CASO CLÍNICO/CLINICAL CASE
Defecto proximal intercalado tipo 2: aplasia femoral izquierda con ectrodactilia derecha
Type 2 intercalated proximal defect: Left femoral aplasia with right ectrodactilia
Defecto proximal intercalado tipo 2: aplasia femoral izquierda con ectrodactilia derecha
Salus, vol. 23, núm. 2, pp. 42-45, 2019
Universidad de Carabobo

Recepción: 28 Junio 2019
Aprobación: 12 Septiembre 2019
Resumen: Los defectos en la formacion de las extremidades son una en.idad heterogénea que, si bien individualmente no son muy comunes, agrupados suponen una de las malformaciones más frecuentes. Se considera defecto de reducción a la ausencia o grave hipoplasia de alguna de las estructuras esqueléticas de la extremidad, las cuales se clasifican en defectos transversos terminales, defectos proximales intercalados y defectos longitudinales. El femur corto/ ausente congénito es un desorden esquelético raro, con frecuencia de 0,11 a 0,2/10.000 nacimientos, afectando principalmente el lado derecho y en su etiología se incluye la diabetes mellitus, la exposición a talidomina, infecciones virales, exposición a radiación, toxicidad química y los traumatismos en el feto entre las 4 y 8 semanas de gestación. Dentro de las anormalidades asociadas se han reportado agenesia fibular o hemimelia, ausencia de ligamentos cruzados o rotula, deformidades de la columna, deformidad del pie y ausencia de dedos de la mano, por lo que las alteraciones esqueléticas se consideran muy variables y pueden presentarse de forma aislada o como parte de un síndrome genético. El diagnostico a través de ultrasonografía en la vida prenatal es posible a partir de las 12 semanas de gestación cuando se inicia la osificación de las diáfisis de los huesos, siendo esta evaluacion fundamental para el pronóstico perinatal y las posibilidades terapéuticas postnatales.
Palabras clave: Aplasia femoral, ectrodactilia, defecto de reducción de extremidades.
Abstract: Defects in limb formation are a heterogeneous entity that, although individually not very common, grouped together represent one of the most frequent malformations. A reduction defect is the absence or severe hypoplasia of any of the skeletal structures of the limb, which are classified as terminal transverse defects, intercalated proximal defects and longitudinal defects. Congenital short/ absent femur is a rare skeletal disorder occurring in 0.11 to 0.2 / 10,000 births, mainly affecting the right side. Its etiology includes diabetes mellitus, thalidomine exposure, viral infections, exposure to radiation, chemical toxicity and trauma to the fetus between 4 and 8 weeks of gestation. Among the associated abnormalities, fibular agenesis or hemimelia, absence of crossed ligaments or patella, spinal deformities, deformity of the foot and absence of fingers have been reported; in consequence, skeletal alterations are considered very variable and may occur in isolated form or as a part of a genetic syndrome. Diagnosis through ultrasonography in prenatal life is possible after 12 weeks of gestation when the ossification of the diaphysis of the bones begins. Such evaluation is essential for perinatal prognosis and postnatal therapeutic possibilities.
Keywords: Femoral aplasia, ectrodactyly, limb reduction defect.
INTRODUCCIÓN
El esqueleto apendicular está constituido por las cinturas escapular y pélvica y las extremidades. Las yemas o esbozos de estas últimas se hacen visibles en forma de evaginaciones en la pared ventrolateral del cuerpo al final de la cuarta semana del desarrollo. Primero aparecen las extremidades superiores y 1 o 2 días más tarde aparecen las inferiores. Inicialmente, están formados por un núcleo mesenquimatoso que deriva de la capa parietal (somática) del mesodermo de la placa lateral y una capa de ectodermo cubico que lo recubre. Durante la sexta semana, este mesénquima experimenta condrificacion para formar los moldes de cartílago hialino. Los vasos sanguíneos invaden el centro de estos moldes y depositan osteoblastos que se unen a la matriz mineralizada y depositan matrices óseas.(1)
Al final del periodo embrionario, se inicia la osificación en la diáfisis de los huesos a partir de centros primarios de osificación. Durante el crecimiento óseo participa una placa de cartílago denominada disco de cartílago epifisiario que se ubica entre la diáfisis y la epífisis. (2) Los centros de osificación secundarios epifisiarios aparecen fundamentalmente luego del nacimiento. Sin embargo, en el feto normal con crecimiento adecuado, la epífisis femoral distal se hace visible ultrasonograficamente a partir de las 34 semanas de gestación, dato utilizado para evaluar la madurez fetal al final de la gestación (3).
