PUNCIÓN ASPIRACIÓN CON AGUJA FINA GUIADA POR ULTRASONIDO DE NÓDULOS MAMARIOS DE ALTA SOSPECHA.
PUNCIÓN ASPIRACIÓN CON AGUJA FINA GUIADA POR ULTRASONIDO DE NÓDULOS MAMARIOS DE ALTA SOSPECHA.
Revista Venezolana de Oncología, vol. 34, núm. 1, pp. 2-11, 2022
Sociedad Venezolana de Oncología

Recepción: 20 Agosto 2021
Revisado: 12 Octubre 2021
Aprobación: 15 Diciembre 2021
Resumen: En la evaluación de lesiones mamarias BI-RADS 5 la punción aspiración con aguja fina tiene valor predictivo negativo 90 %-95 % y valor predictivo positivo 90 %-98 %. OBJETIVO: Nuestro objetivo fue evaluar la sensibilidad del diagnóstico por punción con aguja fina guiada por ultrasonido de lesiones nodulares de la mama BI-RADS 5, mediante la comparación entre citología y biopsia. MÉTODO: Se incluyeron pacientes con lesiones nodulares (BI-RADS 5) detectadas por mamografía y ultrasonido a quienes debía realizárseles biopsia por punción con aguja gruesa. Se tomaron las punciones aspiración con aguja fina previas a dicha biopsia con guía ultrasonográfica a 17 pacientes que aceptaron la toma de muestra adicional. RESULTADOS: El diagnóstico de las lesiones nodulares BI-RADS 5 en punción aspiración con aguja fina y biopsia con aguja gruesa mostró correlación estadísticamente significativa (P = 0,01) en el diagnóstico de carcinomas de mama. CONCLUSIÓN: La citología por punción aspiración con aguja fina guiada por ultrasonido puede tener buena aproximación del tipo histológico y del grado histológico del tumor.
Palabras clave: Punción aspiración con aguja fina, biopsia con aguja gruesa, carcinoma de mama, citología.
Abstract: In the evaluation of BI-RADS 5 the breast lesions with fine needle aspiration has a negative predictive value of 90 %-95 % and a positive predictive value of 90 %-98 %. OBJECTIVE: Our objective was to evaluate the sensitivity of the diagnosis by the ultrasound guided fine needle aspiration of BI-RADS 5 nodular breast lesions, by comparing the cytology and the biopsy. METHOD:The .atients with nodular lesions (BI-RADS 5) detected by the mammography and the ultrasound who had to undergo the core needle biopsy were included. The fine needle aspiration was taken prior to core the needle biopsy with ultrasound guidance from 17 patients who agreed to take an additional sample. RESULTS: The diagnosis of BI-RADS 5 nodular lesions in the fine needle aspiration and the core needle biopsy showed a statistically significant correlation (P = 0.01) in the diagnosis of breast carcinomas. CONCLUSION: The ultrasound guided fine needle aspiration cytology can have a good approximation of the histological type and the histological grade of the tumor.
Keywords: Fine needle aspiration, core needle biopsy, breast carcinoma, cytology.
INTRODUCCIÓN
Las lesiones nodulares de la mama con alta sospecha imagenológica (BI-RADS 5) corresponden a una categoría que tiene un valor predictivo positivo estimado ≥ 95 % (1). Cuando la categorización de una lesión BI-RADS 5 no se corresponde con una lesión maligna en la histología, con frecuencia puede corresponderse con lesiones benignas tales como cicatriz radiada, lesión compleja esclerosante, hiperplasia ductal atípica asociada a otras lesiones benignas complejas(2,3).
La citología por punción aspiración con aguja fina (PAAF) se cuenta entre las herramienta diagnóstica para las lesiones palpables de la mama, demostrado a través de los años, por diversos estudios y aceptado como método a nivel mundial, sin embargo, sus especificaciones y mejor rendimiento se evidencia cuando se evalúan lesiones tipo quistes, absceso y en masas palpables con características de benignidad (fibroadenomas) (3,4).
