Presentación de caso
La clínica en el diagnóstico de la neurotoxoplasmosis
Clinic in the diagnosis of neurotoxoplasmosis
La clínica en el diagnóstico de la neurotoxoplasmosis
Revista Médica Electrónica, vol. 43, núm. 6, pp. 1738-1746, 2021
CENTRO PROVINCIAL DE INFORMACIÓN DE CIENCIAS MÉDICAS. MATANZAS
Recepción: 15 Mayo 2020
Aprobación: 08 Noviembre 2021
RESUMEN: La toxoplasmosis cerebral o neurotoxoplasmosis es una de las infecciones oportunistas más frecuentes en los pacientes positivos al VIH. Se produce aproximadamente en el 10 % de los pacientes con sida no tratados. La localización de la infección, causada por el parásito Toxoplasma gondii, indica inmunodeficiencia severa, con linfocitos T CD4+ menor a 100 cel/mm3. El objetivo de este trabajo fue describir la evolución clínica e imagenológica de un paciente con diagnóstico de neurotoxoplasmosis, atendido en el Hospital Militar Dr. Carlos J. Finlay: hombre de 33 años, con síntomas neurológicos focales, sin factor de riesgo vascular, con estudios de imagen sugestiva de proceso expansivo intracraneal. Durante su ingreso se recibe el resultado de positivo al VIH y se interpreta como una neurotoxoplasmosis. Se empleó tratamiento antiparasitario con mejoría del trastorno neurológico y de las neuroimágenes. Ante un paciente con VIH y síntomas neurológicos focales se debe pensar en una neurotoxoplasmosis. La respuesta al tratamiento en el caso estudiado confirmó el diagnóstico.
Palabras clave: VIH/sida, Toxoplasma gondii, neurotoxoplasmosis.
ABSTRACT: Cerebral toxoplasmosis or neurotoxoplasmosis is one of the most common opportunistic infections in HIV-positive patients. It occurs in approximately 10 % of untreated AIDS patients. The location of the infection, caused by the parasite Toxoplasma gondii, indicates severe immunodeficiency, with CD4+ T lymphocytes less than 100 cell/mm3. The objective of this work was to describe the clinical and imaging evolution of a patient with diagnosis of neurotoxoplasmosis, attended at the Military Hospital Dr. Carlos J. Finlay: 33-year-old man, with focal neurological symptoms, without vascular risk factor, with studies of suggestive imaging of intracranial expansive process. During admission, the HIV positive result is received and interpreted as a neurotoxoplasmosis. Antiparasitic treatment was used with improvement of neurological disorder and neuroimagens. In the case of a patient with HIV and focal neurological symptoms doctors should think about neurotoxoplasmosis. The response to treatment in the case studied confirmed the diagnosis.
Key words: HIV/AIDS, Toxoplasma gondii, neurotoxoplasmosis.
INTRODUCCIÓN
La infección por VIH/sida, desde su detección en 1981, se ha convertido en una pandemia. Es una enfermedad crónica transmisible, progresiva, de causa viral, causada por uno de dos retrovirus relacionados (VIH-1 y VIH-2), y origina una amplia gama de manifestaciones clínicas relacionadas con defectos de la inmunidad celular.1
La toxoplasmosis cerebral es una de las infecciones oportunistas más comunes en los pacientes con sida. En Cuba, pese al tratamiento antirretroviral, es aún una de las causas más importantes de complicaciones cerebrales y de parasitismo que puede producir encefalitis.2,3
Aproximadamente dos millones de personas en el mundo están infectadas crónicamente con el Toxoplasma gondii, y son desconocidas sus consecuencias para el futuro. Por lo general, sobre la base de estudios seroepidemiológicos, la afectación del sistema nervioso central (SNC) por el Toxoplasma se considera la reactivación de una infección crónica latente. Se presenta con frecuencia en pacientes que ya se sabe que tienen sida, pero en algunos casos es la primera manifestación de este síndrome.4-6
Las técnicas de neuroimagen tienen valor para el diagnóstico; las más empleadas son la tomografía axial computarizada (TAC) y la resonancia magnética (RM). La TAC muestra lesiones únicas o múltiples, redondeadas, hipodensas, con edema, efecto de masa; suele captar el contraste en forma de anillo y lesiones localizadas preferentemente en ganglios basales y en los hemisferios cerebrales; ocasionalmente aparecen calcificaciones y hemorragias.
