RADIOTERAPIA EN EL MANEJO DE LOS SARCOMAS DE PARTES BLANDAS DEL ADULTO.
RADIOTERAPIA EN EL MANEJO DE LOS SARCOMAS DE PARTES BLANDAS DEL ADULTO.
Revista Venezolana de Oncología, vol. 33, núm. 4, pp. 191-205, 2021
Sociedad Venezolana de Oncología

Recepción: 18 Mayo 2021
Revisado: 31 Julio 2021
Aprobación: 12 Agosto 2021
Resumen: OBJETIVO: Analizar resultados obtenidos en pacientes con diagnóstico de sarcomas de partes blandas que recibieron Radioterapia externa en sus distintas modalidades (neoadyuvante, adyuvante y radical). MÉTODO: Revisión retrospectiva de 111 pacientes sometidos a tratamiento con radioterapia externa en el período 2000-2015. Se dividieron en 3 grupos: sarcomas de cabeza y cuello (25), sarcomas de tronco y extremidades (60) sarcomas retroperitoneales (26). La cirugía se llevó a cabo en casi todos los pacientes (105). La técnica más empleada fue la planificación conformada 3D, dosis promedio recibida fue igual en los grupos de cabeza y cuello y tronco y extremidades (6 400 cGy), y menor en el grupo de los tumores retroperitoneales (4 750 cGy). El tratamiento sistémico sólo fue administrado en 16 pacientes. RESULTADOS:La supervivencia global a los 5 años en el grupo de sarcomas de cabeza y cuello fue 59,8 % y la libre de enfermedad a los 5 años 44,9 %. En las lesiones de tronco y extremidades la global a 5 años fue 77,4 % y la libre de enfermedad a 5 años 75,20 % en los sarcomas retroperitoneales la global 5 años fue 75,5 % y la libre de enfermedad 51 % a los 5 años. Las complicaciones agudas y crónicas según la clasificación por grados del Grupo de Radioterapia Oncológica fueron poco frecuentes, usualmente de bajo grado. CONCLUSIÓN: Los resultados obtenidos son similares a los reportados en la literatura internacional en centros especializados en sarcomas.
Palabras clave: Radioterapia, cirugía, quimioterapia, sarcomas, extremidades, tronco, cabeza y cuello, retroperitoneo.
Abstract: OBJECTIVE: To analyze the results achieved in patients with soft tissue sarcomas who received external beam radiotherapy in their different modalities, (neoadjuvant, adjuvant and definitive) METHOD: Retrospective review of 111 patients treated with in the period 2000-2015. They were divided in 3 groups: The head and neck sarcomas: 25 patients, the trunk and the extremities sarcomas: 60 and the retroperitoneal sarcomas 26. The vast majority of patients (105 of 111) underwent surgery. The most commonly used radiation technique was conformal 3D radiotherapy, the mean dose received was the same in the head and neck and trunk and extremities groups (6 400 cGy), decreasing in the case of the retroperitoneum (4 750 cGy). Systemic treatment was only administered in 16 patients. Acute and chronic complications according to the Radiation Therapy Oncology Group classification were few, and usually of low grade. RESULTS: The 5 year overall survival in the group of head and neck sarcomas was 59.8 % and the disease-free survival at 5 years 44.9 %, in the trunk and extremities lesions an overall survive and free survival at 5 years was 77.4 % and 75.20 % respectively, and in the retroperitoneal sarcomas 75.5 % and disease free survival 51 % at 5 years . Acute and chronic complications according to the Radiation Therapy Oncology Group classification were few, and usually of low-grade CONCLUSION: The results obtained are similar to those reported in the international literature of centers specialized in sarcomas.
Keywords: Radiotherapy, surgery, chemotherapy, sarcomas, extremities, trunk, head, retroperitoneum.
INTRODUCCIÓN
Los sarcomas de partes blandas son neoplasias malignas de los tejidos blandos mesenquimales de sostén, incluyendo los tejidos del sistema nervioso periférico. Son poco frecuentes y constituyen menos del 1 % de todos los tumores malignos del adulto (1,2).
En EE.UU actualmente se diagnostican más de 12 000 nuevos casos al año, mientras que en Venezuela las cifras epidemiológicas más recientes para enfermedades malignas del tejido conjuntivo y otros tejidos blandos fueron reportadas en el año 2011, señalando una incidencia de 340 casos, con una mortalidad de 152 pacientes para ambos géneros (2,3). En cuanto a la edad, presentan dos picos de incidencia uno en la infancia y otro en la quinta década de la vida, pudiendo aparecer en cualquier sitio anatómico, ubicándose la mayoría en extremidades superiores e inferiores, tronco, retroperitoneo y cabeza y cuello (4).
