USO DE ANFOTERICINA B: PACIENTES CON LINFOMA NO HODGKIN CÉLULAS B TIPO BURKITT POR HISTOPLASMA CAPSULATUM
USO DE ANFOTERICINA B: PACIENTES CON LINFOMA NO HODGKIN CÉLULAS B TIPO BURKITT POR HISTOPLASMA CAPSULATUM
Revista Venezolana de Oncología, vol. 31, núm. 1, pp. 56-59, 2019
Sociedad Venezolana de Oncología

Recepción: 21 Octubre 2018
Revisado: 01 Noviembre 2018
Aprobación: 13 Noviembre 2018
Resumen: El linfoma no Hodgkin comprende un grupo de enfermedades relacionadas entre sí. Cada variedad histológica de linfoma no Hodgkin se caracteriza por la transformación maligna de las células linfoides, con morfología, inmunofenotipo, genética y clínica diferente. Entre la etiología encontramos: virus de Epstein-Barr, virus linfotrófico humano tipo 1, herpes virus humano 8, Helicobacter pylori. Los linfomas difusos de células B grandes (30 % 40 %) son los más comunes, seguidos de linfoma de células B folicular (22 %). Todos los demás tipos de linfoma tienen una frecuencia menor de 10 %. El diagnóstico de los linfomas es histopatológico. Actualmente se ha observado un incremento de las infecciones causadas por Histoplasma capsulatum, particularmente en pacientes inmunocomprometidos. El objetivo del estudio fue determinar las características de la histoplasmosis y el uso de la anfotericina B en pacientes con linfoma no Hodgkin de células B tipo Burkitt por Histoplasma capsulatum.
Palabras clave: Cáncer, linfoma, células B, tratamiento, anfotericina B, histoplasmosis.
Abstract: The lymphoma non Hodgkin comprises a group of diseases related to each other. Each histological variety of the non-Hodgkin lymphoma is characterized by the malignant transformation of the lymphoid, morphology, the immune, the genetics and the different clinic cells. Among the etiology: The Epstein-Barr virus, the virus lymphotropic human type 1, the human herpes virus 8, the Helicobacter pylori. The diffuse large B-cell lymphomas (30 % 40 %) are the most common, followed by the follicular B-cell lymphoma (22 %). All other types of lymphoma have one less than 10 % of frequency. The diagnosis of lymphomas is histological. Currently there has been an increase in infections caused by the histoplasma capsulatum, particularly in the immunocompromised patients. The objective of the study was to determine the characteristics of histoplasmosis and the use of the amphotericin B in patients with B-cell non-Hodgkin's lymphoma type Burkitt by histoplasma capsulatum.
Keywords: Cancer, lymphoma, B cells, treatment, amphotericin B, Histoplasomosis.
INTRODUCCIÓN
El linfoma no hodgkin (LNH) comprende un grupo de enfermedades relacionadas entre sí. Cada variedad histológica de LNH se caracteriza por la transformación maligna de las células linfoides, con morfología, inmunofenotipo, genética y clínica diferente. Hay más de 30 tipos diferentes de LNH, aproximadamente 90 % son linfomas de células B y en esta línea celular se encuentran 14 variedades; el otro 10 % corresponde a linfoma de células T. Los linfomas se originan del tejido linfoide y se desarrollan como consecuencia de la expansión clonal de una u otra línea (o sublínea) linfoide (linfocitos B o T y más raro NK) dando los dos grandes grupos: linfoma Hodgkin (LH) y LNH, los primeros casos registrados de linfoma corresponden al año 1832. La prevalencia aumenta con la edad y es 50 % mayor en hombres que en mujeres, siendo más alta en América del Norte y Europa Occidental y más baja en el Este de Europa y Asia. Durante los últimos 20 años, la incidencia ha ido en constante aumento en todos los grupos de edad y en ambos sexos, en alrededor de 3 %-5 % por año. En la mayoría de los casos de LNH, la causa es desconocida. Algunos subtipos están asociados con infección (por ejemplo, virus de la hepatitis C), factores ambientales, virus de Epstein-Barren, linfoma de Burkitt, con deficiencias inmunológicas constitucionales (síndrome Purtilo) o postrasplante de órganos, y virus humano T-linfotrópico en células T del adulto que causa leucemia y linfoma. La inmunosupresión es el factor de riesgo más claramente definida, lo que lleva a 50,100 veces el exceso de riesgo (1,2,3).
