CARCINOMA PAPILAR DE TIROIDES VARIEDAD WARTHIN LIKE. REPORTE DE TRES CASOS REVISIÓN DE LA LITERATURA.
CARCINOMA PAPILAR DE TIROIDES VARIEDAD WARTHIN LIKE. REPORTE DE TRES CASOS REVISIÓN DE LA LITERATURA.
Revista Venezolana de Oncología, vol. 37, núm. 3, pp. 220-225, 2025
Sociedad Venezolana de Oncología

Recepción: 16 Febrero 2025
Aprobación: 02 Abril 2025
Resumen: Se realizó una revisión a través de la base de datos PubMed y el buscador Google Scholar que incluyó publicaciones desde 1995 hasta julio 2024, también se utilizó la inteligencia artificial Perplexy®. Se hallaron reportados hasta la fecha, en los diferentes motores de búsqueda, 164 casos de la variante Warthin Like de carcinoma papilar de tiroides, con una estimación general entre 0,2 % y 1,9 % de todos los tipos de carcinomas papilares de tiroides. A continuación, presentamos tres nuevos casos no reportados aun en la bibliografía mundial.
Palabras clave: Carcinoma, papilar, tiroides, Warthin Like..
Abstract: A review was carried out through the PubMed database and the Google Scholar search engine that included the publications from 1995 to July 2024, the Perplexy® artificial intelligence was also used. To the actual date, 164 cases of the Warthin Like variant of the papillary thyroid carcinoma were found and reported in the different search engines, with a general estimate between 0.2 % and 1.9 % of the all types of the papillary thyroid carcinomas. Next, we present three new cases not yet reported in the world literature.
Keywords: Carcinoma, papillary, thyroid, Warthin Like.
CASOS CLÍNICOS
CASO 1
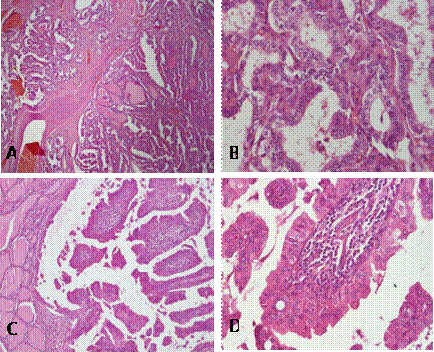
Paciente femenina de 27 años de edad. Consultó por aumento de volumen en región anterior del cuello posterior a una amigdalitis. Ecosonograma de cuello reportando nódulos tiroideos, por lo que acude a consulta para evaluación. Antecedentes personales de hiperinsulinismo medicado con metformina, hernioplastia inguinal bilateral y rinoplastia sin complicaciones. Al examen físico: Peso: 64 kg T:1,55m TA: 100/60 mm Hg FC:90L/m. Cuello grueso, nódulo palpable de 2 cm x 2,5 cm en lóbulo tiroideo izquierdo liso, duro, móvil, no doloroso. Nódulo de 1 cm muy móvil en lóbulo derecho. Adenomegalia submentoniana. Laboratorio:1,5 UI/mL AAT negativos. Ultrasonido de tiroides: glándula aumentada de tamaño a expensas del lóbulo tiroideo izquierdo. LTD: imagen ovalada de 1 cm x 0,9 cm x 1 cm, bien definida, sólida, con microcalcificaciones. LTI: imagen de 2 cm x 1,5 cm x 1,9 cm que ocupa casi la totalidad del lóbulo, ecomixta con microcalcificaciones pleomórficas e irregulares. Adenomegalia submentoniana de aspecto inflamatorio Tirads 5. Citología por punción ecoguiada con aguja fina de lóbulo tiroideo izquierdo: hallazgos cito morfológicos compatibles con carcinoma papilar. Categoría Bethesda 6: maligna. Citología por punción aspiración con aguja fina de ganglio linfático submentoniano: hallazgos cito morfológicos propios de ganglio linfático sin atipias. Conducta: tiroidectomía total. Biopsia definitiva: nódulo lóbulo tiroideo izquierdo. Glándula tiroides: carcinoma papilar clásico no encapsulado con esclerosis central, ubicación porción media inferior del lóbulo tiroideo izquierdo. Mide 2,7 cm x 2,5 cm. Infiltración al tejido tiroideo perilesional: carcinoma papilar tipo Warthin Like no encapsulado. Mide 1,1 cm. Infiltración al tejido tiroideo perilesional sin sobrepasar la cápsula tiroidea. Focos de tiroiditis linfocítica. Istmo: hiperplasia nodular con focos de tiroiditis. Lóbulo piramidal: hiperplasia nodular, ganglios pre-laríngeos Delfianos, dos ganglios linfáticos con metástasis por carcinoma papilar patrón Warthin Like. Lóbulo tiroideo derecho: hiperplasia nodular con hiperplasia oncocítica y degeneración quística. Focos de tiroiditis linfocítica. Diagnóstico: carcinoma papilar de tiroides. Tiroiditis linfocítica (Figura 1) T2N1M0 (estadio I), (menor de 55 años).

