ADENOCARCINOMA CLOACOGÉNICO PRIMARIO DE VULVA
ADENOCARCINOMA CLOACOGÉNICO PRIMARIO DE VULVA
Revista Venezolana de Oncología, vol. 33, núm. 3, pp. 170-175, 2021
Sociedad Venezolana de Oncología

Recepción: 25 Abril 2020
Revisado: 22 Agosto 2020
Aprobación: 16 Enero 2021
Resumen: El carcinoma cloacogénico es un tumor poco frecuente con solo unos pocos casos de afectación vulvar. OBJETIVO: Presentar caso de adenocarcinoma cloacogénico primario de vulva. CASO CLÍNICO: Paciente femenina nulípara 67 años de edad quien consultó por presentar tumor en región vulvar de 6 meses de evolución. Se observó ligero aumento de volumen de región vulvar y vaginal anterior con tumoración única, móvil, nodular, rojiza en zona interna del labio menor derecho, entre el meato uretral y el clítoris, de aproximadamente 2 centímetros de diámetro y sin evidencia de linfadenopatías inguinales o regionales. Se realizó biopsia de la lesión, en la que se obtuvo tumor bilobulado sin cápsula aparente. La evaluación histológica demostró que la lesión tenía aspecto villoglandular con apariencia predominantemente basaloide. Las células neoplásicas mostraron coloración positiva e intensa a citoqueratina 20, y leve a citoqueratina 7, CDX-2, antígeno carcinoembrionario y p53. Estos hallazgos llevaron a la conclusión diagnostica de carcinoma cloacogénico primario de vulva. No se encontraron otras lesiones primarias en la evaluación clínica. La paciente fue sometida a vulvectomía parcial y disección bilateral de ganglios linfáticos regionales. CONCLUSIÓN: El adenocarcinoma cloacogénico es una neoplasia maligna rara generalmente limitado a pelvis. La etiología más probable es que surgen de restos de diferenciación cloacal. Puede presentarse como tumor con escasa sintomatología si está limitado a la pelvis. Existen variantes agresivas con compromiso metastásico extenso que incluyen compromiso cardíaco, pulmonar y hepático. La cirugía es la principal modalidad terapéutica.
Palabras clave: Adenocarcinoma cloacogénico, vulva, neoplasia vulvar, adenocarcinoma.
Abstract: Cloacogenic carcinoma is a rare tumor with only a few cases of vulvar involvement. OBJECTIVE: A case of primary cloacogenic adenocarcinoma of the vulva is presented. CLINICAL CASE: 67 year old nulliparous female patient who consulted for presenting a tumor in vulvar region of 6 months of evolution. A slight increase in the volume of vulvar and anterior vaginal region was observed with a single, mobile, nodular, reddish mass in the inner area of tright minor lip, between urethral meatus and the clitoris, approximately 2 centimeters in diameter and with no evidence of lymphadenopathy. inguinal or regional. Biopsy of the lesion was performed, in which a bilobed tumor without an apparent capsule was obtained. Histological evaluation showed that lesion had a villoglandular appearance with a predominantly basaloid appearance. Neoplastic cells showed positive staining for cytokeratin 20, cytokeratin 7, CDX-2, carcinoembryonic antigen and p53. These findings led to the diagnostic conclusion of primary cloacogenic carcinoma of the vulva. No other primary lesions were found in the clinical evaluation. The patient underwent partial vulvectomy and bilateral regional lymph node dissection. CONCLUSION: Cloacogenic adenocarcinoma is a rare malignancy generally limited to the pelvis. The most likely etiology is that they arise from remnants of cloacal differentiation. It can present as a tumor with little symptomatology if it is limited to the pelvis. There are aggressive variants with extensive metastatic involvement that include cardiac, pulmonary, and hepatic involvement. Surgery is the main therapeutic modality.
Keywords: Cloacogenic adenocarcinoma, vulva, vulvar neoplasm, adenocarcinoma.
