RADIOTERAPIA DE INTENSIDAD MODULADA EN CÁNCER DE PRÓSTATA LOCALIZADA. EXPERIENCIA VENEZOLANA
RADIOTERAPIA DE INTENSIDAD MODULADA EN CÁNCER DE PRÓSTATA LOCALIZADA. EXPERIENCIA VENEZOLANA
Revista Venezolana de Oncología, vol. 35, núm. 4, pp. 272-286, 2023
Sociedad Venezolana de Oncología

Recepción: 15 Marzo 2023
Aprobación: 29 Mayo 2023
Resumen: OBJETIVO: Recomendaciones basadas en evidencia para cáncer de próstata localizado llevó a la introducción de radioterapia de intensidad modulada en Instituto Médico La Floresta y Centro Médico Docente La Trinidad en 2004. MÉTODO: Estudio observacional de los primeros 869 pacientes con cáncer incluyendo próstata, vesículas seminales, algunos casos los ganglios linfáticos, desde octubre 2004 - diciembre 2015 mediante uso de radioterapia de intensidad modulada y arcos volumétricos. Promedio edad 68,5 años. Según clasificación de la NCCN como: bajo riesgo 6,6 %, riesgo intermedio favorable 22,3 %, riesgo intermedio desfavorable 28,1 %, alto riesgo 28,1 % muy alto riesgo 13 %. Algunos recibieron deprivación androgénica. RESULTADOS: Sobrevida libre de falla bioquímica 10 años 91,2 % bajo riesgo, 93,1 % riesgo intermedio favorable, 85,4 % riego intermedio desfavorable, 81.3% alto riesgo y 82,3 % muy alto riesgo. No se presentaron toxicidades agudas grado 4 y 5. Gastrointestinales agudas 61 % grado 0, 14 % grado 1 y 13 % grado 2. Genitourinarias agudas 31 % grado 0, 31 % grado 1, 36 % grado 2 y grado 3 0,3 %. Gastrointestinales crónicas 82,8 % grado 0, 4, 88 % grado 1, grado 2 4,3 % y grado 3 2,9 %. Genitourinarias agudas y crónicas grado 0 84,2 %, grado 1 7,4 %, grado 2 22,88 % grado 3 0,20 %. CONCLUSIÓN: Esta serie muestra sobrevida libre de recaída química similar a la de centros de excelencia internacional, con aceptables niveles de toxicidad.
Palabras clave: Cáncer, próstata, radioterapia, intensidad modulada, sobrevida.
Abstract: OBJECTIVE: Evidenced based recommendations for management localized prostate cancer lead to introduction of radiation therapy intensity modulated at Medical Institute La Floresta and Medical Center La Trinidad in 2004. METHOD: This observational study of the first 869 patients with cancer treated to prostate, seminal vesical and some cases the lymph node from October 2004 to December 2015 treated using intensity modulated radiation therapy and volumetric arcs. The average age was 68.5 years. Risk stratification using the NCCN criteria classified patients as low risk 6.6, favorable intermediate risk 22.3, unfavorable intermediate risk) 28.1 %, high risk) 28.1 % very high-risk 13 % s. Some patients received androgen deprivation therapy. RESULTS: Biochemical failure free survival at 10 years was 91.2 % low risk, 93.1 % favorable intermedia risk, 85.4 % unfavorable intermedia risk, 81.3 % high risk and 82.3 % very high risk. There were no grade 4 or 5 acute toxicities. Acute gastrointestinal 61 % grade 0, 14 % grade 1 13 % grade 2. Acute genitourinary toxicity 31 % grade 0, 31 % grade 1 36 % grade 2 grade 3 0.3 %. Chronic gastrointestinal 82.8 % grade 0 4.88 % grade 1, grade 2 4.3 % grade 3 2.9 %. Genitourinary toxicity was grade 0 84.2 %, grade 1 7.4 %, grade 2 22.88 % and grade 3 0.20 %. CONCLUSION: This series shows survival biochemical relapse similar to international centers of excellence, with acceptably low level of toxicity.
Keywords: Cancer, prostate, radiation therapy, intensity modulated survival.
INTRODUCCIÓN
En Venezuela, para el año 2021 se estimaba que el cáncer de próstata (CP) ocuparía la tasa más alta de incidencia y mortalidad, siendo de 50,08 % y 22,94 % por cada 100 mil habitantes respectivamente, esperando un mayor número de casos en pacientes con 65 - 74 años (1). Con el descubrimiento del antígeno prostático específico (APE) y su aplicación como método de despistaje para el CP, un gran porcentaje de pacientes están siendo diagnosticados con enfermedad localizada y por lo tanto pueden ser curados con diferentes métodos como la prostatectomía radical, braquiterapia y la radioterapia externa.
En cuatro trabajos prospectivos aleatorizados, se comparó la radioterapia tridimensional con métodos convencionales, todos mostrando que se puede aumentar la dosis al área tumoral con un aumento subsecuente de la sobrevida libre de recaída bioquímica (SLRB) (2,3,4,5). El seguimiento de estas series ha sido de hasta 8,6 años, específicamente la del Hospital MD Anderson. Sin embargo, esta ganancia se obtenía con un aumento pequeño pero significativo de las complicaciones rectales crónicas grado 2, siendo reportadas hasta en un 20 % de los casos (5). Posteriormente, la radioterapia (RT) ha evolucionado de técnicas conformadas a otras mucho más avanzadas que modulan la intensidad de los haces de radiación, lo que permite mayor protección de los órganos a riesgo (OAR) y escalar la dosis en el tumor, mejorando las cifras de control local (CL) y disminuyendo la tasa complicaciones, esta técnica se denomina radioterapia de intensidad modulada (RTIM), conocida por sus siglas en inglés como IMRT.