La RM es más sensible y suele demostrar la existencia de un mayor número de lesiones, aunque es posible la aparición de una sola y que remeda a un tumor metastásico cerebral o abscesos. Sin embargo, ante la evidencia de una TAC normal, y aún más si se ha realizado con la técnica de doble contraste, es muy raro que la RM ofrezca alteraciones que sugieran el diagnóstico de toxoplasmosis cerebral.7-11
El tratamiento con sulfadiazina y pirimetamida más ácido folínico es el de elección, con mejoría en un período de una o dos semanas. Constituye, después del hallazgo imagenológico sugestivo de neurotoxoplasmosis, el siguiente paso como ensayo terapéutico.12 Este tratamiento fue indicado al apaciente del caso que se presenta, con resultado satisfactorio.
Se realiza este reporte de caso con el objetivo de describir la evolución de un paciente con diagnóstico de neurotoxoplasmosis, atendido en el Hospital Militar Dr. Carlos J. Finlay, de La Habana.
PRESENTACIÓN DEL CASO
Paciente masculino de 33 años de edad, mestizo, desocupado, soltero, procedente de Santiago de Cuba; con antecedentes de hipertensión arterial de 6 años de evolución, con tratamiento regular.
De forma súbita comenzó con lenguaje incoherente, no reconocía a los familiares, tenía dificultad para movilizar el hemicuerpo derecho y una desviación de la comisura labial hacia el mismo lado.
Se le realizó TAC urgente de cráneo e ingresa en Servicio de Neurocirugía con diagnóstico de proceso expansivo intracraneal. Se inició tratamiento con esteroides, con mejoría del déficit motor, pero se mantenía poco comunicativo.
Al examen físico positivo: facie de enfermo crónico, desorientado en espacio y tiempo, hemiparesia derecha de predominio crural, disociación derecha izquierda y acalculia.
Complementarios:
Hemoglobina: 14,3 g/L.
Leucocitos: 5,2 x 10-9/L.
Pruebas de función hepática, renal y coagulograma normales. CD 4+12-127 mmol/ml.
Test rápido VIH, ELISA, serología: no reactiva; carga viral: 121 000 cp/ml (lo normal es indetectable).
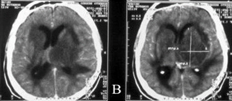
TAC de cráneo inicial: se observó imagen heterogénea predominantemente isodensa, con densidades entre 15 y 44 UH, paraventricular izquierda; interesa los núcleos basales y mide 64 x 41 x 63 mm, rodeada de área hipodensa cuyos contornos laterales presentaban el aspecto de dedo de guante, lo que sugirió edema vasogénico asociado. La lesión tenía carácter expansivo, desplazaba las estructuras de la línea media más aproximadamente 10 mm y colapsaba el ventrículo lateral ipsilateral. (Fig. 1)

RM inicial: se realizan secuencias en T1, T2 y planos en cortes axiales, coronales y sagitales; se observa imagen hipointensa en T1 y heterogénea en T2 y Flair, predominantemente hiperintensa, de localización paraventricular izquierda (ganglios basales izquierdos), con extensión al mesencéfalo y puente ipsilateral, que mide 66 x 43 x 64 mm, con extenso edema perilesional vasogénico, que produce efecto de masa sobre las estructuras de la línea media, la cual desplaza 9 mm y colapsa el sistema ventricular ipsilateral, que impresiona de aspecto tumoral,. No se definen otras alteraciones.
Ante las evidencias antes descritas, se decidió comenzar tratamiento con sulfadiazina y pirimetamida más ácido folínico.
