SARCOMA SINOVIAL DE OROFARINGE: CASO CLÍNICO Y REVISIÓN DE LA LITERATURA
SARCOMA SINOVIAL DE OROFARINGE: CASO CLÍNICO Y REVISIÓN DE LA LITERATURA
Revista Venezolana de Oncología, vol. 36, núm. 4, pp. 233-245, 2024
Sociedad Venezolana de Oncología

Recepción: 03 Marzo 2024
Aprobación: 17 Mayo 2024
Resumen: Los sarcomas representan el 1 % a 2 % de todos los tumores malignos de cabeza cuello. La localización y el tipo histológico más común en adultos es en tejidos blandos (60 %) y el histiocitoma fibroso maligno seguido del fibrosarcoma (35 %). El estudio inmunohistoquímico y la biología molecular permiten la confirmación diagnostica de estas neoplasias. El tratamiento curativo es la resección local amplia, seguido de radiación adyuvante, por lo difícil de obtener un margen amplio por las estructuras vitales adyacentes al tumor. No se recomienda la disección ganglionar de rutina por lo poco frecuente de diseminación ganglionar. Presentamos un caso infrecuente ubicado en orofaringe (4 %) y de tipo sinovial (2,5 %). Paciente masculino de 21 años con disfagia que progresa a odinofagia, que acude a facultativo tomando biopsia incisional de lesión en orofaringe, con estudio inmunohistoquímico positivo para sarcoma. A pesar de que el tratamiento inicial de estas lesiones es quirúrgico, en vista de infiltración de espacio prevertebral, se indica radioterapia y quimioterapia con posterior resolución quirúrgica obteniendo márgenes negativos. Hacemos revisión de la literatura.
Palabras clave: Cabeza y cuello, sarcoma sinovial, orofaringe, radioterapia, quimioterapia.
Abstract: The sarcomas represent 1 % to 2 % of all malignant head and neck tumors. The most common location and the histological type in adults is soft tissue (60 %) and malignant fibrous histiocytoma followed by the fibrosarcoma (35 %). The immunohistochemistry study and the molecular biology allow diagnostic confirmation of these neoplasms. The curative treatment is wide local resection, followed by adjuvant radiation, since it is difficult to obtain a wide margin due to the vital structures adjacent to the tumor. The routine lymph node dissection is not recommended because of the rarity of lymph node spread. We present an infrequent case located in the oropharynx (4 %) and synovial type (2.5 %). A 21-year-old male patient with dysphagia that progressed to odynophagia, who went to the doctor for an incisional biopsy of an oropharyngeal lesion, with a positive immunohistochemistry study for sarcoma. Although the initial treatment of these lesions is surgical, in view of infiltration of the prevertebral space, radiation therapy and chemotherapy are indicated with subsequent surgical resolution, obtaining negative margins. We review the literature.
Keywords: Head and neck, synovial sarcoma, oropharynx, radiation therapy, chemotherapy.
INTRODUCCIÓN
Los sarcomas son un grupo heterogéneo de neoplasias malignas mesenquimatosas, que representan del 1 % al 2 % de todos los tumores malignos de cabeza y cuello, mientras que entre el 4 % y el 10 % de todos los sarcomas en adultos ocurren en la cabeza y el cuello, localizándose principalmente en los tejidos blandos, siendo la orofaringe un lugar poco común (Figura 1) (1).
Son más frecuente en el sexo masculino, entre los 50-60 años. El tipo histológico más común en esta región, es el sarcoma de tejido fibroso (histiocitoma fibroso maligno y fibrosarcoma 35 %), seguido de sarcoma de Kaposi (25 %), angiosarcoma (10 %), condrosarcoma (6 %), osteosarcoma (5 %), sarcoma sinovial (2,5 %), entre otros. En edad pediátrica son más frecuentes, el rabdomiosarcoma (embrionario, alveolar) y el fibrosarcoma (2). El sarcoma radio inducido más frecuente en cabeza y cuello corresponde al histiocitoma fibroso maligno.
Se reportan metástasis ganglionares cervicales entre el 2 % al 5 % de los casos y están asociadas a tumores de alto grado y a ciertos tipos histológicos como el sarcoma sinovial, sarcoma epitelioide, sarcoma de células claras, fibrohistiocitoma maligno y rabdomiosarcoma.
