CASOS CLÍNICOS
TUMORES ÓSEOS BENIGNOS DE PARED COSTAL DE COMPORTAMIENTO AGRESIVO LOCAL Y POTENCIAL DISEMINACIÓN A DISTANCIA
TUMORES ÓSEOS BENIGNOS DE PARED COSTAL DE COMPORTAMIENTO AGRESIVO LOCAL Y POTENCIAL DISEMINACIÓN A DISTANCIA
Revista Venezolana de Oncología, vol. 35, núm. 2, pp. 109-119, 2023
Sociedad Venezolana de Oncología

Recepción: 11 Diciembre 2022
Aprobación: 20 Febrero 2023
Resumen: Los tumores primarios benignos de pared torácica, son un grupo heterogéneo de neoformaciones proliferativas, (expansivas o no), implantadas en los tejidos que la integran a pared de la caja torácica, se originan tanto de los tejidos óseos o cartilaginosos. OBJETIVO: Presentar una patología de pared costal como son los tumores óseos begninos que pueden tener un comportamiento agresivo local con un potencial de diseminación a distancia. CASOS CLÍNICOS: Tres casos clínicos de pacientes con tumores óseos benignos de pared costal de comportamiento agresivo; paciente masculino de 30 años de edad con el dignóstico de granuloma eosinófilo costal; paciente femenina de 26 años de edad con diagnóstico de displasia fibrosa ósea monostótica costal; y paciente masculino de 22 años de edad con dignóstico de tumor óseo de células gigantes costal. DISCUSIÓN: Los tumores óseos benignos costales son alrededor del 1 % de las neoplasias, tienden a pasar desapercibidos, debidos a que tienen características histológicas similares a las de un hueso normal, son circunscritos, encapsulados no invaden estructuras vecinas. Son lesiones que varían en tamaño, localización y agresividad, tienen su origen en la zona de unión del cartílago costal con el esternón, la clavícula o las vértebras. CONCLUSIÓN: Los tumores primarios benignos de la pared torácica, tienen un alto potencial para convertirse en lesiónes malignas, es decir son tumores benignos de comportamiento agresivo, se caracterizan por ser muy sintomáticos, de crecimiento rápido, por romper la cortical y hacerse extracompartimentales en poco tiempo.
Palabras clave: Tumor, óseo, benignos, costilla, agresivo, diseminación, displasia, granuloma, células gigantes.
Abstract: The benign primary tumors of the chest wall, are a heterogeneous group of proliferative neoformations, (expansive or not), implanted in the tissues that integrate it to the wall of the rib cage, originate from both bone or the cartilaginous tissues. OBJECTIVE: To present a costal wall pathology such as benign bone tumors that may have a local aggressive behavior with a potential for the distant dissemination. CLINICAL CASES: Three clinical cases of patients with benign costal wall bone tumors of aggressive behavior; 30 year old male patient with the diagnostic of a costal eosinophilic granulosis; a 26 year old female patient diagnosed with the costal monostotic bone fibrous dysplasia; and a 22 year old male patient with a dignostic of a costal giant cell bone tumor. DISCUSION: The benign costal bone tumors are about 1 % of neoplasms, they tend to go unnoticed, because they have histological characteristics similar to those of a normal bone, are circumscribed, encapsulated and do not invade neighboring structures. They are lesions that vary in size, location and aggressiveness, have their origin in the area of union of the costal cartilage with the sternum, the clavicle or the vertebrae. CONCLUSION: The benign primary tumors of the chest wall have a high potential to become malignant lesions, that is, they are benign tumors of aggressive behavior, they are characterized by being very symptomatic, fast growing, by breaking the cortical and becoming extracompartmental in a short time.
Keywords: Tumor, bone, benign, chest wall, aggressive, dissemination, dysplasia, granuloma, gigant cells.
