FIBROMATOSIS AGRESIVA DE MAMA POSTERIOR A MASTOPLASTIA DE AUMENTO. ANÁLISIS DE DATOS EN NUESTRA INSTITUCIÓN
FIBROMATOSIS AGRESIVA DE MAMA POSTERIOR A MASTOPLASTIA DE AUMENTO. ANÁLISIS DE DATOS EN NUESTRA INSTITUCIÓN
Revista Venezolana de Oncología, vol. 31, núm. 4, pp. 226-233, 2019
Sociedad Venezolana de Oncología

Recepción: 22 Mayo 2019
Revisado: 19 Junio 2019
Aprobación: 18 Julio 2019
Resumen: OBJETIVO: Analizar los datos de pacientes con fibromatosis agresiva de la mama posterior a mastoplastia de aumento. MÉTODO: Se evaluaron los datos de las pacientes con fibromatosis agresiva de mama que fueron tratadas entre enero de 2000 y diciembre de 2015. Las variables analizadas fueron: número total de casos, edad, tipo de implante, intervalo desde la mamoplastia, presentación clínica, características del tratamiento, supervivencia libre de enfermedad, porcentaje recurrencia y supervivencia global. RESULTADOS: Un total de 74 pacientes con diagnóstico de fibromatosis agresiva fueron registrados en el período de estudio, de estos solo 3 (4,05 %) corresponden a lesiones localizadas en la mama. De los 3 pacientes con fibromatosis agresiva de mama, todas fueron del sexo femenino y 2 tenía como antecedente una mastoplastia de aumento. CONCLUSIONES: Se observó una correlación clara de fibromatosis agresiva de mama y mastoplastia de aumento, porque de los 3 casos observados en 15 años, dos tenían este antecedente quirúrgico. El resto de los resultados por presentar una muestra de 2 pacientes, tiene valor descriptivo y como fuente para estudios multicéntricos futuros.
Palabras clave: Fibromatosis, agresiva, mama, mastoplastia de aumento.
Abstract: OBJECTIVE: To analyze the data of the patients with the aggressive fibromatosis posterior to the breast augmentation mastoplasty. METHOD: The data were evaluated in patients with aggressive breast fibromatosis that were treated between January 2000 and December 2015. The variables analyzed were: The total number of cases, the age, and the type of implant, the ranging from breast augmentation, the clinical presentation, the features treatment, the disease free survival, recurrence rate and the overall survival. RESULTS: A total of 74 patients diagnosed with aggressive fibromatosis were recorded in the study period, of these only 3 (4.05 %) were located in the breast lesions. Of the 3 patients with aggressive fibromatosis of the breast, all were female and 2 had a history of mastoplasty increase. CONCLUSIONS: A clear correlation of aggressive fibromatosis of the breast and the breast augmentation was observed because of the 3 cases seen in 15 years, both had this surgical history. The rest of the results provide a sample of 2 patients, has descriptive value and as a source for future multicenter studies.
Keywords: Fibromatosis, aggressive, breast, mastoplasty increase.
INTRODUCCIÓN
La fibromatosis agresiva comprende tumores del tejido conectivo que representan el 0,03 % de todas las neoplasias del cuerpo. Se origina en las estructuras músculo aponeuróticas, ocurriendo más frecuentemente en la pared abdominal, mesenterio y extremidades. La característica principal de este grupo de tumores es su gran agresividad desde el punto de vista local con un alto porcentaje de recurrencias locorregionales (24 %-65 %), sin embargo, en muy raras ocasiones se producen metástasis (1,2).
La fibromatosis agresiva era inicialmente denominada tumor desmoide, palabra que se origina del griego “desmos” (que significa banda o parecido al tendón), de esta forma lo describió Muller por primera vez en 1838, donde describió tumores con consistencia similar a la de los tendones. El término fibromatosis fue originalmente introducido por Stout, para definir un grupo de condiciones clínicas (fibromatosis plantar, juvenil, profunda, lipofibromatosis, fibromatosis hialina múltiple, fibromatosis cicatricial, etc.) que tienen las siguientes características en común: proliferación de fibroblastos bien diferenciados,patrón de crecimiento infiltrante, presencia de una cantidad variable de colágeno entre las células proliferantes, ausencia de características citológicas de malignidad, ausencia o muy escasa actividad mitótica y comportamiento clínico agresivo caracterizado por alta tasa de recaídas locales con baja capacidad de dar metástasis(3,4).