Se informó por primera vez del sarcoma sinovial en cabeza y cuello en el año 1954 (3), correspondiendo a una variedad infrecuente, que representa el 8 % de todos los sarcomas de tejidos blandos, afectando con mayor frecuencia a las extremidades y se consideran tumores de alto grado, a pesar de que existen criterios de clasificación histológica como el sistema francés (FCCLCC)(4). "Sinovial" indica el parecido microscópico cercano de estos tumores con el sinovio, sin embargo, se origina a partir de células mesenquimatosas pluripotentes y no de estructuras sinoviales (5). Esta variante histológica, es más frecuente en hombres y adultos jóvenes de mediana edad (6).
El sarcoma sinovial afecta varios sitios dentro de la región de la cabeza y el cuello, siendo la hipofaringe y espacio parafaríngeo los más afectados; los tumores en esta última área, generalmente surgen de los músculos para espinales, presentando buen pronóstico (7).
Aproximadamente el 90 % de los sarcomas sinoviales tienen la translocación cromosómica t (X; 18), que da como resultado la formación de un producto de fusión entre el gen de la sinaptotagmina 1, SYT1, en el cromosoma 18 y el gen del miembro 1 de la familia SSX, SSX1, o miembro de la familia SSX 2 gen, SSX2, en el cromosoma X (4).
En los sarcomas que no surgen en la cabeza y el cuello, su mortalidad está dada principalmente a través de la enfermedad metastásica (generalmente pulmonar), en cambio en los pacientes con sarcomas de cabeza y el cuello lo hacen principalmente secundario a recurrencias locales, esto generalmente se ha atribuido a la proximidad con las estructuras vitales y puede estar relacionado con la dificultad inherente para obtener márgenes amplios durante la resección quirúrgica y limitar la morbilidad concomitante (8).
Las recurrencias corresponden al 41 % aproximadamente y en los casos en los que no se emplee adyuvancia puede llegar a 60 %. La media de supervivencia de los sarcomas de cabeza y cuello es aproximadamente de 5 a 6 años, siendo posibles largos períodos de supervivencia, incluso con la existencia de metástasis. La supervivencia del sarcoma sinovial de cabeza y cuello, a los 5 años es del 36 % al 54 %, y a los 10 años es del 20 %, debida a la aparición de metástasis.
Histológicamente se clasifican en monofásicos o bifásicos en función de la presencia de un componente de células fusiformes o de un componente epitelial y de células fusiformes respectivamente; el tipo monofásico es más común (50 %-60 %), en el que predomina el componente mesenquimático, las células presentan un núcleo ovoide y pálido, estroma rosado. El patrón bifásico (20 %-30 %) tiene un componente epitelial y mesenquimático, las células epiteliales pueden formar glándulas y puede predominar, ocultando los elementos celulares mesenquimáticos, dando la apariencia de un adenocarcinoma. También esta descrito el tipo pobremente diferenciado (15 %-25 %), que tiene elevada actividad mitótica 15-20 x 10HPF, grandes áreas de necrosis y compromiso perivascular (4). A pesar de estos patrones, no existe evidencia que indique mayor agresividad de un tipo sobre el otro.
El diagnóstico comprende la historia clínica, donde la presentación más común en orofaringe, es una masa indolora que ocasionalmente se asocia con disfonía, disfagia, odinofagia y/o sangrado (4). El dolor se presente hasta en un 20 %. Se debe realizar el examen físico general, además de la nasofibrofaringolaringoscopia que nos permitirá evaluar el tracto aerodigestivo superior. Se debe solicitar estudios de imagen como tomografía y resonancia magnética para evaluar la extensión de la lesión. Es importante la confirmación histológica a través de la biopsia para le evaluación por H&E, sin embargo, es indispensable el uso de técnicas complementarias como la inmunohistoquímica (Cuadro 1) y/o patología molecular para confirmación diagnóstica.

