TUMOR DE CÉLULAS DE LA GRANULOSA OVÁRICO JUVENIL A PROPÓSITO DE UN CASO
TUMOR DE CÉLULAS DE LA GRANULOSA OVÁRICO JUVENIL A PROPÓSITO DE UN CASO
Revista Venezolana de Oncología, vol. 31, núm. 3, 2019
Sociedad Venezolana de Oncología

Recepción: 10 Marzo 2019
Revisado: 15 Abril 2019
Aprobación: 17 Mayo 2019
Resumen: El tumor de células de la granulosa es un inusitado tumor ovárico, más aún en la edad pediátrica, la literatura indica que su prevalencia e incidencia, es mayor en pacientes después de la quinta década de vida con una frecuencia de 3,4 % de todos los tumores malignos ováricos, puesto que la mayoría corresponden a patologías benignas. Produce síntomas derivados de la secreción de estradiol; tiene mejor pronóstico, menor agresividad que el resto de las neoplasias ováricas y una historia natural más prolongada. La cirugía constituye el principal abordaje diagnóstico, de estadiaje y terapéutico. La quimioterapia adyuvante sólo se recomienda en estadios precoces con factores de riesgo o en estadios avanzados, aumenta la supervivencia libre de enfermedad y de recaída como la radioterapia. El régimen más utilizado hasta el momento es bleomicina, etopósido y cisplatino con un alto índice de respuesta, planteando siempre que sea posible el rescate quirúrgico.
Palabras clave: Cáncer, células, granulosa, tumor, pediátrico.
Abstract: The tumor granulosa cells is an unusual ovarian tumor, even in the children, the literature indicates that the prevalence and the incidence is more higher in patients after the fifth decade of the life with a frequency of 3.4 % of all ovarian malignancies, since most of them correspond to the benign conditions. The tumor produces symptoms derived from the secretion of the estradiol; it has described as better prognosis, less aggressive than other ovarian neoplasms and the natural history was longer. The surgery is the main diagnostic approach and recommended to the staging and the treatment. The adjuvant chemotherapy is recommended only in the early stages with risk factors or the advanced stages, they increases disease free survival and relapse as the radiotherapy. The system most used so far is the bleomycin, the etoposide and the cisplatin with a high response rate, always considering possible the surgical salvage.
Keywords: Cancer, cells, granulosa, tumor, pediatrics.
INTRODUCCIÓN
El tumor de células de la granulosa (TCG) es un tipo de neoplasia inusual que se caracteriza por su capacidad de secretar esteroides sexuales como los estrógenos (1). Su presentación es similar a otros carcinomas ováricos pero sus marcadores séricos, su comportamiento biológico, sus factores pronósticos y su manejo terapéutico deben particularizarse.
En vista de lo inusual en cuanto a la incidencia de esta neoplasia en la edad pediátrica y teniendo en cuenta que los tumores de las células de la granulosa son más frecuente en la quinta década de la vida refiriéndonos al subtipo de la granulosa adulta y que la incidencia de los tumores de la granulosa juvenil se manifiestan en pacientes menores de 30 años (2); se presenta el caso de una lactante diagnosticada de un TCG ovárico, su evolución clínica y el tratamiento realizado; se realiza una actualización de los conocimientos sobre este tumor tan infrecuente.
CASO CLÍNICO
Se trata de lactante menor femenino de 5 meses de edad natural y procedente del Estado Apure, con inicio de enfermedad actual en junio de 2015 cuando comienza a presentar distensión, dolor abdominal difuso y evacuaciones líquidas, por lo cual es llevada a centro de salud de su localidad, donde descartan patología infecciosa; sin embargo, por persistir aumento del perímetro abdominal y palpar una masa sólida en hipogastrio y fosa iliaca izquierda se realiza ecosonograma abdominal y tomografía axial computarizada (TAC) de abdomen con doble contraste que reporta ascitis severa y lesión ocupante de espacio (LOE) abdominal izquierdo; por lo que se plantea diagnóstico tumor de ovario izquierdo (Figura 1, 2).


Se realiza laparotomía exploratoria, el 03 de julio de 2015 obteniendo como hallazgos intra-operatorios líquido sero-hemático abundante en cavidad abdominal, tumor de ovario izquierdo de 10 cm x 5,5 cm aproximadamente de aspecto seroso, con salida de secreción de contenido sero-hemático y útero aumentado de tamaño para la edad. Se obtiene muestra y se realiza citoquímico de líquido ascítico que reportó trasudado. Se realizó estudio de anatomía patológica que reportó tumor de ovario izquierdo, carcinoma de células pequeñas de ovario; en vista de tales hallazgos, es referida al Hospital Militar “Dr. Carlos Arvelo” (Caracas, Venezuela) para estudio y seguimiento.
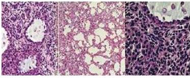
Ante la evidencia de un tumor inusual en la edad pediátrica se solicitó revisión de bloque celular e inmunohistoquímico cuyo resultado es el siguiente: hallazgos inmunohistoquímicos compatible con tumor de célula de la granulosa con área micro quística. Se confirma diagnóstico con una segunda revisión de bloque celular e inmunohistoquímico, que además reporta un índice mitótico elevado, con 7-8 mitosis atípicas por campo de 40 x (Figura 5). Se realiza gammagrama el cual reporta dentro de los límites normales, y perfil hormonal que incluyó α feto proteína (AFP), estradiol, progesterona, testosterona libre y testosterona total, todas dentro de los límites normales. Puesto que este tumor se comporta como tumor germinal.

