DISPLASIA FIBROSA ÓSEA MONOSTÓTICA DE PARED COSTAL COMO PATOLOGÍA IDIOPÁTICA. REPORTE DE UN CASO CLÍNICO
DISPLASIA FIBROSA ÓSEA MONOSTÓTICA DE PARED COSTAL COMO PATOLOGÍA IDIOPÁTICA. REPORTE DE UN CASO CLÍNICO
Revista Venezolana de Oncología, vol. 32, núm. 1, pp. 26-33, 2020
Sociedad Venezolana de Oncología

Recepción: 14 Mayo 2019
Revisado: 21 Agosto 2019
Aprobación: 20 Septiembre 2019
Resumen: La displasia fibrosa es una patología benigna rara, infrecuente, generalmente asintomática, que afecta tejido óseo, caracterizada por la sustitución gradual del tejido óseo normal por tejido fibroso inmaduro o amorfo que pueden producir alteraciones óseas funcionales.OBJETIVO: Presentar un caso clínico de una patología idiopática, conocer comportamiento y manejo de dicha neoplasia, asi como revisar la literatura actual. CASO CLÍNICO: Paciente femenina de 26 años de edad, operada de cáncer tiroideo, niega antecedentes personales, ni familiares. Quien es referida debido que en un examen radiográfico posteroanterior de tórax, se evidencia como hallazgo casual imagen radiopaca en pared costal a nivel del tercer (3er) arco costal posterior izquierdo, ante lo cual se le indica tomografía computada de tórax, que confirma dicha lesión tumoral, con importante actividad expansiva y deformante se decide planificar toracotomía electiva postero lateral izquierda con resección quirúrgica de dicho arco costal con desarticulación costo vertebral. Hallazgo histopatológico e inmunohistoquímico compatible con el diagnostico de displasia fibrosa ósea monostótica. DISCUSIÓN: La displasia fibrosa ósea es una lesión de evolución lenta, es infrecuente y representa el 2,4 % de las neoplasias óseas y el 7 % de las neoplasias óseas benignas, asintomática, pero en ocasiones, se ha comprobado su malignización. CONCLUSIÓN: La variedad monostósica es asintomática, afecta a un solo hueso y son descubierta incidentalmente. Por lo que la cirugía está indicada para toma de biopsia confirmativa, corrección de la deformidad, prevención de fracturas patológicas y/o la extirpación de lesiones sintomáticas.
Palabras clave: Displasia fibrosa ósea, pared costal, monostótica.
Abstract: The fibrous dysplasia is a rare, infrequent, usually asymptomatic, benign pathology that affects the bone tissue, characterized by the gradual replacement of the normal bone tissue by the immature or the amorphous fibrous tissue that can produce functional bone alterations. OBJECTIVE: Present a case of an idiopathic pathology, to know the behavior and management of this neoplasia, as well as to review the current literature. CLINICAL CASE: Female patient of 26 years of age, operated on for thyroid cancer, denies personal or family history. Who is referred because in a posteroanterior chest radiographic examination, radiopaque image is found in the costal wall at the level of the third (3rd) left posterior costal arch, which is indicated by a chest computed tomography, which confirms this injury tumor, with important expansive and deforming activity, it was decided to plan left lateral posterolectic elective thoracotomy with surgical resection of said costal arch with vertebral cost disarticulation. Histopathological and immunohistochemical finding compatible with the diagnosis of monostotic osseous fibrous dysplasia. DISCUSSION: The bone fibrous dysplasia is a lesion of slow evolution, it is infrequent and represents 2.4 % of the bone neoplasms and 7 % of benign bone neoplasms, asymptomatic, but occasionally, its malignancy has been proven. CONCLUSION: The monostotic variety is asymptomatic, affects only one bone and is discovered incidentally. Therefore, surgery is indicated for confirmatory biopsy, correction of the deformity, prevention of pathological fractures and / or the removal of symptomatic lesions.
Keywords: Bony fibrous dysplasia, costal wall, monostotic.