RM 29 días después: en comparación con estudios previos hay mejoría del cuadro, consistente en disminución del tamaño de la lesión reportada, así como del edema subyacente. Con respecto a la anterior no se observa colapso del sistema ventricular ni desplazamiento de las estructuras de la línea media. (Fig. 2)

DISCUSIÓN
El diagnóstico diferencial de un cuadro neurológico focal debe incluir, en primer lugar, toxoplasma gondii, que es la primera causa de infección oportunista del SNC en pacientes con sida (5-10 %); en segundo lugar, el linfoma primario, bacterias o nocardia, leucoencefalopatía multifocal progresiva, accidentes cerebrovasculares, vasculitis, etc.13
Ante las manifestaciones clínicas sugerentes de masa cerebral, se deben realizar estudios para el diagnóstico de certeza, pues la neurotoxoplasmosis puede ser la primera manifestación de sida. Es conveniente solicitar estudios de ensayo por inmunoabsorción ligado a enzimas (ELISA), Western blot, LTCD4, TC, RM, reacción en cadena de la polimerasa en líquido cefalorraquídeo o en sangre. Se debe iniciar tratamiento eficaz con antiparasitarios.13,14
Esta patología se produce en alrededor del 10 % de los pacientes con sida no tratados. La infección es causada por el parásito Toxoplasma gondii, que puede encontrarse particularmente en los gatos. La gran mayoría de los casos se observan cuando los linfocitos CD4 son inferiores a 100 células/ml. Los síntomas comprenden encefalitis, fiebre, cefalea intensa que no responde al tratamiento, hemiparesia y parestesias, convulsiones, letargo, visión borrosa, mareos, trastornos en la marcha y vómitos. Es importante tener en cuenta que todos los pacientes no muestran signos de infección. El pronóstico y la supervivencia dependen de un diagnóstico oportuno y un tratamiento eficaz.15
El linfoma primario del SNC es la segunda causa de lesión focal en pacientes infectados por VIH; aparece en el 5 % de los pacientes con sida. Se origina en los linfocitos B y se manifiesta por disfunción neurológica focal inespecífica.
La imagenología evidencia una o dos lesiones densas, localizadas en la sustancia blanca, con refuerzo irregular o escaso con el medio de contraste.
El diagnóstico definitivo requiere biopsia cerebral, luego de tratamiento antitoxoplasma. El tratamiento convencional consiste en radioterapia, metrotexato intratecal.16
La meningitis criptocócica es la infección fúngica más frecuente en los pacientes con sida, con mayor prevalencia en los países pobres de África. Su curso clínico es indolente a lo largo de varias semanas, por lo que se requiere un alto índice de sospecha para su diagnóstico.12-16
La leucoencefalopatía multifocal progresiva tiene un curso subagudo y se puede manifestar con déficits cognitivos, focalidad motora, alteraciones en la marcha y en la coordinación, déficits del lenguaje y la visión. No suele existir fiebre ni cefalea. Generalmente, la evolución sin tratamiento es fatal en pocos meses, aunque se han observado cursos prolongados e incluso remisiones temporales espontáneas. El diagnóstico es clínico y tomográfico.12,13,17
La infección del sistema nervioso por el citomegalovirus en pacientes con sida es una entidad rara, aunque probablemente su incidencia real esté infraestimada. Puede manifestarse como encefalitis, mielitis, polirradiculitis y neuropatía periférica o combinaciones de varios de estos síndromes.17
La meningitis tuberculosa es la forma más frecuente de neurotuberculosis en el paciente con VIH. Sus características clínicas, los hallazgos en el LCR y la respuesta al tratamiento no son diferentes de las encontradas en los pacientes sin VIH.
La meningitis por VIH o meningitis aséptica ocurre desde el inicio de la infección sistémica, y en el 25 % de los pacientes se manifiesta durante la seroconversión. Por lo general, evoluciona de forma benigna, aunque persiste durante toda la enfermedad con algunas exacerbaciones.17,18
El compromiso meníngeo por sífilis debe sospecharse en todos los pacientes seropositivos que presentan compromiso neurológico y serología positiva para sífilis, aunque tengan VDRL negativo en LCR. La neurosifilis puede causar, entre otras cosas, meningitis, infarto cerebral, neuritis óptica, polirradiculopatía y mielitis transversa.19
La toxoplasmosis cerebral es la infección del SNC más frecuente en los pacientes con sida, y su diagnóstico de certeza es difícil, por lo que la práctica clínica usual se apoya en las pruebas de imagen y en la respuesta al tratamiento.