La etiología se desconoce, a la minoría de los casos se les atribuyen factores genéticos y ambientales como exposición a químicos, radiación, inmunosupresión, linfedema y virus. Algunos síndromes se asocian al desarrollo de sarcomas como el de Li-Fraumeni, Werner y la Neurofibromatosis tipo 1 que se relaciona directamente con tumores de la vaina de los nervios periféricos (5).
La clasificación histológica según la OMS se realiza de acuerdo al tejido presuntivo de origen, los tipos más comunes son: liposarcoma, sarcoma sinovial, leiomiosarcoma, rabdomiosarcoma, fibrosarcoma, angiosarcoma y en algunos casos la histogénesis es incierta y se designan de acuerdo al patrón arquitectónico como el sarcoma alveolar, epiteloide y de células claras (5).
Hoy en día debido a la gran diversidad histológica, se realizan estudios moleculares para identificar translocaciones cromosómicas específicas y detectar las proteínas resultantes de la fusión de esos genes, los cuales son de ayuda para el diagnóstico, pronóstico y comprensión del desarrollo de este tipo de tumor. Además, podrían ser en el futuro una potencial vía para el uso de terapias dirigidas como parte del esquema de tratamiento de esta compleja enfermedad ( 5,6).
La presentación clínica consiste en la aparición de una masa en un tejido blando que va creciendo de forma progresiva, generalmente no dolorosa, ocasionando síntomas como parestesias y edema. La lesión crece a lo largo de los planos tisulares, rara vez de forma transversal y tiende a formar una pseudo-cápsula; son agresivos localmente y pueden diseminarse por vía hematógena, siendo el pulmón el primer sitio de metástasis(6,7).
El tratamiento dependerá de la localización del tumor, el tamaño y la histología, factores que engloba el estadiaje, teniendo en cuenta que el objetivo principal es la sobrevida evitando la recurrencia local y limitaciones funcionales con una mínima morbilidad. La cirugía con resección en bloque con márgenes negativos es la modalidad fundamental en el tratamiento curativo en estos pacientes. El papel principal de la radioterapia es como tratamiento complementario a la cirugía, ya sea como modalidad neoadyuvante o adyuvante. Existe controversia en la actualidad sobre el régimen de radioterapia óptimo en combinación con la cirugía; la mayoría de los casos han sido tratados con radioterapia pos operatoria, sin embargo, en los últimos años se ha observado un mayor empleo de los regímenes de radioterapia preoperatoria como se analizará más adelante. En los casos inoperables o en aquellos que no se acepte la cirugía radical (desarticulación) se emplea la radioterapia radical como tratamiento locorregional definitivo. La quimioterapia también tiene valor en los tumores de alto grado y en algunas histologías como el rabdomiosarcoma(8, 9).
El objetivo del presente trabajo es reportar nuestra experiencia de 15 años en el tratamiento con radioterapia externa de los sarcomas de partes blandas, analizando las diferentes modalidades del tratamiento radiante (neoadyuvante, adyuvante, radical y de rescate).
MÉTODO
Se realizó una revisión de las historias clínicas de pacientes con diagnóstico de sarcomas de partes blandas que recibieron radioterapia externa en el Servicio de Radioterapia Dr. Enrique Gutiérrez en Centro Médico Docente La Trinidad y en la Unidad de Radioterapia Oncológica en Instituto Médico La Floresta, en el período comprendido entre el mes de enero del año 2000 hasta diciembre del 2015.
Los datos obtenidos de las 161 historias clínicas revisadas fueron registrados en una hoja de cálculo en Microsoft Office Excel. Se excluyeron 50 pacientes del estudio en vista de haber sido menores a 18 años, tener diagnóstico de sarcomas viscerales, testiculares, o por ser osteosarcomas, pacientes que recibieron tratamiento con braquiterapia, pacientes con enfermedad metastásica y pacientes con tratamiento no culminado.
Se presenta una estadística descriptiva de la población en estudio, evaluando las diferentes modalidades de tratamiento (cirugía, quimioterapia y radioterapia), describiendo las técnicas de radioterapia, dosis y toxicidades. En los pacientes que no asistieron a la consulta de control del servicio de radioterapia, se obtuvo el seguimiento vía telefónica o contactando al médico referente.
Se dividieron los pacientes según la localización de la lesión en tres grupos (cabeza y cuello; retroperitoneo; tronco y extremidades). Se realizó un análisis de los aspectos clínicos, tasas de sobrevida global (SG), sobrevida libre de enfermedad (SLE), y toxicidades agudas y crónicas.
RESULTADOS
La población en estudio está representada por 111 pacientes, la mayoría (105) fueron tratados con cirugía y radioterapia posoperatoria, sólo 3 recibieron radioterapia preoperatoria y luego fueron sometidos a cirugía (1 recibió quimioterapia de inducción), y los 3 restantes se trataron con radioterapia radical (2 con quimioterapia concurrente y otro recibió quimioterapia de inducción).
