TUMOR SEROSO BORDERLINE DE OVARIO TRATAMIENTO PRESERVADOR DE FERTILIDAD. CASO CLÍNICO REVISIÓN DE LA LITERATURA
TUMOR SEROSO BORDERLINE DE OVARIO TRATAMIENTO PRESERVADOR DE FERTILIDAD. CASO CLÍNICO REVISIÓN DE LA LITERATURA
Revista Venezolana de Oncología, vol. 31, núm. 1, pp. 50-55, 2019
Sociedad Venezolana de Oncología

Recepción: 29 Junio 2018
Revisado: 17 Agosto 2018
Aprobación: 15 Noviembre 2018
Resumen: OBJETIVO: Los tumores de ovario borderline representan 10 %-20 % de los tumores malignos de ovario, y son reconocidos como una categoría independiente de los tumores epiteliales de ovario sin invasión al estroma. Actualmente la cirugía laparoscópica se ha convertido en el gold standard en el tratamiento de esta afección. CASO CLÍNICO: Paciente de 21 años de edad con tumor de ovario seroso borderline en estadio IA. Se realizó protocolo conservador de ovario por vía laparoscópica (un solo puerto umbilical). DISCUSIÓN: Los pacientes que no tienen una laparotomía clasificadora o protocolo de ovario, son asociados a una tasa mayor de recurrencia en comparación con los que sí fueron tratados con laparotomía clasificadora (11,8 % vs. 7,1 %, respectivamente). La indicación de cirugía clasificadora a pacientes sin protocolo, se mantiene controversial. CONCLUSIÓN: La laparoscopia con portal único cada día cobra más terreno en cirugía, y la cirugía oncológica no escapa de ello. El empleo de técnicas menos invasivas, con menores efectos adversos, presentan una propuesta interesante para el tratamiento de esta patología
Palabras clave: Tumor, ovario, borderline, protocolo, conservador, laparotomía clasificadora.
Abstract: OBJECTIVE: The borderline ovarian tumors account for 10 % - 20 % of the malignant ovarian tumors, and are recognized as a separate category of the epithelial ovarian tumors without invasion of the stroma. Currently the laparoscopic surgery has become the gold standard in the treatment of this condition. CASE REPORT: We presented a female patient of 21 years of age with diagnostic of serous borderline ovarian tumor classified as stage IA. The ovarian conservative protocol was performed laparoscopically (single umbilical port). DISCUSION: The patients, who do not have a staging surgery, are associated with a higher rate of recurrence compared with those that were treated with the staging surgery (11.8 % vs 7.1 %, respectively). Re staging surgery to this patients without protocol, remains controversial. CONCLUSION: The laparoscopy with the single port every day becomes more ground in the surgery and the oncological surgery does not escape to it. The use of the less invasive techniques, with fewer adverse effects, has an interesting proposal for the treatment of this disease.
Keywords: Tumor, ovarian, borderline, protocol, conservative, classified laparotomy.
INTRODUCCIÓN
Los tumores de ovario borderline (BOT, por sus siglas en inglés) representan el 10 %-20 % de los tumores malignos de ovario (1). Los BOT son reconocidos como una categoría independiente de los tumores epiteliales de ovario, y se caracterizan a nivel patológico por presentar proliferación celular, estratificación del revestimiento epitelial de las papilas, atipia nuclear, y actividad mitótica, pero sin invasión al estroma (2). A su vez, se pueden dividir en seroso, mucinoso, endometroide, células claras, y Brenner (3).
La media de edad para el momento del diagnóstico es de 10-20 años más joven que la de cáncer de ovario, y generalmente se diagnostican en una etapa temprana (4). El dolor abdominal es el síntoma más común, y el diagnóstico de tumor de ovario normalmente se establece mediante la ecografía abdominal. La alfafetoproteína y CA-125 son los biomarcadores más frecuentemente utilizados para el establecimiento de un diagnóstico y posterior seguimiento de las pacientes (5). La cirugía es el tratamiento más importante para los BOT.
