RADIOTERAPIA EN TUMOR DE CÉLULAS GIGANTES TENOSINOVIAL (SINOVITIS VILLONODULAR PIGMENTADA)
RADIOTERAPIA EN TUMOR DE CÉLULAS GIGANTES TENOSINOVIAL (SINOVITIS VILLONODULAR PIGMENTADA)
Revista Venezolana de Oncología, vol. 33, núm. 1, pp. 2-10, 2021
Sociedad Venezolana de Oncología

Recepción: 02 Septiembre 2020
Revisado: 10 Octubre 2020
Aprobación: 08 Noviembre 2020
Resumen: OBJETIVO: Presentar nuestra experiencia de 18 años en el tratamiento con radioterapia y evaluar cifras de control tumoral local en pacientes con diagnóstico de tumor de células gigantes tenosinovial difuso sinovitis villonodular pigmentada difusa. MÉTODO: 33 pacientes, tratados durante el período 2000-2018. En 19 (57,6 %) se practicó sinovectomía parcial, 10 (30,3 %) fueron tratados con artroplastia y sinovectomía, 4 (12,2 %) con sinovectomía total. 32 pacientes recibieron radioterapia posoperatoria, 1 paciente preoperatoria. Técnica más empleada fue planificación 2D 51,5 % seguida de conformada con planificación 3D (RTC3D) 48,5 %. La dosis total promedio administrada 44 Gy (rango 10,5 - 50). Tiempo promedio de tratamiento radiante 28 días (8-35). Tiempo de seguimiento entre 0,7 - 240,8 meses, mediana 12 meses, promedio 52,1 meses. RESULTADOS: 26 pacientes (79 %) presentaron mejoría de la sintomatología inicial y 6 (18 %) refirieron estabilidad de los síntomas. La respuesta clínica al tratamiento en relación al tiempo de seguimiento, 12 pacientes (36,4 %) estaban asintomáticos, 10 con un seguimiento mayor a 60 meses; 14 (42,4 %) refieren respuesta clínica satisfactoria, (2 con un seguimiento mayor a 60 meses) 6 pacientes presentaban enfermedad estable, para un control local del 97 %. El 87,9 % presentaron dermatitis grado I, 1 desarrolló dermatitis grado II, 3 no presentaron efectos adversos. CONCLUSIONES:La radioterapia es una modalidad de tratamiento muy efectiva como adyuvante a la sinovectomía, observándose altas tasas de control local de la enfermedad con una baja morbilidad.
Palabras clave: Radioterapia, sinovectomía, células gigantes, tenosinovial, control local.
Abstract: OBJECTIVE: To report our eighteen-year experience with radiation therapy in the treatment of diffuse tenosinovial giant cell tumor / diffuse pigmented villonodular synovitis and to assess local control of the disease. METHOD: A review of 33 patients with treated with radiation therapy during the period 2000-2018 was done. 19 (57.6 %) partial synovectomy was performed, 10 (30.3 %) underwent arthroplasty plus synovectomy, 4 (12.2 %) total synovectomy. 32 patients received radiotherapy post-operative and 1 pre-operative. Most common technique employed was conventional (2D) in 51.5 % and 3D conformal (3DCRT) in 48.5 %. The average total dose was 44 Gy (range 10.5-50), with a mean treatment time of 28 days (8-35). Follow-up time ranged from 0.7- 240.8 months, median time and mean time of 12 and 52.1 months respectively RESULTS: After RT 26 (79 %) of the patients obtained improvement of the initial symptoms and 6 (18 %) were stable. 12 patients (36.4 %) were asymptomatic with follow-up time longer than 36 months (10 of 12 had follow-up time >60 months), 14 (42.4 %) had significant clinical improvement (2 of 14 had follow-up time >60 months), and 6 had stable disease, local control of 97 %. Complications were few, acute skin toxicity was grade I in 29 (87.9%) and grade II in 1 patient. There was no significant chronic toxicity. CONCLUSIONS: Radiation therapy is an effective adjuvant treatment modality after synovectomy in patients with high local control rates and low morbidity.
Keywords: Radiation therapy, synovectomy, giant cell tumor, local control.
