OSTEOCLASTOMA COSTAL UN TUMOR ÓSEO PRIMARIO BENIGNO POCO FRECUENTE. REPORTE DE UN CASO CLÍNICO
OSTEOCLASTOMA COSTAL UN TUMOR ÓSEO PRIMARIO BENIGNO POCO FRECUENTE. REPORTE DE UN CASO CLÍNICO
Revista Venezolana de Oncología, vol. 32, núm. 3, pp. 167-174, 2020
Sociedad Venezolana de Oncología

Recepción: 13 Diciembre 2019
Revisado: 18 Marzo 2020
Aprobación: 19 Mayo 2020
Resumen: OBJETIVO: Presentar un caso clínico de una patología poco frecuente, conocer su comportamiento agresivo y su limitada capacidad de dar metástasis, su manejo terapéutico, así como revisar la literatura actual. CASO CLÍNICO: Paciente masculino de 22 años de edad, sin antecedentes patológicos personales ni familiares a quien le es detectado una radio opacidad a nivel del décimo arco costal proximal posterior izquierdo de apariencia redondeada, hiperdensa con áreas hipodensas en su interior, redondeada de bordes bien definidos micro-lobulados que mide 4,3 cm x 4,3 cm. Se practica cirugía por toracotomía póstero lateral izquierda con resección quirúrgica de los 2/3 proximales del 10o arco costal posterior izquierdo con su desarticulación costo-vertebral. Estudio anatomopatológico reportó el diagnóstico histológico de osteoclastoma costal o tumor óseo de células gigantes. CONCLUSIÓN: Es una de las neoplasias óseas poco frecuentes y menos predecibles en cuanto a su comportamiento, que prácticamente todos los tumores óseos contienen células gigantes. Es una neoplasia ósea primaria con características benignas, que invade localmente de manera agresiva, con un componente bifásico de células gigantes y otro fuso-celular muy vascularizado, con recidivas frecuentes y una capacidad limitada de dar metástasis. El osteoclastoma o tumor de células gigantes del hueso es un tumor raro, y su localización en costilla lo hace más inusual, sin embargo, es de buen pronóstico, a pesar de que puede recurrir y dar metástasis
Palabras clave: Osteoclastoma, tumor óseo, células gigantes, neoplasia, costilla.
Abstract: OBJECTIVE: To present a clinical case of a rare pathology, to know its aggressive behavior and its limited ability to metastasize, its therapeutic management, as well as to review the current literature CLINICAL CASE: A 22 year old male patient with no personal or family pathological background who was detected a radio opacity at the level of the tenth proximal left posterior costal arch with a rounded appearance, hyper dense with hypodense areas inside, the rounded well defined micro lobulated edges measuring 4.3 cm x 4.3 cm. The surgery is performed through left lateral poster-lateral thoracotomy with surgical resection of the proximal 2/3 of the 10. left posterior costal arches with its costovertebral disarticulation. The anatomo-pathological study reported the histological diagnosis of costal osteoclastoma or bone tumor of giant cells. CONCLUSION: It is one of the rare bone neoplasms and less predictable in terms of its behavior, since practically all bone tumors contain giant cells. It is a primary bone neoplasm with benign features that invades locally aggressively, with a biphasic component of giant cells and another highly vascularized spindle cell, with frequent recurrences and a limited capacity to metastasize. The osteoclastoma or giant cell tumor of the bone is a rare tumor, and its location in rib makes it more unusual, however it is of good prognosis, although it can recur and metastasize
Keywords: Osteoclastoma, bone tumor, giant cells, neoplasia, rib.
INTRODUCCIÓN
Los tumores óseos benignos representan un grupo variado de entidades patológicas y clínicas. Varían considerablemente con respecto a su agresividad y al manejo clínico, requiriendo un espectro amplio en cuanto a su manejo terapéutico. Muchas de estas lesiones se pueden manejar con pura observación o seguimiento sin precisar ningún tipo de intervención, mientras otros requieren manejo quirúrgico con resección en bloque completa seguida de reconstrucción. Se ha de tener en cuenta que algunas de estas lesiones tumorales poseen un potencial de transformación maligna, seguida por metástasis. Estas metástasis, mientras aparentan benignidad histológica, puede ser letales (1,2).
