ADENOCARCINOMA UMBILICAL PRIMARIO SEROSO DE ALTO GRADO. A PROPÓSITO DE UN CASO.
ADENOCARCINOMA UMBILICAL PRIMARIO SEROSO DE ALTO GRADO. A PROPÓSITO DE UN CASO.
Revista Venezolana de Oncología, vol. 34, núm. 1, pp. 25-31, 2022
Sociedad Venezolana de Oncología

Recepción: 29 Septiembre 2021
Revisado: 12 Octubre 2021
Aprobación: 15 Noviembre 2021
Resumen: Los tumores umbilicales malignos primarios son muy raros, representan el 20 %, dentro de las patologías umbilicales, y tan solo el 0,1 % en frecuencia en general. Presentamos un caso de una paciente femenina con antecedente de adenocarcinoma umbilical primario en 2017, no tratado y para 2019 tumor umbilical extenso con biopsia incisional que reporta: adenocarcinoma seroso de conductos grandes. Inmunohistoquímica: adenocarcinoma derivado de remanente del conducto onfalomesentérico o conducto vitelino. Recibe quimioterapia preoperatoria y en mayo 2020 se realiza resección amplia más reconstrucción con malla de polipropileno. Como hallazgos se evidencia lesión de 20 cm x 20 cm, que involucra todas las capas de la piel, tejido celular subcutáneo hasta peritoneo, con epiplón involucrado en la pieza quirúrgica. Adicionalmente en cavidad se evidencian lesiones tipo metástasis hepática. Biopsia reporta: adenocarcinoma umbilical primario seroso de alto grado.
Palabras clave: Adenocarcinoma, umbilical, primario, metastásico, inmunohistoquímica.
Abstract: The primary malignant umbilical tumors are very rare, representing 20 %, within umbilical pathologies, and only 0.1 % in general frequency. We present a case of a female patient with a history of primary umbilical adenocarcinoma in 2017, untreated and for 2019 extensive umbilical tumor with incisional biopsy that reports: Serous large duct adenocarcinoma. The immunohistochemistry: Adenocarcinoma derived from remnant of the omphalomesenteric duct or yolk duct. She receives preoperative chemotherapy and in May 2020, a wide resection is performed, plus the reconstruction with polypropylene mesh. As findings, a 20 cm x 20 cm lesion is evident, which involves all the layers of the skin, subcutaneous cell tissue up to the peritoneum, with the omentum involved in the surgical piece. Additionally, cavities like liver metastasis lesions are evident. The biopsy reports: High grade serous primary umbilical adenocarcinoma.
Keywords: Adenocarcinoma, umbilical, primary, metastatic, immunohistochemistry.
INTRODUCCIÓN
El término "nódulo de la Hermana Mary Joseph" fue introducido por primera vez por Hamilton Bailey en 1949 en reconocimiento a la enfermera del Hospital St. Mary en Rochester, Minnesota, quien predijo la presencia de una neoplasia intra-abdominal al palpar un nódulo firme en la región umbilical (1). La metástasis umbilical es un hallazgo poco frecuente en la gran mayoría de los casos de cáncer intra-abdominal.
Los tumores umbilicales malignos primarios son muy raros, constituyen solo el 20 % de los casos y el espectro incluye melanoma, carcinoma basocelular y adenocarcinoma, mientras que los carcinomas umbilicales metastásicos constituyen el 83 % y, en la mayoría de los casos, tienen su primario en el tracto gastrointestinal. Por lo poco frecuente del caso, presentamos una paciente con un adenocarcinoma umbilical primario seroso de alto grado.
CASO CLÍNICO
Se trata de paciente femenina de 47 años de edad quien es referida a consulta de cirugía oncológica por servicio de cirugía general en mayo de 2019, en posoperatorio tardío de colecistectomía abierta, por presentar aumento de volumen en mesogastrio y flanco derecho, doloroso, interpretado como un lipoma, motivo por el cual dicho servicio decide realizar exéresis del mismo con anestesia local y cuya biopsia B19-48.955 (12/05/19) reporta: porción de tejido de 9 cm compatible con adenocarcinoma seroso de conductos grandes.
