RECAÍDA TARDÍA DE CARCINOMA PAPILAR MUCINOSO ESTADIO IA. REPORTE DE CASO. REVISIÓN DE LA LITERATURA
RECAÍDA TARDÍA DE CARCINOMA PAPILAR MUCINOSO ESTADIO IA. REPORTE DE CASO. REVISIÓN DE LA LITERATURA
Revista Venezolana de Oncología, vol. 31, núm. 4, pp. 234-238, 2019
Sociedad Venezolana de Oncología

Recepción: 12 Abril 2019
Revisado: 18 Mayo 2019
Aprobación: 15 Julio 2019
Resumen: El cáncer de ovario mucinoso corresponde al 5 % de todas las malignidades ováricas, el 80 % se presentan en etapas tempranas, el tratamiento quirúrgico sigue siendo el pilar fundamental. Su comportamiento biológico es totalmente diferente a otros tipos histológicos, es necesario conocer sus manifestaciones clínicas, la mayoría de las recaídas tardías en estadios tempranos se manifiestan en pacientes menores de 40 años siendo los sitios más comunes, peritoneo y pulmón. Se presenta este caso, de una paciente de 61 años quien el 2005 posterior a una ooforectomía en centro foráneo que reportó adenocarcinoma papilar mucinoso de ovario fue completada la cirugía estadiadora en nuestra institución, concluyéndose como un estadio IA. En 2017 refiere trastornos evacuatorios y dolor pélvico, evidenciándose tumoración en pared posterior de vagina de 3 cm, la cual reportó adenocarcinoma mixto mucinoso papilar, se presenta este caso considerando la recurrencia tardía y lo atípico de su ubicación.
Palabras clave: Adenocarcinoma, ovario, recaída, mucinoso.
Abstract: The mucinous ovarian cancer corresponds to 5 % of all ovarian malignancies, and more than 80 % present in early stages, however surgical treatment remains the fundamental pillar of this entity. Its biological behavior is totally different from other histological types and it is necessary to know its clinical manifestations, most of the late relapses in early stages are manifested in patients under 40 years old being the most common sites, peritoneum and lung. This case corresponds to a 61 year old patient during 2005, which after an oophorectomy in a foreign center that reported mucinous ovarian papillary adenocarcinoma was completed the staging surgery in our institution, concluding as a stage IA. In 2017, she reported evacuation disorders and pelvic pain, evidencing a tumor in the posterior wall of the vagina of 3cm, which reported mixed mucinous-papillary adenocarcinoma. This case is presented considering the late recurrence and the atypical location.
Keywords: Adenocarcinoma, ovarian, recurrence, mucinous.
INTRODUCCIÓN
El cáncer de ovario tiene una incidencia mundial de 6,3 por cada 100 000 mil mujeres y es la 7a causa más común de cáncer diagnosticado (1). El carcinoma mucinoso de ovario (CMO) es diagnosticado frecuentemente en etapas tempranas y en pacientes pre-menopaúsicas, sin embargo, es el tipo histológico menos común de las malignidades epiteliales de ovario (2,3), apenas equivale a un 5 % de todas las malignidades de ovario (4). A diferencia de los carcinomas serosos de ovario, los tumores mucinosos de ovario son diagnosticados un 83 % en estadio I, sin embargo, el estadiaje completo debe realizarse a todas las pacientes(5,6). Es fundamental determinar si este tumor es una enfermedad metastásica de un primario no ginecológico, o es primario del ovario (7). Es relevante conocer que la presentación clínica y la evolución natural de este tipo histológico, porque tiene un comportamiento totalmente diferente al resto de los tipos histológicos y una respuesta diferente a la terapia, a pesar de que la conducta quirúrgica es el tratamiento ideal en el cáncer de ovario independiente de tipo histológico (8).