INTRODUCCIÓN
El tumor de células gigantes tenosinovial (TCGT), anteriormente denominado sinovitis villonodular pigmentada (SVP), es una enfermedad proliferativa benigna, poco frecuente, que se origina en las membranas sinoviales. Esta lesión puede extenderse a los tejidos extra-articulares de manera infiltrativa afectando estructuras locales como músculos, tendones, huesos, haces neurovasculares y piel.
La enfermedad fue descrita por primera vez por el cirujano francés Chassaignac en 1852, quien la consideró como una neoplasia maligna de la cubierta de los tendones, pero la descripción de esta afección como una entidad distinta, fue hecha en 1941 por Jaffe y col., quienes la denominan SVP.
Generalmente, ocurre en 2 formas: localizada y difusa. La forma localizada (TCGTL) está caracterizada por una lesión pedunculada, solitaria, rodeada de una membrana sinovial sin alteraciones y en la difusa (TCGTD) hay afectación de la membrana sinovial (1).
La mayoría de los pacientes presentan afectación monoarticular, sin embargo, han sido reportados casos poli-articulares (2). Puede aparecer en cualquier estructura anatómica con tejido sinovial, pero la articulación más comúnmente afectada es la rodilla en un 80 % de los casos, seguido de la cadera, tobillo, hombro, codo y pequeñas articulaciones de las manos y pies (1).
Es una entidad clínica poco frecuente con una incidencia mundial de 1,8 casos por millón de habitantes, con predominio en el sexo femenino de 3:1 y una incidencia mayor entre los 20 y 40 años de edad (1).
Su etiología es controversial, se cree que ocurre como una proliferación sinovial inflamatoria crónica o que es de naturaleza neoplásica benigna, siendo la primera la teoría más aceptada (2).
En estas lesiones se han encontrado anormalidades cromosómicas como trisomía del cromosoma 7, aberraciones del brazo corto del cromosoma 1 e inactivación del cromosoma 10 (3). Algunos autores han reportado células gigantes con todas las características fenotípicas de osteoclastos: CD-51 positivo, CD11b y CD14 negativo y desarrollo de receptores de calcitonina incluyendo la capacidad de llevar a cabo una reabsorción lacunar atípica (4).
En la literatura se encuentra una variante maligna de la enfermedad descrita en 4 casos que presentaron metástasis pulmonares (5).
La mayoría de los pacientes refieren historias de dolor local crónico, aumento de volumen y limitación funcional articular no asociado a un evento traumático previo. El diagnóstico se establece con la clínica apoyado en los estudios de imágenes, especialmente en la resonancia magnética, los hallazgos típicos incluyen hidrartrosis, levantamiento de la cápsula articular, masa de tejidos blandos, pudiendo existir erosión ósea hipointensa en T1 y T2 debido a los depósitos de hemosiderina en el tejido afectado y realce de la membrana sinovial hiperplásica e hipervascular posterior a la administración de contraste y puede haber estructuras quísticas con centros hipointensos en T1 e hiperintensos en T2. El diagnóstico se puede confirmar mediante biopsia de la membrana sinovial vía artroscópica (1).
El tratamiento de elección es la cirugía, el TCGTL se maneja con sinovectomía parcial y frecuentemente no amerita ningún tratamiento adyuvante posoperatorio si la lesión es resecada en su totalidad, este enfoque produce excelentes resultados funcionales. En el TCGTD debe practicarse sinovectomía total, por vía abierta o artroscópica, en estos casos, la radioterapia externa (RTE) adyuvante es una modalidad útil en pacientes con factores de riesgo como: extensión extra-articular, invasión de grupos musculares, estructuras neurovasculares, y en casos de resección incompleta o en recidivas de la enfermedad (1).
El objetivo del presente trabajo es presentar nuestra experiencia de 18 años en el tratamiento con radioterapia y evaluar las cifras de control tumoral local en los pacientes con diagnóstico de TCGT (SVP) tratados en la unidad de Radioterapia Oncológica GURVE del IMLF, Servicio de Radioterapia Dr. Enrique M. Gutiérrez del CMDLT y del Centro Integral de Oncología Servicio de Radioterapia Dr. Raúl Vera V, CGM en Valencia.