El tratamiento de los sarcomas en cabeza y cuello es semejante a la de los sarcomas de extremidades, sin embargo, la complejidad anatómica de esta área hace que su manejo quirúrgico sea difícil, pues para obtener márgenes adecuados suelen ameritarse cirugías extensas con grandes secuelas funcionales y estéticas. El tratamiento curativo es la resección local amplia, seguido de radiación adyuvante, por lo difícil de obtener un margen amplio. Siempre que sea factible la cirugía es el elemento central del tratamiento de los sarcomas de partes blandas, constituyendo el pilar de la terapia. No se considera necesaria la realización rutinaria de una disección radical de cuello si no existen adenopatías, sobre todo por la baja frecuencia de infiltración ganglionar.
Si bien la quimioterapia se ha convertido en un tratamiento altamente eficaz para ciertos sarcomas, incluidos el rabdomiosarcoma, el sarcoma de Ewing y el osteosarcoma, la eficacia de la quimioterapia en forma neoadyuvante y adyuvante para otras histologías en la mejora de la supervivencia general sigue siendo objeto de debate. Por otro lado, la radioterapia es un componente importante de la terapia multimodal, particularmente en el tratamiento de pacientes con tumores de alto grado, márgenes estrechos o positivos después de la resección quirúrgica y la infiltración de estructuras anatómicas adyacentes (9).
Debido a la cercanía con estructuras vitales, los sarcomas de cabeza y cuello presentan dificultad quirúrgica y dependiendo de su ubicación pueden ser manejados con mayor o menor dificultad. Los tumores ubicados en partes blandas del cuello o en cuero cabelludo suelen ser de más fácil tratamiento, no así los tumores ubicados en senos paranasales, los cuales tienden a estar en la cercanía del encéfalo, lo cual hace más complejo su tratamiento, así como los de la orofaringe, específicamente en su pared lateral, por la proximidad con el paquete vascular, esto se traduce en una mayor probabilidad de márgenes estrechos después de la cirugía.
Se han descrito diferentes abordajes quirúrgicos para los tumores de orofaringe, entre ellos tenemos abordaje el cervical y transoral.
Abordajes cervicales
- Swingmandibular: está indicado en tumores grandes de la orofaringe (pared posterior, amígdalas palatinas, base de lengua), teniendo la ventaja de obtener un gran campo quirúrgico. Se puede hacer mediante mandibulotomía lateral, mediana y paramediana. La lateral puede presentar eventualidades como, sección del nervio alveolar y su ubicación en el campo de irradiación; la mandibulotomía mediana, requiere la extracción de los incisivos y la sección de los músculos con inserción en apófisis geni, lo que puede ver afectada la masticación y la deglución (10,11).
- Faringotomía lateral: empleada generalmente en tumores de base lengua, tumores en la vallécula, surco glosoamigdalino y pared posterior orofaringe (12).
- Faringotomía lateral transmandibular: usualmente utilizada en tumores de orofaringe con infiltración ósea mandibular y tumores de amígdala palatina con infiltración a trígono retromolar; esta intervención va a consistir en la exéresis en bloque de la región orofaríngea con el segmento de mandíbula afecta por tumor(1).
- Abordaje suprahioideo o faringotomía anterior: indicada en tumores en base de lengua.
- Abordaje Pull-through: para tumores en la región central de la base de la lengua. También esta descrito el Pull-through modificado, que emplea un abordaje combinado oral y cervical, para tumores de región amigdalina, el trígono retromolar, la porción posterolateral de la lengua, la base de la lengua, la pared lateral de la faringe próxima al pilar posterior, el velo del paladar.
Abordajes transorales: están indicados principalmente en tumores T1 y T2 y contraindicados en casos de limitación para la apertura bucal, ya que se requiere el uso de sistemas que permitan una buena exposición del campo (12).
- Electrobisturí transoral: utilizado en tumores T1 y T2, ubicados principalmente en amígdalas palatinas, paladar blando y pared faríngea posterior (11).
- Microcirugía transoral láser: ésta permite la coagulación de vasos sanguíneos menores de 0,5 mm, lo que significa que se puede regular el sangrado, proporcionando una excelente visión durante la cirugía, además presenta buena rehabilitación de la deglución y la voz.
