
Recepción: 18 Mayo 2020
Revisado: 15 Junio 2020
Aprobación: 12 Julio 2020
Resumen: El teratoma quístico maduro ovárico es una neoplasia benigna con componentes de las tres capas germinales. La transformación maligna es un evento raro y, en muchos casos, el componente maligno es un carcinoma epidermoide. Los tumores de origen neuroepitelial son raros en los teratomas maduros. La aparición de oligodendroglioma desde un teratoma es excepcional. OBJETIVO: Reportar caso de oligodendroglioma asociado a teratoma quístico maduro de ovario. CASO CLÍNICO: Paciente femenina de 17 años que presentó dolor pélvico, acompañado de distensión abdominal, dismenorrea y dispareunia, de aproximadamente 3 meses de evolución. La ecografía pélvica demostró tumoración quística, unilocular e izquierda compuesta con nódulo ecogénico en el interior junto algunas calcificaciones. Durante la cirugía se encontró tumor de superficie blanquecina lisa y vascular de consistencia suave, que reemplazaba el ovario en su totalidad. Se realizó ooforosalpingectomía izquierda. El examen anatomopatológico demostró cambios teratomatosos ováricos con estaba compuesta de tejido glial maduro con células monomórficas, redondas, nucléolos centrales y uniformes con halo peri-nuclear y citoplasma claro. La evaluación inmunohistoquímica demostró tinción positiva para las proteínas de neurofilamentos, S-100, ácida fibrilar glial y sinaptofisina. El índice de proliferación Ki67 fue de 3 %, por lo que se diagnosticó oligodendroglioma de bajo grado asociado a teratoma maduro de ovario. CONCLUSIÓN: El oligodendroglioma que se origina en el componente glial de los teratomas ováricos es extremadamente raro. El pronóstico es bueno en estos casos, aunque es necesario el seguimiento a largo plazo para determinar su comportamiento.
Palabras clave: Oligodendroglioma, teratoma maduro, ovario, pronóstico.
Abstract: The mature ovarian cystic teratoma is a benign neoplasm with components of the three germ layers. A malignant transformation is a rare event and, in many cases, the malignant component is an epidermoid carcinoma. Tumors of the neuroepithelial origin are rare in the mature teratoma. The appearance of the oligodendroglioma from a teratoma is rare and exceptional. OBJECTIVE: To report a clinical case of oligodendroglioma associated with mature cystic ovary teratoma. CLINICAL CASE: This is a 17 year old female patient who presented with pelvic pain, accompanied by abdominal distension, dysmenorrhea, and dyspareunia, approximately during for 3 months. The pelvic ultrasound showed cystic, unilocular and left tumor composed with echogenic nodule inside with some calcifications. During the surgery, a smooth white and vascular surface tumor of smooth consistency was found, replacing the ovary in its entirety. The left oophorosalpingectomy was performed. The pathological examination demonstrated ovarian teratomatous changes with it was composed of the mature glial tissue with monomorphic, round cells, central and uniform nucleoli with peri-nuclear halo and clear cytoplasm. The immunohistochemical evaluation showed positive staining for the neuro-filament proteins, S-100, the glial fibrillary acid and the synaptophysin. The Ki67 proliferation rate was 3 %, so low grade oligodendroglioma associated with mature ovarian teratoma was diagnosed. CONCLUSION: The oligodendroglioma that originates in the glial component of ovarian teratomas is extremely rare. The prognosis is good for these cases, although long term follow up is necessary to determine their behavior.
Keywords: Oligodendroglioma, mature teratoma, ovary, prognosis.
INTRODUCCIÓN
El teratoma quístico maduro de ovario es un tumor benigno que representan 40 % de los tumores ováricos primarios y son derivados de las células germinales primitivas de las gónadas embrionarias. Debido a esta composición puede aparecer una variedad de tumores, tanto benignos como malignos, que surgen de alguno de estos componentes (1,2). Los tipos de teratomas ováricos incluyen teratoma maduro (sólido, quístico y fetiforme), teratoma inmaduro, teratomas mono-dérmicos y tumores somáticos asociados con quistes desmoides (3).
