CARCINOMA PULMONAR: ESTUDIO CLÍNICO PATOLÓGICO
CARCINOMA PULMONAR: ESTUDIO CLÍNICO PATOLÓGICO
Revista Venezolana de Oncología, vol. 33, núm. 1, pp. 11-32, 2021
Sociedad Venezolana de Oncología

Recepción: 14 Junio 2020
Revisado: 30 Julio 2020
Aprobación: 20 Septiembre 2020
Resumen: OBJETIVO: Clasificar los carcinomas de pulmón según criterios establecidos por la OMS 2015 en biopsias de la sección de patología respiratoria del Instituto Anatomopatológico "Dr. José Antonio O` Daly" en el período enero 2006-diciembre 2016. MÉTODO: Se realizó estudio descriptivo y retrospectivo, en el que se evaluaron todos los casos de carcinomas pulmonares recibidos entre enero 2006 diciembre 2016. RESULTADOS: La edad de presentación del carcinoma pulmonar fue 61 ± 11,45 años. Fue más frecuente en el sexo masculino 56,57 %. El tipo histológico más frecuente fue el adenocarcinoma 61,6 %. El adenocarcinoma el patrón predominantemente sólido fue el más constante 57,3 %, seguido de patrón predominantemente acinar 18,2 % y patrones mixtos. El carcinoma de células escamosas fue el segundo tipo más frecuente con 30,3 % de los casos representando el carcinoma de células escamosas poco diferenciado no queratinizante un 40 %. El carcinoma neuroendocrino fue el tercer tipo de carcinoma más común y el carcinoma de células pequeñas representó el 80 % de estos casos. Al menos 10,8 % de los casos fueron carcinomas no clasificables por necrosis o muestra escasa. CONCLUSIONES: Los casos previamente diagnosticados como adenocarcinoma poco diferenciado se corresponden con patrón sólido. Es importante el uso de inmunohistoquímica para el diagnóstico definitivo especialmente de adenocarcinoma patrón predominantemente sólido. El uso de la actual clasificación permite definir pronóstico y tratamiento personalizado.
Palabras clave: Carcinoma, pulmonar, adenocarcinoma, células, escamosas, necrosis, clasificación.
Abstract: OBJECTIVE: To classify the lung carcinomas according to criteria established by WHO 2015 in the biopsies of the section of respiratory pathology of the Anatomo Pathological Institute "Dr. José Antonio O` Daly" in the period January 2006 December 2016. METHOD: A study will be carried out descriptive and retrospective, in which all cases of the pulmonary carcinomas received between January 2006 and December 2016 were evaluated. RESULTS: The age of presentation of the lung carcinoma was 61 ± 11.45 years old. It was more frequent in the male sex 56.57 %. The most frequent histological type was the adenocarcinoma 61.6 %. The predominantly solid adenocarcinoma pattern was the most constant 57.3 % followed by predominantly acinar pattern 18.2 % and the mixed patterns. The squamous cell carcinoma was the second most frequent type 30.3 %, and the poorly differentiated and non-keratinizing type was a 40 %. The neuroendocrine carcinoma was the third most common type of it the small cell carcinoma accounted an 80 %. At least 10.8 % of the cases were carcinomas unclassifiable due to necrosis or scarce sample. CONCLUSIONS: The cases previously diagnosed as poorly differentiated adenocarcinoma correspond to a solid pattern. The immunohistochemically use is important for the definitive diagnosis, especially for the adenocarcinoma predominantly solid pattern. The use of the current classification allows defining the prognosis and the personalized treatment.
Keywords: Carcinoma, pulmonary, adenocarcinoma, neuroendocrine, squamous, necrosis, immunohistochemically.
INTRODUCCIÓN
Epidemiológicamente el cáncer de pulmón constituye la segunda causa de muerte por cáncer en hombres y la tercera causa en mujeres, después del cáncer de próstata y cuello uterino respectivamente según el boletín epidemiológico de la Organización Mundial de la Salud (OMS) del 2014, incidencia que se mantiene hasta la fecha según la Sociedad Anticancerosa de Venezuela para el 2016 (1).
El cáncer de pulmón figura entre los cinco tipos de neoplasias que ocasionan más números de muertes en el mundo ocasionando 1,69 millones de defunciones en el año 2012 según estadísticas de la OMS (2).
Su presentación es más frecuente en pacientes del sexo masculino y con una edad superior a 40 años en el 90 % de los casos (3).
En los últimos 100 años, el cáncer de pulmón ha pasado de ser una enfermedad rara a un problema global. Los esfuerzos para mejorar los resultados en el pronóstico de estos pacientes no sólo han dado lugar a una mayor comprensión de la etiología del cáncer de pulmón, sino también a las características histológicas y moleculares de cada tumor en particular. La investigación actual en la terapia del cáncer de pulmón se centra en gran medida en las terapias moleculares. El perfil mutacional de los tumores de pulmón ha demostrado mutaciones somáticas diferenciadas que se pueden utilizar como dianas moleculares y biomarcadores de respuesta a agentes contra el cáncer (4).
Existen cambios significativos con respecto a la clasificación de la OMS de 2004 para los tumores de pulmón en la clasificación de la OMS 2015; entre los cuales el adenocarcinoma tuvo grandes cambios basándose en la clasificación de la Asociación para el Estudio del Cáncer de Pulmón (IASLC), Sociedad Americana Torácica (ATS) y la Sociedad Respiratoria Europea (ERS) del año 2011. Esta clasificación trae consigo modificaciones terapéuticas, pronosticas y diagnósticas especialmente para el adenocarcinoma tomando en cuenta que son en su mayoría lesiones heterogéneas antiguamente diagnosticadas como mixtas (4).
En esta clasificación además se propone el uso de la inmunohistoquímica para todos los tipos de neoplasias de pulmón y el estudio molecular es de importancia para personalizar estrategias de tratamiento (4).
El carcinoma pulmonar más frecuente es el adenocarcinoma, afecta tanto a población no fumadora como fumadora y hoy en día es posible reconocer lesiones precursoras del mismo, como lo es la hiperplasia adenomatosa atípica y el adenocarcinoma in situ (4).