MÉTODO
Se realizó una revisión de los pacientes con diagnóstico de TCGT (SVP) tratados con RTE en las tres instituciones anteriormente señaladas, desde enero del año 2000 hasta diciembre de 2018.
Los datos obtenidos de las 66 historias clínicas revisadas fueron registrados en una hoja de cálculo en Microsoft Office Excel. Se excluyeron un total de 33 pacientes en vista de no haber recibido tratamiento con RTE.
En los pacientes que no asistieron a la consulta de control en el servicio de radioterapia se obtuvo el seguimiento vía telefónica o contactando al médico referente. Se realizó una estadística descriptiva de la población en relación a datos demográficos, presentación clínica, estudios diagnósticos, tratamiento, complicaciones, cifras de control local por el método actuarial Kaplan-Meier (6).
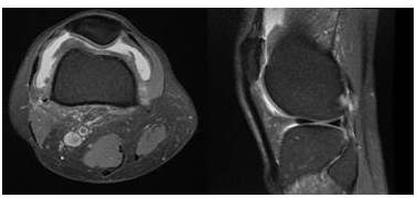
En cuanto a la técnica de RTE empleada, la más utilizada fue la radioterapia con planificación 2D en 51,5 % de los pacientes seguida de técnica conformada con planificación 3D (RTC3D) en 48,5 %. Para la planificación del tratamiento en los casos tratados con RTC3D, se realizó tomografía computarizada con protocolo de radioterapia, con uso de colchón inmovilizador, dichas imágenes obtenidas fueron fusionadas en el sistema de planificación con estudios de resonancia magnética nuclear, esto permitió mejorar la delimitación del volumen a tratar (Figura 1). Posteriormente se realizó el plan de tratamiento, tomando en cuenta la dosis de tolerancia de los tejidos normales y conformando la dosis de la manera más precisa a nivel del volumen blanco (Figura 2). La dosis total promedio fue de 4 400 cGy (rango 1 050 - 5 000 cGy). El tiempo promedio de tratamiento radiante fue de 28 días (rango 8-35).


El tiempo de seguimiento osciló entre 0,7 - 240,8 meses, con una mediana de 12 meses y un promedio de 52,1 meses.
El control tumoral local fue definido como la estabilización o resolución de los síntomas, ausencia de progresión de los mismos, y/o estabilización o regresión del tumor determinado por estudios de imágenes donde no se evidenció crecimiento tumoral.
RESULTADOS
Durante el período antes señalado fueron tratados un total de 33 pacientes, en relación al sexo fue predominante el sexo femenino (75,8 %) solo 8 pacientes (24,2 %) pertenecían al sexo masculino. La edad promedio fue de 58,5 años con un rango de edad 30-78 años.
Según la localización de la lesión, fueron más frecuentes los TCGT de rodilla 78,8 % de los casos (26 pacientes), seguidos de los localizados en tobillo (3 pacientes), coxofemoral (3 pacientes) y codo (1 paciente).
Los síntomas iniciales más frecuentes fueron: dolor (69,7 %), aumento de volumen (54,5 %) y limitación funcional (21,2 %).
El estudio de imagen más utilizado al momento del diagnóstico fue la resonancia magnética (RM), solicitada en el 69,7 % (23) de los pacientes, luego los rayos X simple (RX) en 18,2 % (6), la tomografía computarizada en 9 % de los casos y en 1 sólo paciente se practicó RX y RM.

Sólo 6 pacientes fueron sometidos a biopsia vía artroscópica de la lesión previo al procedimiento quirúrgico de sinovectomía. En relación a la intervención quirúrgica, la mayoría de los pacientes fueron sometidos a sinovectomía parcial o subtotal (57,6 %), seguido de artroplastia más sinovectomía (30,3 %) y sinovectomía total (9,10 %), en ninguno de ellos se reportaron complicaciones posoperatorias. Una paciente con lesión en codo izquierdo irresecable, fue sometida inicialmente a radioterapia pre-operatoria, en ella se administró una dosis total de 4 600 cGy y luego 5 meses después de la RTE pudo ser intervenida quirúrgicamente, practicándosele una sinovectomía total, sin complicaciones. El resto de los pacientes fueron sometidos a RTE posoperatoria.