La transformación maligna del teratoma quístico maduro se produce en 1 % - 2 % de los casos. Cualquier componente derivado del ectodermo, mesodermo, o endodermo puede sufrir esta transformación. No obstante, este cambio ocurre con mayor frecuencia en el componente epitelial (2,4). La neoplasia maligna más común derivada de este tumor es el carcinoma de células escamosas, seguido de otros como adenocarcinoma, carcinoma neuroendocrino y sarcoma. Aquellos tumores de origen neuroepitelial, como astrocitoma, neuroblastoma, glioblastoma y ependimoma, son extremadamente raros que aparezcan en los teratomas maduros (5). La transformación en oligodendroglioma, que surge de teratomas maduros o inmaduros, es excepcional. Se presenta un caso de oligodendroglioma asociado a teratoma quístico maduro de ovario.
CASO CLÍNICO
Se trata de paciente femenina de 17 años, I gesta, I para, quien consultó por presentar dolor pélvico de moderada intensidad, acompañado de distensión abdominal, dismenorrea y dispareunia, de aproximadamente 3 meses de evolución sin mejoría con el uso de analgésicos comunes. La paciente negaba antecedentes médicos o quirúrgicos de importancia. En el examen pélvico, el abdomen estaba doloroso a la palpación profunda con evidencia de tumor palpable. En el tacto vaginal y rectal se palpo tumoración de aproximadamente 15 cm en la pared vaginal posterior, extendiéndose hacia el fondo de saco de Douglas. El resto del examen físico estaba dentro de límites normales.
La ecografía pélvica demostró una tumoración quística, unilocular e izquierda de 11 cm x 10 cm x 5 cm compuesta con nódulo ecogénico proyectado hacia el interior junto a algunas calcificaciones que sugería la posibilidad diagnóstica de teratoma ovárico. El ovario derecho y el útero tenían apariencia normal. Los marcadores tumorales (gonadotropina coriónica humana, alfafetoproteína, CA 19-9 y CA-125), pruebas de laboratorio y perfil hormonal estaban dentro de límites normales. La resonancia magnética demostró tumoración compleja que se extendía desde la porción posterior del útero hacia el anexo derecho que contenía grasa y tejido blando, lo cual se reportó como posible teratoma quístico maduro que posiblemente se originaba del ovario izquierdo, llevando a la decisión de realizar laparotomía ginecológica.
Al momento de la cirugía, se encontró tumor de superficie blanquecina lisa y vascular de 12 cm x 10 cm x 6 cm, de consistencia suave, fija al peritoneo con crecimiento desde el anexo izquierdo que reemplazaba el ovario en su totalidad. El peritoneo pélvico, útero y trompas de Falopio no presentaban signos de endometriosis, infección o adherencias. De igual forma, el ovario derecho estaba normal en tamaño, forma y posición, distante de la tumoración. El tumor presentaba adherencias laxas al recto, sin pedículos vasculares importantes, por lo que se procedió a realizar la extirpación la cual fue cuidadosamente separada de las estructuras adyacentes, junto con ooforosalpingectomía izquierda. La paciente no presentó complicaciones posoperatorias y fue dada de alta al quinto día. Posteriormente fue referida al servicio de oncología para su tratamiento específico y luego de 12 meses de seguimiento no ha presentado recurrencias.
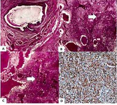
En el análisis macroscópico se observó que el tumor medía 21 cm x 10 cm x 6 cm con superficie lisa y sin excrecencias. Las secciones demostraron estructuras quísticas llenas de material seroso de color blanco-amarillento, junto a cabellos y un nódulo sólido de color rojizo que salía hacia la luz del quiste. No se encontraron calcificaciones ni dientes. El examen microscópico mostró pared quística de 6 mm de espesor con elementos con epitelio lineal, epidermis queratinizada, folículos pilosos, glándulas sebáceas y sudoríparas, tejido conectivo y elementos cartilaginosos. También se observaron elementos neurogénicos (células gliales y ganglionares y otros tejidos neurales). El nódulo mostraba áreas con células monomórficas, redondas, nucléolos centrales y uniformes con halo peri-nuclear y citoplasma claro, que daba la apariencia de “huevo frito”. Todas estas células carecían de pleomorfismo, hipercromasia, necrosis o actividad mitótica evidente y estaban incluidas dentro de una matriz celular rodeada de una red densa de capilares de pequeños calibres y zonas de calcificación. La evaluación inmunohistoquímica demostró tinción positiva para las proteínas de neurofilamentos, S-100, ácida fibrilar glial y sinaptofisina. El índice de proliferación Ki67 fue de 3 %, por lo que se consideró de bajo grado. Los hallazgos fueron consistentes con oligodendroglioma de bajo grado asociado a teratoma maduro de ovario.(Figura 1-3)



DISCUSIÓN
Los tumores de células germinales representan del 75 % al 80 % de todas las neoplasias ováricas y generalmente tienen comportamiento benigno (6). Los teratomas gonadales son el tipo más común de tumores de células germinales. Estos están compuestos de tejidos bien diferenciados que surgen de las 3 capas de células germinales (7). La transformación maligna puede ocurrir en cualquiera de los 3 componentes celulares del tumor y en ocurre en 1 % - 2 % de los teratomas quísticos maduros del ovario. Las neoplasias malignas más comúnmente descritas son: carcinoma de células escamosas, adenocarcinoma, melanoma maligno, carcinoma sebáceo, tumor neuroectodérmico primitivo, carcinosarcoma, carcinoma de células pequeñas y sarcomas mesenquimales (leiomiosarcoma, condrosarcoma, osteosarcoma) (8,9). Aunque puede verse cualquier tipo de tejido dentro del teratoma, los tumores neuroepiteliales son extremadamente raros en los teratomas maduros.
