CASO CLÍNICO/CLINICAL CASE

Recepción: 08 Diciembre 2019
Aprobación: 12 Marzo 2020
Resumen:
El tumor de células de Sèrtoli-Leydig (TCSL) del ovario, es una rara neoplasia cuya prevalencia se ubica entre 0,2 y 0,5 % de todas las neoplasias de ovario. Afectando a mujeres jóvenes y fértiles menores de 40 años con edad promedio de aparición a los 25 años, siendo muy infrecuentes durante la infancia y adolescencia. Los TCSL son llamados también “androblastomas o arrenoblastomas” por asociarse a la presencia de signos y síntomas clínicos de androgenizaciòn y / o virilizaciòn, debido a la producción de elevados niveles de andrógenos de origen tumoral. Se presenta caso clínico en una adolescente de 12 años de edad que curso con amenorrea secundaria, clitoromegalia y voz ronca de progresión rápida de 6 meses de evolución secundarios a un tumor de ovario virilizante.
Se describen y se discuten las características clínicas y anatomopatològicas en función del diagnóstico histológico basado en los resultados de la biopsia tumoral y el estudio inmunohistoquìmico; con especial énfasis en la conducta médica y el pronóstico de este tipo de tumoraciones ováricas durante la adolescencia.
Palabras clave: Tumores de ovario, arrenoblastomas, virilizaciòn, amenorrea secundaria, clitoromegalia.
Abstract: The Sèrtoli-Leydig cell tumor (TCSL), of the ovary is a rare neoplasm whose prevalence is between 0.2 and 0.5% of all ovarian neoplasms. Affecting young and fertile women under 40 years of age with an average age of 25 years being very infrequent during childhood and adolescence. TCSLs are also called “androblastomas or arrenoblastomas” because they are associated with the presence of clinical signs and symptoms of androgenization and / or virilization, due to the production of high levels of androgens of tumor origin. A clinical case is presented in a 12-year-old teenager who developed secondary amenorrhea, clitoromegaly, and a hoarse voice of rapid progression of 6 months of evolution secondary to a virilizing ovarian tumor.The clinical and pathological characteristics are described and discussed based on the histological diagnosis based on the results of the tumor biopsy and the immunohistochemical study with special emphasis on medical behavior and the prognosis of this type of ovarian tumors during adolescence.
Keywords: Ovarian tumors, arrenoblastomas, virilization, secondary amenorrhea, clitoromegaly.
INTRODUCCIÓN
El tumor de células de Sèrtoli-Leydig (TCSL) del ovario es una rara neoplasia cuya prevalencia se ubica entre el 0,2 y 0,5 % de todas las neoplasias de ovario. Este tumor ovárico en la práctica clínica representa una causa poco frecuente de hiperandrogenismo (1).
Cuando se presenta afecta a mujeres jóvenes y fértiles menores de 40 años, siendo la edad promedio de aparición 25 años, incluso se ha descrito en mujeres postmenopáusicas (1,2,3,4,5). Estas tumoraciones son aún menos frecuentes durante la infancia y adolescencia, donde son ampliamente superadas por los tumores de células germinales y los epiteliales o celómicos (2,3).
De acuerdo a la clasificación histológica de la OMS; los TCSL se ubican en el grupo de tumores derivados de los cordones sexuales: junto al tumor de células de Sèrtoli y el tumor de células de la granulosa con sus variantes juvenil y del adulto y los tumores del estroma gonadal (ovárico específico) formando parte de este grupo el Tecoma, Fibroma, Ginandoblastoma y el tumor de células de Leydig. Estos tumores presentan similitudes clínicas e histológicas por lo que se son catalogados en conjunto como “tumores derivados de los cordones sexuales y del estroma ovárico”. Los más frecuentes en este grupo son el fibroma, el tecoma y el tumor de células de la granulosa (2,3).
Los TCSL son llamados también “Arrenoblastomas o Androblastomas”; debido a su capacidad funcional para generar alteraciones de índole hormonal con producción de importantes cantidades de andrógenos, dando lugar secundariamente a la aparición de signos y síntomas de virilización y / o androgenización en las pacientes afectadas. Se asocian en más del 50% de los casos a manifestaciones clínicas como: hirsutismo, acné, alopecia de patrón androgénico (predominantemente frontal), aceleración de la edad ósea, clitoromegalia y agravamiento del timbre de voz (voz ronca) (1, 3,6,7,8,9,10,11).
