ENCONDROMA SOLITARIO COSTAL PATOLOGÍA CON COMPORTAMIENTO EXTRAÑO Y EVOLUCIÓN INCIERTA. REPORTE DE UN CASO CLÍNICO
ENCONDROMA SOLITARIO COSTAL PATOLOGÍA CON COMPORTAMIENTO EXTRAÑO Y EVOLUCIÓN INCIERTA. REPORTE DE UN CASO CLÍNICO
Revista Venezolana de Oncología, vol. 32, núm. 2, pp. 106-112, 2020
Sociedad Venezolana de Oncología

Recepción: 12 Mayo 2019
Revisado: 18 Julio 2019
Aprobación: 15 Febrero 2020
Resumen: El encondroma solitario es una lesión tumoral benigna cartilaginosa hialina madura que crece más frecuentemente en las metáfisis de los huesos tubulares y se expanden hacia epífisis y diáfisis, cuya causa parece ser la pérdida de normal osificación encondral bajo la placa fisaria. OBJETIVO: Presentar un caso clínico de una patología de comportamiento extraño y evolución incierta, su manejo terapéutico, asi como la revision la literatura actual. CASO CLÍNICO: Paciente femenina de 19 años de edad con encondroma solitario en cuarto cartílago costal derecho, confirmando su diagnóstico mediante una tomografía computada de tórax en donde se observa tumor cartilaginoso que ocupa todo el cuerpo del cuarto cartílago costal derecho, abombando y adelgazando las corticales, compatible con lesión neoplásica benigna. Asimismo, los los hallazgos histopatológicos fueron confimativo para encondroma. DISCUSIÓN: Un encondroma es un tipo de tumor óseo benigno que se origina a partir de tejido cartilaginoso, pero que su etiologia todavía hoy en dia no es bien conocida, por lo que el origen exacto del encondroma, se vaticina que se produce como consecuencia del crecimiento anormal del cartílago que recubre los extremos de los huesos, o del crecimiento persistente del cartílago embrionario original. CONCLUSIÓN: Los encondromas plantean el riesgo de fracturas patológicas, recidiva y, en menor proporción, de transformación maligna, la opción en el manejo quirúrgico,debe ser sencilla con buenos y excelentes resultados a largo plazo.
Palabras clave: Encondroma solitario, pared costal, cartílago, tumor condral, lesión exofítica, defecto cortical.
Abstract: The solitary enchondroma is a benign mature cartilaginous hyaline tumor that grows more frequently in the metaphyses of the tubular bones and expands towards the epiphysis and diaphysis, the cause of which seems to be the loss of normal ossification under the physeal plate. OBJECTIVE: To present a clinical case of a pathology of strange behavior and uncertain evolution, its therapeutic management, as well as the revision of the current literature. CLINICAL CASE: Female patient of 19 years of age with solitary enchondroma in fourth right costal cartilage, confirming its diagnosis by means of a chest computed tomography where cartilaginous tumor is observed that occupies the entire body of the fourth right costal cartilage, bulging and thinning the cortical , compatible with benign neoplastic lesion. Likewise, the histopathological findings were confimative for encondroma. DISCUSION: An enchondroma is a type of benign bone tumor that originates from the cartilaginous tissue, but its etiology is still not well known today, so the exact origin of enchondroma is predicted to occur as a consequence of the abnormal growth of the cartilage that lines the ends of the bones, or the persistent growth of the original embryonic cartilage. CONCLUSION: The enchondromas pose the risk of pathological fractures, recurrence and, in a lesser proportion, of malignant transformation, the option in surgical management, should be simple with good and excellent long-term results.
Keywords: Lone enchondroma, costal wall, cartilage, chondral tumor, exophytic lesion, cortical defect.
CASOS CLÍNICOS
ENCONDROMA SOLITARIO COSTAL PATOLOGÍA CON COMPORTAMIENTO EXTRAÑO Y EVOLUCIÓN INCIERTA. REPORTE DE UN CASO CLÍNICO
INTRODUCCIÓN
Los tumores de la pared torácica son entidades raras de encontrar, entre las que se incluyen lesiones de hueso y partes blandas, pueden ser primarias o secundarias (metástasis, infecciosas) incluyendo también tumores de estructuras adyacentes al tórax que comprometen la pared torácica.