Macroscópicamente estas lesiones son frecuentemente voluminosas, firmes, blanquecinas y con bordes mal definidos, originándose casi en su totalidad de la fascia muscular. Microscópicamente la mayoría de las células tienen características intermedias entre fibroblastos y células de músculo liso (miofibroblasto) más las características ya mencionadas en los criterios de Stout. Las células de la fibromatosis tienen una inmunoreactividad focal y muchas veces errática a la actina de músculo liso alfa, vimentina, desmina, calponina, y receptores de estrógeno (5).
La etiopatogenia de la fibromatosis agresiva actualmente sigue siendo poco conocida. Predisposición genética (paciente con poliposis adenomatosa familiar de colon), traumas, efectos hormonales (estrógeno), entre otros muchos factores están fuertemente asociados a su desarrollo.
El cáncer de mama ocupa el primer lugar en incidencia en el sexo femenino a nivel mundial, solamente en EE.UU., para el 2013 se diagnosticaron 234 580 nuevos casos (6). Aunque este tipo de cáncer está considerado como una enfermedad del mundo desarrollado, el 69 % de las defunciones ocurren en países en desarrollo según cifras de la OMS. En Venezuela para el 2012 se registró una cifra de 22 815 defunciones, colocándose como la primera causa de muerte por cáncer en mujeres venezolanas (7).
No existen registros precisos sobre la incidencia y prevalencia de la fibromatosis agresiva de mama en Venezuela, según registros de otros países se calcula que esta enfermedad representa el 0,2 % de todos los tumores de mama (8). La aparición en relación a la colocación de implantes de mama no es frecuente, y solamente se han reportado 25 casos en literatura de habla inglesa, 3 de esos casos carecen de descripciones detalladas de la enfermedad (Cuadro 1). De esos 22 casos con descripciones completas, 16 fueron con implantes de silicona y 6 salinos; tiempo medio entre la colocación del implante y la aparición de la enfermedad fueron 3 años; el 75 % se trataron con resecciones locales amplias sin tratamiento adyuvante y en la mayoría de los casos se realizó el retiro del implante. La tasa de recurrencia en este grupo de pacientes fue de 25 % con un tiempo medio de aparición de 34,3 meses (1).
La presentación clínica de la fibromatosis de mama se caracteriza por un tumor de mama no doloroso, sin cambios tróficos de la piel, firme y no móvil, porque muchas de estas lesiones se originan fuera del parénquima mamario en la pared torácica. En la mamografía se presenta como lesiones espiculadas, bordes mal definidos e irregulares sin calcificaciones. La resonancia magnética (RMN) forma una herramienta primordial en la evaluación de pacientes en donde existe sospecha de esta enfermedad por la característica clínica mencionada (2).
Existen publicaciones sobre el desarrollo de la fibromatosis agresiva en mama posterior a la mastoplastia de aumento con prótesis tanto de silicona como de solución salina. Sin embargo, debido a que estas publicaciones son escasas y algunas con problemas metodológicos, la comprobación de esta relación no se ha realizado aún (2).
El objetivo de este estudio es analizar los datos de pacientes con fibromatosis agresiva de mama con antecedentes de mastoplastia de aumento, tomando en consideración sus características, tipo de tratamiento y resultados oncológicos.
MÉTODO
Se evaluaron los datos de las pacientes con fibromatosis agresiva de mama que fueron tratadas entre enero del 2000 y diciembre de 2015, teniendo como fuente los archivos del Instituto de Oncología “Dr. Luis Razetti”.
Las variables analizadas fueron el número total de casos, edad, tipo de implante colocado, intervalo entre la mastoplastia y la aparición de enfermedad, presentación clínica, características del tratamiento oncológico, supervivencia libre de enfermedad, porcentaje de recurrencia y supervivencia global.

RLA: Resección local amplia; NR: No Reportado; Qt: Quimioterapia; HT: Hormonoterapia; ILE: Intervalo Libre de enfermedad
RESULTADOS
Un total de 74 pacientes con diagnóstico de fibromatosis agresiva fueron registrados en el período de estudio, de estas solo 3 (4,05 %) corresponden a lesiones localizadas en la mama. De los 3 pacientes con fibromatosis agresiva de mama, todas fueron del sexo femenino y 2 tenían como antecedente una mastoplastia de aumento.