En cuanto a la clasificación por sexo, 58 pacientes pertenecieron al sexo femenino (52,2 %) y 53 al masculino (47,8 %). Con respecto a la distribución por edad predominaron los pacientes en la quinta década de la vida, con una mediana de 51 años y un promedio de 50,1 años.
Según los reportes de anatomía patológica, fueron más frecuentes los liposarcomas 31,5 % seguido de los leiomiosarcomas y sarcomas inespecíficos 9 % (Cuadro 1).

Para la clasificación por estadios se utilizó la 8a edición del sistema de la AJCC 2017 que toma en cuenta la localización tumoral, grado histológico, tamaño tumoral y compromiso ganglionar (10), observando que los estadios más frecuentes en el grupo de sarcomas de extremidades fueron los IIIA (26,6 %) seguidos de los estadios II (23,3 %) y en el caso de los sarcomas retroperitoneales predominaron los estadios IIIB (34,6 %), seguido de los IB (30,7 %). Los sarcomas de cabeza y cuello no tienen estadiaje en este nuevo sistema, solo se usa el TNM, en 13 pacientes con histologías de angiosarcoma, dermatofibrosarcoma y condrosarcoma y rabdomiosarcoma de la órbita tampoco aplican para este estadiaje de resto la mayoría fueron T3N0M0 (6 de 25 pacientes).
En el grupo de los pacientes que fueron sometidos a cirugía, en la mayoría de los casos (89,52 %) el tratamiento quirúrgico se realizó en una oportunidad, en más de la mitad (58,5 %) se obtuvieron márgenes negativos, por otra parte 8 pacientes ameritaron ser re-intervenidos logrando márgenes negativos en 5 de ellos y 3 pacientes fueron nuevamente intervenidos en más de tres oportunidades para lograr márgenes negativos.
La técnica de radioterapia externa más empleada fue la de planificación conformada tridimensional (53,15 %), seguida de la técnica convencional 2D (21,62 %), intensidad modulada IMRT/VMAT (11,71 %) y en la minoría de los casos se usaron esquemas híbridos (3D con IMRT), o con electrones en combinación con las técnicas antes mencionadas. En relación a la dosis, el grupo de radioterapia posoperatoria recibió un promedio de 6 000 cGy, mientras que en los de radioterapia preoperatoria la dosis promedio fue de 5 000 cGy.
El 78,37 % de la población no recibió ningún tipo de tratamiento sistémico, solo 14,41 % recibió quimioterapia y de estos 7,2 % lo recibieron de forma adyuvante secuencial a la radioterapia, la mayoría recibieron esquemas a base de antraciclinas e ifosfamida
Las complicaciones agudas y crónicas que presentaron los pacientes durante y posterior al tratamiento radiante se analizarán según sea la localización de la lesión, en cada grupo por separado, debido a estar directamente relacionadas con el área irradiada, utilizando el sistema de clasificación por grados de Radiotherapy Oncology Group (RTOG).
Se pudo observar para el momento del análisis que 77 pacientes (69,3 %) se encuentran vivos sin enfermedad, por otra parte 14 pacientes (12,6 %) se encuentran vivos con enfermedad. Todos los pacientes restantes fallecieron con enfermedad, excepto 1 paciente del grupo de sarcomas de tronco y extremidades que murió debido a otra causa no relacionada a su patología oncológica.
Debido a la heterogeneidad en el comportamiento de los sarcomas, tomando en cuenta el actual sistema de estadiaje de la AJCC 2017 (10) se dividieron los pacientes en tres grupos según su localización anatómica del tumor (cabeza y cuello; tronco y extremidades y retroperitoneo) para el análisis de resultados (Cuadro 2).



*Esofag: esofagitis, MM: membranas mucosas, HM: hematológicas, GII: gastrointestinal inferior, GIS: gastrointestinal superior, GU: genitourinario.
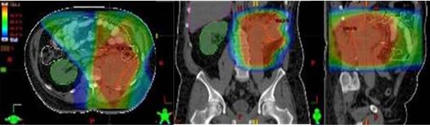
Al grupo de pacientes con diagnóstico de sarcomas de cabeza y cuello pertenecieron 25 individuos, predominando aquellos en la cuarta década de la vida. No hubo diferencia importante en cuanto al sexo. La histología más frecuente fueron los angiosarcomas seguidos de los dermatofibrosarcoma, los cuales no se incluyen en la clasificación de la AJCC 2017; los 6 pacientes restantes (24 %) se catalogaron como T3N0M0 y T2N0M0. Solo 4 pacientes no fueron sometidos a cirugía, de aquellos sometidos a cirugía (21), 6 ameritaron más de 2 cirugías antes de la radioterapia. En más de la mitad (11) se obtuvieron márgenes quirúrgicos negativos. Solo 5 recibieron tratamiento sistémico en sus distintas modalidades y la radioterapia se realizó de forma posoperatoria en la gran mayoría (21 pacientes). La técnica de planificación más empleada fue la conformada tridimensional, seguido de la convencional (2D) y luego la combinación de las anteriores con uso de electrones. La dosis total promedio administrada fue 6 400cGy (Cuadro 2 y Figura 1).

