LIPOSARCOMA MIXOIDE PRIMARIO DE PULMÓN DE BAJO GRADO DE MALIGNIDAD UNA EXCEPCIONAL NEOPLASIA MESENQUIMATOSA
LIPOSARCOMA MIXOIDE PRIMARIO DE PULMÓN DE BAJO GRADO DE MALIGNIDAD UNA EXCEPCIONAL NEOPLASIA MESENQUIMATOSA
Revista Venezolana de Oncología, vol. 33, núm. 3, pp. 161-169, 2021
Sociedad Venezolana de Oncología

Recepción: 19 Diciembre 2020
Revisado: 18 Marzo 2021
Aprobación: 26 Abril 2021
Resumen: El liposarcoma mixoide es un tipo de neoplasia maligna compuesta por acúmulo de células mesenquimales, no lipogénicas, redondas u ovales, uniformes, conjuntamente con un número variable de lipoblastos en el seno de un estroma mixoide con vascularización plexiforme. OBJETIVO: Presentar un tipo de neoplasia maligna mesenquimatosa, que es rara e infrecuente en su localización en el parénquima pulmonar. Su diagnóstico y conducta terapéutica, así como la revisión la literatura actualizada. CASO CLÍNICO: Paciente femenina de 56 años de edad con una lesión en el pulmón derecho. Los estudios de imagen revelaron enfermedad localizada, con un reporte histopatológico que mostró neoplasia compuesta por lipoblastos atípicos, en un estroma mixoide. Con base en estos hallazgos se realizó el diagnóstico de liposarcoma mixoide primario de pulmón de bajo grado de malignidad. DISCUSIÓN: Los liposarcomas mixoides son infrecuentes, su mayor incidencia se registra en la edad adulta. Se clasifican en dos tipos: bajo grado, en el cual el porcentaje de células redondas es menor del 5 % y alto grado, en el cual se aprecia un porcentaje de células redondas mayor del 5 %. Su diagnóstico está fundamentado en la anatomía patológica. El tratamiento se basa en la exéresis tumoral quirúrgica. CONCLUSIÓN: Los liposarcomas son infrecuentes, y sobre todo los de origen pulmonar con diagnóstico fundamental basado en la anatomía patológica y tratamiento quirúrgico con o sin terapia adyuvante.
Palabras clave: Cáncer, liposarcoma, mixoide, neoplasia maligna, bajo grado.
Abstract: The mixoid liposarcoma is a type of malignant neoplasm composed of an accumulation of uniform, non lipogenic, round or oval mesenchymal cells, together with a variable number of lipoblasts within a mixoid stroma with plexiform vascularization. OBJECTIVE: Our objective is presenting a type of this mesenchymal malignancy, which is rare and infrequent in this location in the lung parenchyma. The diagnosis and the therapeutic behavior, as well as the updated literature review. CLINICAL CASE: 56 year old female patient with an injury to the right lung. The imaging studies revealed localized disease, with a histopathological report showing neoplasm composed of atypical lipoblasts, in a mixoid stroma. Based on these findings, the diagnosis of low grade primary mixoid liposarcoma of the lung was made for us. DISCUSION: The mixoid liposarcomas are infrequent; their highest incidence is recorded in adulthood. They are classified into two types: The low grade, in which the percentage of round cells is less than 5 %, and the high grade, in which a percentage of round cells greater than 5 % are observed. The diagnosis is based on the pathological anatomy. The treatment is based on the surgical tumor excision. CONCLUSION: The mixoid liposarcomas are infrequent, and especially in the pulmonary origin, with a fundamental diagnosis based on the pathological anatomy and the surgical treatment with or without use of adjuvant therapy.
Keywords: Cancer, liposarcoma, mixoid, malignant neoplasm, low grade.
INTRODUCCIÓN
El tumor torácico puede dividirse en: de la pared, mediastínicos y del parénquima pulmonar, el término es tumores del parénquima pulmonar genérico porque incluye neoplasias primarias malignas y benignas (1).
Los tumores llamados genéricamente sarcomas, (palabra "sarcoma" quiere decir "del aspecto de la carne" describiendo la consistencia de estos tumores).