La cirugía conservadora de fertilidad es aceptada como una alternativa valiosa en un número de pacientes jóvenes que desean preservar la fertilidad. Por otro lado, la cirugía laparoscópica se ha convertido en el gold standard en el tratamiento de esta afección (6,7).
La radicalidad de los procedimientos quirúrgicos y el tipo de abordaje (laparoscopia vs., laparotomía) juegan un rol muy importante en el tratamiento de esta patología y todavía hay mucha controversia, sobre todo en pacientes jóvenes, quienes desean preservar la fertilidad.
CASO CLÍNICO
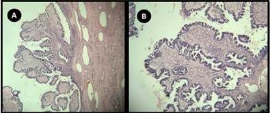
Se trata de paciente femenino de 21 años de edad quien refiere inicio de enfermedad actual presentando dolor lumbar derecho, motivo por el cual acude a facultativo quien solicita estudios de imagen, observan tumor pélvico, planifican laparotomía ginecológica, observando tumor de ovario derecho de 20 cm aproximadamente, realizan ooforosalpingectomía derecha, biopsia intra-operatoria reporta diferido y en vista de resultado de biopsia definitiva, es posteriormente referida a nuestro centro. Antecedentes personales: menarquía a los 10 años, nuligesta, niega sexarquía. Quirúrgicos: laparotomía ginecológica con ooforosalpingectomía derecha. Examen físico: Karnofsky 100 %, abdomen: blando, depresible, no doloroso a la palpación, cicatriz operatoria en buen estado. Al examen ginecológico: vulva de aspecto y configuración normal. Estudios previos a la cirugía: ecografía abdominopélvica: quiste para-uterino derecho 20 cm x 15 cm, TAC de abdomen y pelvis: imagen redondeada hipodensa de bordes bien definidos, supra-vesical, para uterina derecha de 15 cm x 14 cm. Marcadores tumorales: CA-125 (60,30 U/mL), alfa-feto-proteína (1,29 ng/mL), HCG subunidad Beta (0,42mLU/mL), y CEA (0,70 ng/mL). Biopsia definitiva reportó lesión quística de ovario con papilas intraquísticas complejas, con patrón cribiforme focal revestidas por un epitelio cilíndrico, en áreas con pleomorfismo nuclear, hipercromatismo y estratificación. No se observó invasión estromal, ni figuras mitóticas, concluye tumor seroso borderline (Figura 1). En vista del resultado de biopsia definitiva, se discute caso clínico y se plantea realizar protocolo conservador de ovario por vía laparoscópica con técnica de un solo puerto (Figura 2A). Durante la laparoscopia, se observó una lesión de 2 cm x 3 cm en remanente de anexo derecho, útero y ovario izquierdo sin lesión, resto de cavidad sin lesión (Figura 2B). Se tomó muestra de líquido peritoneal, resección de lesión en remanente de anexo derecho, muestreo peritoneal, muestreo célulo ganglionar pélvico, para-aórtico y omentectomía. Todas las muestras reportaron negativo para malignidad. Se estadía a la paciente como IA y se mantiene en observación. Actualmente con 18 meses de seguimiento sin evidencia de enfermedad.



DISCUSIÓN
Los criterios histológicos siguen siendo el único método de distinción entre los tumores borderline y carcinomas de ovario invasivos (8,9,10). La tasa de supervivencia global a cinco años de los pacientes con tumores borderline seroso generalmente oscila entre el 74 % y el 98 % (11).
La afectación de ganglios linfáticos parece no ser un factor de riesgo independiente y varios autores concluyen con estos resultados, que la linfadenectomía puede ser omitida en estos casos. Sin embargo, en los pacientes que no tuvieron una laparotomía clasificadora o protocolo de ovario, son asociados a una tasa mayor de recurrencia en comparación con los que sí fueron tratados con laparotomía clasificadora (11,8 % vs. 7,1 %, respectivamente) (12,13).
