ADENOCARCINOMA MUCINOSO CON PATRÓN DE CRECIMIENTO “LEPÍDICO”. TÉRMINO A ACTUALIZAR. A PROPÓSITO DE UN CASO
ADENOCARCINOMA MUCINOSO CON PATRÓN DE CRECIMIENTO “LEPÍDICO”. TÉRMINO A ACTUALIZAR. A PROPÓSITO DE UN CASO
Revista Venezolana de Oncología, vol. 34, núm. 3, pp. 152-159, 2022
Sociedad Venezolana de Oncología

Recepción: 31 Julio 2021
Aprobación: 15 Febrero 2022
Resumen: El cáncer de pulmón es una de las neoplasias más frecuentes alrededor del mundo. Hay dos tipos principales de cáncer de pulmón: cáncer de células pequeñas y cáncer de células no pequeñas, este último representa el 80 % de todos los cánceres el adenocarcinoma es el más frecuente. OBJETIVO: Presentar un subtipo de neoplasia rara con incidencia variable, con buen pronóstico como lo es el adenocarcinoma mucinoso con patrón de crecimiento “lepídico; anteriormente conocido como carcinoma bronquiolo alveolar mucinoso, un término hoy actualizar. CASO CLÍNICO: Paciente masculino de 75 años con una lesión en pulmón izquierdo, los estudios de imagen revelaron enfermedad localizada, con reporte histopatológico que mostró neoplasia pulmonar de células no pequeñas. Se realizó el diagnóstico de adenocarcinoma mucinoso con patrón de crecimiento “lepídico. DISCUSIÓN: El adenocarcinoma mucinoso con patrón de crecimiento “lepídico”, es el más frecuentemente de los adenocarcinomas, es multicéntrico, más extensivo, se puede presentar como imagen pseudoneumónica y que puede comprometer a todo un lóbulo pulmonar como en nuestro caso. CONCLUSIÓN: Los nuevos desafíos en el diagnóstico del cáncer de pulmón, sobre todo cuando se trate del denominado adenocarcinoma bronquiolo alveolar mucinoso. Es hoy un término a actualizar como un gran desafío diagnóstico, que permita, a través de los estudios imágenes de alta resolución o de estudios moleculares a métodos de detección temprana, para así desarrollar nuevas herramientas de estrategias terapéuticas.
Palabras clave: Cáncer, pulmón, adenocarcinoma, lepídico, bronquiolo alveolar, carcinoma, mucinoso.
Abstract: The lung cancer is one of the most frequent neoplasms around the world. There are two main types of the lung cancer: The small cell cancer and the non-small cell cancer, the latter represents 80 % of all cancers, and the adenocarcinoma is the most common. OBJECTIVE: To present a rare neoplasm subtype with variable incidence, but with a good prognosis such as the mucinous adenocarcinoma with a “lepidic growth pattern; formerly known as mucinous alveolar bronchiole carcinoma. A term today update. CLINICAL CASE: A 75 year old male patient with an injury to the left lung, the imaging studies revealed localized disease, with a histopathological report showing non-small cell lung neoplasia. Based on these findings, the diagnosis of mucinous adenocarcinoma with a “lepidic growth pattern” was made. DISCUSION: The mucinous adenocarcinoma with a "lepidic" growth pattern is the most frequently of the adenocarcinomas, it is multicenter, more extensive, it can present as a pseudo-pneumonic image and it can compromise an entire pulmonary lobe as in our case. CONCLUSION: The new challenges in the diagnosis of the lung cancer, especially when it comes to the so-called mucinous alveolar bronchiole adenocarcinoma. Today it is a term to update as a great diagnostic challenge, which allows, through high resolution imaging or the molecular studies to early detection methods, in order to develop new tools for the therapeutic strategies.
Keywords: Cancer, lung, adenocarcinoma, lepid, alveolar bronchiole, mucinous.