INTRODUCCIÓN
Los tumores de la pared torácica son entidades raras de encontrar, entre las que se incluyen lesiones de hueso y partes blandas, pueden ser primarias o secundarias (metástasis, infecciosas) incluyendo también tumores de estructuras adyacentes al tórax que comprometen la pared torácica como la metástasis de mama, pulmón, pleura y mediastino.
Las lesiones tumorales primarias de la pared torácica representan aproximadamente entre el 2 % a un 5 % de todos los tumores del tórax (1), son de manejo complejo por lo que ameritan un estudio detallado y un abordaje exhaustivo para su corrección. Son un grupo heterogéneo de neoformaciones proliferativas, que pueden ser expansivas o no, que se pueden implantar en los tejidos que la integran la pared torácica, se originan tanto de los tejidos osteo-condro-periósticas como del tejido tegumentarios (1,2).
Los pacientes con tumores benignos de la pared torácica tiene una edad promedio de presentación que oscila, entre la segunda y tercera década de la vida, pero no asi los de tipo maligno que rondan por lo general después de la cuarta década de la vida.
Por lo general es común observar que las lesiones tumorales en las costillas, se deban a lesiones metastásicas o secundarias, porque dentro de las entidades primarias de esta región, las dos terceras partes son malignas. En los casos de tumores primarios costales en orden de frecuencia en el que se manifiestan es el siguiente: condrosarcoma 30 %, linfomas y mieloma múltiple o solitario 17 %, displasia fibrosa 12 %, osteosarcoma 10 %, osteocondroma 8 %, sarcoma de Ewing 6 %, granuloma eosinofílico 3 % y otros tumores raros dentro de los que se incluyen: hemangioma, condrosarcoma mesenquimatoso, tumor neuroectodérmico, condroblastoma, fibroma condromixoide, tumor de células gigantes, tumor de células gigantes de la enfermedad de Paget, tumor de células gigantes del hiperparatiroidismo, histiocitoma fibroso, quiste óseo aneurismático, fibrosarcoma y angiosarcoma (3,4).
La displasia fibrosa ósea (DFO) es un trastorno esquelético originado por una mutación genética específica al parecer es una anormalidad del mesénquima osteógeno durante el desarrollo con un amplio espectro de presentaciones clínicas que van desde los hallazgos radiológicos en pacientes asintomáticos, hasta anomalías óseas severas de carácter grave e incapacitante (5), el término fue adoptado por Lichtenstein y Jaffe para describir un trastorno que afecta fundamentalmente al hueso, pero a veces se acompaña de anormalidades extraesqueléticas, como hiperpigmentación cutánea, hiperfunción de glándulas endocrinas, tubulopatía renal o mixomas en distintos órganos (5). Tiene su mayor incidencia durante la adolescencia y en el sexo femenino, pero un 25 % de las lesiones se dan en los adultos jóvenes (20 a 30 años). Cuando se presenta en niños tienden a tener un peor pronóstico, con afectación más extensa y un predominio más alto de fracturas o dolor óseo (6).
Se le puede clasificar en tres grupos: a. La forma monostótica que corresponde al 80 % de todas las displasias fibro-óseas, compromete sólo un hueso, siendo más frecuente afectados los huesos largos como fémur, tibia y costillas, b. La forma poliostótica que corresponde al 20 % de las displasias fibro-óseas, la cual involucra dos o más huesos, cercanos o no, afecta los huesos cráneo-faciales en el 40 % a 50 % de los casos y c. Subtipo de enfermedad poliostósica (10 % de éstas) conocido como el síndrome de McCune-Albright (6,7).
El hueso afectado se ensancha y el hueso cortical adyacente se adelgaza; se caracteriza por la presencia de tejidos fibrosos y óseos en expansión en el interior de los huesos afectados. La lesión del hueso que se produce es una mezcla casual de tejido fibroso inmaduro y fragmentos pequeños de hueso trabecular inmaduro. Es más bien una lesión del esqueleto en crecimiento. Las deformidades angulares pueden ser el resultado de la mineralización defectuosa de hueso displásico inmaduro (8,9,10).
