CASO CLÍNICO
Gemelos unidos toracoonfalopagos.
Siamese twins, toraco-omphalopagus
Gemelos unidos toracoonfalopagos.
Salus, vol. 23, núm. 1, pp. 12-16, 2019
Universidad de Carabobo
Recepción: 30 Abril 2019
Aprobación: 25 Mayo 2019
Resumen: El embarazo múltiple debe ser considerado de alto riesgo, debido a que acumula una proporción muy importante de complicaciones perinatales graves aun cuando representa un pequeño porcentaje de las gestaciones, siendo su prevalencia de 1 a 2%. La gestación gemelar se clasifica según su cigocidad y corionicidad, siendo dos tercios dicigóticos, resultado de la fecundación simultanea de dos ovocitos, y el tercio restante son monocigóticos, llamados gemelos idénticos, los cuales tienen su origen en la fecundación de un solo ovulo que posteriormente se divide. En fases tardías del desarrollo, la división parcial de la línea y el nódulo primitivo forma gemelos unidos o siameses. El defecto que resulta es una fusión de grado variable de los fetos, lo que permite su clasificación, destacando el toracopagos como el tipo más común de gemelos unidos y junto con los onfalópagos representan cerca del 75% de los casos reportados, donde los fetos comparten un esternón, diafragma y pared abdominal superior desde el xifoides hasta el ombligo. La mayoría tienen corazones unidos. El tipo de fusión condiciona el pronóstico y la probabilidad de separación quirúrgica. El manejo prenatal es a través de ecografías seriadas y apoyado en la RMN para delimitar con precisión el sitio de fusión y planear la posibilidad de una cirugía neonatal. El nacimiento por cesárea es la elección para minimizar el trauma materno y fetal.
Palabras clave: siameses unidos, toracoonfalopagos, embarazo múltiple monocorial monoamniotico.
Abstract: Multiple pregnancy should be considered high risk, because it accumulates a very important proportion of serious perinatal complications even when it represents a small percentage of pregnancies, its prevalence being 1 to 2%. The twin gestation is classified according to its physicality and chorionicity, being two thirds dizygotic, result of simultaneous fertilization of two oocytes, and the remaining third are monozygotic, called identical twins, which have their origin in the fertilization of a single ovule that later it divides. In late stages of development, the partial division of the line and the primitive nodule form united or Siamese twins. The defect that results is a fusion of variable degree of fetuses, which allows their classification, highlighting the thoracopagos as the most common type of twins and with the omphalopagos represent about 75% of the reported cases, where the fetuses share a sternum, diaphragm and upper abdominal wall from the xiphoid to the navel. Most have united hearts. The type of fusion determines the prognosis and the probability of surgical separation. Prenatal management is through serial ultrasound and supported by MRI to precisely delineate the fusion site and plan the possibility of neonatal surgery. Cesarean birth is the choice to minimize maternal and fetal trauma.
Keywords: Siamese twins, toraco-omphalopagus, monoamniotic monocorial multiple pregnancy.
INTRODUCCION
Se denomina embarazo múltiple al desarrollo simultaneo de varios fetos. La especie humana es unípara por excelencia; por lo tanto, todo embarazo múltiple debe ser considerado de alto riesgo. La duración del embarazo y el peso de los fetos disminuye al compararlo con los embarazos únicos(1)
La gestación múltiple espontanea representa una prevalencia de aproximadamente 1 a 2%, una cifra clásica es 1/80, regla que sirve para estimar la incidencia de las gestaciones de orden superior; aunque en las últimas décadas esta se ha incrementado por múltiples factores entre ello las técnicas de reproducción asistida, pero todos ellos pueden acumular una proporción muy importante de complicaciones perinatales graves y de consumo de recursos sanitarios. (2)
Típicamente, se clasifica en función de su cigosidad y corionicidad, aunque, en relacion a los resultados perinatales, en la práctica clínica, lo único que tiene relevancia para su manejo y control perinatal es la corionicidad.
Lo cierto, es que, dos tercios de las gestaciones gemelares son dicigóticas, las cuales tienen su origen en la fecundación de dos ovocitos en un mismo ciclo menstrual que se desarrollan de forma independiente el uno del otro, dando lugar a una gestación bicorial biamniótica, mientras que un tercio de las gestaciones gemelares son monocigóticas, las habitualmente llamadas gemelos idénticos, que tienen su origen en la fecundación de un solo ovulo que se divide posteriormente. El momento exacto en el que se produce la división condiciona importantes diferencias, principalmente en la placentación, y por lo tanto en la corionicidad. (3)
La separación más temprana puede ocurrir en la fase de 2 células durante los primeros 3 días posterior a la fecundación y, en este caso, se desarrollan 2 cigotos separados. Los blastocitos se implantan por separado, y cada embrión posee su propia placenta y su propio saco coriónico (bicorial biamniótico).
