TUMOR OVÁRICO DE CÉLULAS DE SERTOLI-LEYDIG CON ELEMENTOS HETERÓLOGOS
TUMOR OVÁRICO DE CÉLULAS DE SERTOLI-LEYDIG CON ELEMENTOS HETERÓLOGOS
Revista Venezolana de Oncología, vol. 32, núm. 1, pp. 19-25, 2020
Sociedad Venezolana de Oncología

Recepción: 25 Abril 2019
Revisado: 12 Mayo 2019
Aprobación: 22 Septiembre 2019
Resumen: El tumor ovárico de células de Sertoli-Leydig representa 0,5 % de las neoplasias ováricas primarias pertenece al grupo de tumores del estroma del cordón sexual. Es el tumor ovárico virilizante más común ocurre generalmente en mujeres menores de 30 años. OBJETIVO: Reportar un caso de tumor ovárico de células de Sertoli-Leydig con elementos heterólogos. CASO CLÍNICO: Paciente femenina de 16 años quien presentó amenorrea, aumento del vello, agravamiento del acné y aumento de peso desde hacía 5 meses. Se observó hirsutismo en cara, abdomen, acné en cara y espalda superior y estrías en hemi-abdomen inferior. Al examen ginecológico se observó clítoromegalia. Las pruebas hormonales mostraron aumento de concentraciones de testosterona total. La resonancia magnética confirmó la apariencia de la lesión bien definida de forma ovoide en ovario izquierdo que medía 26 mm x 25 mm x 20 mm. La paciente fue sometida a cirugía laparoscópica encontrando el ovario izquierdo estaba aumentado de tamaño, realizándose ooforosalpingectomía izquierda, disección de ganglios linfáticos pélvicos y omentectomía parcial. Se realizó el diagnostico histopatológico de tumor ovárico de células de Sertoli-Leydig de diferenciación intermedia y elementos heterólogos. CONCLUSIÓN: El tumor de células de Sertoli-Leydig, en la mayoría de los casos, tiene un potencial maligno bajo con pronóstico favorable. Los elementos heterólogos están presentes en 20 % - 25 % con componentes mucinosos en más del 85 % de los casos y la presencia de tejido heterólogo endodérmico en los tumores no parece afectar el pronóstico.
Palabras clave: Tumor de células de Sertoli-Leydig, ovario, elementos heterólogos, tumor del estroma del cordón sexual.
Abstract: The ovarian Sertoli-Leydig cells tumor represents only the 0.5 % of primary ovarian neoplasms and belongs to the group of tumors of sex cord gonadal stromal tumor. It is the most common virilizing ovarian tumor and usually occurs in women under 30 years of age. OBJECTIVE: To report a clinical case of ovarian Sertoli-Leydig cells tumor with heterologous elements. CLINICAL CASE: This is a 16 year old female patient who presented amenorrhea, increased facial hair, aggravated acne and increased the weight for 5 months. The hirsutism was observed on the face and the abdomen, acne on the face and upper back and striae on the lower abdomen. Clitoromegaly was observed at the gynecological examination. The hormone tests showed an increase in total testosterone levels. The magnetic resonance imaging confirmed the appearance of the well-defined ovoid lesion in the left ovary measuring 26 mm x 25 mm x 20 mm. The patient underwent laparoscopic surgery, finding that left ovary was enlarged, performing left oophorosalpingectomy, dissection of the pelvic lymph nodes and partial omentectomy. Histopathological diagnosis of ovarian Sertoli-Leydig cells tumor with intermediate differentiation and heterologous elements was made. CONCLUSION: The Sertoli-Leydig cell tumor, in most cases, has a low malignant potential with favorable prognosis. The heterologous elements are present in 20 % -25 % with mucinous components in more than 85 % of the cases and the presence of endodermal heterologous tissue in tumors does not seem to affect the prognosis.
Keywords: Sertoli-Leydig cell tumor, ovary, heterologous elements, sex cord-gonadal stromal tumor.