Algunos pacientes presentaron otras patologías articulares al momento del diagnóstico, la más común fue artrosis grado IV de rodilla en 7 pacientes (21,2 %), seguido de ruptura de meniscos y ligamentos en 3 pacientes y traumatismos, bursitis, hidrartrosis y esguince de tobillo (Cuadro 1).

RM: Resonancia Magnética. TC: Tomografía Computarizada. RX: Rayos X. CX: cirugía. NE: No especifica.
La mayoría de los pacientes (79 %) presentó mejoría de la sintomatología inicial al culminar la radioterapia y sólo 6 de ellos refirieron estabilidad de los síntomas. En cuanto a la respuesta clínica al tratamiento en relación al tiempo de seguimiento, con uno mayor o igual a 36 meses 12 pacientes (36,4 %) estaban asintomáticos, 10 de ellos con un seguimiento mayor a 60 meses, 14 pacientes (42,4 %) refieren respuesta clínica satisfactoria en relación a los síntomas previos al tratamiento radiante, 2 de ellos con un seguimiento mayor a 60 meses y 6 pacientes presentaban enfermedad estable, para un control local del 97 %. Todos los pacientes se encuentran vivos para el momento del análisis (Cuadro 2).

La complicación aguda más frecuente fue la dermatitis grado I clasificada según el grupo de Radioterapia Oncológica (RTOG) observada en 29 pacientes (87,9 %), sólo 1 paciente desarrolló dermatitis grado II y en 3 pacientes no se presentaron efectos adversos. No se observaron complicaciones crónicas de importancia aunque podría existir un subregistro debido a que muchos de estos pacientes no fueron controlados en el servicio de radioterapia.
DISCUSIÓN
Aparentemente uno de los primeros reportes de radioterapia en esta afección fue el de Friedman y Ginzler en 1940, quienes presentaron 2 casos tratados con radioterapia de alto voltaje fraccionada con mejoría significativa del dolor y de la función articular (7).
Posteriormente en 1950 aparecen otros reportes sobre la utilidad de la Röentgen terapia en 5 pacientes que respondieron favorablemente 2 de ellos después de sinovectomía parcial y en 3 como tratamiento único (8).
Una de las series más citada en la literatura es la del Hospital Princess Margaret, en su reporte inicial se incluyeron 14 pacientes con SVP con presencia de enfermedad intra y extra articular, tratados con RTE en la mayoría de los casos con una dosis de 3 500 cGy en 15 fracciones. Se observó remisión completa de la enfermedad en 13 de los 14 pacientes; 11 de ellos obtuvieron una función buena o excelente de la extremidad afectada y 3 una función aceptable (9). En un trabajo más reciente de esta institución, se reportan 50 pacientes con TCGTD de alto riesgo tratados con cirugía y radioterapia con dosis promedio de 39,8 Gy, observando control local de la enfermedad en 47 (94 %) de los casos. Posteriormente en vista de aparición de una recidiva local, han modificado el protocolo de tratamiento empleando una dosis de 40 Gy en 20 fracciones y posterior reducción de los campos al área de mayor riesgo o enfermedad residual hasta una dosis de 48 Gy (10).
Los resultados de varias series se presentan en el Cuadro 3. Las dosis de RT empleadas han sido variables de 20-50 Gy, con cifras de control local de 75 % a 100 %(10,11.12.13,14,15).
La presente serie incluye 33 pacientes tratados con RTE posoperatoria en 32 de ellos y pre operatoria en 1, empleando una dosis promedio de 44 Gy, con fracciones de 2 Gy. En 26 (79 %) de los 33 pacientes tratados se observó respuesta significativa de los síntomas después de la RTE, 12 de estos pacientes estaban asintomáticos y 14 presentaron mejoría significativa de los síntomas.
Un meta-análisis incluyó unos 35 estudios con un total de 630 pacientes con SVP de la rodilla, de los cuales 137 (21,8 %) presentaron recurrencia después de sinovectomía. En el grupo de 448 pacientes con SVP difusa (SVPD), 59,8 % no recibieron RT mientras que 37,1 % fueron sometidos a RT peri-operatoria, y 3,1 % RT de rescate. La incidencia de recidivas fue de 12 % (20 de 166) con RT peri-operatoria vs. 36,9 % en aquellos que no recibieron irradiación o fueron sometidos a RT de rescate (P = 0,01). Esta disminución en la aparición de recidivas con el uso de RT se observó igualmente después de sinovectomía abierta o por artroscopia, pero no en pacientes sometidos a sinovectomía combinada, lo que indica que la RT es de más utilidad en casos con enfermedad residual no extirpada en su totalidad (16).