En el año 2000, Zelefsky y col., publicaron sus resultados preliminares utilizando esta nueva técnica de RTIM, aumentando la dosis hasta 8 100 cGy, con fracciones diarias de 180 cGy, alcanzando un excelente control de la enfermedad con muy pocas complicaciones tardías y crónicas (6,7). Estas cifras se mantuvieron en una actualización de esta serie en el año 2006, con 8,4 años de seguimiento (8).
Debido a lo antes expuesto, desde el año 2004 en nuestras instituciones se empezó a implementar esta técnica de RTIM y desde octubre de dicho año hasta diciembre del 2015 han sido tratado un total de 1 566 pacientes con adenocarcinoma de próstata, de los cuales 869 pacientes se trataron con intención radical recibiendo una dosis de 7 800 cGy, pero con fracciones de 200 cGy, siendo biológicamente equivalentes a las dosis usadas por Zelefsky. A partir del 2012, se empezó a utilizar hipofraccionamiento moderado a dosis diarias de 310 cGy hasta 6 200 cGy en base a resultados preliminares de estudios aleatorizados y meta-análisis que reportaban que son esquemas equivalentes en CL y complicaciones (9,10,11,12), siempre y cuando se obtenga un valor tope menor a 12 puntos en el cuestionario de puntuación internacional de síntomas prostáticos IPSS, por sus siglas en inglés, para obtener una tolerancia adecuada a la RT hipofraccionada (13).
A continuación, se muestran los resultados de los pacientes tratados con intención radical en nuestras instituciones desde el año 2004 al 2015 para obtener al menos 5 años de seguimiento. El objetivo de este trabajo es presentar nuestra experiencia en el tratamiento del adenocarcinoma de próstata localizado utilizando RTIM y comparar los resultados obtenidos con centros de excelencia internacionales.
MÉTODO
Se realizó una revisión de 1 566 historias clínicas de pacientes con diagnóstico de adenocarcinoma de próstata que acudieron a la Unidad de Radioterapia Oncológica GURVE del Instituto Médico La Floresta y al Servicio de Radioterapia Dr. Enrique M. Gutiérrez del Centro Médico Docente La Trinidad para recibir tratamiento con RT durante los años 2004 - 2015.
Los datos obtenidos de las historias clínicas revisadas fueron registrados en una hoja de cálculo en Microsoft Office Excel. Se excluyeron 508 pacientes, por haber sido sometidos previamente a cirugía radical siendo luego referidos para RT adyuvante o de rescate, otros 189 presentaban tipo de histología no adenocarcinoma, no culminaron el tratamiento radiante, habían recibido RT con técnica de planificación conformada 3D, presentaban enfermedad a distancia no oligometastásicas o tenían segundos primarios. Esto nos deja un total de 869 pacientes evaluables.
Se presenta una estadística descriptiva de la población en estudio. Se realizó un análisis de los aspectos clínicos y los resultados de sobrevida causa específica (SCE), sobrevida libre de recaída bioquímica (SLRB), sobrevida libre de metástasis a distancia (SLM) y complicaciones agudas y crónicas.
Todos los pacientes recibieron tratamiento con técnicas de intensidad modulada˸ RTIM y terapia de arcos volumétricos TAVM. Para la planificación del tratamiento se realizó una tomografía de abdomen y pelvis, con cortes 2 mm y reconstrucción tridimensional, en posición supina, con vejiga confortablemente llena. Los volúmenes de los OAR fueron delineados (recto, vejiga, cabezas femorales, médula ósea de la pelvis y bulbo del pene). En cada paciente se utilizó un colchón al vacío tipo Vac-LokTM® como inmovilizador (Figura 1)

La próstata y las vesículas seminales estaban incluidas en el volumen tumoral clínico, conocido por sus siglas en inglés como CTV, a este volumen se agregó 1,5 cm de margen en todos los sentidos con excepción del recto donde solo se agregó 1 cm para crear el volumen tumoral de planificación, conocido por sus siglas en inglés como PTV. Se planificaron tres reducciones al plan inicial, la primera se realizó a los 5 000 cGy excluyendo las vesículas seminales, pero manteniendo los mismos márgenes hasta alcanzar 6 000 cGy, en la segunda se disminuyeron dichos márgenes a 1 cm circunferencialmente y en la tercera y última reducción fue realizada a partir de los 7 000 cGy cerrando el margen posterior a 5 mm hasta alcanzar una dosis total de 7 800 cGy, con fracciones diarias de 200 cGy. En pacientes que pertenecían a los grupos de riesgo intermedio desfavorable, alto, muy alto riesgo y nodal 1, se les incluyeron las regiones ganglionares pélvicas y se le administraron dosis de 4 600 - 5 400 cGy tomando en cuenta las restricciones de las asas intestinales cercanas (14). En casos donde fue empleado el esquema de hipofraccionamiento, los volúmenes de CTV y PTV diseñados son similares en cuanto a sus dimensiones, sin embargo, se realiza solo una reducción a los 3 720 cGy para excluir del CTV las vesículas seminales. La dosis total a administrar es de 6 200 cGy con fracciones diarias de 310 cGy en 5 semanas (15).
Las restricciones de los OAR de complicaciones en casos de fraccionamiento estándar fueron ≤7 000 cGy a menos del 20 % del volumen del recto, ≤ 5 000 cGy a menos del 50 % de recto y 35 % vejiga, ≤ 5 000 cGy al bulbo peniano 5 000 cGy menor al 90 % del volumen y cabezas femorales 1 440 cGy menos del 100 % del volumen y ≤1 000 Gy al 85 % de la médula ósea (16,17 ). En casos donde se empleó el esquema hipo-fraccionado las restricciones del recto fueron V40 < 55 %, V48 < 50 %, V53 < 30 %, V58 < 15 % y V62 < 3 % y de la vejiga el V40 < 50 %, V48 < 25 % y V62 < 5 % (18).