La mayoría de los tumores primarios benignos de la pared torácica se origina del tejido óseo o cartilaginoso, representan aproximadamente entre el 2 % a un 5 % de todos los tumores del tórax, siendo el osteocondroma y la displasia fibrosa los más frecuentes, con una incidencia entre el 60 % a 70 % del total de los tumores benignos (1).
Los tumores benignos de la pared torácica tienen una edad promedio de presentación que oscila, entre la segunda y la tercera década de la vida, pero no asi los de tipo maligno que rondan por lo general después de la cuarta década de la vida (1,2).
Son de manejo complejo por lo que ameritan un estudio detallado y un abordaje exhaustivo para su corrección. Son neoformaciones heterogéneas, proliferativas, expansivas o no, implantadas en los tejidos que la integran la pared de la caja torácica, se originan tanto de los tejidos osteo-condro-periósticos como del tejido tegumentarios (3).
Por un lado los tumores localizados en las costillas de etiología benigna, tienen su origen en la zona de unión del cartílago costal con el esternón, la clavícula o las vértebras. Sin embargo, no hay suficiente evidencia para saber la etiología y podríamos asumir que la zona de transición entre el cartílago y el hueso puede desempeñar un papel determinante, así como el trauma (3,4).
Y por otro lado, es común observar que las lesiones tumorales en las costillas, se deban a lesiones metastásicas o secundarias, porque dentro de las entidades primarias de esta región, las dos terceras partes son malignas (4).
El encondroma es una lesión tumoral benigna cartilaginosa hialina madura se presume que surjan o se originen de los restos de cartílago que quedan atrapados en la metáfisis del hueso en crecimiento, como fracaso de osificación endocondral normal debajo del platillo de crecimiento y representa una displasia del platillo de crecimiento central. Si el proceso displásico ocurre en el platillo de crecimiento lateral, el tumor resultante se llama osteocondroma. La proliferación displásica cartilaginosa bajo el pericondrio produce el condroma periosteal (5).
Su crecimiento es más frecuentemente en las metáfisis de los huesos tubulares y se expanden hacia epífisis y diáfisis, cuya causa parece ser la pérdida de la osificación encondral normal bajo la placa fisaria. Suelen asentarse o localizarse más frecuentemente en los huesos tubulares en un 25 %, siendo el fémur el lugar más frecuente seguido del húmero, la tibia, los metacarpianos o metatarsianos y falanges en manos o pies y a veces en húmero, fémur y costillas. Esta neoplasia se ubica en los huesos tubulares de manera central en el 57 % de los casos y en el resto excéntricamente (5,6).
Pueden ser únicos o múltiples, los únicos pueden producir dolor local debido a expansión intramedular y los múltiples producen una amplia afectación del esqueleto óseo cartilaginoso; se detectan por la presencia de dolor o deformidad ósea (6).
Se presenta de los adultos, entre la segunda y cuarta década de la vida, no presenta preferencia según el sexo. Su malignización es excepcional, sobre todo en edades tempranas antes de la madurez esquelética.
Generalmente son tumores solitario cartilaginoso de naturaleza benigna usualmente asintomático que representa la segunda lesión condroide benigna seguida del osteocondroma, ocurriendo en el 3 % al 17 % de los casos de tumores óseos primarios osteocartilaginosos, esta compuesto de lóbulos de cartílago hialino (7).
El encondroma solitario es habitualmente asintomático, lo más frecuente es que se presente como un hallazgo radiológico asintomático, aunque también puede debutar como una fractura patológica o con síntomas debidos al efecto de masa como dolor y compresion (5).
La forma no agresiva y la presencia de una estructura interna que corresponde a cartílago estructuran fácilmente el diagnóstico de esta lesión. En los estudios de imágenes como la radiográfia de torax se aprecia lesiones líticas redondeadas u ovoídeas, bien delimitadas, con contenido radiotranslúcido expansivas que insuflan el hueso, de contornos lobulados, con adelgazamiento de la cortical, y que causan erosión progresiva endóstica. A veces presentan pequeño moteado que traduce calcificaciones intratumorales, siendo siempre su límite neto y escleroso, ubicadas con mayor frecuencia a nivel metafisiario (8,9).
La lesión puede crecer lentamente, pueden aparecer posteriormente calcificaciones intralesionales. Estas calcificaciones, generalmente tiene forma de puntos, anillos, y arcos tomando apariencia de palomitas de maíz. Si las calcificaciones son extensas, la lesión se llama encondroma calcificado.