El paciente con displasia fibrosa monostótica normalmente no tiene ningún síntoma, por lo que generalmente es descubierta por otras razones. En algunos casos hay dolor, tumefacción y deformidad. Cuando esta tumoración se presenta en adultos jóvenes comprometiendo las costillas, se localiza la lesión afectando el arco posterior, la cual puede estar asociado a un traumatismo.
Por lo que su diagnóstico es a través de estudio de imágenes como lo es la radiografía: la apariencia de las lesiones es inconstante y depende de la proporción de los componentes óseos y fibrosos de la lesión que ocupan grandes áreas en el interior del hueso. Si predomina el componente de tejido conectivo se verá una lesión diafisaria intramedular radiolúcida que se combina con adelgazamiento y abombamiento de la cortical. Por el contrario, si predomina el componente óseo el aspecto radiográfico será el de una lesión de vidrio esmerilado o nebuloso que puede asociarse con deformidad angular (13,14,15).
La tomografía computada puede ayudar evaluar con exactitud la magnitud de la afectación ósea, al igual que la resonancia magnética en donde la intensidad de señal es moderadamente baja en T1, mientras en T2 es alta o media. Con gadolinio, la mayoría de las lesiones muestran un incremento central de contraste y algunos anillos periféricos. Con el estudio gammagráfico se puede determinar la disposición de las lesiones esqueléticas, además permite revelar lesiones en sitios insospechados. La intensa captación del radioisótopo refleja la magnitud de la lesión vista en la radiografía, especialmente cuando la lesión es activa. La disminución de la actividad en el escán óseo implica que la lesión se ha vuelto inactiva (14,15).
Desde el punto de vista histológico, los rasgos típicos incluyen hueso trabecular displásico truncado produciendo segmentos cortos del hueso, irregulares (llamados sopa del alfabeto chino). Las trabéculas displásicas están típicamente presentes dentro del estroma fibroso que reemplaza el hueso normal, y la actividad celular de estas lesiones es moderada (15).
Presentamos una paciente con diagnóstico de displasia fibrosa monostótica ósea costal. En donde mostramos los hallazgos en imágenes en radiografías y tomografía computada, hallazgos histopatológicos y revisamos la literatura actual.
CASO CLÍNICO
Paciente femenina de 26 años de edad natural y procedente del municipio Maracaibo, Estado Zulia, con antecedente patológico de carcinoma papilar de tiroides extirpado hace dos años, sin ningún antecedente personal y/o familiar. Que acude debido a su remisión a la consulta de cirugía de tórax producto de un hallazgo incidental en una radiografía posteroanterior del tórax, en donde se observa una imagen de radiopacidad a nivel del tercer (3er) arco costal posterior izquierdo.
Al examen físico practicado, este se encontró dentro de límites normales, motivo por el cual se ordenan exámenes complementarios de laboratorio e imágenes de tomografía computada de tórax con ventana ósea y reconstrucción de pared torácica ósea, asimismo survey óseo.
Los exámenes complementarios hematológicos, bioquímica sanguínea sérica, orina, proteograma, velocidad de sedimentación globular, factor reumatoide, inmunoglobulinas, anticuerpos antinucleares, fosfatasas alcalinas y alfafetoproteína dentro de rangos normales.
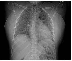
En la radiografía simple de tórax posteroanterior y lateral, se evidencia imagen radiopaca de apariencia redondeada, de unos 4 cm de diámetro, localizada a nivel del tercer (3er) arco costal posterior izquierdo (Figura 1).

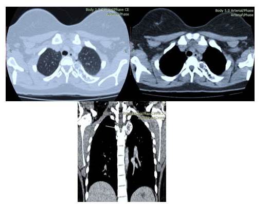
En la tomografía computada de tórax con reconstrucción en 3D, se evidenció imagen hiperdensa con áreas hipodensas en su interior, redondeada de bordes bien definidos microlobulados que mide 4,3 cm x 4,3 cm, a nivel del 1/3 proximal del tercer (3er) arco costal posterior izquierdo con protrusión de dicha lesión hacia parénquima pulmonar y partes blandas dorsal compatible con lesión neoplásica benigna. Resto del plano óseo y blando sin evidencia de lesiones (Figura 2).