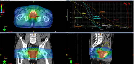
Todos los pacientes fueron tratados con un acelerador lineal marca VARIAN de alta energía (2100 CD y Trilogy)® con un sistema de planificación inversa (ECLIPSE)® y un colimador multiláminas dinámico de 120 hojas utilizando la técnica de ventanas deslizantes. Inicialmente, con la RTIM se utilizaron 5 campos isocéntricos, coplanares, con energía de 18 MV. Aunque el riesgo de segundos primarios radio-inducidos en pacientes tratados con RT y larga sobrevida es muy pequeño (˂1 %) (19), pensamos que debido al uso de gran número de unidades monitores, la contaminación por neutrones que se produce al usar altas energías (18 MV) podría aumentar, por lo que desde el año 2007 se empezó a utilizar la energía de 6 MV. Luego a partir del año 2008 se adquirió el sistema de arcos volumétricos modulados, el cual empleando solo 2 arcos dinámicos permitió reducir el tiempo de tratamiento a menos de una tercera parte. Se le practicó un histograma de dosis volumen para verificar a la dosis administrada a los volúmenes tumorales y a los OAR de complicaciones. (Figura 2).

En los pacientes que recibieron fraccionamiento estándar se adquirieron imágenes de simulación semanal con sistema portal visión para verificar el isocentro (sitio donde confluyen los haces de radiación en un mismo plano), comparándolo al reconstruido de forma digital, con la tomografía inicial por el sistema de planificación (Figura 3) y en los casos que fueron sometidos a esquema de hipofraccionamiento se les realizó una tomografía con haz cónico diariamente (Figura 4).


Para las verificaciones de dosis administradas a cada paciente se utilizó el sistema Octavius®

En relación al tratamiento médico recibido, 689 pacientes (77 %) recibieron terapia de deprivación androgénica o bloqueo androgénico total. Por lo general, los pacientes del grupo de riesgo intermedio desfavorable recibieron bloqueo androgénico corto (menor a 6 meses), mientras que los de alto, muy alto riesgo, Nodal 1 y M1a sensible a castración cumplieron con la terapia de deprivación androgénica durante un período mayor o igual a 18 meses.
Para caracterizar la población se utilizaron datos estadísticos como: media, mediana y desviación estándar. Para el análisis de sobrevida se utilizó el método estadístico de Kaplan Meier (20 ) a fin de obtener curvas de: sobrevida causa específica (SCE); sobrevida libre de recaída bioquímica SLRB; y sobrevida libre de metástasis (SLM) y el método empleado para comparación en las curvas fue el Long Rank Test. Para el seguimiento se utilizaron los datos de la historia clínica de RT y con los pacientes incluidos en el estudio que no habían acudido a la consulta de RT, se realizó contacto directo con los médicos tratantes, médicos referentes, con los pacientes y/o familiares (vía telefónica, personalmente o por redes sociales).
Los pacientes fueron clasificados en grupos de riesgo de cáncer de próstata localizado, según el sistema de la red de cáncer integrada nacional norte americana (NCCN) publicado este año, esta clasificación también ha sido adoptada por La Asociación Urológica Americana AUA, La Sociedad Americana de Radioterapia Oncológica y La Sociedad de Oncología Clínica ASTRO y ASCO por sus siglas en inglés, que toma en cuenta la extensión anatómica de la enfermedad por el estadiaje TNM, que incluye el examen digito rectal y estudios imagenológicos, el grado histológico mediante la puntuación de la escala de Gleason, los niveles del antígeno prostático, el porcentaje de afectación de la muestra en los cilindros de la biopsia por punción y en algunos casos se complementa con pruebas genéticas (21,22,23).

clasificar las complicaciones registradas se utilizó la escala por grados de la RTOG (24), sin embargo, para las complicaciones rectales crónicas se empleó la escala aplicada en el Hospital Fox Chase Cáncer center, en esta se define una rectitis mayor como aquella que requiere cauterización hasta en 2 oportunidades con argón plasma, porque en nuestro medio estos casos al haber sangrado se le refiere al gastroenterólogo que le hace dicho procedimiento (25).
Las recaídas bioquímicas serán reportadas siguiendo los criterios de la ASTRO, los cuales fueron modificados en un consenso en la ciudad de Fénix en el año 2006 (26).
Durante el período 2004 - 2015 un total de 869 pacientes recibieron RTIM con intención radical. La edad promedio fue 68,5 años con un rango de 43 - 86 años. La mediana de seguimiento fue de 62,9 meses, con un rango de 1,1 - 197,7 meses. El 19,6 % de los pacientes (171) presentan un seguimiento menor a 12 meses.
En relación a los antecedentes médicos, el 51 % de los pacientes (444) presentaban hipertensión arterial, el 19 % (167) presentaban diabetes mellitus, 16,57 % (144) tenían hiperplasia prostática benigna y 11,2 7% (98) tenían enfermedad coronaria.
El signo más frecuente evaluado fue la elevación del APE, estando presente en el 81 % de los casos (703 pacientes). En cuanto a la presentación clínica, predominaron los síntomas urinarios obstructivos bajos (SUOB) en el 38 % de los pacientes (333).
El diagnostico histopatológico se realizó por punción vía transrectal en el 90,4 % de los casos, solo en el 6 % de las muestras se obtuvieron a través de una resección transuretral.