INTRODUCCIÓN
Los tumores benignos de comportamiento agresivo se caracterizan por ser muy sintomáticos, de crecimiento rápido, por romper la cortical y hacerse intracompartimentales en muy poco tiempo, pero si se dejan evolucionar, rápidamente invaden los tejidos blandos y se hacen extracompartamentales.
Se debe tener en cuenta que algunas de estas lesiones tumorales poseen un potencial de transformación maligna, seguida por metástasis. Estas metástasis, mientras aparentan benignidad histológica, pueden ser letales (1,2).
Los tumores primarios benignos de la pared torácica en su mayoría, son un grupo de neoformaciones proliferativas heterogéneas, (expansivas o no), implantadas en los tejidos que la integran, se pueden originar tanto de los tejidos óseos o cartilaginosos (2), siendo el condroblastoma, las osteopatías giganto celulares, la displasia fibrosa, el osteoma osteoide y el granuloma eosinófilo (3), los más frecuentes, representando 60 % a 70 % del total de los tumores benignos (2,3,4).
El promedio de edad de presentación de los tumores benignos de la pared torácica, es entre 20 a 30 años y para los tumores malignos es generalmente en pacientes mayores de 40 años. Comúnmente los tumores de costillas se deben a lesiones metastásicas(3,4). Se caracterizan por ser muy sintomáticos, de crecimiento rápido, por romper la cortical y hacerse extracompartimentales en muy poco tiempo. Son de manejo complejo por lo que ameritan un estudio detallado y un abordaje exhaustivo para su corrección.
Los tumores benignos de hueso, generalmente, son clasificados por el tipo de tejido neoplásico dentro de la lesión. Se describen siete categorías generales de tumores en el sistema de la clasificación de la Organización Mundial de la Salud (Cuadro 1).

Las estrategias de diagnóstico para los tumores benignos óseos se centran alrededor de la presentación radiográfica inicial. Las radiografías en dos planos son el método mejor para evaluar cualquier lesión del hueso.
El patrón radiológico descrito con más frecuencia es el de una lesión osteolítica expansiva de predominio epifisiario-metafisiario, excéntrica, sin bordes escleróticos (80 % a 85 % de los casos), que puede extenderse hacia la diáfisis y la zona subarticular. Puede presentar también un aspecto mucho más agresivo, con marcada destrucción ósea y compromiso de las partes blandas vecinas (1,3,5). La imagen tridimensional de un tumor benigno del hueso es a veces bastante útil. Esto puede lograrse con tomografía computadorizada (TC) o la imagen de resonancia magnética (RMN). La imagen de TC es particularmente útil identificando la destrucción cortical del hueso. La imagen de RMN también es útil determinando la extensión coronal y sagital de un tumor dentro del canal medular óseo.
Después de que se ha realizado la imagen adecuada del tumor, el próximo paso en el diagnóstico es la biopsia, que puede ser excisional, incisional abierta, o técnicas por aguja gruesa. La biopsia excisional normalmente se ha realizado más para los tumores benignos del hueso que para los malignos, ya que con estas se puede quitar completamente el tumor en el momento de la biopsia.
El tratamiento de los tumores óseos benignos necesita ser individualizado en base a la historia natural conocida de la lesión y en base a los rasgos especiales de cada lesión, y es importante tomar en cuenta la experiencia para determinar el mejor método terapéutico. Los procedimientos terapéuticos quirúrgicos típicamente usados para el tratamiento de lesiones benignas incluyen escisión intralesional, escisión marginal en bloque, y escisión en bloque radical.
Presentamos tres casos de pacientes con diagnóstico de tumores óseos benignos de la pared costal de comportamiento agresivo; un paciente con un tumor de células gigantes, una paciente con displasia fibrosa y un paciente con un granuloma eosinófilo, mostramos los hallazgos en los estudio de imágenes radiografía y TC, los resultados de la anatomía patológica y se revisó la literatura actualizada.
