UN RARO CASO DE METÁSTASIS PARAFARÍNGEA Y DE CONDUCTO AUDITIVO POR CARCINOMA PAPILAR DE TIROIDES
UN RARO CASO DE METÁSTASIS PARAFARÍNGEA Y DE CONDUCTO AUDITIVO POR CARCINOMA PAPILAR DE TIROIDES
Revista Venezolana de Oncología, vol. 36, núm. 2, pp. 103-109, 2024
Sociedad Venezolana de Oncología

Recepción: 17 Octubre 2023
Aprobación: 07 Enero 2024
Resumen: El cáncer de tiroides es la neoplasia endocrina cervical más común a nivel mundial. Las metástasis ganglionares cervicales y mediastínicas son las más predominantes, seguidas de invasión a la tráquea y músculos adyacentes. Las metástasis a distancia son infrecuentes y se observan en pulmones, huesos y sistema nervioso central. Presentamos una paciente femenina de 70 años de edad, con diagnóstico de carcinoma papilar de tiroides desde 2015, tratada con tiroidectomía total y disección ganglionar izquierda, más dosis de 150 mCi de yodo radiactivo en 2 ocasiones; además de dos resecciones quirúrgicas por presentar metástasis parafaríngea en 2016 y en conducto auditivo interno en 2019, recibiendo radioterapia paliativa para finales de ese mismo año. Por persistencia de tumor en 2021 recibe una última dosis de 150 mCi de ¹³¹I e inicia tratamiento con inhibidores de tirosina kinasa desde 2021 hasta la actualidad.
Palabras clave: Cáncer, papilar, tiroideo, metástasis, oído interno, metástasis parafaríngea, recurrencia, yodo radiactivo.
Abstract: The thyroid cancer is the most common cervical endocrine neoplasia worldwide. The ganglion cervical and the mediastinal metastases are the most predominant, followed by the invasion of the trachea and the adjacent muscles. The distant metastases are rare and are seen in the lungs, the bones, and the central nervous system. We present a 70-year-old female patient, diagnosed with papillary thyroid carcinoma since 2015, treated with total thyroidectomy and left lymph node dissection plus a dose of 150 mCi of radioactive iodine on 2 occasions, in addition to two surgical resections due to presenting parapharyngeal metastases in 2016 and internal auditory canal in 2019, she receiving palliative radiotherapy for this last year. Due to tumor persistence in 2021, she received a final dose of 150 mCi of ¹³¹I and started treatment with the tyrosine kinase inhibitors from 2021 to the present.
Keywords: Cancer, papillary, thyroid, metastasis, internal ear, parapharyngeal metastasis, recurrence, iodine.
INTRODUCCIÓN
Los tumores cervicales son una patología común en las consultas médicas. Su etiología varía según el grupo etario y dependerá de los distintos factores de riesgo del paciente. Los nódulos tiroideos se presentan en el 5 % de las mujeres y el 1 % de los hombres a nivel mundial (1). El cáncer de tiroides es la neoplasia endocrinológica maligna cervical más común (2), con una tasa de supervivencia global mayor al 90 % a los 5 años. Entre algunos de los factores pronósticos asociados al carcinoma diferenciado de tiroides (CDT) están el grado de diferenciación, estadio, afectación ganglionar, metástasis a distancia y resección incompleta (3).