Los tumores más comunes de este tipo son: el condroblastoma, el fibroma condromixoide y el citado tumor de células gigantes en donde se ha descrito comportamiento de malignidad, que generalmente son lesiones intra-compartamentales en su inicio, pero si se dejan evolucionar, rápidamente invaden los tejidos blandos y se hacen extra compartamentales. Sin embargo, este tipo de lesión tumoral primaria de la pared torácica representan alrededor del 4 %-5 % de todos los tumores primarios de hueso, y de los benignos el 18,2 % (1), son de manejo complejo por lo que ameritan un estudio detallado y un abordaje exhaustivo para su corrección. Son un grupo heterogéneo de neo-formaciones proliferativas, (expansivas o no), implantadas en los tejidos que integran la pared de la caja torácica, se originan tanto de los tejidos osteo-condro-periósticos como del tejido tegumentario (1,2).
El promedio de edad de presentación de los tumores benignos de la pared torácica, es entre la segunda y tercera década de la vida, mientras que los de comportamiento maligno se presentan generalmente en pacientes de la cuarta década en adelante sin embargo, comúnmente los tumores de costillas se deben a lesiones metastásicas (3,4).
El tumor de células gigante óseo u osteoclastoma (TCG), es una rara neoplasia mesenquimal poco frecuente, que representa entre el 4 % a 5 % de los tumores óseos primarios. Caracterizada por la proliferación de crecimiento anormal del tejido conectivo de soporte de la médula ósea, compuesta por células estromales mono nucleadas, consideradas como el contingente tumoral, células mono-nucleadas precursoras de los osteoclastos y células multinucleadas parecidas a los osteoclastos, responsables de la destrucción ósea (5).
El tumor de células gigante, representa 18,2 % de los tumores benignos del hueso, el 75 % de los casos afecta a personas entre los 20 a 40 años de edad, siendo raro en menores de diez años y en mayores de cincuenta. Tiene mayor incidencia en el sexo femenino 2:1. Casi siempre aparece en la región epifisaria o metafisaria de un hueso largo comprometiendo la epífisis y la metáfisis con localización excéntrica.
Los tres sitios más afectados son: extremo inferior del fémur, extremo superior de la tibia y extremo distal del radio (entre estos conforman el 60 %-80 % de los casos publicados), siguiendo otras localizaciones en huesos largos y muy raramente en la pelvis, rótula, vértebras, huesos del cráneo, siendo la costilla una rara localización con una incidencia menor al 1 % (6), en estos casos, el tumor suele originarse del arco posterior. La lesión normalmente es solitaria y se hace sintomática cuando se ha destruido gran porción del hueso, porque la fragilización ósea provoca dolores, con mucha frecuencia reveladores de la lesión, y expone al riesgo de fracturas patológicas.
En el TCG, la célula característica es gigante multinucleada y asienta sobre un estroma de células mesenquimales ovoides y fusiformes muy vascularizado, con capilares de finas paredes y pequeñas áreas de hemorragia. Son estos elementos mesenquimales los que sellan el diagnóstico histopatológico del TCG y pueden mostrar escasas mitosis. Este tumor presenta gran variedad de actividad biológica, aunque no es posible predecir su agresividad por su apariencia histológica(6,7).
En la actualidad genéticamente, el 80 % de los individuos con TCG presenta una anormalidad citogenética de asociación telomérica, mientras que la mitad de las células en el tumor presentan esta anormalidad. También se ha descrito una mayor expresión de p53 y alteraciones en diferentes oncogenes (7).
Las características clínicas, radiológicas e histológicas de los TCG son similares a otros tumores y pseudo-tumores. El diagnóstico histopatológico de los tumores de pared costal se debe realizar con biopsia abierta para no confundir esta lesión con otra parecida o con un sarcoma de células gigantes. La mejor opción terapéutica es la resección en bloque del tumor con márgenes libres y posterior reconstrucción de la pared costal. A pesar de tratarse de un tumor de bajo grado de malignidad, tiene una alta propensión a la recidiva local (20 %-40 %), y es poco frecuente la aparición de metástasis (2 %). Radiológicamente se manifiesta como una imagen radio-lúcida multilocular en “pompas de jabón”, con menor frecuencia, se presenta como una imagen unilocular (7).
