LEIOMIOMA RENAL SINTOMÁTICO, TUMOR RENAL INFRECUENTE DE DIFÍCIL DIAGNÓSTICO. REPORTE DE UN CASO.
LEIOMIOMA RENAL SINTOMÁTICO, TUMOR RENAL INFRECUENTE DE DIFÍCIL DIAGNÓSTICO. REPORTE DE UN CASO.
Revista Venezolana de Oncología, vol. 36, núm. 4, pp. 246-251, 2024
Sociedad Venezolana de Oncología

Recepción: 15 Marzo 2024
Aprobación: 23 Mayo 2024
Resumen: El leiomioma renal se incluye dentro de una amplia gama de tumores benignos de estirpe mesenquimática. Esta entidad es poco frecuente, y puede desarrollarse en cualquier parte del tracto urinario que contenga músculo liso, siendo la cápsula renal, el sitio de mayor frecuencia. La clínica y los métodos de imagen disponibles hasta el momento, no permiten hacer el diagnóstico preoperatoriamente; por lo que es frecuente que la confirmación se presente en la biopsia definitiva de una nefrectomía radical. Basado en esta premisa, se debe tener presente como diagnóstico diferencial de neoplasias renales que permitan la realización de procedimientos conservadores de nefronas, mejorando así la calidad de vida de los pacientes a largo plazo. Presentamos el caso de paciente masculino de 65 años al que se le realiza nefrectomía radical por sospecha de carcinoma de células renales y que el análisis histopatológico definitivo permitió confirmar el diagnóstico de leiomioma.
Palabras clave: Leiomioma, renal, nefrectomía, infrecuente, neoplasia benigna.
Abstract: The renal leiomyoma is included within a wide range of the benign tumors of the mesenchymal origin. This entity is rare, and can develop in any part of the urinary tract that contains smooth muscle, with the renal capsule being the most frequent site. The clinic and the imaging methods available to date do not allow the diagnosis to be made preoperatively; therefore, the confirmation is frequently present in the the definitive biopsy of a radical nephrectomy. Based on this premise, it should be kept in mind as a differential diagnosis of the renal neoplasms that allow the performance of nephron sparing procedures, thus improving the quality of life of the patients in the long term. We present the case of a 65 year old male patient who underwent radical nephrectomy due to suspicion of renal cell carcinoma and whose definitive histopathological analysis confirmed the diagnosis of leiomyoma.
Keywords: Leiomyoma, renal, nephrectomy, infrequent, benign neoplasm.
INTRODUCCIÓN
Los leiomiomas renales son tumores benignos muy raros, que son indistinguibles de otras entidades malignas más frecuentes como el leiomiosarcoma o el carcinoma de células renales, antes de una intervención quirúrgica (1). Este reporte de caso demostrará la poca capacidad diagnóstica preoperatoria y la necesidad de estudios de anatomía patológica y de inmunohistoquímica como único medio diagnóstico definitivo (2).
El leiomioma renal es una entidad clínica sumamente rara y fue descrita por primera vez por Virchow en el año 1854. Dada su composición de músculo liso la localización más frecuente se halla en el útero dando lugar a la leiomiomatosis uterina, sin embargo, pueden encontrarse este tipo de neoplasias en cualquier parte del tracto genitourinario siendo más frecuente en la proximidad de la cápsula y la pelvis renal (3). Realizamos una breve revisión de la literatura disponible y describiremos las características clínico-patológicas de esta entidad.
CASO CLÍNICO
Presentamos el caso de un paciente masculino de 65 años de edad con antecedente de hipertensión arterial controlada, quien refiere inicio de enfermedad actual 9 meses previos a su ingreso caracterizado por presentar dolor en región lumbar izquierda asociado a pérdida de peso, en vista de cuadro clínico acude a nuestro centro donde es evaluado.
Al examen físico de ingreso a nuestra institución se presenta en estables condiciones generales, afebril, eupneico. A nivel abdominal ruidos hidroaéreos presentes, cicatriz de línea media supraumbilical eutrófica, blando, depresible, no doloroso a la palpación superficial, ni profunda; se palpa tumoración a nivel de flanco izquierdo de aproximadamente 10 cm de longitud con maniobra de peloteo renal de Guyon positiva; el resto del examen físico sin alteraciones significativas.