El manejo de nódulos tiroideos requiere de una evaluación inicial con estudios imagenológicos como ultrasonido tiroideo (US tiroideo), Rastreo Corporal Total (RCT) con ¹²³I o ¹³¹I (en pacientes con TSH suprimida), Tomografía por Emisión de Positrones con ¹⁸F-Fluorodesoxiglucosa (¹⁸F-FDG-PET) o Tomografía (TC) y/o Resonancia Magnética (RM) con contraste; todo dependiendo de los criterios presentados por el paciente; seguido de biopsia por aspiración de aguja fina (BAAF) en aquellos nódulos y ganglios sospechosos, en conjunto con marcadores moleculares con fines diagnósticos y pronósticos (4,5). Una vez confirmado el diagnóstico de carcinoma diferenciado de tiroides el algoritmo de tratamiento comienza con tiroidectomía total y vaciamiento ganglionar en aquellos casos con adenopatías sospechosas o confirmadas para enfermedad metastásica (6). Obtenidos los resultados de anatomía patológica se estratifica al paciente para estimar el riesgo de enfermedad recurrente o residual y así seleccionar la dosis óptima de ¹³¹I (7). El uso de TSH recombinante humana puede ser indicada en un grupo selecto de pacientes con comorbilidades y/o intolerancia a la suspensión del tratamiento hormonal. Posteriormente se continúa con terapia de supresión de tirotropina con levotiroxina. El seguimiento a largo plazo va de la mano con examen físico, estudios imagenológicos y laboratorios como tiroglobulina (Tg), hormona tiroestimulante (TSH) y anticuerpos antitiroglobulina (Ac Atg) (5).
La radioterapia externa (RTE) adyuvante es usada en la enfermedad localmente avanzada y/o en pacientes que se someten en múltiples ocasiones a cirugías y yodo radiactivo por enfermedad recurrente/persistente; mientras que la terapia sistémica no es implementada de rutina en el tratamiento de CDT. Existen nuevas terapias-como los Inhibidores de Tirosina Kinasa (ITK), dirigidas a pacientes con enfermedad recurrente, refractaria, de rápida progresión o que conlleven a un riesgo de mortalidad (8).
Los carcinomas diferenciados de tiroides (entre ellos papilar y folicular) representan más del 90 % de los cánceres de tiroides (9). La presencia de enfermedad residual o recurrente puede determinarse por la respuesta estructural incompleta (estudios imagenológicos alterados); por una respuesta bioquímica incompleta o indeterminada con valores anormales de Tg (Tg no estimulada Tg >1 ng/mL o estimulada >10 ng/mL) o por la elevación persistente de anticuerpos antitiroglobulina (10).
La enfermedad metastásica puede ser evidenciada en el momento de la estadificación inicial o en estudios posteriores; y es tratada preferiblemente, con cirugía y/o yodo radiactivo en el caso de presentar pocos focos. Cuando existe enfermedad persistente que no responde al tratamiento anterior se emplea RTE; y en casos de enfermedad localizada también se tienen como opciones de tratamiento la ablación térmica, quimioembolización o ablación etílica (5).
Las metástasis cervicales ocurren aproximadamente en un 35 % de los pacientes con CDT. La localización más común para la enfermedad recurrente o persistente son las metástasis cervicales y mediastínicas, representando un 74 % de estas; seguidas de remanente tiroideo (20 %), tráquea y músculos adyacentes. En cuanto a las metástasis a distancia, estas son infrecuentes, teniendo la mayor proporción las metástasis pulmonares (63 %), huesos o SNC (1 %). Fuera de estas localizaciones las metástasis son extremadamente raras (11).
Las metástasis a ganglios linfáticos parafaríngeos y retrofaríngeos son poco comunes en CDT recurrente, sólo reportándose alrededor de 10 casos en la literatura (12). Los espacios parafaríngeos y retrofaríngeos se comunican a través de una dehiscencia de la fascia del músculo constrictor superior, permitiendo la diseminación de la enfermedad metastásica entre estos (13). La forma más precisa de detectarlos es a través de TC o RM de cuello y se confirma el diagnóstico mediante BAAF. La resección quirúrgica de estas metástasis es un desafío, en vista de su proximidad con el paquete vasculonervioso de la región. Este hecho aumenta la posibilidad de lesiones a nivel del nervio hipogloso y del espinal accesorio. Para aumentar la tasa de éxito de localización y escisión de los mismos se han usado técnicas como el azul de metileno y/o la detección con gamma-sonda y ⁹⁹Tc (14); seguido de yodo radiactivo o RTE, dependiendo de las estructuras involucradas y objetivos del tratamiento. La forma de abordar estas localizaciones poco frecuentes está sujeta a los criterios del grupo multidisciplinario, tratando siempre de evaluar la posibilidad de curación del paciente (15).