La tomografía computada y la resonancia magnética permiten definir mucho mejor la extensión real del tumor y ayudan a diferenciarlo de otras lesiones óseas(7,8).
Presentamos un tumor de células gigantes en el arco costal posterior, en un paciente. Mostramos los hallazgos radiológicos en radiografías, tomografía computada, survey óseo, la conducta terapéutica practicada, así como los resultados histopatológicos y se revisó la literatura actualizada.
CASO CLÍNICO
Paciente masculino de 22 años de edad natural y procedente del Municipio Cabimas, Estado Zulia, sin antecedentes patológicos personales ni familiares, quien es referido debido que en un examen radiográfico póstero anterior de tórax, indicado para una evaluación pre-empleo por un centro laboral, le detectan una radio opacidad a nivel del décimo (10o) arco costal posterior izquierdo, y por lo cual fue remitido a la consulta externa de la unidad de cirugía de tórax de nuestro centro hospitalario en donde es valorado.
El examen físico practicado dentro de límites normales, motivo por el cual se ordenan exámenes complementarios de laboratorio e imágenes, tomografía computada de tórax con ventana ósea y reconstrucción de pared torácica ósea asimismo, survey óseo.
Los resultados de los exámenes complementarios: hematología, perfil bioquímico, fosfatasas alcalinas y alfa fetoproteína dentro de rangos normales. Pruebas inmunológicas: normales. VDRL y HIV negativos.
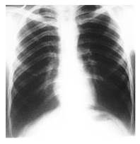
Radiografía simple de tórax póstero anterior y lateral, con imagen radiopaca de apariencia redondeada, de unos 5 cm de diámetro aproximadamente, localizada a nivel del décimo (10o) arco costal posterior izquierdo (Figura 1).

En la TC de tórax con reconstrucción en 3D, se evidenció imagen hiperdensa con áreas hipodensas en su interior, redondeada de bordes bien definidos micro-lobulados que mide 4,3 cm x 4,3 cm a nivel del 1/3 proximal del décimo (10o) arco costal posterior izquierdo con protrusión de dicha lesión hacia el parénquima pulmonar y partes blandas dorsal compatible con lesión neoplásica benigna. Resto del plano óseo y blando sin evidencia de lesiones (Figura 2).

Se realiza survey óseo de cuerpo entero y estática de tórax, el rastreo corporal mostraba lesión ocupante de espacio con aumento importante en la actividad de concentración del radio-trazador proyectado en hemitórax izquierdo a la altura del décimo arco costal posterior izquierdo con importante actividad expansiva y deformante (Figura 3).

Debido a estos hallazgos, se programa para exéresis de dicha lesión mediante cirugía: toracotomía póstero lateral izquierda por planos con abordaje de la cavidad torácica a nivel del 9o espacio intercostal con resección quirúrgica de los 2/3 proximales del 10o arco costal posterior izquierdo con su desarticulación costo vertebral. Se procedió a la reconstrucción del defecto de la pared torácica con colocación de malla de monofilamento de polipropileno (Marlex®), y movilización de flap de músculo para un cierre completo de dicho defecto (Figura 4), se deja sonda torácica por contra apertura a través de toracotomía mínima a nivel del 10o espacio intercostal línea axilar posterior para restitución de la presión de la cavidad pleural (Figura 5).


Análisis macroscópico: espécimen quirúrgico conformado por el 10o, arco costal posterior izquierdo, se evidencia formación de aspecto tumoral que mide 4,5 cm x 3,5 cm x 3 cm de aspecto nodular circunscrita, grisácea con áreas negruzcas al corte es gris amarillenta, al estudio microscópico se evidencia neoplasia constituida por dos tipos celulares, células mononucleares, con núcleos redondos a ovales, sin presencia de actividad mitótica y células gigantes multi-nucleares con más de cincuenta núcleos de bordes irregulares, asimismo, acúmulos de macrófagos espumosos. En los bordes de la lesión se observa tejido óseo neo-formado con osteonecrosis y destrucción de la cortical, que corresponde con el diagnóstico de tumor óseo de células gigantes de costilla.