También pueden presentarse signos y síntomas comunes a otros tumores ováricos tales como: aumento del volumen abdominal (por el gran volumen que pueden llegar a alcanzar algunas tumoraciones) y ascitis. Por lo general en la evaluación ginecológica suele palparse una tumoración anexial al tacto bimanual (6,7,8). Estos tumores cuando se presentan en edad pediátrica pueden ocasionar en la niña menor de ocho años un cuadro de pubertad precoz periférica heterosexual, además de un cuadro clínico de oligomenorrea o amenorrea secundaria por disfunción ovárica asociado a un síndrome de virilización en la adolescente (1,6, 10).
Morfológicamente los TCSL suelen ser sólidos o presentar cavidades quísticas o bien ser multilobulados, siendo en su mayoría unilaterales (98%) con bajo potencial de malignidad. (12).
Microscópicamente se caracterizan por presentar una proporción variable de células de Sèrtoli y células de Leydig con diversos grados de diferenciación tisular, distinguiéndose seis tipos de variantes histológicas: los moderadamente diferenciados, (la forma de presentación histológica más frecuente), los bien diferenciados que suponen solo 11 % de los casos, los pobremente diferenciados o de patrón sarcomatoide, los tumores de células de Sèrtoli puros, los tumores con elementos heterólogos, los tumores mixtos y los de patrón retiforme (9,10,11,12).
Estos tumores (TCSL) suelen caracterizarse por tener un bajo porcentaje de atipias celulares sin compromiso capsular (enfermedad confinada al ovario) y ausencia de componentes heterólogos. Cuando el componente heterólogo está presente (20% de los casos) suele estar constituido por tejido gástrico, hepático, intestinal, cartílago, hueso e incluso más rara vez pueden presentar componentes de tipo carcinoide (1,3, 11, 12).
Debido a la baja prevalencia del tumor de células de Sèrtoli- Leydig del ovario en edad infantojuvenil, se presenta caso clínico en adolescente de 12 años de edad; se describen y se discuten las características clínicas y anatomopatològicas en función del diagnóstico histológico basado en los resultados de la biopsia tumoral y el estudio inmunohistoquìmico, con especial atención en la conducta médica y el pronóstico de este tipo de tumores ováricos durante la adolescencia de acuerdo a lo reportado en la literatura consultada.
REPORTE DEL CASO
Se trata de adolescente de 12 años de edad referida a la consulta de ginecología Infanto juvenil del Instituto Docente de Urología (IDU) en Valencia estado Carabobo, para evaluación ginecológica por amenorrea secundaria de seis meses de evolución, agravamiento progresivo del timbre de voz y leve crecimiento del clítoris. Presenta, además, dolor pélvico hipogástrico de moderada intensidad y de carácter cólico; este ultimo de reciente aparición.
Antecedentes personales: producto de embarazo único a término controlado, parto eutócico simple sin reportes de patologías al nacer ni durante su infancia; telarca a los 8 años, pubarca a los 7 años, bromhidrosis a los ocho años de edad, niega sexarca, menarca a los 10 años, ciclos regulares eumenorreicos 3-7 /28-32 hasta hace seis meses cuando ocurre cese total de las menstruaciones (amenorrea secundaria). Clínicamente luce una paciente en aparentes buenas condiciones generales, fenotipo femenino sin hirsutismo (Escala de Ferrilman-Galloway 7 puntos) y distribución ginecoide del vello corporal; signos vitales: TA: 120/85 mm Hg, FC: 82 lpm. Percentil de peso y talla 50/75 respectivamente; tiroides no visible ni palpable,
Al examen físico ginecológico: mamas medianas simétricas sin tumoraciones palpables, areolas pigmentadas (Tanner 4) (Fig. 1A), Abdomen plano, blando y doloroso a la palpación profunda en hipogastrio y fosa iliaca izquierda; al tacto bimanual (abdomino rectal) se palpa tumoración de consistencia firme, dolorosa, de bordes imprecisos en zona correspondiente al anexo izquierdo. En genitales externos: pubarca IV, clítoris levemente hipertrófico de 2,5 x 2,2 cm (medido con cinta métrica, desde su base en la sínfisis púbica hasta la punta del glande, previa retracción del prepucio redundante); además se evidencio un vestíbulo profundo a través del cual impresiona haber independencia urogenital (Fig.1 B, C).