Las complicaciones agudas más resaltantes en este grupo fueron la dermatitis grado II (52 %), seguido de la mucositis grado II (24 %) y mucositis grado I (20 %) (Cuadro 3)
En cuanto a las toxicidades crónicas, la fibrosis en piel grado I y II fue reportada sólo en 9 pacientes (Cuadro 3).
Al momento del estudio el 64 % de los pacientes se encontraban vivos sin enfermedad, sólo 5 pacientes murieron a causa de la enfermedad, el resto (4 pacientes) continúan vivos con enfermedad (Cuadro 4).

El tiempo promedio de seguimiento fue de 32,4 meses y la mediana 15 meses. La supervivencia libre de enfermedad fue de 44,9 %. La supervivencia global se reportó en 59,8 % (Figura 2).

En relación al grupo de sarcomas de tronco y extremidades (60 pacientes), la edad promedio fue de 48,5 años, no hubo diferencia significativa en cuanto al sexo, fueron más frecuentes los liposarcomas (33,3 %) seguidos de los sarcomas pleomórficos (9,6 %), leiomiosarcomas y los sarcomas sinoviales (8,3 %). Según el estadio de la enfermedad, predominaron los estadios IIIA (26,6 %) y los II (23,3 %). En sólo 2 pacientes no se practicó cirugía y de los 58 restantes el 93,3 % fueron intervenidos quirúrgicamente una oportunidad, los otros 2 ameritaron más de 2 cirugías antes de la radioterapia. En el 68,3 % de las intervenciones se obtuvieron márgenes quirúrgicos negativos, en el 15 % márgenes negativos y 6,6 % tuvieron márgenes estrechos, en el resto de los casos estos no se especificaron. Sólo 8 pacientes recibieron tratamiento sistémico en sus distintas modalidades. La radioterapia se realizó de forma posoperatoria en casi todos los pacientes (57). La técnica de planificación más utilizada fue la conformada tridimensional (66,7 %) seguido de la convencional (21,7 %) y la dosis total promedio fue de 6 400 cGy (Cuadro 2 y Figura 3).

Las toxicidades más frecuentes durante el tratamiento radiante fueron la dermatitis grado II (53,3%) y dermatitis grado I (36,6%) (Cuadro 3). En cuanto a las toxicidades crónicas un paciente presentó neumonitis grado I, otra trombosis venosa profunda en el miembro inferior irradiado y 1 paciente desarrolló osteomielitis de fémur derecho, sin embargo, éstos dos últimos fallecieron por enfermedad a distancia, logrando en ellos control local de la enfermedad.
La mayoría de los pacientes (76,6 %) se encuentran vivos sin enfermedad, un paciente falleció sin enfermedad y sólo 11 pacientes (18,3 %) murieron por enfermedad (Cuadro 5).
Las toxicidades más frecuentes durante el tratamiento radiante fueron la dermatitis grado II (53,3%) y dermatitis grado I (36,6%) (Cuadro 3). En cuanto a las toxicidades crónicas un paciente presentó neumonitis grado I, otra trombosis venosa profunda en el miembro inferior irradiado y 1 paciente desarrolló osteomielitis de fémur derecho, sin embargo, éstos dos últimos fallecieron por enfermedad a distancia, logrando en ellos control local de la enfermedad.
La mayoría de los pacientes (76,6 %) se encuentran vivos sin enfermedad, un paciente falleció sin enfermedad y sólo 11 pacientes (18,3 %) murieron por enfermedad (Cuadro 5).
El tiempo promedio de seguimiento fue de 54,2 meses y la mediana fue de 30,4 meses.
La supervivencia libre de enfermedad fue de 75,20 % y la supervivencia global se reportó en 77,4 % ( 2).


El grupo de sarcomas en retroperitoneo estuvo conformado por 26 pacientes, en promedio se encontraban finalizando la quinta década de la vida, no hubo diferencia significativa en cuanto al sexo, fueron más frecuentes los liposarcomas (53,8 %) seguidos de los leiomiosarcomas (19,5 %) y sarcomas inespecíficos (11,5 %). Según el estadio de la enfermedad, predominaron los IIIB (34,6 %) seguidos de los IB (30,7 %). Todos los pacientes fueron llevados a mesa operatoria, en la mayoría de los casos se realizó cirugía en una sola oportunidad (88,4 %) y sólo 3 pacientes ameritaron más de 2 cirugías. En el 53,8 % los márgenes quirúrgicos fueron reportados positivos, en el 38,4 % se obtuvieron márgenes negativos y en 2 casos no se especificaron. Sólo 3 pacientes recibieron tratamiento sistémico en sus distintas modalidades. En todos los pacientes la radioterapia se realizó como modalidad posoperatoria, en la mitad de los casos se utilizó la técnica de planificación conformada tridimensional (66,7 %) seguido de la convencional (19,2 %), la dosis total promedio fue de 4 750 cGy (Cuadro 2 y Figura 5).