INTRODUCCIÓN
El tumor ovárico de células de Sertoli-Leydig (también conocido como androblastoma o arrenoblastoma), representa menos del 0,5 % de todas las neoplasias ováricas primarias. Sin embargo, este subtipo es el tumor virilizante más común y generalmente aparece en mujeres menores de 30 años, aunque puede afectar a otros grupos etarios. Generalmente es unilateral y cerca de 80 % de los casos se diagnostican en estadio IA (1,2,3). Alrededor de 30 % de los casos experimentan hiperandrogenismo relacionado a la actividad del tumor, por lo que las determinaciones hormonales son necesarias para descartar otras causas de hiperandrogenismo, como hiperplasia suprarrenal congénita clásica por déficit de 21-hidroxilasa y síndrome de Cushing (3).
El tumor usualmente aparece en los estudios por imágenes como una lesión bien definida, pero puede variar entre apariencia sólida, sólido-quística o más raramente, quística (4). El análisis histopatológico permite clasificar el tumor según su tipo celular y extensión. Algunos autores han propuesto que presencia de elementos heterólogos puede sugerir mal pronóstico (5). Se presenta un caso de tumor ovárico de células de Sertoli-Leydig con elementos heterólogos.
CASO CLÍNICO
Se trata de paciente femenina de 16 años, nuligesta, quien fue llevada a la consulta de ginecología por presentar amenorrea de aproximadamente 4 meses de evolución acompañada de aumento del vello facial-corporal y agravamiento del acné facial y corporal, y aumento de peso (aproximadamente 10 kg) desde hacía 5 meses. Refería menarquía a los 13 años con ciclos menstruales normales de 5/28 días, los cuales se volvieron anormales hacia 9 meses, inicialmente con ciclos de 3/35 días hasta aparecer la amenorrea. Negaba consumo de alcohol, tabaco, fármacos o drogas recreativas. También negaba antecedentes personales o familiares de enfermedades crónicas, neoplásicas o endocrinas.
Al examen físico inicial se encontró peso de 94 kg, talla de 1,70 m con un índice de masa corporal de 32,5 kg/m2 y valores de presión arterial de 121/85 mm de Hg. Las mamas estaban en etapa 4 de la escala de Tanner. Se observaron signos de virilización: voz ronca, hirsutismo leve-moderado en cara y abdomen con puntaje de Ferriman-Galway de 8, acné leve en cara y espalda superior y estrías pequeñas y poco profundas en hemi-abdomen inferior. No se observaron signos clínicos de síndrome de Cushing ni acantosis nigricans. El abdomen estaba blando depresible no doloroso sin tumoraciones palpables. Al examen ginecológico se observó clítoromegalia (2,5 cm x 1,3 cm) con el resto de la valoración normal. El tacto rectal estaba normal y no se palparon tumoraciones.
Los resultados de los estudios hormonales mostraron valores elevados de testosterona total (445 ng/dL, valor normal 15 - 70 ng/dL). Los valores de hormona folículo-estimulante, hormona luteinizante, estradiol, sulfato de dehidroepiandrosterona, prolactina, T4 libre, tirotropina y hormona corticotropa estaban dentro de límites normales. La prueba de inhibición con 1 mg de dexametasona, concentraciones de 17-hidroxiprogesterona, cortisol urinario en 24 h, prueba de tolerancia glucosada, glicemia e insulina en ayunas también estaban normales. En vista de los hallazgos clínicos y de laboratorio se descartó la posibilidad de disfunción tiroidea, síndrome de Cushing, hiperprolactinemia e hiperplasia suprarrenal congénita clásica por déficit de 21-hidroxilasa, por lo que se consideró la posibilidad de neoplasia como la causa de las anomalías menstruales e hiperandrogenismo.
