CARCINOMA DIFERENCIADO TIROIDEO ASOCIADO A SARCOIDOSIS
CARCINOMA DIFERENCIADO TIROIDEO ASOCIADO A SARCOIDOSIS
Revista Venezolana de Oncología, vol. 31, núm. 2, pp. 126-135, 2019
Sociedad Venezolana de Oncología

Recepción: 27 Enero 2019
Revisado: 14 Febrero 2019
Aprobación: 15 Marzo 2019
Resumen: OBJETIVO: El microcarcinoma papilar de tiroides ha aumentado su frecuencia de manera considerable en los últimos 20 años. Existen presentaciones inusuales de dicha patología, como su asociación con sarcoidosis, lo cual se ha convertido en tema de discusión y estudio, falta evidencia bibliográfica sobre dichas patologías, por esta razón es que hacemos una revisión de la literatura sobre el tema. CASO CLÍNICO: Paciente de 56 años de edad, consultó por presentar lesión nodular en hemicuello derecho de varios meses de evolución. Vista en centro asistencial donde le realizó tiroidectomía total y disección cervical. Siendo realizado estudio histológico con corte congelado y biopsia definitiva. Posteriormente recibe dosis de 131I. El diagnóstico definitivo fue realizado mediante biopsia, evidenciando focos de lesiones sugestivas de carcinoma papilar menores de 1 cm. CONCLUSIÓN: El microcarcinoma papilar de tiroides es una neoplasia con buen pronóstico, el comportamiento de la lesión suele ser benévolo por su bajo índice de agresividad, por esta razón su manejo y conducta es controversial, especialmente en presencia de enfermedad multifocal, indicador importante que nos orienta sobre la agresividad de dicha patología. La presentación de este junto a sarcoidosis es bastante inusual, en las últimas décadas ha sido discutido la relación que pudiera existir entre ambas, el adecuado manejo nos orienta sobre el riesgo y pronóstico de la enfermedad y en conjunto con otros marcadores importantes nos permite decidir la conducta más adecuada.
Palabras clave: Microcarcinoma papilar, tiroidectomía, disección cervical, cuello, multifocalidad, neoplasia, sarcoidosis.
Abstract: OBJECTIVE: The papillary microcarcinoma of thyroid has increased its frequency considerably in the past 20 years. There are unusual presentations of this disease, as its association with sarcoidosis, which has become a topic of discussion and study, lack of bibliographical evidence on these pathologies, for this reason we do a review of the literature of the theme. CLINICAL CASE: Woman 56 year old patient, consulted by nodular lesion in right hemicuello of several months of evolution. View health care center where underwent thyroidectomy and neck dissection. The histological study realized with frozen cut and the final biopsy being done. It subsequently receives a dose of 131I. The definitive diagnosis of was done through biopsy, showing foci of papillary carcinoma suggestive lesions less than 1 cm. CONCLUSION: The papillary microcarcinoma of thyroid is a neoplasm with good prognosis, the behavior of the lesion tends to be benevolent by its low rate of aggression, for this reason handling and behavior is controversial, especial in the presence of multifocal disease, important indicator that guides us on the aggressiveness of this pathology. The presentation of this next sarcoidosis is quite unusual, in recent decades has been discussed the relationship that might exist between the two, the proper management guides us on the risk and prognosis of the disease and in conjunction with the other markers important allows us to decide the most appropriate conduct.
Keywords: Papillary microcarcinoma, thyroidectomy, cervical dissection, neck, multifocality.
INTRODUCCIÓN
El microcarcinoma papilar, se define como un carcinoma papilar de tiroides, con un diámetro máximo £ 1 cm. Representa el 35 %- 70 % de los carcinomas papilares de tiroides y su incidencia ha aumentado dramáticamente tanto en hombres como en mujeres (1,2,3,4).
Las características más resaltantes del microcarcinoma papilar son su crecimiento lento, buen pronóstico, larga sobrevida, recurrencia locorregional con el paso del tiempo y multifocalidad en un 20 % - 40 % de los casos, pudiendo presentarse unilateral o bilateralmente(1,2,5).
