
Recepción: 05 Marzo 2025
Aprobación: 02 Mayo 2025
Resumen: OBJETIVO: Los quistes del conducto tirogloso son anomalías cervicales congénitas frecuentes. Con una incidencia de transformación maligna que varía del 0,7 % al 1 %, hasta la fecha se han descrito aproximadamente 300 casos de tumores malignos en quiste del conducto tirogloso desde que Bretano identificara el primer caso en 1911. CASO CLÍNICO: Paciente masculino 38 años quien inicia enfermedad actual 8 meses previo a su ingreso al presentar aumento de volumen en región lateral izquierda de cuello, acude a esta institución se solicitan estudios con hallazgo en adenopatía mediante punción aspiración con aguja fina de carcinoma metastásico por lo que se realiza intervención quirúrgica DISCUSIÓN: Estas neoplasias son infrecuentes y no se ha establecido una estadificación o estandarización del tratamiento, pero se refiere que la operación de Sistrunk se considera adecuada, sin embargo, de detectarse anomalías en la glándula tiroides mediante palpación o ecografía, debe considerarse la posibilidad de realizar una tiroidectomía.
Palabras clave: Quiste conducto tirogloso, carcinoma papilar de tiroides, quiste tirolingual, cáncer de cabeza y cuello.
Abstract: OBJECTIVE: Thyroglossal duct cysts are common congenital cervical anomalies. With an incidence of malignant transformation that varies from 0.7 to 1%, to date approximately 300 cases of malignant tumors in thyroglossal duct cysts have been described since Bretano identified the first case in 1911. CLINICAL CASE: Male patient 38 years old who started his current disease 8 months prior to his admission when he presented an increase in volume in the left lateral region of the neck, he came to this institution and studies were requested with a finding of adenopathy by fine needle aspiration puncture of a fine needle carcinoma of the thyroglossal duct. DISCUSION: These neoplasms are infrequent, and no staging or standardization of treatment has been established, but it is reported that the Sistrunk operation is considered adequate, however, if abnormalities are detected in the thyroid gland by palpation or ultrasound, the possibility of performing a thyroidectomy should be considered.
Keywords: Thyroglossal duct cyst, papillary thyroid carcinoma, tyrolingual cyst, head and neck cancer.
INTRODUCCIÓN
Los quistes del conducto tirogloso (QCT) son las anomalías cervicales congénitas más frecuentes, con una prevalencia en la población del 7 %. Pueden formarse en cualquier punto de la ruta de migración de la glándula tiroides, desde la base de la lengua hasta la parte inferior del cuello. Se presentan como masas móviles en la línea media del cuello, cerca del hueso hioides y a menudo son asintomáticos (1).
La incidencia de transformación maligna en un QCT varía del 0,7 % al 1 %. Hasta la fecha se han descrito aproximadamente 300 casos de tumores malignos en QCT desde que Bretano identificara el primer caso en 1911 (2).
Los tipos histopatológicos comunes son el carcinoma papilar (80 %), el carcinoma folicular (8 %) y el carcinoma de células escamosas (6 %), adenoma de células de Hurthle y el carcinoma anaplásico 6 %(3,4).
Una encuesta sobre los estudios preoperatorias del quiste del conducto tirogloso realizada por un panel de expertos en otorrinolaringología del Reino Unido mostró que el estudio más solicitado era la ecografía (95 %), las pruebas de función tiroidea (32 %), la gammagrafía con radioisótopos (3 %), la punción aspiración con aguja fina (PAAF; 2 %) y la Tomografía Computarizada (TC; 1 %) (4).
Aunque el QCT suele diagnosticarse mediante ecografía, puede realizarse un examen preoperatorio por imagen para determinar la anatomía, la extensión del quiste, identificar tejido tiroideo ectópico y evaluar la posible malignidad dentro del quiste. La TC y la resonancia magnética (RM) pueden mostrar componentes sólidos, nódulos intramurales o calcificaciones dentro de la masa quística del cuello, lo que puede ayudar a identificar una neoplasia maligna dentro de un QCT (5).
