SCHWANNOMA PÉLVICO RETROPERITONEAL BENIGNO SIMULANDO TUMORACIÓN OVÁRICA
SCHWANNOMA PÉLVICO RETROPERITONEAL BENIGNO SIMULANDO TUMORACIÓN OVÁRICA
Revista Venezolana de Oncología, vol. 31, núm. 4, pp. 246-252, 2019
Sociedad Venezolana de Oncología

Recepción: 09 Mayo 2019
Revisado: 18 Julio 2019
Aprobación: 01 Agosto 2019
Resumen: Los schwannomas suelen ser tumores benignos que surgen de células de Schwann de la vaina del nervio periférico que se encuentran comúnmente en los tejidos blandos. Los schwannomas pélvicos son tumores benignos raros que surgen del espacio retro-rectal, lateral u obturador. OBJETIVO: Reportar un caso de schwannoma pélvico retroperitoneal benigno simulando tumoración ovárica. CASO CLÍNICO: Paciente femenina de 55 años quien presentó aumento de volumen abdominal, acompañado de dolor en región lumbar y flanco derecho que se irradiaba a la cara posterior del muslo. La ecografía y tomografía abdomino-pélvica confirmó la presencia de tumoración pélvica hiperecogénica y poli-lobulada que desplazaba los vasos pélvicos, sugiriendo la posibilidad diagnóstica de cistoadenoma de ovario. Durante la cirugía se observó tumoración sólida de color blanco amarillento que ocupaba la pelvis derecha con adherencias al promontorio y mesenterio, lográndose extirpar totalmente. Los análisis inmunohistoquímicos confirmaron el diagnóstico schwannoma benigno por la fuerte colocación intensa a la proteína S100. CONCLUSIÓN: La ausencia de sintomatología y características radiológicas específicas hace que el diagnóstico preoperatorio sea bastante difícil y este solo se logra en base a los hallazgos histológicos e inmunohistoquímicos posoperatorios. La extirpación completa del tumor se debe considerar como el tratamiento de elección para los schwannomas pélvicos retroperitoneales benignos.
Palabras clave: Schwannoma pélvico, benigno, schwannoma retroperitoneal, tumor benigno, vaina nerviosa, tumor pélvico.
Abstract: The schwannomas are usually benign tumors that arise from the Schwann cells of the peripheral nerve sheath that are commonly found in the soft tissues. The pelvic schwannomas are rare benign tumors that arise from retro rectal, lateral or the obturator space. OBJECTIVE: To present a case of benign retroperitoneal pelvic schwannoma simulating an ovarian tumor. CLINICAL CASE: A 55-year old female patient presented an increase of abdominal volume, accompanied by pain in the lumbar region and right flank that irradiated to the posterior side of the thigh. Abdominal pelvic ultrasound and tomography confirmed the presence of a hyperechoic and poly lobed pelvic mass that displaced the pelvic vessels, suggesting the diagnostic possibility of ovarian cystadenoma. During the surgery, a yellowish white solid tumor was observed occupying the right pelvis with adhesions to promontory and the mesentery, being completely removed. Immunohistochemical analysis confirmed the diagnosis of benign schwannoma due to the strong intense staining of S100 protein. CONCLUSION: The absence of symptoms and the specific radiological characteristics makes preoperative diagnosis quite difficult and this is only achieved based on the postoperative histological and immunohistochemically findings. Complete excision of the tumor should be considered as the treatment of choice for benign retroperitoneal pelvic schwannomas.
Keywords: Benign pelvic, schwannoma, retroperitoneal schwannoma, benign tumor, nervous sheath, pelvic tumor.