La RTE con dosis moderadas, en el TCGT tiene un nivel bajo de toxicidad. En la serie del Hospital Princess Margaret, no se observaron casos de fibrosis grado 2, ni edema, problemas en la herida operatoria o infección, y de acuerdo al índice funcional se encontró que 41 de 50 pacientes presentaban función excelente o buena de la articulación tratada (10). En el meta-análisis antes mencionado (16) no se observó un efecto adverso de la RT en la función articular, el grado de rigidez fue comparable en el grupo sometido a RTE 3,6 %, vs., cirugía solamente 8 %.
El grupo de Toronto ha reportado necrosis avascular ósea (NAO) en 4 pacientes, la cual no tiene una relación clara con la RT (10), es interesante señalar que en un análisis retrospectivo de 237 casos de SVP, en los cuales no se aplicó RT, 6 pacientes presentaban simultáneamente NAO (2).
Es importante señalar que no se han descrito casos de neoplasias secundarias inducidas por radiación (10,16).
En nuestra experiencia en 33 pacientes, solo se observó toxicidad cutánea aguda leve en 87,9 % de los casos, y dermatitis grado II en un paciente. No se observaron complicaciones crónicas de importancia. En cuanto a la función articular, no se hizo una evaluación específica como la utilizada en los índices funcionales en otras instituciones, sin embargo, en el momento del último control 79 % de los pacientes referían estar asintomáticos o con mejoría significativa de los síntomas. Hemos planificado en el futuro hacer un estudio más detallado de la función articular en los pacientes tratados en la presente serie.

La radio-sinovectomía que consiste en la aplicación de radioisótopos vía intra-articular utilizando 90Y o 32P, emisores de radiación beta han sido utilizados en el pasado, sin embargo, tiene la desventaja del corto rango de penetración de este tipo de radiación y en algunos casos es difícil lograr la distribución homogénea del material radiactivo en todos los recesos de la articulación, además no permite tratar la enfermedad extra-articular(1,17). Esta modalidad ha sido aplicada con más frecuencia en la artritis reumatoide y en otras artropatías con respuestas favorables (18). Sin embargo, en trabajos más reciente se ha reportado una toxicidad inaceptable con necrosis de la piel en el sitio de la inyección del material radiactivo, por lo cual se ha descontinuado su uso (19).
Entre otras alternativas terapéuticas en la SVP, se ha utilizado en el pasado en reportes de casos aislados, anticuerpos monoclonales dirigidos contra el de necrosis tumoral TNF-alfa (Infiliximab), con respuesta favorable en un paciente resistente al tratamiento quirúrgico asociado con 90Y intra-articular (20).
Más recientemente se han utilizado terapias con agentes dirigidos, inhibidores de la tirosina kinasa, que actuarían como bloqueadores de una vía molecular clave para el desarrollo del TCGT a través del factor estimulante de colonias 1 (CSF1) y su receptor (CSF1R). Blay y col., reportaron en una paciente con SVP del codo recidivante después de cirugía, con respuesta completa de la enfermedad después de tratamiento con imatinib (21).
Referencias
1. Oppenkowski R, Seegenschmiedt MH. En: Seegenschmiedt MH, Makoski HB, Trott KR, Brady LW, editores. Pigmented villonodular synovitis (PVNS). Radiotherapy for non-malignant disorders. Contemporary concepts and clinical results.. New York: Springer Berlin Heidelberg; 2008.p.383-395.
2. Guo-ping Xie, Nan Jiang, Chang-xiang Liang, Jian-chun Zeng, Zhi-yuan Chen, Qian Xu, et al. Pigmented Villonodular Synovitis: A retrospective multicenter study of 237 cases. Plos One. 2015;10(3):e012145.
3. Granowitz SP, D'Antonio, Mankin HL. The pathogenesis and long-term end results of pigmented villonodular synovitis. Clin Orthop. 1976;114:335-351.