INTRODUCCIÓN
El cáncer de pulmón se origina en el epitelio de la vía respiratoria, que cuenta con una población celular compuesta por células ciliadas, intermedias, secretorias (células globet en la vía aérea principal y células claras en la pequeña vía aérea), células basales y células neuroendocrinas; algunas de ellas se han propuesto como el origen de los diferentes subtipos del cáncer de pulmón, basándose en la morfología y características específicas de cada variedad (1).
Algunos tipos tumorales parecen desarrollarse a través de cambios morfológicos progresivos que se correlacionan con alteraciones moleculares, pero otros parecen surgir en un epitelio histológicamente normal; esas diferencias reflejan los distintos compartimentos anatómicos y funcionales del tracto respiratorio.
Existen las lesiones pre-invasoras que incluyen la metaplasia escamosa con displasia y carcinoma in situ, la hiperplasia adenomatosa atípica y la hiperplasia idiopática pulmonar difusa de células neuroendocrinas (2).
Sin embargo, no existe una génesis o un patrón precursor único para los diferentes tipos tumorales, es por ello que la carcinogénesis de campo juega un papel muy importante en el desarrollo del cáncer e incluye la diseminación de clones pre-invasivos a lo largo del epitelio respiratorio o el desarrollo de múltiples y separados focos de lesiones pre-invasoras como la displasia escamosa o el carcinoma in situ. Además de la bien conocida y caracterizada progresión del carcinoma epidermoide y de algunos adenocarcinoma como el bronquiolo alveolar (2).
En el carcinoma broncogénico la inflamación juega un papel importante, el cual al menos está relacionado con la exposición al humo del tabaco, es un factor importante que contribuye al desarrollo y progresión del cáncer.
El proceso inflamatorio crónico coadyuva a la progresión de los cambios pre-invasivos metaplásicos hacia el proceso invasor, asimismo, promueve la angiogénesis de las células dentro de los tumores invasores. También existen entre otros cambios, la activación de la ciclo-oxigenasa COX-2, la cual cataliza la síntesis de prostaglandinas pro-inflamatorias.
Los adenocarcinoma pulmonares pueden desarrollarse de diferentes células epiteliales del árbol respiratorio. De acuerdo con esto podemos clasificarlos en dos tipos fundamentales: 1. Los originados en la vía aérea distal (unidad respiratoria terminal) 2. Los tumores glandulares, que se originan en el epitelio bronquial (células de revestimiento o glándulas bronquiales).
El adenocarcinoma bronquiolo alveolar se origina en la unidad respiratoria terminal (1,2,3). El carcinoma bronquiolo alveolar (CBA) es un subtipo de adenocarcinoma poco frecuente, representando alrededor de un 4 % de todos los cánceres de células no pequeñas, siempre ha tenido una historia de controversia en cuanto a su diagnóstico, se presenta en individuos adultos con igual distribución de género. Está relacionado con el hábito tabáquico como la principal causa para desarrollar cáncer al igual que el resto de los carcinomas de pulmón, sin embargo, esta neoplasia suele presentarse en pacientes que nunca se han expuesto al humo del tabaco y con ligero predominio en sexo femenino (2).
En el CBA, histológicamente se pueden distinguir dos tipos:
1. Mucinoso (tipo I) 2. No mucinoso (tipo II). Radiológicamente se lo puede ver de tres maneras: 1. Forma símil neumonía. 2. Masa solitaria periférica. 3. Múltiples opacidades redondeadas en uno o más campos pulmonares.
El CBA es un adenocarcinoma con crecimiento exclusivo que reviste espacios alveolares preexistentes (crecimiento lepídico); eso lo transforma en un carcinoma in situ porque conceptualmente no puede invadir el estroma ni la pleura y no puede dar metástasis. Por lo que se identifican dos tipos de CBA: a. No mucinoso, originado en células de clara o en neumonocitos tipo II. b. Mucinoso, constituido por células cilíndricas altas llenas de mucina, originado en células caliciformes(4,5).
