HEPATECTOMÍA DERECHA POR HEPATOCARCINOMA POCO DIFERENCIADO A PROPÓSITO DE UN CASO
HEPATECTOMÍA DERECHA POR HEPATOCARCINOMA POCO DIFERENCIADO A PROPÓSITO DE UN CASO
Revista Venezolana de Oncología, vol. 36, núm. 1, pp. 47-51, 2024
Sociedad Venezolana de Oncología

Recepción: 10 Agosto 2023
Aprobación: 15 Septiembre 2023
Resumen: El carcinoma hepatocelular es un tumor primario del hígado y constituye más del 90 % de los tumores primarios del hígado. El diagnóstico se puede realizar mediante marcadores tumorales como alfafetoproteína y con relación al método de imagen, se ha evaluado el rendimiento diagnóstico de la tomografía computarizada y resonancia magnética se ha demostrado que la resonancia magnética tiene una mayor sensibilidad que la tomografía multidetector y debería ser la modalidad de imagen preferida. CASO CLÍNICO: Paciente femenino de 48 años de edad quien inicia enfermedad actual en noviembre de 2021 cuando se realiza estudio ecográfico con hallazgo incidental de tumor hepático, es referida a este centro, se realizan estudios complementarios y se ingresa. Con hallazgos de resonancia magnética de lesión sólida heterogénea de márgenes bilobulados parcialmente circunscrito en segmento V y VIII que mide 8 cm x 6 cm 380 cm3 con valores de Alfafetoproteína de 34 925 (control hasta 400 ng/mL), paciente con Child-Pugh A, por lo que se decide llevar a mesa operatoria realizándose hepatectomía radical derecha, con hallazgo inmunohistoquímico de hepatocarcinoma poco diferenciado. CONCLUSIÓN: El diagnóstico se realiza usualmente en pacientes con enfermedad avanzada cuando se han vuelto sintomáticos y tienen algún grado de insuficiencia hepática. Pero en aquellos pacientes con buen performance status, la resección quirúrgica es el tratamiento de elección aceptado para pacientes no cirróticos y ofrece la mejor tasa de curación con una supervivencia a 5 años de 41 % a 74 %.
Palabras clave: Carcinoma, hepatocelular, hepatectomía, hígado.
Abstract: Hepatocellular carcinoma is primary tumor of the liver constitutes more than 90 % of primary liver tumors. The diagnosis can be made using tumor markers such as Alpha-fetoprotein, and in relation to the imaging method, the diagnostic performance of computed tomography and magnetic resonance Imaging has been evaluated and it has been shown that the magnetic resonance has a higher sensitivity than multidetector tomography and should be the preferred imaging modality. CLINICAL CASE: Case of a 48-year-old female patient who started the current disease in November 2021 when an ultrasound study was performed with an incidental finding of a liver tumor, she was referred to this center, complementary studies were carried out, and she was admitted. With magnetic resonance imaging findings of a solid heterogeneous lesion with bilobed margins partially circumscribed in segment V and VIII measuring 8 cm x 6cm (380 cm3) with alpha-fetoprotein values of 34 925 (control up to 400 ng/mL), a patient with Child-Pugh A, for which is decided to take to the operating table performing right radical hepatectomy, with immunohistochemical finding of poorly differentiated hepatocellular carcinoma. CONCLUSION: Unfortunately, the diagnosis of is usually made in patients with advanced disease when they have become symptomatic and have some degree of liver failure. But in those patients with good performance status, surgical resection is the accepted treatment of choice for non-cirrhotic patients and offers the best cure rate with a 5-year survival 41 % to 74 %.
Keywords: Hepatocellular, carcinoma, hepatectomy, liver.
INTRODUCCIÓN
El carcinoma hepatocelular (CHC) es un tumor primario del hígado y constituye más del 90 % de los tumores primarios del hígado. Ocurre en aproximadamente el 85 % de los pacientes diagnosticados con cirrosis (1).
La enfermedad hepática crónica y la cirrosis siguen siendo los factores de riesgo más importantes para el desarrollo de CHC, de los cuales la hepatitis viral y el consumo excesivo de alcohol son los principales factores de riesgo en todo el mundo (2).
El diagnóstico de hepatocarcinoma se puede realizar mediante marcadores tumorales como alfafetoproteína (AFP), ya que, los niveles de AFP muestran una buena precisión en el diagnóstico de CHC y el umbral de AFP con 400 ng/mL es adecuado en términos de sensibilidad y especificidad (3).
Y con relación al método de imagen, se ha evaluado el rendimiento diagnóstico de la Tomografía Computarizada (TC) y la Resonancia Magnética (RM) para evaluar el CHC y se ha demostrado que la RM tiene una mayor sensibilidad que la TC multidetector y debería ser la modalidad de imagen preferida para el diagnóstico del CHC (4).
CASO CLÍNICO
Paciente femenino de 48 años de edad quien inicia enfermedad actual en noviembre 2021 cuando se realiza estudio ecográfico con hallazgo incidental de tumor hepático, por lo que es referida a este centro, se realiza estudios complementarios y se ingresa.
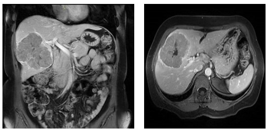
RESONANCIA MAGNÉTICA ABDOMINAL 11/04/2023
Lesión sólida heterogénea de márgenes bilobulados parcialmente circunscrito en segmento V y VIII, con realce pos-contraste en fase arterial que se mantiene estable en fases tardías y área hipodensa central hipocaptante que puede corresponder a fibrosis, mide 8 cm x 6 cm (Figura 1 y 2). Volumen hepático total de 1200 cm3 (Lóbulo derecho 900 cm3 y lóbulo izquierdo 300 cm3 y la lesión derecha con volumen de 380 cm3 (30 % del volumen aproximadamente del total del parénquima hepático).