En la ecografía pélvica transvaginal no se encontraron alteraciones quísticas o ecogenicidad anormal en los ovarios y el útero estaba dentro de límites normales. La tomografía computada abdominal demostró tumoración ovárica izquierda de apariencia solido-quística con ambas normales, la mala resolución de los tejidos blandos limitó la determinación de otras características. La resonancia magnética confirmó la apariencia de la lesión bien definida de forma ovoide en ovario izquierdo que medía 26 mm x 25 mm x 20 mm. El componente sólido mostró señal T2 intermedia con intensidad de señal T1 similar al músculo. Las áreas quísticas tenían señal baja en las imágenes ponderadas T1. No se detectó ascitis, linfadenopatías inguinales, pélvicas o para-aórticas, implantes peritoneales o metástasis hepáticas. El anexo derecho, útero, vejiga y glándulas suprarrenales estaban normales. En vista de estos hallazgos se solicitaron marcadores tumorales (gonadotropina coriónica, alfa-feto proteína, antígeno carcino- embriogénico y CA-125) los cuales estaban dentro de límites normales.
La paciente fue sometida a cirugía laparoscópica encontrando que el ovario izquierdo estaba aumentado en comparación con el derecho. Las trompas de Falopio, ovario derecho y útero estaban normales. No se encontró evidencia de ascitis y el hígado estaba normal. La biopsia por congelación describió las características de tumor estromal del cordón sexual compatible con tumor de células de Sertoli-Leydig. Se realizó ooforosalpingectomía izquierda, disección de ganglios linfáticos pélvicos y omentectomía parcial.
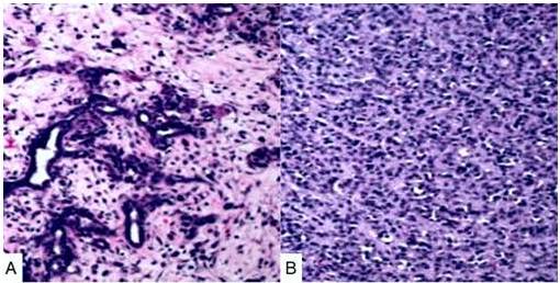
En la evaluación anatomopatológica el tumor tenía consistencia blanda, superficie irregular y media 35 mm x 29 mm x 20 mm y estaba cubierto de nódulos amarillos de aproximadamente 5 mm. El corte de la pieza quirúrgica mostró que este era de tipo quístico-sólido. Las áreas sólidas eran de color amarillo-grisáceo con múltiples focos de hemorragia y los quistes estaban llenos de líquido amarillento claro. El análisis microscópico demostró zonas de estroma tisular con túbulos junto a acúmulos y cordones celulares compuestos por células de Leydig de tinción oscura rodeados por estroma fibroso. Esas células tenían citoplasma escaso o con núcleo redondos ovalados y marcado aumento del número de mitosis. También se observaron elementos heterólogos en forma de glándulas revestidas por epitelio mucinoso con áreas focales anaplásicas y células grandes multinucleadas (Figura 1). La evaluación inmunohistoquímica demostró que las células tumorales presentaban positividad para calretinina y eran negativas al antígeno de membrana epitelial (Figura 2). La determinación del índice de proliferación celular Ki-67 fue superior a 80 %. Sobre la base de estos hallazgos, se realizó el diagnóstico de tumor ovárico de células de Sertoli-Leydig de diferenciación intermedia con anaplasia focal y elementos heterólogos. No se observó presencia de células malignas en epiplón, ganglios linfáticos y lavado peritoneal.


El período de recuperación posoperatoria fue satisfactorio. La clasificación quirúrgica del tumor fue grado 2 estadio IA(N0/22,M0). En la discusión con el servicio de oncología se llegó al acuerdo de no utilizar tratamiento adyuvante. Un mes después de la cirugía las menstruaciones ya estaban normales y las concentraciones de testosterona habían regresado a valores normales. Luego de 12 meses de seguimiento la paciente permanece sin síntomas ni evidencia de recurrencias.