Antecedentes de importancia: abuela materna cáncer de pulmón (fallecida), tía materna cáncer de mama (fallecida). Quirúrgicos: septiembre 2017 endometriosis en pared abdominal con biopsia 17B001949 que reporta: lesión de partes blandas que mide 10 cm x 7 cm x 6 cm infiltración neoplásica metastásica por adenocarcinoma bien diferenciado e IHQ17-22783: adenocarcinoma metastásico primario de vías digestivas o del área pancreático biliar, en caso de no ubicar lesión primaria en estos sitios posibilidad de adenocarcinoma primario del conducto onfalomesentérico.

bril 2019 colecistectomía abierta (biopsia extraviada, según cirujano del caso no impresionaba maligna, solo acodada), lipoma mayo 2019. Niega hábito tabáquico y alcohólico. Niega problemas digestivos. Ocupación: oficios del hogar. Ginecológicos: endometriosis, tratada. I gesta I cesárea. Menarquía 12 años, menopausia 46 años.
Estudios de extensión 2017: RMN de abdomen y pelvis sin lesiones, gammagrama óseo sin evidencia de enfermedad infiltrativa maligna. Pese a resultado de malignidad en cirugía de 2017, no recibió ningún tipo de tratamiento, porque su médico tratante no lo consideró necesario (reportado verbalmente por la paciente).
Al examen físico (mayo 2019): paciente en condiciones clínicas estables, afebril, hidratada, tolera vía oral. Cicatriz de herida quirúrgica en flanco derecho tipo para-rectal con signos de flogosis de 10 cm x 10 cm aproximadamente, y herida con secreción purulenta, fétida, fistulizada a piel, con retracción de la misma (Figura 1). Resto dentro de límites normales.

Se solicita estudio de inmunohistoquímica, resonancia magnética de abdomen y pelvis, RX de tórax, y se indica antibiótico-terapia vía oral y endovenosa, para decidir conducta.
28/05/2019 IHQ19-24109: adenocarcinoma derivado de remanente del conducto onfalomesentérico o conducto vitelino.

04/06/2019 RMN de abdomen con contraste: presencia de marcado engrosamiento de la pared abdominal al nivel del flanco derecho, con cambios en la intensidad de señal de los planos musculares y del tejido celular subcutáneo midiendo 11 cm x 8 cm x 3,2 cm con áreas de realce luego de la administración del contraste endovenoso. Hígado, bazo y páncreas de tamaño normal.
En vista de dichos resultados se decide conducta quirúrgica a la brevedad posible resección amplia más reconstrucción de la pared abdominal con tensor de la fascia lata vs., malla de polipropileno.
La misma es llevada a mesa quirúrgica en junio de 2019, pero es omitida por servicio de anestesiología por cifras tensionales elevadas. Es revalorada por cardiología sin contraindicaciones pero por motivos de inoperatividad del quirófano no se puede reprogramar la intervención.
Acude nuevamente a consulta en julio 2019, evidenciándose lesión tumoral que comprometía todo flanco y fosa iliaca derecha, mesogastrio e hipogastrio extendiéndose a flanco izquierdo, de 30 cm x 30 cm aproximadamente, dura, muy dolorosa, con persistencia de fístula en cicatriz previa con salida secreción serohemática espesa fétida.
En vista del aumento del tamaño de la lesión, una compleja reconstrucción de la pared abdominal con posibilidad de manejarla con abdomen abierto y sin condiciones en el hospital para la cirugía por inoperatividad del quirófano, se decide referir al servicio de oncología médica, con la finalidad de un tratamiento a título preoperatorio.
En octubre 2019, oncología médica, la valora y le indica esquema de gemcitabina más paclitaxel, 6 ciclos cada 21 días. Cumple 4 ciclos, iniciando el 02/12/2019 y culminando el último el 07/03/2020.
Es contra-referida por oncología médica (abril 2020), encontrando lesión ulcerada en piel, con abundante secreción fétida, purulenta, que ocupa mesogastrio con región umbilical, hipocondrio derecho, flanco y fosa iliaca derecha, de 15 cm x 15 cm aproximadamente, con evidente reducción del tamaño de la misma hacia hemiabdomen izquierdo, pero con la novedad de la ulceración en piel (Figura 2).
