HEMANGIOPERICITOMA PRIMARIO DE PULMÓN COMO HALLAZGO INCIDENTAL. REPORTE DE DOS CASOS
HEMANGIOPERICITOMA PRIMARIO DE PULMÓN COMO HALLAZGO INCIDENTAL. REPORTE DE DOS CASOS
Revista Venezolana de Oncología, vol. 31, núm. 1, pp. 40-49, 2019
Sociedad Venezolana de Oncología

Recepción: 21 Diciembre 2017
Revisado: 23 Marzo 2018
Aprobación: 22 Julio 2018
Resumen: El hemangiopericitoma intra-pulmonar es una neoplasia poco frecuente, que se origina a partir de lo pericitos que rodean la membrana basal de capilares y vénulas dentro del parénquima pulmonar. OBJETIVO: Presentar dos casos clínicos como hallazgo incidental en su presentación conocer comportamiento y manejo de dicha neoplasia. CASOS CLÍNICOS: Paciente masculino 40 años cuadro clínico caracterizado por tos seca persistente, cansancio con dificultad para respirar con progresión a disnea rápida a pequeños esfuerzo y pérdida de peso. Paciente femenina de 37 años cuadro clínico caracterizado por dolor torácico tipo opresivo en región latero posterior de hemitórax derecho, con irradiación al hombro, radiografía de tórax póstero-anterior, se descubrió múltiples imágenes nodulares parenquimatosas bilaterales a nivel central y sub-pleural. Segundo paciente se realiza radiografía de tórax póstero-anterior se observa patrón de masa tumoral localizada en el centro del pulmón derecho, las cuales fueron confirmadas por tomografía computada de tórax. Se procedió a la recesión quirúrgica de dicha lesión para biopsia, mientras que en la paciente femenina la conducta fue más radical se practicó neumonectomía derecha. Evolucionan satisfactoriamente. Reporte de biopsia y de inmunohistoquímica: Hemangiopericitoma primario de pulmón/tumor fibroso solitario. Ambos pacientes fueron referidos al servicio de oncología médica para terapia adyuvante. DISCUSIÓN: Tumor poco frecuente, su patogénesis es todavía desconocida y aunque es un tumor en apariencia y comportamiento benigno, debe tratarse como potencialmente maligno, se debe ser radical en el tratamiento y realizar un seguimiento cuidadoso, continuo y estricto del paciente.
Palabras clave: Hemangiopericitoma, primario, pulmón, neoplasia, maligno.
Abstract: Intrapulmonary hemangiopericitoma potentially is a rare malignancy, which originates from the pericytes that surround the basal membrane of the capillaries and venules in lung parenchyma. OBJECTIVE: The aim is to present two cases as an incidental finding in its presentation and also know the behavior and management of this neoplasm. CLINICAL CASES: A male patient of 40 years with clinical picture characterized by persistent dry cough, fatigue with shortness of breath with rapid progression to small effort dyspnea and weight loss and a female patient aged 37 clinical picture characterized by chest pain oppressive kind in lateral region posterior right chest, radiating to the shoulder in the chest film, multiple nodular parenchymal bilateral central and sub-pleural. The second patient so poster anterior chest radiograph where a pattern of tumor mass located in the center of the right lung, which was confirmed by computed tomography of the chest, is observed is performed. In the patient he proceeded to the surgical recession of the injury to biopsy, while in the female patient's behavior was more radical right pneumonectomy was practical. They are evolving satisfactorily. Report biopsy and immunohistochemistry for primary lung: Hemangiopericitoma / SFT. Both patients were referred to medical oncology service for adjuvant therapy. CONCLUSION: Is a rare tumor, its pathogenesis is still unknown and although a tumor in appearance and benign behavior, should be treated as malignant potential, must be radical in treatment and careful monitoring, continuous and strict patient.
Keywords: Hemangiopericitoma, primary, lung, tumor, malignant.