CASO 2
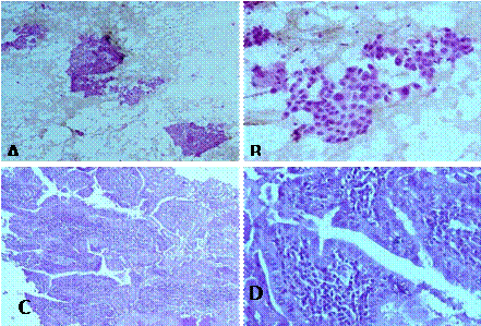
Paciente: femenina de 58 años de edad quien consulta por nódulo tiroideo de tres años de evolución. Refiere ser diagnosticada de nódulo tiroideo derecho, estable por un año, presentando posteriormente síntomas de fatiga, tendencia a la depresión, intranquilidad, ataques de pánico y concomitante crecimiento del nódulo tiroideo. Negó sintomatología compresiva tiroidea. Acudió a médico endocrinólogo. EF: Peso: 57 kg Talla. 1,57 m Asimetría en hemicuello derecho, palpándose nódulo tiroideo derecho de aproximadamente 3,5 cm aumentado de consistencia, fijo e indoloro a la movilización, que ocupaba casi todo el LTD. TSH: 1,57 mUI/mL T4L: 1,51ng T3L: 2,8 pg. Ultrasonido de cuello: nódulo de 3,6 cm x 2,6 cm x 1,8 cm, sólido, eco heterogéneo, con áreas hiper refringentes en lóbulo derecho. Nódulo de 0,8 cm x 0,9 cm x 1,2 cm en polo superior del LTI de características similares al nódulo de mayor tamaño. Tirads 4. Citología por punción ecoguiada con aguja fina de lóbulo tiroideo derecho. Hallazgos citomorfológicos compatibles con carcinoma papilar.
Categoría Bethesda 6: maligna (Figura 2 A y B). Conducta: tiroidectomía total. Biopsia definitiva: tiroidectomía total: biopsia LTD e ISTMO: carcinoma papilar de tiroides no encapsulado, variante Warthin Like mide 3,6 cm x 3,4 cm x 2,5 cm. Invasión angiolinfática: no observada. La lesión infiltra la cápsula tiroidea sin sobrepasarla. Fibrosis capsular reactiva y focos de actividad inflamatoria crónica. Presencia de una glándula paratiroides sin lesiones histológicas. Parénquima tiroideo peri tumoral con tiroiditis de Hashimoto. LTI: hiperplasia oncocítica asociada a tiroiditis de Hashimoto. Diagnóstico: carcinoma papilar de tiroides variedad Warthin Like. Tiroiditis de Hashimoto (Figura 2 C y D). (T2N0M0) estadio I (Mayor de 55 años).