INTRODUCCIÓN
Los schwannomas (neurilemomas) son tumores de tejidos blandos que se originan en las células de Schwann de la vaina nerviosa de los nervios periféricos, craneales o viscerales, en cualquier parte del cuerpo. Se presentan predominantemente en mujeres entre la segunda y quinta década de la vida. Estas neoplasias están encapsuladas y son generalmente únicas, de crecimiento lento y no invasivo, se encuentran en cabeza, cuello y superficies flexores de las extremidades, rara vez en pelvis y retroperitoneo (1). Los schwannomas pélvicos, con origen en el plexo sacro e hipogástrico son poco frecuentes y comprenden aproximadamente 1 % - 3 % de todos los schwannomas. En la mayoría de los casos son difíciles de diagnosticar, porque son clínicamente "silenciosos" y se manifiestan cuando aumentan a un tamaño que comprime órganos circundantes (efecto de masa) produciendo síntomas vagos e inespecíficos antes de la cirugía (2). En la mayoría de los casos, la resección quirúrgica tiene una finalidad diagnóstica y terapéutica (3). Se presenta el informe de un caso de schwannoma pélvico retroperitoneal benigno simulando tumoración ovárica.
CASO CLÍNICO
Se trata de paciente femenina de 55 años quien asistió a la consulta por presentar aumento de volumen del abdomen desde hace aproximadamente 6 meses, acompañado de dolor de leve-moderada intensidad en región lumbar y flanco derecho que se irradiaba a la cara posterior del muslo y el cual no mejoraba con el consumo de antiinflamatorios no esteroideos. Negaba antecedentes personales o familiares de importancia y otros síntomas como fiebre, escalofríos, urgencia miccional, polaquiuria o pérdida de peso.
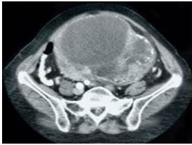
El examen físico mostró temperatura de 37,5°C, pulso de 81 latidos por min, frecuencia respiratoria de 17 respiraciones por min y la presión arterial de 146/84 mm de Hg. La evaluación abdominal demostró tumoración no dolorosa en hemiabdomen inferior sin alteraciones neurológicas periféricas. Las pruebas de laboratorio estaban dentro de límites normales. La ecografía abdomino-pélvica que reportó gran tumoración encapsulada, ovoidea y blanda de 20 cm de diámetro que sugería la posibilidad de tumoración ovárica. La tomografía confirmó la presencia de tumoración pélvica hiper ecogénica, compleja, poli-lobulada, que contenía tabiques internos, áreas sólidas periféricas y calcificaciones periféricas que se extendía desde la aorta inferior a nivel del sacro que medía 20 cm x 19 cm de diámetro que desplazaba los vasos pélvicos sin evidencia de infiltración a las estructuras que lo rodeaban, sugiriendo la posibilidad diagnostica de cistoadenoma de ovario (Figura 1). Sin embargo, no se pudo establecer el origen de la lesión. Los marcadores tumorales fueron negativos. La cistoscopia y rectosigmoidoscopia excluyeron la posible afección urológica e intestinal. En vista de los hallazgos clínicos de imágenes y de laboratorio se consideró que la lesión era benigna y se programó la cirugía debido al origen incierto y tamaño del tumor.

Durante la laparotomía se observó tumoración sólida de color blanco amarillento que ocupaba la pelvis derecha con adherencias al promontorio y mesenterio que medía aproximadamente 20 cm, cerca de la arteria y vena iliaca externa, desplazando los vasos iliacos al lado izquierdo y cubierta de peritoneo. Se realizó citología de líquido de aspecto seroso peritoneal que no demostró células malignas. La extirpación de la lesión comenzó con el retiro del peritoneo, creando un plano de disección de toda la lesión adherida al sacro (Figura 2). Se aislaron los vasos iliacos de ambos lados con liberación de la tumoración desde su base de fijación a la fascia pre-sacra, logrando la extirpación completa de la lesión junto con toda la cápsula sin clara o definida invasión ni del origen de los nervios periféricos. La biopsia por congelación demostró que la tumoración era de posible origen mesenquimal de características benignas. Sin embargo, se realizó la histerectomía total, ooforosalpingectomía bilateral, omentectomía parcial y apendicetomía. La cirugía se completó sin complicaciones.