La cortical está adelgazada de modo fusiforme y tiene unos márgenes internos festoneados, que refleja el patrón de crecimiento lobular del cartílago. La frecuente apariencia nubosa da una pista de la naturaleza condroide de la lesión. No hay ninguna reacción del periostio (8).
En la fase latente, el tejido cartilaginoso puede calcificar con el modelo punteado difuso. Cuando la lesión madura, evoluciona a un margen reactivo. Cuando el tumor es central, se llama encondroma y, cuando es periférico, eucondroma, aunque es mejor hablar de condroma periostal o periférico. Estos últimos son menos frecuentes (10).
Cuando los tumores son de comportamiento benigno, la resección quirúrgica está indicada para mejorar las molestias producidas por el dolor o la deformación (11).
Presentamos una paciente con diagnóstico de encondroma costal solitario. En donde mostramos los hallazgos de imágenes en radiografías y tomografía computada, el hallazgo histopatológico y revisamos la literatura actual.
CASO CLÍNICO
Paciente femenina de 19 años de edad natural y procedente del municipio Maracaibo, Estado Zulia, sin antecedente patológicos, ni familiares, ni personales de interés, que consulta por una deformidad región anterior del hemitórax derecho a nivel del cuarto arco costocondral derecho, acentuada en los últimos seis meses, sin que existiese un traumatismo previo.
Al examen físico en la esfera torácica a la inspección se aprecia una deformidad llamativa aumento de volumen (abultamiento) a nivel de la unión articular condro-esterno-costal del cuarto arco derecho, con engrosamiento a la palpación, de superficie lisa, sin crepitación, bien delimitado, si adherencias a planos adyacente, con cierta movilidad. No presenta dolor a la presión ni con los movimientos.
Motivo por el cual se ordenan exámenes complementarios de laboratorio e imágenes. Exámenes complementarios de laboratorio todos dentro del rango de valor normal. Asimismo, en el estudio analítico, bioquímico y del metabolismo óseo, no se encontraron datos anormales. Con la sospecha clínica de encondroma solitario costal, la paciente fue derivada al servicio de cirugía de torax, donde se confirmó el diagnóstico y se descartaron más lesiones en otras localizaciones.
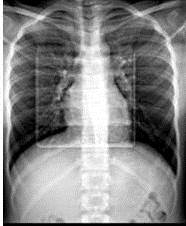
En la exploración imageneológica en la radiografía simple de tórax posteroanterior, no se evidencia imagen compatible a lesiónes ni trazos de fractura (Figura 1). En la tomografía computada de tórax con reconstrucción en 3D de pared torácica ósea-cartilaginosa, no se evidencia fractura, pero se identifica tumor cartilaginoso que ocupa todo el cuerpo del cuarto cartílago costal derecho de la unión articular condro-esterno-costal, abombando y adelgazando las corticales, con lesión lítica de coloración más oscura, rodeada de un halo de hiperdensidad (esclerosis) que lo delimita. Con un patrón condral muy bien delimitado (se ve la lesión rodeada por un halo) con alta sospecha de un tumor de origen condral compatible con lesión neoplásica benigna. Resto del plano óseo y blando sin evidencia de lesiones (Figura 2 A y B).
Debido a los hallazgo de imágenes, se procede a realizar toracotomía anterior derecha por planos a nivel del 4to y 5to espacio intercostal con resección quirúrgica del cuarto cartílago costal con su desarticulación esterno-condro-costal (Figura 3).



En el examen macroscópico muestra constituida por tres (3) fragmentos tisulares alargados de tejido que miden cada uno 2 cm x 0,8 cm, blanco grisacio, firmes al corte. Se somete a descalcificación.
En los halazgos histopatológico en el análisis microscópico se evidenció lesión compuesta por lóbulos de cartílago hialino, maduro con focos de generación mixoide, espacios lacunares ocupados por condrocitos binucleados, algunos hiperteñidos y agrandados, sin figuras mitóticas. Hallazgos histopatológicos compatibles con el diagnóstico de encondroma costal solitario.
Evolución posoperatoria satisfactoria, motivo por el cual se decide el alta a las 24 h. Se obtuvo la cura del paciente con la remoción de la lesión.
DISCUSIÓN
La mayoría de los tumores de la pared torácica aparecen durante la segunda década de la vida, con un promedio de edad de los pacientes de 21 años para los tumores benignos y de 25 años para los malignos. Predominan en el sexo masculino en una proporción de 2:1. Las principales manifestaciones clínicas son dolor, masa palpable o una anormalidad en la radiografía de tórax (1,2).