INTRODUCCIÓN
El cáncer primario de vulva es una neoplasia rara, ya que representa aproximadamente 3 % - 5 % de las neoplasias malignas del tracto genital femenino inferior y el tipo adenocarcinoma comprende 95 % de estos casos. La mayoría surge de las glándulas de Bartolino (1,2). El adenocarcinoma cloacogénico primario es una de las neoplasias malignas de vulva más rara y su origen sigue siendo motivo de controversia, debido algunos informes han propuesto que pueden surgir de restos embrionarios o tejido cloacogénico ectópico (1). Estas estructuras cloacales presentes en el vestíbulo vulvar pueden sufrir transformación maligna a un adenocarcinoma similar al del tipo colónico (2). Se presenta un caso de adenocarcinoma cloacogénico primario de vulva.
CASO CLÍNICO
Se trata de paciente femenina nulípara de 67 años de edad quien consultó por presentar tumoración en región vulvar que había aumentado de tamaño en los últimos 6 meses, acompañada de secreción purulenta ocasional, prurito leve y aumento de volumen desde hacía aproximadamente 6 semanas. Negaba sangrado genital, dolor abdominopélvico y/o disuria. Refería menopausia desde hacía 14 años, negaba uso de hormonoterapia y negaba otros antecedentes personales o familiares de importancia.
Al examen físico se observó ligero aumento de volumen de la región vulvar y vaginal anterior con presencia de tumoración única, móvil, nodular, rojiza en la zona interna del labio menor derecho, entre el meato uretral y el clítoris, de aproximadamente 2 cm de diámetro y sin evidencia de linfadenopatías inguinales o regionales. No se observaron otras lesiones en vulva ni lesiones en cuello uterino, vagina, región anal o perianal. El útero estaba intra-pélvico y los anexos no eran palpables. La evaluación mediante examen rectal no reveló anormalidades. El resto del examen físico estaba dentro de límites normales.
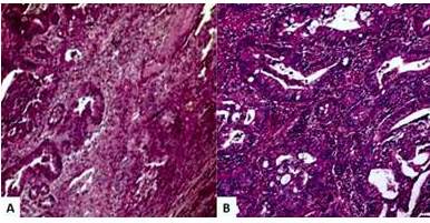
En vista de los hallazgos clínicos se realizó biopsia de la lesión, en la que se obtuvo tumor bilobulado sin cápsula aparente. La evaluación histológica demostró que la lesión tenía aspecto villoglandular con apariencia predominantemente basaloide. Las células del epitelio columnar presentaban mucina intracitoplasmática con núcleos hipercromáticos y ovoides junto a una cantidad variable de células caliciformes intercaladas presentes dentro del epitelio escamoso suprayacente (Figura 1).

El tejido neoplásico estaba en continuidad con la epidermis superficial y no se detectaron células de Paneth. La profundidad de invasión de 5 mm sin invasión linfovascular. La mucina intracitoplasmática demostró tinción positiva al azul de Alcian. En la coloración inmunohistoquímica, las células neoplásicas mostraron coloración positiva e intensa a citoqueratina 20 y positiva local a citoqueratina 7 (Figura 2), CDX-2, antígeno carcinoembrionario y p53, siendo negativas a p16, vimentina, WT-1, receptores de estrógeno y progesterona. Las células glandulares normales no mostraron coloración positiva a citoqueratina 7. La inmunotinción con proteína S-100 reveló algunas células neurogénicas. La tinción Ki-67 en las células proliferativas mostró alta proporción de células positivas. Estos hallazgos llevaron a la conclusión diagnóstica de carcinoma cloacogénico primario de vulva.