Según la OMS 2015 los subtipos de adenocarcinoma de pulmón son acinar, sólido, papilar, micropapilar, y lepídico los cuales se debe estimar el porcentaje de cada uno de ellos en una muestra utilizando como base el porcentaje de 5 %; a su vez estos subtipos varían en su respuesta al tratamiento adyuvante y en el pronóstico (3). El reconocimiento de cada uno de los patrones permite un mejor entendimiento para el médico tratante y permite la correlación adecuada con el pronóstico y el tratamiento del paciente (4).
En los carcinomas escamosos el componente queratinizante es superior al 50 %, en los carcinomas basaloides igualmente este componente debe estar presente en una proporción mayor al 50 %. Existen marcadores inmunohistoquímicos como p40 o p63 utilizados para carcinomas escamosos con componente queratinizante menor al 50 % (4).
Existen otros tipos menos frecuentes de carcinomas de pulmón como los neuroendocrinos que representan menos del 1 % de las neoplasias de pulmón el cual incluye el carcinoma de células pequeñas, de células grandes, el tumor carcinoide típico y atípico. Además existen el carcinoma sarcomatoide, el carcinoma tipo glándula salival y los no clasificables. Los cambios en este grupo no fueron importantes (4).
Por tal razón, se considera imperiosa la necesidad de estudiar el carcinoma de pulmón realizando una reclasificación basada en la de la OMS 2015; en el material de biopsias recibidas desde enero del año 2006 hasta diciembre del año 2016, en la sección de patología respiratoria del Instituto de Anatomía Patológica (IAP); lo que permitirá conocer la cantidad de tumores diagnosticados en este período, los tipos histológicos más frecuentes, reclasificar los tumores en base a la nueva clasificación así como las características epidemiológicas de los pacientes afectados. En base a esto y debido además de los pocos estudios que existen; y que en Venezuela y Latinoamérica no existen estudios de reclasificación de carcinomas pulmonares basados en la actual clasificación de la OMS; este estudio pretende identificar los tipos histológicos más frecuentes de carcinomas pulmonares y reclasificarlos según lo establecido en la clasificación de la OMS 2015.
MÉTODO
Este estudio fue aprobado por la comisión de ética en de la institución en el momento de la recolección y análisis de datos.
Es un estudio de tipo descriptivo, retrospectivo. La población estuvo constituida por todas aquellas biopsias obtenidas por punción, fibro-broncoscopia o especímenes de resección quirúrgica que fueron diagnosticadas como carcinomas pulmonares en la sección de patología respiratoria del Instituto Anatomopatológico “Dr. José Antonio O`Daly” entre el período enero 2006-diciembre 2016 que cumplieron con los criterios de inclusión: informe de solicitud de biopsia, láminas histológicas para revisión o el bloque de parafina respectivo en el período establecido.
Se excluyeron todos aquellos casos sin material en archivo (láminas histológicas y/o bloques de parafina) y casos con material escaso para evaluación.
Se llevó a cabo una revisión exhaustiva de los archivos de biopsias pulmonares, registrados durante el período de estudio en la sección de patología respiratoria; a través de los libros de registro y sistema automatizado de registro de pacientes de la institución, además de las boletas de las solicitudes de cada una de las biopsias con sus resúmenes clínicos a fin de obtener los datos epidemiológicos y clínicos de interés para el estudio. Seguidamente, se revisaron los preparados histológicos teñidos con hematoxilina y eosina (HE), de cada una de las biopsias pulmonares provenientes de los diferentes hospitales y que se encuentran almacenadas en el archivo de la sección de patología respiratoria por dos patólogos. Una vez obtenidos todos los casos se procedió a reclasificarlos según la clasificación de la OMS 2015 y se comparó con el reporte histológico previo en función a la clasificación OMS 2004 para obtener los datos requeridos.
Análisis estadístico
Se calculó la media y desviación estándar de las variables continuas. En el caso de las variables nominales se calcularon su frecuencia y porcentaje.
Registro de datos
La recolección de datos se llevó a cabo mediante el uso de un formulario, con las variables epidemiológicas e histopatológicas. Los datos de interés para la investigación se descargaron en una base de datos conforme las variables contempladas en el estudio bajo el programa de SSPS ® (Statistical Package for the Social Science) versión 25,0.
RESULTADOS
En la sección de patología respiratoria del Instituto Anatomopatológico “Dr. José A. O´Daly” se estudiaron 203 biopsias pulmonares con el diagnóstico de carcinoma pulmonar correspondientes a diez años de estudio entre el período comprendido entre enero de 2006 y diciembre de 2016, de los cuales el 45,8 % de los casos fueron recibidos entre el año 2006 y 2008 con disminución paulatina hasta el año 2011 (Figura 1) donde el número promedio por año desciende a la mitad (12,3 % a 6,4 %).

Del universo mencionado (203 casos) 88,7 % de los casos procedían de biopsias bronquiales y transbronquiales, 6,4 % de especímenes de resección, 3 % biopsias transtorácicas y 2 % material de revisión.
De los casos evaluados (n═203) se obtuvo información en la edad en 172 casos (84,7 %) en los cuales la edad promedio fue 61,0 años (± 11,45 DE, rango 20 a 83 años) (Cuadro 1).

El 56,7 % fueron del sexo masculino y el 43,43 % del femenino En relación a los tipos histológicos el ADC fue el tipo histológico más frecuente (61,6 %), seguido de CCE (30,3 %), carcinoma neuroendocrino (5,4 %), casos con diagnóstico de carcinoma sin especificar (1,5 %) y otras lesiones (1 %) (Cuadro 2)

Al revisar los tipos histológicos de ADC de pulmón según la clasificación previa de la OMS del año 2004 se encontraron 125 casos de ADC de los cuales el tipo histológico más frecuente fue el ADC moderadamente diferenciado con 42,4 %, seguido del diagnóstico de ADC poco diferenciado 41,6 %, bien diferenciado 4 % y ADC bronquioloalveolar no mucinoso 3,2 %; sin embargo, se observaron otros diagnósticos menos frecuentes como: sugestivo de ADC 3,2 % , ADC mucinoso 1,6 %, ADC moderadamente diferenciado con células claras y ADC poco diferenciado con células claras ambos con 0,8 % de los casos evaluados (Cuadro 3).