El antígeno carcinoembrionario es el marcador tumoral de mayor utilidad para identificar el CMO preoperatoriamente y en el seguimiento de los pacientes pos-operados, este se encuentra elevado en casi un tercio de todos los carcinomas de ovario, con mayor afinidad a elevarse en carcinomas mucinosos que en los no mucinosos 88 % vs. 19 % (5).
La prevención de la recurrencia es fundamental porque los resultados del tratamiento de esta son poco prometedores, aún en cáncer de ovario diagnosticado en estadio I, varios estudios han reportado la recurrencia en el cáncer epitelial de ovario en este estadio, pero en la mayoría de estos estudios han incluido solo una pequeña muestra (9,10,11,12,13).
La mayoría de las recurrencias tardías en estadios tempranos del CMO, se presentan en pacientes con diagnóstico inicial antes de los 40 años, con una media de aproximadamente 60 meses, lo cual le confiere una característica tardía, y el sitio más común es en el pulmón y el peritoneo (14). En vistas de los pocos casos reportados en la literatura internacional de recurrencia tardía de CMO, se presenta a continuación un caso de recurrencia tardía en cúpula vaginal.
CASO CLÍNICO
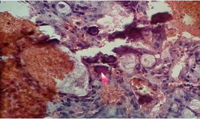
Paciente de 61 años de edad IVG IIIP IC quien en mayo de 2005 presentó aumento de volumen abdominal y dolor en fosa iliaca derecha por lo cual acude a facultativo quien realiza ecosonograma abdominal evidenciando tumor ecomixto de ovario derecho, es llevada a mesa operatoria donde realizan ooforectomía derecha, cuya biopsia definitiva reportó cistoadenocarcinoma papilar mucinoso, moderadamente diferenciado, es referida al Servicio Oncológico Hospitalario del IVSS en junio de 2005 donde se evalúa, se solicitan estudios de extensión y se decide en reunión de servicio realizar cirugía estadiadora de ovario. La biopsia definitiva correspondiente a útero, ovario izquierdo, muestras peritoneales, epiplón y apéndice cecal reportaron negativas para malignidad por lo que se concluye con el diagnóstico de, adenocarcinoma papilar mucinoso de ovario estadio IA, se mantiene en control anual y en diciembre 2017 paciente refiere trastornos del hábito evacuatorio, y dolor pélvico. Al examen físico abdomen blando depresible no doloroso a la palpación. Genitales externos normo configurados, especuloscopia se evidencia en cúpula vaginal lesión de aproximadamente 3 cm friable indurada, sangrante. Al tacto vaginal se palpa paredes vaginales lisas, se palpa tumoración indurada de aproximadamente 3 cm en pared posterior y 1/3 superior de vagina, de bordes lisos. Tacto rectal, se palpa tumoración de aproximadamente a 6 cm de margen anal indurada, de bodes lisos que comprime y desplaza la pared anterior de recto, ocluyendo la luz del mismo en un 40 %. Se solicitan estudios de endoscopia inferior sin alteraciones. Se solicitan marcadores tumorales con elevación del Ca 125 en 171 U/mL. Tomografía abdomino-pélvica se aprecia lesión a nivel de cúpula vaginal de aproximadamente 6 cm hiperdensa de bordes regulares que comprime recto. Citología de abril 2018 reporta positivo para malignidad, adenocarcinoma, Biopsia de cúpula vaginal, adenocarcinoma de patrón mixto sero mucinoso (mucinoso 80 % y seroso 20%), presencia de calcificaciones tipo psammomatoso, material fibrinoide abundante, invasión vascular no observada. Es discutida en reunión de servicio y se concluye que paciente no tiene criterios de resecabilidad y se refiere para iniciar tratamiento por el servicio de oncología médica. Se indican controles estrictos cada tres meses por el servicio de ginecología oncológica.