Si la división del cigoto tiene lugar entre el cuarto y octavo día que coincide con las primeras etapas del blastocito, la masa celular interna se separa en dos grupos celulares dentro de la misma cavidad del blastocito. Los 2 embriones poseen una placenta y una cavidad coriónica comunes, pero cavidades amnióticas separadas (monocorial biamniotico).
Si la separación se da durante la fase de disco germinativo bilaminar, justo antes de la aparición de la línea primitiva, es decir, entre el noveno y décimo segundo día se formará una pareja que comparte la placenta y los sacos coriónicos y vitelino (monocorial monoamniotico).
En fases tardías del desarrollo, a partir del décimo tercer día de fecundación, la división parcial de la línea y el nódulo primitivo forma gemelos unidos o siameses (4). El defecto que resulta es una fusión de grado variable de los fetos y ocurre en 1 de 50.000 nacimientos (3).
Son raros los casos de gemelos unidos. La nomenclatura actual que los describe deriva del sitio más prominente de unión. Se pueden diagnosticar mediante evaluacion ultrasonográfica, siendo comunes las anormalidades congénitas incluso en órganos que no son compartidos. (5), aproximadamente el 39%de los gemelos fusionados nacen muertos y el 34% muere en el primer día de nacidos.
Sosa O, clasifico a los gemelos unidos según el lugar de fusión en:
Duplicata incompleta: unidos en una sola porción: Diprosopus: un cuerpo, una cabeza, dos caras. Dicefalus: un cuerpo, dos cabezas.
Dipygus: una cabeza, un tórax, y abdomen con 2 pelvis, par de genitales y 4 piernas.
Duplicata completa:
Teratacatadidima: fusión de la porción inferior del cuerpo.
Isquiopagos: fusión a nivel del cóccix y sacro en su porción inferior.
Pigopagus: fusión a nivel del cóccix y sacro en su porción lateral y posterior.
Terataanadidima: fusión de la porción superior del cuerpo. Sincefalus: fusionados por la cara.
Craniopagos: fusionados en partes homologas de la bóveda craneana.
Terataanacatadidima: fusión de la porción media del cuerpo. Toracopagos: fusión de la pared torácica.
Xifopagos: fusión por el xifoides.
Onfalópagos: fusión por el área comprendida entre el ombligo y el xifoides.
Raquipagos: fusión a cualquier nivel de la columna, por encima del sacro(6).
Indudablemente el tipo de fusión condiciona el pronóstico y la probabilidad de separación quirúrgica. El manejo prenatal es a través de ecografías seriadas con equipos de alta definición y apoyados en la Resonancia Magnética Nuclear (RMN) para delimitar con precisión el sitio de fusión y planear la posibilidad de una cirugía neonatal; el nacimiento por cesárea sigue siendo la elección idónea para minimizar el trauma materno y fetal.
Es de vital importancia reconocer los hallazgos ecográficos que hacen sospechar el diagnostico de siameses destacándose: gestación gemelar monocorial monoamniotica, en el primer trimestre ver dos embriones y una sola vesícula vitelina, posicion fija de los gemelos que se mantiene a pesar de la movilización materna y repetición de la exploración ecográfica transcurrido un tiempo, visualización de las cabezas y los cuerpos fetales al mismo nivel, incapacidad de separar los cuerpos fetales, mayor número de vasos en el cordón umbilical, presencia de anomalías fetales sobre todo cardiacas, presencia de corazon único, inusual proximidad de las extremidades y extensión de las columnas vertebrales.(3).