En la evaluación de lesiones mamarias con alta sospecha imagenológica la citología convencional mediante PAAF tiene un valor predictivo negativo que oscila entre el 90 %-95 % y un valor predictivo positivo que oscila entre el 90 %-98 %, siendo estos números comparables con la citología en base líquida(5,6,7). Es importante destacar que a pesar de los amplios beneficios aceptados de la PAAF, se reconocen factores que limitan su utilidad. Esta técnica es susceptible de presentar problemas técnicos y/o de muestreo tales como: celularidad limitada, cambios por desecación, escaso material para realizar estudios moleculares, entre otros. La citología mediante PAAF tiene limitaciones al evaluar lesiones de alta sospecha imagenológica, siendo la principal limitación la distinción entre un carcinoma in situ y un carcinoma invasor, así como distinguir entre una hiperplasia ductal atípica y un carcinoma in situ. También, existe limitación para diferenciar entre ciertas lesiones malignas de bajo grado y benignas complejas, tales como el carcinoma tubular infiltrante vs., cicatriz radiada o lesión compleja esclerosante (las tres podrían ser consideras categoría BI-RADS 5), y para el diagnóstico del carcinoma lobulillar infiltrante, así como diferenciar el carcinoma primario del metastásico (3,8,9).
Estos factores que limitan la utilidad de la PAAF, son discernibles en la biopsia con aguja gruesa (BAG), por ende en las lesiones con sospecha imagenológica (BIRADS >4A) debe realizarse BAG con el fin de evitar las tasas de falsos positivos y/o falsos negativos presentes en la PAAF, así como poder contar con material suficiente para realizar estudios adicionales de interés pronóstico y predictivo para las lesiones malignas como lo son los estudios de inmunohistoquímica, estudios de hibridación in situ y estudios genéticos (10,11).
En Venezuela, los estudios de investigación, en el contexto de citopatología mamaria son escasos. En bibliotecas virtuales encontramos tres estudios de índole retrospectiva - descriptiva con resultados limitados, que pretendieron determinar la eficacia de la citología en lesiones mamarias, basados principalmente en las características cito-morfológicas de los extendidos, con correlación limitada y en algunos casos con ninguna correlación entre el diagnóstico citológico y los datos clínicos-imagenológicos-histológicos, indispensables para la adecuada interpretación diagnóstica del estudio citológico(12,13,14).
Conscientes de las limitaciones de la citología por PAAF en relación a las lesiones mamarias, pero dado que en nuestra práctica diaria seguimos recibiendo ocasionalmente PAAF de lesiones mamarias clínicamente sospechosas para malignidad, nos hemos propuesto para este trabajo como objetivo principal evaluar la sensibilidad del diagnóstico por PAAF guiada por ultrasonido de lesiones nodulares de la mama con alta sospecha imagenológica (B5), mediante la comparación entre los hallazgos citológicos evaluados y la biopsia conjunta de la lesión a fin de poder establecer desde nuestra propia experiencia la sensibilidad de la PAAF en el diagnóstico de lesiones nodulares de la mama sospechosas de malignidad. Para ello nos planteamos determinar la categoría diagnóstica de la lesión, el tipo de neoplasia, el grado nuclear y estimar el grado de diferenciación de la misma, conscientes de que algunos de estos parámetros tales como el grado histológico del tumor constituyen un factor de interés pronóstico para la paciente.
MÉTODO
Este estudio es de tipo prospectivo, doble-ciego. Se realizó en El Centro Clínico de Estereotaxia, CECLINES, en el período comprendido entre abril 2017 a enero 2018.
Se tomaron en cuenta las pacientes que acudieron a nuestro centro con lesiones nodulares sospechosas de la mama detectadas por mamografía y ultrasonido a quienes se les debía realizar por tanto, BAG ya sea con sistema de aguja de corte o aguja de corte asistida por vacío. Se tomaron PAAF previa a dicha BAG con guía ultrasonográfica, a las pacientes que aceptaron el procedimiento adicional por consentimiento informado. Se recibieron en nuestro laboratorio de manera simultánea las muestras PAAF y BAG.
