VARIEDAD ADENOESCAMOSA DEL CARCINOMA METAPLÁSICO DE MAMA: UN HALLAZGO INFRECUENTE. REPORTE DE CASO
VARIEDAD ADENOESCAMOSA DEL CARCINOMA METAPLÁSICO DE MAMA: UN HALLAZGO INFRECUENTE. REPORTE DE CASO
Revista Venezolana de Oncología, vol. 33, núm. 4, pp. 225-231, 2021
Sociedad Venezolana de Oncología

Recepción: 14 Julio 2021
Revisado: 15 Agosto 2021
Aprobación: 12 Septiembre 2021
Resumen: Los carcinomas metaplásicos de mama, subtipo adenoescamoso son tumores raros. Constituyen el 0,2 % al 1 % de todos los cánceres de mama, cuya edad de presentación oscila entre los 31 y 87 años de edad, y debutan como una lesión palpable en la mama, de crecimiento rápido. CASO CLÍNICO: Femenina de 45 años quien consulta en diciembre 2018 por aumento de volumen en unión de cuadrantes superiores de mama izquierda, de crecimiento rápido y 2 meses de evolución. Al examen físico se constata la presencia de dicha lesión, la mamografía reporta BIRADS 4C y la biopsia preoperatoria por aguja gruesa reporta carcinoma ductal infiltrante, paciente califica para cirugía preservadora de la mama y es tratada con mastectomía parcial oncológica + ganglio centinela, La biopsia definitiva concluye: carcinoma metaplásico subtipo adenoescamoso y 2 ganglios centinela negativos. CONCLUSIÓN: El presente estudio del carcinoma metaplásico de mama, subtipo adenoescamoso es de considerable interés debido a su heterogeneidad patológica y sus diferencias en el comportamiento clínico comparado con los carcinomas frecuentes (ductal y lobulillar). En estadios tempranos se observan altas tasas de recaída local, infrecuente metástasis axilar y metástasis frecuente a pulmón y cerebro en estadios avanzados. Tienden a presentar biomarcadores negativos y las tinciones mioepiteliales y de citoqueratinas son positivas, pero el grado es muy variable, lo cual lo convierte en un verdadero desafío diagnóstico y terapéutico para el tratante.
Palabras clave: Mama, carcinoma, metaplasia, adenoescamoso, mastectomía, inmunohistoquímica.
Abstract: The adeno-squamous metaplastic breast carcinomas are rare tumors. They constitute 0.2 % to 1 % of all breast cancers, the age of presentation ranges from 31 to 87 years of old, and it debuts as a palpable, rapidly growing lesion in the breast. CLINICAL CASE: Patient 45 year old female who consults us in December 2018 for volume increase in the union of superior quadrants of the left breast, with rapid growth and 2 months of evolution. The physical examination confirms the presence of this lesion, the mammogram study reports BIRADS 4C and the preoperative biopsy by thick needle reports infiltrating ductal carcinoma, the patient qualifies for the breast preserving surgery and is treated with a partial oncological mastectomy + sentinel node. The definitive biopsy concludes: Metaplastic carcinoma of the adeno-squamous subtype and 2 negative sentinel lymph nodes. CONCLUSION: The present study of metaplastic carcinoma of the breast, adeno-squamous subtype is of considerable interest due to its pathological heterogeneity and its differences in the clinical behavior compared to frequent carcinomas (ductal and lobulillar). In early stages, they have high local relapse rates, infrequent axillary metastases, and frequent metastases to the lung and brain in advanced stages. They tend to present negative biomarkers and myoepithelial and cytokeratin stains are positive, but the degree is highly variable, which makes it a true diagnostic and therapeutic challenge for the medical doctor.
Keywords: Breast, carcinoma, metaplastic, adeno-squamous, mastectomy, immunohistochemistry.
INTRODUCCIÓN
Los carcinomas adenoescamoso de mama son tumores raros, actualmente incluidos por la Organización Mundial de la Salud (OMS) como un subtipo de carcinoma metaplásico de mama (MpBC) (1,2). Constituyen el 0,2 % de todos los cánceres de mama. Se describió por primera vez a principios de la década de 1980 (3). Se caracteriza por ser invasivo, con áreas de formación túbulo glandular bien diferenciada íntimamente mezcladas con nidos sólidos dispersos de diferenciación escamosa. Se subdividen en bajo grado y alto grado, Los adenoescamoso de bajo grado no tienen anaplasia nuclear obvia, no metatizan y, en general, tienen un buen pronóstico. En contraste, los de alto grado son bastante agresivos y tienen metástasis en los ganglios linfáticos en el momento del diagnóstico. La edad de presentación oscila entre los 31 y 87 años de edad, y debuta como una lesión palpable en la mama, de crecimiento rápido, que induce a consultar al especialista (4).
