TUMOR FILODES BILATERAL A PROPÓSITO DE UN CASO.
TUMOR FILODES BILATERAL A PROPÓSITO DE UN CASO.
Revista Venezolana de Oncología, vol. 33, núm. 3, pp. 155-160, 2021
Sociedad Venezolana de Oncología

Recepción: 16 Febrero 2021
Revisado: 14 Marzo 2021
Aprobación: 17 Abril 2021
Resumen: OBJETIVO: Presentar el caso de una paciente con tumor filodes bilateral, conocer comportamiento y manejo de dicha neoplasia, así como revisar la literatura actual. CASO CLÍNICO: Paciente femenino de 46 años, presenta aumento de volumen en mama izquierda, se observa tumor sólido, móvil, de 30 cm x 30 cm, adenopatías axilares múltiples, ecográficamente imagen nodular sólida 28 cm x 27 cm, hipoecoica, de contornos definidos; mamografía: mamas densas, con calcificaciones gruesas dispersas, se realizó una mastectomía simple izquierda, biopsia reporta tumor filodes benigno; 2 años después presenta tumor en cuadrante superior interno de mama derecha, de 4 cm x 3 cm, móvil, paciente se ausenta. Consulta un año después, al examen físico el tumor abarcaba la totalidad de la mama, de 20 cm x 23 cm, móvil, con mama supernumeraria ipsilateral. En la mamografía, mama densa con calcificaciones gruesas dispersas, se realizó una mastectomía simple con resección de la mama supernumeraria, cuya biopsia reporta: tumor filodes borderline. DISCUSIÓN: La bilateralidad en este tipo de tumor es infrecuente. Se han reportado pocos casos en los cuales ambos tumores eran benignos; ambos malignos o una combinación de los dos. CONCLUSION: El tumor filodes corresponde a los tumores bifásicos de la mama, Puede ocurrir a cualquier edad, se presenta muy raramente en hombres, pueden ser benignos, borderline, y malignos, según su comportamiento biológico.
Palabras clave: Mama, tumor, filodes, benigno, borderline, bilateral.
Abstract: OBJECTIVE: To submit the clinical case of a patient with bilateral phyllodes tumor, describe its management and a review the current literature. CLINICAL CASE: A 46 year old female patient, who presents with a 30 cm x 30 cm solid mobile tumor, multiple axillary enlarged lymph nodes. Ultrasound a 28 cm x 27 cm hypoechoic well defined solid mass. The mammography with gross disperses calcifications. The core needle biopsy reports phyllodes tumor. A simple left mastectomy was undertaken, which final biopsy concludes: Benign phyllodes tumor. Two years later, she presents with a 4 cm x 3 cm upper inner quadrant mass in the right breast, absenting herself from consultation. A year later, she returns to the consultation, with a 20 cm x 23 cm mobile tumor which compromises the whole breast, and ipsilateral accessory breast. Mammography shows gross disperse calcifications, core needle biopsy concludes biphasic tumor, and a simple mastectomy was performed with supernumerary breast resection. Definitive biopsy reported: Borderline phyllodes tumor. DISCUSION: Bilateral phyllodes tumor is rare. There have been few case reports in which both tumors resulted benign, malignant or a mixture of both. CONCLUSION: Phyllodes tumor corresponds to biphasic tumors of the breast; it can present itself in any age, it´s very rare in men, and can be benign, borderline or malignant according to its biological behavior.
Keywords: Breast, tumor, phyllodes, benign, borderline, bilaterally.
INTRODUCCIÓN
El tumor filodes es una neoplasia mixta de la glándula mamaria, descrita originalmente en 1838 por Johannes Muller, recibe este nombre por presentar apariencia de hojas, su incidencia es de 0,3 % a 0,9 %, con un amplio abanico de presentación clínica y comportamiento biológico, estos tumores se tratan adecuadamente mediante resección quirúrgica. La bilateralidad en este tipo de tumor es infrecuente. Se han reportado pocos casos en los cuales ambos tumores eran benignos, malignos o una combinación de los dos. La aparición de los tumores bilaterales puede ser en forma sincrónica o metacrónica, siendo esta última la más frecuente. Presentamos el caso de una paciente de 46 años con un tumor filodes benigno de mama izquierda, que 2 años posterior presentó un tumor filodes borderline en la mama contralateral.