Los sarcomas son las neoplasias malignas mesenquimatosas de partes blandas relativamente raras e infrecuentes, se estima que solo cada año se diagnostican aproximadamente 5 000 casos, lo que representa un 1 % de todas las neoplasias de los tumores sólidos diagnosticadas en los adultos (1).
El liposarcoma es un tumor maligno de origen mesodérmico derivado del tejido adiposo, representa una de las variantes más comunes o frecuentes del heterogéneo grupo de tumores llamados "sarcomas" o "sarcomas de partes blandas” (1,2).
Esto tumores del tejido adiposo constituyen uno de los grupos más numerosos de neoplasias de los tejidos blandos, en donde los liposarcomas, en particular, son tumores derivados de células primitivas de origen mesodérmico capaces de diferenciarse hacia tejido adiposo, se describe entonces un tipo de tumor cuyo aspecto general, y microscópico es el de un acúmulo de células de grasa, con características malignas variables, supone una incidencia del 9,8 % al 18 % del total de los sarcomas de partes blandas, siendo la segunda variante histológica en frecuencia de estos tumores (1,3).
Los liposarcomas se clasifican en: bien diferenciado, mixoide, de células redondas, pleomórficos y desdiferenciado, siendo el tipo mixoide la variante histológica más comúnmente reportada (3).
Constituyen entre el 30 % - 35 % de la patología neoplásica de todos los liposarcomas. Son neoplasias casi exclusivas de los pacientes adultos, cuya tasa de incidencia se sitúa entre los 40 y los 60 años, con una ligera prevalencia de predominio en el sexo masculino (2,3).
El liposarcoma mixoide según la Organización Mundial de la Salud (OMS), esta lo define como un tipo de neoplasia maligna compuesta por acúmulo de células mesenquimales, no lipogénicas, redondas u ovales, uniformes, conjuntamente con un número variable de lipoblastos en el seno de un estroma mixoide con vascularización plexiforme. Asimismo, admite en la actualidad una clasificación basada en cuatro tipos: 1. Bien diferenciado (o lipoma atípico. 2. Mixoide/células redondas. 3. Pleomórfico y 4. Desdiferenciado (4).
Este tipo de tumoración de 1/3-1/2 del total de los liposarcomas, estos muestran una translocación cromosómica específica y recíproca, que se presente en más del 90 % de los casos, t (12;16), (q13; p1), que ocasiona la fusión del gen CHOP y FUS (4,5).
Suelen ser lesiones que se extienden localmente hasta en el 33 %, independientemente del grado tumoral, en los propios tejidos blandos (extremidad contralateral, axila, retroperitoneo) y hueso. Son lesiones, que se localización en lo profundo del muslo, los glúteos y la región poplítea de adultos jóvenes, solo el 5 % de los casos tienen localización subcutánea.
Es rara su diseminación a distancia, debido a lo poco vascularizado. No obstante, en ocasiones se presentan focos tumorales de modo sincrónico o metacrónico varios, lo cual puede ser secundario a una anormalidad de diseminación metastásica (6).
Es un tumor maligno compuesto por células mesenquimales uniformes, redondas u ovales, no lipogénicas, junto con un número variable de lipoblastos atípicos en el seno de un abundante estroma mixoide, donde resalta una marcada vascularización capilar plexiforme. Por lo que macroscópicamente aparecen bien circunscritos, multinodulares e intramusculares con aspecto gelatinoso y coloración blanco-rojiza, donde a veces, coexisten áreas amarillentas compuestas por adipocitos maduros o bien áreas con aspecto de carne de pescado, correspondientes a focos hipercelulares y de células redondas (3).
Cuando se hace diagnóstico de liposarcoma suele ser debido a la evidencia contundente de la síntesis y almacenamiento de grasa en las células tumorales, con morfologías diversas; sin embargo, todos ellos muestran diferentes tipos de lipoblastos, los cuales son células grasas inmaduras caracterizadas por un núcleo hipercromático indentado debido a la presencia de vacuolas de grasa en el citoplasma (7).
Los liposarcoma mixoide son lesiones prácticamente únicas en su capacidad para producir metástasis en los propios tejidos blandos (extremidad contralateral, axila, retroperitoneo) y hueso (predilección por vértebras) incluso antes de que aparezcan en el pulmón (8).