Los tumores formadores de cartílago, son los tumores primarios más frecuentes, se caracterizan por su comportamiento extraño y su evolución incierta, porque pueden tener muy buen aspecto, pero mal desenlace y son de diagnóstico muy difícil.
Las enfermedades con evolución y crecimiento desordenado, del tejido cartilaginoso o fibroso se pueden clasificar en dos subgrupos: por un lado las que en su afectación involucran al cartílago (displasia epifisaria hemimélica, las exóstosis cartilaginosas múltiples, exóstosis cartilaginosas múltiples-displasia periférica, la encondromatosis múltiple, la encondromatosis con hemangiomas y la metacondromatosis), y por el otro lado las que afectan al tejido fibroso (displasia fibrosa con pigmentación cutánea y pubertad precoz, el querubismo y la neurofibromatosis) (3,4).
Un encondroma es un tipo de tumor óseo benigno que se origina a partir de tejido cartilaginoso, pero que su etiología todavía hoy en día no es bien conocida, por lo que el origen exacto del encondroma, se vaticina que se produce como consecuencia del crecimiento anormal del cartílago que recubre los extremos de los huesos, o del crecimiento persistente del cartílago embrionario original (5).
Este afecta por lo general con mayor frecuencia al cartílago que recubre el interior de los huesos. Los huesos en los que este tumor benigno se desarrolla con mayor frecuencia son los diminutos huesos largos de las manos y los pies. Sin embargo, también puede aparecer en otros huesos, como por ejemplo, el fémur, el húmero, la tibia o las costillas, como en el caso que se estudia en nuestro reporte (5,6).
Pueden afectar a individuos tanto de sexo femenino como el masculino de cualquier edad, y con mayor frecuencia entre la primera y segunda decada de la vida (6).
Asimismo, se pueden presentar como un tumor solitario como en el reporte de nuestro caso o varios tumores, esta condiciones que se corresponden a múltiples lesiones incluyen a la encondromatosis (enfermedad de Ollier) en el síndrome de Maffucci (7).
Las personas que tienen un encondroma no suelen manifestar ningún síntoma, o todo lo contrario pueden presentar síntomas como: dolor que puede aparecer si el tumor es muy grande o si el hueso afectado se ha debilitado y provoca una fractura, agrandamiento del hueso afectado como en nuestro caso.
Sin embargo, un encondroma presenta pocos síntomas, el diagnóstico a veces se realiza durante un examen físico de rutina o si la presencia del tumor provoca una fractura patológica.
En cuanto a los procedimientos para diagnosticar el encondroma además de la historia clínica y el examen físico completo, también nos podemos apoyar en los estudios de imágenes donde se observa en la semiología radiológica; lesiones osteoblásticas (osteólisis) intracortical excéntrica con expansión y adelgazamiento de la cortical pero sin rotura, marginada en su vertiente medial por un reborde escleroso que oblitera parcialmente el canal medular en ausencia de reacción perióstica (8,9,10).
La tomografía computarizada, muestra imágenes detalladas de cualquier parte del cuerpo, donde se incluyen los huesos, los músculos, la grasa y los órganos; La resonancia magnética (RM) es una de las técnicas de imágenes cada vez más implementada en el diagnóstico de esta enfermedad, la intensidad de señal es moderadamente baja en T1, mientras en T2 es alta o moderada y se realzan con el suministro de contraste, que incorpora la evaluación de la matriz no mineralizada, la alteración de la médula ósea, el edema peritumoral, y la evaluación dinámica del patrón de realce.
Por lo que es la forma más rápida para determinar la distribución de las lesiones esqueléticas además permite descubrir lesiones en sitios insospechados, asimismo, valora con precisión el desplazamiento de las estructuras adyacentes y la extensión del proceso tumoral (12).
Ante la aparición aislada de estas lesiones óseas, se debe descartar que no se trate de enfermedad múltiple, haciendo para ello el escáneo con radionúclidos (gammagrafía) de los huesos (9).
La confirmación diagnóstica recae en la anatomía patológica que permite diferenciar de otras entidades que implican crecimiento óseo como fibrosis osificante, neurofibromatosis, osteitis fibroquística, entre otros. Por ser el encondroma el tumor primario óseo benigno más frecuente, en el contexto de un hallazgo incidental, representando entre el 3 %-18 % de las biopsias óseas. La biopsia es el diagnóstico definitivo, es un método que permite decidir la conducta (13).