Estas neoplasias son frecuentemente diagnosticadas incidentalmente posteriores a una tiroidectomía por alguna patología benigna o en autopsias realizadas. Son lesiones bien delimitadas, asintomáticas y dependiendo de su agresividad pueden o no infiltrar el parénquima tiroideo (2,3,4).
Anatómicamente el sitio donde más frecuentemente son ubicados es en el tercio medio ya sea del lóbulo izquierdo o derecho de la glándula tiroides. Trapanese y col., describen esta neoplasia con una mayor incidencia en el sexo femenino, existen diversas hipótesis entre la relación del microcarcinoma papilar de tiroides (MCPT) y el sexo femenino en relación con las hormonas, específicamente el estrógeno, lo cual explica el mayor número de casos descritos en mujeres. La edad media de presentación de dicha lesión oscila entre los 25-75 años (2,3).
La etiología del MCPT así como el carcinoma papilar de tiroides es desconocida, aunque existen diversas teorías que intentan explicar la causa de esta neoplasia. Los factores de riesgo para desarrollar esta patología son exposición previa a radiación, deficiente ingesta de iodo, herencia y enfermedades autoinmunes (2,3).
Trapanese y col., describen al ecosonograma como el método de detección temprana más sensible para este tipo de lesiones. La punción con aguja fina (PAAF) nos permite realizar el diagnóstico citológico con una precisión del 92 % - 95 %, alto índice de valor predictivo positivo (1,2,3).
Hui Su y col., reportan que la incidencia de metástasis cervical en el MCPT es de un 40 %, ubicándose principalmente en el compartimiento central. Las metástasis cervicales son un factor de riesgo importante para el aumento de las tasas recurrencia y las metástasis a distancia (4,5). Se ha descrito una infrecuente relación entre el cáncer diferenciado de tiroides y la sarcoidosis, existe poca literatura describiendo la relación entre ambas patologías y la forma de presentación de manera simultánea, sin embargo, distintos autores, en diferentes épocas han planteado diversas teorías sobre la relación entre sarcoidosis y la presencia de neoplasias, describiéndose como las principales: tumores pulmonares, gastrointestinales, linfomas y leucemias. A lo largo del tiempo se han descrito casos de pacientes que presentaron carcinoma diferenciado de tiroides y sarcoidosis (2,6,7).
CASO CLÍNICO
El caso que describiremos a continuación es una paciente de 56 años de edad, natural de Venezuela, procedente de Ecuador, que consultó por presentar lesión nodular en hemicuello derecho de varios meses de evolución y tos persistente de 20 años de evolución, la cual no cede con tratamiento médico, motivo por el cual acude a centro médico en Ecuador quienes realizan estudios de ecosonograma, evidenciando lesión nodular calcificada en hemicuello derecho y deciden mantenerla en observación (Figura 1).

Acude a nuestro centro donde es evaluada al examen físico se encuentra paciente en regulares condiciones generales, afebril, hidratada, eupneica, deambulando sin ayuda. En el área de cabeza y cuello se evidencia glándula tiroides de tamaño normal, se palpa en lóbulo izquierdo nódulo de 1 cm, no doloroso. Se palpa lesión pétrea, calcificada en nivel IV derecho. Se le realiza nasofibrolaringoscopia evidenciando parálisis de cuerda vocal izquierda. Se evalúa el ultrasonido tiroideo que reporta imagen nodular sólida con gruesas calcificaciones centrales compatibles con adenopatía calcificada que mide no menos de 25 mm x 30 mm, en fosa supraclavicular derecha. En el polo inferior de la glándula tiroides se aprecia pequeña imagen nodular ecomixta, compatible con adenoma con degeneración quística que mide 9 mm. El lóbulo izquierdo se aprecia nódulo sólido hipoecoico que mide 15 mm x 20 mm compatible con adenoma sin degeneración quística (Figura 2).

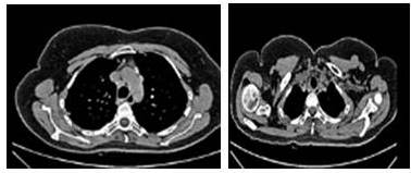
La tomografía de cuello reportó adenopatías sub-mandibulares y submaxilares de 8 mm, glándula tiroidea de aspecto heterogéneo con nódulos calcificados en su interior, adenopatías en el segmento supraclavicular derecho de 8 mm, adenopatías a nivel del mediastino anterosuperior de 1 cm. La TAC de tórax reportó múltiples lesiones nodulares localizadas a nivel intra-parenquimatoso, predominantemente hacia los lóbulos superiores, de 5 mm, sugestivas de metástasis, adenopatías a nivel de mediastino anterosuperior en ventana aortopulmonar, para-aórticas, hiliares de aspecto patológico, midiendo 1,8 cm (Figura 3).