CASO CLÍNICO
Se trata de paciente masculino de 38 años de edad con antecedente de tumoración en línea media de cuello en probable relación con quiste tirogloso desde hace 12 años, inicia enfermedad actual 8 meses previo a su ingreso al presentar aumento de volumen en región lateral izquierda de cuello, acude a la institución se solicitan estudios, evidenciando: adenopatía cervical izquierda por lo que se realiza punción aspiración con aguja fina (PAAF) con hallazgos de carcinoma metastásico por lo que se ingresa y se decide conducta.
Examen físico de ingreso: Karnofsky: 100 % ECOG: 0 puntos. Paciente luce en condiciones clínicas estables, afebril, hidratado, adecuada coloración cutáneo-mucosa, normocéfalo, no se palpan masas ni lesiones, ojos simétricos, con apertura y cierre ocular sin alteraciones, aumento de volumen en región anterior central cervical, de consistencia renitente 4 cm aproximadamente, bordes regulares, que se moviliza con la deglución, cuello simétrico móvil se palpa adenopatía nivel II izquierda de aproximadamente 2 cm indurada no fija.

ESTUDIOS DE EXTENSIÓN
Ultrasonido cervical y tiroideo
Tiroides: de tamaño normal. Lóbulo derecho: de tamaño normal, con nódulo dominante, heterogéneo, con calcificaciones de 171 mm x 13 mm, periférica.
Lóbulo izquierdo: de tamaño normal, sin imágenes en su interior
Adenopatía izquierda en nivel II con pérdida de la estructura de 18 mm x 11 mm y
15 mm x 7 mm. Imagen anecogénica en línea media de 31 mm x 26 mm en probable relación con quiste tirogloso.
PAAF
1. Glándula tiroides (nódulo en lóbulo tiroideo derecho)
Benigno (categoría II sistema Bethesda) nódulo folicular benigno, indicativo de nódulo hiperplásico.
2. Referido como adenopatías nivel II izquierdo PAAF
Citología positiva para malignidad. compatible con carcinoma metastásico (células de aspecto epitelial folicular).
3. Referido como QCT PAAF
Compatible con contenido de quiste.
TC de cráneo, cuello, tórax, abdomen con contraste
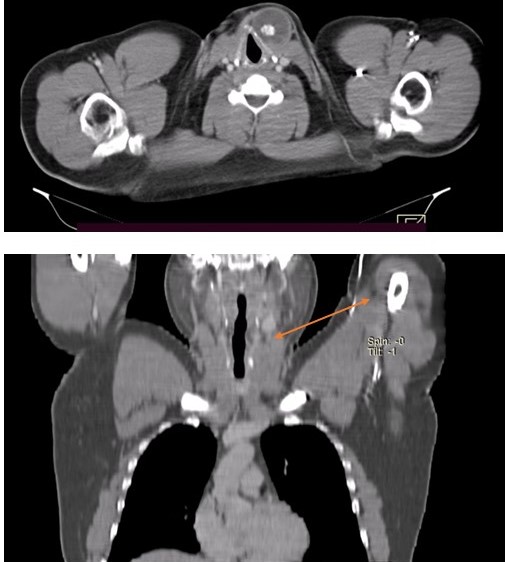
Masa tumoral quística bien definida, encapsulada, con calcificación central en región latero-cervical izquierda, contacta el cartílago tiroides y se ubica por encima del polo superior del lóbulo tiroideo izquierdo, a evaluar mediante estudio histopatológico. No se descartan restos embrionarios, de tipo quiste desmoide (Figura 2a y 2b).
Adenopatía latero-cervical izquierda adyacente, a descartar origen secundario. Se sugiere estudio histopatológico.

Impresión diagnóstica de ingreso
1. Carcinoma de primario oculto de cabeza y cuello (células foliculares)
2. Quiste tirogloso con sospecha de transformación maligna
3. Nódulo tiroideo derecho Bethesda II.
Paciente es llevado a mesa operatoria, donde se realiza incisión de Lahey izquierda en región cervical evidenciando lesión quística en línea media en probable relación a quiste tirogloso de 5 cm x 5 cm bordes regulares (Figura 3), renitente, con adherencias a tejidos circundantes, guarda relación con lóbulo piramidal, glándula tiroides; lóbulo tiroideo derecho con nódulo de 2 cm x 2 cm calcificado, ganglios cervicales (2) indurados niveles II izquierdo el de mayor tamaño 2 cm aproximadamente. Paciente se mantiene hospitalizado por 72 h, se indica el alta médica sin eventualidades.