La tasa de metástasis oscila alrededor del 20 %-27 % en un intervalo de 2,2 años desde el diagnóstico inicial, con una tasa de supervivencia a 5 años del 91 % por lo que se han distinguido tres grados con diferente evolución clínica: grado I (<5 %); grado II (5 %-25 %) y grado III (>25 %) señalando notables diferencias pronosticas (4,7).
Las lesiones grado I liposarcoma mixoide tienen buen pronóstico con una supervivencia a los 10 años que supera el 70 %, a pesar de la elevada tasa de recidivas locales (50 %). Las lesiones grado II liposarcoma mixtos mixoides y de células redondas, la evolución y el pronóstico son más difícil de predecir, por lo que el 10 % marca el límite entre las metastatizantes y no metastatizantes (9).
Las lesiones grado III liposarcoma de células redondas se consideran sarcomas de alto grado y muestran una marcada capacidad metastatizante. En los liposarcomas mixoides frente al 79 % en los liposarcomas de células redondas. La mortalidad está alrededor del 12 %(7,8,9).
La localización más frecuente del liposarcoma mixoide es el tejido de las partes blandas profundas de las extremidades, con predilección en las del muslo, donde se sitúa más del 50 % del total de casos. Pero también existe un rasgo único limitado a los liposarcomas es su tendencia a aparecer en espacios viscerales, muy especialmente en el retroperitoneo (10).
Además de estas localizaciones antes expuestas, el liposarcoma puede tener otros distintos orígenes como los situados en la región de la cabeza y cuello que constituyen el 5 % del total mientras que los originados en la extremidad superior suponen un 10 %. Otras localizaciones poco habituales incluyen el cordón espermático, la cavidad peritoneal, la axila, la vulva e incluso la mama.
La manifestación clínica principal de esta variante es la presencia de una masa palpable e indolora localizada en la profundidad de tejidos blandos profundos, por lo que representa un reto diagnóstico, debido al gran número de neoplasias que presentan un aspecto morfológico semejante(10,11).
Los datos que deben hacer sospechar la presencia de este tipo de tumoración como ocurre con toda evaluación diagnóstica de cualquier otra lesión, el examen físico exhaustivo es crucial, y debe prestarse especial atención al tórax, abdomen y pelvis además de la extremidad afectada.
Asimismo, se debe proceder al estudio de la tumoración mediante técnicas de imagen como una radiografía convencional, que permitirá elucidar si existe o no afectación ósea. Seguidamente, se procede a realizar estudios de resonancia magnética, con y sin contraste. Los liposarcomas mixoides muestran hallazgos propios y distintivos en la resonancia que permiten sugerir el diagnóstico antes incluso de la realización de una biopsia; de nuevo la especificidad de estos hallazgos depende en gran medida del grado de similitud entre la neoplasia y la grasa normal (es decir, de cuán bien diferenciada sea) (12).
Como el pulmón puede ser el más frecuente de metástasis, de forma obligada y rutinaria se realizan una radiografía convencional y una tomografía computada (TC) de la región torácica. Asimismo, se recomienda la realización adicional de una tomografía computada de abdomen debido a la relativamente frecuente afectación del retroperitoneo y de los espacios viscerales (13).
Deben realizarse, además, estudios de laboratorio que incluyan hemograma, velocidad de sedimentación y bioquímica elemental. Estos test suministran conocimientos sobre la respuesta sistémica inducida por la neoplasia y al tiempo proveen de una base para la ulterior monitorización de la terapia.
La realización de una biopsia es crucial, al igual que lo es el procedimiento utilizado para la obtención de la misma, que debe permitir un diagnóstico definitivo. El estudio histopatológico da las primeras claves sobre su comportamiento. El tejido requerido puede obtenerse bien mediante aspiración con aguja gruesa o tru-cut, como se hizo en nuestro caso.
Si bien es cierto que la gran mayoría de los liposarcomas se originan "de novó", los de localización pulmonar primaria constituyen una excepción, es por esto que el propósito de la investigación es reportar el caso de una paciente femenina de 56 años de edad con liposarcoma mixoide de bajo grado de malignidad en el pulmón derecho, confirmando su diagnóstico mediante biopsia con aguja gruesa o tru-cut dirigía por tomografía computada de tórax.