Las complicaciones agudas más frecuentes fueron la dermatitis grado I y síntomas gastrointestinales inferiores grado I en un 26,9 % de los casos (Cuadro 3). En cuanto a las crónicas un paciente presentó toxicidad gastrointestinal inferior grado II y otro desarrolló toxicidad gastrointestinal superior grado II.
El 57,6 % de los pacientes se encuentran vivos sin enfermedad, 4 se mantienen vivos con enfermedad, mientras que sólo 7 fallecieron a causa de su patología (Cuadro 6). Cabe acotar que el promedio de dosis de los pacientes sin enfermedad fue 5 400 cGy mientras que el promedio de los vivos y fallecidos con enfermedad fue de 5 000 cGy independientemente de los márgenes quirúrgicos. El tiempo promedio de seguimiento fue de 44,4 meses y la mediana 32,2 meses.
La sobrevida libre de enfermedad fue de 51 % y la sobrevida global se reportó en 75,5 % (3).


VSE: vivo sin enfermedad. VCE: vivo con enfernedad MCE murió con enf
DISCUSIÓN
La cirugía es el tratamiento curativo en pacientes con diagnóstico de sarcomas de tejidos blandos con enfermedad localizada, ya sea radical o tipo resección amplia conservadora en combinación con radioterapia pre o posoperatoria. La modalidad de elección es el tratamiento combinado, en vista de que se logran los mismos resultados de control local con mejor calidad de vida para los pacientes independientemente de la localización de la lesión(11,12,13,14,15).
El mayor número de series publicadas a lo largo del tiempo sobre esta patología evalúan a los sarcomas de tronco y extremidades reportando que a partir de la década de los 80 existe una clara tendencia a ir abandonando los procedimientos quirúrgicos mutilantes porque con el uso de la radioterapia adyuvante se obtienen cifras similares de control local.
Los sarcomas retroperitoneales son un grupo especial de tumores debido a su mayor complejidad en el abordaje quirúrgico por lo que tienden a tener un pronóstico más desfavorable, sumado a que por estar rodeado de asas intestinales el límite de tolerancia de dicha estructura compromete la dosis total de radioterapia (1). Los sarcomas de cabeza y cuello también representan un reto quirúrgico puesto que los espacios reducidos de la región disminuyen la probabilidad de obtener márgenes quirúrgicos negativos lo que conlleva a la reducción de las tasas de control local.
El comité americano unido sobre el cáncer (AJCC) a partir del 2017 hace énfasis en la importancia de clasificar esta patología según el sitio anatómico del tumor primario debido a tener implicaciones sobre las tasas de recurrencia y desarrollo de enfermedad metastásica diferentes, actualizando sus modelos de predicción para obtener mayor precisión sobre las probables recaídas, basándose en data epidemiológica especialmente en los sarcomas de extremidades y retroperitoneales, sin embargo, para los de cabeza y cuello la bibliografía es más escasa por lo que este aspecto será el punto de partida para futuras investigaciones desglosando cada una de esas localizaciones como entidades distintas (10), razón por la cual a continuación se discutirá cada una de estos grupos por separado.
La radioterapia en sarcomas de extremidades se puede realizar tanto de forma pre o
posoperatoria porque ambos esquemas tienen sus potenciales ventajas. El régimen preoperatorio puede disminuir el tamaño de la lesión para luego poder lograr márgenes quirúrgicos adecuados mientras el esquema posoperatorio permite un estadio patológico más preciso y además está asociado con menos complicaciones en la herida quirúrgica. Ambas modalidades presentan las mismas cifras de control local mayores al 70 %, esto ha sido reportado en varias series retrospectivas (16,17,18).
El único estudio fase III que comparó la radioterapia pre vs., posoperatoria fue el ensayo canadiense (estudio SR2) que asignó de forma aleatoria 171 pacientes con sarcomas de extremidades con enfermedad en debut mientras que 18 pacientes eran recurrencias. El 83 % tenían tumores de intermedio y alto grado. El grupo radioterapia pre operatoria recibió 50 Gy y luego una dosis de refuerzo posterior a la cirugía de 16 a 20 Gy en aquellos que tuvieron márgenes positivos. El otro grupo posoperatorio recibió 66 Gy-70 Gy. La mediana de seguimiento fue de 6,9 años, los del grupo preoperatorio tuvieron mayores complicaciones 35 % vs. 17 % relacionadas con problemas de la cicatrización en la herida quirúrgica. El control local, supervivencia libre de enfermedad a distancia y supervivencia global fue similar. En el grupo posoperatorio las complicaciones tardías fueron mayores 86 % vs. 68 % sobre todo la fibrosis grado III, induración, contractura de la piel y en menor cantidad las grado IV (necrosis). Acotando además que las heridas quirúrgicas en los miembros superiores cicatrizaron con más facilidad que los de las extremidades inferiores (19).