Intervención quirúrgica final
Tiroidectomía total + procedimiento de Sistrunk + disección de cuello radical modificada izquierda (Figura 4 y Figura 5).



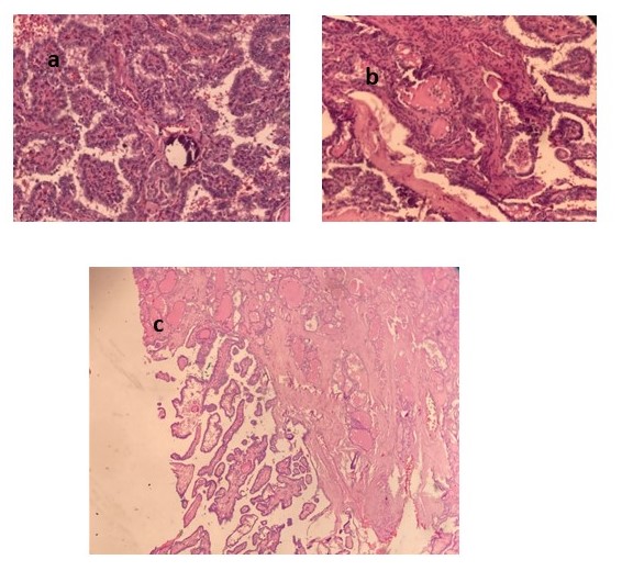
Biopsia posoperatoria N° B-202400497 (Figura 6a, 6b, 6c).

Diagnósticos microscópicos
1. Región cervical, referido nivel I, disección
• Cuatro (4) ganglios linfáticos con hiperplasia folicular reactiva, sin evidencia de metástasis.
• Glándula salival sin cambios histológicos significativos ni infiltración tumoral.
• Tejido fibroadiposo maduro vascularizado sin tumor aparente.
2. Región cervical izquierda: disección cervical radical modificada
• Cuatro (4) ganglios linfáticos con presencia de carcinoma papilar metastásico con infiltración a la cápsula y al tejido fibroadiposo periganglionar en 1/4. Tamaño máximo de la metástasis 1,4 cm, ganglios comprometidos nivel II al IV.
• Trece (13) ganglios linfáticos presentan hiperplasia folicular y sinusoidal reactiva, libres de metástasis, (total de ganglios disecados: diecisiete (17)
3. Glándula tiroides: tiroidectomía total + procedimiento de Sistrunk: carcinoma papilar de tiroides, subtipo clásico.
• Tamaño tumoral: 1,5 cm x 1 cm x 1 cm en el lóbulo derecho y 1,9 cm x 1,8 cm x 1,3 cm en el lóbulo izquierdo.
• Componente histológico de carcinoma papilar, variedad papilar clásica 80 % y patrón folicular 20 %.
Patología no tumoral asociada: hiperplasia multinodular, tiroiditis linfocitaria crónica.
Referido como quiste tirogloso -hueso hioides; resección -procedimiento de Sistrunk: quiste tirogloso con presencia de carcinoma papilar subtipo usual bien diferenciado.
• Tamaño tumoral: quiste 6 cm x 5,5 cm x 4 cm. Tumor en el centro del quiste 1,5 cm x1 cm y en la pared del quiste.
• Componente histológico de carcinoma papilar, variedad papilar clásica 80 % y patrón folicular 20 %.
Evolución posoperatoria
Paciente se egresa a las 72 h de posoperatorio en condiciones clínicas estables, valores de calcio sérico: 9,3 mg/dL, calcio corregido: 9,36 mg/dL, sin signos de hipocalcemia. Tolerando vía oral y aire ambiente.