El CBA no mucinoso o tipo II se asocia a la mutación de EGFR, con inmunohistoquímica es positivo con CK7 y TTF1, negativo con CK20; suele originarse en un foco de hiperplasia adenomatosa atípica y da imagen en vidrio esmerilado en la tomografía computada (TC). El CBA mucinoso o tipo I es más frecuentemente multicéntrico, más extensivo, puede presentar imagen pseudoneumónica con compromiso de todo un lóbulo; está relacionado con la mutación del gen K-Ras, no con mutación de EGFR, con inmunohistoquímica es positivo con CK20 y puede no ser positivo con CK7 y TTF1, no se relaciona con la hiperplasia adenomatosa atípica y en la TC presenta imagen de consolidación (4).
El término CBA, tradicionalmente se había empleado para definir los adenocarcinomas pulmonares que presentan crecimiento lepídico en la muestra de anatomía patológica. El crecimiento lepídico consiste en la proliferación de células neoplásicas que revisten las superficies de las paredes alveolares preservando la arquitectura pulmonar.
Debido a las múltiples controversias, y que no todos los involucrados en el diagnóstico y tratamiento del cáncer de pulmón han tomado claramente estos actuales conceptos; se ha propuesto una nueva clasificación del adenocarcinoma, si bien el concepto de CBA debe estar restringido a aquellos tumores que solo tienen crecimiento de tipo “lepídico”, ya se torna de una forma imprecisa al englobar aquellos tumores con comportamientos clínicos muy diferentes.
Con respecto al hallazgo de diagnósticos de CBA en tumores con focos de invasión, o en publicaciones acerca de CBA con metástasis ganglionares o infiltración pleural; recientemente ha sido publicada en el año 2011, una propuesta con una nueva clasificación de adenocarcinoma realizada por un equipo de especialista en conjunto de la European Respiratory Society (ERS), la American Thoracic Society (ATS) y la International Association for the Study of Lung Cancer (IASLC) estas dictan la más reciente clasificación del adenocarcinoma pulmonar en donde se hace la sugerencia de dejar a un lado el término CBA.
En esta nueva clasificación del adenocarcinoma pulmonar se contemplan nuevas categorías que con anterioridad se englobaban bajo el concepto de CBA:
1. Lesiones pre invasivas: adenocarcinoma in situ (antiguamente adenocarcinoma bronquiolo alveolar) no mucinoso, mucinoso, mixto mucinoso/no mucinoso.
2. Adenocarcinoma mínimamente invasivo, (tumor de crecimiento lepídico predominante con ≤ 5 mm de invasión) no mucinoso, mucinoso, mixto mucinoso/no mucinoso.
3. Adenocarcinoma invasor: predominantemente de crecimiento “lepídico”. Predominantemente acinar, predominantemente papilar, predominantemente micropapilar, predominantemente sólido.
4. Variantes: adenocarcinoma mucinoso con patrón de crecimiento “lepídico” (anteriormente adenocarcinoma bronquiolo alveolar mucinoso). Cistoadenocarcinoma mucinoso coloide(4,5).
Esta nueva clasificación del adenocarcinoma categoriza tanto la hiperplasia adenomatosa atípica y al CBA como lesiones pre-invasivas, reemplazando el confuso término CBA por el de adenocarcinoma in situ con lo que se refuerza el concepto de ausencia de invasión. Con respecto a los dos tipos de CBA expuestos con anterioridad, están en discusión la persistencia de la categoría CBA mucinoso dado que, en general, corresponde a lesiones extensas en las que es imposible asegurar que no haya focos de invasión. Se propone clasificarlo como adenocarcinoma mucinoso siempre, si bien persiste el tipo adenocarcinoma mucinoso in situ (ex CBA) que sería aplicable solo en lesiones pequeñas en las que se demuestre crecimiento lepídico exclusivo.
Aparece la categoría de adenocarcinoma micro-invasor y establece el criterio para aplicar este concepto, considerando como tal todo tumor menor de 3 cm con componente de crecimiento lepídico predominante y área de invasión de menos de 5 mm.