DISCUSIÓN
El CMO es uno de los cánceres de ovario menos frecuente, diagnosticado más comúnmente en estadio I y en pacientes jóvenes (15). Posee características únicas que lo diferencian del resto de sus contrapartes epiteliales, pudiéndose mencionar así características clínicas como la sintomatología, la tasa de bilateralidad, estadio al momento del diagnóstico y además diseminación linfática y marcadores tumorales; estas características en conjunto han permitido que se establezcan recomendaciones quirúrgicas específicas para estos casos (16). El porcentaje de pacientes con CMO en estadios iniciales al momento del diagnóstico es del 83 % contrastando con el 4 % de los carcinoma epiteliales de ovario (CEO) (18). Generalmente asociado a buen pronóstico cuando se diagnostica en etapas iniciales, pero con una baja sobrevida en etapas avanzadas probablemente debido a la quimio-resistencia (17).
En un estudio retrospectivo publicado en 2017, evaluando la importancia de la linfadenectomía pélvica y para-aórtica en CMO, 31 pacientes con CMO en estadios I y II (92,86 %), y III (7,14 %), se realizó linfadenectomía al 45,16 %, obteniendo ganglios negativos en todos los casos. Se reportaron recurrencia en 5 pacientes con diagnóstico de CMO estadio I a quienes no se les realizó linfadenectomía (16).
Pocos trabajos describen detalladamente los sitios más frecuentes de recurrencia en CEO estadio I, uno de ellos publicado en 1997, retrospectivo de 224 pacientes, con recaída en 17 % incluyendo recurrencia peritoneal en 54 % de los casos. La tasa de recurrencia fue más baja para CMO con 11,5 % y más alta para carcinoma de células claras con 35,7 % (12).
En un trabajo retrospectivo publicado en 2013, se estableció recurrencia en un 19 % de 467 pacientes con CEO estadio IA-IIA, incluyendo recurrencia peritoneal en el 44 % (13), contrastando con un estudio retrospectivo publicado en 2018, en el cual de 602 pacientes con CEO estadio I, la tasa de recurrencia fue del 11,6 %, con localización peritoneal e intra-pélvica en un 70 % y 61 % respectivamente. Pudiendo establecer de esta manera que la metástasis peritoneal, específicamente en el peritoneo intra-pélvico es el sitio más frecuente de recurrencia en CEO estadio I (18). Lo cual difiere del caso previamente reportado, marcando una gran diferencia y generando una visión diferente de la presentación clínica de las metástasis de este tipo de tumores. Por lo tanto, el comportamiento biológico de su diseminación peritoneal pudiese ser el patrón fundamental que justifique lo atípico de este caso.
El CMO constituye una entidad poco frecuente dentro de las malignidades del ovario, generalmente diagnosticado en estadios I, en los cuales se asocia un pronóstico favorable. En estadios avanzados se encuentra asociado a un peor pronóstico con una baja tasa de sobrevida. Pocos estudios han evaluado las pacientes con CMO en estadios I que desarrollan enfermedad recurrente después de la cirugía con o sin terapia adyuvante por lo que deberían reportarse todos los casos, a fin de poder definir con mayor precisión variables que puedan influir en la recurrencia de estas pacientes. El caso presentado trata de una recurrencia tardía lo cual sugiere que el seguimiento a largo plazo pudiera ser importante en estas pacientes.
Referencias
1. Hashmi AA, Hussain ZF, Bhagwani AR, Edhi MM, Faridi N, Hussain SD, et al. Clinic pathologic features of ovarian neoplasms with emphasis on borderline ovarian tumors: An institutional perspective. BMC Res Notes. 2016;9:205.
2. Kurman RJ, Carcangiu ML, Herrington CS. WHO Classification of Tumours of Female Reproductive Organs. 4a edición. Lyon: IARC; 2014.
3. Bentivegna E, Gouy S, Maulard A, Pautier P, Leary A, Colombo N, et al. Fertility-sparing surgery in epithelial ovarian cancer: A systematic review of oncological issues. Ann Oncol. 2016;27:1994-2004.