Se ha encontrado una tasa de sobrevida libre de progresión mayor en pacientes que se han intervenido para completar el protocolo.
La indicación de protocolo o cirugía clasificadora a pacientes sin protocolo previo, se mantiene controversial. La tasa de recurrencia puede ser de hasta un 44 % dentro de los 15 años después de la primera aparición. Desde el punto de vista histológico, las recaídas son similares al tumor primario (14).
La utilidad de los niveles séricos de CA125 para el seguimiento de tumores serosos es de gran importancia, aunque 60 % de los tumores serosos borderline en estadio I tienen niveles de CA125 dentro de límites normales. Por otra parte, pueden existir elevaciones significativas asociadas a procesos benignos, principalmente endometriosis (15).
En este caso el CA125 realizado preoperatoriamente se encontró en valores de 60,30 U/mL, alcanzando niveles de 7,10 U/mL 7 meses después de la resolución quirúrgica del cuadro.
Por otro lado la laparoscopia ha presentado resultados satisfactorios con menos dolor posoperatorio, menor pérdida de sangre, menos días de hospitalización y un reintegro más rápido del paciente a sus actividades (16).
La cirugía laparoscópica a través de un solo portal, parece aumentar los atributos de la laparoscópica convencional, con un efecto estético óptimo (Figura 3). Además, la reducción en el número de portales disminuye el porcentaje de infecciones del sitio quirúrgico.
La bibliografía internacional apoya la eficacia y seguridad de cirugía preservadora de fertilidad en tumores de ovario borderline, sin embargo, se ha demostrado una tasa mayor de recurrencia en relación con la cirugía radical (10 % a 20 % en comparación a 5 % respectivamente) (17, 18).
La cistectomía está asociada a una mayor tasa de recurrencia (>31 %), por esta razón solo debe ser realizada en pacientes con tumores bilaterales o que presenten ovario único (19). La cistectomía no se recomienda en tumores borderline mucinoso por su alto riesgo de recurrencia (19).
La biopsia en cuña del ovario contralateral para excluir metástasis oculta, no está indicada por el riesgo de adherencias peri ováricas que pueden ser un factor mecánico de esterilidad y la baja tasa de diagnóstico que representa tomar una muestra de un tejido macroscópicamente sano (20).
En caso de presentar una recaída en el ovario remanente, la cirugía conservadora se puede plantear en aquellas pacientes que planeen futuros embarazos, sin embargo, este procedimiento debe ser reservado para pacientes menores de 40 años, con deseos de fertilidad y que se comprometan a un largo período de seguimiento.
La cirugía preservadora de fertilidad en tumores de ovarios borderline es una excelente opción en estadios tempranos.
La laparoscopia con portal único, cada día cobra más terreno en la cirugía, y la cirugía oncológica no escapa de ello. El empleo de técnicas menos invasivas, con menores efectos adversos, presentan una propuesta interesante para el tratamiento de esta patología.
REFERENCIAS
1. Suh-Burgmann E. Long-term outcomes following conservative surgery for borderline tumor of the ovary: A large population-based study. Gynecol Oncol. 2006;103:841-847.
2. Acs G. Serous and mucinous borderline (low malignant potential) tumors of the ovary. Am J Clin Pathol. 2005;123(Suppl):S13-57.
3. Kleppe M, Bruls J, Van Gorp T, Massuger L, Slangen BF, Van de Vijver KK, et al. Mucinous borderline tumors of the ovary and the appendix: A retrospective study and overview of the literature. Gynecol Oncol. 2014;133:155-158.
4. Gotlieb WH, Chetrit A, Menczer J, Yechezkel GH, Lubin F, Friedman E, et al. Demographic and genetic characteristics of patients with borderline ovarian tumors as compared to early stage invasive ovarian cancer. Gynecol Oncol. 2005;97:780-783.