De los tumores invasores se elimina el tipo histológico adenocarcinoma mixto, porque se considera que más del 90 % de los adenocarcinoma son mixtos, con lo cual se pierden características tumorales que tienen significado pronóstico diferente.
La nueva clasificación propone clasificar el adenocarcinoma por el tipo histológico predominante (el que constituya el mayor porcentaje de la lesión)(4,5,6).
Dado que el adenocarcinoma bronquiolo alveolar, trata de una estirpe de carcinoma broncogénico de presentación, evolución y pronóstico no habitual, se reporta a continuación el caso de un paciente masculino con diagnóstico histopatológico de adenocarcinoma mucinoso con patrón de crecimiento “lepídico” (anteriormente adenocarcinoma bronquiolo alveolar mucinoso).
CASO CLÍNICO
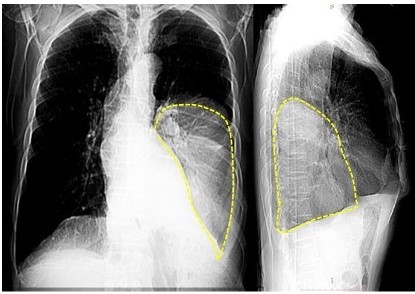
Paciente masculino de 75 años de edad, sin antecedentes de hábitos tabáquicos, ni patológicos de importancia, quien consulta por presentar tos persistente de tres meses de evolución sin secreción que no responde al tratamiento, sin otra sintomatología (dolor y/o dificultad para respirar), motivo por cual consulta a facultativo quien indica estudios de imágenes: radiografía de tórax en proyección anteroposterior y lateral en donde aprecia imagen que ocupa todo el tercio inferior del hemitórax izquierdo (Figura 1 A y 1B).

A la exploración física lo positivo en la esfera respiratoria encontramos a la percusión torácica matidez y a la auscultación murmullo vesicular abolido en el en el tercio inferior del hemitórax izquierdo. El resto del examen físico estaba dentro de lo normal. Los exámenes complementarios realizados mostraron resultados normales. Se solicita TC de tórax que reporta lesión de tejido blando redonda ovalada de contorno definidos con contacto pleural, que mide 19,8 cm x 15,5 cm, con desplazamiento de las estructuras cardio-mediastinales engrosamiento intersticial difuso con bandas atelectásicas en el lóbulo inferior izquierdo (Figura 2). Se programa el caso para cirugía, pero previamente se solicita estudio de funcionalismo funcional (espirometría) la cual reporta los siguientes valores: capacidad vital forzada (CVF) 75 % volumen espiratorio forzado en el 1° seg 70 % (FEV1), relación CVF y FEV1 75 % por lo que se interpreta un patrón espirométrico mixto debido a que se detectó obstrucción + restricción

El paciente es intervenido quirúrgicamente mediante toracotomía posterolateral izquierda, a la apertura de la cavidad torácica se encuentra una tumoración gigante de color fucsia blanquecino amarillento, que a su extirpación tiene un peso de 250 g, con una medida 15 cm x 12 cm de diámetro, aproximadamente, a la apertura de la pieza quirúrgica se aprecia un aspecto mixoide blanco amarillento nacarado (Figura 3).