Se decide realizar tiroidectomía con corte congelado de adenopatías, pensando que pudieran ser metastásicas.
Es llevada a mesa operatoria y se le realiza corte congelado de adenopatía, la cual es reportada como diferida y posteriormente se procede con la tiroidectomía total con disección cervical de hemicuello derecho, resecando los ganglios de nivel IV y fosa supraclavicular derecha (Figura 4).

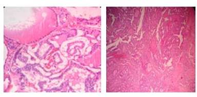
La biopsia definitiva reportó del ganglio supraclavicular derecho linfadenitis crónica granulomatosa no necrotizante de tipo sarcoidótico, extensas áreas de fibrosis hialina con microcalcificaciones. Los ganglios del nivel IV fueron reportados con cambios morfológicos compatibles con carcinoma papilar metastásico en 1 de 2 ganglios linfáticos, foco tumoral de 1 mm, linfadenitis crónica granulomatosa no necrotizante de tipo sarcoidótico con áreas de fibrosis hialina con aisladas microcalcificaciones. La glándula tiroides fue reportada con microcarcinoma papilar multifocal en lóbulo derecho (3 focos microscópicos), menores de 1 mm, sin invasión linfovascular, perineural ni a los tejidos peri-tiroideos, Hiperplasia nodular de la glándula tiroides con nódulo calcificado, dominante izquierdo, bordes quirúrgicos libres de neoplasia (Figura 5).

Debido a resultados anatomopatológicos es estadificada por la escala de riesgo MACIS obteniendo una puntuación de 5,7 puntos, estadificándose dentro del grupo de bajo riesgo, con una sobrevida del 99 % a los 20 años (Cuadro 1).

La paciente en el posoperatorio mediato presentó parestesias temporales, las cuales no volvió a referir. Es evaluada por infectología, recibiendo tratamiento para la sarcoidosis con meticorten, con buena respuesta terapéutica, es referida a medicina nuclear donde es evaluada y se le indica una dosis de 131I de 50 mCi. El rastreo corporal posterior a la administración del iodo presentó captación en lecho tiroideo (Figura 6).

Paciente evaluada en el posoperatorio tardío con valores de TSH: 0,9 mU/L, se mantiene con dosis de euthyrox a 150 mcg, tiroglobulina: 3,3 ng/mL y anticuerpos antitiroglobulina: 10,2. RX de tórax dentro de límites normales sin evidencia de nódulos pulmonares (Figura 7).

DISCUSIÓN
El término “carcinoma oculto de tiroides” fue descrito por primera vez en 1948 por Wozencraft refiriéndose a la aparición de metástasis de cáncer tiroideo en ganglios linfáticos de pacientes sin patología palpable. Así iba quedando en el pasado el término “tejido tiroideo aberrante” descrito por Schrager en 1906 (2,6). Con el transcurrir el tiempo las técnicas diagnósticas fueron mejorando, de manera especial la ecografía y la PAAF, pudiendo así descubrir las lesiones que anteriormente eran descritas como “carcinoma oculto de tiroides” y clasificadas como lesiones menores a 1 cm de diámetro. Es en el año 1992 que la Organización Mundial de la Salud define estas lesiones menores de 1 cm, bajo el término de MCPT (2,4).
Con el paso de los años, la incidencia del MCPT ha venido en aumento significativo tanto en hombres como en mujeres, abarcando el 35 %-70 % de los casos de carcinoma papilar. Presentando una mayor incidencia en el sexo femenino, lo que lleva a pronosticar estadísticamente que para el año 2019 será la tercera neoplasia más común en todas las edades del género femenino (2,4,5).