La población en estudio se clasificó por grupos de riesgo, según la NCCN, la mayoría de los pacientes (56 %) pertenecían a los grupos de RID y AR, y el 22,3 % se encontraba en el grupo IF. Es importante señalar que se identificaron 14 pacientes en el grupo N1 y 4 pacientes M1a. El resto de la distribución porcentual de la muestra por grupo se ve reflejado en el Cuadro 2.

El 77 % de los pacientes recibió terapia de deprivación androgénica, siendo esta más utilizada en 98% y 95% de los casos de muy alto riesgo y alto riesgo, respectivamente. Todos los pacientes oligometastásicos del grupo denominado metastásico de bajo volumen M1a (4) y aquellos con ganglios pélvicos regionales afectados definidos como nodal N1 (10) cumplieron con este tratamiento médico (27).
La técnica de planificación más utilizada fue RTIM en 525 pacientes y en 333 se empleó la TAVM, en los 10 individuos restantes fue una combinación de ambas. En cuanto a la dosis administrada, casi todos los pacientes recibieron una dosis de 7 800 cGy (más del 90 %), mientras que un grupo pequeño recibió tratamiento con esquema hipo-fraccionado, a fracciones diarias de 310 cGy hasta completar una dosis de 6 200 cGy, debido a esta diferencia, los pacientes no se consideraron comparables de acuerdo al fraccionamiento utilizado, siendo este un objeto de estudio en futuras investigaciones.
RESULTADOS
El estado de los pacientes según la clasificación por grupos de riesgo de la NCCN se presenta en el Cuadro 3. Para el momento del análisis se puede observar que, en los grupos de RIF, RID y AR, alrededor del 80 % de los pacientes se encontraban vivos sin enfermedad (VSE) y 12,3 % de los pacientes del grupo de RIF, 7,8 % del grupo desfavorable, y alrededor del 10 % de los pacientes de AR murieron sin enfermedad MSE (MSE).

IF: intermedio favorable. ID: intermedio desfavorable. A: Alto. MA: muy alto. N1: regional N1. BM1: baja densidad M1
Las curvas de SCE, SLRB y SLMD se realizaron según la distribución de la población por grupos de riesgo de la NCCN y se presentan en la Figura 6 a 10. Se puede evidenciar que, a los 5 años, la SCE y la SLRB es >90 % y la SLMD >88 % en todos los grupos de riesgo. A los 10 años, la SCE es >87 % y la SLRB y la SLMD es > 81 % en todos los grupos de riesgo. La mediana de seguimiento fue mayor a 60 meses en todos los grupos de riesgo excepto en el grupo de muy alto riesgo donde se obtuvo una mediana de 56,3 meses.





Como se mencionó anteriormente, las complicaciones gastrointestinales y urinarias agudas fueron evaluadas según los criterios establecidos por la RTOG. Se pudo observar que en el 70 % y 38 % de los casos no se presentaron síntomas gastrointestinales ni genitourinarios, respectivamente. En los pacientes que presentaron efectos secundarios, fueron más frecuentes los síntomas urinarios grado II 38 % y 15 % tenían síntomas gastrointestinales leves.
En cuanto a los efectos secundarios crónicos, más del 80 % de los pacientes se encontraban asintomáticos desde el punto de vista urinario y gastrointestinal para el momento de su último control. Se registraron rectitis grado I, II y III en el 6,3 %, 5,6 % y 1,7 % de los casos, respectivamente. La cistitis crónica grado I y II se presentó en el 9 % y 4 % de los casos, respectivamente, 2 pacientes desarrollaron incontinencia urinaria, sin embargo, se les había realizado una resección transuretral previa; 4 pacientes (0,5 %) desarrollaron un cáncer de vejiga posterior al tratamiento.
DISCUSIÓN
En el año 2000, Zelefsky y col., del Hospital Memorial Sloan Kettering (MSKCC), introdujeron la factibilidad de un nuevo tipo de tratamiento de RT conformada de alta precisión al que llamaron RTIM, que permite una mejor protección de los órganos adyacentes con disminución de los efectos secundarios tardíos de los pacientes sufriendo de sangramiento rectal y menos del 1 % requiriendo transfusiones o cauterización con láser (7). Además, las cifras de sobrevida libre de enfermedad reportadas fueron muy favorables con 85 %, 76 % y 72 % para los pacientes de bajo riesgo, intermedio y alto respectivamente. El PTV incluye la próstata, vesículas seminales más un margen adicional de 10 mm salvo hacia el recto que fue disminuido a 6 mm, resultados similares fueron reportados por Martínez y col., en el hospital William Beaumont en Detroit en el 2002, pero utilizando braquiterapia de alta tasa (HDR), como sobredosis a la próstata para escalar la dosis (28). Existe evidencia actualmente de que escalar las dosis aumenta el control de la enfermedad debido a las altas dosis se traduce en un aumento en la sobrevida causa específica (29). Surgiendo nuevos enfoques como el del ASCENDE-RT que combina el bloqueo hormonal, radioterapia externa y braquiterapia para escalar dosis como refuerzo o boost obteniendo resultados de SLRB favorables incluso superiores a la cirugía radical en los grupos de alto riesgo y con pocas complicaciones(30,31).
Otras instituciones han reportado series con altas dosis, con disminución de los efectos secundarios, cuando se compara con técnicas conformadas en 3D, pero algo mayores a las reportadas en la serie del MSKCC. De Meerleer y col., de la Universidad de Gent en Bélgica usando RTIM, pero una técnica diferente de RTIM, reportaron 17 % de toxicidad tardía grado 2 intestinal y de 17 % urinaria con una dosis de 7 800 cGy con fracciones diarias de 200 cGy. La SLRB a los 5 años fue de 100 %, 94 % y 74 % para pacientes de bajo grado, intermedio y alto respectivamente (32). El PTV incluyo la próstata y vesículas seminales con un margen de 4 mm, lo cual requiere de localización diaria con ultrasonido.