Las metástasis en la base del cráneo son muy raras y son generadas mayormente por los carcinomas foliculares de tiroides dada su capacidad de diseminación por vía hematógena. La clínica predominante en estos casos está asociada a la disfunción de los pares craneales (16); además, son de difícil diagnóstico por comportarse como neurinomas del acústico y meningiomas (17). Son pocos los casos reportados en la literatura y su tratamiento se direcciona hacia la Radioterapia de Intensidad Modulada (IMRT), Radiocirugía (SRS) o terapia con protones, permitiendo mejor conformación de la dosis, evitando así la toxicidad a órganos cercanos (18).
CASO CLÍNICO
Presentamos una paciente femenina de 70 años de edad, quien cursa con diagnóstico de carcinoma papilar de tiroides clásico, tratada con tiroidectomía total y vaciamiento ganglionar izquierdo el 15 de julio de 2015, con reporte de anatomía patológica: tamaño tumoral de 2 cm x1,8 cm x 1,8 cm, infiltración a la cápsula., extensión a tejidos blandos peritiroideos, metástasis a nivel II, IV y triángulo posterior (desconocemos el número de ganglios afectados). Dos meses después de la cirugía (27/08/2015), es referida a tratamiento ablativo al servicio de medicina nuclear quienes indican dosis ablativa de ¹³¹I de 150 mCi con TSH recombinante (thyrogen®). El RCT posterior a tratamiento concluye presencia de tejido tiroideo residual en región anterior del cuello y metástasis a nivel yugular superior izquierdo.
En 2016 presenta recaída bioquímica (no aporta laboratorios), por lo que realizan estudios de extensión, evidenciándose metástasis ganglionar parafaríngea derecha siendo abordada con disección ganglionar modificada derecha el 11/08/2016. Anatomía patológica confirma adenopatía parafaríngea por carcinoma papilar metastásico compatible con primario de glándula tiroides. Administran nueva dosis adyuvante de ¹³¹I 150 mCi con TSH recombinante con rastreo pos tratamiento que demuestra presencia de tejido yodo captante en cuello, con mayor captación del lado derecho, manteniéndose posteriormente con euthyrox® 125 µg VO/ OD.
Para julio de 2019 presenta otalgia y otorragia derecha, lo que la lleva a consultar con médico internista quien refiere a servicio de otorrinolaringología e indican TC de cráneo y cuello (18/07/2019) que informa Lesión Ocupante de Espacio (LOE) en oído derecho que se extiende a estructuras óseas posteriores al oído medio, condicionando velamiento de celdillas mastoideas derechas en toda su extensión y prolongación a la glándula parótida derecha, midiendo aproximadamente 6 cm de diámetro transverso y 2,5 cm de diámetro anteroposterior y 3,6 cm cefalocaudal. El 31/10/19 se efectuó biopsia de conducto auditivo derecho con reporte de anatomía patológica confirmatorio para carcinoma papilar metastásico. Controles de laboratorio del 25/09/19: T4: 1.4 ng/dL, TSH: 0.005 mUI/mL y Tg: 436,8 ng/mL. Recibió tratamiento con RTE paliativa a región parotídea derecha, base de cráneo derecho y hemicuello superior derecho con la entrega de 36 Gy a razón de 3 Gy para un total de 12 sesiones. Iniciado el 30/11/2019 y culminado el 15/12/2019 en un acelerador lineal.
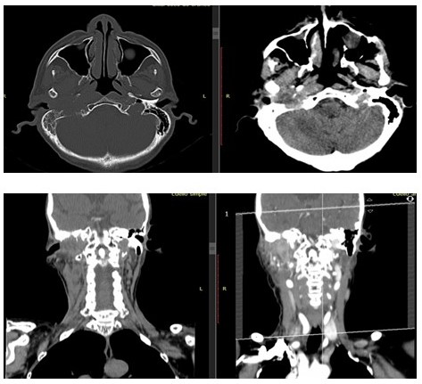
La paciente realiza TC controles de cráneo y cuello 18/03/2020 con cambios involutivos corticales y subcorticales y cambios posquirúrgicos a nivel de mastoides derecha, evidenciándose LOE adyacente a la misma y opacidad de las celdillas mastoideas derechas, sugiriendo RM para descartar recidiva o tumor residual (Figura 1). En dicho año no es posible recibir tratamiento con yodo radiactivo por lo que refieren a servicio de oncología médica, el cual tampoco logra canalizar por situación socioeconómica.