DISCUSIÓN
Los cordones sexuales derivan del epitelio celómico y las células del mesénquima de las gónadas embrionarias, produciendo células de la granulosa, de Leydig, de Sertoli, de la teca y fibroblastos. Los tumores de las células Sertoli-Leydig poseen células que derivan de estos cordones sexuales (células de Sertoli) y otras derivadas del estroma (células de Leydig y fibroblastos). En el ovario normal, no existen células de Sertoli, pero en los tumores forman túbulos, imitando su acción en el testículo (4). El tumor de células de Sertoli-Leydig asemeja la arquitectura testicular y producen andrógenos, a diferencia del tumor de células de la granulosa, en el que las células son de origen propiamente ovárico y producen estrógenos (1,4).
El tumor de células de Sertoli-Leydig es una tumoración ovárica rara. El rango de edad de aparición es de los 2 a los 75 años de edad (edad promedio 25 años) y aproximadamente 75 % de los casos ocurren en mujeres menores de 30 años. En mujeres de 15 - 20 años de edad, la prevalencia de esta neoplasia es de 55 por millón cada año (6). Alrededor de 35 % - 50 % de las pacientes experimentan hiperandrogenismo clínico; esta proporción puede aumentar hasta 73 % en tumores con diferenciación intermedia (1). El tumor contiene porciones variables de células de Sertoli y células de Leydig y de acuerdo con el grado de diferenciación celular se dividen en 4 subtipos histológicos: bien diferenciados, diferenciación intermedia, poco diferenciados y variante retiforme. Estas 3 últimas categorías pueden tener variantes con elementos heterólogos (2).
El tiempo de aparición y severidad de las manifestaciones clínicas de hiperandrogenismo en la paciente de este informe son típicas de las neoplasias productoras de andrógenos. En la mayoría de los casos, los tumores ováricos productores de andrógenos son más comunes que los suprarrenales (7). Estos últimos son evidentes generalmente en la tomografía computada (8). El tumor de células de Sertoli-Leydig puede aparecer como una lesión hipoecoica en la ecografía, variando desde algunos milímetros hasta 51 cm de diámetro (promedio 13 cm), lo cual en ocasiones puede hacerlo difícil de visualizar (3,4,9). En este caso, la ecografía no localizó el tumor, posiblemente debido a la obesidad de la paciente y la dificultad de visualizar tumores ováricos pequeños con la ecografía convencional. Entre los procedimientos de diagnóstico por imágenes, la ecografía es uno de los más afectados por la obesidad (10). Existen informes que indican que la estructura anatómica ovárica puede evaluarse adecuadamente por la vía transabdominal en cerca del 42 % de las pacientes, principalmente debido a resolución limitada, artefactos y obesidad (11).
El tumor de células de Sertoli-Leydig no posee características radiológicas específicas para su diagnóstico. La ecografía Doppler color puede ayudar a identificar pequeños tumores ováricos sólidos y complejos (12). En este caso la tumoración ovárica fue detectada por tomografía computada con caracterización adicional de los tejidos blandos por resonancia magnética. En la tomografía computada, el tumor generalmente aparece como lesión homogénea atenuada. En la resonancia magnética, puede aparecer como un tumor sólido y bien definida con quistes intra-tumorales (13,14).
La evaluación histopatológica del tumor de células de Sertoli-Leydig es fundamental para confirmar el diagnóstico y demostrar la presencia de elementos heterólogos. El aspecto macroscópico de la tumoración frecuentemente es sólido-quística con un componente sólido generalmente de color amarillento (1). Los tumores bien diferenciados y con diferenciación intermedia son los más frecuentes. La variante bien diferenciada presenta túbulos con células de Sertoli que carecen de atipias nucleares significativas o actividad mitótica. Las células de Leydig se encuentran en pequeños grupos, cuerdas o en forma aislada en el estroma fibroso. La variante con diferenciación intermedia tiene lóbulos con células de Sertoli cuya tinción es oscura, con escaso citoplasma y mezclados con células de Leydig. También se pueden encontrar en disposición alveolar con túbulos sólidos revestidos por células de Sertoli. Los tumores poco diferenciados tienen estroma sarcomatoide con áreas de menor diferenciación (1,2,3).