Vora y col., de la clínica Mayo en Arizona, reportaron 23 % de complicaciones tardías grado 2 y de 23 % de urinarias, con una fracción diaria de 180-200 cGy hasta una dosis promedio de 756 cGy, similar a sus resultados con RT conformad en 3D, pero con una dosis menor de 6 840 cGy. El PTV es la próstata y las vesículas seminales con un margen circunferencial de 6 mm-10 mm. La SLRB a los 5 años fue de 91 %.79 % y 90,6 % para riesgo de reactivación bajo, intermedio y alto, respectivamente con un seguimiento promedio de 48 meses. También se practicó ultrasonido diario para la localización de la próstata antes de cada tratamiento (33).
Eade y col., del Hospital de cáncer Fox Chase en Filadelfia (34), publicaron sus resultados en 316 pacientes de bajo riesgo de reactivación, con seguimiento promedio de 43 meses El PTV se definió como la próstata y las vesículas seminales con un margen de 8 mm menos hacia el recto donde se redujo a 5 mm. Las complicaciones grado 2 gastrointestinales fueron muy bajas con solo 2,4 % de pacientes presentando complicaciones grado 2 o mayores. Ellos utilizaron una escala diferente para medir las complicaciones, igual que nosotros, en la que los pacientes con más de 2 cauterizaciones son considerados grado 2 (25).
Uno de las mayores objeciones es que este tipo de tratamiento requiere 8 semanas de terapia diaria de lunes a viernes. En vista de los resultados excelentes obtenidos con esta nueva tecnología, Kupelian y col., de la Cleveland Clinic desarrollaron un nuevo protocolo con hipo fraccionamiento, utilizando fracciones diarias de 250 cGy hasta 7 000 cGy en 5 semanas. Hasta los momentos han alcanzado sobrevidas de 95 %, 85 % y 68 % para los pacientes de bajo riesgo, intermedio y alto respectivamente. Las toxicidades tardías fueron bajas con 90 % reportadas como grado 2 o menores (35), apareciendo otros incluso de menos aplicaciones e igual de efectivos de 6 200c Gy en 20 aplicaciones que es otro de los esquemas de hipofraccionamiento que hemos utilizado (15).
Para nuestro conocimiento, este es uno de los pocos reportes que no utiliza marcadores metálicos intra-prostáticos o ultrasonidos diarios para la localización de la próstata, por lo que los márgenes utilizados fueron mayores a los generalmente reportados, que dificulta en algunos pocos casos mantener las restricciones, prescrita a los órganos a riesgo de complicaciones, en especial el recto de menos de 30 % del órgano recibiendo 7 000 cGy. Sin embargo, nuestros resultados de complicaciones son comparables a los obtenidos en la literatura. Todos los pacientes con sangramiento crónico rectal fueron a una endoscopia digestiva inferior diagnóstica, aplicándose tratamiento con argón plasma a criterio del especialista.
Los pacientes con cáncer de próstata tienen unas altas posibilidades de curación. En nuestros resultados la SLRB a los 10 años fue en el grupo de BR 91,2 %, intermedio favorable 93,1 %, intermedio desfavorable 85,4 %, alto 81,3 % y muy alto 82,3 %, por lo cual la calidad de vida es un factor de gran importancia a la hora de elegir la modalidad terapéutica.
Christie y col., en una revisión sistemática de 28 trabajos acumulando 818 pacientes reportaron la toxicidad sexual, urinaria y gastrointestinal según el tratamiento utilizado y descubrieron que los pacientes tratados con prostatectomía radical tienen la peor calidad de vida entre la RT externa y la braquiterapia (36). Donovan y col. (37) mostraron sus resultados en 1 643 pacientes tratados con prostatectomía radical y RT a través de una encuesta a los 6 meses y al año de haber completado el tratamiento entre prostatectomía radical y RT, la prostatectomía radical tuvo la peor cifra en cuanto a función sexual y toxicidad urinaria. El efecto negativo de la RT fue a los 6 meses, principalmente a nivel gastrointestinal, pero con recuperación positiva hasta estabilizarse, con muy pocos efectos a nivel urinario. En el Protect Trial, fase III, donde se comparó entre los pacientes de bajo riesgo vigilancia activa, prostatectomía radical y RT, hubo mayor número de progresión en observación y con resultados similares en prostatectomía radical y RT. No obstante, cuando se reportó la calidad de vida entre esas modalidades, la RT fue superior con datos estadísticamente significativos tanto en los efectos de continencia urinaria con menor uso de pañales y en la función sexual (38).
Los pacientes con CP localizado tienen una discreta mayor cifra de desarrollar un segundo primario en comparación a los tratados de otra forma 2,5 % vs. 3,7 % (39) esta diferencia es muy baja y no debe hacer que los médicos descarten la RT como un tratamiento efectivo, con muy pocos efectos secundarios y mejor calidad de vida que otros métodos.
Cuando se compara la radiación de partículas con protones una de las formas más modernas de RT contra los fotones, no hay trabajos aleatorizados fase III que demuestren alguna ventaja clínica, solo existe evidencia de trabajos retrospectivos que muestran resultados similares de CL con un ligero aumento de la toxicidad gastrointestinal que a los 6 meses se estabiliza en ambas modalidades, siendo un 75 % más costosa la RT con protones en este tipo de casos (40,41).