Descripción macroscópica: se recibe segmento lingular (pulmón izquierdo) de 14 cm x 8 cm x 8 cm, superficie externa lisa de color pardo oscuro evidenciándose tumoración de 16 cm x 12 cm x 12 cm, amarillento blando con múltiples trayectos vasculares de bordes bien definido con material de aspecto mixoide ocupando el 90 % de la superficie. Estudio histopatológico: secciones de biopsias de parénquima pulmonar en cuyo espesor se evidencia neoplasia maligna de origen epitelial formada por estructura túbulo glandulares con células cúbicas con núcleos grandes, hipercromáticos y atípicos con zonas de secreción mucinosa, cuyo crecimiento tumoral se extiende a lo largo de las paredes alveolares, cuyo revestimiento habitual está sustituido por células cúbicas altas, con núcleos ligeramente pleomórficos e hipercromáticos, de localización basal, sin evidencia de figuras mitóticas atípicas rodeados de citoplasma anfofílico. Los tabiques interalveolares se evidencian ligeramente engrosados con fibrosis, sin evidencia de invasión vascular, linfática o necrosis. El tejido pulmonar no neoplásico exhibe áreas de atelectasia y enfisema. Hallazgos histopatológicos compatibles con el diagnóstico de adenocarcinoma bronquiolo alveolar mucinoso. Conocido en la actualidad como adenocarcinoma mucinoso con patrón de crecimiento “lepídico”.
El paciente con evolución satisfactoria en el posoperatorio inmediato, es dado de alta a las 72 h.
DISCUSIÓN
El adenocarcinoma bronquiolo alveolar (ABA) es un subtipo de adenocarcinoma pulmonar cuya incidencia es incierta; en los EE.UU, se estima que su prevalencia varía entre el 5 % y el 24 % según las series (8). Este tipo de neoplasia pulmonar tiene muchas particularidades que lo diferencian del resto del cáncer de pulmón.
La Organización Mundial de la Salud (OMS) en el año 2004 publicó la vigente clasificación de las neoplasias de pulmón según el tipo histológico, los cambios que se suscitaron en mayor proporción tuvieron que ver fundamentalmente en relación con el adenocarcinoma.
Son varias las razones expuestas que predominan para dichos cambios como: 1. El adenocarcinoma ha tenido un crecimiento proporcionalmente en frecuencia sobre los otros tipos de carcinoma y constituyéndose en la actualidad como el carcinoma pulmonar más frecuente. 2. Algunas investigaciones de adenocarcinoma en lesiones pequeñas (< 2 cm - 3 cm) en donde se correlacionó la estrecha relación entre las características histológicas en diferentes tipos de adenocarcinoma, y las características provenientes de los estudios de imágenes como la TC de alta resolución y su relación con el pronóstico en dichos pacientes. 3. Por último el adenocarcinoma en los estudios de biología molecular mostraron diferencias significativas entre los distintos tipos de dicha neoplasia (4,5,6).
El ABA, es una neoplasia de crecimiento exclusivo que reviste los espacios alveolares preexistentes (crecimiento lepídico), lo que lo transforma en un carcinoma in situ porque no puede invadir el estroma ni la pleura y no puede dar metástasis (4).
Desde hace mucho tiempo para los médicos patólogos, el carcinoma de pulmón representaba un gran desafío diagnóstico, debido al tratar de determinar si es un carcinoma de células pequeñas o no pequeñas, factor muy importante para la determinación de la conducta terapéutica. Es por esto que el médico patólogo debe emplear todos los criterios morfológicos y citológicos que tiene en sus manos, para que le permita o lo ayuden hacer una discriminación entre un adenocarcinoma y un carcinoma escamoso, por lo que deberá implementar técnicas de histoquímica (mucicarmin y Pas diastasa) y de inmunohistoquímica para poder llegar a esa diferenciación cuando las características morfológicas no alcancen, e incluso deberá preservar parte de él material de biopsia para probables estudios moleculares (6).
La nueva clasificación sobre el adenocarcinoma de pulmón desarrollada en la primera década del siglo XXI, expuesta con anterioridad a través de una serie de divisiones basadas en los tejidos resecados del parénquima pulmonar de los pacientes con lesiones neoplásicas haciendo una distinción entre lesiones pre-invasivas, mínimamente invasivas e invasivas.