INTRODUCCIÓN
El pulmón puede ser asiento de tumores benignos y malignos, estos últimos a su vez pueden ser metastásicos o primarios (1). Los tumores pulmonares primarios son muy poco frecuentes y la proporción entre estos, las metástasis pulmonares y otras lesiones no neoplásicas es de 1:5:60 (1). La mayoría de las neoplasias primarias malignas de pulmón son de origen epitelial y solo el 2 % a 5 % mesenquimal, y otras neoplasias diversas, como lo son los sarcomas, especialmente cuando no son metastásicos y su origen es pulmonar (2). Por ellos que el gran número son de estirpe maligna (1,2,3) y debido a su rareza no se suele incluir en el diagnóstico diferencial de las masas pulmonares. Los tumores primarios de origen mesenquimatoso del pulmón representan un hallazgo poco común dentro de la práctica médica habitual. Los tumores de tipo hemangiopericítico son poco frecuentes, siendo catalogado como un sarcoma del tejido peri-vascular. El hemangiopericitoma (HPC), es una neoplasia vascular infrecuente, descrita por Stolut A y Murray M en 1942 (2,3). Es un tumor de tejido blando que es considerado de origen pericítico y la tendencia actual es clasificarlo como un tumor fibroso solitario de origen fibroblástico, aunque la Organización Mundial de la Salud (OMS) (4), lo continúa clasificando como hemangiopericitoma/tumor fibroso solitario. El argumento principal para abandonar éste término es que los criterios diagnósticos tanto morfológicos como inmunohistoquímico, carecen de especificidad; por tal motivo la tendencia es llamarlo: tumor fibroso solitario- variante celular.
El hemangiopericitoma es una neoplasia mesenquimal extremadamente rara, que representa el 1 % de los tumores vasculares. Este se produce con mayor frecuencia en la piel, los tejidos blandos subcutáneos, músculos de las extremidades, retro-peritoneo, pero rara vez en los pulmones, tráquea o el mediastino, sobre lo que existen muy pocas referencias en la literatura (4). Sus bases pato-genéticas, se han evaluado por técnicas citogenéticas, de modo que son similares a los observados en el tumor fibroso solitario-tumor de tejidos blandos de origen incierto y se asocia con múltiples aberraciones cromosómicas y la presencia de puntos de ruptura en cromosoma 12q-15, 8 y 12q-15, 8 y 9. Así pues, muchos tumores anteriormente documentados como hemangiopericitomas actualmente podrían corresponder a tumor fibroso solitario (3,4). Es un tumor de células mesenquimatosas primitivas de localización ubicua, que rodean al endotelio tanto de las arteriolas, como de los capilares y vénulas, con capacidad contráctil sobre estos (1,2,3,4).Puede aparecer en cualquier parte del organismo, su pico de incidencia está en un rango de edad de presentación muy amplia, suele ocurrir entre la 4ª y 5ª década de la vida, más en adultos jóvenes (con una media de 45 años), al igual no tiene una mayor prevalencia en ninguno de los dos sexos (5).
El hemangiopericitoma primario de pulmón, se origina de los pericitos que rodean a la membrana basal de los capilares y vénulas pequeñas dentro del parénquima pulmonar, caracteriza por ser un tumor de lento crecimiento sin predilección por ningún lóbulo en particular, usualmente pueden estar localizado en el centro del pulmón y se extienden periféricamente formando nódulos o masas que se aprecian radiológicamente y que exhiben un potencial biológico de malignidad variable e impredecible. Este tipo de neoplasia no tiene características clínicas o radiológicas uniformes, por lo general se presenta como una masa intra-torácica solitaria asintomática o con signos y los síntomas clínicos que suelen ser insidiosos, debido a que como se trata de masas de crecimiento lento, indoloras y con ligeras molestias, debido a la presión que ejerce la masa tumoral sobre los órganos adyacentes, que pueden producir síntomas y signos caracterizados por tos, dolor, hemoptisis, sudoración nocturna, disnea y síndrome de la vena cava superior (6).
Para realizar el diagnóstico los hallazgos imaginológicos están limitados a signos de compresión y desplazamiento. En tumores de larga evolución aparecen calcificaciones. El ultrasonido (UDS), la Tomografía Computarizada (TC) y las arteriografías son armas disponibles en casos necesarios. El comportamiento histopatológico de estos tumores están bien delimitados en su interior se establece la naturaleza pericítica, células abundantes con núcleo oval, citoplasma pálido, mitocondrias ovales, pocos ribosomas y microfilamentos así como vesículas pinocíticas y desmosomas raros y poco desarrollados. Estas células rodean canales vasculares de paredes finas con una capa de endotelio. Microscópicamente el hemangiopericitoma maligno se diferencia por su rápido crecimiento cuatro o más figuras mitóticas por 10 campos, tamaño tumoral de más de 3 cm a 7 cm y focos de necrosis y hemorragia y anaplasia celular es indicativo de malignidad, este comportamiento de malignidad es hasta en un 23 % de los casos, principalmente en los de localización extra-torácica.