CASO CLÍNICO
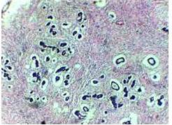
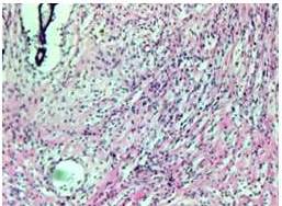
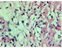
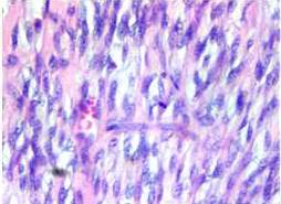
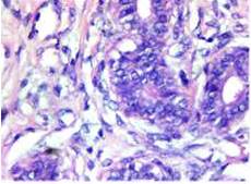
aciente femenina de 46 años, quien inicia enfermedad actual en 2014, cuando presenta aumento de volumen progresivo en mama izquierda, de 6 meses de evolución, al examen físico se observa un tumor sólido, blando, no adherido a planos profundos, móvil, que abarca la totalidad de la mama, de 30 cm x 30 cm, adenopatías axilares múltiples móviles, blandas, el examen ecosonográfico demuestra una imagen nodular sólida de gran tamaño 28 cm x 27 cm, hipoecoica, de contornos definidos, en la mamografía, mamas densas, se observan calcificaciones gruesas dispersas. La mama derecha era voluminosa, sin signos aparentes de lesiones. Se realizó una biopsia por aguja gruesa (BAG) con el hallazgo histológico de proliferación de componente mesenquimal y epitelial concluyendo como tumor filodes. Se realizó una mastectomía simple izquierda, evidenciando tumor de 20 cm x 20 cm que ocupa toda la mama izquierda, con red venosa en relieve con la piel; cuya evaluación histológica reportó un tumor filodes benigno (Figura 1-4) con bordes de resección negativos con márgenes amplios; la paciente continua en control, evidenciándose en el año 2016 una lesión tumoral en cuadrante superior interno (CSI) de la mama derecha, de 4 cm x3 cm, móvil, no doloroso, se solicitó ecografía y mamografía para evaluar la nueva lesión, sin embargo, la paciente se ausenta. Consulta de nuevo en 2017, al examen físico el tumor abarcaba la totalidad de la mama, de 20 cm x 23 cm, móvil no doloroso, con mama supernumeraria ipsilateral (Figura 5). En la mamografía, mama densa, se observaron calcificaciones gruesas dispersas, se realiza BAG con el diagnóstico de tumor estromal y epitelial (tumor bifásico); se realizó una mastectomía simple con resección de la mama supernumeraria, el diagnóstico definitivo fue tumor filodes borderline (Figura 6 - 8). Actualmente la paciente no presenta signos de enfermedad.








DISCUSIÓN
El tumor filodes corresponde a los tumores bifásicos de la mama, es decir, están constituidos por proliferación del componente epitelial y estroma mamario. Puede ocurrir a cualquier edad, se presenta muy raramente en hombres y se presenta más comúnmente en poblaciones asiáticas (aproximadamente el 7 % de los tumores de mama) (1).
Su tamaño es variable la mayoría de las veces 4 cm -8 cm (rango: 1 cm-40 cm) (2). Clínicamente se presenta como un tumor duro, multinodular, bien definido, móvil y raramente doloroso. El tamaño suele ser voluminoso, de crecimiento rápido y con protusión a piel. Menos frecuentemente se puede observar retracción del pezón, ulceración, fijación a la pared torácica, enfermedad bilateral y afectación axilar (2).
No hay criterios absolutos para determinar por ecosonografía o mamografía si existen diferencias entre lesiones benignas y malignas del tumor filodes (3,4,5).
Macroscópicamente, los tumores más pequeños semejan fibroadenomas con un aspecto fibroso gris y blanco, mientras que los más grandes semejan sarcomas. Histológicamente se asemejan a elementos epiteliales y del mesenquima de un fibroadenoma, pero se diferencia por el potencial de crecimiento y celularidad del estroma (6,7,8).
Este tumor por su naturaleza, crece radialmente, comprime el parénquima mamario y crea una pseudocápsula a través de la cual sobresalen lengüetas. El examen del tejido conectivo en secciones múltiples es obligatorio, porque el filodes maligno puede estar presente solamente en una porción del tumor (6).
El diagnóstico diferencial debe establecerse con el fibroadenoma mediante criterios morfológicos. El tumor filodes benigno se caracteriza por una marcada hipercelularidad estromal y el maligno por una malignización del estroma con cambios metaplásicos (3,4).
La Organización Mundial de la Salud (OMS) los clasifica en tumores benignos, borderline, y malignos, según su comportamiento biológico de acuerdo a tres características histológicas: el patrón de crecimiento periférico, si es infiltrativo o expansivo, el índice mitótico del componente mesenquimático y las atipias nucleares.
Hanby A y col., los clasifican por las recidivas frecuentes en bajo grado, grado intermedio y alto grado .(3)La bilateralidad en este tipo de tumor es infrecuente. Se han reportado pocos casos en los cuales ambos tumores eran benignos o una combinación de ambos(9,10,11,12).
La aparición de los tumores bilaterales puede ser en forma sincrónica o metacrónica, siendo esta última la más frecuente(9,10). Es importante destacar que en nuestro caso particular se trata de una paciente que presentó un tumor filodes benigno de mama izquierda y un tumor filodes borderline de mama derecha, metacrónico.
