Resumen: Las neoplasias malignas primarias múltiples son poco frecuentes. Presentamos el caso de un paciente masculino de 65 años de edad con antecedente de carcinoma de células claras de riñón izquierdo estadio II y adenocarcinoma de próstata Gleason 9, con diagnóstico de un tercer primario mixto 30 % hepatocarcinoma y 70 % hepatoblastoma de manera metacrónica, resuelto quirúrgicamente. Realizamos revisión de la literatura.
Palabras clave: Neoplasia maligna, hepatoblastoma, carcinoma hepatocelular, adenocarcinoma, neoplasias secundarias.
Abstract: The multiple primary malignancies are rare. We present the case of a 65 year old male patient with a history of the clear cell carcinoma of the left kidney stage II and Gleason 9 prostate adenocarcinoma, with a diagnosis of a third mixed primary 30 % hepatocarcinoma and 70 % hepatoblastoma metachronically, resolved. surgically. We carry out a review of the literature.
Keywords: Neoplasms, hepatoblastoma, carcinoma, hepatocelular, adenocarcinoma, second neoplasms.
TERCERA NEOPLASIA PRIMARIA: REPORTE DE UN CASO Y REVISIÓN DE LA LITERATURA

Recepción: 31 Marzo 2023
Aprobación: 02 Mayo 2023
Los pacientes con cáncer cursan con riesgo del 20 % de desarrollar otro tipo histológico de cáncer. Las neoplasias múltiples primarias fueron descritas por primera vez por Billroth T, haciendo referencia a otros tumores primarios en diferentes órganos o diferentes histologías que no corresponden a metástasis de un primario (1). Por otra parte, el hepatoblastoma en la edad adulta se distingue por presentar componentes mesenquimales de aspecto maligno (2). Es muy infrecuente por lo cual se realizó revisión exhaustiva de casos publicados donde se encontraban solo 69 casos reportados (3). En el adulto es de mal pronóstico, sin embargo, el tratamiento quirúrgico constituye el gold standart en cuanto al manejo de los hepatoblastomas (2,3).
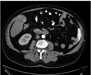
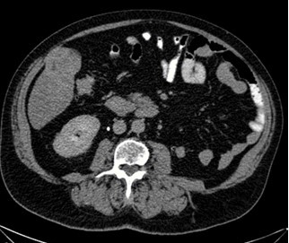
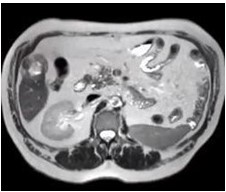
Reportamos el caso de un paciente masculino de 65 años de edad quien consultó por control. Con antecedente de carcinoma de células claras de riñón izquierdo estadio II ameritó nefrectomía radical izquierda y adenocarcinoma de próstata Gleason 9 avanzado oligometastásico, recibió tratamiento con bicalutimada, zoladex y abiraterona acompañado de radioterapia 39 ciclos; hábito OH acentuado, durante la consulta se le evidencia mediante ecografía abdominal lesión ocupante de espacio de segmento V hepático. Fue estudiado con tomografía con protocolo hepático donde se evidencia imagen redondeada de 4,7 cm, que presenta captación discreta heterogénea periférica en fase arterial, lo que sugiere área de necrosis central y un wash out lento en fase de eliminación, dicha lesión está ubicada en el segmento V y se encuentra en íntima relación con los músculos de la pared abdominal anterior ( Figura 1 y 2), Fibroscan en el cual no se evidencia cirrosis hepática, sin embargo, en vista del tamaño del tumor y antecedentes del paciente se decide realizar resonancia magnética nuclear (RMN), en la cual se evidencia lesión redondeada, bien delimitada, heterogénea que mide 5 cm x 4,5 cm x 4,2 cm en lóbulo hepático derecho segmento V con un volumen aproximado de 50 cm3 (Figura 3 y 4), pruebas de funcionalismo hepático alteradas AST 301U/l, ALT 206U/l, alfafetoproteína 244,10 ng/mL, antígeno carcinoembrionario 2,23 ng/mL, Ca 19-9 1,00 U/mL, con CT PET del año anterior negativo, por lo cual se decide realización de intervención quirúrgica con sospecha diagnóstica de carcinoma hepatocelular.




En cirugía se realizó laparotomía exploradora bajo incisión de Kocher se evidenció 1. Hígado micro-nodular, de bordes irregulares, aumentado de consistencia (Figura 5) 2. Lesión de ocupación de espacio (LOE) de 7 cm x 7 cm que abarca segmento V y VI (Figura 6) 3. No se evidenciaron otras lesiones palpables o visibles en hígado o peritoneo. 4. Ecografía intra-operatoria sin otras lesiones satélites. Se realiza movilización de lóbulo hepático derecho con sección de ligamentos coronarios y triangular derecho con Harmonic®, se realiza demarcación con electro bisturí de bordes a 2 cm de la lesión, posteriormente se realiza incisión con Cusa Excel® en bordes delimitados, realizando hemostasia con Argon Plasma® y Harmonic ® hasta planos profundos donde se realiza sección hepática de segmento V y VI con Echelon® cartucho 45 mm blanco, se extrae pieza que se envía para estudio extemporáneo el cual reporta márgenes negativos para malignidad. La evolución posoperatoria fue satisfactoria por lo cual fue egresado al cuarto día posoperatorio.