CASO CLÍNICO
Paciente femenina de 56 años de edad, raza mestiza, de profesión docente, sin antecedentes patológicos de importancia que es remitida a la consulta de cirugía de tórax por presentar desde hace tres meses tos persiste sin secreción que no responde al tratamiento, acompañada de dolor torácico tipo pleural, posteriormente presenta cuadro de disnea ante los esfuerzos, que se fue incrementando hasta aparecer incluso en los pequeños esfuerzos y que se acompaña de dolor torácico tipo opresivo.
Al examen físico lo positivo en la exploración del aparato respiratorio encontramos murmullo vesicular disminuido en el en el tercio inferior del hemitórax derecho. El resto del examen físico fue dentro de lo normal.
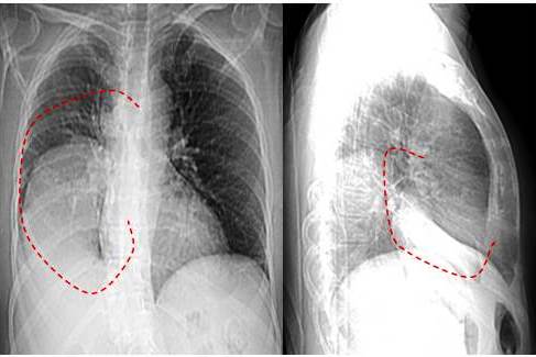
Los exámenes complementarios realizados mostraron los siguientes resultados: hemoglobina: 12 g/L, velocidad de sedimentación globular: 22 mm/h, LDH: 201 mmol/L. Los estudios de imágenes: en la radiografía de tórax se observa imagen redondeada densa homogénea que ocupa 2/3 del hemitórax derecho, con desplazamiento del mediastino hacia el lado opuesto con rechazo y compresión de las estructuras cardiomediastinales y del pulmón (atelectasia) (Figuras 1 A y B).

Se solicita esperimotría la cual reporta los siguientes valores: capacidad vital forzada (CVF) 70 % volumen espiratorio forzado en el 1° seg 69 % (FEV1), relación CVF y FEV1 75 % por lo que se interpreta un patrón espirométrico mixto debido a que se detectó obstrucción + restricción.
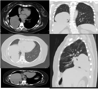
La tomografía computarizada de tórax reporta lesión de tejido blando ovalada de contorno parcialmente definidos con contacto pleural, la cual mide 9,8 cm x 8,5 cm, con engrosamiento intersticial difuso bilateral con bandas atelectásicas en el lóbulo inferior. Lesión nodular de 1 cm ubicada en el lóbulo medio (Figura 2). La tomografía de abdomen no reveló ni lesión ocupante de espacio ni enfermedad metastásica.

Con todos estos datos y debido a que la lesión tumoral intra-torácica hacía contacto íntimo con la pared pleural se decidió practicar biopsia con aguja trucut dirigida por tomografía computarizada obteniéndose cuatro (4) fragmentos en forma de cilindro, en informe del estudio histológico confirmó el diagnóstico: liposarcoma mixoide de bajo grado de malignidad.
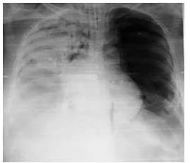
En vista de estos resultados y por el incremento de la sintomatología de disnea a pequeños esfuerzo, tos persistente, taquicardia, y la aparición de disfagia, se solicita control radiológico previo al ingreso en donde se evidencia en la radiografía tele de tórax posteroanterior atelectasia pulmonar total del pulmón derecho producto de la compresión por la gran lesión tumoral, así como del material mixoide (gelatinoso) que produce este tipo de pulmón el cual posiblemente este inundando al trato bronquial principal derecho (Figura 3).

La paciente es intervenida quirúrgicamente mediante toracotomía posterolateral derecha, a la apertura de la cavidad torácica se encuentra una tumoración gigante de color marrón blanquecino amarillento, de aspecto lipomatoso, con un peso de 250 gr, que mide aproximadamente 20 cm x 15 cm de diámetro, se logra resecar en su totalidad (bilobectomía) Figura 4.

Descripción macroscópica: pulmón derecho constituido por formación tisular correspondiente a lóbulo pulmonar el cual mide 16 cm x 14 cm x 6 cm, escindido en sentido longitudinal marrón grisáceo, se evidencia formación tumoral multinodular que mide 7 cm x 4 cm x 2 cm, amarrillo grisáceo, de aspecto lobulado, amarillenta, con áreas de aspecto gelatinoso, hemorrágico y cavidades quísticas correspondiente a luces bronquiales ocupadas por material denso verdoso, resto blandos.