A continuación se presenta el caso correspondiente a una paciente de 45 años de edad, quien debutó con un tumor en la mama izquierda, de aparición brusca y crecimiento rápido en el tiempo: 3 cm en 2 meses, como primer signo de MpBC.
CASO CLÍNICO
Femenina de 45 años de edad quien Inicia enfermedad actual en diciembre 2018 cuando presenta aumento de volumen en unión de los cuadrantes superiores (UCS) de la mama izquierda, indurado, doloroso, de crecimiento rápido (2 meses de evolución), acude a centro de salud donde realizan estudios de imagen más histopatología y es referida a nuestro servicio. Al examen físico se evidencia en UCS de la mama izquierda, lesión de 3 cm de diámetro aproximadamente, móvil, de bordes mal definidos, consistencia renitente, no dolorosa a la palpación, signo de Forgue positivo, sin telorrea o telorragia, región axilar y supraclavicular sin adenomegalias.
En mamografía izquierda se evidencia lesión irregular, de contorno espiculado con calcificaciones dispersas en UCS de mama izquierda, BIRADS 4C y la biopsia con aguja gruesa reporta: carcinoma ductal infiltrante bien diferenciado, estudios de extensión sin alteraciones. Se decide llevar a mesa operatoria para mastectomía parcial oncológica (MPO) con corte congelado (CC) y ganglio centinela (GC) con azul patente.
El CC reporta márgenes de MPO libres de neoplasia y 2 GC negativos; La biopsia definitiva concluye: carcinoma metaplásico subtipo adenoescamoso de 3 cm x 3 cm x 2,5 cm, grado 3 de Notthingham y 2 GC negativos. Inmunohistoquímica (IHQ): receptores de estrógeno (RE) +/+++, receptores de progesterona (RP): -, Her-2 neu: - , citoqueratina 5/6: +++/+++, e-cadherina: +++/+++, índice de proliferación celular: +++/+++ 70 % de las células tumorales.
Se concluye en reunión de servicio como: carcinoma metaplásico de mama (pT2 pN0 M0), estadio IIA, se indicó cumplir tratamiento adyuvante con radioterapia y quimioterapia, que culmina en marzo 2019 en centro foráneo, acudiendo a control cada 3 meses. En diciembre de 2019 se evidenció recaída local documentada por anatomía patológica y tratada en centro de salud de su región con cirugía: mastectomía radical y quimioterapia sin evidencia de progresión de enfermedad hasta ese momento.
DISCUSIÓN
MpBC es un tipo raro pero agresivo de cáncer de mama. Fue descrito por primera vez por Huvosy col., como un cáncer de mama que contiene simultáneamente elementos epiteliales y sarcomatoides (5). Posteriormente reportado por Weigelt y col., en 1980 (3) y Rosen y col., en 1987 como una diferenciación escamosa del carcinoma metaplásico (6). Sin embargo, no fue hasta el 2000 cuando fue calificado por la OMS como un tipo separado de cáncer de mama (6).
El presente reporte de caso surge de la biopsia definitiva e inmunohistoquímica de la paciente en cuestión, concluido como carcinoma metaplásico subtipo adenoescamoso en el espécimen de MPO más GC realizado en nuestro servicio, a una lesión reportada previamente en biopsia por aguja gruesa de centro foráneo como carcinoma ductal infiltrante.
Actualmente, el MpBC constituye en promedio el 0,25 % y 1 % de los cánceres de mama diagnosticados (7). La etiología y patogenia de MpBC es desconocida. Diversas teorías han surgido donde se apoya la hipótesis que plantea que estos tumores se originan directamente en el epitelio glandular de la mama, Hennessy y col., afirman que el tumor se forma de la metaplasia escamosa presente en un adenocarcinoma de mama preexistente (8). Otra teoría defendida por Guerriero y col., dice que la metaplasia escamosa es una enfermedad de diversos grados de gravedad, y el cáncer metaplásico representa una forma extrema de metaplasia escamosa dentro del adenocarcinoma (9).