Las PAAF se extendieron en láminas porta objetos acto seguido a la toma de la muestra, se rociaron con fijador citológico en spray con base alcohólica (cytofix®) y se procesaron bajo el protocolo para citología convencional con tinción de Papanicolaou. Se evaluaron en primer lugar, previo al diagnóstico definitivo por biopsia, en la sección de citopatología bajo microscopía óptica y se evaluaron bajo los criterios de la guía para procedimientos citológicos y reporte mediante la PAAF de la mama del “Cytology Subgroup of the National Coordinating Committee for Breast Cancer Screening Pathology”, la cual consiste en una clasificación de cinco categorías diagnósticas: insatisfactoria (C1), benigno (C2), atipia probablemente benigna (C3), sospechoso para malignidad (C4) y maligno (C5) (15). Las lesiones malignas fueron sub-clasificadas según tipo morfológico, por ejemplo carcinoma ductal infiltrante, carcinoma papilar infiltrante. A su vez, estas lesiones recibieron un grado de diferenciación estimado, basado en el sistema de clasificación descrito por Robinson y col., que tiene en cuenta 6 parámetros citológicos: disociación (evaluando la tendencia de disposición en grupos), uniformidad, tamaño celular, nucléolos, envoltura nuclear y patrón de la cromatina, a estas lesiones se les dio un valor de 1 a 3 para el grado de diferenciación estimado, siento valor 1 probable bien diferenciado, valor 2 para probable moderadamente diferenciado y valor 3 para probable poco diferenciado (16). Estos parámetros se compararon con los parámetros de diagnóstico histológico obtenidos en los especímenes de biopsia correspondientes: tipo histológico y grado de diferenciación, con el fin de evaluar la concordancia de la estimación citológica con el estudio histológico.
Los especímenes obtenidos por BAG se fijaron en formol buffer al 10 % durante un mínimo de 6 h hasta un máximo de 72 h, posteriormente se colocaron en cassettes de inclusión y se procesaron en el procesador de tejidos según método estándar.
Al terminar el procesamiento, los cilindros de tejido se incluyeron en bloques de parafina y cortaron según protocolo de estudio para punciones mamarias con aguja gruesa de la sección de anatomía patológica de CECLINES, con cortes histológicos de 3 µ de espesor y realizándose al menos cuatro niveles por bloque, para obtener un mínimo de dos láminas por bloque con dos cortes histológicos por lámina. Las láminas histológicas se tiñeron con la coloración Hematoxilina-Eosina y evaluaron bajo microscopía óptica por anatomopatólogos con años de experiencia en patología mamaria, siendo clasificadas y categorizadas según los parámetros clásicos para el diagnóstico de lesiones mamarias aprobados por la Organización Mundial de la Salud (OMS 2012) (17). Se obtuvieron ambos resultados por separado y se compararon al final, con el fin de evitar sesgo diagnóstico en la evaluación de la citología.
La orden de estudio de cada paciente se hizo en nuestra hoja de solicitud de rutina, la cual contempla la siguiente información: datos de identificación y edad de la paciente, lateralidad de la lesión, método de estudio (PAAF guiada por ultrasonido y sistema de biopsia para las muestras de tejido: aguja de corte o aguja de corte asistida por vacío), tipo de lesión, tamaño, porcentaje de muestra tomada (en caso de la biopsia), categoría BI- RADS de la lesión y cualquier observación adicional pertinente para el diagnóstico. Dichos datos se acotaron en una hoja Excel. Los diagnósticos citológicos e histopatológicos se tabularon por separado y en momentos diferentes con el fin de respetar el modelo del estudio.
Las categorías y diagnósticos obtenidas por la PAAF se correlacionaron con: la edad de la paciente, BI-RADS, tamaño de la lesión, categoría, diagnóstico y grado histológico mediante el método estadístico de concordancia.
ANÁLISIS ESTADÍSTICO
Se calculó la media aritmética y desviación estándar de las variables continuas; a las variables nominales se les calculó sus frecuencias y porcentajes. Las relaciones entre variables nominales fueron evaluadas con la prueba Chi-cuadrado de Pearson, en el caso de la concordancia entre los datos obtenidos por PAAF y por BAG, se utilizó la prueba Kappa ponderada.
Se consideró un valor como estadísticamente significativo si P < 0,05. Los datos fueron analizados y tabulados con R Studio versión 1.2.5042 (18).
RESULTADOS
Durante un periodo de diez meses, se evaluaron un total de 17 pacientes que aceptaron la toma de muestra adicional para este estudio con lesiones nodulares sospechosas en las mamas, estas fueron sometidas a PAAF y luego a BAG previo consentimiento informado. Todas las pacientes fueron mujeres, con una media de edad de 53 años (rango 33-79 años). Clínicamente, el 100 % de las lesiones eran palpables. Imagenológicamente, el 100 % de las lesiones fueron categorizadas como BIRADS-5, las lesiones se presentaron en el 41,2 % de los casos como nódulos sólidos, con tamaños mayores de 25 mm en el 41,2 % de los casos, e igual tamaño o menor de 25 mm en el 58,8 %.