En la inmunohistoquímica, los marcadores que se expresan frecuentemente son: CD34 (positivo 44 %-95 %), CD99 (Positivo en 64 %-91 %) y bcl2 (positivo 50 %). Por otro lado la actina de músculo liso, desmina, citoqueratinas, proteína S100 y CD31 están usualmente negativos (5,6,7).
Dentro de los diagnósticos diferenciales se encuentran: hemangiopericitoma lipomatoso, fibromixolipoma dendrítico, angiofibroma de células grandes, entre otros (8, 9,10). El tratamiento indicado de elección es la escisión quirúrgica amplia, manteniendo márgenes quirúrgicos negativos, porque es el principal factor pronóstico para recurrencia, la recurrencia local posoperatoria es hasta de 50 %, el hemangiopericitoma es un tumor radio-sensible (11,12), por lo que se debe realizar un seguimiento estricto y a pesar de que no hay consenso ni claridad de su eficacia, la utilización de radioterapia o quimioterapia adyuvante posoperatoria ha sido recomendado para la reducción de la recurrencias, muchos las consideran casi ineficaz (13,14,15).
Presentamos un hemangiopericitoma primario de pulmón en dos pacientes. Mostramos los hallazgos radiológicos y tomográficos, su anatomía patológica, la conducta médica y revisamos la literatura.
CASO CLÍNICO 1
Paciente masculino de 40 años de edad, no fumador, natural y procedente del área rural del Municipio Baralt (Venezuela), cuyo único antecedente epidemiológico relevante es ser obrero de una planta de asfalto. Hasta el inicio de la enfermedad era un paciente conocido sano y sin antecedentes heredo-familiares de importancia. Acude a la consulta, por presentar cuadro clínico de dos meses de evolución, caracterizado por tos no productiva persistente, cansancio con dificultad para respirar y pérdida de peso 10 kg aproximadamente, dicho cuadro clínico se exacerbó con disnea de progresión rápida a pequeños esfuerzos.
A la exploración física el paciente se presenta en regulares condiciones generales, palidez cutánea mucosa moderada, taquicárdico, taquipneico. A la auscultación disminución del murmullo vesicular en el campo pulmonar izquierdo sin ruidos agregados, el resto de la exploración clínica se encontró dentro de límites normales. Por lo que se le diagnosticó como un cuadro de neumopatía aguda tipo bronquítica, por lo cual recibe tratamiento sin obtener mejoría clínica. Frente a una neumopatía sin respuesta al tratamiento se procede a practicar exámenes de laboratorio e imágenes.
Las determinaciones analíticas, como hemograma, coagulación, bioquímica sérica, orina, proteograma, velocidad de sedimentación globular, deshidrogenasa láctica, fosfatasas alcalinas. Se efectuaron marcadores tumorales (alfafetoproteína, gonadotropina coriónica y, CA 125 y CA 19-9), que fueron normales.
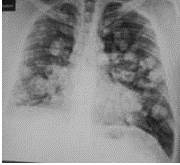
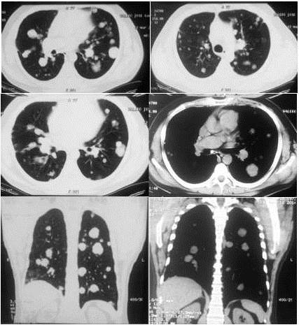
En vista de los hallazgos y la persistencia de cuadro clínico, se practica radiografía de tórax observándose en la proyección póstero-anterior (PA) múltiples nódulos pulmonares bilaterales a nivel central y sub-pleural, con broncograma aéreo, con áreas de opacidad en vidrio esmerilado (Figura1). Para completar el estudio se decide realizar una tomografía computarizada de tórax con tomógrafo BRIGHT SPEED ®de 16 detectores sin la administración de contraste intravenoso. En la ventana pulmonar se evidencia múltiples imágenes nodulares a nivel central y sub-pleural bilateral con tamaños que oscilan entre 0,6 cm y 3,1 cm, con valores de atenuación entre 23-43 UH. Se aprecia un aumento en la atenuación pulmonar con broncograma aéreo, asimismo, opacidades en vidrio esmerilado periférico bilateral, engrosamiento septos inter-lobulillares a predominio basal (Figura 2). No se observan ganglios hiliares o mediastínicos aumentados de tamaño para ser considerados patológicos desde el punto de vista tomográfico, asimismo, no se observó derrame pleural.