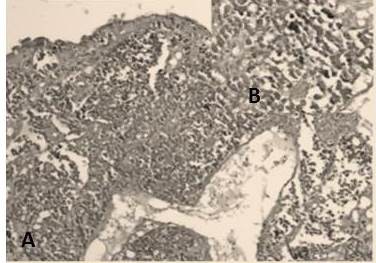
En cuanto al CCE se constató que el CCE moderadamente diferenciado representó la mayor parte de los casos con 66,1 %, en segundo lugar el CCE poco diferenciado 18,6 %, también se observaron otros diagnósticos como CCE bien diferenciado 8,6 % y otros tipos como, CCE in situ, CCE in situ con micro-invasión cada uno con 1,7 % de los casos con el diagnóstico (Figura 2)

Al reclasificar la totalidad de casos según las pautas de la OMS del año 2015 el número de casos de ADC pasó de 125 a 110 casos de los cuales la mayoría 85,45 % resultaron presentar histológicamente un solo patrón en la muestra, no obstante el 14,55 % de los casos de ADC presentaron patrones mixtos.
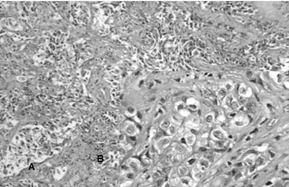
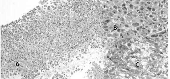
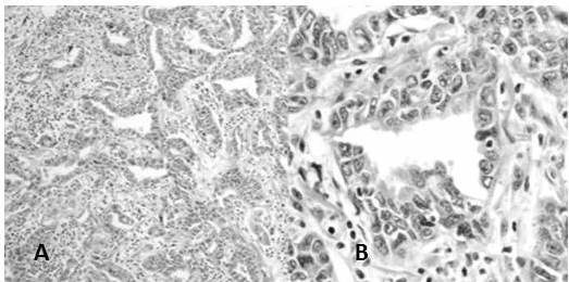
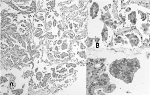
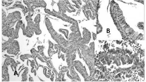
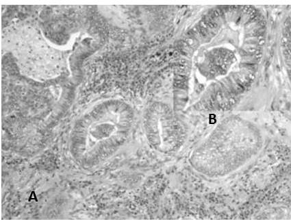
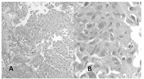
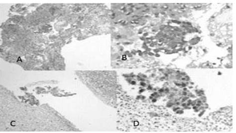
En la reclasificación los casos de ADC estuvieron representados por: ADC patrón predominantemente sólido 57,3 % (Figura 3 y 4), ADC patrón acinar 18,2 % (Figura 5) y en menor frecuencia ADC con patrones mixtos como: patrón predominantemente sólido y acinar 3,6 %, ADC patrón predominante sólido con células en anillo de sello 2,7 %, ADC patrón predominante acinar y micropapilar (Figura 6), patrón predominantemente acinar y sólido, papilar y acinar y patrón predominantemente papilar (Figura 7) cada uno con 1,8 %, asimismo, se encontraron en menor cantidad los siguientes patrones: lepídico no mucinoso (Figura 8) tipo intestinal (Figura 9), mucinoso (Figura 10), y otros patrones mixtos con 0,9 % cada uno (Cuadro 4)








Al relacionar los casos de ADC clasificados según lo establecido por la OMS 2004 y reclasificados según OMS 2015 encontramos que los casos con diagnóstico de ADC bien diferenciado se reclasificaron en ADC patrón predominante papilar y acinar con 1,8 % de los casos cada uno; los ADC moderadamente diferenciados fueron reclasificados en ADC patrón predominantemente sólido 21,8 % y acinar 18,18 % aunque se observó un caso de ADC tipo intestinal; los ADC antes clasificados en poco diferenciados se reclasificaron en patrón sólido en la mayoría de los casos 32,0 %; los casos de ADC previamente clasificados como bronquiolo-alveolares se clasificaron en patrón lepídico, papilar y micropapilar (50 % del componente micropapilar), un caso clasificado como sugestivo de ADC que resultó en ADC sólido; por otra parte casos previamente clasificados como CCE fueron clasificados como ADC patrón sólido (11,81 %) aunque se observó un caso con el diagnóstico de patrón acinar (Cuadro 5)


Al determinar la heterogeneidad de los patrones de acuerdo al tipo de material de biopsia se encontró que el 66,6 % de los casos diagnosticados en material de resección (4 de 6 casos) resultaron en ADC con patrones heterogéneos (Cuadro 6).

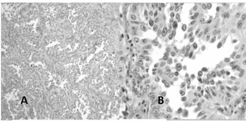
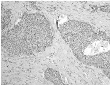
Por otro lado se reclasificaron 50 casos de carcinoma de CCE: encontrando que el CCE poco diferenciado no queratinizante representó el 40 % de los casos (Figura 11), el CCE bien diferenciado queratinizante resultó el 36 % (Figura 12), el CCE moderadamente diferenciado queratinizante representó el 20 % (Figura 13) y finalmente el CCE basaloide (Figura 14) fue el 4 % (Cuadro 7)





Evaluando la totalidad de casos con el diagnóstico de ADC (n═110) se obtuvieron datos de edad en 94 casos (85,45 %) en base a esto la edad promedio fue 62,1 años (± 10,41 DE, rango 33 a 83 años). Por su parte en el CCE se obtuvo los datos de edad en 44 (88 %) de la totalidad de casos con el diagnóstico (n═50) siendo la edad promedio 62,5 (± 10,89 DE, rango 41 a 83 años). (Cuadro 8).
El sexo se precisó en 45 (90 %) de los casos evaluados con diagnóstico de CCE, siendo el sexo masculino el más frecuente con 55,5 %, por su parte el sexo femenino representó 44,4%. En el adenocarcinoma se obtienen 95 (86,33 %) casos con el dato disponible, de los cuales el sexo masculino fue el más frecuente con 57,8 % mientras el sexo femenino correspondió al 42 % (Cuadro 8).

En relación a los subtipos de carcinoma de células escamosas y el sexo se evidenció que el tipo carcinoma de células escamosas poco diferenciado no queratinizante fue más común en pacientes del sexo masculino (Cuadro 9).

En la determinación del sexo en los patrones histológicos de ADC ningún patrón mostró preferencias por un sexo en particular.