Se realizó ecografía abdominal con transductor convex 5 MHZ que reveló hígado, páncreas, estómago, vesícula biliar, riñones y glándulas suprarrenales de morfología, tamaño y ecogenicidad normal, sin crecimientos adenomegàlicos en retroperitoneo, concluyéndose estudio ecográfico abdominal dentro de la normalidad.
Adicionalmente se realizó ecografía pélvica, previa plenificaciòn vesical que reveló útero, desplazado a la derecha, de forma piriforme, bordes regulares y miometrio homogéneo de 49 x 39 x 43 mm en sus dimensiones, con un endometrio lineal de 2 mm. Ovario derecho de eco patrón micro folicular de 15 x 21 x 31 mm. Volumen: 5,10 mL. Ovario izquierdo: de eco patrón quístico ocupado por imagen heterogénea bilobulada con componente quístico predominante de 38 x 28 x 39 mm y un volumen de 65 cc, con efecto doppler negativo; concluyéndose el diagnostico de imagen compleja (ecomixta) para uterina izquierda. (Fig. 2 D, E).
Se realizó TAC helicoidal de abdomen y pelvis con doble contraste (oral y endovenoso) con progresión milimétrica desde las bases pulmonares hasta la sínfisis púbica, reportándose: bases pulmonares sin infiltrados ni consolidaciones: hígado, bazo, páncreas y glándulas suprarrenales con densidad adecuada, riñones de morfología, tamaño, ubicación y densidad conservadas. Cámara gástrica distendida por contraste oral el cual progresa adecuadamente en asas delgadas y marco colónico, vejiga plenificada. En pelvis se evidencia útero lateralizado a la derecha de morfología y tamaño conservados. En el margen izquierdo del área retro-uterina se identifica imagen de LOE predominantemente hipodensa con coeficiente de atenuación en rango líquido con alto contenido proteico y de pared gruesa hipodensa bien definida, cuyos diámetros son 59 x 41 mm en sentido transversal y anteroposterior respectivamente. Anexos no evaluables. Buena definición de la grasa peri rectal, peri vesical y de fosas isquiorectales sin evidencias de adenopatías en cadenas linfáticas regionales. Esqueleto regional sin lesiones aparentes. Se concluye: LOE quístico complejo en margen izquierdo del área retro-uterina. Glándulas suprarrenales sin aparentes anormalidades (ver Fig.2.)
Laboratorio: (niveles basales preoperatorios. Perfil androgénico-ovárico-suprarrenal (17-OHP; DHEA-S y Androstenediona) resultaron normales, Testosterona libre se reportó elevada.
Perfil tiroideo (TSH, T3 y T4): sin alteraciones. Marcadores tumorales: CA 125, CA19, 9; CEA, LDH y HCG cuantitativa (subunidad- β) resultaron normales; la α feto-proteína (AFP): se reportó elevada (≥ 8,5 UI / mL).
Basados en la clínica, los hallazgos a la ecografía abdomino- pélvica, TAC contrastada de abdomen y pelvis y resultados obtenidos en marcadores tumorales, se decide planificar abordaje laparoscópico de la tumoración descrita y biopsia intraoperatoria. Se realizó procedimiento quirúrgico con el hallazgo a la inspección de tumoración para uterina izquierda de aspecto quístico, útero central sin alteraciones y ovario derecho de aspecto y configuración externa normal con presencia de folículos en su superficie (Fig. 3 F, G, H) y presencia de líquido libre en cavidad abdominal y espacio retro uterino. La biopsia intraoperatoria por corte congelado revelo el diagnóstico presuntivo de posible “tumor de células de Sèrtoli-Leydig, histológicamente bien diferenciado”, albugínea y cápsula ovárica sin compromiso tumoral.
Se realizó salpingoooforectomìa izquierda y biopsia definitiva de la tumoración extraída, con fijación de bloque celular con parafina para determinar marcadores inmunohistoquìmicos además de toma de líquido para citología de líquido peritoneal.