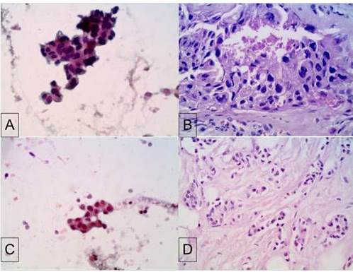
De las citologías mediante PAAF, 13 lesiones fueron categorizadas C5-malignas (76,5 %), 3 lesiones fueron C4-sospechoso para malignidad (17,6 %) y 1 caso resultó C1-insatisfactorio para evaluación (5,9 %). Citológicamente, el diagnóstico de carcinoma ductal infiltrante fue el de mayor incidencia con un 64,7 % (11 casos), 11,8 % carcinoma papilar infiltrante (2 casos), sospechoso para malignidad en el 17,6 % (3 casos) y 5,9 % de los casos fueron insuficientes para interpretación diagnóstica (1 caso). El grado del tumor estimado (grado de diferenciación) en la citología fue: 52,9 % grado estimado 3 (9 casos) (Figura 2A), 23,5% grado estimado 2 (4 casos), 17,6% grado estimado 1 (3 casos) (Figura 2C) y en el 5,9 % de los casos (1 caso) no se reportó el grado nuclear debido a que este fue insatisfactorio (Cuadro 1).


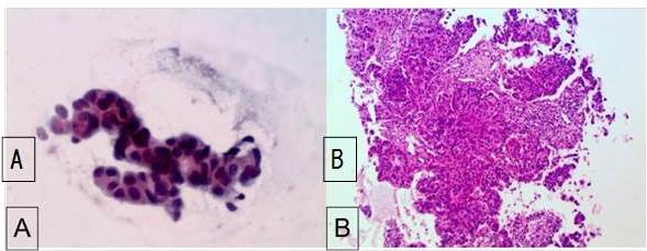
Desde el punto de vista histológico, 76,5 % de los casos (13 casos) fueron diagnosticados como carcinoma ductal infiltrante, 5,9 % (1 caso) carcinoma ductal in situ, 5,9 % carcinoma lobulillar infiltrante y el 11,8 % (2 casos) carcinoma papilar infiltrante (Figura 1B). Las lesiones clasificadas como carcinoma ductal infiltrante (13 casos) presentaron una distribución de grado histológico 3 en el 29,4 % de los casos (5 casos) (Figura 2B), grado histológico 2 en el 29,4 % (5 casos) y grado histológico 1 en el 17,7 % de los casos (3 casos) (Figura 2D). Las 17 lesiones presentaron grado nuclear III en 41,2 % de los casos (7 casos), grado II-III en 5,9 % de los casos (1 caso), grado nuclear II en el 35,3 % de los casos (6 casos) y grano nuclear I en el 17,6 % de los casos (3 casos) (Cuadro 1).
La PAAF en nuestras manos mostró una sensibilidad, valor predictivo positivo y precisión diagnóstica del 100 %, para el diagnóstico de lesiones nodulares imagenológicamente sospechosas de la mama sin tomar en cuenta las muestras insuficientes. Cuando se consideraron las muestras insuficientes la sensibilidad, valor predictivo y precisión diagnóstica fueron de 93,75 %, 100 % y 93,75 % respectivamente. La especificidad y valor predictivo negativo no pudieron ser calculados, porque se trató únicamente con muestras positivas.
El diagnóstico de las lesiones nodulares imagenológicamente sospechosas de la mama tanto en PAAF como en BAG mostraron una correlación estadísticamente significativa (P = 0,01) en el diagnóstico de carcinomas de mama (Cuadro 2).
La correlación entre el grado de diferenciación estimado (citológico) de las lesiones y el grado histológico del tumor mostró un valor de Kappa = 0,600 (P = 0,005) (Cuadro 3).



DISCUSIÓN
El diagnóstico de lesiones nodulares de la mama con alta sospecha imagenológica se debería realizar, idealmente, en un entorno multidisciplinario (cirujano, radiólogo, patólogo)(19,20,21). La PAAF y la BAG son los métodos de diagnóstico más utilizados y en manos experimentadas la sensibilidad de la PAAF es alta y no mucho menor que la de la BAG (21). Por otra parte, la especificidad de la BAG es mayor, así como el valor predictivo positivo para lesiones sospechosas, además de permitir obtener muestra para realizar estudios adicionales (inmunohistoquímica, estudios de hibridación in situ y estudios genéticos) (21). Estos beneficios, convierten a la BAG en el método de diagnóstico ideal para lesiones nodulares de la mama con alta sospecha imagenológica. Sin embargo, este estudio refleja la comparabilidad de la citología mediante PAAF guiada por ultrasonido y la BAG en lesiones nodulares de la mama con alta sospecha imagenológica.