La radioterapia como tratamiento único definitivo para los pacientes inoperables presenta buenas cifras de control local mayores al 90 % para tumores de pequeño volumen, 15 cm3 a 65 cm3 o de 3 cm a 5cm de diámetro, requiriendo altas dosis (>75 Gy), sin embargo, los efectos secundarios tardíos en la piel tienden a ser clínicamente marcados en casi todos los pacientes (20).
En la presente serie de 60 pacientes con sarcomas de tronco y extremidades predominó la modalidad posoperatoria casi en su totalidad (95 % de los casos), todos fueron referidos posterior a la intervención quirúrgica sin haber evaluado la posibilidad de considerar tratamiento radiante preoperatorio. La dosis promedio recibida en estos pacientes fue de 6 400 cGy, obteniendo buenas cifras de control local con resultados funcionales y cosméticos aceptables, bajas tasa de toxicidades agudas y crónicas, siendo esto equivalente a los datos reportados en la literatura internacional.
En los sarcomas retroperitoneales, una de las series más importantes que ha reportado beneficios sobre el uso de la radioterapia fue el estudio multicéntrico publicado en 2016 por Nussbaun y col., este comparó la radioterapia pre y posoperatoria y no se encontró diferencia significativa en cuanto a los resultados de supervivencia y control local; pero al compararlos con otro grupo que sólo había sido sometido a cirugía, se observó beneficio en las tasas de supervivencia global y control local a favor del grupo que recibió radioterapia en cualquiera de sus modalidades con cifras de control local mayor al 50 % a los 5 años, confirmando el principio de que la mayoría de los pacientes con tumores resecables ameritan tratamientos combinados (21).
Históricamente, ha predominado el uso de radioterapia posoperatoria, no obstante, en los centros especializados en sarcomas recientemente el régimen preoperatorio ha sido elegido con mayor frecuencia en vista de que permite al radioterapeuta definir con mayor precisión el área de tratamiento y evitar irradiar tejido sano innecesariamente, ofreciendo potenciales beneficios en la obtención de márgenes quirúrgicos adecuados (22,23).
En los sarcomas retroperitoneales el beneficio en la supervivencia global de los pacientes que reciben radioterapia tiende a ser mayor que en el grupo de los sarcomas de tronco y extremidades, en vista de que la mayoría de ellos fallece por enfermedad local y no a distancia. Además, los pacientes con tumores del alto grado alcanzan mejores tasas de control local al ser tratados con radioterapia adyuvante (21).
En la presente serie todos los pacientes pertenecientes al grupo de sarcomas retroperitoneales recibieron radioterapia posoperatoria, en más de la mitad se habían reportado márgenes quirúrgicos positivos, y el 26 % (7/26) tenían tumores de alto grado histológico. Adicionalmente, presentaron mayores dificultades para recibir una dosis efectiva siendo la dosis promedio administrada 4 750 cGy, en general las toxicidades fueron aceptables predominando las del área gastrointestinal. A pesar de todos los factores de mal pronóstico de los sarcomas en esta región los pacientes presentaron buenas cifras de control local y supervivencia global comparables con la bibliografía internacional.
El último grupo objeto de estudio constituido por los sarcomas de cabeza y cuello poseen literatura escasa debido a su poca frecuencia, razón por la cual se extrapolan los resultados obtenidos en estudios de sarcomas de tronco y extremidades. Apareciendo otros tipos histológicos de comportamiento muy variado con predilección por este sitio anatómico como los angiosarcomas, rabdomiosarcomas, dermatofibrosarcoma protuberans.
Mendenhall y col., en 2005 reportaron mejoría en los resultados de control local en pacientes con tumores de alto grado y/o márgenes quirúrgicos positivos que recibieron radioterapia adyuvante. Además, en un subgrupo de pacientes utilizaron radioterapia como tratamiento único en tumores irresecables reportando cifras de control local entre el 60 %-70 % a los 5 años (24), datos que son comparables con esta serie, tomando en cuenta la heterogeneidad de los sarcomas de esta localización los cuales en su mayoría fueron no clasificables en el estadiaje actual, con la ventaja de poder recibir dosis altas de radioterapia con técnicas de planificación de intensidad modulada que mejoraron el control local sin toxicidades significativas.
