemorragia extensa. El índice mitótico fue de 6 mitosis por campo de máximo aumento y focos de diferenciación escamosa. Las células mostraban una fuerte expresión de WT1, PAX 8, y focalmente receptor de estrógenos y vimentina. El diagnóstico fue de un adenocarcinoma seroso papilar poco diferenciado con focos extensos de diferenciación escamosa (D14-098).

CASO 2
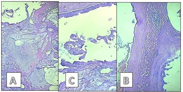
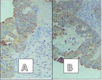
Se trató de paciente masculino de 71 años de edad, con antecedentes de adenocarcinoma de próstata, estadio III, en tratamiento con bloqueo hormonal total, desde el año 2009. En una TAC abdominal el 21/05/10, presentó una lesión quística en el bazo. Se le realizó una laparotomía exploradora, extra hospitalaria el 17/03/10 con el hallazgo de un tumor en el bazo de 20 cm x 15 cm con infiltración de la curvatura mayor gástrica, epiplón mayor y diafragma. El bazo mostraba una lesión neoplásica que sustituía casi todo el parénquima esplénico, conformada por grandes cavidades quísticas, dilatadas, llenas de material mucoide. El estudio histológico reveló, cavidades de paredes delgadas con material mucoide anfófilo en su interior. Estaban revestidas por una capa simple o focalmente estratificada, de células cilíndricas, con escasa variabilidad de tamaño y forma celular, con núcleos basales hipercrómicos (Figura 3). Se observó muy escaso parénquima esplénico residual, con dilatación sinusoidal y congestión. Los estudios inmunohistoquímicos demostraron fuerte positividad para la citoqueratina 20, citoqueratina 7, CEA y CDX2 (Figura 4). Se demostró negatividad para la vimentina, CAPM, CBPM. El diagnóstico definitivo fue de adenocarcinoma mucinoso de primario desconocido, probable neoplasia de origen colónica o páncreas. El líquido peritoneal fue positivo para adenocarcinoma metastásico. Realizamos una revisión de la biopsia por punción de próstata, identificando un adenocarcinoma de tipo acinar con un Gleasson combinado 6 (3+3) (Figura 5). El 24/08/11 se le realizó una TAC describiendo un tumor en ciego, una lesión en vesícula biliar y una lesión osteoblástica en la sínfisis púbica. La endoscopia digestiva superior demostró dos lesiones con obstrucción del 45 % de la luz duodenal. El estudio histológico realizado fuera del hospital (B-3454-09) del material remitido como “tumor de ciego”, fue de colitis severa, la biopsia gástrica, una gastritis crónica, sin neoplasia y un pólipo de recto que correspondió a un adenoma tubular fragmentado. No hay evidencia de biopsia duodenal. Al paciente se le realizó prostatectomía con el diagnóstico de hiperplasia prostática sin evidencia de neoplasia (todos estos procedimientos extra hospitalarios). Posteriormente el paciente ingreso al Hospital Universitario “Angel Larralde” de la ciudad de Valencia, el 19/04/12, por presentar vómitos posprandiales incontables y deterioro del estado general. Le realizaron una endoscopia digestiva superior con el hallazgo de una neoplasia de duodeno vs., un tumor infiltrante de cabeza de páncreas. El paciente fue egresado el 10/05/12, sin acudir a sus controles posteriores en ninguno de los hospitales.



DISCUSIÓN
La cirugía de bazo, es una cirugía relativamente común, asociada en los hospitales generales con traumatismos abdominales. La afectación neoplásica del bazo, por lesiones diferentes de neoplasias hematolinfoides, son muy raras, con una incidencia descrita en la literatura de 0,6 % a 1,1 % (4,5). Se estima que los factores que previenen el bazo de la diseminación metastásica de neoplasias son, la presencia de muy pocos vasos linfáticos aferentes, el ángulo agudo de la arteria esplénica y finalmente condiciones micro- ambientales del parénquima esplénico (6). Cuando el bazo es asiento de metástasis, estas son de tipo multiviscerales por tumores malignos intra-abdominales. Las metástasis únicas, sólidas o parenquimatosas, son bastante excepcionales (3). En la literatura mundial, las lesiones más frecuentes asociadas con metástasis univiscerales al bazo son de origen ginecológico (ovario/endometrio) como el primer caso presentado aquí y colorrectal (5,6,7). En el segundo paciente, quien tuvo un manejo predominante extra institucional, los hallazgos endoscópicos en concomitancia con los inmunohistoquímicos sugieren un probable origen pancreático. En general, las metástasis al bazo se presentan posteriores a un largo período de latencia después del tratamiento primario. En el primer caso la paciente tuvo un período de latencia de algunos años, antes de presentar síntomas, los cuales se produjeron en el contexto de un trauma abdominal, por lo que simularon una hemorragia intra-parenquimatosa. La evolución del segundo paciente fue un poco más compleja, se trató de un paciente con un antecedente de un adenocarcinoma prostático, a quien en el transcurso de sus controles se identificó una lesión esplénica. La neoplasia del bazo, histológicamente corresponde a una neoplasia diferente, es decir, en este caso, el tumor de bazo correspondió a un segundo primario de probable origen pancreático. Desafortunadamente, el manejo del paciente fue extra hospitalario y no pudimos confirmar el diagnóstico definitivo.
AGRADECIMIENTOS
Dra. Magally Gutiérrez, del laboratorio de Anatomía Patológica del Centro Médico Guerra Méndez de la ciudad de Valencia Estado Carabobo, por facilitar la fotografía macroscópica del caso nº 1.
REFERENCIAS
1. Lam KY, Tang V. Metastatic tumors to the spleen: A 25 year clinic pathologic study. Arch Pathol Lab Med. 2000;124:526-530.
2. Yi-Ping Zhu, Yi-Ping Mou, Jun-Jun Ni, Yu-Cheng Zhou, Jin-Wei Jiang, Zhi-Nong, et al. Splenic metastases from gastric carcinoma: A case report and literature review. World J Gastroenterol. 2013;19(31):5199-5203.
3. Opocher E, Santambrogio R, Bianchi P, Cioffi U, De Simone M, Vellini S, et al. Isolated splenic metastasis from gastric carcinoma: Value of CEA CA 199 in early diagnosis: Report of two cases. Am J Clin Oncol. 2000;23:579-580.
4. Edge SB, Compton CC. The American Joint Committee on Cancer: The 7th edition of the AJCC cancer staging manual and the future of TNM. Ann Surg Oncol. 2010;17:1471-1474.
5. Compérat E, BardierDupas A, Camparo P, Capron F, Charlotte F. Splenic metastases: Clinic pathologic presentation, differential diagnosis, and pathogenesis. Arch Pathol Lab Med. 2007;131:965-969.
6. Chiang A, Massagué J. Molecular basis of metastasis. N Engl J Med. 2008;359:2814-2823.
7. Takase Y, Tomizawa N, Enokida Y, Shiraishi T, Katoh R, Suto Y, et al. A case of splenic metastasis of ovarian cancer treated with complete laparoscopic splenectomy and transvaginal specimen extraction. Surg Case Rep. 2016;2(1):26.
Notas de autor
veroinmuno@gmail.com