Se realiza survey óseo de cuerpo entero y estática de tórax, el rastreo corporal mostraba lesión ocupante de espacio con aumento importante en la actividad de concentración del radiotrazador proyectado en hemitórax izquierdo a la altura del tercer arco costal (3er) posterior izquierdo con importante actividad expansiva y deformante.
Debido a los hallazgos de imágenes, se procede a realizar toracotomía posterolateral izquierda por planos con abordaje de la cavidad torácica a nivel del 5o espacio intercostal con resección quirúrgica de los 2/3 proximales del 3er arco costal posterior izquierdo con su desarticulación costo vertebral. Se deja sonda torácica por contra apertura a nivel del 7o espacio intercostal línea axilar posterior para restitución de la presión de la cavidad pleural
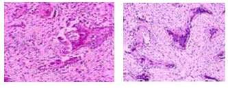
En los halazgos histopatológicos de la pieza resecada en el análisis microscópico se evidenció fragmentos de tejido fibrocolágeno, con matriz colagenosa densa y fibroblastos cortos dispuestos en patrón paucelular. Dicho tejido se observa en continuidad con el tejido adiposo y tejido muscular esquelético, observándose infiltrado escaso de linfocitos maduros (Figura 3).
Asimismo, se observan trabéculas óseas algunas con bordes osteoblásticos arqueadas, dispuestas en un patrón sin sentido (“caracteres chinos”). En el análisis inmunohistoquímico las células mostraron positividad para vimentina, negativas para citoqueratina de amplio espectro AE1/AE3, S-100, P53. Hallazgo histopatológico e inmunohistoquímico compatibles con el diagnóstico de DFO monostótica.

Evolución posoperatoria satisfactoria, motivo por el cual se retira sonda torácica y se decide el alta a las 72 h. Se obtuvo la cura del paciente con la remoción de la lesión, sin embargo, se controla por consulta externa para descartar patología recidivante o desarrollo de las formas multisistémicas de la enfermedad.
DISCUSIÓN
La mayoría de los tumores de la pared torácica aparecen en la segunda década de la vida, con un promedio de edad de los pacientes de 21 años para los tumores benignos y de 25 años para los malignos. Predominan en el sexo masculino en una proporción de 2:1. Las principales manifestaciones clínicas son dolor, masa palpable o una anormalidad en la radiografía de tórax (5,6).
La DFO es una lesión de evolución lenta, es infrecuente y representando el 2,4 % de las neoplasias óseas (6) y el 7 % de las neoplasias óseas benignas (8). Es normalmente benigna y asintomática, aunque en ocasiones, se ha comprobado su malignización. Predomina su prevalencia en cuanto al género es mayor en el sexo femenino que en el masculino con una relación 2:1, en la segunda década de la vida (7), y puede afectar a cualquier hueso del esqueleto.
La presentación monostótica de la DFO, con compromiso solitario de la costillas como en el presente caso, no es tan frecuente. A pesar de ser por definición una entidad benigna, en la DFO se han descrito trasformaciones malignas en el rango de 0,5 % en la enfermedad monostótica a 4 % en el síndrome de Albright. Lo característico es que pasen varios años de diagnosticada la enfermedad antes de que ocurra el cambio sarcomatoso, inclusive décadas.
Existen varias teorías acerca de su etiología entre ellas: traumatismos, alteración del desarrollo embrionario, origen genético ó neoplásico (16,17). De ellas, la más aceptada es la existencia de una mutación genética somática originada en las fases tempranas del desarrollo embrionario, asociada al fenómeno del mosaicismo. Cuanto más precoz sucede la mutación, mayor es la repercusión clínica. Esta alteración observada en los osteoblastos es una mutación activadora del gen Gsa que codifica la subunidad “a” del sistema de la proteína G de la membrana (14), en el cromosoma 20 (20q13.2), originando un aumento en la concentración de AMPc, lo que altera la normal diferenciación de los osteoblastos, que producen hueso anómalo.