La neurotoxoplasmosis es una entidad grave que requiere asistencia especializada de forma inmediata.
REFERENCIAS BIBLIOGRÁFICAS
Venturino-Nassif D, Resende-Nobrega F. Eccentric Target Sign: Think Neurotoxoplasmosis. Neurohospitalist. 2019;9(3):176. Citado en PubMed; PMID: 31244978.
Rojas-Rodríguez MS, Machado-Hernández M, Toledo-Rodríguez MR, et al. Neurotoxoplasmosis y adherencia al tratamiento antirretroviral en pacientes con VIH/sida. Gac Méd Espirit [Internet]. 2012 [citado 13/02/2020];14(Supl 1):[aprox. 7 p.]. Disponible en: Disponible en: http://revgmespirituana.sld.cu/index.php/gme/article/view/1742
Gouvêa-e-Silva LF, Lima-Cíntia NS, Fernandes-Kerolen TL, et al. Quality of life and handgrip strength of HIV patients diagnosed with neurotoxoplasmosis. Rev bras cineantropom desempenho hum [Internet]. 2019 [citado 14/02/2020];21:e59185. Disponible en: Disponible en: https://www.scielo.br/j/rbcdh/a/HhQfLTzL74N3PcGtPdztxcc/?lang=en
Fernandes-de-Oliveira M, Pereira-Borges C, Brito-Silva V, et al. Rapid progression of neurotoxoplasmosis in a patient with concomitant rheumatoid arthritis and systemic lupus erythematous. Medical Express. 2018;5. DOI: 10.5935/MedicalExpress.2018.ml.002.
González-Espinosa LE, Riol-Lozano JM, Gómez-Viera N, et al. Neurotoxoplasmosis como complicación neurológica de la infección por el virus de la inmunodeficiencia humana. Rev cubana med [Internet]. 2017 [citado 14/02/2020];56(2):126-32. Disponible en: Disponible en: https://www.medigraphic.com/pdfs/revcubmed/cm-2017/cm172e.pdf
Misra DP, Chengappa KG, Mahadevan A, et al. Sarcoidosis, neurotoxoplasmosis and golimumab therapy. QJM. 2016 Dec;109(12):817-8. DOI: 10.1093/qjmed/hcw197.
Gülmez-Çakmak P, Sayın-Kutlu S. Neurotoxoplasmosis in a Patient with Acquired Immunodeficiency Syndrome: Magnetic Resonance and Magnetic Resonance Spectroscopy Findings. İstanbul Med J [Internet]. 2019 [citado 14/02/2020];20(2):159-62. Disponible en: Disponible en: http://cms.galenos.com.tr/Uploads/Article_26352/IMJ-20-159-En.pdf
Ribeiro-Araujo I, Gonzaga-Ferreira AC, Alves-Vento D, et al. Déficits motores y predictores de pérdida de movilidad al final de la hospitalización en individuos con neurotoxoplasmosis. Fisioter Pesqui [Internet]. 2019 [citado 14/02/2020];26(4):360-5. Disponible en: https://www.scielo.br/j/fp/a/p7sWRhwwFM43ZTxYsDpY7rF/abstract/?lang=es#
Ramos-Granja R, Alfonso Y, Cox R, et al. Efecto in vitro del antirretroviral tipranavir sobre taquizoitos de Toxoplasma gondii. Rev Cubana Med Trop [Internet]. 2018 [citado 14/2/2020];70(2):1-8. Disponible en: Disponible en: https://www.medigraphic.com/pdfs/revcubmedtro/cmt-2018/cmt182h.pdf
Reyes AJ, Ramcharan K, Lawrence Giddings S, et al. Myoclonic Jerks, Exposure to Many Cats, and Neurotoxoplasmosis in an Immunocompetent Male. Tremor Other Hyperkinet Mov (NY). 2018;5(8):511-6. Citado en PubMed; PMID: 29423336.