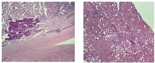
La patología definitiva encontró tumor maligno multinodular con extensas áreas de necrosis de patrón histológico heterogéneo, con áreas sólidas de aspecto epiteloide con células de abundante citoplasma y núcleos vesiculosos con nucléolo prominente, otras áreas con un patrón mixto con células de aspecto inmaduro (Figura 7 y 8). Inmunohistoquímica (Cuadro 1).


Teniendo como hallazgos morfológicos e inmunohistoquímicos compatibles con carcinoma mixto de componente hepatocarcinoma (30 %) y hepatoblastoma (70 %).
En la evaluación posoperatoria multidisciplinaria: cirugía general, anatomía patológica, gastroenterología y oncología médica se decidió seguimiento clínico, control con antígeno carcinoembrionario, de acuerdo a resultados de ser necesario realización de tomografía, y tratamiento adyuvante con inmunoterapia Nivolumab.
Las neoplasias malignas primarias múltiples se describieron por primera vez por Billroth T, en 1889, el cual describió la posibilidad de existir 2 neoplasias de diferente etiología en un mismo paciente (4). Por otra parte, Warren y col. (5) en la actualidad definen las neoplasias malignas primarias múltiples como la presencia de más de una neoplasia en varios órganos o la presencia de 2 o más neoplasias en un mismo órgano de diferentes histologías, estas neoplasias pueden ser simultáneas, sincrónicas o metacrónicas (4,5,6).
La incidencia actual es del 2 %-17 % (7), la fisiopatología se describe por 3 mecanismos, el primero asociado a los fármacos recibidos para la primera neoplasia, segundo como parte de un síndrome ya conocido por ejemplo el Síndrome de Li Fraumeni por alteración en el gen PT53, y por último factores tanto ambientales como inherentes al huésped (genética), dentro de los factores ambientales tenemos: hábito tabáquico, exposición a rayos UV, obesidad, y consumo de alcohol (1,4,7).
El hepatoblastoma es más frecuente en la edad pediátrica generalmente menores de 2 años con una media de edad de 16-18 meses, y es sumamente infrecuente en el adulto, encontramos una revisión sistemática del año 2016 donde los casos reportados en la literatura se encuentran en 69 casos, la sintomatología generalmente está dada por dolor abdominal, distensión abdominal y en algunos casos masa palpable abdominal, el tratamiento es la resección quirúrgica completa (3). El hepatoblastoma tiene una mejor supervivencia en la edad pediátrica en comparación con la edad adulta, por lo que a su vez está contraindicado el trasplante hepático en pacientes adultos con hepatoblastoma, en comparación con lo que ocurre en la edad pediátrica en caso de tumores irresecables (3,8).
Algunas características de los hepatoblastomas en el adulto es que son asociados a fibrosis, cirrosis, o hepatitis virales (A, B, C). Desde el punto de vista histológico existe un aspecto maligno de los elementos mesenquimales y hace recordar los tejidos de fibrosarcoma, osteosarcoma, condrosarcoma, angiosarcoma o rabdomiosarcoma. Sin embargo, las células pequeñas indiferenciadas no son patognomónicas del hepatoblastoma, puede haber presencia de grupos de células ovaladas o redondas altamente indiferenciadas, con escaso citoplasma en el componente epitelial (2).
Por último, los aspectos moleculares con respecto al hepatoblastoma y al carcinoma hepatocelular o hepatocarcinoma, son dos neoplasias primarias totalmente diferentes de los hepatocitos. Genéticamente presentan diferencias y similitudes: los hepatoblastomas se caracterizan por pocos cambios cromosómicos, los cuales presentan ganancias en los cromosomas 1q, 2, 8q, 17q y 20. Por el contrario, los hepatocarcinomas tienen múltiples alteraciones en sus cromosomas, predominantemente pérdidas, con inestabilidad cromosómica cuando se presenta por virus de hepatitis B. Sin embargo, las similitudes que ambos presentan incluyen la ganancia de los cromosomas 1q, 8q y 17q y la pérdida de 4q. y por su parte otra similitud entre los mismos es la activación frecuente de la señalización de Wnt/beta-catenina mediante mutaciones estabilizadoras de beta-catenina. A su vez el estudio inmunohistoquímico de beta-catenina demuestra en ellos acumulación nuclear/citoplasmática de la proteína en la mayoría de los hepatoblastomas y en más de un tercio de los hepatocarcinomas. De una manera inesperada ambos presentan mutaciones de beta-catenina asociadas con la estabilidad cromosómica (9,10).
Las neoplasias malignas primarias múltiples, cada día son más frecuentes debido a mayor supervivencia a los tratamientos recibidos para el cáncer y a su vez gracias a la tecnología que se puede emplear en los pacientes en control oncológico. Por otra parte, es sumamente infrecuente el hepatoblastoma en el adulto, siendo de mal pronóstico y baja supervivencia, asimismo. el tratamiento descrito actualmente es la resección quirúrgica completa del tumor.
RESPONSABILIDADES ÉTICAS: Protección de personas y animales: los autores declaran que para esta investigación no se han realizado experimentos en seres humanos ni en animales. Confidencialidad de los datos: los autores declaran que en este artículo no aparecen datos del paciente. Derecho a la privacidad y consentimiento informado: los autores declaran que en este artículo no aparecen datos del paciente. Conflicto de intereses: los autores declaran no tener ningún conflicto de intereses.
mdroaguerrero@gmail.com