CASO 1
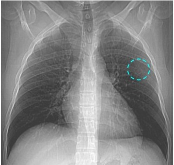
Paciente masculino de 30 años, quien consulta por presentar dolor en región dorsal izquierda, de tres meses de evolución, sin ningún otro acompañante. Al examen físico se constató dolor a la palpación en hemitórax izquierdo sobre el sexto (6o) arco costal posterior, sin alteraciones en la auscultación en ambos campos pulmonares. Se realizaron estudios de laboratorios que estuvieron dentro de los parámetros normales. Los estudios por imágenes como radiografía de tórax y TC evidenciaron; una imagen de defecto, localizada en el ángulo externo del sexto (6o) arco costal, en “pastilla de aspirina”, muy borrosa, de aspecto lítico con aparente abombamiento del periostio y pérdida de sustancia ósea, por lo que se recomienda realizar TC de tórax con ventana ósea y reconstrucción de pared torácica (Figura 1).

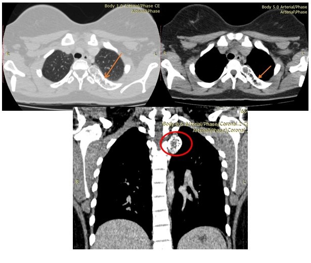
La tomografía multidectector, VCT64 de tórax con reconstrucción 3D, en donde se evidenció lesión única, ocupante de espacio la cual afectaba al sexto (6o) arco costal posterior izquierdo. Expansiva, con una porción central hipodensa de comportamiento osteolítico, con remodelación, adelgazamiento y expansión de la cortical, La lesión midió 16 mm x 36,4 mm x 17,5 mm, sin lesiones en los demás planos óseos. No se evidenciaron lesiones focales ni a nivel de la pleura o del parénquima pulmonar (Figura 2).
Por medio de una toracostomía póstero lateral izquierda, se procede a practicar la resección quirúrgica en bloque del arco costal con los tejidos blandos y la pleura parietal con un margen de resección de 5 cm de margen distal y proximal. Evolución posoperatoria satisfactoria.
El estudio histopatológico, informó que la lesión correspondía a un granuloma eosinófilo histiocitosis de células de Langerhans (histiocitosis maligna) vs., sarcoma granulocítico de arco costal con infiltración a pleura y tejidos blandos circunvecinos.

Por lo tanto, se sugiere estudio inmunohistoquímico para determinar histogénesis de la lesión. En el informe inmunohistopatológico se obtuvo como resultado histiocitosis de células de Langerhans (histiocitosis X), inmunoreactiva al marcador de diferenciación mesenquimal, vimentina y a los marcadores de diferenciación histiocitaria proteína S100 y CD1a) intensamente positivos. El marcador CD15 estuvo expresado en eosinófilo lo cual correspondía a un granuloma esinófilo (histiocitosis de células de Langerhans) (Figura 3).

CASO 2
Paciente femenina de 26 años de edad, con antecedente patológico de carcinoma papilar de tiroides extirpado hace dos años, niega antecedentes familiares, es referida debido a que en un examen radiográfico posteroanterior de tórax, le detectan una radiopacidad a nivel del tercer (3er) arco costal posterior izquierdo, por lo cual fue remitida a la consulta externa de la Unidad de Cirugía de Tórax de nuestro centro hospitalario en donde es valorada. El examen físico y los exámenes de laboratorio dentro de parámetros normales. Por lo cual se indican exámenes clínico complementarios de laboratorio e imágenes (TC de tórax). Exámenes complementarios de laboratorio dentro de parámetro normales. Los estudios de imágenes como la radiografía simple de tórax posteroanterior y lateral, revelan una imagen radiopaca de apariencia redondeada, en forma de burbujas de jabón de unos 5 cm de diámetro, localizada a nivel del tercer (3er) arco costal posterior izquierdo (Figura 4).
En la TC de tórax con reconstrucción en 3D, se evidenció área radiolúcida en topografía de 3º arco costal posterior izquierdo con adelgazamiento y abombamiento de la cortical, de bordes bien definidos microlobulados que mide 5,0 cm x 4,5 cm, sin protrusión de dicha lesión hacia parénquima pulmonar y partes blandas dorsal compatible con lesión neoplásica benigna. Resto del plano óseo y blando sin evidencia de lesiones (Figura 5).