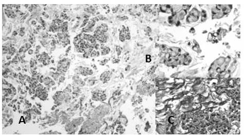
En el estudio los casos de carcinomas neuroendocrinos estuvieron representados en su mayoría por carcinomas neuroendocrinos de células pequeñas con 80 % de los casos (Figura 13), los carcinomas de células grandes (Figura 14) fueron 13,3 % y se observó un caso 6,7 % de tumor carcinoide típico (Figura 14) (Cuadro 10).





Previo a reclasificación se identificaron casos que fueron catalogados como otras lesiones dentro de los cuales se apreciaron casos de carcinoma poco diferenciado 77,8 %, carcinoma adenoescamoso y carcinoma mixto (carcinoma de células pequeñas con carcinoma de células escamosas ) cada uno con 11,1 % (Cuadro 11).
OTROS DIAGNÓSTICOS RECLASIFICADOS
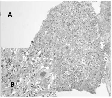
Posteriormente al reclasificar la totalidad de los casos ascendió la cifra de casos catalogados como otras lesiones a 22 casos en los cuales se observaron: 12 casos de carcinoma no clasificable, 8 casos por muestra escasa y 4 casos por necrosis extensa (Figura 18), 7 casos fueron reclasificados como metaplasia escamosa (no tumoral), 2 casos de carcinoma sarcomatoide (Figura 19) y 1 caso inflamatorio (no tumoral) (Cuadro 12)
No obstante las lesiones reclasificadas como otras lesiones presentaron previamente diagnósticos de: 9 casos de carcinoma de células escamosas, 8 casos de adenocarcinoma poco diferenciado, finalmente casos con diagnóstico sugestivo de adenocarcinoma (2 casos) y casos de carcinoma moderadamente diferenciado (2 casos) (Cuadro 11 y 12)



DISCUSIÓN
El cáncer de pulmón es la principal causa de muerte relacionada a cáncer en el mundo (5,6). Se estima que la tasa de supervivencia a los 5 años de pacientes con carcinomas de células no pequeñas es de 17,8 % (7). En el sexo masculino se ha reportado la supervivencia entre 6 % a 14 % y en el femenino entre 7 % a 18 % (3).
En Venezuela el comportamiento de cáncer de pulmón ha venido presentando un crecimiento a través de los años (1,8); en base a lo anterior el cáncer de pulmón es un importante problema de salud pública en el que rol del patólogo es importante para el diagnóstico adecuado lo que trae consigo el tratamiento idóneo considerando las pautas establecidas por la OMS las cuales presentan un nuevo enfoque terapéutico y pronóstico.
En el presente estudio investigativo se estudiaron un total de 203 casos de carcinoma pulmonar de los cuales se evidenció que la edad promedio fue 61 años con un rango entre 20 y 83 años. Se tiene una percepción de que existe un incremento en la incidencia del carcinoma pulmonar así como modificaciones en cuanto a su epidemiología. Vercosa y col. (9) estudiaron un total de 27 pacientes con el diagnóstico de carcinoma broncogénico de los cuales el grupo etario más afectado fue de 40 a 49 años siendo el grupo etario más afectado menor a nuestro estudio a pesar de ser una población Latinoamericana; sin embargo, Tsao y col.(10) estudiaron una población más amplia constituida por 575 pacientes encontrando la edad promedio entre 55 y 64 años; por otra parte Yoshizawa y col. (11) estudiaron 514 pacientes con diagnóstico de carcinoma pulmonar estadio I encontrando como edad promedio de 69 años (33-89 años) en ambos estudios la edad media afectada es similar a la encontrada en nuestra población, aunque en nuestro rango de edad se encontraron pacientes con edades < 30 años (20 años).
En relación al sexo encontramos que 99 casos (56,25 %) fueron de sexo masculino y 77 casos (43,75 %) de sexo femenino, hallazgo que coincide con otros estudios que plantean al carcinoma pulmonar como una patología más frecuente en pacientes del sexo masculino. Machado A. (3) realizó un estudio en esta misma institución obteniendo de igual forma una presentación más frecuente en el sexo masculino con 83 casos (58,9 %) y 58 (41,1 %) del sexo femenino. Dhanasekar y col. (12) en su estudio de reclasificación de carcinomas pulmonares encontraron el género masculino más afectado frente al sexo femenino con 63 % y 37 % de los casos respectivamente notando que la cifra era 2:1 (12); por otra parte este hallazgo difiere de Vercosa y col. (9) quienes encontraron el sexo femenino como más afectado con 17 pacientes (62,9 %) y 10 pacientes masculinos (37 %) sin embargo, en este último estudio la población estudiada fue menor.
En relación a los tipos histológicos el tipo de carcinoma más común fue el ADC (61,6 %), seguido del CCE (30,3 %), carcinoma neuroendocrino (5,4 %), casos con diagnóstico de carcinoma sin especificar (1,5 %) y otras lesiones (1 %). Esto es similar a lo encontrado por Machado A. (3) encontró el ADC como tipo histológico más frecuente con (44,1 %) seguido del CCE (34,9 %) (3); De forma similar Shin y col. (13) estudiaron 230 casos con diagnóstico de carcinomas de pulmón siendo más frecuente el diagnóstico de ADC 63 %, seguido de CCE 37 % (11). Kerr y col. (14) estudiaron 200 casos de carcinoma pulmonar donde todos fueron clasificados como ADC, por lo que concluye que el ADC es el subtipo más común y más heterogéneo de los carcinomas de pulmón; bajo esta premisa Travis y col., realizan una reunión multidisciplinaria para realizar pautas para el diagnóstico del mismo que posteriormente fueron utilizadas para la clasificación más reciente de la OMS (4).
En la valoración de los tipos histológicos de ADC de pulmón según la clasificación previa de la OMS del año 2004 el tipo histológico más frecuente fue el ADC moderadamente diferenciado con 42,4 % de los casos evaluados con diagnóstico de ADC (125/203), seguido del diagnóstico de ADC poco diferenciado 41,6 % este hallazgo difiere de Barletta y col. (15) quienes estudiaron 85 casos que carcinomas pulmonares encontrando como el tipo más frecuente el ADC bien diferenciado seguido de ADC moderadamente diferenciado sin embargo, al evaluar patrones concluyen que la mayoría de casos se trataban de subtipos mixtos resultado similar al estudio de Travis y col. (4) quienes concluyen que el 80 % de los ADC de pulmón son subtipo mixto lo que conlleva a modificación posterior de la clasificación de la OMS 2004. Esta diferencia a lo observado en nuestra investigación se debe al espécimen quirúrgico estudiado puesto que Barletta y col., y Travis y col. (4,15) estudiaron casos de resecciones y lobectomías.