En los casos de alto riesgo, hasta la fecha no se disponen de estudios comparativos aleatorizados, doble ciego, que determinen la superioridad de una modalidad sobre otra y no hay consenso sobre el tratamiento óptimo de los pacientes de alto riesgo, aunque la tendencia general se direcciona más a la realización de RT junto con ADT que hacia la cirugía.
En líneas generales, los pacientes sometidos a PR tienen mayor expectativa de vida, menos comorbilidades, una enfermedad menos agresiva y son más jóvenes que los pacientes remitidos a RT (42). Los abordajes quirúrgicos incluyen la prostatectomía retropúbica abierta, la cirugía laparoscópica y el acceso robótico. Sí resulta trascendente la realización de la técnica en centros de referencia con alto volumen (está demostrada una disminución de márgenes positivos) y, por supuesto, la experiencia del cirujano, aspectos de mayor peso que la propia técnica quirúrgica en sí misma. La razón principal es que la PR no se lleva a cabo con preservación de bandeletas neuro-vasculares en pacientes de alto riesgo donde el riesgo de extensión extra-capsular es alto, fundamentalmente en Gleason elevados. Ante la más mínima duda, la escisión debe ser amplia con el riesgo incrementado de alteraciones en la funcionalidad del paciente tanto en los dominios de función sexual como en la continencia urinaria (43).
Más dudas existen sobre la necesidad de hacer o no una disección ganglionar amplia en el momento de la cirugía, sabiendo que los volúmenes ganglionares se pueden incluir dentro de los campos de RT. Aunque es evidente que dicha resección ayuda a realizar una estadificación más completa y precisa, la ausencia de evidencia científica sobre el beneficio clínico(44) y el incremento de la toxicidad asociada han dado lugar a cierta discrepancia sobre la necesidad de realizar el enfoque quirúrgico en estos casos (45).
En los pocos casos que se presente una recaída local pos RT externa, existen alternativas de tratamiento de rescate como son la braquiterapia con evidencia prospectiva que ofrecen buenos resultados de control local a los 5 y 10 años de SLRB de 68 % y 46 %. Con complicaciones GU y GI grado 3 del 14 % (46).
Al revisar la experiencia en Latinoamérica se encontraron las series de Luján y col. (47) de 160 pacientes en México, la de Pelayo y col. (48) de 156 casos en Chile y en Colombia por Jiménez y col. (49) de 98 pacientes todas confirmando resultados clínicos favorables con bajas tasas de complicaciones.
Concluimos en: la RTIM en CP localizado es una técnica confiable, segura y además fácilmente reproducible que ofrece excelentes cifras de CL con una baja tasa de complicaciones. Esta técnica debe ser considerada el estándar hoy en día. Adicionalmente, se recomienda la terapia de deprivación androgénica en pacientes de RID durante 6 meses, y en aquellos de los grupos de AR y MAR durante 18 meses.
REFERENCIAS
1. Villalta DE, Sajo-Castelli AM, Araya LE, Ovalles PJ. Pronósticos de la mortalidad e incidencia de cáncer en Venezuela en el año 2021. Sociedad Anticancerosa. Disponible en: URL: https://www.cancervenezuela.org/descargas/Pronosticos-de-la-mortalidad-e-incidencia-de-cancer-2021.pdf
2. Kuban DA, Tucker SL, Dong L, Starkschall G, H Huang EH, Cheung R, et al. Long-term results of the M. D. Anderson randomized dose-escalation trial for prostate cancer. Int J Radiat Oncol Biol Phys. 2008;70:67-74.
3. Heemsbergen WD, Hoogeman MS, Witte MG, Peeters ST, Incrocci J. Increased risk of biochemical and clinical failure for prostate patients with a large rectum at radiotherapy planning: Results from the Dutch trial of 68 Gy versus 78 Gy. Int J Radiat Oncol Biol Phys. 2007;6:1418-1424.
4. Zietman AL, DeSilvio ML, Slater JD, Rossi CJr, W Miller DW, Adams JA, et al Comparison of conventional-dose vs high-dose conformal radiation therapy in clinically localized adenocarcinoma of the prostate: A randomized controlled trial. JAMA. 2005; 294:1233-1239.
5. Dearnaley DP, Sydes MR, Graham JD, Aird EG, Bottomley D, Cowan RA, et al. Escalated-dose versus standard-dose conformal radiotherapy in prostate cancer: First results from the MRC RT01 randomised controlled trial. Lancet Oncol. 2007;8:475-487.
6. Zelefsky MJ, Fuks Z, Happersett L, Ling C, Burman CM, Hunt M, et al. Clinical experience with intensity modulated radiation therapy (IMRT) in prostate cancer. Radiother Oncol. 2000;55:241-249.
7. Zelefsky MJ, Fuks Z, Hunt M, Yamada Y, Marion C, Ling C, et al. High-dose intensity modulated radiation therapy for prostate cancer: Early toxicity and biochemical outcome in 772 patients. Int J Radiat Oncol Biol Phys. 2002;53:1111-1116.
8. Zelefsky MJ, Chan H, Hunt M, Yamada Y, Shippy A, Amol H. Long-term outcome of high dose intensity modulated radiation therapy for patients with clinically localized prostate cancer. J Urol. 2006;176:1415-1419.
9. Royce TJ, Lee DH, Keum N, Permpalung N, Chiew CJ, Epstein S, et al Conventional versus hypofractionated radiation therapy for localized prostate cancer: A meta-analysis of randomized non inferiority trials. Eur Urol Focus. 2019;5:577-584.