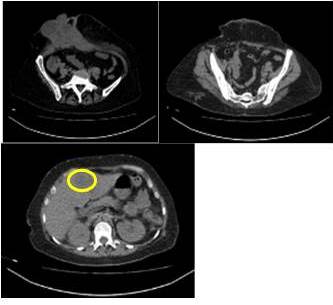
En vista de estos hallazgos, se solicitan estudios de imágenes (TAC de abdomen y pelvis 20/04/20) (Figura 3) se plantea conducta quirúrgica resección amplia más reconstrucción con malla de polipropileno a título paliativo con intención de disminución de carga tumoral.


La cirugía se realiza el 21/05/2020 teniendo cupo en la UCI y catéter de vía central, cuyos hallazgos fueron: lesión ulcerada de 20 cm x 20 cm aproximadamente que comprometía toda la pared abdominal del hemiabdomen derecho (Figura 4), epiplón con lesiones aisladas tipo nódulos los cuales fueron resecados para biopsia, no se evidenció líquido ascítico, indemnidad de asas intestinales y colon, estómago y páncreas. Se palpa lesión sólida extensa hepática segmentos II, III, IV y V, dura, muy sugerente de metástasis. Bazo aumentado de tamaño. Resto de la cavidad sin lesiones.
Nódulo solitario en piel de hipogastrio, duro, el cual fue resecado. Lavado de cavidad, fijación de epiplón mayor a crestas iliacas con vycril 3-0, colocación de malla de polipropileno para corregir defecto (Figura 5), colocación de dren portovac ¼ y síntesis por planos (Figura 6). Presenta una evolución posoperatoria favorable, sin complicaciones y es egresada a las 24 h por pandemia de Covid-19.



Se recibe resultado de biopsia 20-30-TV que reporta (Figura 7) envase 1: con formación tisular que mide 16 cm x 13 cm x 8 cm, con fragmento de epiplón adherido de 10 cm x 6 cm y lesión tumoral irregular de 14 cm x 13 cm x 8 cm, compatible con adenocarcinoma umbilical primario seroso de alto grado, bien diferenciado, ampliamente infiltrante a tejido celular subcutáneo y muscular estriado. Embolización tumoral vascular, sanguínea, linfática y perin
Se recibe resultado de biopsia 20-30-TV que reporta (Figura 7) envase 1: con formación tisular que mide 16 cm x 13 cm x 8 cm, con fragmento de epiplón adherido de 10 cm x 6 cm y lesión tumoral irregular de 14 cm x 13 cm x 8 cm, compatible con adenocarcinoma umbilical primario seroso de alto grado, bien diferenciado, ampliamente infiltrante a tejido celular subcutáneo y muscular estriado. Embolización tumoral vascular, sanguínea, linfática y perineural. Márgenes de resección quirúrgica profundos con evidencia de infiltración neoplásica.
Envase 2: formación tisular que mide 6 cm x 4 cm x 1 cm tejido epiploico con reacción mesotelial y áreas de hemorragia reciente sin evidencia de células neoplásicas.
Envase 3: losange de piel que mide 1 cm x 0,6 cm identificado como nódulo en región hipogástrica: adenocarcinoma de alto grado moderado ha pobremente diferenciado, infiltrante, incompletamente resecado en extensión y profundidad, que pareciera corresponder a metástasis local.

DISCUSIÓN
Los tumores malignos en la región umbilical representan más del 10 % de las neoplasias que afectan la piel de la pared anterior del abdomen. Esta región anatómica alberga numerosas conexiones vasculares y embriológicas con los órganos abdominales, lo que favorece la aparición de metástasis derivadas de diferentes tumores viscerales (2). Sin embargo, los tumores umbilicales primarios representan solo el 20 % de los tumores malignos en esa ubicación, y hasta la fecha se han informado muy pocos casos.