- Cirugía robótica transoral (TORS, por sus siglas en inglés, Transoral Robotic Surgery): se puede usar en tumores T1-T2, de preferencia menores de 3 cm. Sin embargo, en los últimos años se ha ampliado su uso en casos muy seleccionados de tumores T3 y T4a con ganglios negativos o positivos. También se ha empleado en tumores de nasofaringe y espacio parafaríngeo (13). Contraindicado en caso de limitaciones en la apertura bucal (trismo), retrognatia (r), extensión cervical limitada, compromiso tumoral de base de lengua y pared faríngea posterior >50 %, visualización parcial del tumor, infiltración mandibular y compromiso de fascia prevertebral.
- Cirugía ultrasónica transoral (TOUSS, por sus siglas en inglés, Transoral Ultrasonic Surgery): consiste en el uso de bisturí de ultrasonidos (armónico), el cual vaporiza el agua intracelular y rompe paredes celulares, produce desnaturalización de proteínas rompiendo los enlaces de hidrógeno. Empleada en tumores T1-T2 de orofaringe y también se puede usar en lesiones de cavidad oral y el espacio supraglótico.
En cuanto a los factores pronósticos de los sarcomas, tenemos los estadios avanzados (III y IV), presencia de metástasis ganglionar, género masculino, tamaño tumoral mayor a 5 cm, margen positivo y estrecho, histología de alto grado, la invasión de estructuras adyacentes, como óseas, vasos y/o nervios afectan de forma adversa y significativa la supervivencia de los pacientes.
Hay falta de evidencia sobre el pronóstico de los sarcomas sinoviales de cabeza y cuello, con frecuencia se asume que tiene peor pronóstico que el sarcoma sinovial primario en otras localizaciones. Sin embargo, varios informes indican que el pronóstico es mejor que el que surge en las extremidades (supervivencia global: 47 %-82 %) (14).
En cáncer de cabeza y cuello están definidos criterios de irresecabilidad, que corresponde a aquellos tumores que infiltran la arteria carótida común e interna, sistema nervioso central, espacio prevertebral y el mediastino (grasa mediastínica, el cayado aórtico y los troncos supra-aórticos, tráquea y el esófago) (15). Sin embargo, estos se definieron principalmente para cáncer escamoso, que corresponde al tipo histológico más frecuente en cabeza y cuello. En el caso de los sarcomas, que constituyen el 1 %-2 % de los tumores de esta región (1), no existen suficientes estudios que precisen estos criterios, extrapolando los empleados para cáncer escamoso.
Hasta la fecha, se han descrito menos de 100 casos de sarcoma sinovial en cabeza y cuello. Lazos y col., informaron 29 casos de sarcomas de cabeza y cuello, siendo más común en tejidos blandos del cuello (24,1 %) y el sarcoma neurogénico (27,5 %), solo se describió 1 caso de sarcoma sinovial (3,4 %) y ninguno en orofaringe (16).
Nazar y col, describieron en el caso de sarcoma sinovial bifásico en orofaringe, en un paciente masculino de 20 años, con un tamaño tumoral de 7 cm x 6 cm x 2 cm, manejado con resección quirúrgica y radioterapia posoperatoria (17).
García J y col., reportaron sobre un caso de sarcoma sinovial en tejidos blandos latero cervical derecho monofásico, en un paciente masculino de 28 años. Fue tratado quirúrgicamente, recibiendo radioterapia y quimioterapia adyuvante (18).
Gac P y col., presentaron el caso de un paciente masculino de 16 años con tumor intraoral en mucosa yugal, de 3,5 cm, tratado quirúrgicamente, cuya biopsia reporto por H&E adenocarcinoma de alto grado de malignidad y en inmunohistoquímica se concluye como sarcoma sinovial monofásico (19).
En nuestra institución, en el año 2016 se publicó por Liuzzi J y col., la experiencia durante 25 años en sarcomas de cabeza y cuello, encontrando hasta la fecha una población de 62 pacientes, con edad promedio de 44 años, la ubicación más frecuente fue en partes blandas del cuello (25,3 %) y el tamaño tumoral promedio fue de 7,1 cm; el diagnóstico más común fue el sarcoma pleomorfo indiferenciado (25,5 %) y en su mayoría fueron estadio III (41,4 %). En cuanto al tratamiento recibido, el 79 % recibió cirugía y el restante no fue susceptible al mismo. Solo encontraron 1 caso en orofaringe (1,6 %) y 2 casos de sarcoma sinovial (3,2 %), pero no localizados en orofaringe (20).
