BOCIO INTRATORÁCICO COMO DIAGNÓSTICO DIFERENCIAL EN LOS TUMORES DEL MEDIASTINO ANTERIOR.
BOCIO INTRATORÁCICO COMO DIAGNÓSTICO DIFERENCIAL EN LOS TUMORES DEL MEDIASTINO ANTERIOR.
Revista Venezolana de Oncología, vol. 36, núm. 4, pp. 252-255, 2024
Sociedad Venezolana de Oncología

Recepción: 30 Enero 2024
Aprobación: 17 Abril 2024
Resumen: Los tumores del mediastino anterior suponen una verdadera caja de Pandora respecto a la etiopatogenia de los mismos, teniendo en consideración ciertas patologías clásicas a la hora de realizar su abordaje diagnóstico. Presentamos paciente femenina quien debuta clínicamente con síntomas respiratorios y digestivos altos, sin hallazgos significativos al examen físico, evidenciándose en estudio tomográfico lesión ocupante de espacio en mediastino anterior en aparente contigüidad con la glándula tiroides, lográndose resolución quirúrgica electiva de manera satisfactoria. Lo infrecuente de esta patología y su manejo diagnóstico y terapéutico motivan la discusión del presente caso.
Palabras clave: Tiroides, bocio, bocio intratorácico, bocio sumergido, tiroidectomía total, tumor de mediastino.
Abstract: Tumors of the anterior mediastinum represent a true Pandora's box with respect to their etiopathogenesis, taking into consideration certain classic pathologies when carrying out their diagnostic approach. We present the case of a female patient who clinically debuted with upper respiratory and digestive symptoms, without significant findings on physical examination, evidencing in the tomographic study a space-occupying lesion in the anterior mediastinum in apparent contiguity with the thyroid gland, achieving its elective surgical resolution satisfactorily. The infrequency of this pathology and its diagnostic and therapeutic management motivate the discussion of this case.
Keywords: Thyroid, goiter, intrathoracic goiter, submerged goiter, total thyroidectomy, mediastinal tumor.
INTRODUCCIÓN
El bocio intratorácico, también llamado retroesternal o “sumergido”, es una entidad nosológica inusual que forma parte de los diagnósticos diferenciales de toda lesión de ocupación de espacio que se localice en el mediastino anterior. Fue descrito inicialmente por Von Haller en 1749 y durante la historia ha tenido múltiples definiciones, siendo la más acertada aquel bocio que se localiza en el mediastino (en cualquier posición del paciente), ya sea parcial o totalmente (1).
CASO CLÍNICO
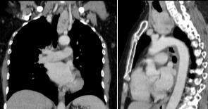
Paciente femenino de 64 años quien inicia enfermedad actual 3 meses previo ingreso cuando presenta disnea progresiva de grandes a moderados esfuerzos asociado a tos seca no productiva intermitente y disfagia leve a sólidos, motivo por el cual acude y se evalúa. Al examen físico presenta signos vitales estables, cuello móvil con una tiroides no visible ni palpable (Figura 1), sin adenomegalias. Tórax simétrico normo expansible, ruidos respiratorios presentes en ambos hemitórax sin agregados. Resto del examen físico anodino. Exámenes de laboratorio incluyendo prueba de COVID sin alteraciones. En la radiografía de tórax se evidencia discreta desviación de la tráquea hacia la derecha, parénquima pulmonar sin alteraciones. Se realiza Tomografía (TC) de cuello y tórax evidenciando LOE a nivel de mediastino anterior en estrecha relación con los grandes vasos torácicos y con aparente continuidad con la glándula tiroides (Figura 2). Se realiza posteriormente eco tiroideo el cual se concluye como una glándula tiroidea aumentada de tamaño, asimétrica a predominio de lóbulo izquierdo en relación a bocio multinodular (tirads 3). Perfil tiroideo sin alteraciones. Se decide llevar a mesa operatoria obteniendo como hallazgos una glándula tiroidea aumentada de tamaño a predominio de lóbulo izquierdo, el cual se encontraba ocupando casi la totalidad del mediastino anterior (Figura 3). Se logra realizar tiroidectomía total por vía transcervical, egresando sin complicaciones al tercer día de posoperatorio. El diagnóstico histopatológico final fue una hiperplasia multinodular difusa, sin evidencia de atipias.



DISCUSIÓN
El bocio intratorácico tiene una incidencia estimada entre 0,05 %-2 % por cada 100 000 pacientes, siendo más frecuente en el sexo femenino (relación 3:1) y en edades avanzadas (entre la 5a y 6a década de la vida). Según su origen anatómico se clasifica en primario (<1 %), secundario (80 %-90 %) o recidivado (10 %-20 %) (1). Puede ser asintomático en el 30 % de los casos. Entre las manifestaciones clínicas están: presencia de masa cervical (50 %), síntomas obstructivos de la vía aéreo-digestiva (disnea, disfagia o cambios en la voz) y síntomas compresivos de los vasos mediastínicos (ingurgitación yugular o signo de Pemberton) (2). El diagnóstico se realiza principalmente por tomografía, siendo el eco y la PAAF subestimada por la localización anatómica de la glándula. Para elegir el tratamiento quirúrgico existen 3 subtipos: categoría 1, aquel bocio cervical con importante porción intratorácica, categoría 2, cuando es completamente intratorácico y categoría 3 cuando hay sospecha de malignidad(1,2,3). La gran mayoría de los casos se operan por cervicotomía ya que sólo el 2 % va a requerir un abordaje extra cervical. Las complicaciones más frecuentes son la parálisis recurrencial y el hipoparatiroidismo transitorio (4.5).
El bocio intratorácico es una entidad nosológica infrecuente cuyo abordaje diagnóstico es diferente al del bocio convencional, pero el tratamiento del mismo coincide al seguir siendo la tiroidectomía total por vía transcervical.
REFERENCIAS
1. Siddiquee, B. Management of retroesternal goiter. En: Kapre ML editor. Thyroid Surgery. India: Taylor and Francis Group; 2020.p.79-82.
2. Ríos A, Sitges A. Tratamiento quirúrgico del bocio intratorácico. Cir Esp. 2012:90 (7). 421-428
3. Knobel M. An overview of retrosternal goiter. J Endocrinol Invest. 2021;44(4):679-691.
4. Simó R, Nixon IJ, Vander V, Poorten M, Shaha AR, Sanabria A, et al Surgical management of intrathoracic goitres. Eur Arch Otorhinolaryngol. 2019;276(2):305-314.
5. Newman E, Shaha AR. Substernal goiter. J Surg Oncol.1995;60(3):207-212.
Notas de autor
tioxavi55@gmail.com