4.Szendri M, Deodhar A. Synovial neoformations and tumours. Baillieres Best Pract Res Clin Rheumatol. 2000;14:363-383.
5.Bertoni F, Unni K, Beabout W, Sim FH. Malignant giant cell tumor of the tendon sheaths and joints (malignant pigmented villonodular synovitis). Am Surg Pathol. 1997;21:153-163.
6.Matthews DE, Farewel VT. Using and understanding medical statistics. 4a. edición. Londres:Karger AG;2007.
7.Friedman M, Ginzler A. Xanthogranuloma of the knee joint: Report of two cases. Bull. Hosp. Joint Dis. 1940;1:17-22.
8.Greenfield MM, Wallace MKM. Pigmented villonodular synovitis. Radiology. 1950;54:350-356.
9.O’Sullivan B, Cummings SB, Catton C, Bell R, Davis A, Fornasier V, et al. Outcome following radiation treatment for high risk pigmented villonodular synovitis. Int J Radiat Oncol Biol Phys. 1995;32:777-786.
10. Griffin AM, Ferguson PC, Catton CN, Chung P, White L, Wunder J, et al. Long-term outcome of the treatment of high-risk tenosinovial giant cell tumor/pigmented villonodular synovitis with radiotherapy and surgery. Cancer. 2012;118(19):4901-4909.
11. Blanco CE, Leon HO, Guthrie TB. Combined partial arthroscopic synovectomy and radiation therapy for diffuse pigmented villonodular synovitis of the knee. Arthroscopy. 2001;17:527-531.
12. Könemann S, Hesselmann S, Bölling T, Grabbe S, Andreas Schuck A, Moustakis C. Radiotherapy of Benign Diseases-Scleredema Adultorum Buschke. Strahlenther Onkol. 2004;180:811-814.
13. Heyd R, Micke O, Berger B, Eich H, Ackermann H, Heinrich M, et al. Radiation therapy for treatment of pigmented villonodular synovitis: Results of national patterns of care study. Int J Radiat Oncol Biol Phys. 2010;78:199-204.
14. Berger B, Ganswindt U, Bamberg M. External beam radiotherapy as postoperative treatment of diffuse pigmented villonodular synovitis. Int J Radiat Oncol Biol Phys. 2007;67:1130-1134.
15.Horoschak M, Tran PT, Bachireddy P, West R, Mohler D, Beaulieu CF, et al. External beam radiation therapy enhances local control in pigmented villonodular synovitis. Int J Radiat Oncol Biol Phys. 2009;75:183-187.
16. Mollon B, Lee A, Busse J, Griffin AM, Ferguson PC, Wunder JS, et al. The effect of surgical synovectomy and radiotherapy on the rate of recurrence of pigmented villonodular synovitis of the knee. Bone Joint J. 2015;97:550-557.
17.Chen DY, Lan JL y Chou SJ. Treatment of pigmented villonodular synovitis with Yttrium-90 changes in immunological features, Tc-99M uptake measurements, and MR imaging of one case. Clin Rheumatol. 1992;11(2):280-285.
18.Siegel ME, Siegel HJ, Luck JV Jr. Radiosynovectomy’s clinical applications and cost effectiveness a review. Semin Nucl Med. 1997;27:364-371.
19.Bickels J, Isaakov J, Kollender, Meller I. Unacceptable complications following intra-articular injection of Yttrium 90 in the ankle joint for diffuse pigmented villonodular synovitis. J Bone Joint Surg Am. 2008;90:326-328.
20. Kroot E, Kraan M Smeets T, Maas M, Tak PP, Wouters JM. Tumour necrosis factor Alpha blockade in treatment resistant pigmented villonodular synovitis. Ann Rheum Dis. 2005;64:497-499.
21.Blay JY, El Sayadi H, Thiesse P, Garret J, Ray-Coquard I. Complete response to Imatinib in relapsing pigmented villonodular synovitis/tenosynovial giant cell tumor (PVNS/TGCT). Ann Oncol. 2008;19:821-822. Importar lista
Notas de autor
rreyes@radioterapia.com.ve
Información adicional
Trabajo Ganador: Premio “Dr. Bernardo Guzmán Blanco”. 2020