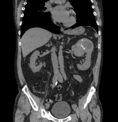
Se solicita urotomografía con contraste endovenoso evidenciando tumor renal izquierdo de aspecto sólido, heterogéneo, hipodenso, redondeado, de bordes circunscritos con realce heterogéneo posterior a la administración de contraste endovenoso y calcificaciones multifocales gruesas en su espesor que mide 10,4 cm x 9,1 cm x 10,3 cm, ubicada en polo superior que condiciona cambios en la arquitectura renal, se observan adecuados planos de clivaje con estructuras adyacentes, no hay dilatación del sistema colector, adecuada repleción de estructuras vasculares posteriores a la administración de contraste endovenoso son defectos de llenado, así como del sistema colector en fase de eliminación. No se reconocen adenopatías loco regionales. Se observan cambios en la grasa perirrenal posterior ipsilateral que pudiera estar en relación con antecedente.


Se realiza ultrasonido renal con efecto Doppler que demuestra la presencia de imagen hipoecoica, de bordes irregulares y poco definidos, con vascularización periférica y microcalcificaciones aisladas, que mide 9,44 cm x 7,17 cm x 10,3 cm, con un volumen de 363 cm3. La arteria renal izquierda de calibre, trayecto y flujo de características normales, sin evidencia de placas ateromatosas ni engrosamiento de la íntima de los vasos, ni imágenes saculares. No se evidencian trombos arteriales y/o venosos.
En vista de estos hallazgos y bajo el diagnóstico de tumor renal izquierdo de probable etiología maligna se planifica para laparotomía pararrectal más nefrectomía radical, obteniendo como hallazgos: Un tumor en el polo superior y medio del riñón izquierdo que mide 20 cm x 10 cm heterogéneo, vascularizado, se envía al servicio de anatomía patológica para evaluación de la pieza operatoria.


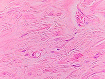
El análisis macroscópico de la pieza quirúrgica mostró hacia el polo superior y tercio medio una lesión de aspecto tumoral con adelgazamiento de la cápsula. Dicha lesión mide 10 cm x 9 cm x 8 cm es blanquecina de aspecto arremolinada, sin necrosis ni hemorragia y reemplaza totalmente el parénquima renal. El tumor no infiltra la cápsula renal, la pelvis renal ni los elementos vasculares.
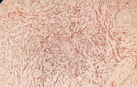
El estudio microscópico demostró la presencia de una neoplasia mesenquimal benigna de patrón fusocelular con marcada degeneración hialina y calcificación distrófica compatible con leiomioma renal que fue confirmada con la tinción de tricrómico de Gomori evidenciando la presencia de células musculares lisas (Figura 5 y 6).



El posoperatorio se desarrolló favorablemente, siendo egresado de la institución al cuarto día del mismo. Tras un seguimiento de 11 meses el paciente se encuentra asintomático y libre de enfermedad.
DISCUSIÓN
El leiomioma se incluye dentro del grupo de tumores benignos derivados del tejido conectivo o mesenquimático; a nivel renal el músculo liso se encuentra en la cápsula, alrededor de los cálices y la pelvis renal y en los vasos sanguíneos desde donde puede dar origen a este tipo de neoplasias (1,4). De hecho, se ha descrito que 90 % de las lesiones se origina en la cápsula y otro 10 % a nivel de la pelvis renal; siendo más frecuente en mujeres de raza blanca y entre la segunda y quinta década de la vida (1).
Los leiomiomas se encuentran en igual proporción en ambos riñones y son más frecuentemente ubicados en el polo inferior (3).
La mayoría de estos tumores son encontrados en adultos como hallazgos incidentales durante autopsias, descrito con una incidencia superior al 5 % (5), y en otras ocasiones pueden ser hallazgos quirúrgicos de una intervención donde se sospechaba una neoplasia maligna (4).
Macroscópicamente son lesiones sólidas, firmes y bien delimitadas. Los especímenes de gran tamaño tienen una superficie de corte trabecular. Se han descrito calcificaciones y quistes y no deberían contener áreas de necrosis (4).
Histológicamente estos tumores están compuestos por células espinosas, dispuestas en fascículos entrecruzados con escaso pleomorfismo nuclear y sin actividad mitótica. Presentan un inmunofenotipo de músculo liso demostrando una reacción positiva a las tinciones de actina y desmina.
Algunos tumores expresan focalmente HMB45 lo que sugiere una relación con el angiomiolipoma y otros tumores de la familia de tumores de células epitelioides peri-vasculares (4).
La presencia de cualquier evidencia de invasión sugiere como diagnóstico un leiomiosarcoma (2).