5. Liu H, Wang X, Lu D, Liu Z, Shi G. Ovarian masses in children and adolescents in China: Analysis of 203 cases. J Ovarian Res. 2013;6:47.
6. Huang Y, Zhang W, Wang Y. The feasibility of fertility-sparing surgery in treating advanced-stage borderline ovarian tumors: A meta-analysis. Taiwan J Obstet Gynecol. 2016;55(3):319-325.
7. Tinelli R, Tinell, A, Tinelli FG, Cicinell, E, Malvasi A. Conservative surgery for borderline ovarian tumors: A review. Gynecol Oncol. 2006;100:185-191.
8. Tulpin L, Rouzier R, Morel O, Malartic C, Daraï E, Barranger E. Borderline ovarian tumors: An update. Gynecol Obstet Fertil. 2008;36(4):422-429.
9. Ţarcă E, Ciomaga I, Savu B, Mihăilă D, Plămădeală P, Aprodu SG. Borderline ovarian cyst treated by laparoscopic surgery: Clinical case report and literature review. Rom J Morphol Embryol. 2015;56(4):1529-1534.
10. Longacre TA, McKenney JK, Tazelaar HD, Kempson RL, Hendrickson MR. Ovarian serous tumors of low malignant potential (borderline tumors): Outcome-based study of 276 patients with long-term (> or =5-year) follow-up. Am J Surg Pathol. 2005;29(6):707-723.
11. Song T, Lee YY, Choi CH, Kim TJ, Lee JW, Bae DS, et al. Risk factors for progression to invasive carcinoma in patients with borderline ovarian tumors. Int J Gynecol Cancer. 2014;24(7):1206-1214.
12. Seidman JD, Kurman RJ. Ovarian serous borderline tumors: A critical review of the literature with emphasis on prognostic indicators. Hum Pathol. 2000;31:539-557.
13. Dube V, Roy M, Plante M, Renaud MC, Têtu B. Mucinous ovarian tumors of Mullerian-type: An analysis of 17 cases including borderline tumors and intraepithelial, micro-invasive, and invasive carcinomas. Int J Gynecol Pathol. 2005;24:138-146.
14. Prat J, De Nictolis M. Serous borderline tumors of the ovary: A long-term follow-up study of 137 cases, including 18 with a micro papillary pattern and 20 with micro invasion. Am J Surg Pathol. 2002;26(9):1111-1128.
15. Engelen MJ, de Bruijn HW, Hollema H, ten Hoor KA, Willemse PH, Aalders JG, et al. Serum CA 125, carcinoembryonic antigen and CA 19-9 as tumor markers in borderline ovarian tumors. Gynecol Oncol. 2000;78:16-20.
16. Wahab NA, Chalermchockchareonkit A, Chaisilwattana P, Mustafa KB. Unexpected ovarian malignancy after conservative laparoscopic surgery: Five case series in a half decade of experience. Arch Gynecol Obstet. 2012;285(6):1695-1698.
17. Ramirez PT, Slomovitz BM, Soliman PT, Coleman RL, Levenback C. Total laparoscopic radical hysterectomy and lymphadenectomy: The MD Anderson Cancer Center experience. Gynecol Oncol. 2006;102:252-255.
18. Trillsch F, Mahner S, Ruetzel J, Harter P, Ewald-Riegler N, Jaenicke F, et al. Clinical management of borderline ovarian tumors. Expert Rev Anticancer Ther. 2010;10:1115-1124.
19. du Bois A, Ewald-Riegler N, du Bois O, Harter P. Borderline tumors of the ovary: A systematic review. Geburtsh Frauenheilk. 2009;69:807- 833.
20. Tropé C, Davidson B, Paulsen T, Abeler VM, Kaern J. Diagnosis and treatment of borderline ovarian neoplasms “the state of the art.” Eur J Gynaecol Oncol. 2009;30:471-482.
Notas de autor
dr_ronaldcastillo@yahoo.com