Por lo que siempre habrá nuevos desafíos ante el diagnóstico de cáncer de pulmón y sobre todo cuando se trate del tipo de los adenocarcinoma. En la actualidad se describen nuevas categorías que constituyen un espectro de tumores entre las que se incluyen términos como hiperplasia adenomatosa atípica, adenocarcinoma in situ (AIS) y adenocarcinoma mínimamente invasivo (MIA) así como el término adenocarcinoma invasivo y sus diferentes variantes. El adenocarcinoma in situ se definirá como un adenocarcinoma solitario ≤ a 3 cm con crecimiento netamente lepídico. Donde este grupo puede ser sub-clasificado como mucinoso, no mucinoso o mixto. Los denominados MIA presentan un pequeño tamaño ≤ de 3 cm con componente fundamentalmente lepídico y con un foco de invasión ≤ de 5 mm. Adenocarcinoma de patrón predominantemente lepídico (LPA) (6,7), quedando excluido de este grupo todos aquellos que invadan linfáticos, vasos, pleura o que se presenten con necrosis tumoral.
Los adenocarcinomas invasivos también se suelen subdividir en aquellos con predominio lepídico, acinar, papilar o micropapilar. Asimismo, a este grupo se incorporan, los que tengan un predominio sólido con producción de mucina. Finalmente, esta clasificación se completa con el grupo de las diferentes variantes, como el adenocarcinoma mucinoso invasivo, coloide, fetal de alto bajo grado y entérico (8).
Por lo que siempre habrá nuevos desafíos ante el diagnóstico de cáncer de pulmón y sobre todo cuando se trate del tipo de los adenocarcinoma que, primeramente, se denominaron antiguamente CBA, en la actualidad constituyen un espectro de tumores denominados AIS, MIA y LPA.
Estos tumores son una entidad infrecuente, presentándose en pacientes la 5a década de la vida, tienden a ser multifocales y además con unas características clínicas especiales: predominan en mujeres, de ascendencia asiática y no fumadoras (8,9).
Entre las características histopatológicas del adenocarcinoma se destacan dos: la primera que tienen una citología bien diferenciada y la segunda es que su tendencia a crecer respetando los septos alveolares con preservación de la arquitectura pulmonar subyacente.
El adenocarcinoma mucinoso con patrón de crecimiento “lepídico”, es el más frecuente de los adenocarcinomas, es multicéntrico más extensivo, se puede presentar como imagen pseudoneumónica y puede comprometer a todo un lóbulo pulmonar como en nuestro caso (8).
Este tipo de neoplasia está relacionada con mutación genética de gen K-Ras, no con mutación de EGFR, y el estudio inmunohistoquímico es positivo con CK20 y puede no ser positivo con CK7 y TTF1, no se relaciona con la hiperplasia adenomatosa atípica y en los estudios de imágenes como la TC de pulmón se presenta como una imagen en patrón de consolidación, como en el caso que reportamos (8).
Con referencia a los dos tipos de ABA, persiste y está en discusión la subsistencia de la categoría de ABA mucinoso dado que, en general, corresponde a lesiones extensas en las que es imposible asegurar que no haya focos de invasión.
En este caso, se considera necesario resaltar y traer a colación que no todos los especialistas involucrados (neumólogos, cirujanos de tórax, oncólogos, entre otros) en el diagnóstico y tratamiento del cáncer de pulmón han adoptado de una manera clara y precisa este concepto. Si bien es cierto que el concepto de ABA debe estar limitado a aquellas lesiones tumorales que solo tienen crecimiento de tipo “lepídico”(10,11).
El carcinoma de pulmón, sigue siendo la lesión neoplásica de mayor morbimortalidad a nivel mundial, debido a que su prevalencia sigue en vertiginoso ascenso, es por esto que las investigaciones realizadas en las últimas décadas han permitido obtener una mejor comprensión de todos aquellos factores que participan en el desarrollo de estas neoplasias y en la evolución de los diferentes tipos histológicos. Como es el caso del adenocarcinoma mucinoso con patrón de crecimiento “lepídico”. Un término a actualizar como un gran desafío diagnóstico, que nos permita, a través de estudios por imágenes de alta resolución o de estudios moleculares a métodos de detección temprana, para así desarrollar nuevas herramientas de estrategias terapéuticas.