Presentamos el caso clínico de un sarcoma sinovial en orofaringe, el cual es una variante histológica poco frecuente en cabeza y cuello y más aún en la región de orofaringe, como se describió en la revisión de la literatura.
CASO CLÍNICO
Paciente masculino de 21 años de edad, que refiere inicio de enfermedad actual en septiembre de 2020 cuando presenta disfagia, náuseas y vómitos posprandiales, tos seca esporádica, posteriormente odinofagia, por lo cual acude a especialista que evidencia al examen físico lesión en orofaringe, tomando biopsia incisional, que reporta neoplasia infiltrante poco diferenciada sarcomatoide, por lo cual refieren a nuestra institución para evaluación y conducta.
Paciente sin antecedentes médicos ni de radiación previa, niega hábitos tabáquicos y etílicos. Dentro de los antecedentes familiares, hermana con leucemia. Al examen físico de ingreso en nuestra institución, Karnofsky 100 %, cabeza y cuello: cuello simétrico, con movilidad conservada, sin lesiones en piel, tiroides no visible ni palpable; cavidad oral: sin trismo, mucosa oral sin lesiones, lengua móvil, a nivel de orofaringe en pared posterolateral izquierda se visualiza lesión exofítica, no ulcerada, no se palpan adenomegalias cervicales. Nasofibrofaringolaringoscopia: se observa lesión exofítica que protruye a nasofaringe, originada en pared posterior de orofaringe, sin ulceración, con presencia de vascularización en su superficie, cuerdas vocales sin lesión funcional ni orgánica, senos piriformes libres (Figura 2). Resto del examen físico sin alteraciones aparentes.

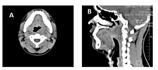
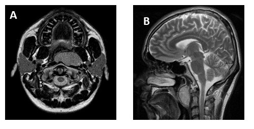
Dentro de los estudios de imagen presenta tomografía de cuello con contraste endovenoso en la cual se aprecia imagen hipodensa difusa que compromete la pared lateral izquierda de orofaringe con un diámetro de 4,28 cm x 2,83 cm, que disminuye la luz de la orofaringe y con realce heterogéneo luego de la administración del contraste, sin ganglios patológicas (Figura 3). En RMN de cuello se evidencia lesión sólida, en pared posterior de orofaringe con obliteración de la luz, de 4,3 cm x 3,71 cm, infiltrando fascia prevertebral y músculos prevertebrales adyacente a cuerpo vertebral de C2 (Figura 4). Estudios de extensión pulmonar y hepático sin lesiones sugestivas de metástasis.


Biopsia incisional de tumor de orofaringe, reporta neoplasia infiltrante poco diferenciada sarcomatoide, a la cual se le realiza revisión institucional que concluye tumor maligno poco diferenciado con áreas de patrón epitelioide y fusocelular, embolismo tumoral vascular linfático no observado. Se realiza estudio inmunohistoquímico que concluye neoplasia mesenquimática maligna sugestiva de rabdomiosarcoma (Cuadro 2).

El caso es discutido en reunión multidisciplinaria con servicios de cabeza y cuello, neurocirugía y oncología médica, en vista de infiltración de espacio prevertebral se decide referir para tratamiento con quimioterapia más radioterapia, recibiendo esquema VAC (Vincristina, Adriamicina, Ciclofosfamida) por 3 ciclos concurrente con radioterapia 5 000 cGy.
Se reevalúa paciente al culminar tratamiento, observando al examen físico de cabeza y cuello: cavidad oral con xerostomía, mucosa y lengua sin lesiones. Se aprecia en pared posterior de orofaringe lesión tumoral exofítica, superficie irregular, no ulcerada de 4 cm aproximadamente. Nasofibrofaringolaringoscopia: en pared posterior de orofaringe lesión exofítica de superficie irregular, no ulcerada, mide 4 cm de diámetro aproximadamente, sin otras alteraciones.