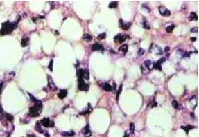
Estudio histopatológico e inmunohistoquimico de pulmón derecho: secciones de biopsias de neoplasia de aspecto mesenquimal, constituida en áreas por células fusiformes, con escaso citoplasma con núcleos periféricos con ligero pleomorfismo e hipercromatismo, identados, con citoplasma con vacuolas de aspecto lipomatoso, células estrelladas escasa mitosis atípica inmersos en matriz mixoide. Con escasos lipoblastos en “anillo de sello”. Las luces bronquiales se evidencian dilatadas quísticamente ocupadas por material de aspecto proteináceo. El resto de pulmón no tumoral muestras extensas áreas de atelectasia. Desde el punto de vista inmunohistoquimico las células neoplásicas resultaron positivas para vimentina (3+), S-100 (2+) negativas.
Estudio histopatológico e inmunohistoquimico de pulmón derecho: secciones de biopsias de neoplasia de aspecto mesenquimal, constituida en áreas por células fusiformes, con escaso citoplasma con núcleos periféricos con ligero pleomorfismo e hipercromatismo, identados, con citoplasma con vacuolas de aspecto lipomatoso, célula estrellada escasa mitosis atípica inmersos en matriz mixoide. Con escasos lipoblastos en “anillo de sello”. Las luces bronquiales se evidencian dilatadas quísticamente ocupadas por material de aspecto proteináceo. El resto de pulmón no tumoral muestras extensas áreas de atelectasia. Desde el punto de vista inmunohistoquimico las células neoplásicas resultaron positivas para vimentina (3+), S-100 (2+) negativas para CD-34. Hallazgos histopatológicos e inmunohistoquimicos compatibles con el diagnóstico de liposarcoma mixoide primario de pulmón de bajo grado de malignidad (Figura 5).

La paciente ha tenido una evolución satisfactoria, desde la esfera respiratoria asintomática niega dificultad para respirar, tos, dolor torácico.
DISCUSIÓN
Los tumores del tejido adiposo son uno de los grupos de neoplasias de tejidos de partes blandas más numerosos. Los más frecuentes son los lipomas sus variantes de características benignas, compuestos por adipocitos maduros (1).
Sin embargo, existen otros tipos de neoplasias malignas, como los sarcomas que son tumores relativamente raros. Se calcula que cada año se diagnostican aproximadamente 5 000 casos nuevos, lo que representa un 1 % de todas las neoplasias diagnosticadas de novo en el mismo período (3,4).
El término "liposarcoma" hace alusión a un grupo neoplasias cuyos factores etiológicos y epidemiológicos son poco conocidos, aunque se han relacionado con factores genéticos, ambientales y físico-químicos, que abarcan desde lesiones de comportamiento esencialmente benigno a otros de franca malignidad, o de mayor agresiva, susceptibles de recidivar y/o de metastatizar a distancia (5).
No constituyen ni suelen ser lipomas degenerados, sino que aparecen de como alteración "novo”, por lo general están bien definidos, aunque por tener una gran cantidad de estroma este no suele verse la grasa tan claramente como en los lipomas. Se visualizan como una lesión mal delimitada de los tejidos circundantes, el liposarcoma mixoide es un tipo de tumoración que tiene su origen en el tejido mesodérmico derivado del tejido adiposo, y representa aproximadamente el 40 %-50 % de todos los liposarcomas, es una neoplasia propia de pacientes adultos, cuya incidencia se sitúa entre los 40 y los 60 años, y muestra una ligera prevalencia por el sexo masculino , es raro que se sitúe en el parénquima pulmonar como tumor primario como se aprecia en la pieza quirúrgica extraída en nuestra paciente (2,3,4,5).
Los liposarcomas mixoides se pueden diferenciar en dos tipos de liposarcoma: bajo grado, en el cual el porcentaje de células redondas es menor del 5 %, y alto grado, en el cual se aprecia un porcentaje de células redondas mayor del 5 %. Este se denomina también sarcoma de células redondas y tiene peor pronóstico. Nuestro caso se reportó por estudio de anatomía patológica un liposarcoma mixoide de bajo grado de malignidad (6).