Las concentraciones séricas de los marcadores tumorales (CA-125, CA19-9 y antígeno carcinoembrionario), al igual que los valores de hematología, enzimas hepáticas, funcionalismo renal, perfil de coagulación, electrolitos y examen de orina estaban dentro de límites normales. La radiografía de tórax, tomografía computarizada abdominopélvica, mamografía, colonoscopia¸ proctoscopia, cistoscopia y ecografía abdominopélvica también fueron normales y no revelaron evidencia de enfermedad gastrointestinal, afección ganglionar o diseminación metastásica local, regional y a distancia, por lo que fue programada para cirugía.
La paciente fue sometida a vulvectomía parcial con resección amplia del tejido cicatricial de la zona vestibular anterior con márgenes quirúrgicos amplios de al menos 1 cm de ancho, realizándose extirpación completa de la zona con posterior disección de los ganglios linfáticos inguinales superficiales bilaterales. La histología final no reveló evidencia de lesión residual, los márgenes tanto laterales como profundos estaban libres de lesión y los ganglios linfáticos no mostraron alteraciones.
La paciente fue tratada con ácido folínico, fluorouracilo y clorhidrato de irinotecán por tres ciclos con buena respuesta. Ha permanecido sin evidencia de recurrencia y libre de enfermedad durante 24 meses después de la cirugía.
DISCUSIÓN
La mayoría de los adenocarcinomas vulvares son metastásicos o se originan con mayor frecuencia de las glándulas de Bartolino y, más raras veces, en glándulas sebáceas, para-uretrales y vestibulares menores. Solo existen pocos casos reportados de adenocarcinoma proveniente de restos embrionarios, (conducto mesonéfrico de Gartner), tejido ectópico (tejido mamario aberrante), sitios de endometriosis y restos cloacales que posteriormente sufren transformación maligna (3). Los sitios más comunes de restos cloacales en la vulva son los quistes mucinosos laterales al clítoris, que algunos investigadores han considerado como tejido ectópico (4).
El adenocarcinoma cloacogénico primario de vulva es una neoplasia maligna rara generalmente limitada a la pelvis (1). Es común en mujeres menopáusicas, pero existen informes de casos en premenopáusicas (5). La franja de edad de los casos reportados es de 35 a 67 años. El origen celular de estos tumores no está claro, pero aparentemente surgen de remanentes celulares de la membrana cloacal (3,6,7,8). La porción vestibular de la vulva deriva del tejido cloacal que originan tanto el colon sigmoideo como el recto desde el intestino posterior embrionario (8,9). Este tejido puede conservar la capacidad de transformación maligna con diferenciación a un adenocarcinoma similar al primario de colon, por lo que las características histopatológicas e inmunohistoquímicas son fundamentales para el diagnóstico diferencial(2,3). La posibilidad de metástasis debe descartarse por estudios clínicos y exploración por tomografía con emisión de positrones.
El seno urogenital del embrión consta de tres áreas. La porción superior genera la vejiga urinaria, la porción media forma parte de la uretra y la porción inferior se expande para formar el seno urogenital definitivo. Entre la cuarta y sexta semana de gestación, el tabique uro-rectal divide la cloaca en el seno urogenital primitivo en su porción ventral y el canal anal dorsalmente. Luego la membrana se separa y crea un seno urogenital permeable que entra en contacto con la membrana anal y forma el periné. El orificio anal surge a partir de células mesenquimatosas que rodean la membrana anal, y posteriormente, el canal anal se vuelve patente. Alrededor de la séptima semana cuando la membrana anal sufre separación que forma un pliegue irregular de mucosa que forma la línea pectínea en adultos (10).
El seno urogenital definitivo es cerrado por la membrana urogenital y pasa a formar el surco uretral recubierto de endodermo, y más tarde en el vestíbulo. Posteriormente, dos prominencias adyacentes a la membrana urogenital forman los pliegues cloacales (pliegues urogenitales) y labio-escrotales, que luego constituyen los labios menores y mayores, respectivamente. En vista de lo anterior, estos restos cloacales podrían persistir tanto en el vestíbulo como en los labios menores, lo que daría origen al adenocarcinoma cloacogénico vulvar. Por otra parte, estos restos pueden persistir en posición proximal a la línea pectínea donde puede provocar la aparición del adenocarcinoma de células de transición (11).