El tratamiento es la cirugía, la escisión local ampliada con márgenes libres histológicos mayores de 1 cm o la mastectomía simple en caso de tumor filodes maligno o de gran tamaño que no permite una resección amplia con resultado estético adecuado. Los tumores filodes benignos, borderline y malignos se tratan con cirugía, aunque pueden recidivar en cualquiera de sus formas. El tratamiento adyuvante para el control local de la enfermedad es la radioterapia, aunque no tiene impacto sobre la supervivencia global (5). No existen estudios prospectivos al respecto, su uso podría considerarse siguiendo el protocolo del tratamiento del sarcoma de tejidos blandos en casos seleccionados. Entre el 13 %-40 % desarrollan metástasis a distancia, principalmente pulmonar. La hormonoterapia no ha resultado efectiva en el tratamiento del tumor filodes. No existe evidencia del beneficio de la quimioterapia en la disminución de las recidivas y mortalidad, pero podría tener indicación para el grupo de pacientes con recidiva sistémica. El régimen utilizado contiene ifosfamida y doxorrubicina (5,7).
REFERENCIAS
1. Morante Z, Araujo J, Fuentes H, Neciosup S, Mas L, Gómez H. Tumor filodes de la mama, características y pronóstico en una cohorte retrospectiva con 7 años de seguimiento. Carcinos. 2015;5(1):10-18.
2. Berni R, Notario A, Duarte J, Palácios J, De Bleecker A. Tumores filodes de la mama. Experiencia de 2 años. Rev. Cir. Parag. 2015;39(2):16-19.
3. Hanby AM, Walker C, Tavassoli FA, Devilee P. Pathology and genetics: Tumours of the breast and female genital organs. WHO classification of tumours series - volume IV. Lyon France: IARC Press. Disponible en: URL: https://breast-cancer-research.biomedcentral.com/articles/10.1186/bcr788#citeas
4. Rosen PP. En: Rosen PP, editor. Rosen’s Breast Pathology. Fibro-epithelial neoplasms. 3a edición. Filadelfia: Lippincott Williams and Wilkins; 2009.p.187-229.
5. Brenes JM, Furió V, Aranzazu M, Merchán MJ, Ruiz J, Olivares M, et al. Manejo clínico, tratamiento y control local del tumor phyllodes mamario. Rev Senol Patol Mamar. 2013;26(2):52-57.
6. Jiménez-López J, Márquez-Acosta G, Olaya Guzmán E, Gómez-Pue D, Arteaga Gómez A. Tumor phyllodes. Perinatol Reprod Hum. 2013;27(2):106-112.
7. Mituś J, Reinfuss M, Mituś JW, Jakubowicz J, Blecharz P, Wysocki WM, et al. Malignant phyllodes tumor of the breast: Treatment and prognosis. Breast J. 2014; 20(6):639-644. doi: 10.1111/tbj.12333. Importar lista
8. Van Osdol AD, Landercasper J, Andersen JJ, Ellis RL, Gensch EM, Johnson JM, et al. Determining whether excision of all fibro-epithelial lesions of the breast is needed to exclude phyllodes tumor: Upgrade rate of fibro-epithelial lesions of the breast to phyllodes tumor. JAMA Surg. 2014;149(10):1081-1085. doi: 10.1001/jamasurg.2014.73.
9.Trabelsi A, Abdelkrim S, Hammedi F, Sahraoui W, Abdelkader B, Badreddine S, et al. Synchronous bilateral benign phyllodes tumor of the breast in a 32-year-old Woman. World J Oncol, 2010;1(1):45-4
10. Mrad K, Driss M, Maalej M, Ben Romdhane K. Bilateral cystosarcoma phyllodes of the breast: A case report of malignant form with contralateral benign form. Ann Diag Pathol. 2000;4(6):370-372. Importar lista
11. Liuzzi J, Fernández A, Velásquez Y, Rincón N. Cistosarcoma phyllodes bilateral un raro caso. Rev Venez Oncol. 2010;22(3):187-193. Importar lista
12. Castillo R, Muñoz V, Saldivia F, Prince J, Mora EV, Reigosa A, et al. Tumor filodes asociado a carcinoma. Reporte de dos casos y revisión de la bibliografía. Rev Venez Oncol 2016;28(3):174-180.
13. Gradishar W, Anderson B, Balassanian R, Blair S, Burstein H, Cyr A, et al. Breast cancer Version 2. 2015. J Natl Compr Canc Netw. 2015;13(4):448-475. Importar lista
Thind A, Patel B, Thind K, Isherwood J, Phillips B, Dhaliwal K, et al. Surgical margins for borderline and malignant phyllodes tumours. Ann R Coll Surg Engl. 2020;102(3):10:165-173.
15. Hasdemir S, Tolunay Ş, Özşen M, Gökgöz MŞ. Phyllodes tumor of the breast: A clinic pathological evaluation of 55 cases. Eur J Breast Health. 2019;16(1):32-38.
Notas de autor
noeliac@hotmail.com