CASO CLÍNICO
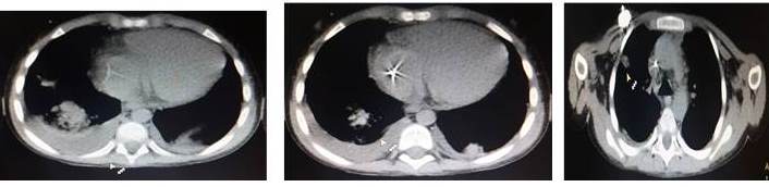
Se trata de escolar masculino de 6 años de edad, natural de Acarigua, (Venezuela) con antecedentes de Diabetes Mellitus Tipo 1 (no tratada), cuya madre refiere inicio de enfermedad actual el día 28/06/2017 al presentar dolor abdominal, difuso, de moderado a fuerte intensidad de carácter urente, concomitante distención abdominal, inapetencia, por lo es evaluado por gastropediatra el cual indica tratamiento sintomático y enema evacuante, para el día 01/07/2017 se asocia a cuadro emesis en n° 03 de contenido bilioso fétido; motivo por el cual es referido a centro hospitalario en San Carlos Cojedes (Venezuela) donde es evaluado y se deciden su ingreso bajo la premisa de: 1. Abdomen agudo inflamatorio 2. Íleo paralítico 3. Hernia inguinal derecha. Es llevado a mesa operatoria, se practica incisión para rectal derecha, apertura de peritoneo, aspiración de líquido claro, localización de masa tumoral, infiltrando techo de vejiga, ciego, epiplón, íleo distal, resección de epiplón (ganglionar) de coloración rosada y de ganglios mesentéricos, tumoración de techo de vejiga de aspecto hemorrágico, necrótico. Para el (25/07/2017) se recibe resultado de biopsia con diagnósticos de inmunohistoquímica para linfoma tipo burkitt cd20+, cd10+ en el 95 % de las células tumorales se le realizan a su vez estudios de extensión (28/07/17) que reportan: TAC DE TÓRAX: foco de condensación en el tercio medio y anterior del pulmón izquierdo y en las bases pulmonares , TAC ABDOMEN Y PELVIS: localización de masa tumoral, infiltrando techo de vejiga, ciego, epiplón, íleo distal, LÍQUIDO CEFALORRAQUÍDEO: sin evidencia de neoplasia, ASPIRADO DE MÉDULA ÓSEA: sin evidencia de neoplasia. En vista de hallazgos se cataloga (ESTADIO II) GRUPO B, por lo que se programa para quimioterapia sistémica: recibe esquema COP (25/07/17) (ciclofosfamida, vincristina,predinisona,e intratecal con metotrexate) con re-evaluación de sitios de enfermedad con respuesta completa, COPADM-1 (ciclofosfamida, adriamicina,metotrexate,vincristina,prednisona) (02/08/17) con una segunda evaluación con respuesta completa, COPADM-2 (vincristina, metotrexate,intratecal con metotrexate e hidrocortisona) (29/08/17): con re-evaluación de TAC de tórax, abdomen y pelvis, sin evidencia de neoplasia. En vista de la respuesta clínica >90 % se programa para su 1er ciclo de consolidación con quimioterapia con CYM el cual cumple por 6 días con excelente respuesta clínica, se le toma líquido cefalorraquídeo posterior a tratamiento con intra-tecal el cual se reporta a los 10 días de su toma positivo para infiltración neoplásico se interconsulta caso con hemato-oncólogos pediatras quienes sugieren intra-tecal triple con (metrotexate-citarabina-hidrocortisona) que se realizó en 3 oportunidades y realizar prueba específica citometría de flujo, la cual se realiza con posterior reportes de líquidos negativos para infiltración neoplásica. En vista de tal escenarios se decide pasar a GRUPO C y recibe su 1er ciclo de quimioterapia con CYVE-1 (citarabina,etopósido y metotrexate) + INTRATECAL el cual posterior a los 10 días en el nadir de su terapia hace toxicidad hematológica con contajes absolutos de neutrófilos <100 por lo recibe antibioticoterapia de amplio espectro. Se le realizan estudios de evaluación tipo TAC de tórax donde llama la atención nódulos pulmonares presentes en área mediastínica (4 en total) con paquipleuritis bilateral (Figura 1,2,3) bajo la sospecha de infección oportunista por estado de inmunosupresión se inicia tratamiento con anti fúngico tipo Anfotericina B y se le indican realizar estudio de galactomanano para descartar aspergilos por la asociación de la misma con LNH ( no se realiza por no haber reactivos en nuestro país) se discute caso con infectólogo pediatra quien menciona mantener Anfotericina B por 21 días en vista de que paciente presenta mejoría clínica y desde el punto de vista tomográfico ( se le logra realizar estudios micológico en la Universidad Central de Venezuela) se recibe resultado de frotis de sangre (examen micológico) que reporta positivo para Histoplasma Capsulatum.