Existe evidencia de crecimiento excesivo de elementos neurales en los teratomas maduros de ovario, lo que resulta en la aparición de diferentes formas de tumores neuroectodérmicos puros, que incluyen epéndimoma ovárico (tumor neuroectodérmico diferenciado) y glioblastoma (anaplásico tumor neuroectodérmico). El desarrollo de estos tumores surgiere una posible transformación maligna pos-teratomatosa (5,10). En ocasiones surgen oligodendrogliomas de un teratoma maduro de ovario, aunque solo existen informes de menos de 10 casos (5). El oligodendroglioma es un tumor del sistema nervioso central, representando cerca del 5 % de los tumores cerebrales primarios y aparecen, en forma preferente, en la sustancia blanca de la región fronto-temporal con una incidencia máxima en la cuarta y quinta década de vida (11).
Los teratomas quísticos benignos tienden a permanecer asintomáticos hasta que producen una tumoración abdominal palpable, que por lo general son estructuras quísticas multiloculares con gran masa redonda, ovalada o lobulada, blanda o firme, o dolor abdominal como resultado de la torsión, la cual es la complicación más común debido al largo pedículo que los caracteriza. Algunos tumores son detectados accidentalmente por radiografía o ecografía abdominal al mostrar calcificaciones intra-tumorales, peri-tumorales o dientes (12).
En el examen anatomopatológico macroscópico, del teratoma quístico maduro suelen aparecer de consistencia suave, de color rosa-grisáceo, a menudo con cambios quísticos y calcificaciones. La evaluación histopatológica del oligodendroglioma dentro del tumor muestra un patrón monótono de células con núcleos hipercromáticos redondos con citoplasma claro prominente (halo perinuclear). Esto resulta en una apariencia clásica de "huevo frito" en la tinción con hematoxilina-eosina. Además, generalmente está rodeadas por una red de capilares que produce un patrón de "panal" o "alambre de gallina"(3,8,13). Las microcalcificaciones están presentes en 90 % de los tumores, lo que hace que sea el tumor glial más común con esta característica. También se ha descrito degeneración mucosa o quística. No existe marcadores inmunohistoquímicos específicos para el diagnóstico de oligodendroglioma (13).
El diagnóstico diferencial del oligodendroglioma incluye neurocitoma central, epéndimoma de células claras y tumor neuroepitelial disembrioplásico. Todos estos tumores presentan células neoplásicas con núcleos redondos uniformes y citoplasma claro, a los que se denominan como células de tipo oligodendroglial (14). La inmunotinción positiva para sinaptofisina permite diferenciar al neurocitoma central. El epéndimoma de células claras muestra pseudo-rosetas peri-vasculares, así como inmunoreactividad positiva a antígeno epitelial de membrana en forma de puntos o anillo. El tumor neuroepitelial disembrioplásico presenta complejos glioneuronales en forma de columnas y positividad para la sinaptofisina (6).
El tratamiento de elección de los teratomas quísticos de ovario es la extirpación por laparotomía. Los quistes pueden drenarse mediante punción y aspiración, sin fugas a la cavidad abdominal, para su posterior extracción. La resección total es el tratamiento de elección en el oligodendroglioma grado II que aparece en el sistema nervioso central. En la mayoría de los casos de oligodendroglioma asociado a teratoma quístico maduro, la resección quirúrgica es curativa y sin evidencia de recurrencia durante el seguimiento, siempre que estén limitados al ovario como parte del teratoma y sin evidencia de invasión extra-ovárica (12). No existe acuerdo sobre el tratamiento del oligodendroglioma que surge en los tumores quísticos maduros de ovárico. La radio-quimioterapia es innecesaria en los teratomas maduros. No obstante, en los tumores del sistema nervioso central de bajo grado, la resección completa está asociada con largos intervalos de supervivencia (15). El pronóstico de estos casos está más relacionado a la inmadurez de los elementos dentro del teratoma que a la presencia del oligodendroglioma (8,12).