El grupo de trabajo de OMS de 2011 reconoce 3 tipos de MpBC: puros, mixtos y carcinosarcoma, quienes a su vez comprenden los siguientes subtipos: carcinoma adenoescamoso (denominado de bajo grado), carcinoma de células escamosas (CCS), carcinoma de células fusiformes, MpBC con metaplasia condroide, MpBC con metaplasia ósea y carcinoma mioepitelial (10) (Cuadro 1).
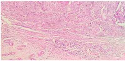
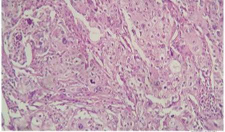
La variedad adenoescamosa del MpBC histopatológicamente es un carcinoma invasivo con áreas de formación túbulo glandular bien diferenciada íntimamente mezcladas con nidos sólidos dispersos de diferenciación escamosa. El componente escamoso es a menudo queratinizante, pero va desde zonas queratinizadas muy bien diferenciadas a zonas de poca diferenciación no queratinizada (1). Tal como se puede apreciar en la (Figura 1 y 2), correspondientes a las láminas de tinción por Hematoxilina y Eosina de nuestro caso clínico a 4x y 10x de aumento al microscopio.


Aunque es un subtipo raro de cáncer de mama, el MpBC es de considerable interés debido a su heterogeneidad patológica y sus diferencias en el comportamiento clínico comparado con los carcinomas frecuentes. El creciente reconocimiento patológico del MpBC es sugerido por el número de MpBC diagnosticados en la última década en comparación con años pasados (11).
Por su rareza, las características clínicas y pronosticas de importancia en comparación con otros cánceres de mama comunes como carcinoma ductal y lobulillar infiltrante no están claras, y existe una controversia entre diferentes estudios. Algunos han sugerido que el pronóstico del MpBC es favorable y la supervivencia similar al adenocarcinoma en etapas iniciales (12), pero otros estudios han revelado que MpBC tiene un pronóstico más pobre que otro tipo común de cáncer de mama, debido al mayor tamaño del tumor, presentación en etapa avanzada, grado tumoral y baja expresión de receptores hormonales de este tipo específico de tumor (13).
Los carcinomas de mama metaplásicos presentan características clínicas y una distribución por edades similares al carcinoma invasivo de tipo no especial (IC-NST) RE negativo. El MpBC tiende a ocurrir en mujeres entre los 40-73 años, con una tasa baja de metástasis en ganglios linfáticos axilares (14). Esto concuerda con la edad de presentación del caso clínico, pues se trataba de una paciente de 45 años, con lesión neo-proliferativa de la mama sin aparente compromiso clínico de la región axilar al examen físico.
Una observación relativamente consistente en muchos estudios sugiere que el MpBC tiende a presentar biomarcadores negativos (RE, RP y HER2) (15). Esto a menudo ha llevado a su comparación con el cáncer de mama triple negativo (TNBC), que es una categoría separada y distinta de cáncer de mama, con diferente comportamiento clínico y tratamiento. En el caso clínico presentado se confirma la negatividad de los RP (Figura 3), solo una cruz positiva para RE y HER2 neu negativo, acorde a lo reportado en la literatura revisada.

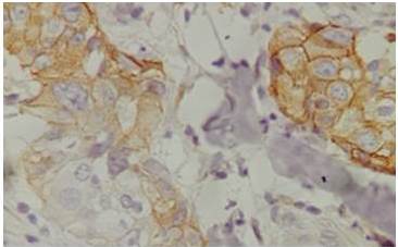
Aunque la mayoría de los MpBC tienen un fenotipo triple negativo, anecdóticamente, los resultados clínicos parecen diferentes de los de TNBC. Por otra parte, Las tinciones mioepiteliales y de citoqueratinas son positivas (Figura 4) correspondiente a la IHQ de e-cadherina de nuestro caso clínico, pero el grado de tinción es muy variable (16).

Estos tumores con receptores ER, PR, HER2 negativos se clasifican bajo el subtipo "basal" de clasificación molecular y tienen características genéticas y epidemiológicas particulares; son de alto grado y tienen una alta tasa de proliferación. Presentan metástasis frecuentes a pulmón y cerebro y no responden a la terapia endocrina (10). A la paciente se le indicó tamoxifeno, pese a la baja expresión de RE comprobado por IHQ y se evidenció posteriormente, recaída local.