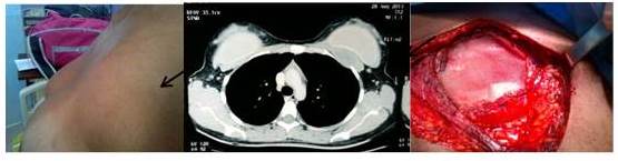
La primera paciente de 21 años de edad, presentó aumento de volumen progresivo no doloroso en mama izquierda, se realizó mastoplastia de aumento 2 años antes, donde se colocó implantes de silicón sin complicaciones. El examen físico inicial de la paciente se observó asimetría en la unión de los cuadrantes superior de mama izquierda, a la palpación se describe tumor de 6 cm x 6 cm duro, fijo a planos profundos no doloroso. El ultrasonido de mama mostró tumor sólido, hipoecoico, heterogéneo de 6 cm x 2 cm x 4 cm sobre la superficie del pectoral mayor, en la mamografía no se observa lesión. La tomografía de tórax con contraste endovenoso reportó una imagen de colección heterogénea con similares dimensiones y en la RMN de mama describe imagen sobre la superficie anterior del pectoral mayor derecho irregular, isointenso en T1 e hiperintenso en T2, a la administración de contraste describe curva de impregnación progresiva. La biopsia con aguja gruesa reporta tumor fusocelular cónsono con fibromatosis extra-abdominal y la inmunohistoquímica mostró inmuno-reactividad positiva para vimentina, y negativa para desmina, CD34 y proteína S100. Con este diagnóstico se realizó resección local amplia de tumor que incluyó el segmento anterior de segunda y tercera costilla más retiro de prótesis, la reconstrucción de la pared torácica se realizó con malla de polipropileno (Figura 1). La biopsia definitiva reportó tumor de 8 cm x 7 cm compatible con fibromatosis agresiva con márgenes superior y medial microscópicamente positivo. Como tratamiento adyuvante recibió radioterapia externa (RT). Posterior a 30 meses de seguimiento la paciente se encuentra libre de enfermedad locorregional y a distancia (Figura 2).


La segunda paciente de 31 años, consultó por tumor en mama izquierda de 7 meses de evolución, como antecedente la paciente se realizó mastoplastia de aumento en los 2 años anteriores, colocándose implantes de silicón sin complicaciones. El examen físico inicial se palpa tumor en cuadrante súpero-interno de 5 cm x 5 cm duro no móvil, adherido a planos profundos no doloroso. En la mamografía no se observan lesiones, la tomografía de tórax con contraste endovenoso reportó prótesis retro-pectorales bilaterales de superficie onduladas, en el área pre-pectoral izquierda existe lesión de 7 cm x 4,5 cm x 4,1 cm para un volumen de 66 cm3, con densidad mixta y predominantemente líquido. En la RMN de mama se observó masa sólida heterogénea de mama izquierda, tamaño de 32 mm x 35 mm x 52 mm, signos de encapsulamiento en prótesis izquierda. La biopsia con aguja gruesa eco-guiada concluye tumor desmoide. Con este diagnóstico se realizó resección local amplia de tumor más retiro de prótesis. La biopsia definitiva reportó tumor de 9 cm x 5,9 cm x 3,5 cm compatible con fibromatosis agresiva extra-abdominal observando patrón de crecimiento infiltrativo, con márgenes negativos para lesión. Posterior a 27 meses de seguimiento la paciente se encuentra libre de enfermedad locorregional y a distancia.
DISCUSIÓN
Aunque la fibromatosis de mama constituye el 0,2 % de los tumores de esta área, la asociación de esta entidad con el antecedentes de mamoplastia de aumento está descrita, sin embargo, solo existen reportes aislados en la literatura, que constituyen solo 25 % para el momento de la revisión actual (1,2,3,4,5,6,7,8,9,10,11,12,13,14,15,16,17,18,19,20,21,22,23,24). En los 15 años de revisión del presente estudio, solo encontramos 3 casos de fibromatosis agresiva en mama, constituyendo el 4,05 % de todos los casos de fibromatosis, observando en dos de estos pacientes con antecedentes de mamoplastia de aumento, lo que sugiere una relación de causa efecto de importancia.