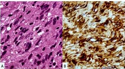
La evaluación anatomopatológica del tumor: firme y elástico de 19 cm x 17 cm, sin márgenes infiltrados con una cápsula colágena y vasos hialinizados bien definidos. Se observaron componentes celulares densos y altamente ordenados formados por células fusiformes típicas con núcleos en forma de huso bien organizadas con disposición en relieve (paquetes cortos de fascículos entrelazados) junto a empalmes nucleares (cuerpos de Verocay) formados por dos líneas paralelas de núcleos con un espacio nuclear entre ellos indicando un patrón mixoide hipercelular (Antoni A) y escasas áreas con patrón mixoide hipocelular (Antoni B). No se observaron núcleos grandes y atípicos o mitosis. La inmunohistoquímica mostró fuertemente positivo para proteína S100 positiva y vimentina y negativo para antígeno de membrana epitelial, pancitoqueratina, desmina y CD34 negativa (Figura 3). La falta de inmunorreactividad del antígeno de membrana epitelial indicó la ausencia de diferenciación de células peri-neurales. Por lo tanto, los resultados del examen inmunohistoquímico sugirieron schwannoma benigno. La posibilidad de sí la lesión era benigna o maligna se resolvió con el hallazgo de un índice de proliferación bajo (Ki-67 de 3 %), lo que sugería su naturaleza benigna.
El posoperatorio de la paciente transcurrió sin incidentes ni compromisos neurológicos periféricos y fue dada de alta a los 4 días. Debido a la naturaleza benigna del tumor y potencial buen pronóstico, no se consideró el uso de tratamiento adyuvante. La ecografía abdominal se realizó cada 6 meses y la resonancia magnética control se realizó a los 12 meses. Dado que no se sospecharon asociaciones genéticas, el paciente no se sometió a ninguna prueba genética. Durante el período de seguimiento, la paciente estaba en buenas condiciones y sin evidencia de recurrencia de la enfermedad luego de 24 meses de seguimiento.

DISCUSIÓN
Los schwannomas suelen ser tumores solitarios, bien circunscritos, firmes y de superficie lisa que con frecuencia sufren cambios secundarios como hemorragia, quistes, calcificación o degeneración maligna. La mayoría de los casos se registran en población de 20 a 60 años, en la que las mujeres tienen la mayor tasa de morbilidad (1). Aquellos que aparecen en la pelvis son raros y surgen principalmente en los espacios retro-rectal y obturador más frecuentemente, mientras que la ubicación en el espacio pélvico lateral es menos común (2). Es considerada una entidad benigna con bajo potencial maligno y puede está asociada con neurofibromatosis o enfermedad de Von Recklinghausen (3).
Los schwannomas pélvicos, a menudo, son asintomáticos en etapas tempranas. Cuando crecen, producen síntomas inespecíficos y vagos, que no son de utilidad diagnóstica. La sintomatología más común puede variar desde tumoración pélvica u abdominal hasta secundaria a compresión, como dolor mal localizado, inespecífico y/o referido a las extremidades inferiores. La incontinencia urinaria o fecal y deficiencias neurológicos en los miembros inferiores son poco frecuentes (4,5). En vista de lo anteriormente expuesto, es importante considerar la posibilidad diagnóstica en pacientes que refieren dolor crónico en la región lumbar inferior y/o abdominal lateral que se irradia hacia el muslo, independiente de la actividad física y que no responde tratamiento médico y/o fisioterapia.
El diagnóstico preoperatorio de los schwannomas pélvicos retroperitoneales es difícil. La ecografía es un método rápido, económico y eficaz para la orientación diagnóstica inicial con respecto a tumoraciones pélvicas / retroperitoneales, pero es inespecífica en la mayoría de los casos. La resonancia magnética es el método diagnóstico ideal de la mayoría de los tumores de tejidos blandos debido a su mayor predictibilidad diagnóstica, porque se pueden observar las características de los tumores neurogénicos, como haces (signo fascicular) y centro hipointenso con periferia hiperintensa (signo objetivo). Además, los schwannomas tienen intensidad de señal baja en imágenes ponderadas T1 (similar al músculo) e intensidad de señal alta en las imágenes ponderadas T2 (similar a la grasa), que pueden verse afectadas por la disposición celular intra-tumoral. Sin embargo, la resonancia magnética no puede diferenciar de manera confiable las lesiones benignas de las malignas (5). Varias características como contornos irregulares, heterogeneidad, tamaño mayor de 5 cm, realce periférico, áreas degenerativas, lóbulos intra-tumoral, edema peri-tumoral, apariencia diferente a la quística de la lesión e invasión de estructuras adyacentes pueden ser signos potenciales de malignidad, especialmente en pacientes con enfermedad de Von Recklinghausen(5,6). La citología percutánea con aguja fina también ha sido utilizada para intentar realizar el diagnóstico preoperatorio, pero si el tumor es de tipo mixto y de gran tamaño puede llevar a diagnósticos erróneos (6,7).