En el análisis histopatológico al examen microscópico se evidencia fragmentos de tejido fibrocolágeno, con matriz colagenosa densa y fibroblastos cortos dispuestos en patrón paucelular. Dicho tejido se observa en continuidad con el tejido adiposo y tejido muscular esquelético, observándose infiltrado escaso de linfocitos maduros.
Asimismo, se observan trabéculas óseas algunas con bordes osteoblásticos arqueadas, dispuestas en un patrón sin sentido (“caracteres chinos”). Desde el punto de vista inmunohistoquímico las células mostraron positividad para vimentina, negativas para citoqueratina de amplio espectro AE1/AE3, S-100, P53. Hallazgo histopatológico e inmunohistoquímico compatibles con el diagnostico de displasia fibrosa ósea monostótica (Figura 6).

CASO 3
Paciente masculino de 22 años de edad, sin antecedentes patológicos personales ni familiares, quien es referido debido a que un examen radiográfico posteroanterior y lateral, se evidencia como hallazgo incidental imagen radiopaca de apariencia redondeada, de unos 5 cm de diámetro, localizada en el décimo (10o) arco costal posterior izquierdo (Figura7), y por lo cual fue remitido a la consulta externa de la Unidad de Cirugía de Tórax de nuestro centro hospitalario en donde es valorado.
El examen físico practicado se encontró dentro de límites normales, motivo por el cual se ordenan exámenes complementarios de laboratorio e imágenes de TC de tórax con ventana y reconstrucción de pared torácica ósea, asimismo, survey óseo. Exámenes complementarios de laboratorio dentro de parámetro normales.
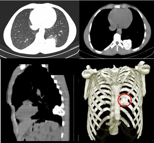
En la TC de tórax con reconstrucción en 3D, se evidenció imagen hiperdensa con áreas hipodensas en su interior, redondeada de bordes bien definidos microlobulados que mide 4,3 cm x 4,3 cm a nivel del 1/3 proximal del décimo (10o) arco costal posterior izquierdo con protrusión de dicha lesión hacia parénquima pulmonar y partes blandas dorsal compatible con lesión neoplásica benigna. Resto del plano óseo y blando sin evidencia de lesiones (Figura 8).

Toracotomía posteror lateral izquierda por planos con abordaje de la cavidad torácica a nivel del 9o espacio intercostal con resección quirúrgica de los 2/3 proximales del 10o arco costal posterior izquierdo con su desarticulación costo vertebral (Figura 9).
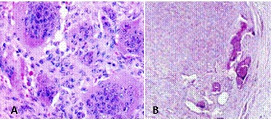
En el análisis microscópico se evidencia neoplasia constituida por dos tipos celulares, células mononucleares, con núcleos redondos a ovales, sin presencia de actividad mitótica y células gigantes multinucleares con más de cincuenta núcleos de bordes irregulares, asimismo. acúmulos de macrófagos espumosos. En los bordes de la lesión se observa tejido óseo neoformado con osteonecrosis y destrucción de la cortical, que corresponde con el diagnóstico de tumor óseo costal de células gigantes (Figura 10).



DISCUSIÓN
Los tumores localizados en las costillas se constituyen en una serie de entidades, que varían en tamaño, localización y agresividad, son frecuentemente benignos y tienen su origen en la zona de unión del cartílago costal con el esternón, la clavícula o las vértebras. Si bien la benignidad del mismo se encuentra establecida por patrones histológicos particulares, su potencial para convertirse en una lesión maligna es alto. Estos tipos de tumores óseos benignos de comportamiento agresivo fueron clasificados en 1980 por Fisher EW (1) y se caracterizan por ser muy sintomáticos, de crecimiento rápido, por romper la cortical y hacerse extra-compartiméntales en muy poco tiempo. Histológicamente son benignos, aunque pueden desarrollar metástasis pulmonares múltiples que comprometen la vida del paciente(1,2,3,4,5,6).