La paciente evoluciono satisfactoriamente en el postoperatorio, egresándo en aparentes buenas condiciones generales. A las 48 horas posteriores al egreso: aparición espontanea del sangrado uterino con normalización de los niveles de testosterona y α feto proteína. En su seguimiento, consulta por regulación en el patrón de sangrado menstrual, sin alteraciones clínicas en las evaluaciones posteriores hasta la fecha actual.

DESCRIPCIÓN MACROSCÓPICA
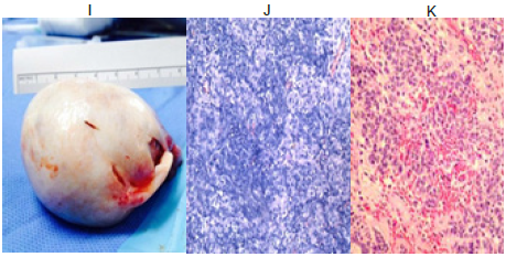
Tumoración compleja con medidas máximas de 6 x 5,5 x 4 cm, superficie externa lisa, brillante, blanco grisácea, con superficie de corte sólido quística. (Fig. 4 I).
El estudio histológico reveló patrón sólido alveolar y trabecular, predominando el componente de células de Sèrtoli; algunas de aspecto parcial inmaduro, entremezclándose con islotes multifocales de células de Leydig, dispersas sobre un estroma fibroblàstico (mesenquimatoso) de mediana densidad celular y edematoso con algunos focos de hemorragia reciente. (Fig.4 J,K)

Al corte: contenido líquido amarillento claro y pared delgada de 0,2 cm, identificándose además fragmento correspondiente a trompa uterina de 4,5 x 0,5 cm gris violácea, tortuosa y blanda.
DESCRIPCIÓN MICROSCÓPICA.
Albugínea ovárica y cápsula de la lesión indemnes sin evidencias de compromiso por la neoplasia; actividad mitótica: 0-1 mitosis en 10 campos de mayor aumento. Corteza ovárica remanente identificada en áreas focales periféricas con signos de compresión, presencia de algunos grupos de folículos ováricos primordiales y dos folículos quísticos. Finalmente no se evidenció necrosis, embolismo tumoral vascular o angiolinfàtico, ni invasión peri neural en ninguna de las secciones histológicas examinadas.
Citología del líquido peritoneal: frotis hipo celulares con hallazgos citológicos compatibles con hiperplasia mesotelial reactiva leve a moderada y cambios inflamatorios leves de tipo crónico sin evidencia de células neoplásicas en fondo acidofìlico con eritrocitos dispersos.
ESTUDIO INMUNOHISTOQUÍMICO.
Se realizaron tinciones convencionales con hematoxilina eosina (HE); empleándose para tal fin reacciones inmunohistoquìmicas con los siguientes marcadores: citoqueratina AE1-3; Inhibina; receptor de estrógenos (ER) y receptor de progesterona (PR); obteniéndose los siguientes resultados: células tumorales positivas para los marcadores inmunohistoquìmicos empleados; siendo marcadamente positivas para Inhibina y citoqueratina AE1-3 (Fig.5) lo que permitió concluir el diagnostico histológico e inmunohistoquìmico de: “tumor de células de Sèrtoli-Leydig de diferenciación intermedia”.

DISCUSIÓN
El tumor de células de Sèrtoli-Leydig de ovario puede presentarse en cualquier etapa de la vida de la mujer; sobre todo en menores de 40 años que es contrario al caso presentado, cuya relevancia radica en su presentación clínica en adolescente de 12 años de edad.
En este caso las características clínicas son similares a lo reportado en la literatura mundial, ya que este tipo de tumoraciones ováricas suelen dar síntomas en 75 a 80% de los casos (1,6,7,8,9).
Hay que sospechar la presencia de un tumor virilizante productor de andrógenos en una adolescente con signos clínicos de virilizaciòn (voz ronca y clitoromegalia) de progresión rápida secundario a elevados niveles de andrógenos (testosterona) en sangre, cifras elevadas de α feto-proteína y hallazgos a la ecografía pélvica de tumoración anexial compleja.