Teniendo en cuenta los síntomas inespecíficos y pocos concluyentes acompañado de resultados de imágenes inespecíficos, el diagnóstico se basa en la exclusión de otras patologías. Los diagnósticos diferenciales con schwannomas incluyen fibrosarcoma, liposarcoma y ganglioneuroma, que tienen hallazgos similares en resonancia magnética (8).
El diagnóstico definitivo y naturaleza del schwannoma se basan en la evaluación histológica posoperatoria, basado en técnicas de inmunohistoquímica para la proteína S100 (positiva) y CD34 (negativa) en las lesiones. El schwannoma benigno se caracteriza por la sucesión de áreas Antoni A y Antoni B. Los grupos de células compactas en forma ahusada, bipolar y alargadas con un patrón de empalme están contenidas en las áreas Antoni A, mientras que las áreas Antoni B tiene células dispuestas de manera holgada sobre un fondo mixoide (9). La expresión intensa y difusa en el citoplasma de proteína S100 es una característica esencial para el diagnóstico (10). A diferencia de los neurofibromas, la mayoría de los schwannomas no muestran inmunorreactividad de CD34 (11).
La resección quirúrgica con márgenes libres acompañada de preservación de las estructuras nerviosas es el tratamiento de elección para los schwannomas benignos (2). Las neoplasias malignas generalmente no pueden excluirse antes de la cirugía, debido a que incluso la biopsia por congelación intraoperatoria no proporciona un diagnóstico preciso, por lo que se ha propuesto la resección quirúrgica amplia, incluyendo las estructuras adyacentes (3). La cirugía puede ser un desafío debido al riesgo de hemorragia potencialmente incontrolable causada hipervascularidad debida a adherencias del tumor a vasos pélvicos. Debido a que la transformación maligna de los schwannomas benignos es rara (menos del 5 % de los casos), la extirpación local completa del tumor, o la enucleación, puede ser el tratamiento de elección. No obstante, la recurrencia local de los schwannomas malignos después de la resección marginal llega al 72 % de los casos comparado solo con 12 % en aquellas cirugías de amplio margen, por lo que se recomienda la resección con margen quirúrgico adecuado para evitar las recurrencias. Sin embargo, la incidencia de recurrencias posterior a la escisión incompleta es del 5 % - 10 % y existen informes de metástasis posterior a la cirugía (4). Se debe tener especial cuidado en los pacientes con enfermedad de Von Recklinghausen en los que generalmente se observa una transformación maligna (neurofibrosarcoma).
La complicación más frecuente de la cirugía radical es el déficit neurológico posoperatorio que puede ocurrir en 80 % de los casos, independientemente de la técnica quirúrgica. Las fibras nerviosas son parte del tumor y es imposible la resección completa sin algunas lesiones neurológicas, por lo que la naturaleza del déficit neurológico posoperatorio puede depender del sitio primario (12,13). Varios informes indican que no existen síntomas residuales (6). Sin embargo, otros informes no reportaron mejoría, solo mejoría parcial o recuperación de los síntomas residuales varios meses después de la cirugía (13,14). El abordaje laparoscópico puede proporcionar un campo visual claro con magnificación, sin necesidad de grandes incisiones en piel y permite la disección de los vasos adheridos al tumor. La resección robótica también puede ser útil en el tratamiento de estos tumores con preservación de las estructuras neurológicas (6). Sin embargo, debido a las características del tumor, incluso estas técnicas no evitan las potenciales complicaciones neurológicas.
El pronóstico de los schwannomas benignos es extremadamente bueno y la recurrencia rara vez se informa, pero es necesario un seguimiento después de la resección. Por otra parte, debido a la falta de sensibilidad de los schwannomas a la radioterapia y quimioterapia, no se recomienda la terapia adyuvante (15).