Los casos de CCE en nuestro estudio representaron el 30,3 % de los casos siendo el segundo más frecuente este resultado difiere de Pradhan y col. (16) quienes realizaron un estudio clínico-patológico de 55 casos de carcinomas pulmonares reportando el CCE como el tipo más frecuente con 63,6 % de los casos; de igual forma Agarwala y col. (17) estudiaron 160 de pacientes con diagnóstico de carcinoma pulmonar en una población constituida por 140 pacientes de sexo masculino y 20 de sexo femenino en donde el carcinoma más común fue el CCE con 51 % de los casos seguido del ADC con 31 % de los casos no obstante esta población en su mayoría era fumadora lo cual representa un factor de riesgo y nuestro estudio se acopla con otros como el de Travis y col. (4) que realizaron el estudio multidisciplinario más grande hasta la fecha como se mencionó anteriormente.
De los casos detectados con el diagnóstico de CCE, el subtipo moderadamente diferenciado representó la mayor parte de los casos con el diagnóstico ya mencionado con 66,1 %, en segundo lugar el CCE poco diferenciado 18,6 % este resultado se diferencia al encontrado por Kadota y col. (18) que realizaron un estudio de 485 casos con el diagnóstico observando cómo tipo más frecuente el CCE poco diferenciado con 48 % y en segundo lugar el CCE moderadamente diferenciado.
Al reclasificar los casos de ADC de pulmón se encontró el patrón predominantemente sólido 57,3 % como el más común en segundo lugar el ADC patrón acinar 18,2 % y en menor frecuencia: ADC patrón predominantemente sólido y acinar 3,6 %, ADC patrón predominante sólido con células en anillo de sello 2,7 %, ADC patrón predominante papilar, otros patrones mixtos y tipos menos frecuentes. Esto se asemeja a lo encontrado Tsao y col. (10) en el estudio LACE-Bio el cual es el estudio de cohorte multinstitucional más grande hasta el momento en el que se reclasificaron 575 casos de ADC de pulmón para predecir el beneficio de la quimioterapia adyuvante en pacientes sometidos a resección completa obteniendo de igual forma el subtipo predominantemente sólido como el más común con 46 % seguido en secuencia del subtipo predominantemente acinar 26 % siendo este primero equivalente a carcinomas pobremente diferenciados sin ninguna característica de diferenciación reconocible morfológicamente y determinando un peor pronóstico para el subtipo sólido y micropapilar (semejante a lo observado en mama) con una supervivencia más baja y respuesta pobre al tratamiento (10) . De forma similar Warth y col. (19) reclasificaron 100 casos de ADC pulmonares con el fin de determinar la variabilidad inter-observador de la clasificación propuesta por IASLC / ATS / ERS para los ADC pulmonares obteniendo de igual manera el subtipo predominantemente sólido como el más frecuente (37 %), seguido de acinar (35 %), lepídico (20 %), papilar (5 %) y micropapilar (3 %) este resultado de igual forma se asemeja al nuestro con una población similar. Análogo a nuestro resultado también Warth y col. (20) realizan otro trabajo de investigación reclasificando 40 casos de ADC pulmonar con el propósito de determinar la concordancia teniendo en cuenta la nueva clasificación y encontró el subtipo predominantemente sólido, más frecuente con mayor nivel de concordancia.
En la correlación de tipos histológicos según la clasificación de la OMS 2004 y la del 2015 se observó que los ADC anteriormente clasificados como bien diferenciados resultaron ser ADC con patrones acinares o papilares; los casos clasificados previamente como moderadamente diferenciados presentaron morfología sólida o acinar y 1 caso de ADC tipo intestinal, aunque para dicha afirmación diagnóstica es necesario el estudio de inmunohistoquímica en vista de presentar morfología similar al ADC colorrectal; los ADC poco diferenciados mostraron patrón sólido en su mayoría, por otro lado los ADC anteriormente denominado bronquioloalveolar se reclasificaron en ADC patrón lepídico la mitad de los casos así como papilar y micropapilar; es importante destacar que en nuestro estudio casos anteriormente planteados como CCE resultaron en ADC patrón sólido siendo este el principal diagnóstico diferencial según lo planteado por OMS. Estos hallazgos se correlacionan con lo descrito por la OMS 2015 (4) que reportan al patrón acinar y patrón papilar como patrones intermedios (moderadamente diferenciados) y a los patrones micropapilares, mucinosos / coloides y sólidos como poco diferenciados esto está relacionado con el comportamiento como encontró Sica y col. (21) quienes revisaron 73 casos de metástasis de ADC de pulmón con el fin de relacionar la morfología con el potencial de metástasis estableciendo 3 grupos de estudio: Grupo I: patrón con bajo potencial metastásico (bronquioloalveolar); Grupo II: patrones con potencial metastásico intermedio (acinar y papilar); y Grupo III: patrones con alto potencial metastásico (sólido y micropapilar) evidenciando que la morfología estaba relacionada con la supervivencia y comportamiento.
Posterior a la reclasificación que la cifra de casos de ADC disminuyó de 125 a 110 casos esto se debió principalmente a casos de CCE que se encontraban previamente dentro de la estadística de ADC. En relación a esto en la clasificación de la OMS se establece que el ADC patrón predominantemente sólido se debe diferenciar del CCE poco diferenciado siendo necesario la utilización de otros métodos auxiliares como histoquímica y finalmente inmunohistoquímica (p40, p63, TTF-1, N Napsin A) para confirmar el diagnóstico. A pesar de que no contamos con métodos de inmunohistoquímica y no era el fin de nuestro trabajo dicha valoración se pudo contar con estudios de histoquímica para la evaluación de estos casos porque como lo plantea la OMS 2015 (4) el ADC sólido debe mostrar al menos dos campos de alta potencia con cinco o más células que muestren mucina intracitoplasmática hecho que se precisó con la reacción de PAS.