Generalmente los pacientes con esta patología son diagnosticados entre la segunda y séptima década de la vida. En las biopsias de tiroidectomías por patologías benignas, el hallazgo de microcarcinoma oscila entre un 3 % -17 % de los casos. Factores de riesgo como herencia, edad, sexo, multifocalidad, bilateralidad, metástasis cervical y tamaño de la lesión deben ser tomados en cuenta como pronóstico de la patología(1,2,3,7).
Diversos estudios demuestran que pacientes con tiroiditis de Hashimoto tienen el riesgo entre un 10 % - 40 % de desarrollar carcinoma papilar de tiroides, en vista de que se ha comprobado histológicamente que en ambas patologías se pueden evidenciar asociación de infiltrados linfocíticos, condición que sirve de base para el desarrollo de la neoplasia. La carcinogénesis del MCPT y del carcinoma papilar es la misma basada en la activación patológica de la ruta MAPcinasa, activación que obedece a dos mecanismos: la mutación del gen BRAF y los reordenamientos del gen RET (2,8).
La mutación B-RAF proto-oncogene serina/treonina quinasa, es la alteración oncogénica más común detectada en el 90 % de los pacientes con esta neoplasia (2,8,9,10). Se ha descrito que las mutaciones oncogénicas en los microcarcinomas papilares varía entre un 28 % - 95 %, siendo la población coreana la que más presenta esta alteración genética. Incluso se ha podido comprobar que la mutación del gen guarda estrecha relación con la agresividad de la neoplasia y con factores de riesgo como tamaño del tumor, invasión extra-tiroidea y recurrencia de la enfermedad (2,9,10).
Young y col., plantean que el gen BRAF es el activador más potente de las vías MAPK, contribuyendo a la transformación de las células foliculares en malignas. El reordenamiento del gen RET tiene una incidencia de 52 % en los casos de MCPT, alteración causada por la proteína aberrante RET/PTC, hay aproximadamente 8 tipos de reordenamiento y a diferencia del gen BRAF, este anomalía no se asocia a peor pronóstico, excepto el que genera la proteína RET/PTC3, la cual tiene relación con presentaciones más agresivas de esta patología. Su presentación va a ser más frecuente en pacientes sometidos radiaciones ionizantes y en población juvenil (2,11).
Al presentarse alguna de las alteraciones genéticas descritas, se desarrolla el clon tumoral produciendo una sobreexpresión de la ciclina D1, la cual no suele estar presente en las células foliculares normales, produciendo una evolución más agresiva del tumor, teniendo como resultado la diseminación metastásica locorregional. Esta forma de presentación suele encontrarse en el 90 % de los casos (2).
La incidencia de metástasis cervical central (nivel VII), del MCPT oscila entre un 30 % - 60 % de los casos. Yuan y col., sostienen que las metástasis ganglionares son uno de los factores relacionados con recurrencia de la enfermedad y metástasis a distancia, siendo el compartimiento central el sitio más común de metástasis ganglionar. La diseminación intra-glandular puede ocurrir por vía linfática, lo que explica el patrón de comportamiento de las metástasis ganglionares cervicales. Se ha descrito que la tasa de pacientes con metástasis a distancia al momento del diagnóstico es de 1 % - 2,8 % siendo esta condición un factor de peor pronóstico para el paciente, porque las probabilidades de presentar persistencia o recurrencia de la enfermedad son altas (1,5,7,8,9, 10,11,12,13,14,15).
El MCPT puede clasificarse en dos grandes grupos: incidental y no incidental. Definiendo MCPT incidental como aquella lesión diagnosticada casualmente ya sea posterior a una tiroidectomía por patología benigna o por alguna otra circunstancia. El MCPT no incidental es aquel en el que el diagnóstico ya ha sido establecido. Yuan y col., afirman que el MCPT no incidental tiene mayor riesgo de recurrencia que el incidental (2,5,16).
La multifocalidad es una de las características más importantes del MCPT, la cual es descrita en un 50 % de estas lesiones, un MCPT multifocal, puede ser el resultado de una diseminación intra-tiroidea del tumor o puede ser el resultado de la aparición de múltiples lesiones en el lóbulo tiroideo afectado. Ambas posibilidades son tomadas en cuenta como multifocalidad y debemos tener en cuenta que esta característica es importante al momento de clasificar esta neoplasia en alto riesgo o bajo riesgo (1,12).