La DFO se puede presentar como lesiones monostótica (70 %) o poliostótica (30 %) y la relación mujeres-hombres es de 3:1. Las lesiones monostóticas de la DFO, son en su mayoría asintomáticas y no requieren tratamiento. Pero ante un paciente que acude con una sintomatología inespecífica, establecer el diagnóstico presuntivo de displasia fibrosa de entrada es un tanto difícil, puesto que primero es necesario abordar todas las posibles patologías que podrían presentarse de manera similar, hay que tener en consideración y diferenciar dentro del grupo de enfermedades inusuales, aquellas que tienen mayor incidencia, así como la revisión de las que tienen un curso benigno o maligno; sin dejar afuera aquellas lesiones categorizadas como primarias o secundarias del hueso.
La semiología radiológica es concluyente, en los estudios de imagen la apariencia en una radiografía simple es inconstante y depende de la proporción de los componentes óseos y fibrosos de la lesión que ocupan grandes áreas en el interior del hueso. Esta definida por una osteólisis intracortical excéntrica con expansión y adelgazamiento de la cortical pero sin rotura, marginada en su vertiente medial por un reborde escleroso que oblitera parcialmente el canal medular en ausencia de reacción perióstica.
Para el diagnóstico la tomografía computada (TC) es el estudio por imagen más importante que nos permite distinguir los tres patrones radiológicos según el grado de tejido fibroso: pagetoide, escleroso y quístico. Se puede observar la imagen típica en forma de vidrio esmerilado que corresponde al hueso sano que rodea la lesión (16).
La resonancia magnética (RM) es una técnica cada vez más usada en el diagnóstico de esta enfermedad, la intensidad de señal es moderadamente baja en T1, mientras en T2 es alta o moderada y se realzan con el suministro de contraste (16). Por lo que es la forma más rápida para determinar la distribución de las lesiones esqueléticas además permite descubrir lesiones en sitios insospechados, asimismo, valora con precisión el desplazamiento de estructuras adyacentes y la extensión del proceso.
Ante la aparición aislada de estas lesiones óseas, se debe descartar que no se trate del síndrome completo, haciendo para ello un estudio clínico, endocrinológico y una gammagrafía ósea con 99mTC en busca de otras localizaciones.
La confirmación diagnóstica recae en la anatomía patológica que permite diferenciar de otras entidades que implican crecimiento óseo como fibrosis osificante, neurofibromatosis, osteitis fibroquística, entre otros.
La biopsia es el diagnóstico definitivo, es un método que permite decidir la conducta. El tratamiento de la DFO varía de acuerdo a la forma de presentación de la enfermedad. En las lesiones sospechosas es preferible la extirpación, porque la biopsia por incisión o por aguja puede originar siembras en el trayecto y no siempre permiten determinar con certeza si una lesión es maligna(10).
En un paciente con diagnóstico de DFO es importante tener presente la posibilidad de su trasformación maligna y que es de 0,5 % a 4 % de riesgo se convierten en el 100 % en el paciente que la sufre, y que su pronóstico no sólo depende de la evolución natural de la enfermedad sino también de lo acucioso que sea el profesional para realizar un diagnóstico certero y seguimiento estricto de su paciente. Es por todo esto que el tratamiento ideal sería extirpar totalmente el tumor y reconstruir el área afectada, pero eso en muchas ocasiones no es posible, porque la localización del tumor impide extirparlo en su totalidad sin ser excesivamente agresivo, y que no se debe olvidar que se trata de una patología benigna, pero es necesario tener en cuenta que las recidivas también sean más frecuentes en 10 % a 25 % (17).
La radioterapia está contraindicada pues se habla de malignizaciones de un 0,4 %-1 % en displasia fibrosa.