El oligodendroglioma que surge del componente glial del teratoma quístico maduro del ovario es extremadamente raro para lo cual la resección quirúrgica es la mejor opción terapéutica. El pronóstico es bueno en los casos de tumores que surgen de teratomas maduros comparado con aquellos que se desarrollan de teratomas inmaduros. No obstante, es necesario un seguimiento a largo plazo para determinar el comportamiento exacto de esta patología.
REFERENCIAS
1. Ferrer M, Costa G. Tejido tiroideo con carcinoma papilar en teratoma quístico maduro de ovario. Rev Venez Oncol. 2007;19(3):251-254.
2. Menolascino F, Isea B, Pire M, Gollo L, Barazarte L, Bonomo Y. Teratoma inmaduro del ovario con implantes peritoneales de tejidos maduros: Presentación de un caso y revisión de una literatura. Bol Med Postgrado. 2003;19(3):183-189.
3. Serrano-Arévalo ML, Lino-Silva LS, Domínguez Malagón HR. Oligodendroglial cell proliferation arising in an ovarian mature cystic teratoma. Clinic-pathological, immunohistochemically, and ultrastructural study of a case that may represent an oligodendroglioma. Ultrastruct Pathol. 2017;41(1):62-66.
4. Kar A, Kar T, Pattnaik K, Biswal P. Carcinosarcoma in dermoid cyst of ovary: An extremely rare malignant transformation. Indian J Pathol Microbiol. 2013;56(2):176-177.
5. Büyükka Bay S, Corapcioglu F, Kavurt S, Müezzinoğlu B, Anik Y, Tugay M. Oligodendroglioma arising in a mature cystic ovarian teratoma in a child. Pediatr Hematol Oncol. 2010;27(8):636-640.
6. Zannoni GF, Fadda G, Scambia G, Capelli A, Carbone A. Oligodendroglioma arising within a mature cystic ovarian teratoma: Case report and review of the literature. Acta Obstet Gynecol Scand. 2002;81(9):896-897.
7. Boussios S, Moschetta M, Zarkavelis G, Papadaki A, Kefas A, Tatsi K. Ovarian sex-cord stromal tumours and small cell tumours: Pathological, genetic and management aspects. Crit Rev Oncol Hematol. 2017;120:43-51.
8. Caltabiano R, Lanzafame S. Oligodendroglioma arising in an immature ovarian teratoma: Case report. Pathologica. 2008;100(5):420-423.
9. Hauptmann S, Friedrich K, Redline R, Avril S. Ovarian borderline tumors in the 2014 WHO classification: Evolving concepts and diagnostic criteria. Virchows Arch. 2017;470(2):125-142.
10. Wey SL, Chen CK, Chen TC, Chen TY. Desmoplastic medulloblastoma arising from an ovarian teratoma: A case report and review of the literature. Int J Surg Pathol. 2013;21(4):427-431.
11. Jaeckle KA. Oligodendroglial tumors. Semin Oncol. 2014;41(4):468-477.
12. Ud Din N, Memon A, Aftab K, Ahmad Z, Ahmed R, Hassan S. Oligodendroglioma arising in the glial component of ovarian teratomas: A series of six cases and review of literature. J Clin Pathol. 2012;65(7):631-634.
13. Jenkinson MD, Walker C, Brodbelt AR, Wilkins S, Husband D, Haylock B. Molecular genetics, imaging and treatment of oligodendroglial tumours. Acta Neurochir (Wien). 2010;152(11):1815-1825.
14. Zetterling M, Berhane L, Alafuzoff I, Jakola AS, Smits A. Prognostic markers for survival in patients with oligodendroglial tumors: A single-institution review of 214 cases. PLoS One. 2017;12(11):e0188419.
15. Lecavalier-Barsoum M, Quon H, Abdulkarim B. Adjuvant treatment of anaplastic oligodendrogliomas and oligoastrocytomas. Cochrane Database Syst Rev. 2014;(5):CD007104.
Notas de autor
sippenbauch@gmail.com