Entre los otros tipos de ADC encontrados en nuestro estudio es interesante destacar que el patrón micropapilar no se encontró por separado observándose con otros patrones que resultaron tener mayores o iguales porcentajes en la muestra, a pesar de esto como lo establece la OMS del año 2015 es importante documentar el porcentaje de componentes que se encuentran en menor proporción en la muestra porque incluso la presencia en pequeños porcentajes de patrón micropapilar está asociado con mal pronóstico mayor tendencia a metástasis ganglionar, invasión pleural y recidiva (4); en nuestro caso el patrón micropapilar estuvo presente en tres casos con porcentajes variables entre 5 % y 50 % asociado a componentes acinares y sólidos. Kamiya y col. (22) estudiaron 383 casos de ADC de pulmón con porcentajes diversos de patrón micropapilar en la muestra y observaron a partir de las curvas de supervivencia que el pronóstico fue peor con el aumento de la proporción de ADC micropapilar en los tumores en comparación con el grupo sin patrón micropapilar en la muestra, de igual forma Cakir y col.(23)han indicado que la presentación de ADC micropapilar es un predictor de resultados desfavorables no solo en ADC de etapa temprana sino también en ADC de etapa tardía, por el contrario Clay y col. (24) manifiestan que la morfología micropapilar por sí sola no es indicativa de mal pronóstico si no que depende del estadio tumoral siendo peor en estadios III y IV.
En otros tipos también encontrados es interesante mencionar que se hallaron 2 casos de carcinoma sarcomatoide siendo este un subtipo de carcinoma pulmonar de células no pequeñas que muestra elementos tanto epiteliales como mesenquimáticos, aunque en nuestro estudio contamos con únicamente la morfología siendo necesaria la inmunohistoquímica para corroborar diagnóstico. Según los criterios de la OMS existen cinco subgrupos de carcinoma sarcomatoide: carcinoma pleomórfico, carcinoma de células fusiformes, carcinoma de células gigantes, carcinosarcoma y blastoma pulmonar (25); específicamente los 2 casos encontrados fueron carcinoma sarcomatoide de células fusiformes y carcinoma de células gigantes. Este tipo de carcinoma pulmonar constituye según Ung y col. del 0,1 % al 0,4 % de todos los cánceres de pulmón; en nuestro caso representó el 0,9 % del universo examinado (25).
En relación a la heterogeneidad se ha definido el ADC pulmonar como una lesión que presenta diversos patrones en una misma muestra, pese a esto en nuestro estudio el 85,4 % de los casos presentaron un solo patrón y apenas 14,5 % mostraron diversos patrones (mixtos), una cifra atribuible al espécimen evaluado puesto que en su mayoría el universo estudiado fueron biopsias bronquiales y transbronquiales (88,6 %); esta condición se antepone a la valoración de patrones ya en nuestro estudio se pudo observar que 66,6 % de los casos de resecciones evaluados mostraron patrones mixtos, esta particularidad de nuestro estudio se diferencia a los anteriormente mencionados que estudiaron casos de resección como es el caso de Barletta y col. (15) que estudiaron 85 casos de ADC de pulmón en muestras provenientes de resecciones principalmente lobectomías 68 % y resecciones en cuña 30,6 % obteniendo 84,7 % de los casos como subtipos mixtos (antigua clasificación de la OMS) (15) de igual forma Terasaki y col. (26) estudiaron 484 casos de ADC para determinar componentes lepídico (entonces llamados bronquio-alveolares) y otros invasivos en piezas de resección.
Los CCE se clasifican en subtipos queratinizantes, no queratinizantes y basaloides. De la misma forma que ocurrió con el ADC se han realizado muchos estudios intentando encontrar otras características morfológicas y patrones de invasión que puedan estar asociadas con el pronóstico tal es el caso de Zhao y col. (27) quienes revisaron 132 casos de CCE de pulmón encontrando como el subtipo más predominante el no queratinizante con el 56 % y propone el tipo de invasión (isla de células tumorales o invasión de células individuales) y características nucleares (recuento mitótico, atipia citológica) como indicadores de pronóstico independientes sin embargo la OMS mantiene la clasificación antes mencionada similar a lo observado en cabeza cuello (4). En este estudio clasificamos 50 casos de CCE encontrando el CCE poco diferenciado en 40,0 % de los casos evaluados, el CCE bien diferenciado fue el 36 %, y el carcinoma de células escamosas moderadamente diferenciado representó el 20 %. Kadota y col. (18) obtuvieron porcentajes similares a nuestro estudio con 48 % de casos de carcinomas poco diferenciados, 40 % moderadamente diferenciados y 12 % bien diferenciados aunque reportaron la queratinización de forma separada obteniendo 75 % de casos no queratinizantes y 25 % queratinizantes esto último difiere de nuestro estudio porque tal como lo propone la OMS la queratinización debe reportarse junto al grado de diferenciación porque de ella depende la misma.
Particularmente se encontraron 2 casos de carcinomas basaloides reconociendo > 50 % del componente basaloide como lo establece la OMS. Según Brambilla y col. (28) el carcinoma basaloide representa aproximadamente el 5 % de los carcinomas células no pequeñas de pulmón y figura como una entidad histopatológica con un pronóstico sombrío sin embargo, en nuestro estudio representó < 5 % del universo evaluado.
En nuestro estudio la edad promedio del adenocarcinoma fue 62,1 (± 10,41 DE, rango 33 a 83 años) esta edad se corresponde a la encontrada por Barletta y col. (15), quienes estudiaron 85 casos de ADC de pulmón encontrando la edad promedio de 64,2 años y de igual forma es similar a la encontrada por Riquet y col. (29) en su estudio pronóstico de carcinomas revisando 565 casos de ADC de pulmón obteniendo como edad media 60,1 ± 10,6.
Por su parte la edad promedio de CCE fue de 62,5 (± 10,89 DE, rango 41 a 83 años) una edad menor a la encontrada por Kadota y col. (7) la cual fue de 71 años (rango, 39-88 años) (7) pero se corresponde con Riquet y col. (29) quienes revisaron 574 casos de CCE de pulmón encontrando como edad promedio 64,2 ± 9,8.
En relación al sexo tanto el ADC como el CCE en nuestro estudio resultaron más frecuente en el sexo masculino esto difiere a lo encontrado por Machado A (3) quien tuvo más frecuencia en el sexo femenino de ADC (3) aunque Tsao y col. (10) obtuvieron más frecuencia en el sexo masculino para el adenocarcinoma (10) y de igual forma Riquet y col. (29) coinciden con nuestro resultado. En la valoración del sexo asociado al subtipo de CCE, el CCE poco diferenciado no queratinizante fue más común en pacientes del sexo masculino resultado que coincide con Zhao y col (27).