En marzo de 2021 acude de nuevo a servicio de Medicina Nuclear con controles de laboratorios: TSH 34,6 mUI/mL, TG 886,5 ng/mL (duplicando valores del 2019), ATg 53,94 UI/mL. Se indica dosis de ¹³¹I de 150 mCi con RCT que reporta presencia de escaso tejido iodo-captante en región anterior del cuello residual, conducto auditivo externo derecho y ganglio axilar derecho (Figura 2).

Anterior cabeza y cuello Lateral derecha
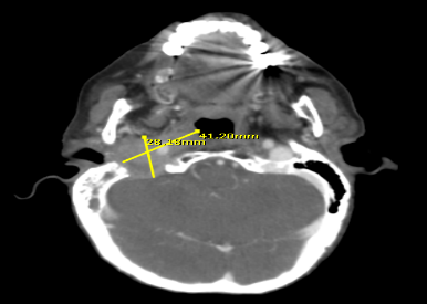
En TC de cuello simple (18/05/2021) de control, reporta hacia la región paralaringofaríngea derecha una imagen más o menos definida, sólida, de 10,2 cm x 13,8 cm en sus diámetros anteroposterior y transverso que se extiende discretamente hasta la luz de la orofaringe y que coexiste con irregularidad de la cortical de región occipital adyacente (Figura 3).
Para el 2022, realiza un US tiroideo 03/05/2022 con informe que reporta lecho tiroideo libre, ganglios linfáticos submentonianos y submandibular bilateral y carotídeo derecho sin criterios de sospecha; no se identificó vena yugular derecha en probable relación a antecedente quirúrgico.
Es evaluada por servicio de oncología médica del Hospital Universitario de Caracas en julio de 2021 quienes indican sorafenib 400 mg VO /BID, cumpliéndolo hasta la actualidad. Una vez culminada la terapia dirigida se procederá a realizar TC de cuello.

DISCUSIÓN
Esta presentación de carcinoma papilar de tiroides con metástasis a ganglios parafaríngeo y conducto auditivo interno es muy inusual, no existe literatura suficiente al respecto y la encontrada está relacionada a carcinoma folicular (cuya diseminación hematógena les facilita la invasión a estas estructuras) (1,5,7,8,9,10,11,12,13,14,15,16,17). Si bien es cierto, que una adecuada historia clínica, un exhaustivo examen físico y el conocimiento del comportamiento de la historia natural de la enfermedad nos puede ayudar a predecir la evolución de la misma; es necesario estar preparado para cualquier eventualidad y saber direccionar la conducta médica en aras de garantizar la recuperación total y/o brindar la mejor calidad de vida al paciente(8,,10,12). El caso presentado en este trabajo tiene aproximadamente 7 años con el diagnóstico y a pesar de tener mal pronóstico, se encuentra en la actualidad con Karnofsky de 80, mantiene una vida con normalidad y acude a control médico todos los años, demostrando que el trabajo multidisciplinario es el que proporciona los mejores resultados.
REFERENCIAS
1. Vander JB, Gaston EA, Dawber TR. The significance of nontoxic thyroid nodules. Final report of a 15-year study of the incidence of thyroid malignancy. Ann Intern Med. 1968;69(3):537-40.
2. Garavito G, Llamas A, Cadena E, De Los Reyes A, Hurtado G, Rojas L, et al. Manejo multidisciplinario del cáncer diferenciado de tiroides en el Instituto Nacional de Cancerología. Rev Colomb Cancerol. 2010;14(2):65-77.
3. Lundgren IC, Hall P, Dickman PW, Zedenius J. Clinically significant prognostic factors for differentiated thyroid carcinoma. A population-based, nested case–control study. Cancer. 2006; 106:524-531.