El MpBC tiende a presentarse con tumores más grandes que conducen a una mayor etapa T en el momento del diagnóstico en comparación con carcinoma ductal infiltrante (IDC). En el caso presentado, la paciente se encuentra en un pT2 pN0. Según un estudio realizado por Geyer y col. (9) quienes observaron cinco casos de carcinoma adenoescamoso de mama, todos ellos pertenecieron a mujeres entre 54-76 años, en contraste nuestro caso quien tiene 45 años. En su estudio, todos los casos mostraron ganglios axilares negativos, Del mismo modo que en nuestro caso.
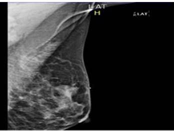
En la mamografía, los MpBC muestran muchas similitudes con el IDC, En el caso actual, la paciente presentó lesión de crecimiento acelerado, en cuya mamografía se evidencia imagen espiculada con calcificaciones sugestivas de malignidad en UCS de mama izquierda, sin adenopatías axilares (Figura 5 y 6).


Debido a su heterogeneidad, el diagnóstico preciso de MpBC puede ser un desafío en biopsias preoperatorias con aguja gruesa, se requiere un patólogo debidamente certificado, preparado y familiarizado con la patología para reconocer dicho patrón histológico, lo cual retrasa y dificulta hacer un diagnóstico definitivo (17). Así como el presente caso, en donde la paciente acudió desde un centro foráneo con biopsia preoperatoria por aguja gruesa que reportaba carcinoma ductal infiltrante, se decidió previa evaluación por equipo multidisciplinario (oncólogo, cirujano, radiólogo y patólogo) para constatar la elegibilidad para cirugía preservadora de la mama y se decidió omitir el tratamiento neoadyuvante y llevar a mesa operatoria para MPO + CC + GC con azul patente (Figura 7) con los resultados quirúrgicos inmediatos, cuyo resultado definitivo e inmunohistoquímica arrojaron un diagnóstico distinto, que influiría directamente en su pronóstico: carcinoma metaplásico de mama, variedad adenoescamosa.

En la literatura, MpBC a menudo se contrasta con el tumor de mama más común: IDC. Ambos tienen similares características en la mamografía, pero difieren en muchas otras características. Los diagnósticos diferenciales en términos de histopatología incluyen carcinoma mioepitelial de la mama, tumores miofibroblásticos, tumores filodes, sarcoma primario de mama, fascitis nodular, fibromatosis, adenoma pleomorfo y adenomioepitelioma (17).
A pesar de la tendencia de ganglios axilares negativos, la supervivencia a los 5 años es medianamente pobre, debido a la mayor tasa de metástasis a distancia en comparación con la diseminación linfática regional observada en IDC (3, 17). Beatty y col. (18), reportaron que la importancia pronostica del MpBC era comparable a la de los IDC de referencia, y para el tratamiento se sugirió un enfoque multidisciplinario, similar al realizado en nuestro centro. En el estudio de Luini y col., (19) la supervivencia libre de enfermedad no fue estadísticamente diferente al IDC, pero la supervivencia global (SG) en MpBC fue significativamente peor. Parece que actualmente no hay un acuerdo general sobre el papel pronóstico de MpBC, y más estudios son necesarios.
Los tratamientos óptimos para MpBC son relativamente desconocidos, pero las prácticas quirúrgicas actuales son comparables con el carcinoma ductal infiltrante: mastectomía radical o cirugía preservadora de la mama según sea el caso. Quimioterapia tradicional y terapias hormonales para IDC son el estándar actual para MpBC. En una evaluación de pacientes con MpBC, Hennessy y col. (18) informaron no recurrencia en 3 pacientes que recibieron doxorrubicina e ifosfamida como tratamiento.
Por último, independientemente del tipo de cirugía utilizada para erradicar el tumor, radioterapia adyuvante debe considerarse como parte de la terapia multimodal para pacientes con MpBC. Ensayos clínicos y estudios prospectivos para las terapias estándar para pacientes con MCB son difíciles de lograr debido a la rareza de la enfermedad.
Concluimos en: el carcinoma metaplásico de mama es un tipo raro de cáncer que generalmente es más agresivo y puede ser subcategorizado principalmente en función de los hallazgos patológicos, puede simular IDC o lesiones benignas en la mamografía, pero se caracteriza por su rápido crecimiento y gran tamaño que no suele ser visto en los cánceres de mama más comunes. El diagnóstico histopatológico es esencial para distinguir MpBC de otros cánceres de mama con el fin de instituir un tratamiento adecuado y mejorar el pronóstico. Aunque el tratamiento para MCB depende del tamaño del tumor y número de ganglios axilares involucrados, más estudios se necesitan para establecer terapias alternativas. En todo caso se recomienda individualizar a cada paciente.