En las dos pacientes de nuestro estudio estaba constituido por mujeres jóvenes (21 y 31 años respectivamente), el tipo de prótesis utilizada fue de silicones, y el antecedentes quirúrgico de la mamoplastia de aumento había ocurrido 2 años antes de la aparición del tumor; datos que concuerdan con el número total de casos reportados para la fecha (Cuadro 1), donde más de 2/3 de las prótesis eran de ese mismo material y el tiempo promedio del antecedente quirúrgico era de 3 años.
El tratamiento indicado para pacientes con fibromatosis agresiva posterior a mamoplastia de aumento es la resección local amplia (RLA) más retiro de la prótesis, en algunos casos se describe el reemplazo inmediato o tardío de la misma(1,21). La conducta anterior aunque está basada en estudio con bajo nivel de evidencia, debido a la naturaleza biológica de la fibromatosis la RLA más retiro de la prótesis adyacente a la misma es el tratamiento oncológicamente aceptado; controversias se plantean en realizar el reemplazo inmediato o diferido luego del tratamiento óptimo, para esta decisión se deberían analizar aspectos estéticos, emocionales y de costo-beneficio. Tomando datos de nuestra institución, el reemplazo diferido podría ser la mejor opción, porque hasta un 25 % de los pacientes podrían recibir RT adyuvante, alterando la evolución posoperatoria de aquellos pacientes que se reconstruyen de primera instancia (24).
En las dos pacientes del estudio se realizó tratamiento radical con retiro de prótesis, en la primera de ellas la resección local amplia incluyó resección de los segmentos anteriores de la segunda y tercera costilla con márgenes macroscópicamente negativos, sin embargo, en la biopsia definitiva dos de esos márgenes estaban microscópicamente comprometidos, por lo que recibió RT adyuvante; en la segunda se realizó RLA con márgenes macro y microscópicamente negativo sin la necesidad de tratamiento adyuvante.
El tratamiento adyuvante en estos pacientes no está claro, deben individualizarse cada caso y con discusiones multidisciplinarias, especialmente en pos-operados con márgenes positivos, recurrencia de la enfermedad o en pacientes con tumores irresecables. La RT, hormonoterapia, inmunoterapia y quimioterapia son algunas de las opciones que se tienen, sin embargo, no hay estudios farmacológicos ni de RT que abalen alguna de ellas (Cuadro 2).

En nuestro estudio luego de un seguimiento promedio de 28,5 meses, no se observó recurrencia de la enfermedad, con una supervivencia global del 100 %. Los datos de la supervivencia global concuerdan con los de la literatura internacional, observando mortalidades prácticamente nulas en las series descritas, sin embargo, el porcentaje de recurrencia difiere marcadamente, llegando a observar una tasa de recurrencia promedio del 25 %, con cifras que pueden llegar al 50 % en algunos centros.
Se podría pensar que una limitación clara del estudio podría ser la poca cantidad de casos (2), tenemos que tomar en cuenta que para la fecha solo se han publicado 25 casos con las mismas características, esto hace que la información obtenida en esta serie sea de gran valor. Podemos concluir que en el Instituto de Oncología “Dr. Luis Razetti” luego de la revisión realizada se observó una relación de fibromatosis agresiva de mama y mamoplastia de aumento, porque de los 3 casos observados en 15 años, dos tenían este antecedente quirúrgico. El resto de los resultados por presentar una muestra de 2 pacientes, tiene valor descriptivo y como fuente para estudios multicéntricos futuros.
Referencias
1. Maitrai Z, Toht L, Gulyas G, Szabo E, Szentirmay Z, Kasler Ms. A desmoid tumor associated with a ruptured silicone breast implant. Plast Reconstr Surg. 2010;127(1):1e-4e.
2. Jamshed S, Fahan MI, Marshall MB, Nahebedian MY, Liu MC. Fibromatosis of the breast after mammary prosthesis implantation. Clin Adv Hematol Oncol. 2008;687-694.