El primer reporte de gemelos unidos diagnosticado a través de ultrasonido fue publicado por Bianchi D et al. en el año 1977.(5) García et al presentaron en el quinto congreso mundial de medicina materno fetal un caso clínico de siameses unidos toracopagos, destacando la importancia del diagnóstico prenatal para mejorar el resultado perinatal y las posibilidades terapéuticas en la etapa postnatal.(7)
Recientemente Rosales et al presentaron un caso de siameses toracoonfalopagos con corazón único y cardiopatía estructural, donde resaltan las características ultrasonográficas que orientan en este tipo de diagnósticos prenatales. (8)
DESCRIPCIÓN DE CASO CLINICO
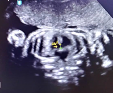
Se trata de paciente femenina de 19 años, sin antecedentes familiares, personales y patológicos conocidos, IV gestas, II cesáreas, I aborto, FUR 18/08/2018, quien acude a especialista en medicina materno-fetal y en vista de hallazgos ecográficos es referida a la Unidad de Perinatología y Medicina Materno-Fetal del Hospital Materno Infantil Dr. José María Vargas, siendo evaluada el 13 de febrero de 2019, donde se realiza estudio ultrasonográfico Perinatal en tiempo real, con transductor convex de 3,5 mHz, ecógrafo marca Esaote, visualizándose estructuras fetales compatibles con dos fetos que correspondían a un embarazo múltiple doble, se identificaron ambos polos cefálicos ubicados en el mismo plano de corte durante la exploración (Figura 1), 4 extremidades superiores, tórax y abdomen de ambos fetos fusionados, corazon único (Figura 2), de difícil evaluacion, impresionando defecto septal ventricular de 4,6 mm (Figura 3), 2 cámaras gástricas (Figura 4), 2 vejigas, sexo femenino, 4 extremidades inferiores, una sola placenta anterior, grado I, grosor 42 mm, con índice de líquido amniótico (ILA) máximo bolsillo vertical (MBV) de 43 mm. Concluyéndose estudio ecográfico con diagnósticos de: Embarazo múltiple doble monocorial monoamniotico (Duplicata completa: siameses toracoonfalopago) de 25 semanas más 4 días por fecha de ultima menstruación con corazon único asociado a posible comunicación interventricular (CIV) sub-aortica.




El día 03 de abril de 2019, paciente refiere contracciones uterinas dolorosas, por lo que acude a emergencia obstétrica de Maternidad de alto riesgo de la Ciudad hospitalaria Dr. Enrique Tejera, donde deciden su ingreso bajo impresión diagnostica de embarazo múltiple doble monocorial monoamniotico: siameses unidos de 32 semanas más 4 días en trabajo de parto, bajo conducta de interrupción de gestación por vía alta, por lo que realizan cesárea segmentaria obteniendo producto de la gestación siameses toracoonfalopagos prematuros con peso total de 2700 gr, con características fenotípicas descritas en la exploración ecográfica antenatal, latido débil de cordón umbilical, que precede al fallecimiento de ambos recién nacidos a los 2 minutos (Figura 5).

DISCUSION
Los gemelos unidos representan entre 0,5 y 1% de los embarazos monocigóticos monocorionicos. No se conocen factores predisponentes, ni se correlacionan con raza, paridad y edad materna, siendo consecuencia de la división tardía de un único huevo fecundado después del día 13 posterior a la fecundación. (9)
El toracopagos es el tipo más común de gemelos unidos y junto con los onfalópagos representan cerca del 75% de los casos reportados. Se caracterizan porque los fetos comparten un esternón, diafragma y pared abdominal superior desde el xifoides hasta el ombligo. La mayoría tienen corazones unidos. En vista de alteraciones asociadas de grandes venas y arterias, casi nunca es posible la división quirúrgica exitosa. Aproximadamente la mitad de estos casos tienen tractos intestinales unidos. Ocasionalmente el esófago y estomago están libres, pero por lo general la unión comienza en el duodeno distal y termina en el divertículo de Meckel.