En nuestro país se publicó en 2013 una serie de 181 pacientes con diagnóstico de sarcoma del adulto incluyendo todas sus localizaciones por Pérez MA, y col., de los cuales sólo 39 pacientes recibieron radioterapia adyuvante en distintas regiones, reportando que ésta no afectó la supervivencia global. Sin embargo, 153 pacientes recibieron quimioterapia adyuvante representando entonces una población heterogénea, haciendo la acotación que en los sarcomas localizados en retroperitoneo si se modificó la supervivencia y las cifras de supervivencia libre de enfermedad fueron estadísticamente significativas de los pacientes que recibieron cirugía más radioterapia vs., cirugía como tratamiento único. Además, de los 101 pacientes en seguimiento, 54 pacientes tuvieron recaídas a nivel local que puede relacionarse a que pocos pacientes recibieron radioterapia (25). Godoy A y col. (26,27) en 2002 y 2003 realizaron un revisión análisis retrospectiva de 120 pacientes con sarcomas de extremidades donde en 101 pacientes se resecaron con márgenes quirúrgicos libres, sin embargo, de ese grupo 36 se amputaron lo que representa un número considerable, el otro grupo se reseca con márgenes positivos (18) y en otro se desconoce es estatus de los márgenes, solamente 62 pacientes recibieron radioterapia 3 preoperatoria y 59 posoperatoria con o sin quimioterapia, con cifras de supervivencia libre de enfermedad de 53 % con una media de 43 meses de seguimiento. Lamentablemente no separaron los pacientes de radioterapia en esas cifras para realizar una comparación. Al año siguiente vuelven a publicar la serie actualizando las cifras con mayor seguimiento ascendiendo la media a 80 meses pero disminuyendo los pacientes a 38. Cabe destacar que 35/38 pacientes se resecaron con márgenes quirúrgicos negativos y en sólo 3 los márgenes estaban comprometidos, excluyeron las amputaciones y 15 pacientes recibieron radioterapia obteniendo cifras de supervivencia libre de enfermedad de 61 % pudiendo inferir los beneficios del tratamiento combinado que recibieron algunos pacientes. Concluyendo que el estatus de los márgenes quirúrgicos, el tamaño tumoral mayor a 5 cm y la profundidad de penetración influyen directamente en el pronóstico de estos pacientes. Respecto a los sarcomas de cabeza y cuello, entidad con escasa bibliografía, Liuzzi JF y col. (28) reportan su experiencia de 25 años con una muestra importante de 62 pacientes, de los cuales 26 fueron intervenidos quirúrgicamente y recibieron radioterapia posoperatoria, 28 fueron sometidos sólo a cirugía, 6 recibieron radio y quimioterapia y solo 2 recibieron radioterapia como tratamiento único, aunque no se especifican los datos de supervivencia de cada uno de los grupos se reportó que el 50 % de los pacientes al momento del estudio se encontraban vivos sin enfermedad; señalando además que los factores pronósticos más importantes son el tamaño tumoral mayor a 5 cm y la invasión de estructuras óseas y vasculo-nerviosas.
REFERENCIAS
1. Glazer P, Peschel R, Vera A. En: Urdaneta N, Vera A, Peschel RE, Wilson LD, editores. Sarcomas de tejidos blandos. Radioterapia Oncológica Enfoque Multidisciplinario. 2. edición. Caracas: Disinlimed;2000
2. Siegel RL, Miller KD, Jemal A. Cancer statistics, 2019. CA Cancer J Clin. 2019;69:7-34.
3. Capote L, Boletín epidemiológico 2011 estadística de cáncer en Venezuela. División de Oncología Ministerio de Salud y Desarrollo Social.Disponible en: URL www.mpps.gob.ve
4. Russell WO, Cohen J, Enzinger F, Hajdu S, Heise H, Martin RG, Meissner W, et al. A clinical and pathological staging system for soft tissue sarcomas. Cancer. 1977;40:1562-1570.
5. Fletcher CDM, Bridge JA, Hogendoorn PCW, Mertens F. World Health Organization Classification of tumours of soft tissue and bone, 4. edición. Lyon:IARC Press;2013.
6. Abeshouse A, Adebamowo C, Adebamowo SN, Akbani R, Akeredolu T, Ally A, et al. Comprehensive and integrated genomic characterization of adult soft tissue sarcomas. Cell. 2017;171(4):950-965.
7. Lawrence W Jr, Donegan WL, Natarajan N, Mettlin C, Beart R, Winchester D. Adult soft tissue sarcomas. A pattern of care survey of the American College of Surgeons. Ann Surg. 1987;205:349-359.
8. Christie-Large M, James SL, Tiessen L, Davies AM, Grimer RJ. Imaging strategy for detecting lung metastases at presentation in patients with soft tissue sarcomas. Eur J Cancer. 2008; 44:1841-1845.
9. Simon MA, Enneking WF. The management of soft-tissue sarcomas of the extremities. J Bone Joint Surg Am. 1976;58:317-327
10. Amin MB, Edge S, Greene F, Byrd DR, Brookland RK, Washington. MK, et al. AJCC Cancer Staging Manual. 8. edición. Suiza: Springer International Publishing;2017.