La clínica es variable dependiendo de la localización anatómica y del tamaño tumoral, siendo a veces poco llamativa, por lo que el diagnóstico se retrasa.
Los liposarcomas mixoides, aunque son infrecuentes, constituyen el 20 % del grupo de mayor incidencia entre los sarcomas, su mayor incidencia se registra en la edad adulta (50-70 años) en los pacientes (8).
Es por esto que la localización del liposarcoma mixoide en pulmón como origen primario es excepcional y cuando se presentan deben diferenciarse de otros sarcomas mixoides, de liposarcomas desdiferenciados con componente mixoide, y metástasis (13).
Los liposarcomas mixoides suelen ser considerados de bajo grado de malignidad, pero últimamente se ha hecho una revisión de los criterios morfológicos de estas neoplasias, siendo la hipercelularidad un criterio de mal pronóstico y agresividad, con mayor propensión a las recurrencias y metástasis. La transición entre estos tumores no está clara y se debería a anomalías cromosómicas secundarias, siendo el grado histológico en relación a la hipercelularidad el factor (14).
El pronóstico del liposarcoma mixoide está íntimamente relacionado con la extensión de las áreas de células redondas; se ha prestado especial atención a su estratificación y se ha recomendado muestrear extensamente las lesiones (un bloque por cada cm de diámetro máximo).
El grado de malignidad depende del componente predominante, pues las áreas de material gelatinoso resultan de bajo grado, mientras que las de células redondas son de alto grado. Cuando estas últimas son iguales o mayores del 5 %, existen áreas de necrosis y expresión del tp53, lo que se considera de alto grado, con peor pronóstico(5,6).
Debido a que dichos pacientes no se sienten "enfermos" en la fase inicial del desarrollo de su neoplasia, esto suele demorar el diagnóstico y por consiguiente el tratamiento.
Macroscópicamente se visualizan como una masa mal delimitada con gran cantidad de estroma, sin apreciarse consistencia, morfología y coloración propias de un lipoma normal, la clave está en la presencia de lipoblastos (células mesenquimales poco desarrolladas que pueden confundirse con los macrófagos), más maduros tienen menor tamaño que los adipocitos y se disponen formando nódulos tumorales en la periferia y en torno a los vasos, aunque no siempre están presentes, asimismo, están compuestos por formaciones nodulares con pocas células, gran vascularización plexiforme y matriz mixoide (14).
Los estudios de inmunohistoquímica tienen escaso valor; solo la proteína S 100 puede ser útil para el diagnóstico de las formas indeterminadas como la variedad de células redondas.
Lo que diferencia dos tipos de liposarcoma mixoide: bajo grado, en el cual el porcentaje de células redondas es menor del 5 %, y alto grado, en el cual se aprecia un porcentaje de células redondas mayor del 5 %. Este se denomina también sarcoma de células redondas (6).
Son lesiones neoplásicas cuya extensión es local hasta en el 33 % de los casos, independientemente del grado tumoral. Es rara e infrecuente su diseminación a distancia, esto se puede deber a su pobre vascularización, por lo que la tasa de metástasis oscila alrededor del 20 %-27 % desde el diagnóstico inicial, con una tasa de supervivencia a 5 años del 91 % y una tasa de mortalidad que oscila en torno al 12 % (15,16).
El liposarcoma es, como otros sarcomas de partes blandas, una neoplasia de tratamiento esencialmente quirúrgico. El objetivo principal de la cirugía es extirpar completamente el tumor y prevenir recaídas. Esto se consigue con mayor probabilidad realizando una resección de tipo amplio o radical (17).
El liposarcoma mixoide de bajo grado es un tumor infrecuente hace alusión a un grupo neoplasias cuyos factores etiológicos y epidemiológicos son poco conocidos, aunque se han relacionado con factores genéticos, ambientales y físico-químicos, que abarcan desde lesiones de comportamiento esencialmente benigno a otros de franca malignidad. Si bien es cierto que la gran mayoría de los liposarcomas se originan "de novó", los de localización pulmonar primaria constituyen una excepción o una rareza.
