NEOPLASIAS DEL SISTEMA NERVIOSO PERIFÉRICO EN CABEZA Y CUELLO: CASOS CLÍNICOS REVISIÓN DE LA LITERATURA
NEOPLASIAS DEL SISTEMA NERVIOSO PERIFÉRICO EN CABEZA Y CUELLO: CASOS CLÍNICOS REVISIÓN DE LA LITERATURA
Revista Venezolana de Oncología, vol. 35, núm. 4, pp. 250-259, 2023
Sociedad Venezolana de Oncología

Recepción: 07 Junio 2023
Aprobación: 26 Agosto 2023
Resumen: Los tumores de la vaina de los nervios periféricos comprenden lesiones benignas y malignas, las primeras son más comunes, dentro de estas el neurofibroma y schwannoma. En su diagnóstico es fundamental historia clínica, ecosonograma como estudio de evaluación inicial cervical y resonancia magnética que representa el método diagnóstico ideal. La biopsia por aguja gruesa tiene baja precisión, por lo que la inmunohistoquímica permite definir el diagnóstico. El pilar de tratamiento es resección quirúrgica completa para evitar las recidivas. Presentamos dos casos clínicos, con localizaciones poco frecuentes a las descritas en la literatura, paciente masculino de 64 años con neurofibroma de la glándula submaxilar izquierda y paciente femenino de 68 años con schwannoma en región occipital, los cuales se comprobaron a través de la inmunohistoquímica de la pieza quirúrgica definitiva. Realizados descripción de los casos y revisión de la literatura.
Palabras clave: Neurofibroma, schwannoma, cirugía, inmunohistoquímica.
Abstract: The peripheral nerve sheath tumors include the benign and the malignant lesions, the former being the most common, including the neurofibroma and the schwannoma. In its diagnosis, the clinical history, the echosonogram as an initial the cervical evaluation study, and the magnetic resonance imaging, which represents the ideal diagnostic method, are essential. The core needle biopsy has low diagnostic accuracy, so the immunohistochemistry allows defining the diagnosis. The mainstay of the treatment is the complete surgical resection to prevent the recurrences. We present two clinical cases, with unusual locations compared to those described in the literature, a 64-year-old male patient with neurofibroma of the left submandibular gland and a 68-year-old female patient with schwannoma in the occipital region, which confirmed through the immunohistochemistry study of the final surgical piece. Description of the cases and the review of the literature.
Keywords: Neurofibroma, schwannoma, surgery, immunohistochemistry.
INTRODUCCIÓN
El sistema nervioso periférico está compuesto por nervios periféricos y ganglios nerviosos, que se originan en el tronco encefálico o de la médula espinal y discurren por todo el cuerpo, proporcionando inervación somática y autonómica. Los nervios periféricos están formados por haces de axones y mielinizados por células de Schwann (1).
Los tumores de la vaina de los nervios periféricos abarcan un amplio espectro de lesiones con diferente comportamiento biológico, que incluye neoplasias tanto benignas como malignas, así como la categoría de reciente diagnóstico correspondiente a la neoplasia neurofibromatosa atípica con potencial biológico incierto (Cuadro 1) (2).
Dentro de estas lesiones, tenemos al neurofibroma que es un tumor benigno compuesto por células de Schwann neoplásicas y otros elementos no neoplásicos, que representan los tumores de la vaina de los nervios periféricos más frecuentes y suelen diagnosticarse como lesiones aparentemente esporádicas; sin embargo, cada vez hay más pruebas de que un gran número de neuro-fibromas probados histológicamente surgen en el contexto de la NF1 (2).
El neurofibroma cutáneo esporádico es el subtipo más común de estos, sin embargo, pueden presentarse neuro-fibromas múltiples, en la que puede haber compromiso de varios sitios cutáneos, nervios periféricos y raíces espinales.
Histológicamente predominan las células de Schwann, con núcleos ondulados delgados incrustados en una matriz mixoide con cantidades variables de colágeno dispuestas al azar. El inmunofenotipo (Cuadro 2) se caracteriza por la expresión uniforme de S100 y SOX10 en las células neoplásicas de Schwann, además de EMA y CD34 (1).