La mayoría de los adenocarcinomas de la región umbilical son secundarios y son llamados nódulo de la hermana Mary Joseph. El adenocarcinoma umbilical primario podría surgir de un endometrioma pre-existente, del mesotelio celómico o de un remanente embriológico del ombligo. Los dos remanentes embriológicos umbilicales son el tracto vitelino-intestinal (onfalomesentérico) y uraco (3).
Las metástasis secundarias al ombligo en los hombres pueden originarse en el estómago, colon y recto, páncreas, pulmón o próstata. En raras ocasiones, el adenocarcinoma del divertículo de Meckel puede extenderse al ombligo. En las mujeres, la metástasis secundaria puede originarse en el ovario, el endometrio, el colon o recto, el estómago, el páncreas, el cuello uterino o la mama (4). Otras posibilidades son el carcinoma seroso primario del peritoneo con diseminación al ombligo.
En nuestra paciente, la ausencia de cualquier otro tumor, que podría ser la fuente primaria, y los hallazgos histológicos han indicado que la lesión es un adenocarcinoma seroso primario. Se ha excluido la presencia de endometrioma pre-existente o el origen ginecológico del tumor, dado principalmente por los estudios de inmunohistoquímica. La paciente era posmenopáusica sin síntomas ginecológicos al momento de la enfermedad actual.
Los tumores umbilicales pueden presentarse como un nódulo de tamaño variable, que puede ser doloroso y, a veces, ulcerado. También puede haber un absceso subyacente al tumor. El tipo histológico más frecuente son principalmente adenocarcinomas; aunque también se han descrito otros tipos histológicos, como sarcomas, melanomas, carcinomas de células basales y menos común carcinomas basocelulares (5,6).
El epitelio glandular normalmente no está presente en el área umbilical, pero puede aparecer derivado de la metaplasia del epitelio escamoso o de los restos embriológicos glandulares derivados del conducto onfalomesentérico y el uraco (7).
El mecanismo de metástasis del tumor primario al ombligo no está claro; sin embargo, se han propuesto varias hipótesis. La primera es que la diseminación es por infiltración peritoneal (la ruta más común) o por arterias, venas o canales linfáticos. Otra es que la diseminación ocurre a través de estructuras embrionarias como el uraco, el ligamento redondo del hígado, el remanente del conducto vitelino intestinal o la arteria vitelina obliterada (8,9,10,11,12,13,14,15).
Existe una conexión entre el hígado y el ombligo, a través de los canales venosos y linfáticos y estos canales parecen servir de puentes para ello (9). Entendiendo lo comentado anteriormente, la asociación común entre metástasis hepáticas y umbilicales podría sugerir la hipótesis de que el tumor se propaga del primario (ombligo) al hígado, a través del sistema portal y luego a través de los canales linfáticos y/o venosos, se extienden hasta el ombligo.
Sin embargo, todo son hipótesis y aún no está claro si la propagación del tumor umbilical precede a la propagación hepática o viceversa.
Por lo tanto, un tumor umbilical con características histológicas de adenocarcinoma, el problema principal sigue siendo determinar el origen. La inmunohistoquímica puede guiar el diagnóstico, pero es esencial completar una serie de pruebas para descartar la existencia de un tumor primario extra-umbilical (ecografía tiroidea, ecografía abdominal, tomografía computarizada abdominal, colonoscopia, radiografía de tórax, etc.) (10).
El tratamiento de los tumores primarios del ombligo es la conducta quirúrgica con criterios de radicalidad. Durante la cirugía, se deben examinar todos los órganos abdominales, para descartar la existencia de un tumor primario que no se había detectado previamente (11,12).
Además de la resección completa del tumor; es necesario hacer un seguimiento de estos pacientes, en la literatura se ha informado una recaída en el área umbilical, así como la aparición posterior de metástasis hepáticas y linfadenopatías en la región inguinal (13,14). Esto podría indicar la necesidad de un tratamiento adyuvante con quimioterapia o radioterapia en ciertos pacientes (15).