Se ha demostrado la utilidad del estudio ultrasonográfico para describir la extensión de la unión del sistema cardiovascular en gemelos unidos toracoabdominalmente. Debido a que la mortalidad y la habilidad de separar gemelos toracopagos están directamente relacionadas a la unión de dos corazones y a las anormalidades cardiacas asociadas, se recomienda realizar ecocardiografia fetal en todos los casos. El diagnóstico prenatal temprano y la relacion precisa de los gemelos unidos son esenciales para lograr un óptimo manejo obstétrico y postnatal. El parto por cesárea, cerca al termino es el método de elección, permitiendo maximizar la supervivencia y disminuyendo el trauma durante el parto. (5)
La mayoría son pretérminos, 40% nacen vivos y 15% mueren en las primeras 24 horas de vida. La supervivencia depende del sitio de unión entre gemelos y las anormalidades asociadas,(10) por lo que el pronóstico más ominoso aparece en aquellos gemelos que comparten el hígado, el corazon o ambos. Se puede intentar separar a los gemelos que comparten el hígado, si tienen 2 tractos biliares. En presencia de un corazón compartido, solo se puede intentar la separación si existen 2 corazones normales en un único pericardio.(11)
En Medellín Colombia, determinaron la evolución de estos embarazos entre 1970 y 2010 encontrando once casos de gemelos unidos, de los cuales nueve nacieron vivos, y se sometieron a separación quirúrgica urgente los primeros días de vida: un onfaloxifopago por presentar gran onfalocele, obstrucción y malrotación intestinal; lográndose la separación exitosa; una de las niñas falleció a los dos años y la otra tuvo un seguimiento hasta los 22 años, sin problemas. Los siguientes gemelos separados fueron pigopagos que tenían genitales únicos de sexo masculino; uno de ellos, con hidrocefalia e insuficiencia renal y falleció durante el procedimiento de separación; el sobreviviente tuvo seguimiento hasta los 10 años con buena evolución y calidad de vida. Otros siameses isquipagos fueron separados a las seis semanas de vida con éxito, compartían el coccix y el recto, les realizaron seguimiento hasta los 10 años. Los dos pares de toracoonfalopagos, fallecieron: un par durante el intento quirúrgico de separarlas a la semana de vida; y la otra pareja, que compartía las cavidades cardíacas y el hígado, falleció por sepsis de origen respiratorio Las otras niñas onfaloxifopagos fueron separadas con éxito, se hizo seguimiento a los 2 años con buena evolución.(12)
En Venezuela, en el hospital Universitario de Maracaibo (HUM) en marzo de 2007 se realizó la primera separación de gemelos unidos y el 30 de mayo de 2019 se intervino quirúrgicamente unos siameses de 8 meses de vida unidas por el abdomen y la parte inferior del tórax, las cuales compartían una parte del hígado, el esternón y el diafragma(13).
En conclusión, el diagnóstico adecuado fundamentado en la evaluación ecográfica pertinente, mejora la calidad del resultado perinatal y las posibilidades terapéuticas postnatales si los gemelos sobreviven. (8)
REFERENCIAS BIBLIOGRAFICAS
1. Schwarcz R, Fescina R, Duverges C. Obstetricia. 6th ed. Buenos Aires: El Ateneo; 2008; 198-205
2. Gratacos E, Gomez R, Nicolaides K, Romero R, Cabero L. Medicina Fetal. 1st ed. Madrid: Editorial Medica Panamericana; 2007; 687-694.
3. Cabero L, Saldivar D, Cabrillo E. Obstetricia y Medicina Materno-Fetal Madrid: Editorial Medica Panamericana; 2007; 629-634.
4. Sadler TW. Embriologia Medica. 12th ed. Barcelona: Wolters Kluwer; 2012; 113-114.
5. Bianchi D, Crombleholme T, D’Alton M, Malone F. Fetologia Diagnostico y manejo del paciente fetal. 2nd ed. Santa cruz G, editor. New York: Amolca; 2014; 843-849.
6. Sosa A. Ultrasonografia y Clinica Embrio-Fetal. 2nd ed. Valencia: Editorial Tatum, C.A.; 2002; 463-476.
7. Garcia M, Rivas M, Yeguez F. Siamese twins: Janiceps, dicephalus, thoracopagus, terathodimus: Case report. Journal of perinatal medicine. 2001; 451(suplement I).
8. Rosales D, brantalik Y, Ramirez G, Bello F. Siameses toracoonfalopagos: presentacion de un caso y caracteristicas ultrasonograficas. Revista de Obstetricia y Ginecologia de Venezuela. 2019 marzo; 79(1): 52-57.
9. Pastore A. Ultrasonografia en Gineologia y obstetricia Alvaro R, editor. Colombia: Amolca; 2006; 559-560.
10. Twining P, McHugo J, Pilling D. Anomalias fetales diagnostico Ecografico Madrid: Marban libros S.L.; 2002; 401-403.
11. Nyberg D, McGahan J, Pretorius D, Pilu G. Ecografia en malformaciones fetales Lopez J, editor. Madrid: Marban libros S.L.; 2008; 672-675.
12. Herrera M, Arango M, Chams A, Uribe F. Manejo de gemelos unidos: Experiencia de nueve casos clinicos en Medellin, colombia. Iatreia. 2014 enero-marzo; 27(1): 14-22.
13. Godoy V. Separadas con exito siameses en el Hospital Universitario de Maracaibo. El Tiempo. 2019 mayo: p. 1.