Es discutido en reunión de servicio de cabeza y cuello con resultado histopatológico donde se concluye con diagnóstico
1. Carcinoma papilar sincrónico
1.1. Carcinoma papilar de tiroides pT1(m)N1bM0 ST I <55 años riesgo intermedio ATA
1.2. Carcinoma papilar de quiste tirogloso
Por lo que se refiere a medicina nuclear para tratamiento adyuvante con iodo radioactivo.
DISCUSIÓN
Sólo el 1 % de los carcinomas tiroideos surgen de un QCT, y la operación de Sistrunk se considera generalmente adecuada para el tratamiento de las neoplasias del QCT con una tasa de curación reportada del 95 % aproximadamente(6,7).
Aún existe controversia sobre la necesidad de extirpar la glándula tiroides en caso de carcinoma papilar del QCT. La tiroidectomía se recomienda en los casos en los que 1. La glándula tiroides se encuentra nodular, con un nódulo frío en una gammagrafía tiroidea de captación de yodo; 2. Hay ganglios linfáticos agrandados, 3. Existen antecedentes de irradiación del cuello(3,4,5,6).
Sin embargo, si se detectan anomalías en la glándula tiroides mediante palpación o ecografía, debe considerarse la posibilidad de realizar una tiroidectomía, ya que la incidencia notificada de carcinoma primario de tiroides concomitante con carcinoma de QCT oscila entre el 11 % y el 33 %(6,7,8, 9).
Se ha recomendado la tiroidectomía total o subtotal si hay invasión de la pared quística por el carcinoma, o si el carcinoma del QCT es mayor de 1,0 cm, porque las lesiones más grandes tienen más probabilidades de comportarse de forma agresiva y la evidencia de invasión local o metástasis cervical indicada por las imágenes preoperatorias o los hallazgos quirúrgicos justifica la tiroidectomía total y la disección de los ganglios linfáticos cervicales además de la escisión amplia completa del carcinoma del QCT(5,6,7,8,9).
En vista de la baja incidencia de casos, la linfadenectomía no se ha estandarizado, pero al revisar la literatura se observa que cuando se han realizado linfadenectomías cervicales profilácticas la incidencia de metástasis ganglionares ha sido controversial, en unos artículos mencionan una incidencia de 7,7 % a 12,9 % en carcinomas papilares asociados a QCT (10).
En una serie de 18 pacientes con cáncer papilar originado de un QCT, la mayoría (16/18) se sometieron a disección del cuello de los compartimentos central y/o lateral. Se encontraron metástasis en los ganglios linfáticos en el 75 % (12/16) de los pacientes de esta serie (11), y en una revisión retrospectiva de 26 pacientes, se encontró diseminación linfática en un 88 % de los pacientes (12).
La enfermedad metastásica a distancia es poco común y se ha reportado en menos del 2 % de los casos de carcinomas originados del QCT (11,12,13).
Los carcinomas originados del QCT son una entidad rara y en vista de su baja incidencia no se ha logrado generar una estadificación y estandarizar el tratamiento, pero a pesar de esto presentan una baja mortalidad, no obstante, siguen siendo un diagnóstico diferencial importante de lesiones en línea media de cuello y debe mantenerse la sospecha de malignización en los pacientes con QCT.
Figura 1a y 1b. Preparación preoperatoria del paciente, visión frontal y lateral.
vv
Figura 2a y 2b. TC de cuello con contraste. Cabeza de flecha señalando la lesión quistica en región cervical, flecha señalando adenopatía en hemicuello izquierdo.
Figura 3. Exposición del quiste del conducto tirogloso a través de abordaje de Lahey.
Figura 4. Estructuras cervicales posterior a procedimiento de Sistrunk, tiroidectomía y disección radical modificada cervical izquierda.
Figura 5. Piezas operatorias con su identificación.
Figura 6a, 6b, 6c. Microfotografías de la pieza operatoria a. Carcinoma papilar en nódulo en lóbulo derecho de la tiroides b. Carcinoma papilar en nódulo en lóbulo izquierdo de la tiroides c. Carcinoma papilar de tiroides en el centro del quiste del conducto tirogloso.
b.)
a.