REFERENCIAS
1. Rosemberg AE. El sistema esquelético y los tumores de los tejidos blandos. En: Patología estructural y funcional de Robbins. 5. edición. Madrid: Mc Graw-Hill Interamericana; 2005.
2. Leffall L. Sarcoma de tejidos blandos. En: Sabiston DC. Tratado de patología quirúrgica. 14ª edición. México: McGraw-Hill, Interamericana; 1995.p.553-559.
3. Segura Sánchez J, Pareja Megía MJ, García Escudero A, Vargas de los Monteros MT, González-Cámpora R. Liposarcomas. Aspectos clínico-patológicos y moleculares. Rev Esp Patol. 2006;39(3):135-148.
4. Fleticher CDM, Unni KK, Mertens F. Adipocytic tumors. En: World Health Organizaton Classificaton of tumors. Pathology and genetics of tumors of soft tissue and bone. Lyon: IARC Press; 2002.p.19-46.
5. Calleja Subirán M, Hernández Gutiérrez FJ, López Elzaurdia C, Revestido García R. Subtipos histológicos de liposarcoma: presentación de cuatro casos. An Med Interna (Madrid). 2007;24(4):179-184.
6. Ruescas FJ, Bertelli JL, Alberca AM, Gil F, García A, Villasant EP, et al. Liposarcoma mixoide: una rara neoplasia mesenquimatosa. Rev Argent. Cirug. 2016;108(2):1-10.
7. Caro-Sánchez CHS, Flores-Balcázar CH, Mejía-Pérez A, López-Navarro O, Robles-Vidal CD, Rosales-Pérez S, et al. Liposarcoma mixoide y de células redondas con metástasis mamaria bilateral: reporte de caso y revisión de la literatura. Rev Mex Mastol. 2014;4 (2):52-57.
8. Martínez RJ, Marrón Fernández MC, Hernández Voth A, Martínez Serna I, Peñalver C,Meneses JC, et al. Liposarcoma mixoide gigante de mediastino. Rev Patol Respir [Internet]. 2013 [citado 23 Mar 2014];16(1). Disponible en: URL: http://revistadepatologiarespiratoria.org/descargas/pr_16-1_21-23.pdf.
9. Rodríguez Morales JR, García Gómez M, Ferrer Pérez A. Liposarcoma mixoide de células redondas. A propósito de un paciente. Mediocentro Electrónica [Internet]. 2015; 19(3): 182-185. Disponible en: URL: http://scielo.sld.cu/scielo.php?script=sci_arttext&pid=S1029-30432015000300011
10. Bonvalot S, Missenard G, Rosset P, Terrier P, Le Péchoux C, Le Cesne A. Principios del tratamiento quirúrgico de los sarcomas de los tejidos blandos de los miembros y del tronco del adulto. EMC-Aparato Locomotor. 2014;47(3):1-12.
11. Rengifo P, Carrasco C, Cáceres J. Liposarcoma mixoide retroperitoneal gigante: A propósito de un caso. Rev Méd Herediana. 2014;25(2):1-2.
12. Arenal F, Johnston J, Lang P. Resonancia Magnética (RM) de los tumores muscoloesqueléticos. Estado actual y últimos avances. Radiología. 2001;42(1):1-11.
13. Minniti A, Montaudon M, Jougon J, Hourneau M, Begueret H, Laurent F, et al. Liposarcoma of the pleural cavity. An exceptional tumour. Monaldi Arch Chest Dis. 2005;63(3):170-172.
14. Martínez Peñalver I. Sarcomas de partes blandas. Tendencias actuales. Rev. cub. oncol. 2001;17(1):7-10.
15. Takanami I, Imamura T. Dedifferentiated liposarcoma of the pleura: Report of a case. Surg Today. 2005;35(4):313-316.
16. Ibe T, Otani Y, Shimizu K, Nakano T, Sano T, Morishita Y. Pulmonary pleomorphic liposarcoma. Jpn J Thorac Cardiovasc Surg. 2005;53(8):443-447.
17. Arai H, Nakayama H, Ito H, Fujita A, Ikehara M, Tanaka G, et al. Liposarcoma of the pleural cavity: Report of a case. Kyobu Geka. 2003;56(7):593-596.
Notas de autor
jcaraujoc_65@hotmail.com.