Se procede a realizar toracotomía póstero lateral izquierda a través de 5° espacio intercostal, con resección quirúrgica de un segmento de pulmón izquierdo que mide 5 cm x 3 cm x 2 cm, aproximadamente contentiva de dos lesiones de tipo nodular, de superficie externa lisa con áreas rojo-vinosas intercambiándose con áreas blanco-amarillentas con neo-formación vascular fina, la cual se encuentra en continuidad con pleura.

La muestra es enviada al servicio de anatomía patológica quien reporta al examen macroscópico: tejido pulmonar de 6 cm x 4 cm x 3 cm, de color rojo vinoso de superficie
lisa con trayectos vasculares finos, con dos formaciones nodulares que miden 0,9 cm y 0,7 cm respectivamente, blanco amarillentos de consistencia firme. Mientras que el examen histológico a la tinción con hematoxilina-eosina y tricrómico de Masson reveló: tres nódulos tumorales, constituidos por neoplasia de origen mesenquimal, con presencia de abundantes vasos sanguíneos de diferentes tamaños y formas ramificados con un patrón de “asta de ciervo”, los cuales están rodeados por células redondeadas alternando con escasas fusiformes con pérdida de la relación núcleo-plasmático con ausencia de mitosis y necrosis tumoral. Asimismo, en amplias zonas de la neoplasia, se observan fascículos fibrosos mal definidos, los cuales son tricrómico de Masson positivo.
Se realizó estudio de inmunohistoquímica, mediante técnica de avidina-estreptavidina y utilizando el método de recuperación de antígeno se realizó la investigación de VIM, CD99, HHF-35, Fli-1 y CD34. El estudio con inmunohistoquímica demostró reactividad positiva en las células tumorales con VIM, HHF-35, Fli-1 (Figura 4). Estos hallazgos, junto con el patrón determinado en las técnicas tinción con hematoxilina-eosina y tricrómico de Masson, el carácter pericítico de la neoplasia, como un hemangiopericitoma primario de pulmón.

El posoperatorio trascurrió sin complicaciones y el paciente fue dado de alta a las 72 h después de retirar la sonda torácica. Como se ha reportado en la literatura consultada, el tratamiento de elección de este tipo de tumor es la cirugía radical y luego el seguimiento. En este caso no fue posible la extirpación radical de las lesiones debido al gran compromiso bilateral en el parénquima pulmonar, por lo que el paciente es referido al servicio de oncología médica, quien decide indicar esquema de poliquimioterapia posoperatoria coadyuvante con los siguientes agentes citostáticos: ciclofosfamida, adriamicina y vincristina, cada 4 semanas por seis meses. Asimismo, recibió treinta y tres secciones de radioterapia.
CASO CLÍNICO 2
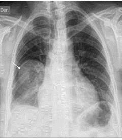
Paciente femenina de 37 años de edad, fumadora ocasional, con antecedentes de valvulopatía cardíaca corregida quirúrgicamente en la niñez, actualmente conocida sana. Acude a la consulta, por presentar cuadro clínico de un mes de evolución, caracterizado por dolor torácico tipo opresivo en región latero posterior de hemitórax derecho, con irradiación al hombro, por lo que acude a la consulta de neurocirugía, en donde es valorada diagnosticándole una dorsalgia funcional por estrés laboral por lo cual se le realiza un bloqueo analgésico intercostal sin obtener mejoría, por lo que es revalorado el caso y se plantea practicar un bloqueo radicular selectivo (BRS) con control radiológico, en quirófano con sedación consciente. Por lo que se realiza radiografía de tórax póstero-anterior donde se observa un patrón de masa tumoral localizada en el centro del pulmón derecho y se extienden periféricamente, homogénea de bordes bien definidos, con distribución lobar (lóbulo inferior derecho) sub-pleural, asociada a la pérdida de volumen (Figura 5). Motivo por el cual es referida a la consulta de cirugía de tórax, en donde es valorada. La paciente luce en buenas condiciones generales hemodinámicamente estable. A la exploración física; tórax simétrico con buenas expansibilidad respiratoria, eupneica, a la auscultación se apreció disminución del murmullo vesicular, con roncus y crepitantes basales a nivel del campo pulmonar derecho, el resto de la exploración clínica sin alteraciones.