El esqueleto fetal es accesible al ultrasonido cuando los huesos comienzan a calcificarse, y a partir de las 12 semanas de gestación, resultan visualizables una gran cantidad de huesos incluyendo el cráneo, la columna, las costillas y las extremidades. La medición y la evaluacion de la proporcionalidad de los diversos segmentos corporales entre sí, permiten la asistencia del feto con elevado riesgo de sufrir alteraciones óseas (4).
Los defectos en la formacion de las extremidades son una entidad heterogénea que, si bien individualmente no son muy comunes, agrupados suponen una de las malformaciones más frecuentes. Su incidencia global es de 37/10.000 nacidos vivos y la polidactilia es la de mayor frecuencia, seguida de las alteraciones reduccionales, con una discreta mayor incidencia en varones (55%) (5). Las anomalías del sistema musculo esquelético fetal involucran un gran número de enfermedades fetales, su etiología y expresión fenotípica son bastante heterogéneas y se caracterizan por una anormalidad en la formacion de los cartílagos y los huesos (6).
Se considera defecto de reducción a la ausencia o grave hipoplasia de alguna de las estructuras esqueléticas de la extremidad. Según el tipo de defecto se pueden clasificar en: Defectos Transversos Terminales, caracterizados por ausencia de la estructura distal del miembro con preservación de las estructuras proximales normales. Defectos Proximales intercalados, definidos por ausencia o grave hipoplasia de las estructuras proximales con existencia de las estructuras distales normales o próximas a la normalidad y según se produzcan en la extremidad superior se denominan tipo 1 (ausencia de humero y/o radio y cubito con presencia de mano normal) y si se producen en la extremidad inferior se denominan tipo 2 (ausencia de femur y/o tibia y peroné con presencia de pie normal) y los Defectos Longitudinales: que consisten en la ausencia o grave hipoplasia de la parte lateral de una extremidad clasificados anatómicamente en preaxiales con ausencia del eje radial o tibial primer metacarpo/metatarso y primer dedo y los postaxiales con ausencia del eje cubital o peroneal, quinto metacarpo/metatarso y quinto dedo (5).
Mital et al en su artículo publicado en 1963, cito los primeros casos de patologias esqueléticas de extremidades, describiendo que a partir de 1853 aparecieron esporádicamente informes de deformidades congénitas del fémur, siendo la mayoría reportes de casos de hipoplasia unilateral del fémur, con o sin coxa vara congénita (7).
El potencial de la tomografía computarizada helicoidal como herramienta de diagnóstico prenatal para anomalías óseas fue evaluado por Otera et al, en una gestante de 32 semanas con diagnostico ultrasonográfico de restricción de crecimiento fetal con fémures cortos. En la exploración tomográfica se confirmó la ausencia de las cabezas femorales, luxación bilateral de la cadera y oligodactilia de la mano derecha, destacando dicho estudio como una alternativa diagnostica prenatal útil para este tipo de anomalías (8).
Recientemente, Kudla et al, presentaron el primer caso de deficiencia focal femoral proximal diagnosticado a través de ultrasonografía 3D/4D, observado en una evaluacion ultrasonográfica de rutina en una gestante a las 12 semanas, detallándose asimetría en los miembros inferiores (9).
DESCRIPCION DE CASO CLINICO
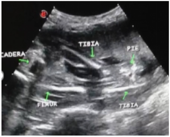
Se trata de paciente de 19 años, sin antecedentes familiares y personales conocidos, pareja con antecedente de paladar hendido. Fecha de ultima menstruación incierta, embarazo no controlado, acude a especialista en Obstetricia y Ginecología quien en vista de hallazgos ultrasonográficos de presencia de quistes de plexos coroides en neurocráneo fetal es referida a la unidad de Perinatología Medicina Materno fetal del Hospital Materno-Infantil “Dr. José María Vargas” donde se realiza evaluacion ultrasonográfica con equipo marca ESAOTE MYLAB 70 XVISION transductor convex 3,5 mHz evidenciando feto único en situación longitudinal, presentación podálica, dorso a la derecha, biometría fetal compatible con gestación de 22 semanas. En polo cefálico al evaluar neurocráneo en el plano axial transventricular se aprecia en el atrio ventricular cerebral a nivel de los plexos coroides imágenes anecoicas, redondeadas, bilaterales, sugestivas de quistes de los plexos coroides, el cual es considerado un marcador de cromosomopatías. Columna vertebral indemne. Cuello sin alteración. Tórax normo configurado. Extremidades superiores presentes y completas manos de difícil evaluacion por posicion fetal. Abdomen normal, estómago lleno, vejiga llena. Sexo masculino. Extremidades inferiores asimétricas, con acortamiento de la izquierda a expensas de ausencia de fémur, tibia y peroné normales cercanos a pelvis ósea (figura 1). Extremidad inferior derecha completa. Con peso estimado fetal de 586 gr. Placenta anterior, de 22 mm de grosor, grado I. Cordón umbilical 3 elementos. Líquido amniótico normal. Doppler de arterias uterinas adecuado a edad gestacional.