4. Seidman J, Soslow R, Vang R, Berman J, Stoler M, Sherman M, et al. Borderline ovarian tumors: Diverse contemporary viewpoints on terminology and diagnostic criteria with illustrative images. Hum Pathol. 20014;35:918-933.
5. Chen SS. Survival of ovarian carcinoma with or without lymph node metastasis. Gynecol Oncol. 1987;27:368-372.
6. Panici PB, Maggioni A, Hacker N, Landoni F, Ackermann S, Campagnutta E, et al. Systematic aortic and pelvic lymphadenectomy versus resection of bulky nodes only in optimally debulked advanced ovarian cancer: A randomized clinical trial. J Nat Cancer Inst. 2005;97:560-566.
7. Perren TJ. Mucinous epithelial ovarian carcinoma. Ann Oncol. 2016;27(Suppl 1):S53-57.
8. Vergote I, Brabanter JD, Fyles A, Bertelsen K, Einhorn N, Sevelda P, et al. Prognostic importance of degree of differentiation and cyst rupture in stage I invasive epithelial ovarian carcinoma. Lancet. 2001;357:176-182.
9. Schilder JM, Thompson AM, DePriest PD, Ueland FR, Cibull ML, Kryscio RJ, et al. Outcome of reproductive age women with stage IA or IC invasive epithelial ovarian cancer treated with fertility-sparing therapy. Gynecol Oncol. 2002;87:1-7.
10. Trimbos JB, Vergote I, Bolis G, Vermorken JB, Mangioni C, Madronal C, et al. Impact of adjuvant chemotherapy and surgical staging in early-stage ovarian carcinoma: European organization for research and treatment of cancer-adjuvant chemo therapy in ovarian neoplasm trial. J Natl Cancer Inst. 2003;95:113-125.
11. Tropé C, Kaern J, Hogberg T, Abeler V, Hagen B, Kristensen G, et al. Randomized study on adjuvant chemotherapy in stage I high-risk ovarian cancer with evaluation of DNA-ploidy as prognostic instrument. Ann Oncol. 2000;11:281-288.
12. Gadducci A, Sartori E, Maggino T, Zola P, Landoni F, Fanucchi A, et al. Analysis of failures in patients with stage I ovarian cancer: An Italian multicenter study. Gynecol Oncol. 1998;68(2):150-155.
13. Gadducci A, Cosio S, Zola P, Sostegni B, Fuso L, Sartori E. Prognostic factors and clinical outcome of patients with recurrent early stage epithelial ovarian cancer: An Italian multicenter retrospective study. Int J Gynecol Cancer. 2013;23:461-468.
14. Masuko T, Kiminobu S, Kaneda H, Furuya T, Ikeda T, Koshinaga T. Late recurrence of stage Ia ovarian mucinous cystoadenocarcinoma in teenage patients. J Ped Surg Case Reports. 2013;1:174-176.
15. Gouy S, Saidani M, Maulard A, Bach-Hamba S, Bentivegna E, Leary A, et al. Characteristics and prognosis of stage I ovarian mucinous tumors according to expansile or infiltrative type. Int J Gynecol Cancer. 2018;28:493-499.
16. Ceballos I, Rios J, Pérez-Montiel D, Gallardo L, Barquet-Muñoz S, Salcedo-Hernández R, et al. Is lymphadenectomy necessary in mucinous ovarian cancer? A single institution experience. Int J Surg. 2017;41:1-5.
17. Brown J, Frumovitz M. Mucinous tumors of the ovary: Current thoughts on diagnosis and management. Curr Oncol Rep. 2014;16(6):389.
18. Hirose S, Tanabe H, Nagayoshi Y, Hirata Y, Narui C, Ochiai K, et al. Retrospective analysis of sites of recurrence in stage I epithelial ovarian cancer. J Gynecol Oncol. 2018;29(3):e37.
Notas de autor
dadb1986@gmail.com