CASO 3
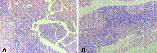
Paciente femenina de 44 años de edad en tratamiento de larga data con 25 μg de levotiroxina acudió a control con médico endocrinólogo. TSH 1,63 T4l: 0,89. Al examen físico: cuello simétrico a la inspección, se palpó nódulo de 2 mm a 3 mm en istmo, muy móvil, nódulo en lóbulo tiroideo izquierdo de 1,5 cm x 2 cm liso no doloroso, blando, lóbulo derecho se palpó normal. A la palpación no se evidenciaron adenomegalias en cuello. Ultrasonido cervical: lóbulo tiroideo derecho de tamaño normal, con ecopatrón heterogéneo, pseudonodular. En istmo con unión al lóbulo izquierdo nódulo de 0,5 cm x 0,5 cm x 1 cm, hipoecoico bien definido, de bordes irregulares. Lóbulo izquierdo ocupado por nódulo de 1,26 cm x 1,27 cm x 2 cm, predominantemente hipoecoico, con área isoecoica en su cara anterior, bien definido. No se evidenciaron adenomegalias en cuello. Tirads 4. Citología por punción ecoguiada con aguja fina de istmo tiroideo: sospechoso de neoplasia papilar. Categoría Bethesda 5: sospechoso de malignidad. Citología por punción ecoguiada con aguja fina de lóbulo tiroideo izquierdo: hiperplasia nodular con degeneración quística. Conducta: istmo lobectomía izquierda con corte congelado el cual fue diferido. Biopsia: lóbulo tiroideo izquierdo: microcarcinoma papilar no encapsulado variante Warthin Like. Mide: 0,5 cm x 0,5 cm. Bordes de resección quirúrgica: libres de lesión. Tejido tiroideo peri tumoral con tiroiditis linfocítica de Hashimoto de expresión nodular (Figura 3 a y B). Presencia de una glándula paratiroides en el polo superior. Istmo.: tiroiditis linfocítica de Hashimoto de expresión nodular. Diagnóstico: carcinoma papilar de tiroides variante Warthin Like T1aN0M0 estadio I más tiroiditis linfocítica.


DISCUSIÓN
Revisión de la literatura
En 1995, Robyn LA y col., del Hospital Monte Sinaí en Toronto Canadá, describieron por primera vez una variante en pacientes con carcinoma papilar de tiroides, cita textual: “Se informa de 13 casos de un tumor tiroideo peculiar de diferenciación epitelial folicular con una arquitectura papilar distintiva, citología oxifílica e infiltrados linfocíticos en los tallos papilares. La mayoría de estos tumores surgieron en glándulas con tiroiditis linfocítica crónica. La combinación de células oxifílicas y estroma linfocítico confiere a estos tumores un parecido sorprendente al cistoadenoma linfomatoso papilar o "tumor de Warthin" de la glándula salival. Doce tumores se dieron en mujeres (rango de edad: 26-66 años, media 44 años). Dos tumores estaban en el istmo, seis en el lóbulo derecho y cuatro en el lóbulo izquierdo.
El único hombre, de 34 años, tenía múltiples nódulos tumorales bilaterales. Las lesiones oscilaban entre 0,3 cm y 3,5 cm en dimensión máxima. La lesión más grande, en una mujer de 58 años, infiltraba músculo esquelético. Otros tres pacientes presentaron metástasis ganglionares, mientras que los nueve tumores restantes se limitaron a la tiroides. El seguimiento de estos casos sugiere que, aunque el aspecto histológico de estas neoplasias es inusual, se comportan como carcinomas papilares típicos. La llamativa infiltración linfocítica y la metaplasia oxifílica en estos tumores, así como la asociación con tiroiditis linfocítica crónica, sugieren que mecanismos inmunológicos aún no definidos pueden desempeñar un papel en la patogénesis de este trastorno”. Por este motivo sugirieron la denominación similar Warthin Like de carcinoma papilar de tiroides, dichos hallazgos y descripción fueron publicadas ese mismo año en la revista americana de patología (1).
La prevalencia de WLPTC (Warthin-like Papillary Thyroid Carcinoma) oscila entre el 0,2 % y el 1,9 %, lo que puede deberse a una clasificación errónea en la variante clásica, oncocítica o de células altas (2, 3). Las características demográficas y clínicas del WLPTC son similares a las de otros cánceres de tiroides diferenciados. WLPTC afecta principalmente a personas jóvenes de entre 30 y 50 años y es menos común en pacientes mayores. En los datos bibliográficos, se observa un marcado predominio femenino del 88 %, consistente con la epidemiología general de todos los PTC (Papillary Thyroid Carcinoma)(4).