El tratamiento de los encodroma preferiblemente es la extirpación quirúrgica o el tratamiento conservador, en nuestro caso se decidió por la resección quirúrgica, de la lesión. La evolución de la paciente fue satisfactoria, ahora se encuentra asintomática bajo seguimiento por consulta externa (11).
En el encondroma por lo general su período de latencia es mayor en la etapa de la madurez, en donde menos del 2 % de estos encondromas solitarios son asintomáticos su transformación en malignidad a un condrosarcoma, con riesgo de transformación maligna es aproximadamente 10 %-25 % (13).
El encondroma es una patología benigna de rara presentación, su verdadera frecuencia de aparición no está clara, debido a que los casos recogidos en la literatura científica son aislados. Clínicamente, son tumores de crecimiento lento, que cursan con poco dolor, su diagnóstico debe realizarse a partir de la historia clínica y el comportamiento radiológico no agresivo de la lesión, por la aparición de deformidades, retraso del crecimiento, con posibilidad de afectación de varios huesos. Asimismo, se plantean el riesgo de fracturas patológicas, recidiva y en menor proporción, se debe considerar y tener en cuenta su transformación maligna. La opción en el manejo quirúrgico debe ser sencilla con buenos y excelentes resultados a largo plazo.
REFERENCIAS
1. Rojas M, González AL. Tumores de la pared torácica. Rev Chilena Cir. 2004;56(2):182-184.
2. Evans KG, Miller RR, Muller NL, Nelems B. Chestwall tumours. Can J Surg. 1990;33:229-232.
3. Allen PJ, Shriver CD. Desmoid tumors of the chest wall. Semin Thorac Cardiovasc Surg. 1999; 11:264-269.
4.Velázquez D, Lever-Rosas R, l. Barrera-Franco CD, Padilla-Rosciano J, Frías-Mendívil L, Domínguez-Parra M. Tumores primarios benignos de la pared torácica. Resultados del tratamiento quirúrgico Cir Ciruj. 2007;75:419-424.
5. Restrepo J, Molina MP. Encondroma solitario de fémur. Rev.Colomb.Reumatol. [Internet]. 2009 July [cited 2019 Jan 31]; 16(3):315-317. Disponible en: URL: http://www.scielo.org.co/scielo.php?script=sci_arttext&pid=S0121-81232009000300007&lng=en
6. Gutiérrez Carbonell P, Sastre Martín S, de Anta Díaz B. Encondroma solitario en falange distal del cuarto dedo de la mano. Nueva modalidad de tratamiento. A propósito de un caso. Revista de la Sociedad Andaluza de Traumatología y Ortopedia. 2002;22(2):103-228. Disponible en: URL: http://www.elsevier.es/es-revista-revista-sociedad-andaluza-traumatologia-ortopedia-130-articulo-encondroma-solitario-falange-distal-del-13041999.
7. Álvarez López A, García Lorenzo Y, Casanova Morote C, Muñoz Infante A. Condrosarcoma. Rev Cubana Ortop Traumatol [Internet]. 2007 Dic [citado 2019 Sep 13];21(2). Disponible en: URL:http://scielo.sld.cu/scielo.php?script=sci_arttext&pid=S0864-215X2007000200007&lng=es.
8. Krandorf M, Peterson J, Bancroft L. MR Imaging of the knee: Incidental osseous lesions. Magn Reson Imaging Clinics. 2007;45:943-954.
9. Ferreira R, De Almeidfa SM, Boscolo FN, Santos AO, Camargo EE. Bone scintigraphy as an adjunct for the diagnosis of oral diseases. J Dent Educ. 2002;6;1381-1387.
10. Tateishi U, Gladish GW, Kusumoto M, Hasegawa T, Yokoyama R, Tsuchiya R, et al. Chest wall tumors: Radiologic findings and pathologic correlation: part 2. Malig-nant tumors. Radiographics. 2003;23:1491-1508.
11. Incarbone M, Pastorino U. Surgical treatment of chest wall tumors. World J Surg. 2001;25:218-230.
12. Spouge A, Bell R. Magnetic resonance imaging of bone tumours and mimics: Pictorial essay. Can Assoc Radiol J. 2003;54:221-233.
13. Vázquez Fernández ME, Vázquez Fernández MJ, Luque MR, Sánchez Gallego P, Rodríguez Sánchez E. Deformidad ósea secundaria a un encondroma. Acta Pediatr Esp. 2008;66(11):569-570.