Con relación a los altos niveles de testosterona y α feto-proteína reportados; ambos suelen ser el principal andrógeno y el marcador tumoral que más frecuentemente se alteran en este tipo histológico de tumoraciones ováricas (13,14,15,16,17).
Ante la presencia de amenorrea secundaria en una adolescente debe descartarse siempre la posibilidad de un embarazo en progreso o bien una alteración endocrina de origen suprarrenal, bien sea de carácter orgánico o funcional (tumor suprarrenal, o anormalidad tipo déficits del sistema de la Citocromo 21 P450 c17). Ambas condiciones fueron descartadas a través de la realización de niveles séricos de subunidad- β de HCG y el perfil androgénico y suprarrenal (Androstenediona, DHEA-S y 17 OHP) respectivamente. Adicionalmente, el uso de la ecografía pélvica permitió confirmar la presencia de una tumoración compleja bilobulada con patrón solido quístico en ovario izquierdo, siendo la ecografía el estudio de elección para el diagnóstico de masas anexiales en adolescentes (18,19).
Debido a la complejidad de la tumoración anexial se complementó el diagnostico imagenológico con la realización de una TAC de pelvis contrastada.
A pesar de ser la laparotomía exploradora el método quirúrgico convencional en casos de tumores anexiales con componente sólido, se optó por el abordaje laparoscópico de la tumoración debido a la presencia de un tumor unilateral predominantemente quístico en una adolescente de 12 años de edad. Finalmente y en virtud del resultado preliminar de la biopsia tumoral intraoperatoria compatible con tumoración histológicamente bien diferenciada con albugínea y cápsula ovárica indemnes se decidió realizar una salpingoooforectomìa unilateral izquierda como método quirúrgico conservador y mínimamente invasivo.
Cabe resaltar que actualmente la laparoscopia es considerada el método quirúrgico de elección en la mayoría de las tumoraciones de ovario en adolescentes y se realiza con la intención de proteger la fertilidad de la adolescente afectada, previniendo así la formación de futuras adherencias en abdomen y pelvis tal y como está establecido en los protocolos quirúrgicos reportados en estudios preliminares (18,20).
El hallazgo histopatológico de compromiso vascular de la trompa uterina izquierda reportada como tortuosa y violácea en toda su extensión sugiere posible semitorsion a nivel de su eje axial. Hallazgo que pudiera correlacionarse clínicamente con el dolor pélvico agudo experimentado por la paciente previo a su ingreso para su resolución quirúrgica.
Finalmente, para la identificación de los tumores de los cordones sexuales y del estroma gonadal se emplea, adicionalmente a la técnica histológica convencional, el análisis inmunohistoquìmico para una mejor aproximación diagnostica. Para tal fin se empleo la Inhibina, hormona glucoproteica secretada por las células de Sèrtoli testiculares, la cual fue positiva para ambos grupos celulares. Este estudio permitió confirmar el diagnóstico histológico previo de tumor de células de Sèrtoli-Leydig, en esta ocasión de diferenciación intermedia; siendo esta la variante histológica más frecuentemente detectada en este tipo de tumoraciones ováricas (6,21).
CONCLUSIONES
El TCSL del ovario es un tumor infrecuente durante la adolescencia. Cuando se presenta suele asociarse a signos clínicos de virilizaciòn y / o androgenizaciòn rápidamente progresivos; lo que obliga a orientarse hacia una posible causa tumoral.
Debido a su naturaleza histológica confinada al ovario, grado de diferenciación (bien o moderadamente diferenciado), unilateralidad y escasas mitosis, se impone la resección quirúrgica del tumor por vía laparoscópica con la intención de preservar la fertilidad futura en las adolescentes afectadas.
REFERENCIAS BIBLIOGRÁFICAS
1 Pérez Lana M, Demayo S, Monastero A, Nolting M. Ovarian tumors secreting androgens: an infrequent cause of hyperandrogenism. Minerva Ginecol. 2019. 71 (1): 72-77.
2 Pommert L, Bradley W. Pediatric Gynecologic Cancers. Curr Oncol Rep. 2017; 19 (7): 44.
3 Kaan Sonmez, Zafer Turkyilmaz, Romazan Karabuluta, Can Basaklar. Tumores ováricos en niñas y adolescentes. Arch Argent Pediatr. 2018; 116 (3): 359-364.