Diversos estudios de este año han demostrado que el tamaño es otro factor de riesgo muy importante para evaluar la agresividad de esta neoplasia. Un tamaño mayor a 5 mm está relacionado directamente con multifocalidad y mayor agresividad de la lesión, jugando un papel muy importante en el pronóstico de la enfermedad. Aunque el MCPT se clasifica como una neoplasia de bajo riesgo, se describe una tasa de 2 % - 8 % de recurrencia locorregional y de 1 % - 2 % de metástasis a distancia. Con tasa de mortalidad especifica de 0,2 % - 2 % (1,16)
Los estudios imaginológicos sugieren Xia y col., que una de las características ecosonográficas del MCPT más importantes son las microcalcificaciones, las cuales se relacionan con los cuerpos de psammoma, que contienen agregados calcificados ásperos, lisos y brillantes, lo que da una mayor sospecha de carcinoma papilar de tiroides, a diferencia de la calcificación gruesa que pierde valor al momento de sospechar de lesión maligna. La neo-vascularización es asociada comúnmente como un fenómeno de malignidad de la lesión, alto grado de flujo sanguíneo en vasos tiroideos se asocia con mal pronóstico. Asimismo, la invasión capsular se asocia con alto riesgo para metástasis ganglionar cervical. Todo nódulo con criterios de sospecha que se visualizan por estudio ecosonográfico debe realizársele PAAF, de acuerdo al consenso de la ATA 2015 (13,15).
El tratamiento de elección del MCPT, así como en los demás carcinomas de dicha glándula es la cirugía. Existe mucha controversia sobre el manejo adecuado y conducta de esta patología. Los últimos estudios y consensos lo que refieren es lo siguiente: en pacientes con bajo riesgo, con nódulos intra-tiroideos pequeños, unifocales, sin antecedentes de radiación en el área de cabeza y cuello, ni antecedentes familiares de neoplasias tiroideas y sin metástasis ganglionar cervical se sugiere la lobectomía. Si el paciente no cumple los requisitos ya mencionados se sugiere la tiroidectomía total. En pacientes con metástasis ganglionar cervical clínicamente positivos se sugiere la tiroidectomía con disección cervical, el rol de la disección cervical terapéutica está bien definido y debe apuntar a disecar el compartimiento involucrado y no solo buscar eliminar los ganglios afectados. El tratamiento estándar para el cáncer diferenciado de tiroides es la cirugía en combinación con la terapia adecuada de iodo radiactivo. Se ha demostrado que la terapia adyuvante con iodo radiactivo mejora la supervivencia a largo plazo y la recidiva locorregional en pacientes clasificados dentro del grupo de alto riesgo y en pacientes con remanente de enfermedad estructural y bioquímica (15,16,17,18,19,20).
Una forma de presentación del carcinoma diferenciado de tiroides bastante inusual es el MCPT con sarcoidosis, se han descritos pocos casos en la literatura con esta forma de presentación clínica. Sin embargo, en las últimas décadas se ha logrado avanzar en entender la relación que existe entre neoplasias y sarcoidosis. Podemos definir a la sarcoidosis como una enfermedad multi-sistémica de causa desconocida, que afecta a adultos jóvenes, presentándose con adenopatías hiliares bilaterales, cervicales de forma menos frecuente y mediastinales, compromiso pulmonar, lesiones cutáneas y oculares. Histológicamente se caracteriza por presentar granulomas no caseificantes de células gigantes multinucleadas. En un 60 % esta patología se resuelve espontáneamente, sin embargo, un 5 % cursa de forma crónica (21,22,23).
Muñoz y col., mencionan dos hipótesis con respecto a la relación entre la sarcoidosis y las neoplasias. La primera defiende el papel de las alteraciones inmunológicas de la sarcoidosis sistémica como agente causal en el desarrollo de neoplasias. La segunda teoría propone que los procesos neoplásicos pueden dar lugar a reacciones sarcoideas sobretodo a nivel de los ganglios locorregionales donde drenan los mismos, derivando a la larga en la aparición de la sarcoidosis (20). Es importante mencionar que pueden presentarse reacciones tipo sarcoideas frecuentemente, como proceso reactivo a varios tipos de neoplasias, por lo tanto en estos casos la sarcoidosis conduce al diagnóstico del cáncer padecido, por lo que no fue la neoplasia producida por la sarcoidosis (23).