Las determinaciones analíticas, como hemograma, coagulación, bioquímica sérica, orina, proteograma, velocidad de sedimentación globular, deshidrogenasa láctica, fosfatasas alcalinas. Así como los marcadores tumorales (alfafetoproteína, gonadotropina coriónica, CA 125 y CEA 19-9), dentro de límites normales.

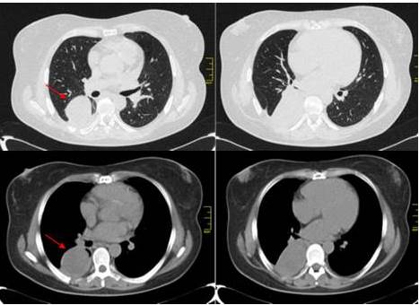
En vista del hallazgo radiológico y clínico, se procede a realizar TAC de tórax para completar el estudio de la paciente, con tomógrafo BRIGHT SPEED® de 16 detectores sin la administración de contraste intravenoso. Se evidencia imagen de masa con márgenes bien definidos con morfología redondeada, que mide entre 9 cm x 7 cm, con valores de atenuación entre 23-43 UH, isodensa homogénea, contornos suaves en contacto con pared torácica y sub-pleural. Ausencia de adenopatías de la cadena mediastinal, supra-carinalis y perihiliar (Figura 6).

En este caso se optó por la conducta quirúrgica radical, por lo se procedió a la realización de una neumonectomía derecha, a través del 6° espacio intercostal, con resección quirúrgica del pulmón derecho. El lóbulo inferior que mide 11 cm x 9,5 cm x 2,5 cm, se identificó lesión de tipo nodular, de superficie externa lisa con áreas rojo-vinosas intercambiándose con áreas blanco-amarillentas con neo-formación vascular fina, la cual se encuentra en continuidad con pleura visceral (Figura 7).

La muestra es enviada al servicio de anatomía patológica quien reporta al examen macroscópico: tejido pulmonar, de color rojo vinoso de superficie lisa con trayectos vasculares finos, con formación tipo tumoral, que mide 8 cm x 6,5 cm x 3,5 cm, blanco amarillentos de consistencia firme. Mientras que el examen histológico a la tinción con hematoxilina-eosina y tricrómico de Masson reveló; tejido tumoral, constituidos por neoplasia de origen mesenquimal, con presencia de abundantes vasos sanguíneos de diferentes tamaños y formas ramificados con un patrón de “asta de ciervo”, los cuales están rodeados por células redondeadas alternando con escasas fusiformes con pérdida de la relación núcleo-plasmático con ausencia de mitosis y necrosis tumoral. Asimismo, en amplias zonas de la neoplasia, se observan fascículos fibrosos mal definidos, los cuales son tricrómico de Masson positivo.
Se realizó estudio de inmunohistoquímica, mediante técnica de avidina-estreptavidina y utilizando el método de recuperación de antígeno se realizó la investigación de VIM, CD99, HHF-35, Fli-1 y CD34. El estudio con inmunohistoquímica demostró reactividad positiva en las células tumorales con VIM, HHF-35, Fli-1 (Figura 8). Estos hallazgos, junto con el patrón determinado en las técnicas tinción con hematoxilina-eosina y tricrómico de Masson, el carácter pericítico de la neoplasia, como un hemangiopericitoma primario de pulmón.

El posoperatorio trascurrió sin complicaciones y el paciente fue dado de alta a las 72 h después de retirar la sonda torácica. Como se ha reportado en la literatura consultada, el tratamiento de elección de este tipo de tumor es la cirugía radical en este caso se practicó neumonectomía derecha como tratamiento.