Una vez que se aplique de una manera más amplia esta nueva clasificación del adenocarcinoma mucinoso, con el reconocimiento del crecimiento predominantemente lepídico como de carcinoma in situ, surgirán investigaciones nuevas y se sumarán a las ya expuestas, y originen cambios en la clasificación del sistema de estadiaje de la AJCC y la International Union Against Cancer (UICC) AJCC-TNM o también en el llamado sistema de estadificación TNM; es por esto que en un futuro se produzca un cambio en el concepto del T en estos tumores, midiéndose el T solo en el componente infiltrante de los adenocarcinomas.
Finalmente, el resultado de toda esta investigación nos permite llegar a la conclusión de que el término CBA no debe volver a ser empleado por el especialista que tiene bajo su responsabilidad el manejo de pacientes con cáncer de pulmón, sobre todo el subtipo ABA mucinoso con patrón de crecimiento predominantemente lepídico.
REFERENCIAS
1. Howington JA, Blum MG, Chang AC, Balekian A, Murthy S. Treatment of stage I and II non-small cell lung cancer: Diagnosis and management of lung cancer, 3rd ED: American College of Chest Physicians evidence-based clinical practice guidelines. Chest 2013;143(Suppl 5): e278S-e313S.
2. Ishizumi T, McWilliams A, MacAulay C, Gazdar A, Lam S. Natural history of bronchial preinvasive lesions. Cancer Metastasis Rev. 2010;29(1):5-14.
3. Klebe S, Henderson DW. Facts and fiction: Premalignant lesions of lung tissues. Pathology. 2013;45:305-315.
4. Dalurzo ML. Actualización en carcinoma de pulmón Rev. Hosp. Ital. B.Aires. 5. 2011;3(12):63-67. Disponible en: URL: https://www.hospitalitaliano.org.ar/multimedia/archivos/noticias_attachs/47/documentos/10692_pag%2063-67%20%20HI%202-5_Dalurzo.pdf
5. Sanz-Santos J,Andreo F, Ruiz-Manzano J. Carcinoma bronco alveolar: un término a actualizar. 2014;50(4):129-158. Disponible en: URL: https://www.archbronconeumol.org/es-linkresolver-carcinoma-broncoalveolar-un-termino-actualizar-S0300289613002226
6. Noguchi M. Stepwise progression of pulmonary adenocarcinoma--clinical and molecular implications. Cancer Metastasis Rev. 2010;29(1):15-21.
7. Olaiz Navarro B, Antunes V, Quílez Ruiz-Rico N, Bravo JL, Montoro Zulueta F, Hoyos Vázquez N, et al. Adenocarcinoma. Rev Patol Respir. 2014;17(3):94-97.
8 Read WL, Page NC, Tierney RM, Piocirillo JF, Govindan R. The epidemiology of bronquioloalveolar carcinoma over the past two decades: Analysis of SEER database. Lung Cancer. 2004;45:137-142.
9. López A, Pozi F, Martín JL, Villena V, Sayas J, Grupo Cooperativo de Carcinoma Broncogénico de la Sociedad Española de Neumología y Cirugía Torácica (GCCB-S. Carcinoma bronquioloalveolar en España. Un cáncer de pulmón infrecuente y diferente. Arch Bronconeumol. 2006;42(8):399-403.
10. Breathnach OS, Kwiatkowski DJ, Finkelstein DM, Godleski J, Sugarbaker DJ, Jonson BE. Bronchioloalveolar carcinoma of the lung: Recurrences and survival in patients with stage I disease. J Thorac Cardiovasc Surg. 2001;121:42-47.
11. Laskin JJ. Bronchoalveolar carcinoma: Current treatment and future trends. Clin Lung Cancer 2004;6 (Suppl 2):S75-79.
Notas de autor
jcaraujoc_65@hotmail.com.