10. Datta NR, Stutz E, Rogers S, Bodis S. Conventional versus hypofractionated radiation therapy for localized or locally advanced prostate cancer: A systematic review and meta-analysis along with therapeutic implications. Int J Radiat Oncol Biol Phys. 2017;99 (3):573-589.
11. Hickey BE, James ML, Daly T, Soh FY, Jeffery M. Hypofractionation for clinically localized prostate cancer. Cochrane Database Syst Rev. 2019;9:CDO11462
12. Catton CN, Lukka H, Gu CS, Martin JM, Supiot S, Chung PWM, et al. Randomized trial of a hypofractionated radiation regimen for the treatment of localized prostate cancer. J Clin Oncol. 2017;35:1884-1890.
13. Pollack A, Walker G, Horwitz E, Price R, Feigenberg S, Konski A, et al. Randomized trial of hypofractionated external-beam radiotherapy for prostate cancer. J Clin Oncol. 2013;31(31):3860-3868.
14. Murthy V, Maitre P, Kannan S, Panigrahi G, Krishnatry R, Bakshi G, et al. Prostate-only versus whole-pelvic radiation therapy in high-risk and very high-Risk prostate cancer (POP-RT): Outcomes from phase III randomized controlled trial. J Clin Oncol. 2021;39(11):1234-1242.
15. Arcangeli G, Saracino B, Gomellini S, Petrongari M, Arcangeli S, Sentinelli S, et al. A prospective phase III randomized trial of hypofractionation versus conventional fractionation in patients with high-risk prostate cancer. Int J Radiat Oncol Biol Phys. 2010;78(1):11-18.
16. Li G, Li Y, Wang J, Gao X, Zhong Q, He L, et al. Guidelines for radiotherapy of prostate cancer (2020 edition). Prec Radiat Oncol. 2021;5:160-182.
17. Huang J, Gu F, Ji T, Zhao J, Li G. Pelvic bone marrow sparing intensity modulated radiotherapy reduces the incidence of the hematologic toxicity of patients with cervical cancer receiving concurrent chemoradiotherapy: A single-center prospective randomized controlled trial. Radiat Oncol. 2020;15(1):180..
18. Lazo A, de la Torre-Luque A, Arregui G, Rivas D, Serradilla A, Gómez J, et al. Long-term outcomes of dose-escalated hypofractionated radiotherapy in localized prostate cancer. Biology. 2022;11(3):435.
19. Welte B, Suhr P, Bottke D, Wiegel T. Second Malignancies in 15,500 irradiated patients since 1981: A mono-institutional experience. Int J Radiat Oncol Biol Phys. 2007;69(3):S180.
20. Matthews DE, Farewel VT. Using and understanding medical statistics. Br J Cancer. 2007; 96(12):1926. doi: 10.1038/sj.bjc.6603786
21. Bekelman JE, Rumble RB, Chen RC, Pisansky TM, Finell A, Feiferet A, al. Clinically localized prostate cancer: ASCO Clinical Practice Guideline Endorsement of an American Urological Association/American Society for Radiation Oncology/Society of Urologic Oncology Guideline. J Clin Oncol. 2018;36:3251-3258.
22. National Comprehensive Cancer Network (NCCN). NCCN clinical practice guidelines in oncology. Disponible en: URL: https://www.nccn.org/guidelines/guidelines-detail?category=1&id=1459 (consultado mayo 18 2022).
23. Eastham JA, Auffenberg GB, Barocas DA, Chou R, Crispino T, Davis JW, et al. Clinically localized prostate cancer: AUA/ASTRO Guideline, Part I: Introduction, risk assessment, staging, and risk-based management. J Urol. 2022;208:10.
24. Cox JD, Stetz J, Pajak TA. Toxicity criteria of the radiation therapy oncology group (RTOG) and the European Organization for Research and Treatment of Cancer (EORTC). Int J Radiat Oncol Biol Phys. 1995;31:1341-1346.
25. Hanlon AL, Schultheiss TE, Hunt MA, Movsas B, Peter RS, Hankset GE. Chronic rectal bleeding after high-dose conformal treatment of prostate cancer warrants modification of existing morbidity scales. Int J Radiat Oncol Biol Phys. 1997;38:59-63.
26. Roach M 3rd, Hanks G, Thames HJ, Schellhammer P, Shipley W, Sokole GH, et al. Defining biochemical failure following radiotherapy with or without hormonal therapy in men with clinically localized prostate cancer: Recommendations of the RTOG-ASTRO Phoenix Consensus Conference. Int J Radiat Oncol Biol Phys. 2006;65:965-74.
27. Eastham, J, Auffenberg G, Barocas D, Chou R, Crispino T, Davis, J, et al. 2022. Clinically Localized Prostate Cancer: AUA/ASTRO Guideline. Part III: Principles of Radiation and Future Directions. J Urol. 208(1):26-33.
28. Martinez AA, Gustafson G, Gonzalez J, Armour E, Mitchell C, Edmundson G, et al. Dose escalation using conformal high-dose-rate brachytherapy improves outcome in unfavorable prostate cancer Int J Radiat Oncol Biol Phys. 2002;53:316-27.
29. Zelefsky MJ, Reuter VE, Fuks Z, Scardino P, Shippy A. Influence of local tumor control on distant metastases and cancer related mortality after external beam radiotherapy for prostate cancer. J Urol. 2008;179:1368-1373.
30. Rodda S, Tyldesley S, Morris W, Keyes M, Halperin R, Pai H, et al. ASCENDE-RT: An analysis of treatment-related morbidity for a randomized trial comparing a low-dose-rate brachytherapy boost with a dose-escalated external beam boost for high- and intermediate-risk prostate cancer. Int J Radiat Oncol Biol Phys. 2017;98(2):286-295.