4. Febbo PG, Ladanyi M, Aldape KD, De Marzo AM, Hammond ME, Hayes DF, et al. NCCN Task Force report: Evaluating the clinical utility of tumor markers in oncology. J Natl Compr Canc Netw. 2011;9(Suppl 5):S1-32.
5. Haugen BR, Alexander EK, Bible KC, Doherty GM, Mandel SJ, Nikiforov YE, et al. 2015 American Thyroid Association Management Guidelines for adult patients with thyroid nodules and differentiated thyroid cancer: The American Thyroid Association Guidelines Task Force on Thyroid Nodules and Differentiated Thyroid Cancer. Thyroid. 2016;26(1):1-133.
6. Bergstralh EJ, Goellner JR, Ebersold JR, Grant CS. Predicting outcome in papillary thyroid carcinoma: Development of a reliable prognostic scoring system in a cohort of 1 779 patients surgically treated at one institution during 1940 through 1989. Surgery. 1993;114(6):1050-1057.
7. Mazzaferri EL. An overview of the management of papillary and follicular thyroid carcinoma. Thyroid. 1999; 9(5):421-427.
8. Brose MS, Nutting CM, Jarzab B, Elisei R, Siena S, Bastholt L, et al. Sorafenib in radioactive iodine-refractory, locally advanced or metastatic differentiated thyroid cancer: A randomized, double-blind, phase 3 trial. Lancet. 2014; 384(9940):319-328.
9. Sherman SI. Thyroid carcinoma. Lancet. 2003;361(9356):501-511.
10. Verburg FA, Luster M, Cupini C, Chiovato L, Duntas L, Elisei R, et al. Implications of thyroglobulin antibody positivity in patients with differentiated thyroid cancer: A clinical position statement. Thyroid. 2013; (10):1211-1225.
11. Stefan KG. Grebe MD, Ian D. Thyroid cancer nodal metastases: Biologic significance and therapeutic considerations. Surg Oncol Clin N Am. 1996;5(1):43-63.
12. Lombardi D, Nicolai P, Antonelli AR, Maroldi R, Farina D, Shaha AR. Parapharyngeal lymph node metastasis: An unusual presentation of papillary thyroid carcinoma. Head Neck. 2004; 26:190-196. https://doi.org/10.1002/hed.10341
13. Horvath M, Plas H, Termote JL, Lemahieu S, Wilms G. Thyroid-related papillary carcinoma presenting as a cystic lesion in the parapharyngeal space. Rofo. 1991;155(4):373-374.
14. Erbil Y, Serkan S, Ağcaoğlu O, Ersöz F, Bayraktar A, Salmaslioğlu A, et al. Radio-guided excision of metastatic lymph nodes in thyroid carcinoma: A safe technique for previously operated neck compartments. World J Surg. 2010; 34:2581-2588. https://doi.org/10.1007/s00268-010-0714-y
15. Ralph PT, Gary C, Keith SH, William BI, Electron K, Ashok S, et al. Management of recurrent/persistent nodal disease in patients with differentiated thyroid cancer: A critical review of the risks and benefits of surgical intervention versus active surveillance. Thyroid. 2015;25 (1):15-27.http://doi.org/10.1089/thy.2014.0098
16. Matsuno A, Murakami M, Hoya K, Yamada SM, Miyamoto S, Yamada S, et al. Clinicopathological and molecular histochemical review of skull base metastasis from differentiated thyroid carcinoma. Acta Histochem Cytochem. 2013;46(5):129-136. doi: 10.1267/ahc.13019.
17. Li YL, Jamuneswary S, Norhafiza ML, Ping T. Intracranial metastasis of follicular thyroid carcinoma mimicking cerebellopontine angle tumor. Egyptian Journal of Ear, Nose, Throat and Allied Sciences. 2017;18(3):295-297. https://doi.org/10.1016/j.ejenta.2017.08.001.
18. Tunio M, Al Asiri M, AL-Qahtani KH, Al-Dandan S, Riaz K, Bayoumi Y. Skull base metastasis from papillary thyroid carcinoma: A report of three cases. Int Med Case Rep J. 2015;8:127-131. https://doi.org/10.2147/IMCRJ.S82792
Notas de autor
britoa.nathaly@gmail.com