Existen variantes del neurofibroma como el localizado/nodular, presente en jóvenes y adultos de edad media, como lesiones generalmente solitarias, no asociada a NF1, localizado generalmente en tronco, extremidades, área de cabeza y cuello. Clínicamente son nódulos dérmicos/subcutáneos bien delimitados. El neurofibroma plexiforme es otra variante del neurofibroma que se asocia con frecuencia a nervios y plexos de mayor tamaño, se da en pacientes jóvenes y afecta con frecuencia (20 %-50 %) a pacientes con NF1, lo que representa un criterio clínico importante para el diagnóstico; es un importante precursor de tumores malignos de la vaina nerviosa periférica. Existen otras variantes, como neurofibroma difuso y masivo.
A pesar de los diferentes tipos, tanto los neurofibromas esporádicos como los asociados a NF1 pueden contener atipia nuclear focal o difusa en ausencia de actividad mitótica aumentada (≥1 mitosis/50 HPF) y/o hipercelularidad. Aunque alarmante, la atipia citológica por sí sola, en el contexto de un neurofibroma especificado, no es por sí misma un criterio de malignidad.
El término neoplasia neuro-fibromatosa atípica con potencial biológico incierto (ANNUBP), se acuñó recientemente para un subconjunto de tumores neurofibromatosos asociados a NF1 que presentan al menos dos de las siguientes características: 1. Atipia nuclear; 2. Hipercelularidad; 3. Aumento de la actividad mitótica (>1 mitosis/50 HPF, pero <3 mitosis/10 HPF); y 4. Una pérdida variable de la arquitectura del neurofibroma. Aunque los análisis inmunohistoquímicos no son útiles para su diagnóstico, una pérdida variable o completa de la expresión de la proteína S100/SOX10 y una pérdida de la red fibroblástica positiva para CD34, que normalmente se encuentran en todos los tipos de neurofibromas, pueden ser indicativas
El segundo en frecuencia es el schwannoma, también denominado neurilenomas o neurinomas o neurilemomas o fibroblastoma perineural, fue descrito en el año 1910 por Verocay y se caracterizan por ser un tumor benigno encapsulado de origen neuroectodérmico constituidos por células de Schwann, que puede surgir de nervio pequeños o grandes (3,4). Son más frecuente entre la cuarta a sexta década de la vida, sin prevalencia de género. La tasa de transformación maligna es poco frecuente. Puede tener una localización latero-cervical y medial, en la primera se ve afectado el plexo cervical y braquial, la ubicación medial comprende los nervios del espacio retro-estiloideo: IX, X, XI, XII y cadena simpática cervical (5).
También se pueden encontrar schwannomas intraorales, principalmente en lengua, paladar, piso de la boca, mucosa oral, los labios y la mandíbula. La localización más frecuente en el área de cabeza y cuello es en el nervio vago y cadena simpática cervical.
Histológicamente presentan dos patrones, el patrón Antoni A, que se caracteriza por alta celularidad, células fusiformes dispuestas en empalizadas y cuerpos de Verocay, estos corresponden a una disposición característica en empalizada de dos filas de núcleos alargados que alternan con zonas a-celulares compuestas por procesos citoplasmáticos. Patrón Antoni B, que presenta una zona hipo-celular con estroma mixoide (formaciones quísticas, zonas de hemorragia, calcificaciones, infiltrado inflamatorio) (6). Inmunohistoquímicamente son difusamente positivos para marcadores de células maduras de Schwann, incluidas las proteínas S100 y SOX-10 (Cuadro 2).

Clínicamente se caracteriza por una masa cervical asintomática generalmente solitaria (90 %), aunque puede presentarse como múltiples en caso de neuro-fibromatosis tipo 2 (NF2); delimitada, móvil en el plano perpendicular al trayecto del nervio afectado y de larga evolución (4).
Se ha propuesto el término general "schwannomatosis" para abarcar el espectro de síndromes caracterizados por el desarrollo o la predisposición a desarrollar schwannomas, incluida la NF2, en oposición al espectro de síndromes caracterizados por el desarrollo de neuro-fibromas, como la NF1 (7).
Además, pueden presentarse signos neurológicos según el nervio involucrado. La lesión del par craneal IX (Glosofaríngeo) produce alteración de la sensibilidad y del gusto del tercio posterior de la lengua, perdida de reflejo faríngeo, disfagia, desviación de la úvula hacia el lado contrario de la lesión. En el caso del X par (nervio vago), se puede presentar disfagia e insuficiencia velo-faríngea. Ocasionalmente se puede producir tos paroxística ante la palpación de la masa latero cervical situada en el borde medial del músculo esternocleidomastoideo; éste es un signo clínico único para el diagnóstico del schwannoma vagal. La lesión del par craneal XI (nervio espinal), comprende limitación para la elevación del hombro, aducción, rotación del hombro y lateralización del cuello. Cuando existe compromiso del nervio hipogloso (XII), se presenta alteración en la deglución y desviación lengua hacia lado de lesión y en el caso del plexo simpático cervical se manifiesta por el síndrome de Horner y síndrome del primer mordisco (8).