DISCUSIÓN
En años recientes se ha observado un incremento de enfermedades fúngicas profundas, con una amplia variedad de presentaciones clínicas, particularmente en pacientes que sufren de neoplasias hematológicas (2). En Venezuela, en estos pacientes, es necesario tomar en cuenta las micosis profundas endémicas, producidas principalmente por Histoplasma capsulatum. A pesar del incremento de las infecciones fúngicas en los últimos años, el panorama epidemiológico de las principales micosis sistémicas en el mundo ha sufrido pocos cambios y aún persisten grandes vacíos en su información, especialmente, en lo referente a la delimitación de zonas de alta y baja prevalencia para ciertas micosis y en las contradicciones asociadas al foco infeccioso que permitirían definir el origen preciso de la fuente de infección (1,2,3). En las investigaciones sobre epidemiología y patogénesis, se ha utilizado una amplia variedad de técnicas inmunológicas, bioquímicas y genéticas, las cuales han ayudado a identificar aislamientos de hongos obtenidos de casos clínicos y del ambiente. La tipificación de estos aislamientos conduce a la caracterización fidedigna de ellos, y sirve para apoyar datos epidemiológicos fehacientes. La utilización de una característica particular, para tipificar aislamientos o cepas, está relacionada con la estabilidad y la diversidad de ésta dentro de la misma especie. Hasta hace algún tiempo el estudio epidemiológico de la enfermedad se restringía a informes de casos clínicos, a datos de inmunocontactos sensibilizantes con el agente etiológico determinado por la prueba cutánea con el antígeno específico histoplasmina, o bien por escasos aislamientos del hongo en la naturaleza (4,5). Con el advenimiento de las técnicas moleculares y el subsiguiente empleo de éstas en la epidemiología de histoplasmosis capsulati, nombre actual de la enfermedad asociada a H.capsulatum var capsulatum, se lograron mayores aportes y un importante incremento en la información sobre esta enfermedad, tanto en la ubicación de nuevas zonas endémicas como en la relación paciente-fuente de infección (4).
REFERENCIAS
1. Taylor ML, Granados J, Toriello C. Biological and sociocultural approaches of histoplasmin in the state of Guerrero, México. Mycoses. 2004;39:375-379.
2. Hajjeh RA. Disseminated histoplasmosis in persons infected with human immunodeficiency virus. Clin Infec Dis. 2001;21(Suppl 1):S108-110.
3. Kwon-Chung K, Weeks RJ, Larsh HW. Studies on Emmonsiella capsulate (Histoplasma capsulatum). II. Distribution of the two mating types in 13 endemic states of the United States. Am J Epidem. 2000;99:44-49.
4. Villalobos MA, Rodríguez SM. Histoplasmosis diseminada, reporte de casos desde el año 2008 al 2012 en el Hospital San Juan de Dios, San José, Costa Rica. MÉD.UIS.
Referencias
Silva N, Calvache N, Arrieta E, Bravo JC, Salazar C, Rosales J, et al. Disseminated histoplasmosis as a first clinical manifestation in a patient with small lymphocytic lymphoma: A case report. Biomedica. 2018;38(3):298-302.
Notas de autor
jmundarain@hotmail.com