4 Akman L et all. Leydig cell tumor in the postmenopausal woman: case report and literature report. Acta Biomed. 2017; 87(3): 310-313.
5 Chen M, Zhou W, Zhang Z, Zou Y, Li C. An ovarian Leydig cell tumor of ultrasound negative in a postmenopausal woman with hirsutism and hyperandrogenism: A case report. Medicine 2018; 97 (10): 93.
6 Ither Sandoval Díaz, Ronald Hernández Alarcón, Esperanza Torres Arones; Ana Latorre Zúñiga. Tumor de células de Sèrtoli-Leydig: a propósito de un caso. Rev. Per. Ginecol. Obstet. 2014; 60 (3): 245-249.
7 Cabrera- Cantu F, et al. Sèrtoli-Leydig cell tumor in a 12 year- old girl: a review article and case report. 2014. 290 (4): 791- 796.
8 Mayra Margarita López Milán, Mairileyda Méndez López, Leyda Méndez López. Quiste de ovario en niñas: enfoque actual del problema. Rev. Inf Cient. 2016; 95 (1): 202-212.
9 Brandone N, Borrione C, Rome A, Maues de Paula A. Ovarian Sèrtoli-Leydig tumor: A tricky tumor. Ann Pathol. 2018- 38(2): 131-136.
10 Gómez-Peñaloza C, Cañavera-Constantino A, Aristi-Urista G. Tumor de células de Sèrtoli-Leydig ovárico bilateral, metacrónico, en una paciente de 11 años: reporte de caso. Rev. Médica del Hosp. General de México. 2018; 81 (3): 170- 176.
11 Xu Q, Zou Y, Zhang XF. Sèrtoli-Leydig cell tumors of ovary: a case series. Medicine. 2018; 97 (42): 28-35.
12 Zhang HY, Zhu JE, Huang W, Zhu J. Clinicopathologic features of ovarian Sèrtoli-Leydig. Int J Clin Pathol. 2014; 7 (10): 6956- 6964.
13 Xiao H, Li B, Zuo J, Feng X, Li X, Zhang R, Wu L. Ovarian Sertoli-Leydig cell tumor: a report of seven cases and a review literature. Gynecol Endocrinol. “2013; 29 (3): 192-195.
14 Luke AM, Moroney JW, Snitchler A, Whiteway SL. Ovarian Sertoli-Leydig cell tumor with elevated inhibin B as cause secondary amenorrhea in adolescent with germ line DICER-1 Mutation. J. Pediatr Adolesc Gynecol. 2017; 30 (5): 598-600.
15 Fuller PJ, Leung D, Chu S. Genetics and genomics of ovarian sex cord-stromal tumors. Clin Genet. 2017; 91 (2): 285-291.
16 Fanta M. et all. Diagnostic pitfalls in ovarian androgen-secretin (Leydig cell) tumors: cases series. J Obstet Gynaecol. 2019; 39 (3): 359-364
17 Akman L et all. Ovarian sertoli-leydig cell tumors: A multicenter long-term clinic pathological analysis of 27 patients. Cancer Res Ther. 2016; 12 (1): 290-294.
18 Bindiya Gupta et al. Adolescent ovarian masses: A retrospective analysis. J Obstet Gynaecol. 2016; 36 (4): 515-517.
19 Lee DY, K, Kim HJ, Lee JY, Choi D. Usefulness of repeat pelvic ultrasonography before surgery for benign ovarian mass. Int. J Gynaecol Obstet. 2019; 144 (2): 143-46.
20 Ozlem Dural et al. Laparoscopic Outcomes of adnexal surgery in older children and adolescents. J Pediatr Adolesc Gynecol. 2017; 30 (1): 128-131.
21 Víctor Figueroa. Manejo Laparoscópico de tumores de ovario. Rev. Per. Ginecol Obstet. 2009; 55: 100-104.
22 Stewart CJ, Alexiadis M, Crook ML, Fuller PJ. An immunohistochemical and molecular analysis of problematic and unclassified ovarian sex-cord-stromal tumors. Human Pathol. 2013; 44 (12): 2774-2781.