Finalmente, el vestíbulo vulvar forma un embudo de origen endodérmico y poco profundo en las mujeres, intercalado entre la vulva (de origen ectodérmico) y la vagina propiamente dicha. El tejido derivado del seno urogenital parece ser más sensible y reacciona de forma diferente a otras superficies epiteliales vecinas, porque presenta hiperplasia local específica y mayor cantidad de terminaciones de haces nerviosos periféricos (12). Con base en estos argumentos, es necesario considerar que la porción vestibular de la vulva, al derivar del tejido cloacogénico, es un componente normal del área y no un tejido aberrante(3,4).
En la mayoría de los casos reportados el tumor aparece como una lesión única y solitaria en continuidad directa con la superficie cutánea, de 1 cm a 2 cm de diámetro y produce solo sintomatología local si está limitado a pelvis. Puede aparecer cerca del meato uretral externo, labios mayores, vulva posterior y frenillo de los labios menores. Lesiones similares también pueden encontrarse con menor frecuencia en vagina (más comúnmente en la porción posterior inferior) o cuello uterino (13). Existen variantes agresivas que pueden producir metástasis cardíacas, pulmonares y hepáticas (6,7).
El adenocarcinoma cloacogénico de vulva, aunque no es de origen entérico, posee características similares: imagen morfológica con características de glándulas colónicas, patrón de histoquímica de mucina similar al adenocarcinoma entérico, analogías microscópicas al epitelio del colon, inmunohistopatología para estructuras carcinomatosas (Cam 5.2 y CK 17 positivas; proteína S-100 negativa), presencia de células endocrinas y positividad de antígeno carcinoembrionario. Estos hallazgos, sugieren que el posible origen es el epitelio de una etapa de diferenciación temprana del tejido embrionario. Sin embargo, desde el punto de vista inmunohistoquímico las células neoplásicas de la neoplasia vulvar presentan fuerte inmunotinción para citoqueratina 20 y expresión débil de citoqueratina 7 (5,14).
El principal diagnóstico diferencial del tumor cloacogénico de vulva es el adenocarcinoma metastásico. La posibilidad de enfermedad metastásica debe ser descartada por ausencia de lesiones primarias en el tracto gastrointestinal, mama y pulmones. Además, la diseminación metastásica a ganglios linfáticos pélvicos e inguinales es muy rara en los casos de adenocarcinoma colónico primario. El adenocarcinoma de las glándulas de Bartolino es profundamente infiltrativo y generalmente existen componentes in situ benignos en el tejido adyacentes al tumor (4). El adenocarcinoma de las glándulas sudoríparas carece del patrón villoglandular típico y no contienen material de Schiff (15). Los adenocarcinomas derivados del tejido mamario ectópico, glándulas sebáceas y del endometrio también pueden ser descartados por las características histopatológicas e inmunohistoquímicas propias de cada lesión.
La cirugía es la principal modalidad terapéutica. La propuesta quirúrgica inicial para la mayoría de los casos era vulvectomía radical y resección de ganglios linfáticos locales bilaterales(3,4). No obstante, debido a que la enfermedad metastásica es rara, la resección local con extirpación de ganglios linfáticos locales bilaterales parece ser una opción curativa más adecuada, pero existen informes de recurrencia del tumor que llevó a resección local más amplia (6,8).
El adenocarcinoma cloacogénico de vulva tiene un comportamiento clínico bueno después de la cirugía (8,9). No obstante, el pronóstico parece ser peor cuando existen metástasis a ganglios linfáticos inguinales o pélvicos al momento de la cirugía definitiva, sin importar la técnica quirúrgica utilizada. La supervivencia a cinco años es cercana al 50 %. En ausencia de compromiso ganglionar, la extensión de la invasión local y el tamaño de la neoplasia no parecen afectar directamente el pronóstico (9).