Existen criterios diagnósticos de Enzinger y Weiss para schwannoma que comprende: presencia de una cápsula, áreas Antoni A y/o Antoni B, positividad de la reacción S-100 (5). El schwannoma plexiforme, es una variante de schwannoma que tiene predilección por los sitios superficiales, creciendo principalmente en los tejidos cutáneos o subcutáneos, pero también puede desarrollarse en los principales nervios periféricos y plexos. Está asociado con recurrencias locales, pero con transformación maligna extremadamente rara. Otras variantes raras de schwannoma incluyen epitelioide y reticular.
Los tumores malignos de la vaina nerviosa periférica (MPNST), representan alrededor del 5 % de todos los sarcomas y pueden surgir de un nervio periférico o de un neurofibroma preexistente; en alrededor del 50 % de los casos, estos tumores surgen en el contexto de la NF1, mientras que en el resto de los casos parecen ser esporádicos o asociados con una historia previa de radiación. Los tumores esporádicos generalmente ocurren en pacientes con una edad que oscila entre los 30 y los 50 años, mientras que los tumores asociados con NF1 pueden manifestarse en pacientes más jóvenes, incluso en la infancia (9).
Son tumores agresivos caracterizados por una tendencia a invadir los tejidos blandos circundantes y potencial de diseminación metastásica hematógena. Clínicamente se presenta como masas fijas, pétreas, con variabilidad en tamaño y consistencia. Típicamente se desarrolla en asociación con nervios más grandes, rara vez pueden desarrollarse en asociación con los nervios craneales y/o en el compartimiento intracraneal. Tiene predilección en adultos y localizaciones como extremidades, tronco, cara, así como por sitios viscerales, mediastino y el retroperitoneo (10).
Microscópicamente, suelen ser neoplasias celulares compuestas por células fusiformes con núcleos ahusados, con frecuencia tienen áreas hipercelulares e hipocelulares alternas, la actividad mitótica y la necrosis son frecuentes. Los agregados peri-vasculares y dentro de la luz vascular son un rasgo característico. Las tinciones inmunohistoquímicas demuestran una expresión
Microscópicamente, suelen ser neoplasias celulares compuestas por células fusiformes con núcleos ahusados, con frecuencia tienen áreas hipercelulares e hipocelulares alternas, la actividad mitótica y la necrosis son frecuentes. Los agregados peri-vasculares y dentro de la luz vascular son un rasgo característico. Las tinciones inmunohistoquímicas demuestran una expresión variable de S100 y/o SOX10, que está disminuida en comparación con los schwannomas, y puede ser completamente negativa; son positivos para EMA, claudina-1 y GLUT-1 (10).
En el diagnóstico de estos tumores en el área de cabeza y cuello, es importante el cuadro clínico, la nasofibrofaringolaringoscopia y los estudios de imagen, estos últimos nos permiten determinar la localización de la lesión según el desplazamiento de los elementos vasculares, en el caso de afectaciones de los pares craneales del espacio retroestileo (11).
La ecografía proporciona una guía valiosa para hacer un diagnóstico inicial y un plan operativo inicial. Las características que sugieren benignidad son tumores menores de 5 cm, márgenes regulares sin signos de edema peri-tumoral, generalmente homogéneos y solitarios (12).
En el caso de la tomografía no existen características específicas, actualmente la RMN ha reemplazado a la TC debido a una mejor delimitación de los tejidos blandos (13), visualizándose de intensidad intermedia en T1 y heterogéneamente hiperintenso en T2 (Cuadro 3) (14).

La tomografía por emisión de positrones (PET) es un método de imagen que utiliza un medio radiactivo como 18F-FDG para mostrar la actividad metabólica de diferentes tejidos para revelar la función metabólica o bioquímica. PET/CT, el modo de imagen PET más popular en la actualidad, combina PET y CT y puede mostrar simultáneamente los cambios fisiopatológicos y la estructura morfológica de la lesión, ofreciendo más información para el diagnóstico precoz y diagnóstico diferencial de tumores (15).