Guardar Inferencia de citas Inferencia de contenido Post-inferencia de referencias Por favor espere un momento... Respaldos Finalizar Existen incongruencias en la captura. ¿Desea generar el archivo XML a pesar de ello? Se añadió un nuevo campo en nuestro sistema denominado Datos Abiertos Ahora podrá registrar la información requerida de cada dato abierto que este asociado a su artículo. Cada dato abierto podrá ser accedido desde el portal de redalyc.
Uno o más errores encontrados en la captura de la información. Favor de verificar lista de errores. El click derecho y el comando "ctrl + c" está deshabilitado por motivos de seguridad ¿Desea cerrar esta ventana? Si se cierra sus cambios en la marcación de la ecuación no serán guardados. Seleccione el estilo que desea para generar el PDF de su artículo. Si necesita ver una vista previa del estilo, haga clic en su imagen correspondiente. Para salir de la vista previa haga clic en cualquier parte. Riga Upsala Malmo Liminar Si se requieren realizar modificaciones en un futuro, se le sugiere que conserve el mismo estilo de PDF elegido la primera vez que se generó el artículo.
REFERENCIAS
1. Garcia E, Osterbauer B, Parham D, Koempel J. The incidence of microscopic thyroglossal duct tissue superior to the hyoid bone. Laryngoscope. 2019;129(5):1215-1217.
2. Nassif C, Farah C, Bassam Tabchy. (2012). Two cases of papillary carcinoma in a thyroglossal duct cyst. Egyptian Journal of Ear, Nose, Throat and Allied Sciences. 2012;13(3):133-135.
3. Naghavi SE, Jalali MM. Papillary carcinoma of thyroglossal duct cyst. Med Sci Monit. 2003;9(7):CS67-70.
4. Li C, Zhang F, Li LH, Shi Li X, Yu LS. Individual treatment strategy of thyroglossal duct cyst carcinoma: A case report. Gland Surg. 2023;12(4):555-561. https://doi.org/10.21037/gs-23-102
5. Joseph J, Lim K, Ramsden J. Investigation prior to thyroglossal duct cyst excision. Ann R Coll Surg Engl. 2012;94:181-184.
6. Balalaa N, Megahed M, Al Ashari M, Branicki F. Thyroglossal duct cyst papillary carcinoma. Case Rep Oncol. 2011;4(1):39-43.
7. Bahar A, Zhila Torabizadeh, Marzieh Movahedi Rad, Kashi Z. Papillary carcinoma in correlation to thyroidal duct cyst: A case series. Caspian J Intern Med. 2020 ;11(1):110-115.
8. Peres C, Nuno Rombo, Guia L, Simões C, Roque R. Thyroglossal duct cyst carcinoma with synchronous thyroid papillary carcinoma: A case report and literature review. Cureus. 2022;4(8):e28570.
9. Chrisoulidou A, Iliadou P, Doumala E, Mathiopoulou L, Boudina M, Alevizaki M, et al. Thyroglossal duct cyst carcinomas: Is there a need for thyroidectomy? Hormones (Athens). 2013;12(4):522-528.
10. Chu YC, Han JY, Han HS, Kim JM, Min SK, Kim YM. Primary papillary carcinoma arising in a thyroglossal duct cyst. Yonsei M J. 2002;43(3):381-384.
11. Hartl DM, Ghuzlan A, Chami L, Leboulleux S, Schlumberger M, Travagli JP. High rate of multifocality and occult lymph node metastases in papillary thyroid carcinoma arising in thyroglossal duct cysts. Ann Surg Oncol. 2009;16(9):2595-2601.
12. Pellegriti G, Lumera G, Malandrino P, Latina A, Masucci R, Scollo C, et al. Thyroid cancer in thyroglossal duct cysts requires a specific approach due to its unpredictable extension. J Clin Endocrinol Metab. 2013;98(2):458-465.
13.Mazzaferri EL. Thyroid cancer in thyroglossal duct remnants: A diagnostic and therapeutic dilemma. Thyroid. 2004;14(5):335-336.
Notas de autor
osamabzaky@gmail.com
Información adicional
redalyc-journal-id: 3756