Se concluye estudio Ultrasonográfico Perinatal con impresión diagnostica de: Gestación intrauterina simple de 22 semanas, Quistes de plexos coroides, Defecto proximal intercalado tipo 2: Aplasia de Femur izquierdo.
Se brinda asesoría genética y se indica realizar cariotipo fetal, el cual no se realiza por negativa de la paciente a realizarse el procedimiento invasivo. Se continuo control ecográfico durante la gestación evidenciando crecimiento fetal adecuado a excepción de la porción proximal de la extremidad afectada. La gestación culmina a las 39 semanas por inicio espontaneo de trabajo de parto siendo atendida en maternidad de alto riesgo de la ciudad hospitalaria Dr Henrique Tejera, obteniendo por vía vaginal recién nacido masculino con peso 2250 gr y talla 48 cm. Evidenciando a la exploración física ectrodactilia en mano derecha por ausencia de dedos indice y medio en mano derecha (figura 2) y asimetría de miembros inferiores por acortamiento de extremidad inferior izquierda de predominio proximal (figura 3).


Se realiza estudio radiológico confirmando ectrodactilia en mano derecha (figura 4) y hallazgo ecográfico de ausencia de femur izquierdo (figura 5). A las 48 horas egresan madre y neonato por evolución satisfactoria, con evaluacion ambulatoria por servicio de traumatología donde sugieren colocación de expansor en el muslo afectado y posteriormente sustituirlo por una prótesis femoral definitiva. De igual manera se realizó en etapa neonatal, estudio citogenético en sangre periférica el cual reporto cariotipo masculino normal (46, XY).


DISCUSION
El femur corto/ausente congénito es un desorden esquelético raro, con frecuencia de 0,11 a 0,2/10.000 nacimientos. Esta deficiencia focal posee las siguientes características: principalmente el femur derecho es el más afectado, contrario a lo evidenciado en el caso clínico expuesto donde la extremidad izquierda es la afectada, el compromiso bilateral ocurre en 10 a 15%. (6) Se han implicado varios factores etiológicos, incluida la diabetes mellitus, la exposición a talidomina, infecciones virales, exposición a radiación, toxicidad química y los traumatismos en el feto entre las 4 y 8 semanas de gestación; de los cuales, ninguno fue identificado en la paciente de nuestro caso (10).
Las clasificaciones establecidas de anomalías congénitas del fémur se concentran en el examen detallado de las radiografías. Las clasificaciones más conocidas en la literatura inglesa son las de Aitken (1959) y Amstutz y Wilson (1962). La clasificación de Aitken se concentra en la presencia o ausencia de continuidad cartilaginosa del fémur proximal y el desarrollo de la articulación de la cadera. (11) En ella los pacientes se clasifican en cuatro grupos (A-D), desde un defecto leve (tipo A) con fémur corto pero cabeza femoral y acetábulo normales, hasta casos muy severos (tipo D) en los cuales tanto cabeza femoral como acetábulo están ausentes y el fémur es muy corto y curvado. Esta clasificacion tiene implicaciones pronósticas y terapéuticas. De forma general, se acepta que los alargamientos son posibles en los tipos A y B. (12) La clasificación de Amstutz y Wilson intenta un desglose detallado de todos los tipos anatómicos desde un grado leve de hipoplasia femoral hasta la ausencia subtotal del fémur. Hamanishi (1980) definió cinco tipos que con subtipos dan 10 grupos de pacientes. (11) descritos como siguen: Tipo I, hipoplasia simple del fémur: (a) forma normal; (b) eje ligeramente angulado y engrosamiento cortical. Tipo II, fémur corto con eje angulado: (c) marcada angulación lateral y engrosamiento cortical resultante de defecto de osificación subtrocantérico transversal; (d) disminución del ángulo del eje del cuello. Tipo III, fémur corto con coxa vara: (e) con eje recto, coxa vara estable con marcado engrosamiento cortical en el trocánter menor; (j) con eje angulado, progresivo coxa vara con corteza engrosada. Tipo IV, fémur proximal ausente o defectuoso (g) cuello y trocánter ausentes o fibrosos, migración del eje superior, la distancia corta entre la cabeza del eje y el defecto de osificación transversal diafisaria; (h) cuello ausente con trocánter cabeza femoral pequeños que se conectan directamente al eje cónico; (i) todo el fémur proximal está ausente. Tipo V.(j) fémur ausente o rudimentario que se osifica más tarde, categoría donde se ubicaría el caso clínico descrito (13).