Las características de la punción con aguja fina fueron descritas por primera vez por Youseff y col., en 1997, que incluye grupos papilares o láminas monocapa de células de Hürthle con características nucleares de carcinoma papilar y una densa población de células linfoides en el fondo(5,6). Por lo tanto, muestra características tanto de carcinoma papilar como de tiroiditis de Hashimoto (5,6). La presencia de ambas características es de suma importancia para el diagnóstico citológico(5,6). La punción con aguja fina de los nódulos tiroideos afectados por carcinoma papilar variedad Warthin Like, generalmente muestra un patrón superpuesto de características nucleares papilares, células oncocíticas y tiroiditis linfocítica crónica (5,6,7,8,9). a interpretación de los resultados de la punción con aguja fina por parte de los patólogos puede ser un desafío y puede generar hallazgos no concluyentes. En la mayoría de los casos el diagnóstico suele ser carcinoma papilar o sospechosas de carcinoma papilar pero su asociación con la tiroiditis puede hacer aún más difícil su diagnóstico. Esto subraya la importancia de considerar un examen histológico definitivo para un diagnóstico preciso de carcinoma papilar variedad Warthin Like.
Las dos características histológicas distintivas del carcinoma papilar de tiroides convencional son la presencia de papilas y cambios nucleares (10). Las papilas consisten en un tallo fibrovascular central cubierto por un epitelio neoplásico y exhiben un patrón papilar predominante en todo el tumor. Las anomalías nucleares en las células del carcinoma papilar pueden incluir variaciones de tamaño y forma, irregularidades de contorno, cambios de cromatina, surcos intranucleares y pseudoinclusiones. Estas células suelen tener un citoplasma ligeramente eosinófilo con actividad mitótica rara o ausente. El carcinoma papilar clásico de tiroides a menudo incluye cuerpos de Psammoma y abundante estroma fibroso (10,11,12).
En cuanto al carcinoma papilar variedad Warthin Like, a menudo replica una arquitectura papilar similar, pero con un denso infiltrado linfoplasmocítico dentro del núcleo de las papilas. Estas papilas suelen estar revestidas con células tumorales que muestran cambios oncocíticos. Presentan un citoplasma abundante, granular, eosinofílico y rico en
mitocondrias, al tiempo que conservan las características nucleares papilares típicas. Esta variante generalmente se desarrolla en el contexto de tiroiditis linfocítica crónica(10,11,12). El carcinoma papilar de tiroides variedad Warthin Like, similar al PTC clásico, puede presentarse como una lesión única o en asociación con una enfermedad de carcinoma papilar multifocal, que ocurre, según la literatura en el orden del 19 % de todos los casos notificados de variedad Warthin Like de tiroides (13,14). Como en todos los carcinomas papilares de tiroides, la invasión de los ganglios linfáticos es una característica común y ocurre en aproximadamente el 28 % de los pacientes con variedad Warthin Like de tiroides. Esta tasa es aún más baja que en el carcinoma papilar clásico, donde hasta el 50 %-60 % de los pacientes ya tienen diseminación linfática en el momento del diagnóstico (14). Según el material bibliográfico revisado hasta la fecha, no se han informado casos de metástasis a distancia en pacientes con variedad Warthin Like de carcinoma papilar de tiroides, en comparación con el carcinoma papilar clásico, donde menos del 10 % de los pacientes experimentan diseminación a distancia(14,15).
Puntos clave sobre el carcinoma papilar de tiroides variedad Warthin Like: epidemiología:
afecta principalmente a mujeres (relación mujer/hombre de 8/1), como en nuestros casos.
Se presenta con mayor frecuencia en la quinta década de vida. Características histológicas:
patrón papilar con tallos fibrovasculares infiltrados por tejido linfático. Células tumorales con cambio oncocítico (citoplasma eosinófilo granular) y características nucleares del carcinoma papilar. Presencia posible de células oncocíticas o de Hürthle en el infiltrado linfático. Comportamiento: pronóstico favorable similar al del carcinoma papilar de tiroides variante clásica. Bajo riesgo de recurrencia y metástasis.