La paciente recibe quimioterapia sistémica a base de bleomicina (0,5 mg/kg/dosis), etopósido (3 mg/kg/dosis), cisplatino (0,7 mg/k/dosis).
La paciente recibió 6 ciclos de quimioterapias protocolizadas cada 21 días, evidenciándose evolución clínica satisfactoria y nivel de α feto proteína y perfil hormonal sin evidencia de recidiva hasta la fecha. Actualmente en seguimiento por parte del servicio de oncología pediátrica.
DISCUSIÓN
Los TCG constituyen el 2 %-5 % de todos los carcinomas del ovario; y, el subtipo juvenil constituye un mínimo porcentaje; estas neoplasias, tal como su nombre lo indica derivan de las células de la granulosa que forman parte del estroma ovárico y que son las responsables de la producción de estradiol. La literatura describe dos subtipos: adulto y juvenil, con clínica y hallazgos histopatológicos diferentes entre sí (2,3). El TCG juvenil involucra sólo al 5 % de todos los TCG y afecta a niñas pre púber y mujeres menores de 30 años que pueden mostrar una pseudo-pubertad precoz; hasta en el 10 % de los casos se asocia a dolor abdominal acompañado de masa pélvica. El 80 % de estas pacientes son niñas prepuberales, aumentando su incidencia en aquellas con enfermedad de Ollier (encondromatosis múltiple) o síndrome de Maffucci (discondroplasia). También se ha observado un aumento de prevalencia en pacientes sometidas a tratamientos de infertilidad. Puede aparecer incluso durante el embarazo, diagnosticándose incidentalmente, con un comportamiento similar a las no gestantes, pero con mayor riesgo de complicaciones (2,3,4,5). El subtipo juvenil, a pesar de parecer más indiferenciado, tiene un pronóstico más favorable porque se diagnostica tempranamente; contrario al subtipo adulto, cuya clínica insidiosa suele retrasar su sospecha y por ende su diagnóstico, presentando mayor tendencia a la recidiva (1,2). Se presenta con irregularidad menstrual, menorragias o amenorrea y raramente infertilidad, pseudo-pubertad precoz en pre-menárquicas e hirsutismo y datos de virilización en casos con componente de células de Sertoli y Leydig. El dolor abominó-pélvico se produce por distensión secundaria a la masa ovárica, a veces como resultado de una torcedura ovárica (2,4). Por su particularidad muy vascularizada, el TCG aparece en ocasiones con ruptura intra-tumoral hemorrágica simulando un embarazo ectópico (2). El paso inicial para el diagnóstico es el examen físico, el cual puede ser normal o mostrar evidencia de masa palpable pélvica o abdominal y estudio ecográfico que puede revelar una masa ecogénica, quística o septada en el ovario.
El pilar fundamental del tratamiento y del estadiaje es la cirugía; en los casos de TCG adulto y mujeres posmenopáusicas es similar a la ajustada para los tumores ováricos (1). En el subtipo juvenil y en mujeres que desean preservar su fertilidad, una vez excluida la enfermedad a distancia y realizada una biopsia endometrial para descartar afectación, se intentan medidas conservadoras como la salpingooforectomía unilateral (6,7).
Macroscópicamente se evidencia una masa quística amarillenta la cual está constituida histológicamente por células de la granulosa sola o en combinación con otras del estroma de los cordones sexuales y patrón de crecimiento difuso en macro-folículos (Figura 3, 4). Presentan morfología redonda u oval con abundante citoplasma y sin el típico núcleo en “grano de café” (con una hendidura atravesándolo) del TCG adulto (Figura 5); tampoco aparecen los cuerpos de Call-Exner (2,8,9). Estas peculiaridades sirven para el diagnóstico diferencial del TCG juvenil y adulto (Figura 5) y de los carcinomas indiferenciados ováricos, en ocasiones muy dificultosa (2).


REFERENCIAS
1. Schumer ST, Cannistra SA. Granulosa cell tumor of the ovary. J Clin Oncol. 2003; 6:1180-1189.
2. Piura B, Nemet D, Yanai-Inbar I, Cohen Y, Glezerman M. Granulosa cell tumors of the ovary: A study of 18 cases. J Surg Oncol. 1994;55:71-77.
3. Young RH, Dickersin GR, Scully RE. Juvenile granulosa cell tumors of the ovary: A clinic pathologic analysis of 125 cases. Am J Surg Pathol. 1984;8:575-596.
4. Cannistra SA. Cancer of the ovary. N Engl J Med. 1993;329:1550-1559.
5. Miller BE, Barron BA, Wan JY, Delmore JE, Silva EG, Gershenson DM. Prognostic factors in adult granulosa cell tumors of the ovary. Cancer. 1997;79:1951-1955.
6. Camlibel FT, Caputo TA. Chemotherapy of granulosa cell tumors. Am J Obstet Gynecol. 1983;145:763-765.
7. Savage P, Constenla D, Fisher C, Shepherd JH, Barton DP, Blake P, et al. Granulosa cell tumors of the ovary: Demographics, survival and the management of advanced disease. Clin Oncol (R Coll Radiol). 1998; 10:242-245.
8. Fujimoto T, Sakuragi N, Okuyama K, Fujino T, Yamashita K, Yamashiro S, et al. Histopathologic prognostic factors of adult granulosa cell tumors of the ovary. Acta Obstet Gynecol Scand. 2001;80:1069-1074.
9. Hildebrant RH, Rouse RV, Longacre TA. Value of inhibin in the identification of granulosa cell tumors of the ovary. Hum Pathol. 1997;28:1387-1395
10. Homesley HD, Bundy BN, Hurteau JA, Roth LM. Bleomycin, etoposide and cisplatin combination therapy of ovarian granulosa cell tumors and other stromal malignancies: A Gynecologic Oncology Group study. Gynecol Oncol. 1999;72:131-137.
Notas de autor
drmanuelc27@gmail.com