En tomografía de cuello con contraste endovenoso posterior a quimio/radioterapia, se aprecia tumor aspecto heterogéneo y densidad sólida en orofaringe, sin evidencia de infiltración del espacio prevertebral ni de estructuras óseas adyacentes, sin adenomegalias. En RMN con contraste de cuello se visualiza lesión que capta contraste localizado en la pared faríngea posterior que mide 3,8 cm x 1,9 cm, impresiona tener planos de clivaje con estructuras adyacentes, sin infiltración de espacio prevertebral, que al comparar con estudio previo, se determina reducción de tamaño de lesión (Figura 5).

En vista de hallazgos, se discute en reunión de servicio multidisciplinaria y se decide llevar a mesa operatoria, realizándose resección oncológica de tumor en orofaringe a través de abordaje por swing mandibular por mandibulotomía lateral (Figura 6), más resección de fascia prevertebral y músculos pre vertebrales adyacentes más drilaje de cortical anterior de C1, C2 y C3, más colocación de material de osteosíntesis mandibular con placa de titanio 2,0 (Figura 7), traqueostomía y gastrostomía. Paciente permanece en unidad de terapia intensiva para cuidados posoperatorios, seguidamente en área de hospitalización, egresando sin eventualidades.


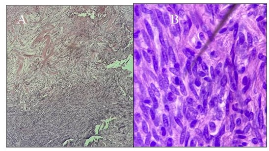
En resultado de biopsia definitiva, se concluye como sarcoma sinovial fusocelular (monofásico) de orofaringe (Figura 8), de 4,5 cm x 3,9 cm x 1,5 cm, grado 2 de FNCLCC, sin invasión linfovascular, márgenes quirúrgicos y ampliación libres de neoplasia. Se realiza estudio inmunohistoquímico (Cuadro 3), que indica sarcoma sinovial fusocelular (monofásico).


Se discute caso en reunión multidisciplinaria y se concluye: Sarcoma sinovial fusocelular (monofásico) grado 2 pT3N0M0 Estadio IIIB. Se indica adyuvancia que cumple con quimioterapia sistémica mediante esquema VAC (Vincristina + Adriamicina + Ciclofosfamida) x 3 ciclos. Paciente actualmente tolerando vía oral, sin lesiones en controles.
DISCUSIÓN
Los sarcomas de cabeza y cuello son poco frecuentes y heterogéneos, con un comportamiento biológico diferente, según los subtipos histológicos (2). Se localizan principalmente en los tejidos blandos, siendo la orofaringe uno de los sitios menos comunes (1).
Generalmente corresponden al histiocitoma fibroso maligno y fibrosarcoma en adultos con 35 % y el sarcoma sinovial solo representa el 2,5 % (2). Se observan sobre todo en hombres y adultos jóvenes (6), como el caso clínico que presentamos, que correspondió a un paciente masculino de 21 años. En los estudios de Gac P y col. (19) y, de García J y col. (18), también se describió sarcoma sinovial en pacientes masculinos con 16 y 28 años respectivamente.
El sarcoma sinovial es poco común en cabeza y cuello, y aún más en orofaringe, por lo que presentamos el caso ya descrito, ubicado en la pared posterolateral izquierda de ororfaringe. Nazar R y col., también describieron un caso en pared de orofaringe, pero de tipo bifásico, en cambio el nuestro fue monofásico (17).
Clínicamente suelen aparecer como una masa de crecimiento lento y no dolorosa. Solo en un 20 % de los casos aparece dolor, también puede producir disnea, disfagia y disfonía (4). El paciente que presentamos manifestó disfagia y odinofagia, además del examen físico es importante complementar la evaluación con la nasofibrofaringolaringoscopia, para evaluar infiltración de otros elementos anatómicos adyacentes como la laringe e hipofaringe.
El manejo de estos tumores sigue siendo un importante desafío para el equipo oncológico multidisciplinario debido a la poco frecuente de su presentación, a la diversidad de tipos histológicos que posee y a lo complejo del tratamiento teniendo en cuenta las estructuras vitales del área de cabeza y cuello que se encuentran en las cercanías del tumor. A pesar de esto el tratamiento quirúrgico es el pilar fundamente asociado a radioterapia adyuvante, ésta última particularmente en tumores de alto grado, márgenes estrechos o positivos después de la resección quirúrgica y la infiltración de las estructuras anatómicas adyacentes (9). Las recurrencias corresponden al 41 % aproximadamente y en los casos en los que no se emplee adyuvancia puede llegar a 60 %.