A pesar de ser este un estudio de baja casuística respecto a algunas series publicadas (22), pudimos evaluar nuestra sensibilidad en el diagnóstico citológico mediante PAAF guiada por ultrasonido de lesiones nodulares malignas de la mama con alta sospecha imagenológica.
De los 17 casos evaluados histológicamente, 16 fueron carcinomas infiltrantes, de los cuales 13 fueron diagnosticados como carcinoma ductal infiltrante (NOS) y 3 casos fueron diagnosticados como tipos especiales, hallazgo que se correlaciona con la literatura en la que se estima que entre el 70 %-80 % de los carcinomas de mama corresponden a carcinomas ductales infiltrantes y que entre el 20 %-30 % de los casos son de tipo especial (23).
La sensibilidad de la PAAF en el diagnóstico de cáncer de mama se describe en un rango variable desde un 78 % hasta un 98 % (24,25,26). Pero de manera individual, al evaluar la sensibilidad de la citología, únicamente, en muestras positivas para cáncer de mama se reporta sensibilidad de 98 % (26). En nuestro estudio la sensibilidad (sin incluir insatisfactorios) fue del 100 %.
Al comparar los resultados de la correlación entre los diagnósticos de la PAAF y la BAG, en nuestro estudio obtuvimos un valor de P = 0,01. En estudios similares obtuvieron un valor de P= < 0,004 (26). A pesar de que el valor de P en nuestro estudio al correlacionar los diagnósticos de la PAAF y la BAG se considera estadísticamente significativo, se puede evidenciar mejor correlación en series que pudieron evaluar mayor cantidad de casos.
El “Cytology Subgroup of the National Coordinating Committee for Breast Cancer Screening Pathology”, propone que la tasa de casos insatisfactorios para evaluación en PAAF de mama debe ser < 20 % (15). Sin embargo, hay series en las cuales las tasas de insatisfactorio para evaluación van desde 0,7 % hasta 32 % (27,28). En nuestro estudio la tasa de insatisfactorios se encontró dentro de los parámetros establecidos en la literatura con un 5,9 % (1 caso), con respecto al cual resulta interesante mencionar que el diagnóstico histológico correspondió a un carcinoma lobulillar infiltrante clásico, siendo este tipo histológico el que en la literatura publicada se asocia con mayor tasa de falsos negativos en la PAAF, atribuible a varios factores entre los que destacan la baja celularidad propia de este tipo de tumor (29).
De los diversos métodos de clasificación citológica descritos para la gradación del cáncer de mama en citología, el método propuesto por Robinson y col. (16), ha sido ampliamente aceptado. La concordancia entre el grado de diferenciación estimado citológicamente (usando el método de Robinson) y el grado histológico del tumor obtenido en nuestro estudio tuvo una concordancia satisfactoria y estadísticamente significativa de 0,600 (P = 0,005). Sin embargo, Pal y col., obtuvieron datos estadísticamente más significativos entre el grado de diferenciación estimado citológicamente (gradación de Robinson) y el grado histológico con una concordancia de 0,804 y un valor de P <0,001 (30). Pensamos que esta variabilidad de los resultados con relación al grado de diferenciación (citológico) puede deberse a dos factores: 1. Subjetividad inter-observador cuando se asigna un grado nuclear citológico y/o histológico y, 2. A la baja casuística.
Es importante destacar que mediante el estudio citológico se puede obtener una aproximación bastante acertada y estadísticamente significativa del grado histológico del tumor o grado de diferenciación tumoral, a pesar que en el estudio histológico para obtener dicho grado (grado histológico tumoral) es necesario además del grado nuclear, la evaluación de la actividad mitótica y de un parámetro arquitectural (formación de túbulos) de los cuales los dos últimos no son posibles de evaluar mediante citología.