Tratamiento: similar al planteado según escala de riesgo para el carcinoma papilar clásico de tiroides.
En este trabajo presentamos tres nuevos casos no reportados aun en la bibliografía mundial.
REFERENCIAS
1. Apel RL, Asa SL, LiVolsi VA. Papillary Hürthle cell carcinoma with lymphocytic stroma. "Warthin-like tumor" of the thyroid. Am J Surg Pathol. 1995;19:810 814.
2. Jun HH, Kim SM, Hong SW, Lee YS, Chang HS, Park CS. Warthin-like variant of papillary thyroid carcinoma: Single institution experience. ANZ J Surg. 2016; 86:492-494.
3. LiVolsi VA. Tall cell variant of papillary carcinoma (TCV): A review. Endocrin Pathol. 2010;12-15.
4. Missaoui AM, Hamza F, Belabed W, Mellouli M, Maaloul M, Charfi S, et al. Warthin-like papillary thyroid carcinoma: A case report and comprehensive review of the literature endocrinol. Front Endocrinol (Lausann). 2023;14:1210943.
5. Sahoo PK, Patnayak R, Khan PA, Jena A. Warthin-like variant of Papillary thyroid carcinoma-Case report of an uncommon tumour with review of literature. Int J Surg Case Rep. 2020;77:9-11.
6. Yousef O, Dichard A, Bocklage T. Aspiration cytology features of Warthin's tumor-like variant of papillary thyroid carcinoma. A report of two cases. Acta Cytol. 1997;41(4 Suppl):S1361-1368.
7. Paliogiannis P, Attene F, Trogu F, Trignano M. Warthin-like papillary thyroid carcinoma: Case report and literature review. Case Rep Oncol Med. 2012:2012:689291.
8. González-Colunga KJ, Loya-Solis A, Ceceñas-Falcón LÁ, Barboza-Quintana O, Rodríguez-Gutiérrez R. Warthin-like papillary thyroid carcinoma associated with Hashimoto's lymphadenopathy and thyroiditis. Case Rep Endocrinol. 2015;2015:251898.
9. Vallonthaiel AG, Agarwal S, Jain D, Yadav R, Damle NA. Cytological features of Warthin-like papillary thyroid carcinoma: Case report with review of previous cytology cases. Diagn Cytopathol. 2017;45(9):837-841.
10. Baloch ZW, LiVolsi VA. Carcinoma papilar: citología y patología. En: Wartofsky L, Van Nostrand D, editores. Cáncer de tiroides. Nueva York, NY: Springer;2016.p.381-391.
11. Cameselle-Teijeiro JM, Eloy C, Amendoeira I, Soares P, Caneiro-Gómez J, Melo M, et al. Carcinomas papilares de tiroides poco frecuentes. En: Cameselle-Teijeiro JM, Eloy C, Sobrinho-Simões M, editores. Tumores raros de la glándula tiroides. Cham: Springer International Publishing; 2018.p.5-25.
12. Baloch ZW, Asa SL, Barletta JA, Ghossein RA, Juhlin CC, Jung CK, et al. Overview of the 2022 WHO Classification of Thyroid Neoplasms. Endocr Pathol. 2022;33(1):27-63.
13. Ersen A, Durak MG, Canda T, SevincAI, Saydam S, Kocdor MA. Warthin type papillary thyroid carcinoma: A case series and review of the literature. Disponible en: URL: https://turkjpath.org/static.php?id=1
14. Sakorafas GH, Koureas A, Mpampali I, Balalis D, Nasikas D, Ganztzoulas S. Patterns of lymph node metastasis in differentiated thyroid cancer; Clinical implications with special emphasis on the emerging role of compartment-oriented lymph node dissection. Oncol Res Treat. 2019;42(3):143-147. doi: 10.1159/000488905
15. Machens A, Lorenz K, Weber F, Dralle H. Risk patterns for distant metastasis in follicular, papillary, and medullary thyroid cancer. Horm Metab Res. 2022;54(1):7-11. doi: 10.1055/a-1668-0094
Notas de autor
argimirorama@gmail.com
Información adicional
redalyc-journal-id: 3756