Como vemos en los casos descritos de sarcomas de cabeza y cuello por Liuzzi J y col., el tratamiento principal es el quirúrgico, mediante la resección local amplia, en este estudio el 79 % de los pacientes recibió cirugía (20).
El Swing mandibular, corresponde a un abordaje quirúrgico cervical que está indicado en tumores grandes de la orofaringe, permitiendo obtener un gran campo quirúrgico (11). Se puede hacer mediante mandibulotomía lateral, mediana y para mediana. En el paciente que se presentó se utilizó este abordaje, mediante mandibulotomía lateral, lo cual facilitó la accesibilidad a la lesión y el campo operatorio, sin eventualidades.
Se reportan metástasis ganglionares cervicales entre el 2 % al 5 % de los sarcomas y están asociadas a tumores de alto grado y a ciertos tipos histológicos como el sarcoma sinovial, sarcoma epitelioide, sarcoma de células claras, fibrohistiocitoma maligno y rabdomiosarcoma. Sin embargo, no se considera necesaria la realización rutinaria de una disección radical de cuello si no existen adenopatías sospechosas.
Al evaluar los estudios de imagen, tenemos que determinar la resecabilidad de la lesión, teniendo en cuenta que en caso de sarcomas de cabeza y cuello no existen suficientes estudios que precisen los criterios de irresecabilidad, extrapolando los empleados para cáncer escamoso. Nuestro paciente presentó inicialmente infiltración del espacio prevertebral, por lo cual se indicó tratamiento con radioterapia y quimioterapia preoperatoriamente, con reducción del tamaño de la lesión y sin infiltración de este espacio en los estudios posteriores, lo cual probablemente permitió que se obtuvieran márgenes quirúrgicos libres, que corresponde a uno de los factores pronósticos fundamentales.
Dentro de estos factores tenemos los estadios avanzados (III y IV), presencia de metástasis ganglionar, género masculino, tamaño tumoral mayor a 5 cm, margen positivo y estrecho, histología de alto grado, la invasión de estructuras adyacentes, como óseas, vasos y/o nervios afectan de forma adversa y significativa la supervivencia de los pacientes.
La media de supervivencia de los sarcomas de cabeza y cuello es aproximadamente de 5 a 6 años, siendo posibles largos periodos de supervivencia, incluso con la existencia de metástasis. La supervivencia del sarcoma sinovial de cabeza y cuello, a los 5 años es del 36 % al 54 %, y a los 10 años es del 20 %, debida a la aparición de metástasis.
Se resalta que la base para el diagnóstico y tratamiento de los sarcomas de cabeza y cuello es el equipo de trabajo multidisciplinario formado por el cirujano oncólogo de cabeza y cuello, el patólogo, el radioterapeuta, el oncólogo y el cirujano plástico reconstructivo. Concluimos en:
- Los sarcomas de cabeza y cuello son poco comunes y más aún en la orofaringe.
- El sarcoma sinovial se localiza generalmente en extremidades, siendo infrecuente los de cabeza y cuello.
- El examen físico, los estudios de imágenes y la microscopia convencional no entregan elementos diagnósticos definitivos, por lo que es indispensable el uso de técnicas complementarias como la inmunohistoquímica y/o patología molecular para confirmación diagnóstica.
- El tratamiento principal comprende la resección quirúrgica seguida de la radioterapia adyuvante por la dificultad de obtener márgenes amplios, debido a la proximidad con elementos anatómicos vitales.
- No está indicada de rutina la disección ganglionar, sino existen adenopatías sospechosas.
- Deben tomarse en cuenta los factores pronósticos de mayor importancia (margen positivo o estrecho, tamaño tumoral mayor de 5 cm, tumores de alto grado), para determinar cuáles lesiones deben considerarse potencialmente recurrentes y así elegir el régimen de tratamiento más efectivo.
REFERENCIAS
1. Peng K, Grogan T, Wang M. Head and Neck Sarcomas: Analysis of the SEER Database. Otolaryngol Head Neck Surg. 2014;151(4):627-633.
2. Salcedo R, Lino L, Mosqueda A, Luna K. Soft tissue sarcomas of the head and neck. Clinical and pathological evaluation of 108 cases in México. J Craniomaxillofac Surg. 2014; 42(8):1566-1571.