DISCUSIÓN
El hemangiopericitoma intra-pulmonar es una neoplasia poco frecuente, potencialmente maligna, que se origina a partir de lo pericitos que rodean la membrana basal de los pequeños vasos (capilares y vénulas) dentro del parénquima pulmonar. Tiene un origen mesenquimatoso sobre lo que existen pocas referencias en la bibliografía, con menos de 20 casos publicados (9). Su histogénesis no está clara, existiendo dos teorías sobre su origen: la primera hipótesis propone un origen a partir del mesénquima sub-pleural que se encuentra en continuidad directa con el tejido conectivo de los septos inter-lobulares, mientras que la segunda teoría sugiere que este tumor deriva de los fibroblastos sub-mesoteliales presentes en el parénquima pulmonar normal (10,11,12). La mayoría de casos descritos en la literatura se han diagnosticado en adultos de edad media, de entre 40 y 70 años. El tamaño de las lesiones ha oscilado entre 1 cm y 15 cm, con una media de 5 cm (11). Es un tumor de lento crecimiento que no suele dar síntomas, por lo que generalmente es descubierto de forma incidental (11). Ocasionalmente puede producir sintomatología secundaria a la compresión de estructuras adyacentes como tos, disnea y dolor torácico (14,15). En nuestros casos la forma de presentación fue con tos, cansancio con dificultad para respirar. En cuanto a los hallazgos radiológicos descritos en este tipo de tumor, en la radiografía póstero-anterior de tórax se observa lesiones tipo nodulares o masas de márgenes bien definidos y morfología redondeada u ovoidea (12). En la TC torácica se observan una lesión bien definida con densidad de partes blandas que se muestra homogénea y sin calcificaciones en el estudio sin contraste, presentando una captación intensa y heterogénea tras la administración de contraste intravenoso (12). Estos hallazgos se correlacionan con nuestros casos, lesiones homogéneas en el estudio sin contraste.
Es por esto que durante el diagnóstico preoperatorio, los estudios de imágenes tomográficos y una biopsia de pulmón o extirpación radical del pulmón afectado, son de importancia tras extirpar y analizar la lesión, esta se caracteriza desde el punto de vista histológico por ser un tumor, que macroscópicamente se presenta como una masa blanquecina o grisácea de consistencia firme y bordes bien definidos (3). Microscópicamente está compuesto por una lesión encapsulada, con un infiltrado celular muy denso, formado por pericitos con áreas hiper-celulares (constituidas por múltiples células fusiformes con escasa actividad mitótica y atipias escasas o ausentes), células de límites mal definidos, núcleos pequeños, ovoideos con pérdida de la relación núcleo-plasmático, dispuestas en fascículos cortos, estrechos y rodeadas por gran cantidad de capilares con una llamativa hialinización peri-vascular, dichos vasos presenten ramificaciones irregulares, rodeado por canales vasculares de endotelio forrado de paredes finas, dando una apariencia de " asta de ciervo" a los vasos los se observa típicamente en hemangiopericitoma (13). Patrón histológico que se observó en nuestros pacientes. La evaluación inmunohistoquímica es fundamental para el diagnóstico diferencial con otros tipos de tumores y se caracteriza por la expresión de CD34, bcl2 y CD99 y negatividad para citoqueratinas, actina, desmina y proteína S-100 (13). En nuestro caso en el estudio inmunohistoquímico este demostró reactividad positiva en las células tumorales con VIM, HHF-35, Fli-1.
El tratamiento de elección es la resección quirúrgica radical de la lesión con amplio márgenes de resección, aunque existe cierta controversia en relación a la indicación de cirugía en los pacientes en los que el diagnóstico se deriva de un hallazgo incidental en una radiografía de tórax o en aquellos pacientes asintomáticos. Asimismo, se recomienda hacer una arteriografía con embolización previa porque permite disminuir el sangrado intra-operatorio y el tamaño tumoral (14). El uso de radioterapia y quimioterapia está en controversia. Ambas se usan en tratamiento paliativo, en lesiones irresecables o si existen metástasis, como lo fue un nuestro caso donde fue imposible la extirpación completa de las lesiones.