La presentación clínica más frecuente es como masa palpable hasta en 57 %, asociado o no a dolor en flanco hasta en el 53 % de los casos.
La tríada clásica del cáncer renal dada por dolor, masa abdominal y hematuria se encuentra tan solo en 3,3 % de los pacientes (1).
El diagnóstico imagenológico de un leiomioma no es confiable; esto quizás debido a que la baja frecuencia de estas neoplasias no ha permitido describir patrones radiológicos específicos, motivo por el cual la mayoría de estos pacientes son derivados a cirugías radicales con la presunción diagnóstica de una entidad maligna (1,2,3).
El ultrasonido puede mostrar una lesión sólida o quística y permite identificar planos de clivaje entre el tumor y el parénquima renal con baja especificidad. Las características sugestivas de malignidad como la invasión vascular o la derivación arteriovenosa están ausentes. Por su parte la tomografía computarizada proporciona una mejor definición anatómica y revela márgenes y planos bien delimitados.
A diferencia de los leiomiomas, los carcinomas de células renales tienden a presentarse con márgenes irregulares, pobremente definidos y pueden invadir estructuras adyacentes.
A menos que la lesión sea claramente invasiva en los estudios de imagen es difícil diferenciar entre leiomiomas y leiomiosarcomas. Ambos se originan en áreas que contienen músculo liso y el tamaño y peso son similares en ambos casos. Se ha propuesto que los leiomiosarcomas representan un proceso de degeneración maligna de los leiomiomas, sin embargo, no se ha demostrado asociación entre el tamaño tumoral y la probabilidad de transformación sarcomatoide(2).
La cirugía conservadora de nefronas en el tratamiento del carcinoma de células renales unilateral representa una alternativa factible a la nefrectomía radical en pacientes con tumores menores de 4 cm; conducta que podría extrapolarse en aquellos casos en los que la pieza operatoria sea enviada a biopsia extemporánea y se confirmara la estirpe tumoral benigna. Sin embargo, la dificultad que representa la sospecha clínica de estas neoplasias conlleva en la mayoría de los casos a nefrectomías radicales y al diagnóstico de leiomioma en el análisis definitivo (1).
Concluimos en que el leiomioma es el segundo tumor mesenquimático benigno más frecuente del riñón (5). A pesar de su baja frecuencia esta entidad debe ser considerada en los diagnósticos diferenciales de los tumores renales, especialmente porque de confirmarse la estirpe benigna de la neoplasia sería posible ofrecer una cirugía conservadora de nefronas como tratamiento definitivo.
La anamnesis, la clínica y los estudios de imagen no son suficientes para obtener el diagnóstico preoperatorio de un leiomioma renal; motivo por el cuál, la mayoría de los pacientes se diagnostican en el análisis histopatológico dado por el estudio macroscópico, microscópico y con ayuda de tinciones especiales y métodos de inmunohistoquímica.
Este reporte de caso presenta una entidad muy poco frecuente, y tal como se demuestra en la literatura consultada enfatizó la dificultad que representa diferenciar el leiomioma del carcinoma de células renales o el leiomiosarcoma basándose exclusivamente en la clínica, el examen físico y las técnicas de imagen disponibles.
REFERENCIAS
1. Clemente LM, Candia A, Allona A. Leiomioma renal sintomático, una masa renal de difícil diagnóstico. Actas Urol Esp. 2003;27(7):546-550.
2. Andreoiu M, Drachenberg D, Macmahon R. Giant renal leiomyoma: A case report and brief review of the literature. Can Urol Assoc J. 2009;3:E58-60.
3. Patil P, McKenney JK, Trpkov K, Hes O, Montironi R, Scarpelli M, et al, Renal leiomyoma a contemporary multi-institution study of an infrequent and frequently misclassified neoplasm. Am J Surg Pathol. 2015;39:349-356.
4. Moch H, Humphrey PA, Ulbright TM, Reuter VE, Ulbright M. The 2016 WHO Classification of Tumours of the Urinary System and Male Genital Organs-Part A: Renal, Penile, and Testicular Tumours. Eur Urol. 2016;70(1):93-105. doi: 10.1016/j.eururo.2016.02.029.
5. Amin M, McKenney J, Tickoo S, Paner S, Sten M, Velazquez H, et al. Diagnóstico en patología genitourinaria, Madrid:Editorial Marbán; 2013.
Notas de autor
ljsolorzanop@gmail.com