Los schwannomas benignos son tumores de crecimiento lento que surgen de las células de Schwann de la vaina nerviosa periférica. Generalmente son asintomáticos y de localización profunda, por lo que son difíciles de diagnosticar. Los síntomas, cuando están presentes, son vagos e inespecíficos. Los estudios de imágenes preoperatorias generalmente no son útiles para realizar un diagnóstico preciso, el cual se logra con los hallazgos histológicos e inmunohistoquímicos posoperatorios. La opción de tratamiento primario es la resección quirúrgica completa y el pronóstico es bueno.
Referencias
1. Chopra S, Dharmaraja A, Satkunasivam R, Gill IS. Robot-assisted laparoscopic resection of a pelvic schwannoma. Urol Case Rep. 2017;11:63-65.
2. Yorke J, Duduyemi BM, Yifieyeh AC, Fiifi-Yankson PK, Appiah C, Afful-Yorke D, et al. Schwannoma extending from the umbilical region to the mid-thigh, compressing the major vessels of the right leg: A case report and review of the literature. S Afr Med J. 2016;106(7):692-694.
3. Holbrook C, Saleem N. Retroperitoneal schwannoma: An unusual cause of abdominal distention. BMJ Case Rep. 2017;2017. pii: bcr-2017-220221.
4. Wong CS, Chu TY, Tam KF. Retroperitoneal schwannoma: A common tumor in an uncommon site. Hong Kong Med J. 2010;16(1):66-68.
5. Yu YH, Wu JT, Ye J, Chen MX. Radiological findings of malignant peripheral nerve sheath tumor: Reports of six cases and review of literature. World J Surg Oncol. 2016;14:142.
6. Hidaka E, Ishiyama Y, Maeda C, Nakahara K, Shimada S, Mukai S, et al. Laparoscopic extirpation of a Schwannoma in the lateral pelvic space. Case Rep Surg. 2016;2016:1351282.
7. Osman S, Lehnert BE, Elojeimy S, Cruite I, Mannelli L, Bhargava P, et al. A comprehensive review of the retroperitoneal anatomy, neoplasms, and pattern of disease spread. Curr Probl Diagn Radiol. 2013;42(5):191-208.
8. Zhang L, Gao M, Zhang T, Chong T, Wang Z, Liu W, et al. Surgical management of retroperitoneal schwannoma complicated with severe hydronephrosis: A case report. Medicine (Baltimore). 2018;97(39):e12528.
9. Maruyama T, Sugamoto Y, Miyagishima D, Fukunaga T, Tasaki K, Takeshita N, et al. Laparoscopic resection of a retroperitoneal schwannoma located in the hepatic hilus. Surg Case Rep. 2015;1(1):18.
10. Jaiswal S. Role of immunohistochemistry in the diagnosis of central nervous system tumors. Neurol India. 2016;64(3):502-512.
11. Min HJ, Kim KS. Differential diagnosis between nasal septal schwannoma and nasal septal neurofibroma. J Craniofac Surg. 2017;28(7):1780-1783.
12. Kim SM, Seo SW, Lee JY, Sung KS. Surgical outcome of schwannomas arising from major peripheral nerves in the lower limb. Int Orthop. 2012;36(8):1721-1725.
13. Kuriakose S, Vikram S, Salih S, Balasubramanian S, Mangalasseri Pareekutty N, Nayanar S. Unique surgical issues in the management of a giant retroperitoneal schwannoma and brief review of literature. Case Rep Med. 2014;2014:781347.
14. Latino R, Bosco D, Frattallone ME, Amico A, Lanteri R, Di Cataldo A. Unusual presentation of retroperitoneal Schwannoma: Case report. G Chir. 2017;38(6):295-298.
15. Fujimoto N, Kubo T, Hisaoka M, Udo K, Yokomizo A, Shibuya T, et al. Demographics, management and treatment outcomes of benign and malignant retroperitoneal tumors in Japan. Int J Urol. 2018;25(1):61-67.
Notas de autor
sippenbauch@gmail.com