31. Grimm P, Billiet I, Bostwick D, Dicker A, Frank S, Immerzeel J, et al. Comparative analysis of prostate-specific antigen free survival outcomes for patients with low, intermediate and high risk prostate cancer treatment by radical therapy. Results from the Prostate Cancer Results Study Group. BJU International. 2012;109(Supl 1):S22-S29.
32. De Meerleer GO, Fonteyne VH, Vakaet L, Denoyette L, Verbaeys A, Lummen N, et al. Intensity-modulated radiation therapy for prostate cancer: Late morbidity and results on biochemical control. Radiother Oncol. 2007;82:160-166.
33. Vora SA, Wong WW, Schild SE, Ezzell GA, Halyard MY. Analysis of biochemical control and prognostic factors in patients treated with either low -dose three-dimensional conformal radiation therapy or high-dose intensity-modulated radiotherapy for localized prostate cancer. Int J Radiat Oncol Biol Phys. 2007;68:1053-1058.
34. Eade TN, Horwitz EM, Ruth K, Buyyounouski MK, D'Ambrosio DJ, Feigenberg SJ, et al. A comparison of acute and chronic toxicity for men with low-risk prostate cancer treated with intensity-modulated radiation therapy or (125) permanent implant. Int J Radiat Oncol Biol Phys. 2008;71:338-345.
35. Kupelian PA, Willoughby TR, Reddy CA, Klein EA, Mahadevan A. Hypofractionated intensity-modulated radiotherapy (70 Gy at 2.5 Gy per fraction) for localized prostate cancer: Cleveland Clinic experience Int J Radiat Oncol Biol Phys. 2007;68:1424-1430.
36. Christie D, Sharpley C, Bitsika V. Why do patients regret their prostate cancer treatment? A systematic review of regret after treatment for localized prostate cancer. Psycho-Oncology. 2015;24(9):1002-1011.
37. Donovan J, Hamdy F, Lane J, Mason M, Metcalfe C, Walsh E, et al. Patient-reported outcomes after monitoring, surgery, or radiotherapy for prostate cancer. N Engl J Med. 2016;375(15):1425-1437.
38. Hamdy F, Donovan J, Lane J, Mason M, Metcalfe C, Holding P, et al. 10-Year Outcomes after monitoring, surgery, or radiotherapy for localized prostate cancer. N Engl J Med. 2016;375(15):1415-1424.
39. Bagshaw H, Arnow K, Trickey A, Leppert J, Wren S, Morris A. Assessment of second primary cancer risk among men receiving primary radiotherapy vs surgery for the treatment of prostate cancer. JAMA Netw Open. 2022;5(7):e2223025.
40. Sanda MG, Cadeddu JA, Kirkby E, Chen R, Crispino T, Fontanarosa J, et al. Clinically localized prostate cancer: AUA/ASTRO/SUO Guideline. Part II: Recommended approaches and details of specific care options. J Urol. 2018;199:990-997.
41. Yu J, Soulos P, Herrin J, Cramer L, Potosky A, Roberts K et al. Proton versus intensity-modulated radiotherapy for prostate cancer: Patterns of care and early toxicity. JNCI: Journal of the National Cancer Institute. 2012;105(1):25-32.
42. Martínez-Jabaloyas JM, Castelló-Porcar A, GonzálezBaena AC, Cózar-Olmo JM, Miñana-López B, GómezVeiga F, et al. Influence of demographic and tumour variables on prostate cancer treatment with curative intent in Spain. Results of the 2010 national prostate cancer registry. Actas Urol Esp. 2016;40(8):485-491.
43. Stewart SB, Boorjian SA. Radical prostatectomy in high-risk and locally advanced prostate cancer: Mayo Clinic perspective. Urol Oncol. 2015;33(5):235-244.
44. Sierra PS, Lestingi JFP, Albuquerque EV, Pontes J, de Carvalho PA, Cavalcante A, et al. Robot assisted extended pelvic lymph node dissection in prostate cancer. When and how? Arch Esp Urol. 2019;72(3):257-265.
45. Seikkula H, Janssen P, Tutolo M, Tosco L, Battaglia A, Moris L, et al. Comparison of functional outcome after extended versus super-extended pelvic lymph node dissection during radical prostatectomy in high-risk localized prostate cancer. Front Oncol. 2017;7:280
46. Crook J, Rodgers, Pisansky T, Trabulsi E, Amin M, Bice W, et al. Salvage low-dose-rate prostate brachytherapy: Clinical outcomes of a phase 2 trial for local recurrence after external beam radiation therapy (NRG Oncology/RTOG 0526). Int J Radiat Oncol Biol Phys. 2022;112(5):1115-1122.
47. Pomponio J, Villaseñor N, Bautista HY, Nuñez G, Villavicencio M, Rojas A, et al. Clinical experience with intensity modulated radiation therapy (IMRT) in patients with prostate cancer. GAMO. 2010;9(6):296-275.
48. Besa DC P, Rosso A R, Bustos C M, Borghero Y Trucco C, Macarena Mac-Namara MM. Tratamiento del cáncer de próstata con radioterapia por modulación de intensidad, primera experiencia en Chile 2022. Rev Med Chile.2011;139(11):1451-1457
49. Jimenes Cotes A, Esguerra Cantillo J, Ospino Peña R, Morales Ramírez L, Noreña Gómez M, Ballesteros H, et al. Supervivencia global y supervivencia libre de recaída bioquímica en pacientes con cáncer de próstata tratados con radioterapia de intensidad modulada (IMRT) en el instituto nacional de cancerología. Revista Colombiana de Cancerología. 2020;24(4):157-163.
Notas de autor
avera@radioterapia.com.ve