Las anormalidades asociadas reportadas incluyen: agenesia fibular o hemimelia, ausencia de ligamentos cruzados o rotula, deformidades de la columna, deformidad del pie y ausencia de dedos de la mano; (10) esto último, presente en el recién nacido del caso, descrito como ectrodactilia, la cual es una malformación congénita rara de los miembros, caracterizada por la presencia de una hendidura media profunda de manos y/o pies, debido a la falta de los rayos mediales. El espectro de esta puede ir desde agenesia de un digito, a mano o pie hendidos. La ectrodactilia se considera genéticamente heterogénea y puede ser de etiología esporádica o asociada a otros síndromes genéticos y no genéticos; como la ectrodactilia autosómica dominante y el síndrome de ectrodactilia, displasia ectodérmica y paladar hendido (14).
En conclusión, las alteraciones esqueléticas son muy variables y pueden presentarse de forma aislada o como parte de un síndrome genético. El diagnostico a través de ultrasonografía en la vida prenatal es posible a partir de las 12 semanas de gestación cuando se inicia la osificación de las diáfisis de los huesos, siendo esta evaluacion fundamental para el pronóstico perinatal y las posibilidades terapéuticas postnatales.
REFERENCIAS
1. T.W. S. Langman Embriologia medica. 12th ed. Barcelona: Lippincott Williams & Wilkins; 2012.
2. Moore K. Embriologia Clinica. 4th ed. Mexico: Interamericana Mcgraw Hill; 1989.
3. Twining P, McHugo J, Pilling D. Anomalias Fetales Diagnostico Ecografico Madrid: Marban Libros, S.L.; 2002.
4. Sosa A. Ultrasonografia y Clinica Embrio-Fetal. 2nd ed. Valencia: Editorial Tatum, C.A.; 2002.
5. Gratacos E, Gomez R, Romero R, Nicolaides K, Cabero l. Medicina Fetal Alcocer A, editor. Madrid: Editorial Medica Panamericana, S.A.; 2009.
6. Pastore A. Ultrasonografia en Ginecologia y Obstetricia Alvaro R, editor. Rio de Janeiro: Amolca; 2006.
7. Mital M, Masalawalla K, Desai M. Bilateral congenital aplasia of the femur. The journal of bone and joint surgery. 1963 agosto; 45(3): 561-565.
8. Otera Y, Morokuma S, Yumoto Y, Hojo S, Gotoh T, Hara T, et al. Prenatal three-dimensional images of proximal focal femoral deficiency produced by helical computed tomography. Fetal diagnosis and therapy. 2009 septiembre; 25(3): 349-353.
9. Kudla M, Beczkowska-Kielek A, Kutta K, Partyka-Lasota J. Proximal femoral focal deficiency of the fetus - early 3D/4D prenatal ultrasound diagnosis. Medical ultrasonography. 2016 septiembre; 18(3): 397-399.
10. Gerscovich E, Sekhon S, Loehfelm T, Greenspan A. Fetal ultrasound: Early diagnosis and natural evolution of proximal femoral focal deficiency. Journal of ultrasonography. 2017 diciembre; 17(71): 294-298.
11. Gillespie R, Torode P. Classification and management of congenital abnormalities of the femur. The journal of bone and joint surgery. 1983 noviembre; 65-B(5): 557-568.
12. Del Rio G, Tapia L, Picazo B, Martos J, Martin A. Recien nacido con extremidad inferior corta. Anales de pediatria. 2005 noviembre; 63(5): 469-470.
13. Hamanishi C. Congenital short femur. The journal of bone and joint surgery. 1980 agosto; 62-B(3): 307-320.
14. Herreros M, Atobe O, Rodriguez S. Diagnostico prenatl de ectrodactilia por ecografia en dos hermanos. Instituto de investigaciones en ciencias de la salud. 2005; 3(1): 65-67.