MARCADORES TUMORALES MARZO - 2023

DIAGNÓSTICO DE INGRESO
1. Tumor en lóbulo hepático derecho: probable hepatocarcinoma
2. Escala de Child-Pugh Clase A
INTERVENCIÓN QUIRÚRGICA - HEPATECTOMÍA DERECHA
Sin ascitis, sin carcinomatosis peritoneal, vesícula biliar de paredes delgadas sin tumoración ni cálculo en su interior, tumor intraparenquimatoso de 10 cm x 8 cm en lóbulo hepático derecho (Figura 3, 4 y 5).



BIOPSIA POSOPERATORIA N°B-23-2088
Tamaño tumoral 14 cm x 12 cm x 8 cm con márgenes 1 cm del borde de resección hepática
Tipo histológico: metástasis por neoplasia maligna de aspecto neuroendocrino
INMUNOHISTOQUÍMICA DE BIOPSIA NRO. 2236-23

Concluye: carcinoma hepatocelular poco diferenciado de patrón arquitectural macro-trabecular
DIAGNÓSTICO DEFINITIVO
Tumor hepático derecho: hepatocarcinoma poco diferenciada (pT1bN0M0 G3 F0 ST IB / BCLC – A)
DISCUSIÓN
Se presenta el caso de una paciente de 48 años de edad con hallazgo incidental de tumoración hepática, con buen estado general, que pudo ser llevada a mesa operatoria realizando resección completa de la lesión mediante hepatectomía derecha y con diagnóstico definitivo de hepatocarcinoma poco diferenciado, con un margen de resección de 1 cm lo cual se considera adecuado según la literatura (5).
Desafortunadamente, el diagnóstico de CHC se realiza usualmente en pacientes con enfermedad avanzada cuando se han vuelto sintomáticos y tienen algún grado de insuficiencia hepática. En esta etapa tardía, prácticamente no existe un tratamiento eficaz que mejore la supervivencia (1).
Pero, en aquellos pacientes con buen estado general, la resección quirúrgica es el tratamiento de elección aceptado para pacientes no cirróticos y ofrece la mejor tasa de curación con una supervivencia a 5 años de 41 % a 74 % (6).
A pesar de que se haya realizado un procedimiento ablativo o quirúrgico satisfactorio, el CHC igual presenta un alto porcentaje de recurrencias, de entre 70 % a 80 % en los primeros 5 años, ya que, a pesar de los avances, no se ha podido desarrollar una terapia adyuvante efectiva, no obstante, ensayos desarrollados con terapias dirigidas, parecen prometedores en disminuir el riesgo de recurrencia en esta patología (7).
REFERENCIAS
1. Ioannou GN, Splan MF, Weiss NS, McDonald GB, Beretta L, Lee SP. Incidence and predictors of hepatocellular carcinoma in patients with cirrhosis. Clin Gastroenterol Hepatol. 2007;5(8):938- 945.
2. Balogh J, Victor D 3rd, Asham EH, Burroughs SG, Boktour M, Saharia A, et al. Hepatocellular carcinoma: A review. J Hepatocell Carcinoma. 2016;3:41-53. doi: 10.2147/JHC.S61146.
3. Zhang J, Chen G, Zhang P, Zhang J, Li X, Gan D, et al. The threshold of alpha-fetoprotein (AFP) for the diagnosis of hepatocellular carcinoma: A systematic review and meta-analysis. PloS One. 2020;15(2):e0228857.
4. Lee YJ, Lee JM, Lee JS, Lee HY, Park BH, Hoon Kim YH, et al. Hepatocellular carcinoma: Diagnostic performance of multidetector CT and MR imaging - a systematic review and meta-analysis. Radiology. 2015;275:97-109.
5. Zhong F-P, Zhang Y-J, Liu Y, Zou S-B. Prognostic impact of surgical margin in patients with hepatocellular carcinoma. Medicine (Baltimore). 2017;96(37):e8043.
6. Allemann P, Demartines N, Bouzourene H, Tempia A, Halkic N. Long-term outcome after liver resection for hepatocellular carcinoma larger than 10 cm. World J Surg. 2013;37(2):452-458.
7. Hack SP, Spahn J, Chen M, Cheng A-L, Kaseb A, Kudo M, et al. IMbrave 050: A phase III trial of atezolizumab plus bevacizumab in high-risk hepatocellular carcinoma after curative resection or ablation. Future Oncology. 2020;16(15):975-989.
Notas de autor
osamabzaky@gmail.com
Información adicional
TRABAJO GANADOR PREMIO “DR. JOSÉ ANTONIO GUBAIRA” 2023: CONFLICTOS DE INTERÉS. Los autores declaran no poseer conflictos de interés