En el diagnóstico también se incluye la biopsia con aguja gruesa, que puede ser guiada por ecografía o tomografía, pero que presenta una baja precisión diagnóstica en estas neoplasias.
El tratamiento de elección es quirúrgico, con su escisión completa, ya que esto reduce el riesgo de recidiva, realizándose la cirugía lo más conservadora posible y donde es importe identificar preoperatoriamente el nervio de origen. Si es necesario el sacrificio del nervio o de algunas de sus ramas nerviosas, se pueden realizar injertos nerviosos. Para los tumores que surgen de los principales nervios craneales, puede requerir la escisión del tumor con la división del nervio de origen, generando una morbilidad de por vida para los pacientes. Sin embargo, otros métodos de escisión que preservan los nervios, por ejemplo, la enucleación intra-capsular, no garantizan una función nerviosa intacta después de la cirugía.
Debido a la naturaleza indolente y la posibilidad remota de transformación maligna, algunos autores aplican un enfoque de observación. Por lo tanto, la decisión de operar la plantean según el equilibrio entre el riesgo y el beneficio de la cirugía, es decir, la gravedad de la sintomatología preoperatoria y el déficit neurológico posoperatorio previsto. Se debe individualizar el caso en pacientes asintomáticos, con comorbilidades y según la edad del paciente (11).
CASO 1
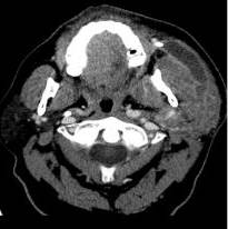
El caso que describimos a continuación, es el de un paciente masculino de 64 años de edad, que consultó por presentar aumento de volumen en región submaxilar izquierda de 8 años de evolución, con crecimiento progresivo en el último año, sin otra sintomatología asociada. Refiere antecedente de hipertensión arterial sistémica y diabetes mellitus, niega quirúrgicos, radioterapia. Hábito tabáquico durante 8 años, con índice paquete año (IPA) de 4. Antecedentes familiares de una hermana con cáncer gástrico y un hermano con cáncer de pulmón. Al examen físico de cabeza y cuello, se palpa tumor de 6 cm x 5 cm en región submaxilar izquierda poco móvil, dolorosa, sin adenomegalias cervicales, sin trismo, cavidad oral sin lesiones. Nasofibrofaringolaringoscopia sin alteraciones. Resto del examen físico sin alteraciones aparentes. Se le realizó ecosonograma de piel y partes blandas, donde se describe lesión ovalada heterogénea de predominio hipo-ecoico en región submaxilar izquierda, de márgenes parcialmente definidos, sin señal vascular al Doppler color, de 3 cm x 2,4 cm x 2,3 cm. Tomografía de cabeza y cuello se evidenció tumor en sólido con áreas quísticas de 5 cm x 4 cm en glándula submaxilar izquierda (Figura 1). Se realizó PAAF de lesión, la cual reporto Bethesda I.

Es llevado a mesa operatoria, realizándose sub-maxilectomía izquierda, encontrando como hallazgos: tumor submaxilar izquierdo de 6 cm x 8 cm, lobulado (Figura 2), de consistencia blanda, sin adenomegalias adyuvantes. Paciente evoluciona de forma satisfactoria, sin eventualidades. Se recibe biopsia (N° 763054) donde se visualizó tumor de 6 cm x 4 cm x 4 cm, con hallazgos histológicos compatibles con Schwannoma con cambios involutivos, índice mitótico de 0 en 10 campos de 400X, ausencia de necrosis, resto de glándula de aspecto usual con áreas de congestión vascular, sin atipia celular ni malignidad. Se solicita inmunohistoquímica de biopsia previa, la cual resulta compatible con tumor benigno del nervio periférico: neurofibroma (Cuadro 4). Paciente se ha mantenido en control por el servicio de cabeza y cuello del Servicio Oncológico Hospitalario (SOH) IVSS, manteniéndose sin recaídas.