El adenocarcinoma cloacogénico primario de vulva es raro. Cualquier lesión de apariencia clínica maligna en vulva, vagina y periné debe ser sometida a revisión anatomopatológica para confirmar el diagnóstico. Son necesarios estudios histopatológicos e inmunohistoquímicos precisos para realizar el diagnóstico temprano y preciso para permitir un manejo terapéutico adecuado y menos radical. La resección local amplia es suficiente para evitar la diseminación, mejorar el pronóstico y disminuir la posibilidad de recurrencia.
REFERENCIAS
1. Tepeoğlu M, Üner H, Haberal AN, Özen Ö, Kuşçu E. Cloacogenic adenocarcinoma of the vulva: A case report and review of the literature. Turk Patoloji Derg. 2018;34(3):255-258.
2. Qi BQ, Beasley SW, Williams AK, Frizelle F. Does the urorectal septum fuse with the cloacal membrane? J Urol. 2000;164(6):2070-2072.
3. Tiltman AJ, Knutzen VK. Primary adenocarcinoma of the vulva originating in misplaced cloacal tissue. Obstet Gynecol. 1978;51( Suppl 1):S30-33.
4. Kennedy JC, Majmudar B. Primary adenocarcinoma of the vulva, possibly cloacogenic. A report of two cases. J Reprod Med. 1993;38(2):113-116.
5. Mudhar HS, Smith JH, Tidy J. Primary vaginal adenocarcinoma of intestinal type arising from an adenoma: Case report and review of the literature. Int J Gynecol Pathol. 2001;20(2):204-209.
6. Liu SH, Ho CM, Huang SH, Shih BY, Lee FK. Cloacogenic adenocarcinoma of the vulva presenting as recurrent Bartholin's gland infection. J Formos Med Assoc. 2003;102(1):49-51.
7. Dubé V, Veilleux C, Plante M, Têtu B. Primary villoglandular adenocarcinoma of cloacogenic origin of the vulva. Hum Pathol. 2004;35(3):377-379.
8. Willén R, Békássy, Carlén B, Bozoky B, Cajander S. Cloacogenic adenocarcinoma of the vulva. Gynecol Oncol. 1999;74(2):298-301.
9. Zaidi SN, Conner MG. Primary vulvar adenocarcinoma of cloacogenic origin. South Med J. 2001;94(7):744-746.
10. Kruepunga N, Hikspoors JPJM, Mekonen HK, Mommen GMC, Meemon K, Weerachatyanukul W, et al. The development of the cloaca in the human embryo. J Anat. 2018;233(6):724-739.
11. Gurumurthy RY, Shankar NS, Mohan Raj CS, Sriram N. HPV related cloacogenic carcinoma of the anal canal with divergent histomorphology. Indian J Pathol Microbiol. 2019;62(3):464-466.
12. Bornstein J, Goldschmid N, Sabo E. Hyperinnervation and mast cell activation may be used as histopathologic diagnostic criteria for vulvar vestibulitis. Gynecol Obstet Invest. 2004;58(3):171-178.
13. Staats PN, McCluggage WG, Clement PB, Young RH. Primary intestinal-type glandular lesions of the vagina: Clinical, pathologic, and immunohistochemically features of 14 cases ranging from benign polyp to adenoma to adenocarcinoma. Am J Surg Pathol. 2014;38(5):593-603.
14. Matsuzaki A, Saio M, Kosuge N, Aoyama H, Tamaki T, Matsumoto H, et al. Primary villoglandular mucinous adenocarcinoma of the vulva. Case Rep Pathol. 2017;2017:1765460.
15. He SR, Deng WH, Yang L, Yang K, Cui D, Liu DG. Cloacogenic adenocarcinoma of the vulva: One new case and literature review. Eur J Gynaecol Oncol. 2017;38(2):296-302.
Notas de autor
ippenbauch@gmail.com