REFERENCIAS
1. Tavassoli FA, Devilee P. Pathology and genetics of tumours of the breast and female genital organs (IARC WHO) Classification of Tumours of Cancer. Lyon, France: IARC;2003.
2. Weigelt B, Reis-Filho JS. Histological and molecular types of breast cancer: Is there a unifying taxonomy? Nat Rev Clin Oncol. 2009;6:718-730.
3. Woodard BH, Brinkhous AD, McCarty Sr, McCarty KS Jr. Adenosquamous differentiation in mammary carcinoma: An ultrastructural and steroid receptor only. Arch Pathol Lab Med. 1980;104(3):130-133.
4. Fletcher C. Diagnostic Histopathology of Tumours. 4. edición. Filadelfia:Churchill Livingstone Elsevier;2007.
5. Huvos AG, Lucas Jr JC, Foote Jr FW. Metaplastic breast carcinoma: Rare form of mammary cancer. N Y State J Med. 1973;73:1078-1082.
6. Rosen PP, Ernsberger D. Low grade adenosquamous carcinoma. A variant of metaplastic mammary carcinoma. Am J Surg Pathol. 1987;11:351-358.
7. Leddy R, Irshad A, Rumboldt T, Cluver A, Campbell A, Ackerman S. Review of metaplastic carcinoma of the breast: Imaging findings and pathological features. J Clin Imaging Sci. 2012;2(1):21.
8. Hennessy BT, Krishnamurthy S, Griordano S, Buchholz TA, Kau SW, Duan Z, et al. Squamous cell carcinoma of the breast. J Clin Oncol. 2005;23(31):7827-7835.
9. Guerriero G, Zagami MG, Montesano M, Primavera A, Carino R, Battista C, et al. Squamous cell carcinoma of the breast diagnosis by vacuum-assisted core biopsy. Tumori. 2005;91(5):418-420.
10. Budzik MP, Patera J, Sobol M, Czerw AI, Deptała A, Badowska-Kozakiewicz AM. Clinic pathological characteristics of metaplastic breast cancer analysis of the basic immunohistochemically profile and comparison with other invasive breast cancer types. Breast. 2019;43;135-141.
11. Lai HW, Tseng LM, Chang TW, KuoYL, Hsieh CM, Chen ST, et al. The prognostic significance of metaplastic carcinoma of the breast (MCB) - A case controlled comparison study with infiltrating ductal carcinoma. Breast. 2013;22; 968-973.
12. Rayson D, Adjei AA, Suman VJ, Wold LE, Ingle JN. Metaplastic breast cancer: Prognosis and response to systemic therapy. Ann Oncol. 1999;10(4):413-419.
13. Gibson GR, Qian D, Ku JK, Lai LL. Metaplastic breast cancer: Clinical features and outcomes. Am Surg. 2005;71(9):725-730.
14. Leyrer M, Beriochoa C, Agrawal S, Donaldson A, Calhoun BC, Shah C, et al. Predictive factors on outcomes in metaplastic breast cancer. Breast Cancer Res Treat. 2017;165(3):499-504.
15. El Zein D, Hughes M, Kumar S, Peng X, Oyasiji T, Jabbour H, et al. Metaplastic carcinoma of the breast is more aggressive than triple-negative breast cancer: A study from a single institution and review of literature. Clin Breast Cancer. 2017;17(5):382-391.
16. Swathy P, Arunalatha P, Chandramouleeswari K, Mary S, Ramya S. Adenosaquamus variant of metaplasic carcionoma of the breast- an unusual histological variant. J Clin Diagn Res. 2015;9(2):ED05-6.
17. Park HS, Park S, Kim JH, Ju-Hyun Lee, So-Young Choi, Byeong-Woo Park, et al. Clinic pathologic features and outcomes of metaplastic breast carcinoma: Comparison with invasive ductal carcinoma of the breast. Yonsei Med J. 2010;51(6):864-869.
18. Beatty JD, Atwood M, Tickman R, Reiner M. Metaplastic breast cancer: Clinical significance. Am J Surg. 2006;191:657-664.
19. Luini A, Aguilar M, Gatti G, Fasani R, Botteri E, Brito JA, et al. Metaplastic carcinoma of the breast, an unusual disease with worse prognosis: The experience of the European Institute of Oncology and review of the literature. Breast Cancer Res Treat. 2007;101:349-353.
Notas de autor
gatablancasc@gmail.com