Sin embargo, en un meta-análisis realizado por Patompong y col., se logró demostrar que no hay evidencia confiable de que los pacientes con sarcoidosis tengan mayor probabilidad de desarrollar cáncer, cobrando fuerza la segunda teoría de que los procesos neoplásicos pueden dar lugar a reacciones sarcoideas locorregionales (20,23).
En nuestro país, han sido reportados casos de MCPT haremos referencia de uno en particular el cual fue evaluado en el Instituto Médico La Floresta, Caracas, se evaluó paciente de 28 años de edad, quien consultó por insuficiencia respiratoria, se realiza diagnóstico de MCPT con metástasis pulmonares, se le realiza tiroidectomía total, posteriormente se le administra una dosis de 200 mCi de iodo radiactivo. Se realiza rastreo corporal mostrando escasa captación en región anterior del cuello, resto del cuerpo negativo. Paciente evoluciona satisfactoriamente y se mantiene en sus controles regulares sin presentar recidiva de enfermedad (18).
El manejo adecuado del MCPT es muy controversial, es por ello que es necesario estadificar adecuadamente el paciente para así poder brindarle un tratamiento eficaz que reduzca el riesgo de recurrencia de enfermedad y mortalidad. Factores como edad, multifocalidad, tamaño tumoral, invasión extra-tiroidea, metástasis cervical o a distancia y bilateralidad son datos que hay que tomar en cuenta al momento de conocer el pronóstico del paciente, porque con estos parámetros obtendremos un manejo más adecuado de la patología, para ello fueron creadas diversas tablas de riesgo y pronóstico (MACIS, EORTOC, AMES, DAMES, AGES, SAG) las cuales nos permiten una mejor orientación y saber cómo sería el patrón de comportamiento de la enfermedad (2,19).
El MCPT es una neoplasia con buen pronóstico, el comportamiento de la lesión suele ser benévolo por su bajo índice de agresividad, por esta razón su manejo y conducta es controversial, especialmente en presencia de enfermedad multifocal, indicador importante que nos orienta sobre la agresividad de dicha patología. La presentación del MCPT junto con sarcoidosis es bastante inusual y poco frecuente, y en las últimas décadas ha sido discutido la relación que pudiera existir entre ambas, es por ello su adecuado manejo nos orienta sobre el riesgo y pronóstico de la enfermedad y en conjunto con otros marcadores importantes nos permite decidir la conducta más adecuada.
REFERENCIAS
1. Zheng W, Wang K, Wu J, Wang W, Shang J. Multifocality is associated with central neck lymph node metastases in papillary thyroid microcarcinoma. Cancer Manag Res. 2018;10:1527-1533.
2. Hierro Galindo C. Microcarcinoma papilar de tiroides. Universidad de Cantabria. 2016. Disponible en: URL: https://repositorio.unican.es/xmlui/bitstream/handle/10902/8774/HierroGalindoC.pdf?sequence=4. Consultado: 18 agosto 2018.
3. Trapanese E, De Bartolomeis C, Angrisani B, Tarro G. Papillary thyroid microcarcinoma (Black Ink). Oncotarget. 2018;9(49):29275-29283.
4. Su H, Li Y. Prophylactic central neck dissection and local recurrence in papillary thyroid microcarcinoma: A meta-analysis. Disponible en: URL: https://www.sciencedirect.com/science/article/pii/S1808869418303367?via%3Dihub. Consultado 21 junio 2018.
5. Yuan J, Li J, Chen X, Lin X, Du J, Zhao G, et al. Identification of risk factors of central lymph node metastasis and evaluation of the effect of prophylactic central neck dissection on migration of staging and risk stratification in patients with clinically node-negative papillary thyroid microcarcinoma. Bull Cancer. 2017;104:516-523.
6. Wozencraft P, Foot FW, Frazell EL. Occult carcinomas of the thyroid. Heir bearing on the concept of lateral aberrant thyroid cancer. Cancer.1948;4:574-583.
7. Domínguez JM, Nilo F, Martínez MT, Massardo JM, Muñoz S, Contreras T, et al. Papillary thyroid microcarcinoma: Characteristics at presentation, and evaluation of clinical and histological features associated with a worse prognosis in a Latin American cohort. Arch Endocrinol Metab. 2018;62(1):6-13.