El comportamiento biológico de este tumor es esencialmente benigno, con un pronóstico excelente si se logra una resección quirúrgica completa con márgenes libres. Aunque apenas hay casos descritos de recidiva o metástasis el potencial maligno de este tumor se considera incierto, debido tanto a la ausencia de seguimiento a largo plazo en la mayoría de casos reportados, esté presentan una tasa de recidiva local o a distancia de hasta un 10 %-15 % (15). En cuanto a la sobrevida de los pacientes a los cincos años con hemangiopericitoma originario de cualquier órgano se ha registrado en el 74,2 %, y a los 10 años del 64,4 %, mientras que la supervivencia de los pacientes cuando esté es de origen pulmonar es del 30 % - 35 %. Sin embargo, hay informes en donde aproximadamente el 50 % de los hemangiopericitoma recidivan dentro de 5 años (15,16). Se ha demostrado que la enfermedad recurrente por lo general se produce dentro de 2 años después del tratamiento inicial. Por esta razón la conducta recomendada es realizar un adecuado seguimiento a largo plazo para detectar posibles recidivas. En resumen, el hemangiopericitoma intra-pulmonar es una neoplasia mesenquimal rara que debe incluirse en el diagnóstico diferencial del nódulo pulmonar solitario de lento crecimiento, siendo imprescindible una adecuada correlación entre los hallazgos radiológicos e histológicos para su diagnóstico final.
REFERENCIAS
1. López Díaz JL, Pacheco Sánchez R, Tejedor Sánchez J. Cuadros JL, Vivanco Martínez D, Cabezalí BI, et al. Tumores broncopulmonares primarios. Cir Pediatr. 2006;19:223-227.
2. Varela R, García HA, Cortés V. Testicular hemangiopericytoma, solitary fibrous tumor: A very rare case. Arch. Esp. Urol. 2010;63(9):816-819.
3. Gengler C, Guillou L. Solitary fibrous tumor and haemangiopericytoma: Evolution of a concept. Histopathology. 2006;48:63-74.
4. Montserrat J, Astudillo PJ, Teixidor S, Aguilera MJ, Oliveras E. Hemangiopericitoma pulmonar. Presentación de dos casos y revisión de la literatura. Arch Bronconeumol. 1990;26:320-323.
5. Bedmar MD, Varela UC, Squella BG, Belletti BJ, Donoso MV. Hemangiopericitoma de aurícula izquierda: Caso clínico. Rev. méd Chile. 2011;139:770-773.
6. Kuroya M, Yokomise H, Inui K, Ike O, Mizuno H, Wada H, et al. Resection of primary pulmonary hemangiopericytoma. A report of two cases. Surg Today. 1996;26:208-212.
7. Villalba V, García R, Gilbert J, Salvador JL. Intestinal hemangiopericytoma. Cir Esp. 2005;77:48-50.
8. Gac EP, Seymour MC, Klein PE, Cabané TP, Segura HP, Pruzzo GM. Hemangiopericitoma: Reporte de 3 casos. Rev Chil Cir. 2013;65(2):172-176.
9. Hernández A, Padilla A, González R. Hemangiopericitoma de la glándula parótida: reporte de un caso. Anales médicos (México, DF). 2013:20;58(1):60-64.
10. Patsios D, Hwang DM, Chung TB. Intraparenchymal solitary fibrous tumor of the lung: An uncommon cause of a pulmonary nodule. J Thorac Imaging. 2006;2(1):50-53.
11. Sakurai H, Tanaka W, Kaji M, Yamazaki K, Suemasu K. Intrapulmonary localized fibrous tumor of the lung: A very unusual presentation. Ann Thorac Surg. 2008; 86:1360-1362.
12. Gimenez A, Franquet T, Prats R, Estrada P, Villalba J, Bagué S. Unusual primary lung tumors: A radiologic-pathologic overview. Radiographics. 2002;22:601-619.
13. Sagawa M, Ueda Y, Matsubara F, Sakuma H, Yoshimitsu Y, Aikawa H, et al. Intrapulmonary solitary fibrous tumor diagnosed by immunohistochemically and genetic approaches: Report of a case. Surg Today. 2007;37:423-425.
14. Rusch VW, Shuman WP, Schmidt R, Laramore GE. Massive pulmonary hemangiopericytoma. An innovative approach to the evaluation and treatment. Cancer 1989;64:1928-1936.
15. Espat NJ, Lewis JJ, Leung D, Woodruff JM, Antonescu CR, Shia J, et al. Conventional hemangiopericytoma: Conventional hemangiopericytoma: Modern analysis of outcome. Cancer. 2002;95:1746-1751.
16. Chnaris A, Barbetakis N, Efstathiou A, Fessatidis Y. Primary mediastinal hemangiopericytoma. World Journal of Surgical Oncology. 2006;4:4-23.
Notas de autor
jcaraujoc_65@hotmail.com