Besse-Díaz R, Puente-Saní V, Martínez-Cantillo L, et al. Aspectos clínicos y epidemiológicos en pacientes con síndrome de inmunodeficiencia adquirida de la provincia de Santiago de Cuba. Medisan [Internet]. 2018 [citado 14/02/2020];22(3):264-70. Disponible en: Disponible en: http://scielo.sld.cu/scielo.php?script=sci_arttext&pid=S1029-30192018000300007&lng=es
Ferreira-Guimarães-Dias R, Oliveira-Bento L, Tavares C, et al. Epidemiological and clinical profile of HIV-infected patients from Southwestern Goias State, Brazil. Rev Inst Med Trop [Internet]. 2018 [citado 10/3/2020];60:e34. Disponible en: Disponible en: https://www.scielo.br/j/rimtsp/a/ykSCsM6TJmFyLQ956RSc78t/?lang=en
Lima-Tenório C, Araújo-Ramos PS, Teixeira-Medeiros H, et al. Clinical and laboratory characteristics, staging, and outcomes of individuals with AIDS-associated Kaposi's sarcoma at an university hospital. An Bras Dermatol [Internet]. 2017 [citado 10/03/2020];92(2):72-6. Disponible en: Disponible en: https://www.arca.fiocruz.br/handle/icict/19417
León-Castellón R, Sánchez-León M, Durán-Torres G. Tomografía de emisión por fotón único con 99mtecnecio-metoxi-isobutil-isonitrilo para el diagnóstico de las metástasis cerebrales. Rev Cubana Neurol Neurocir [Internet]. 2018 [citado 10/03/2020];8(1):[aprox. 13. p.]. Disponible en: Disponible en: https://www.medigraphic.com/pdfs/revcubneuro/cnn-2018/cnn181e.pdf
Pertuz-Belloso SB. Factores asociados a la mortalidad en la población mexicana con SIDA en contraste con otras poblaciones humanas. Revisión sistemática y meta-análisis [Internet]. 2016 [citado 10/03/2020];13(2):109-36. Disponible en: Disponible en: https://dialnet.unirioja.es/servlet/articulo?codigo=5270403
Gil-del Valle L, Lezcay-Rizo M, Castro-Perigó Y, et al. Evaluación de efectividad y seguimiento de pacientes con sida cubanos con diagnóstico tardío tratados con antirretrovirales. Rev Cubana Farm [Internet]. 2016 [citado 10/03/2020];50(4):[aprox. 7 p.]. Disponible en: Disponible en: http://www.revfarmacia.sld.cu/index.php/far/article/view/56/60
Boigues-Scarcelli BC, Paniago-Miranda AM, Lima-Espíndola GM, et al. Clinical outcomes and risk factors for death from disseminated histoplasmosis in patients with AIDS who visited a high-complexity hospital in Campo Grande, MS, Brazil. Rev Soc Bras Med Trop [Internet]. 2018 [citado 10/03/2020];51(2):155-61. Disponible en: Disponible en: https://www.scielo.br/j/rsbmt/a/wGmkFNJ7Zh3DynDn6mmNfmh/abstract/?lang=en
Buchaca-Faxas E, Rodríguez-Amador L. Seguridad cardiovascular de los viejos y nuevos antihiperglucemiantes. Rev Cubana Med [Internet]. 2017 Jun [citado 10/03/2020];56(2):119-25. Disponible en: Disponible en: http://scielo.sld.cu/scielo.php?script=sci_arttext&pid=S0034-75232017000200004&lng=es
Farfán-Cano GG, Troya-Toro M, Herrara-Álava J. Toxoplasmosis cerebral en paciente VIH. Rev científica digital [Internet]. 2018 [citado 10/03/2020];2(2):[aprox. 8 p.]. Disponible en: Disponible en: https://www.researchgate.net/profile/Galo_Farfan_Cano/publication/331154435_Toxoplasmosis_cerebral_en_paciente_VIH/links/5cf2837b299bf1fb184f6ab8/Toxoplasmosis-cerebral-en-paciente-VIH.pdf
Notas de autor
*Autor para la correspondencia: hfinlay32@infomed.sld.cu
Declaración de intereses