Evolución posoperatoria satisfactoria, motivo por el cual se retira sonda torácica y se decide el alta a las 72 h. Se obtuvo la cura del paciente con la remoción de la lesión sin embargo, se controla por consulta externa para descartar patología recidivante o desarrollo de las formas multi-sistémicas de la enfermedad.

DISCUSIÓN
El TCG es una de las neoplasias óseas poco frecuentes y menos predecibles en cuanto a su comportamiento, porque prácticamente todos los tumores óseos contienen células gigantes.
Es una neoplasia ósea primaria con características benignas, que invade localmente de manera agresiva, con un componente bifásico de células gigantes y otro fusocelular muy vascularizado, con recidivas frecuentes y una capacidad limitada de dar metástasis(4,5,6), fue descrita por primera vez por Sir Astley Cooper en 1818 (6), representa el 5 %-15 % de todos los tumores óseos benignos (6,7). Se presentan en adultos jóvenes, con un pico de incidencia entre la segunda y tercera décadas de la vida, y es ligeramente más frecuente en mujeres (7). Es típicamente una lesión mono-ostótica con una predilección por los extremos de los huesos en las epífisis y metáfisis de los huesos largos (rodilla, fémur, tibia, radio), sin embargo, se han visto involucrados casi todos los huesos del organismo, pero localizados en el área costal son muy poco frecuentes (8,9,10). En menos del 1 % de los casos se ha observado una forma polio-ostótica o multicéntrica de los casos (11,12).
Existen diversas teorías sobre su etiopatogenia: inflamatoria, angiogénica y osteoclástica, aunque ninguna de ellas está demostrada de forma clara. Recientemente se ha confirmado el papel que juega el gen supresor p53 en su génesis (13).
Habitualmente se manifiesta como una tumoración única, asintomática o dolorosa y de crecimiento expansivo rápido, por lo que representa un reto clínico-patológico y terapéutico por su comportamiento variable e impredecible. El diagnóstico se hace en base a los datos clínicos y radiológicos, confirmándose mediante el estudio histológico. En las radiografías encontramos una expansión cortical de localización excéntrica, con márgenes claramente circunscritos y sin esclerosis reactiva. La tomografía computada detalla estas características y la resonancia magnética, es particularmente útil para conocer la integridad de los tejidos blandos circundantes. Es por esto que Campanacci y col. (14), los dividieron a estos tumores en tres estadios: estadio I: lesión intra-ósea con histología y radiología indolente; estadio II: lesión intra-ósea con expansión y adelgazamiento cortical pero con periostio intacto e histología benigna; estadio III: lesión extra-ósea y de carácter agresivo pero con histología benigna. La gran mayoría (70 %-80 %) corresponden a estadio II, como fue nuestro caso.
Otros estudios como la angiografía resultan de gran ayuda, mostrando una lesión hipervascular en la mayoría de los casos (60 %-65 %), aunque existen casos hipovasculares (26 %-30 %) o incluso avasculares (10 %) (5).
Es una neoplasia con potencial maligno, sobre todo cuando afecta a varones de edad avanzada, sin embargo, no se han encontrado parámetros clínicos, histológicos y radiográficos que puedan predecir su tendencia a recurrir o metastizar y cuando puede ocurrir se presentan en el pulmón (1 %-10 %) (6).
Con todos estos planteamientos, la biopsia debe ser obtenida antes de la cirugía o intra-operatoriamente, y puede ser guiada mediante radioscopia para la obtención de una muestra más precisa, en nuestro caso de obtuvo intra-operatoriamente. Microscópicamente, los TCG son tumores rojos de tejido friable, con la cortical adelgazada sin destruir. El componente tumoral está formado por células mononucleares que tienen las características de los progenitores osteoblásticos y no tienen matriz.
Por último, ni los hallazgos clínicos, ni la apariencia anatomopatológica pueden servir como factor predictor del comportamiento de estas neoplasias, cuya evolución es variable e impredecible. Como se describió en lo antes expuesto, este puede dar lugar a recidivas a nivel local, metástasis a distancia o sufrir una transformación maligna espontánea.
En este sentido, las metástasis son más frecuentes en aquellos pacientes que han sufrido antes recidivas locales, y en general, ocurren en un plazo menor de dos años.