Los tumores neuroendocrinos mantuvieron la misma clasificación en tumores carcinoides típicos y atípicos (G1 y G2), carcinomas neuroendocrinos de células pequeñas y carcinomas neuroendocrinos de células grandes (G3) (30) en nuestra revisión obtuvimos 15 (7,4 %) casos de carcinomas neuroendocrinos, el tumor neuroendocrino más frecuente fue el carcinoma neuroendocrino de células pequeñas con 12 casos, se revisaron 2 casos de carcinoma neuroendocrino de células grandes y un tumor carcinoide típico. Estos resultados son similares a los encontrados por Machado A. (3) quien en su estudio concluye que el carcinoma neuroendocrino de células pequeñas es el tercer carcinoma más frecuente.
Entre los casos clasificados como otras lesiones se evidenció un incremento del número de las mismas porque en la reclasificación quedaron como: carcinomas no clasificables debido a una muestra escasa que si bien mostraba características sugestivas de neoplasia sin embargo, no se podía determinar patrones específicos o muestras constituidas principalmente por necrosis, lesiones no tumorales (metaplasia escamosa e inflamatorias), y otros carcinomas. Esta modificación en el diagnóstico se debe principalmente a la dificultad diagnóstica en muestras pequeñas tal como lo establece la OMS y Thunnissen y col. (31) el diagnóstico de biopsias pequeñas (población que más se evaluó en nuestro trabajo) implica un muestreo de tejido máximo siempre que sea posible y clínicamente seguro, lo que reduce la necesidad de una nueva biopsia para estudios adicionales o su clasificación.
En conclusión el cáncer de pulmón constituye una importante causa de mortalidad en Venezuela ocupando la segunda y tercera causa de muerte en hombres y mujeres, la edad promedio de presentación es 61 años y es más frecuente en el sexo masculino; tanto el ADC como el CCE son más frecuentes en el sexo masculino. El tipo histológico más común es el ADC (61,6 %), seguido del CCE (30,3 %) y en tercer lugar el carcinoma neuroendocrino (5,4 %). El ADC patrón predominantemente sólido es más frecuente seguido del ADC patrón predominantemente acinar según las pautas de la OMS 2015. Los casos previamente diagnosticados como ADC poco diferenciado se corresponden histológicamente con el patrón predominantemente sólido; el CCE poco diferenciado no queratinizante es el subtipo de CCE más usual, de acuerdo a esto se debe realizar diagnóstico diferencial con el ADC patrón predominantemente sólido, lo cual es un reto para el patólogo para lo que se debe valer de estudios adicionales iniciando con histoquímica para mucinas. El rol de la inmunohistoquímica es crucial para el diagnóstico diferencial entre ADC patrón sólido y carcinoma de células escamosas poco diferenciado no queratinizante e incluso carcinoma neuroendocrino de células grandes con marcadores como p40, p63, Napsin A, TTF-1, cromogranina y sinaptofisina. El carcinoma neuroendocrino de células pequeñas es el tumor neuroendocrino de pulmón más frecuente. Es necesaria una muestra generosa para la clasificación adecuada de acuerdo a los patrones de ADC con tumor viable debido a que los casos de carcinomas no clasificables fueron en su mayoría debido a muestra escasa. Los casos de resecciones amplias mostraron ADC con diversos patrones en su mayoría. La metaplasia escamosa constituye un diagnóstico diferencial de carcinoma pulmonar.
Recomendamos la utilización de esta información recopilada para ampliar la investigación sobre este tema. El estudio de estas lesiones inicia desde la información clínica adecuada. El diagnostico histológico debe seguir las pautas de la OMS 2015: definiendo el tipo histológico, en los ADC realizar estimación semicuantitativa del porcentaje de diferentes subtipos presentes en incrementos de 5 % y en el CCE determinar la diferenciación y queratinización. Es necesario que el estudio histológico sea complementado con estudio histoquímico (para mucinas) e inmunohistoquímico sobretodo en casos de carcinomas poco diferenciados. Se deben realizar estudios moleculares de ADC pulmonar porque es el tipo histológico más frecuente y esto contribuye al enfoque de tratamiento personalizado. Es de vital importancia que el patólogo sepa diferenciar la metaplasia de carcinoma. Debido a que el cáncer de pulmón es una causa frecuente de mortalidad en nuestro país es necesario implementar pesquisa para el diagnóstico temprano de esta lesión.
REFERENCIAS
1. Organización Mundial de la Salud. [internet]. Perfiles oncológicos en los países 2014. Venezuela. [Consultado 6 de abril de 2017]. Disponible en: URL: http://www.who.int/cancer/country-profiles/es/
2. Ridge C, McErlean A, Ginsberg M. Epidemiology of lung cancer. Semin Intervent Radiol. 2013;30(2):93-98.
3. Machado A. Carcinoma broncogénico: estudio histológico e inmunohistoquímico (período 2006-2010). [Trabajo de ascenso para optar a cargo de profesor agregado]. Caracas: Instituto Anatomopatológico Dr. José A O` Daly, Universidad Central de Venezuela; 2010
4. Travis W, Brambilla E, Nicholson A, Yatabe Y, Austin J, Beasley M, et al. The 2015 World Health Organization classification of lung tumors impact of genetic, clinical and radiologic advances since the 2004 classification. J Thorac Oncol. 2015;10(9):1243-1260.
5. Ridge C, McErlean A, Ginsberg M. Epidemiology of lung cancer. Semin Intervent Radiol. 2013;30(2):93-98.
6. Organización Mundial de la Salud. [Internet].Cifras y datos sobre el cáncer en el mundo 2012. [Consultado 6 de abril de 2017]. Disponible en: URL: https://www.who.int/cancer/about/facts/es/
7. Tang E, Schreiner A, Bradley B. Advances in lung adenocarcinoma classification: A summary of the new international multidisciplinary classification system (IASLC/ATS/ERS). J Thorac Dis. 2014;(Suppl 5):S489-501
8. Sociedad Anticancerosa de Venezuela. [Internet]. Boletín de incidencia y mortalidad del cáncer basado en los datos del informe pronósticos de la mortalidad e incidencia de cáncer en Venezuela, año 2016. [Consultado 10 de octubre de 2018]. Disponible en: URL: https://www.cancervenezuela.org/descargas/boletin-incidencia-mortalidad-cancer-informe-pronosticos-mortalidad-venezuela-2016.pdf
9. Vercosa C, Gutierrez L. 11º Congreso ALAT: Incidencia y caracterización del cáncer. Disponible en: URL: https://www.archbronconeumol.org/index.php?p=revista&tipo=pdf-simple&pii=X0300289618627112.