El tipo de lesión imagenológica y diagnóstico histológico no estuvieron relacionados en nuestro estudio (P = 0,485), sin embargo, al compararlo con datos de la literatura sabemos que si existe una importante relación entre imagen y diagnóstico histológico (P = 0,001) (31). Esto debido a los pocos casos de nuestro trabajo respecto a la casuística de los trabajos que han demostrado concordancia estadística entre la correlación de estas dos variables, sin ser esto, por otra parte, finalidad de nuestro trabajo.
A pesar de la buena aproximación que logramos en nuestro trabajo mediante el diagnóstico de malignidad, estimación del tipo histológico y grado de diferenciación tumoral mediante citología, resulta importante analizar que en nuestra práctica cotidiana los casos de las PAAF que ocasionalmente recibimos provienen principalmente de consultorios clínicos, estas son guiadas por palpación y no asistidas por imágenes, las cuales cuentan en nuestra experiencia con un número mayor de muestras insatisfactorias además de carecer de información relevante como tamaño, tipos de lesión y grado de sospecha imagenológica, limitando aún más los resultados, traduciéndose en pérdida económica y de tiempo para la paciente.
Podemos concluir que en manos de personal entrenado en Mastología, mediante la citología por PAAF guiada por ultrasonido puede obtenerse una buena aproximación del tipo histológico y del grado histológico del tumor. El tipo histológico influye significativamente en los resultados de la PAAF, siendo el carcinoma ductal infiltrante el tipo histológico con mejor reproducibilidad para este método diagnóstico, con respecto a los tipos especiales. Reconocemos que la PAAF no es el método ideal para el diagnóstico de lesiones mamarias de alta sospecha imagenológica. A pesar de la posibilidad de buena aproximación diagnóstica, no constituye un estudio definitivo y no permite contar con material suficiente para estudios adicionales de interés pronóstico ni predictivo.
REFERENCIAS
1. Yao MM, Joe BN, Sickles EA, Lee CS. BI-RADS Category 5 Assessments at diagnostic breast imaging: Outcomes analysis based on lesion descriptors. Acad Radiol. 2019;26(8):1048-1052.
2. Raza S, Chikarmane SA, Neilsen SS, Zorn LM, Birdwell RL. BI-RADS 3, 4, and 5 lesions: Value of US in management--follow-up and outcome. Radiology. 2008;248(3):773-781.
3. Saha A, Mukhopadhyay M, Das C, Sarkar K, Saha AK, Sarkar DK. FNAC versus core needle biopsy: A comparative study in evaluation of palpable breast lump. J Clin Diagn Res. 2016;10(2):EC05-8.
4. Borecky N,Wylie L. Breast fine needle aspiration (FNA). Disponible en: URL: https://www.insideradiology.com.au/breast-fna/[consultado 12 Febrero 2020].
5. Capalbo E, Sajadidehkordi F, Colombi C, Ticha V, Moretti A, Peli M, et al. Revaluation of breast cytology with pathologist on- site of lesions with suspicious sonographic features. Eur J Radiol. 2013;82(9):1410-1415.
6. Gerhard R, Schmitt FC. Liquid-based cytology in fine-needle aspiration of breast lesions: A review. Acta Cytol. 2014;58(6):533-542.
7. Ryu HS, Park IA, Park SY, Jung YY, Park SH, Shin HC. A pilot study evaluating liquid-based fine needle aspiration cytology of breast lesions: A cytomorphological comparison of SurePath® liquid-based preparations and conventional smears. Acta Cytol. 2013;57(4):391-399.
8. Simsir A, Rapkiewicz A, Cangiarella J. Current utilization of breast FNA in a cytology practice. Diagn Cytopathol. 2009;37(2):140-142.
9. Panjvani SI, Parikh BJ, Parikh SB, Chaudhari BR, Patel KK, Gupta GS, et al. Utility of fine needle aspiration cytology in the evaluation of breast lesions. J Clin Diagn Res. 2013;7(12):2777-2779.
10. Field AS, Schmitt F, Vielh P. IAC standardized reporting of breast fine-needle aspiration biopsy cytology. Acta Cytol. 2017;61(1):3-6.
11. Guía venezolana para el diagnóstico y tratamiento del cáncer de mama. Sociedad Venezolana de Mastología. 2018. Disponible en: URL: https://svmastologia.org/guia-venezolana-para-el-diagnostico-y-tratamiento-del-cancer-de-mama/
12. Sucre L, Saldivia F, Capocefalo M, Rebolledo V, Miranda J, Quijada O. Valor de la citología por punción aspiración con aguja fina en la glándula mamaria. Rev Venez Oncol. 2006;18(3):167-170.