Los tumores pueden tener elementos heterólogos con elementos endodérmicos (epitelio mucinoso, hepatocitos, elementos secretores de mucina gastrointestinal) o elementos mesenquimales (cartílago, músculo esquelético). No obstante, los elementos endodérmicos son típicos de las variantes con diferenciación intermedia, mientras que los elementos mesenquimatosos están más asociados con tumores poco diferenciados (3). La proporción de elementos heterólogos varía de 20 % - 25 % con componentes mucinosos en más del 85 % de los casos (1,2,3).
Debido a la falta de guías de tratamiento estandarizadas, no existe uno de inicio y uniforme para este tipo de tumores. El abordaje quirúrgico depende de la edad y preferencia de la paciente, estadio y diferenciación del tumor. La mayoría de los tumores son unilaterales y están limitados al ovario en el momento del diagnóstico. Por lo tanto, en mujeres en edad reproductiva, con enfermedad en estadio IA / IB, que desean conservar la fertilidad, la ooforosalpingectomía unilateral con exploración del ovario contralateral es lo indicado. La quimioterapia adyuvante está indicada en pacientes con estadio avanzado, variante podo diferenciada, variante retiforme y presencia de elementos heterólogos (3,4).
La mayoría de los informes de pacientes con tumor de células de Sertoli-Leydig muestran un pronóstico generalmente bueno, aunque se correlaciona en forma significativa con el estadio y grado de diferenciación de la lesión. Aquellos casos que presentan tumores de células de Sertoli-Leydig con elementos heterólogos son más jóvenes (edad promedio de 23 años), en comparación con el resto de los casos estudiados (edad media 25 años, rango 2-75 años). Además, 72 % de estos casos presentaban diferenciación intermedia y el resto era poco diferenciados. De estos 11 % de los tumores de diferenciación intermedia y 59 % de los tumores mal diferenciados eran malignos, lo que muestra una clara correlación entre la apariencia histológica de los tumores y el pronóstico (3).
Las tasas de supervivencia a los 5 y 10 años superan el 90 % y las recurrencias ocurren 2 - 3 años después del diagnóstico inicial, generalmente se limitan a pelvis y abdomen, sin producir metástasis a distancia (2). La presencia de elementos heterólogos endodérmicos no parece tener efectos negativos sobre el pronóstico en comparación con componentes mesenquimatosos. De hecho, la mortalidad es de aproximadamente 3 % en los casos con componentes endodérmicos comparado con 70 % en aquellos con componentes mesenquimatosos (15). Estos resultados han sido confirmados por otras investigaciones que demuestran la presencia de rabdomiosarcoma en algunos tumores con componentes mesenquimatosos (2). Se debe considerar que en pacientes como en el presente caso, en el cual el tumor era pequeño, clasificado en estadio 1A con diferenciación intermedia y elementos heterólogos, endodérmicos no mesenquimatosos, el pronóstico parece bueno.
El seguimiento de las mujeres con diagnóstico de tumores del estroma del cordón sexual es la realización de examen físico y medición de marcadores tumorales cada 2 - 4 meses durante los primeros 2 años y luego cada 6 meses. No existen datos suficientes que apoyen el uso periódico de estudios por imágenes (4). La tomografía computarizada y junto a la determinación de los valores de marcadores tumorales se recomiendan cuando existe una sospecha de recurrencia (14).