Los tumores óseos benignos costales son alrededor del 1 % de las neoplasias en humanos, son difícil de precisar porque muchas veces pasan desapercibidos, debidos a que tienen características histológicas similares a las de un hueso normal, son circunscritos, encapsulados y no invaden estructuras vecinas, además de ello no cambian el aspecto de la piel que los recubre, ni comprometen la salud y vida del paciente (2,7,8,9).
Como en todo acto médico la fusión de la evaluación clínica, las imágenes y estudio histopatológico, permiten la aproximación al diagnóstico. El diagnóstico clínico inicial demostrará la presencia de una masa dura, dependiente de hueso, que no se desplaza, pero que su crecimiento acelerado nos lleva a pensar que estamos ante la presencia de un tumor maligno o en algunos benignos de comportamiento agresivo, los tumores óseos benignos tienden a ser lentos.
El diagnóstico clínico inicial, demostrará la presencia de una lesión dura, dependiente de hueso, que no se desplaza, y en ocasiones no presenta dolor, este generalmente se debe a distensión de los tejidos blandos de la zona, como efecto de la lesión (1,2,10,11,12)
La radiografía es el principal elemento en el diagnóstico, nos indica el tipo de lesión, nos permite localizar donde se asienta la neoformación, y la respuesta del hueso afectado, hay dos alteraciones en el hueso, la osteolísis que se observa como una radiolucidez y la osteogénesis reactiva la cual es densa. Una lesión osteolítica sin bordes nítidos con compromiso de la cortical se considera de comportamiento maligno, una lesión con bordes esclerosos, nítidos, no rompe la cortical es de comportamiento benigno, radiografías seriadas nos indican la tasa de crecimiento que es directamente proporcional a la agresividad (12).
La TC y la RMN, se constituyen en estudios, que permiten la localización exacta de la lesión, facilitando el abordaje quirúrgico, al mostrar los límites óseos y de partes blandas en los que se centra el tumor, así como el compromiso neurovascular provocado por compresión de estructuras vecinas. La TC es superior a la resonancia para la evaluación del compromiso óseo, tiene la limitación cuando hay material de osteosíntesis que producen destellos que alteran la imagen, es allí donde la RM juega su papel diagnóstico, cuando hay que evaluar el compromiso extracompartimental intramedular.
Sin embargo, cuando se aprecia la presencia de lesiones óseas activas, determinar lesiones poliostóticas, evaluación de todo el esqueleto, mostrar lesiones aun no visibles a los rayos X, la realización de exámenes con radioisótopo marcado como la gammagrafía es obligatoria, para determinar la presencia de uno o más focos tumorales, facilitando la escisión del tumor al delimitar con claridad la zona comprometida y es útil como monitoreo (13,14).
El comportamiento de estos tumores es poco previsible y depende en gran medida de las características histopatológicas, por lo que toda lesión sospechosa se le debe tomar biopsia.
Algunos de estos tumores pueden ser observados sin requerir ningún tipo de intervención, mientras otros requieren escisiones quirúrgicas de diferente complejidad, requiriéndose en ocasiones la reconstrucción parcial o total de la zona afectada.
El tratamiento de elección para estos tipos de tumores óseos, es la intervención quirúrgica con resección completa de la lesión y preservando la arquitectura y la función del hueso. Actualmente, el método de elección es el curetaje óseo y la utilización de terapia quirúrgica coadyuvante, para la cual se han descrito hasta el momento la aplicación de fenol, criocirugía, láser de argón, así como la aplicación de polimetilmetacrilato utilizados con la finalidad de evitar recidivas, las cuales se presentan hasta en un 20 % de los casos sobre todo e estadio I y II, con lo que las recurrencias disminuirían en un 10 %. En el estadio III está indicado un manejo más agresivo, como la resección en bloque con reconstrucción, Cuando ocurre en costilla, se debe realizar la resección en bloque de rutina.