En cuanto al tratamiento se refiere, la cirugía es el tratamiento de elección de los TCG. Se pueden realizar dos tipos: un tratamiento intra lesional, que consiste en un curetaje local con o sin injerto óseo. El cemento es el elemento adecuado para utilizar como injerto, porque al rellenar la cavidad produce una reacción térmica que lesiona las células tumorales que puedan quedar y, por tanto, reduce el riesgo de recidivas. Un tratamiento más agresivo que comprende técnicas de escisión marginal, escisión ampliada, resección en bloque con o sin reconstrucción como lo fue nuestro caso.
El osteoclastoma o tumor de células gigantes del hueso es un tumor raro, y su localización en costilla lo hace más inusual, sin embargo, es de buen pronóstico, a pesar de que puede recaer y dar metástasis cuando se maligniza y ante la posibilidad de transformación en sarcoma requiere estudio y observación periódica.
Como conclusión destacamos la importancia de un buen diagnóstico diferencial que nos permita distinguir esta patología benigna de otras malignas y así poder decidir el tratamiento más adecuado según la sintomatología del paciente. Deberemos descartar que se trate de una forma polio-ostótica o que forme parte de un síndrome más amplio, y tendremos en cuenta las distintas opciones terapéuticas antes de optar por la más agresiva.
En muchas ocasiones el primer estudio diagnóstico corresponde a la radiografía simple de la zona afectada y sus hallazgos pueden ser difíciles de interpretar.
REFERENCIAS
1. Incarbone M, Pastorino U. Surgical treatment of chest wall tumors. World J Surg. 2001;25:218-230.
2. Rojas M, González AL. Tumores de la pared torácica. Rev. Chilena Cir. 2004;56(2):182-184.
3. Evans KG, Miller RR, Muller NL, Nelems B. Chestwall tumours. Can J Surg. 1990;33:229-232.
4. Allen PJ, Shriver CD. Desmoid tumors of the chest wall. Semin Thorac Cardiovasc Surg. 1999;11: 264-269.
5. Cantos M, Arnau A, Figueroa S, Martínez N, Guijarro R. Tumor de células gigantes de arco anterior costal, una localización poco habitual. Cir Esp. 2011;89(1):56- 66.
6. Cordeiro SZ, Cordeiro Pde B, Sousa AM, Lannes DC, Pierro GS. Giant cell tumor of the rib occupying the entire hemi-thorax. J Bras Pneumol. 2008;34(3):185-188.
7. Llamas Durán LF, Tarango Martínez VM, L Fuentes Sermeño IL, Fajardo Barajas D. Tumor de células gigantes del hueso de localización infrecuente. Med Cutan Iber Lat Am. 2011;39(5):234-237.
8. Gutiérrez-Santiago MM, González-Arteaga J, Hidalgo-Ovejero ÁM. Tumor de células gigantes en hueso piramidal, caso clínico y revisión de la literatura. Revista Española de Cirugía Ortopédica y Traumatología 2012;56(2):149-152.
9. Sánchez-Torres LJ, Flores Flores A, Santos Hernández M. Tumor óseo de células gigantes en pacientes de menos de 20 años de edad. Rev Mex Ortop Ped. 2012;14(1):26-30.
10. Kotnis NA, Davies AM, Kindblom LG, James SLJ. Giant cell tumor of the triquetrum. Skeletal Radiol. 2009;38:593-595.
11. Sánchez-Torres LJ, Santos-Hernández M. Tumor de células gigantes del peroné proximal. Rev Mex Med Fis Rehab. 2010;22(2):60-66.
12. Balke M, Schremper L, Gebert C, Ahrens H, Streitbuerger A, Koehler G, et al. Giant cell tumor of bone: Treatment and outcome of 214 cases. J Cancer Res Clin Oncol. 2008;134:969-978.
13. Werner M. Giant cell tumor of bone: Morphological, biological and histogenetical aspects. Int Orthop. 2006; 30(6):484-489.
14. Campanacci M. Giant cell tumor (giant cell tumor of bone, osteoclastoma). En: Campanacci M, editor. 2. edición. Bone and soft tissue tumors. Clinical features, imaging, pathology and treatment. Suiza: Springer Nature Switzerland AG;1999.p.99-42.