Los tumores de células de Sertoli-Leydig son tumores ováricos raros que representa 0,5 % de las neoplasias ováricas. Dado que estos tumores tienden a ser pequeños, la ecografía es la primera opción para el diagnóstico por imágenes. Si esto no es posible, la resonancia pélvica con contraste mejorado puede ayudar a orientar la exploración quirúrgica. A partir de los datos disponibles en la literatura, la presencia de tejido heterólogo endodérmico en los tumores no parece tener impacto negativo en el pronóstico de las pacientes. El seguimiento de estos pacientes es crucial para detectar la recurrencia en una etapa temprana.
REFERENCIAS
1. Xiao H, Li B, Zuo J, Feng X, Li X, Zhang R, et al. Ovarian Sertoli-Leydig cell tumor: A report of seven cases and a review of the literature. Gynecol Endocrinol. 2013;29(3):192-195.
2. Schneider DT, Orbach D, Cecchetto G, Stachowicz-Stencel T, Brummel B, Brecht IB, et al. Ovarian Sertoli Leydig cell tumours in children and adolescents: An analysis of the European Cooperative Study Group on Pediatric Rare Tumors (EXPeRT). Eur J Cancer. 2015;51(4):543-550.
3. Zizi-Sermpetzoglou A, Petrakopoulou N, Tepelenis N, Savvaidou V, Manoloudaki K, Katsoulis M. Pure Sertoli cell tumor. A case report and review of the literature. Eur J Gynaecol Oncol. 2010;31(1):117-119.
4. Young RH. Ovarian sex cord-stromal tumours and their mimics. Pathology. 2018;50(1):5-15.
5. Zhang M, Cheung MK, Shin JY, Kapp DS, Husain A, Teng NN, et al. Prognostic factors responsible for survival in sex cord stromal tumors of the ovary-an analysis of 376 women. Gynecol Oncol. 2007;104(2):396-400.
6. Bleyer A, Ferrari A, Whelan J, Barr RD. Global assessment of cancer incidence and survival in adolescents and young adults. Pediatr Blood Cancer. 2017;64(9):495-501.
7. Libé R. Clinical and molecular prognostic factors in adrenocortical carcinoma. Minerva Endocrinol. 2019;44(1):58-69.
8. Weigand I. Pathogenesis of benign unilateral adrenocortical tumors: Focus on cAMP/PKA pathway. Minerva Endocrinol. 2019;44(1):25-32.
9. Blake EA, Carter CM, Kashani BN, Kodama M, Mabuchi S, Yoshino K, et al. Feto-maternal outcomes of pregnancy complicated by ovarian sex-cord stromal tumor: A systematic review of literature. Eur J Obstet Gynecol Reprod Biol. 2014;175:1-7.
10. Uppot RN. Technical challenges of imaging & image-guided interventions in obese patients. Br J Radiol. 2018;91(1089):20170931.
11. Senaldi L, Gopi RP, Milla S, Shah B. Is ultrasound useful in the diagnosis of adolescents with polycystic ovary syndrome? J Pediatr Endocrinol Metab. 2015;28(5-6):605-612.
12. Demidov VN, Lipatenkova J, Vikhareva O, Van Holsbeke C, Timmerman D, Valentin L. Imaging of gynecological disease (2): Clinical and ultrasound characteristics of Sertoli cell tumors, Sertoli-Leydig cell tumors and Leydig cell tumors. Ultrasound Obstet Gynecol. 2008;31(1):85-91.
13. Stein EB, Wasnik AP, Sciallis AP, Kamaya A, Maturen KE. MR Imaging-pathologic correlation in ovarian cancer. Magn Reson Imaging Clin N Am. 2017;25(3):545-562.
14. Boussios S, Moschetta M, Zarkavelis G, Papadaki A, Kefas A, Tatsi K. Ovarian sex-cord stromal tumours and small cell tumours: Pathological, genetic and management aspects. Crit Rev Oncol Hematol. 2017;120:43-51.
15. Burris A, Hixson C, Smith N. Frozen section diagnostic pitfalls of Sertoli-Leydig Cell tumor with heterologous elements. Case Rep Pathol. 2018;2018:5151082.
Notas de autor
sippenbauch@gmail.com