CASO 2
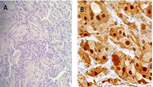
Paciente femenino de 68 años de edad, conocida por servicio de cabeza y cuello del SOH por istmo-lobectomía derecha por nódulo tiroideo hiperplásico, que acude por consulta control refiriendo aumento de volumen en región occipital asociado a prurito. Antecedentes personales de diabetes mellitus, resección de tumor lipomatoso en muslo e istmo-lobectomía derecha por patología ya descrita. Refiere hábito tabáquico durante 48 años con IPA 7. Al examen físico de cabeza y cuello se palpa lesión en región occipital de 1 cm, móvil, dolorosa. No se palpan lesiones región tiroidea, sin adenomegalias. En ecosonograma de piel y partes blandas se visualiza lesión definida de 0,7 cm x 0,8 cm. En vista de persistencia de lesión y paciente referir dolor se decide resección local de la misma, cuya biopsia (N°030-22) reporta lesión fusocelular, con áreas hipercelulares alternas con áreas hipocelulares, sin atipias ni mitosis, hallazgos compatibles con Schwannoma (Figura 3), indicándose estudio inmunohistoquímico que concluye para Schwannoma (Cuadro 5).


DISCUSIÓN
Los tumores de la vaina de los nervios periféricos son lesiones que presentan un amplio espectro morfológico y biológico (2). Las neoplasias benignas son las más frecuentes y dentro de estas el neuro-friboma y el schwannoma. El neurofibroma cutáneo esporádico es el más común, que generalmente se manifiesta como nódulos dérmicos/subcutáneos en el tronco y extremidades; sin embargo, presentamos el caso de una paciente con localización en la glándula submaxilar, que se diagnosticó en el estudio histopatológico de la pieza definitiva como schwannoma, pero se realizó estudio inmunohistoquímico (IHQ), el cual fue concluyente para neurofibroma dado por la positividad para S100 y CD34, este último negativo en los schwannomas.
Es casi imposible diferenciar clínicamente entre un neurofibroma y un schwannoma; a veces es incluso bastante difícil distinguir histológicamente los schwannomas de los neurofibromas. Los cuerpos de Verocay y los vasos sanguíneos hialinizados son dos características distintivas de un schwannoma. Ambos son positivos para la proteína S100, pero se pueden diferenciar empleando una tinción para identificar los axones como CD34 (16).
En la evaluación histológica de la pieza de glándula submaxilar del caso presentado, se observan características de benignidad dadas por, ausencia de mitosis, necrosis e hipo-celularidad y IHQ por Ki67 de 2 %. Sin embargo, hay que tener en cuenta que pueden presentarse casos con atipia nuclear focal o difusa en ausencia de actividad mitótica y/o hipercelularidad. Además, la atipia citológica por sí sola, en el contexto de un neurofibroma especificado, no es por sí misma un criterio de malignidad (1).
El schwannoma, es un tumor de la vaina nerviosa periférica, que generalmente presenta localización latero-cervical y medial, viéndose afectados los nervios del espacio retro-estiloideo, cadena simpática cervical, plexo cervical y braquial (5). También se pueden presentar en región intra-orales, principalmente en lengua, paladar, piso de la boca, mucosa oral, los labios y la mandíbula. Describimos el caso de una paciente con una lesión en piel de la región occipital, una ubicación poco frecuente según lo descrito en la literatura, con positividad IHQ para S-100.
Debemos recordar que existen criterios diagnósticos para schwannomas, descritos por Enzinger y Weiss: presencia de una cápsula, áreas Antoni A y/o Antoni B, positividad de la reacción S-100.
En el diagnóstico de tumores de la vaina nerviosa periférica benignos en el área de cabeza y cuello, es importante la historia clínica (11), dada por lesiones de larga data, como el caso del neurofibroma de glándula submaxilar que describimos que presentaba 8 años de evolución. En ambos casos se realizó ecosonograma como estudio inicial, visualizando una lesión definida de pequeño tamaño que sugirieren benignidad, sin embargo, es el estudio de la pieza definitiva el que definirá esta característica. Hay que destacar que ante sospecha de estos tumores lo ideal es la resonancia magnética, para evaluar los tejidos blandos, pero en los casos que reportamos con ubicación inusual se determinó la presencia de tumor de la vaina nerviosa periférica en el estudio histopatología final.
El tratamiento de elección es estos tumores es quirúrgico, con su escisión completa, que disminuye el riesgo de recidiva, realizándose la cirugía lo más conservadora posible, si es necesario el sacrificio del nervio o de algunas de sus ramas nerviosas, se pueden realizar injertos nerviosos. En los dos casos descritos se realizó resección quirúrgica completa, con identificación en la pieza definitiva de tumores de la vaina de nervios periféricos.