En nuestro caso, se decidió por la resección quirúrgica, de la lesion. La evolución de la paciente fue satisfactoria, ahora se encuentra asintomática bajo seguimiento por consulta externa. Podemos concluir: la DFO es una lesión benigna, evoluciona lentamente y a pesar de ser asintomática, causa deformidad ósea, la gran mayoría de las lesiones de la variedad monostósica son asintomáticas, afectan a un solo hueso y son descubiertas incidentalmente, es muy importante que tanto las técnicas de imagen como el análisis histopatológico sean las más adecuadas para llegar a el diagnóstico correcto porque sus hallazgos pueden ser difíciles de interpretar. Por lo que la cirugía está indicada para toma de biopsia confirmativa, corrección de la deformidad, prevención de fracturas patológicas y/o la extirpación de lesiones sintomáticas. Pero hay que tener en cuenta que las lesiones monostóticas en su mayoría son asintomáticas y no requieren tratamiento alguno.
REFERENCIAS
1. Incarbone M, Pastorino U. Surgical treatment of chest wall tu-mors. World J Surg. 2001; 25:218-230.
2. Rojas M, González AL. Tumores de la pared torácica. Rev Chilena Cir. 2004;56(2):182-184.
3. Evans KG, Miller RR, Muller NL, Nelems B. Chestwall tumours. Can J Surg. 1990;33:229-232.
4. Allen PJ, Shriver CD. Desmoid tumors of the chest wall. Semin Thorac Cardiovasc Surg. 1999;11:264-269.
5. Cantos M, Arnau A, Figueroa S, Martínez N, Guijarro R. Tumor de células gigantes de arco anterior costal, una localización poco habitual. Cir Esp. 2011;89(1):59-61.
6. Lichtenstein L. Polyostotic fibrous dysplasia. Arch Surg. 1938;36:874-898. doi:10.1001/archsurg.1938.01190230153012
7. DiCaprio MR, Enneking WF. Fibrous dysplasia. Pathophysiology, evaluation, and treatment. J Bone Joint Surg Am. 2005;87:1848-1864.
8. Hernández C, Weisman R, Gerhardt M. Displasia fibrosa monostótica: Relato de un caso clínico. Rev Cubana Estomatol. 2002;39(3):417-426 .
9. Chong VF, Khoo JB, Fan YF. Fibrous dysplasia involving the base of the skull. AJRAm J Roentgenol. 2002;178:717-720.
10. Román R, Johnson MC, Codner E, Cattani A, García H, Mericq V, et al. Clinical and molecular study of Chilean patients with McCune-Albright syndrome. Rev Med Chil. 2001;129:1365-1372.
11. Ferreira R, De Almeidfa SM, Boscolo FN, Santos AO, Camargo EE. Bone scintigraphy as an adjunct for the diagnosis of oral diseases. J Dent Educ. 2002;66:1381-1387.
12. Lustig LR, Holliday MJ, Mccarthy EF, Nager GT. Fibrous dysplasia involving the skull base and temporal bone. Arch Otolaryngol Head Neck Surg. 2001;127:1239-1247.
13. Maher CO, Friedman JA, Meyer FB, Lynch JJ, Unni K, Raffel C. Surgical treatment of fibrous dysplasia of the skull in children. Pediatr Neurosurg. 2002;37:87-92.
14. Perdigao PF, Pimenta FJ, Castro WH, De Marco L, Gómez RS. Investigation of the Gsalpha gene in the diagnosis of fibrous dysplasia. Int J Oral Maxillofac Surg. 2004;33(5):498-501.
15. Alves N. Displasia fibrosa monostótica craneofacial: ¿Cómo debe ser el diagnóstico?. Int. J. Odontostomat. 2013;7.(2):221-224 .
16. Tateishi U, Gladish GW, Kusumoto M, Hasegawa T, Yokoyama R, Tsuchiya R, et al. Chest wall tumors: Radiologic findings and pathologic correlation: Part 2. Malignant tumors. Radiographics. 2003;23:1491-1508
17. Ferreira da Silva C, Bonani BB, Lopes BT, Barros MG, Ximenes A. Displasia fibrosa. Relato de caso. Rev Bras Clin Med. São Paulo. 2011;9(6):441-444.
Notas de autor
jcaraujoc95@gmail.com