3. Wushou A, Miao X. Tumor size predicts prognosis of head and neck synovial sarcoma. Oncol Lett. 2015;9(1):381-386.
4. Gopalakrishnan V, Behrang A, Wagner M, Nowell E, Lazar A, Lin P, et al. Synovial sarcoma of the head and neck: A single institution review. Sarcoma. 2017;2017:2016752.
5. Sturgis E, Potter B. Sarcomas of the head and neck region. Curr Opin Oncol. 2003;15 (3):239-252.
6. Harb W, Luna M, Patel S, Ballo M, Roberts D, Sturgis E. Survival in patients with synovial sarcoma of the head and neck: Association with tumor location, size, and extensión. Head Neck. 2007; 29 (8):731-740.
7. Al Daraji W, Lasota J, Foss R, Miettinen M. Synovial sarcoma involving the head analisis of 36 cases with a predilection for the parotid and temporal regions. Am J Surg Pathol. 2009;33(10):1494-1503.
8. Bree R, Van der Valk P, Kuik D, van Diest P, Doornaert P, Buter J, et al. Prognostic factors in adult head and neck soft tissue sarcoma a single center experience. Oral Oncol. 2006;42:703-709.
9. Chen S, Morris C, Amdur R, Werning JW, Villaret DB, Mendenhall WM. Adult head and neck soft tissue sarcomas. Am J Clin Oncol. 2005;28:259-263.
10. González R, Bologna R, Molina N, Dominguez H. Prognostic factors and treatment strategies for adult head and neck soft tissue sarcoma Int J Oral Maxillofac Surg. 2012; 41: 569-575.
11. Suárez C, Gil L, Algarra J, Medina J, Ortega T, Pineda J, editores. Tratado de otorrinolaringología y cirugía de cabeza y cuello. Segunda edición. Madrid: Editorial Panamericana;2015.
12. García C, Reboll R, Zapater E. Abordaje quirúrgico de orofaringe. Sociedad Española de Otorrinolaringología. Disponible en: URL: https://seorl.net/PDF/Cavidad%20oral%20faringe%20esofago/088%20-%20ABORDAJE%20QUIR%C3%9ARGICO%20DE%20LA%20OROFARINGE.pdf
13. Cadena E, Guerra R, Pérez M. Cirugía Robótica Transoral (TORS), en el manejo de tumores de cabeza y cuello. Rev Colomb Cancerol. 2014;18(3):128-136.
14. Mallen S, Clair J, Arshi A, Abemayor E, John M. Synovial cell sarcoma of the head and neck: An analysis of 167 cases using the SEER database. JAMA Otolaringol Head Neck Surg. 2016;142 (6):576-583.
15. Yousem D, Gad K, Tufano R. Resectability issues with head and neck cancer. AJNR Am J Neuroradiol. 2006;27(10):2024-2036.
16. Lazos M, Ávila A, Hernández M. Sarcomas de cabeza y cuello. Rev Med Hosp Gen Mex. 1999;62(3):176-182.
17. Nazar R, Celedón C, Maass C, Moyano L, San Martín M. Sarcoma Sinovial de Cabeza y Cuello: Reporte de un Caso. Revista Hospital Clínico Universitario de Chile. 2006;17:217- 221.
18. García J, Dean A, Alamillos F, Ruiz J, Barrios G, Vidal A. Sarcoma sinovial, monofásico fusocelular, cervical. Rev Esp Cirug Oral y Maxilofac. 2005; 27(6):381-387.
19. Gac P, Cabané P, Gallegos I, Abusleme E, Ortúzar W, Amat J, et al. Sarcoma sinovial intraoral primario monofásico. Reporte de un caso. Rev. Chilena de Cirugía. 2008;60(4): 326-331.
20. Liuzzi J, Da Cunha M, Salas D, Siso S, Garriga E. Sarcomas de tejidos blandos en cabeza y cuello. 25 años de experiencia. 2016. Disponible en: URL: https://ecancer.org/es/journal/article/740-soft-tissue-sarcomas-in-the-head-and-neck-25-years-of-experience/pdf/es
Notas de autor
jmiguelnv808@gmail.com