Es importante considerar que, debido a la naturaleza indolente y la posibilidad remota de transformación maligna, algunos autores aplican un enfoque de observación; por lo tanto, la decisión la plantean según el equilibrio entre el riesgo y el beneficio de la cirugía, es decir, la gravedad de la sintomatología preoperatoria y el déficit neurológico posoperatorio previsto. Se debe individualizar el caso en pacientes asintomáticos, con comorbilidades y según la edad del paciente (11). Concluimos en:
· De los tumores de la vaina de los nervios periféricos, los benignas son las más frecuentes y dentro de estas el neurofibroma y el schwannoma.
· Con respecto a los estudios de imagen, en la tomografía no existen características específicas, actualmente la RMN ha reemplazado a la TC debido a una mejor delimitación de los tejidos blandos.
· La biopsia por hematoxilina-Eosina, apoyado de la inmunohistoquímica permiten confirmar el diagnóstico.
· El tratamiento de elección es estos tumores es quirúrgico, con su escisión completa, la cual disminuye el riesgo de recidiva.
REFERENCIAS
1. Belakhoua S, Rodríguez, F. Diagnostic pathology of tumors of peripheral nerve. Neurosurgery. 2021;88(3):443-456.
2. Magro G, Broggi G, Angelico G, Puzzo L, Vecchio G, Virzi V, et al. Practical approach to histological diagnosis of peripheral nerve sheath tumors: An update. Diagnostics (Basel). 2022;12(6):1463.
3. Miettinen M, Antonescu C, Fletcher C, Kim A, Lazar A, Quezado M, et al. Histopathologic evaluation of atypical neurofibromatous tumors and their transformation into malignant peripheral nerve sheath tumor in patients with neurofibromatosis 1-a consensus overview. Hum Pathol. 2017;67:1-10.
4. Vásquez M, Elhendi W, Rodríguez D, Sanmartin A. Schwannomas cervicales. An Orl Mex. 2015;60:51-56.
5. Camacho I, Hidalgo C. El diagnóstico histológico y la inmunohistoquímica de las neoplasias de la vaina del nervio periférico. Patología Rev Latinoam. 2017;55(4):445-464.
6. Wippold F, Lammlea M, Anatellid F, Lennerzd J, Perry A. Neuropathology for the neuroradiologist: Palisades and pseudopalisades. Am J Neuroradiol. 2006;27:2037-2041.
7. Plotkin S, Messiaen L, Legius E, Pancza P, Avery R, Blakeley J, et al. Updated diagnostic criteria and nomenclature for neurofibromatosis type 2 and schwannomatosis: An international consensus recommendation. Genet Med. 2022;24(9):1967-1977.
8. Hin L. Schwannomas extracraneales de cabeza y cuello: estudio del nervio de origen. Eur Arch Otorrinolaringol. 2011; 268(9):1343-1347.
9. Somatilaka B, Sadek A, McKay R. Malignant peripheral nerve sheath tumor: Models, biology, and translation. Oncogene. 2022;41(17):2405-2421.
10. Goldblum J, Folpe A, Weiss S, editores. En: Soft tissue tumors. 7ª edición. Elsevier Health: EE. UU; 2020.
11. Cabezas L, Cardemil F, Cabeza L. Parapharyngeal space tumors, review. Rev. Otorrinolaringol. Cir. Cabeza Cuello. 2015;75:187
12. Winter N, Rattay T, Axer H, Schaffer E, Decard B, Gugel I, et al. Ultrasound assessment of peripheral nerve pathology in neurofibromatosis type 1 and 2. Clin Neurophysiol. 2017;128(5):702-706.
13. Wei C, Yan C, Tang Y, Wang W, Gu Y, Ren J, et al. Computed tomography-based differentiation of benign and malignant craniofacial lesions in patients with neurofibromatosis type I: A machine learning approach. Front Oncol. 2020;10:1192.
14. Well L, Salamon J, Kaul M, Farshtschi S, Herrmann J, Geier K, et al. Differentiation of peripheral nerve sheath tumors in patients with neurofibromatosis type 1 using diffusion-weighted magnetic resonance imaging. Neuro Oncol. 2019;21(4):508-516.
15. Cook G, Lovat E, Siddique M, Goh V, Ferner R, Warbey V. Characterisation of malignant peripheral nerve sheath tumours in neurofibromatosis-1 using heterogeneity analysis of 18 F-FDG PET. Eur J Nucl Med Mol Imaging. 2017;44(11):1845-1852.
16. Biswas D, Marnane C, Mal R, Baldwin D. Benign extracranial nerve sheath tumors of the skull base: Postoperative morbidity and management. Skull Base. 2008;18(2):9-106.
Notas de autor
jmiguelnv808@gmail.com