Los tumores óseos primarios benignos de la pared torácica, son entidades que pueden ser localmente agresivas y con un gran potencial de capacidad para su diseminación a distancia, en especial el granuloma eosinófilo, la displasia fibrosa ósea y el tumor de células gigantes, por lo que deben ser individualizado en base a la historia natural conocida de la lesión y su características clínicas, inmagenológicas e histopatológicas. Deben ser tratados con resección amplia de la pared torácica para evitar recurrencias asimismo, con la reconstrucción quirúrgica con material protésico o colgajos miocutáneos desempeñan un papel fundamental en la estabilidad y en el aspecto estético de los pacientes.
REFERENCIAS
1. Gómez-Sánchez A, Cortes-González P, De la Garza-Castro O, Garza-Rodríguez V, Murara-González, Guzmán-López S. Granuloma eosinófilo en el hueso occipital y la silla turca del mismo paciente. Arch Neurocien (Mex). 2005;10(4):261-263.
2. Abad Roy JM, Pérez Sánchez A, Chamizo García JJ, Jiménez F, Martínez P. Granuloma eosinófilo en el hueso temporal. ORL Aragón. 2002;5(1):11-15.
3. Montero S, Reyes M, Vasili A, Castellón M. Granuloma eosinófilo de la mandíbula: reporte de dos casos clínicos. Rev Dent Chile. 2002;93:10-12.
4. In Carbone M, Pastorino U. Surgical treatment of chest wall tumors. Word J Sur. 2001; 25:218-230.
5. Piedemonte C, Rojas A, Romo L. Histiocitosis de células de Langerhans crónica focal (granuloma eosinófilo). Reporte de un caso. Acta Odontol Venez. 2005;43:146-150.
6. Alemán-Sánchez C, Bárbara-Batallar E, Calvo-García C, Méndez-Suárez JL, Sánchez-Enríquez J, Miranda-Calderón G. Granuloma eosinófilo vertebral. Rehabilitation (Madr). 2007;41:189-193.
7. Miyamoto H, Dance G, Wilson D, Goss A. Eosinophilic granuloma of the mandibular condyle. J Oral Maxillofac Surg. 2000;58:560-562.
8. Watzke I, Milles W, Kermes C, Gisslinger H. Multifocal eosinophilic granuloma of the jaw: Long-term follow-up aft a novel intraosseous corticoid treatment for recalcitrant lesions. Oral Surg Oral Med Oral Pathol Oral Radiol Endod. 2000;90:317-322.
9. González S, García A, Berini L, Gay C. Granuloma eosinófilo de los maxilares. Presentación de cuatro casos y revisión de la literatura. Rev Eur Odontoestomatol. 2006; 12:24-46.
10. De Schepper A, Ramón F, Van Mrak E. MR imaging of eosinophilic granuloma: Report of 11 cases. Skeletal Radiology. 1993;22:163-166.
11. Bove A, Sala C, Vidal F, Richart C. Granuloma eosinófilo costal múltiple en edad inusual. Rev Clin Esp. 1988;83(2):101-112.
12. Tateishi U, Gladish GW, Kusumoto M, Hasegawa T, Yokoyama R, Tsuchiya R, et al. Chest wall tumors: Radiologic findings and pathologic correlation: Part 2. Malignant tumors. Radiographics. 2003;23:1491-1508.
13. Núñez Cambre S, Argibay Vázquez J, Barandela Salgado A, Sánchez Salmón V, Pubul Núñez A, Ruibal Morell. La gammagrafía ósea en el granuloma eosinófilo. Oncología, 2004;27(8):509-513.
14. Junco R, Gonzalez Yvei, Rojas J, Cordova F, Duboi V, Jardinez Y. Granuloma eosinófilo craneal solitario. Caso clinico. Rev Chile Neuroc. 2012;38(1):47-51.
Notas de autor
jjcaraujoc_65@hotmail.com.