3. Rosai J. En: Rosai J, Ackerman`s, editores. Surgical Pathology. 10a edición Elsevier:Mosby;2011.
4. Stout AP. Juvenile fibromatosis. Cancer. 1954;7:953-978.
5. Herrera G, Johnson W, Lockard V, Walker BL. Soft tissue myofibroblastomas. Mod Pathol. 1991;4:571-577.
6. American Cancer Society: Cancer Facts and Figures 2012. Atlanta GACS, 2012. Disponible en: URL: https://www.cancer.org/research/cancer-facts-statistics/all-cancer-facts-figures/cancer-facts-figures-2012.html.
7. Anuario de Mortalidad MPPS. 2012. Disponible en: URL: www.mpps.gob.ve.
8. Chummuny S, Mclean NR, Abraham S, Youseff M. Desmoid tumor of the breast. J Plast Reconstr Aesthet Surg. 2010;63:339-345.
9. Jewitt ST, Mead JH. Extra abdominal desmoid arising from a capsule around a silicone breast implant. Plast Reconstr Surg. 1979;64(4):577-599.
10. Rosen PP, Ernsbeerger D. Mammary fibromatosis. Cancer. 1989;63:1363-1369.
11. Shuh ME, Radford DM. Desmoid tumor of the breast following augmentation mamoplastia. Plast Reconstr Surg. 1994,93:603-605.
12. Schiller VL, Arndt RD, Brenner RJ. Aggressive fibromatosis of the chest associated with a silicone breast implant. Chest. 1995;108:1466-1468.
13. Dale PS, Wardlaw JC, Wootton DG, Resnick JI, Giuliano AE. Desmoid tumor occurring after reconstruction mammoplasty for breast carcinoma. Ann Plast Surg. 1995;35:515-518.
14. Crestinu JM. Desmoid tumor of the breast. Plast Reconstr Surg. 1995;95:421
15. Aaron AD, O´Mara JW, Legendre KE, Evans SR, Attinger CE, Montgomery EA. Chest wall fibromatosis associated with silicone breast implants. Surg Oncol. 1996;5:93-99.
16. Vanderweyer E, Deraemaecker R. Desmoid tumour of the breast after reconstruction with implant. Plast Reconstr Surg. 2000;105:2627-2628.
17. Abraham SC, ReynoldsC, Lee JH, Montgomery EA, Baisden BL, Krasinskas AM, et al. Fibromatosis of the breast and mutations involving the APC/beta catenin pathway. Hum Pathol. 2002;33:39-46.
18. Khanfir K, Guinebretiere JM, Vanel D, Barreau-Pouhaer L, Bonvalot S, Le Cesne A. Unusual problems in breast cancer and a rare lung cancer case. Case2. Aggressive fibromatosis of the chest wall arising near breast prosthesis. J Clin Oncol. 2003;21:2216-2218.
19. Jandali AR, Wedler V, Meuli-Simmen C, Künzi W, Meyer VE. Breast implant and desmoid tumour: Is there an etiological relation? Handchir Mikrochir Plast Chir. 2004;36:343-347.
20. Gandolfo L, Guglielmino S, Lorenzetti P, Fiducia G, Scenna G, Bosco. Chest wall fibromatosis after mammary prosthesis implantation. A case report and review of the literature. Chir Ital. 2006;58:655-660.
21. Neuman HB, Brogi E, Ebrahim A, Brennan MF, VanZee KJ. Desmoid tumours (fibromatoses) of the breast: A 25-year experience. Ann Surg Oncol. 2007;5:274-280.
22. Balzer BL, Weiss SW. Do biomaterials cause implant-associated mesenchymal tumours of the breast? Analysis of 8 new cases and review of the literature. Hum Pathol. 2009;40:1564-1570.
23. Brown C, Jeffrey B, Korentager R, Hughes K. Desmoid tumours of the bilateral breast in a patient without Gardner Syndrome: A case report and review of literature. Ann Plast Surg. 2012;69;2:220-222.
24. Delgado R, Luces C, Hollebecq A, Bolívar E, Galvis L, Ayach A, et al. Reconstrucción mamaria posterior a mastectomía. Auditoría de datos en nuestra institución. Rev Venez Oncol. 2014;26(4):296-301
Notas de autor
drrafaeldelgado@hotmail.com