Debido a su mal pronóstico, el tratamiento de los tumores umbilicales tanto primarios como metastásicos es controvertido. El uso de quimioterapia preoperatoria no se descarta pero nunca sustituirá a la cirugía radical. La radioterapia esta descrita como el tratamiento de elección en muchos casos.
Los tumores umbilicales primarios son muy poco frecuentes y existen pocos casos reportados en la literatura.
El adenocarcinoma umbilical primario podría surgir de un endometrioma preexistente, del mesotelio celómico o de un remanente embriológico del ombligo.
El mecanismo de metástasis del tumor primario al ombligo no está claro. Se han propuesto varias hipótesis, bien sea que la diseminación es por infiltración peritoneal por arterias, venas o canales linfáticos o que la diseminación ocurra a través de estructuras embrionarias como el uraco, el ligamento redondo del hígado, el remanente del conducto vitelino intestinal o la arteria vitelina obliterada.
SI hay asociación entre el tumor umbilical primario y las metástasis hepáticas como ocurrió en nuestra paciente. El tumor se propaga del primario al hígado, a través del sistema portal y luego a través de los canales linfáticos y/o venosos.
El tratamiento clave es la cirugía radical. El tratamiento adyuvante con quimioterapia y en algunos casos radioterapia está indicada.
REFERENCIAS
1. Goyal S, Jain A, Goyal S. Umbilical cutaneous nodule: A diagnostic dilemma. Clin Cancer Investig J. 2014;3:420-422.
2. Wilcox EA, Greenblatt RB. Umbilical cancer. Am J Surg. 1936;34(1):116-118. doi:10.1016/s0002-9610(36)90858-9.
3. Nakamura Y, Teramoto Y, Tanaka R, Nakamura Y, Maruyama H, Fujisawa Y, et al. Surgical management of umbilical basal cell carcinoma: Published work review and the optimal depth of surgical excision. Dermatol. 2014;41:992-995.
4. Zhou Z, Zhang D. Sister Mary Joseph nodule. Clin Case Rep. 2015;4:214-215.
5. Pearl DK, Scott EL. The anatomical distribution of skin cancers. Int J Epidemiol. 1986;15:502-506.
6. Steck WD, Helwig EB. Tumors of the umbilicus. Cancer. 1965;18(7):)907-915.
7. Popovska S, Veselinova T, Gorchev G, Tomov S, Elenchev L. Primary peritoneal carcinoma: A report of two cases and a review of the literature. Akush Ginekol (Sofiia). 2005;44:8-10.
8. Schickler RL, Abdallah R, McClung EC, Shahzad MM. Primary peritoneal carcinoma presenting as a Sister Mary Joseph’s nodule: A case report and review of the literature. Gynecol Oncol Rep. 2016;17:20-22.
9. Abeldaño A, Hernandez M, Demarchi M, Pincay L, Brea P, Kien C, et al. Basal cell carcinoma of unusual localization. Arch Argent Dermatol. 2009;41:77-83.
10. Steck W, Helwig E. Tumors of the umbilicus. Disponible en: URL: https://acsjournals.onlinelibrary.wiley.com/doi/pdfdirect/10.1002/10970142%28196507%2918%3A7%3C907%3A%3AAID-CNCR2820180721%3E3.0.CO%3B2-U
11. Gabriele R, Conte M, Egidi F, Borghese M. Umbilical metastases: Current viewpoint. World J Surg Oncol. 2005;3:13 doi:10.1186/1477-7819-3-13
12. Barrow MV. Metastatic tumors of the umbilicus. J Chron Dis. 1966;19:1113-1117.
13. Al-Mashat F, Sibiany AM. Sister Mary Joseph's nodule of the umbilicus: Is it always of gastric origin? A review of eight cases at different sites of origin. Indian J Cancer. 2010;47:65-69.
14. Mechsner S, Bartley J, Infanger M, Loddenkemper C, Herbel J, Ebert AD. Clinical management and immunohistochemically analysis of umbilical endometriosis. Arch Gynecol Obstet. 2009;280:235-242.
15. Das A. Umbilical lesions: A cluster of known unknowns and unknown unknowns. Cureus. 2019;11(8):e5309.
Notas de autor
massielfernandez@hotmail.com.