10. Tsao M, Marguet S, Le Teuff G, Lantuejoul S, Sheperd F, Seymour L, et al. Subtype classification of lung adenocarcinoma predicts benefit from adjuvant chemotherapy in patients undergoing complete resection. J Clin Oncol. 2015;33(30):3439-3446.
11. Yoshizawa A, Motoi M, Riely G, Sima S, Gerald W, Kris MG, et al. Impact of proposed IASLC/ATS/ERS classification of lung adenocarcinoma: Prognostic subgroups and implications for further revision of staging based on analysis of 514 stages I cases. Mod Pathol. 2011;24(5):653-664.
12. Shankar S, Thanasekaran V, Dhanasekar T, Prathiba Duvooru P. Clinic-pathological and immunohistochemically profile of non-small cell lung carcinoma in a tertiary care medical Centre in South India. Lung India. 2014;31(1):23-28.
13. Shin B, Shin S, Chung M, Lee H, Koh W, Kim H. Different histological subtypes of peripheral lung cancer based on emphysema distribution in patients with both airflow limitation and CT-determined emphysema. Lung Cancer. 2017;104:106-110.
14. Kerr K, Nicolson M. Prognostic factors in resected lung carcinomas. EJC Suppl. 2013;11(2): 137-149.
15. Barletta J, Beow Y, Chirieac L. Prognostic significance of grading in lung adenocarcinoma. Cancer. 2010;116(2):659-669.
16. Pradhan S, Shakya S, Shrestha S. Clinic-pathological study of lung carcinoma. Journal of Pathology Nepal. 2014;4(1):623-625.
17. Agarwala1 A, Sarkar S, Das S, Banerjee A. Clinic-pathological profile of diagnosed patients of lung cancer with its relation to smoking habit and educational status in a medical college of paschim medinipore west Bengal, india- A Tribal area prospective. Disponible en: URL: https://www.semanticscholar.org/paper/Histopathological-Patterns-of-Endobronchial-Lung-in-Sarfraz-Gupta/af25b64a5d835e7f9a718e0eb134663d1667b4bf
18. Kadota K, Nitadori J, Rekhtman N, Jones D, Adusumilli P, Travis W. Reevaluation and reclassification of resected lung carcinomas originally diagnosed as squamous cell carcinoma using immunohistochemically analysis. Am J Surg Pathol. 2015;39(9):1170-1180.
19. Warth A, Stenzinger A, von Brünneck A, Goeppert B, Cortis J, Petersen I, et al. Inter-observer variability in the application of the novel IASLC/ATS/ERS classification for pulmonary adenocarcinomas. Eur Respir J. 2012;40(5):1221-1227.
20. Warth A, Cortis J, Fink L, Fisseler-Ecknoff A, Geddert H, Hager T, et al. Training increases concordance in classifying pulmonary adenocarcinomas according to the novel IASLC/ATS/ERS classification. Virchows Arch. 2012;461(2):185-193.
21. Sica G, Sica G, Yoshizawa A, Sima C, Azzoli C, Downey R, et al. A grading system of lung adenocarcinomas based on histologic pattern is predictive of disease recurrence in stage I tumors. Am J Surg Pathol. 2010;34(8):1155-1162.
22. Kamiya K, Hayashi Y, Douguchi J, Hashiguchi A, Yamada T, Izumi Y, et al. Histopathological features and prognostic significance of the micro-papillary pattern in lung adenocarcinoma. Mod Pathol. 2008;21(8):992-1001.
23. Cakir E, Yilmaz A, Demirag F, Oguztuzun S, Sahin S, Yazici U, et al. Prognostic significance of micro-papillary pattern in lung adenocarcinoma and expression of apoptosis-related markers: Caspase-3, bcl-2, and p53. APMIS. 2011;119(9):574-580.
24. Clay T, Do H, Sundararajan V, Moore M, Conron M, Wrigth G, et al. The clinical relevance of pathologic subtypes in metastatic lung adenocarcinoma. J Thorac Oncol. 2014;9(5):654-663.
25. Ung M, Rouquette I, Filleron T, Taillandy K, Brouchet L, Bennouna J, et al. Characteristics and clinical outcomes of sarcomatoid carcinoma of the lung. Clin Lung Cancer. 2016;17(5):391-397.
26. Terasaki H, Niki T, Matsuno Y, Yamada T, Maeshima A, Asamura H, et al. Lung adenocarcinoma with mixed bronchioloalveolar and invasive components: clinic-pathological features, sub-classification by extent of invasive foci, and immunohistochemically characterization. Am J Surg Pathol. 2003;27(7):937-951.
27. Zhao Y, Shen H, Qiu C, Zhang T, Hu P, Qu X, et al. Invasion types are associated with poor prognosis in lung squamous carcinoma patients. Medicine(Baltimore). 2015;94(43):e1634.
28. Bambrilla C, Laffaire J, Lantuejoul S, Moro-Sibiot D, Arbib F, Toffart A, et al. Lung squamous cell carcinomas with basaloid histology represent a specific molecular entity. Clin Cancer Resp. 2014;20(22):5777-5786.
29. Riquet M, Foucault C, Berna P, Assouad J, Dujon A, Danel C. Prognostic value of histology in resected lung cancer with emphasis on the relevance of the adenocarcinoma subtyping. Ann Thorac Surg. 2006;81(6):1988-1995.
30. Fisseler-Eckhoff A, Demes M. Neuroendocrine tumors of the lung. Cancers(Basel). 2012;4(3):777-798.
31. Thunnissen E, Kerr K, Herth F, Lantuejoul S, Papotti M, Rintoul R, et al. The challenge of NSCLC diagnosis and predictive analysis on small samples. Practical approach of a working group. Lung Cancer. 2012;76(1):1-18.
Notas de autor
sanchitarut@gmail.com