13. González A, Gledhill T. La Punción aspiración con aguja fina como herramienta diagnóstica del adenocarcinoma de la glándula mamaria. Rev Soc Med Quir Hosp Emerg Perez de Leon. 2008;39(1):38-44.
14. Escalante FE, Vitale N, Escalante O. Punción aspiración con aguja fina de lesiones de la glándula mamaria guiada por ecografía. Revisión de nuestra experiencia. Disponible en: URL: http://saber.ucv.ve/ojs/index.php/rev_vit/article/view/5382
15. [No author´s List]. Guidelines for cytology procedures and reporting on fine needle aspirates of the breast. Cytology Subgroup of the National Coordinating Committee for Breast Cancer Screening Pathology. Cytopathology. 1994;5(5):316-334.
16. Robinson IA, McKee G, Nicholson A, D’Arcy J, Jackson PA, Cook MG, et al. Prognostic value of cytological grading of fine-needle aspirates from breast carcinomas. Lancet. 1994;343:947-949.
17. Lakhani SR, Ellis IO, Schnitee SJ, Tan PH, van de Vijver MJ, editores. World Health Organization Classification of tumours of the breast. Lyon:IARC Press;2012.
18. Triola M, Roy J. Biostatistics for the biological and health sciences. 2. edición. Washington DC: Pearson Education;2017.
19. Silverstein MJ. State-of-the-art breast units – a possibility or a fantasy? A comment from the US. Eur J Cancer. 2000;36:2283-2285.
20. Taran FA, Eggemann H. Breast Units in Europe – Certification in 9 European Countries 9 years after the European Society of Mastology position paper. Breast Care (Basel). 2009;4:219-222.
21. Willems SM, van Deurzen CH, van Diest PJ. Diagnosis of breast lesions: Fine- needle aspiration cytology or core needle biopsy? A review. J Clin Pathol. 2012;65(4):287-292.
22. Wang M, He X, Chang Y, Sun G, Thabane L. A sensitivity and specificity comparison of fine needle aspiration cytology and core needle biopsy in evaluation of suspicious breast lesions: A systematic review and meta-analysis. Breast. 2017;31:157-166.
23. Dieci MV, Orvieto E, Dominici M, Conte P, Guarneri V. Rare breast cancer subtypes: Histological, molecular, and clinical peculiarities. Oncologist. 2014;19(8):805-813.
24. Garg S, Mohan H, Bal A, Attri AK, Kochhar S. A comparative analysis of core needle biopsy and fine-needle aspiration cytology in the evaluation of palpable and mammographically detected suspicious breast lesions. Diagn Cytopathol. 2007;35:681-689.
25. Kurita T, Tsuchiya S, Watarai Y, Yamamoto Y, Harada O, Yanagihara K, et al. Roles of fine-needle aspiration and core needle biopsy in the diagnosis of breast cancer. Breast Cancer. 2012;19(1):23-29.
26. Ballo MS, Sneige N. Can core needle biopsy replace fine-needle aspiration cytology in the diagnosis of palpable breast carcinoma? Cancer. 1996;78:773-777.
27. O'Neil S, Castelli M, Gattuso P, Kluskens L, Madsen K, Aranha G. Fine-needle aspiration of 697 palpable breast lesions with histopathologic correlation. Surgery. 1997;122(4):824-828.
28. Chaiwun B, Settakorn J, Ya-In C, Wisedmongkol W, Rangdaeng S, Thorner P. Effectiveness of fine-needle aspiration cytology of breast: Analysis of 2,375 cases from northern Thailand. Diagn Cytopathol. 2002;26(3):201-205.
29. Hwang S, Ioffe O, Lee I, Waisman J, Cangiarella J, Simsir A. Cytologic diagnosis of invasive lobular carcinoma: Factors associated with negative and equivocal diagnoses. Diagn Cytopathol. 2004;31(2):87-93.
30. Pal S, Gupta ML. Correlation between cytological and histological grading of breast cancer and its role in prognosis. J Cytol. 2016;33(4):182-186.
31. Idowu MO, Bonner HL, J. Souers RJ, Nakhleh RE. Pathologic diagnostic correlation with breast imaging findings: A College of American Pathologists Q-Probes Study of 48 Institutions. Arch Pathol Lab Med. 2012;136(1):53-60.
Notas de autor
akramirez@gmail.com