8. Cornetta AJ, Russell JP, Cunnane M, Keane WM, Rothstein JL. Cyclooxygenase-2 expression in human thyroid carcinoma and Hashimoto’s thyroiditis. Laryngoscope. 2002;112(2):238-242.
9. Park VY, Kim EK, Lee HS, Moon HJ, Yoon JH, Kwak JY. Real-Time PCR cycle threshold values for the BRAF mutation in papillary thyroid microcarcinoma may be associated with central lymph node metastasis. Medicine (Baltimore). 2015;94(28):e1149.
10. Cheng SP, Hsu YC, Liu CL, Liu TP, Chien MN, Wang TY, et al. Significance of allelic percentage of BRAF c.1799T > A (V600E) mutation in papillary thyroid carcinoma. Ann Surg Oncol. 2014;21 (Suppl 4):S619-26.
11. Seo JK, Kim EK, Kwak JI. Additional BRAF mutation analysis may have additional diagnostic value in thyroid nodules with ‘‘suspicious for malignant’’ cytology alone even when the nodules do not show suspicious US features. Endocrine. 2014;47:283-289.
12. Slijepcevic N, Zivaljevic V, Diklic A, Jovanovic M, Oluic B, Paunovic I. Risk factors associated with intra thyroid extension of thyroid microcarcinomas. Langenbecks Arch Surg. 2018;403(5):615-622.
13. Xia S, Dong Y, Kang H, Zhan W. Ultrasonography is valuable in evaluation of papillary thyroid microcarcinoma based on 5 mm tumor size. J Cancer Res Ther. 2018;(Suppl 14):S319-323.
14. Huang XP, Ye TT, Zhang L, Liu RF, Lai XJ, Wang L, et al. Sonographic features of papillary thyroid microcarcinoma predicting high-volume central neck lymph node metastasis. Surg Oncol. 2018;27(2):172-176.
15. Makay Ö, Özdemir M, Şenyürek YG, Tunca F, Düren M, Uludağ M, et al. Surgical approaches for papillary microcarcinomas: Turkey’s perspective. Turk J Surg. 2018;34:89-93.
16. Tang J, Liu HB, Yu L, Meng X, Leng SX, Zhang H1. Clinical-pathological characteristics and prognostic factors for papillary thyroid microcarcinoma in the elderly. J Cancer. 2018; 9(2):256-262.
17. Muller S, Senne M, Kirschniak A, Königsrainer A, Bares R, Falch C. Impact of surgical resection extension on outcome for primary well-differentiated thyroid cancer-a retrospective analysis. World J Surg Oncol. 2017;15(1):190.
18. Mijares BA, Suárez CM, Manzo A, Suárez J, Vivas L, Castro C, et al. Presentación inusual de microcarcinoma papilar tiroideo, insuficiencia respiratoria por metástasis pulmonares. Rev Venez Oncol. 2012;24(2):143-147.
19. Wang F, Yu X, Shen X, Zhu G, Huang Y, Liu R, et al. The prognostic value of tumor multifocality in clinical outcomes of papillary thyroid cancer. J Clin Endocrinol Metab. 2017;102(9):3241-3250.
20. Muñoz MC, Sánchez S, Pérez H, Serrano M, Botey M, López VJ, et al. Sarcoidosis y neoplasia, ¿casualidad o causalidad? Rev Clin Esp. 2016;216 (Espec Congr):1039.
21. Salih AM, Fatih SM, Kakamad FH. Sarcoidosis mimicking metastatic papillary thyroid cancer. Int J Surg Case Rep. 2015;16:71-72.
22. Bianco L, Servente L, Valuntas L, García F, Engler H. PET/TC en sarcoidosis asociada a enfermedad oncológica. Rev Argent Radiol. 2017;81(2):92-99.
23. Ungprasert P, Srivali N, Wijarnpreecha K, Thongprayoon C, Cheungpasitporn W, Knight EL. Is the incidence of malignancy increased in patients with sarcoidosis? A systematic review and meta-analysis. Respirology. 2014;19(7):993-998.
Notas de autor
unidadcabezaycuello@gmail.com