11. Tepper JE, Suit HD. Radiation therapy alone for sarcoma of soft. Cancer. 1985;56:475-479.
12. Kepka L, De Laney TF, Suit HD, Goldber S. Results of radiation therapy for unresected soft-tissue sarcomas. Int J Radiat Oncol Biol Phys. 2005;63:852-859..
13. Suit HD, Mankin HJ, Wood WC, Gebhardt MC, Harmon DC, Rosenberg A, et al. Treatment of the patient with stage M0 soft tissue sarcoma. J Clin Oncol. 1988; 6: 854-862.
14. Yang JC, Chang A, Baker A, Sindelar WF, Danforth DN, Topalian SL, et al. Randomized prospective study of the benefit of adjuvant radiation therapy in the treatment of soft tissue sarcomas of the extremity. J Clin Oncol. 1998;16:197-203.
15. Leibel SA. Soft tissue sarcomas: Therapeutic results and rationale for conservative surgery and radiation therapy. Radiation Oncology Manual. New York:Raven Press;1984.
16. Cheng EY, Dusenbery KE, Winters MR, Thompson RC. Soft tissue sarcomas: Preoperative versus postoperative radiotherapy. J Surg Oncol. 1996;61:90-99.
17. Kuklo TR, Temple HT, Owens BD, Juliano J, Islinger RB, Andejeski Y, et al.. Preoperative versus postoperative radiation therapy for soft-tissue sarcomas. Am J Orthop (Belle Mead NJ). 2005; 34:75-80.
18. Zagars GK, Ballo MT, Pisters PW, Pollock RE, Patel SR, Benjamin RS. Preoperative vs. postoperative radiation therapy for soft tissue sarcoma: A retrospective comparative evaluation of disease outcome. Int J Radiat Oncol Biol Phys. 2003;56:482-488..
19. O'Sullivan B, Davis AM, Turcotte R, Bell R, Wunder J, Catton C, et al. Five-year results of a randomized phase III trial of pre-operative vs. post-operative radiotherapy in extremity soft tissue sarcoma. J Clin Oncol. 2004;22(14 Suppl):9007.
20. LeVay J, O'Sullivan B, Catton C, Bell R, Fornasier V, Cummings B, et al. Outcome and prognostic factors in soft tissue sarcoma in the adult. Int J Radiat Oncol Biol Phys. 1993; 27:1091-1099.
21. Nussbaum DP, Rushing CN, Lane WO, Cardona DM, Kirsch DG, Peterson BL, et al. Preoperative or postoperative radiotherapy versus surgery alone for retroperitoneal sarcoma: A case-control, propensity score-matched analysis of a nationwide clinical oncology database. Lancet Oncol. 2016; 17:966-975.
22. Trans-Atlantic RPSWG, Bonvalot S, Gronchi A, Hohenberger P, Litiere S, Pollock R, et al. Management of primary retroperitoneal sarcoma (RPS) in the adult: A consensus approach from theTrans-Atlantic RPS Working Group. Ann Surg Oncol. 2015;22:256-263.
23. Baldini EH, Wang D, Haas RL, Catton CN, Indelicato DJ, Kirsch DG, et al. Treatment guidelines for preoperative radiation therapy for retroperitoneal sarcoma: Preliminary consensus of an international expert panel. Int J Radiat Oncol Biol Phys. 2015;92:602-612.
24. Mendenhall WM, Mendenhall CM, Werning JW, Riggs CE, Mendenhally N.Adult head and neck soft tissue sarcomas. Head Neck. 2005; 27:916-922.
25. Perez MA, Fuentes MB, Oblitas C, Colón G, Romero V, Thomas MC, et al.. Sarcoma de partes blandas del adulto experiencia Instituto de Oncología “Dr. Luis Razzeti”. Revista Venezolana de Oncología [internet]. 2013, 25(3), 166-177 [fecha de Consulta 11 de Noviembre de 2019]. Disponible en: URL: https://www.redalyc.org/articulo.oa?id=375634879005.
26. Godoy A, Gotera G, Gil A, Parra JF, Brito V. Sarcomas de partes blandas en extremidades: Factores pronósticos. Rev Venez Oncol. 2002;14(3):124-137.
27. Godoy A, Gotera G, Gil A, Parra JF, Brito V. Sarcomas de partes blandas en extremidades: Análisis multifactorial en pacientes con largo seguimiento. Rev Venez Oncol. 2003;15(3):142-147.
28. Liuzzi JF, Da Cunha M, Salas D, Siso S Garriga E. Soft tissue sarcomas in the head and neck 25 years of experience. Ecancermedicalscience. 2017;11:740.
Notas de autor
chernandez@radioterapia.com.ve