Presentación de caso
Panoftalmitis: presentación atípica de un melanoma coroideo
Panophthalmitis: atypical presentation of choroid melanoma
Panoftalmitis: presentación atípica de un melanoma coroideo
Revista Médica Electrónica, vol. 44, núm. 1, pp. 227-237, 2022
CENTRO PROVINCIAL DE INFORMACIÓN DE CIENCIAS MÉDICAS. MATANZAS
Recepción: 29 Abril 2021
Aprobación: 04 Noviembre 2021
RESUMEN: La panoftalmitis es una forma rara y grave ocular de presentación del melanoma coroideo, por lo que, ante la presencia de una masa intraocular e inflamación de todas las estructuras intraoculares, con extensión extraescleral y los tejidos vecinos de la órbita, debe considerarse el diagnóstico diferencial de esta neoplasia maligna. Se presenta el caso de un paciente masculino de 83 años de edad, con diagnóstico de panoftalmitis como presentación atípica de un melanoma coroideo. Acudió a consulta de Cuerpo de Guardia de Oftalmología con dolor ocular intenso en ojo derecho, acompañado de náuseas y vómitos. Se constató, al examen, hipertensión ocular, que evolucionó tórpidamente durante su ingreso, con inflamación intraocular con extensión extraescleral. Se le realizaron ultrasonido ocular y tomografía axial computarizada de órbitas y se diagnosticó una panoftalmitis secundaria a un melanoma coroideo. Los hallazgos clínicos de esta forma atípica de presentación se mostraron, cuyo tratamiento definitivo es la enucleación. El diagnóstico histológico de melanoma maligno coroideo necrótico fue confirmado.
Palabras clave: Melanoma coroideo, panoftalmitis, enucleación.
ABSTRACT: Panophthalmitis is a rare and severe ocular form of presentation of choroid melanoma, therefore, in the presence of intraocular mass and inflammation of all intraocular structures, with extra-scleral extension and to the tissues neighboring the orbit, the differential diagnosis of this malignant neoplasia should be considered. The case presented deals with a male patient, aged 83 years, with diagnosis of panophthalmitis as atypical presentation of choroid melanoma. He assisted to the consultation of Ophthalmology Emergency with intense ocular pain in the right eye, accompanied by nausea and vomits. On examination, ocular hypertension was observed, that torpidly evolved during admission, with intraocular inflammation with extra-scleral extension. He had ocular ultrasound and computed axial tomography of orbits and was diagnosed with panophthalmitis secondary to choroid melanoma. The clinical findings of this atypical presentation form showed, whose definite treatment is enucleation. Histological diagnosis of necrotic choroid malignant melanoma was confirmed.
Key words: Choroid melanoma, panophthalmitis, enucleation.
INTRODUCCIÓN
El melanoma coroideo es el cáncer primario intraocular más frecuente en adultos, y representa el 80 % de todos los melanomas uveales, aunque aún se considera relativamente raro. La incidencia es máxima hacia los 60 años de edad. El tumor está compuesto a menudo exclusivamente por células fusiformes o una mezcla de células fusiformes y epitelioides. Las lesiones pueden penetrar a través de la membrana de Bruch y el epitelio pigmentario retiniano (EPR) y herniarse al espacio subretiniano, adoptando clásicamente la forma de champiñón. La invasión de canales esclerales y venas vorticosas puede dar lugar a diseminación hacia la órbita. Las metástasis normalmente se localizan en el hígado, hueso y pulmón; solo al 1-2 % de los pacientes se le detectan metástasis cuando se diagnostica el tumor.1
El melanoma coroideo es una patología poco frecuente pero muy seria. Es de los pocos diagnósticos oftalmológicos que pueden costar la vida del paciente. Por esto es clave su diagnóstico temprano y tratamiento oportuno. Lamentablemente, en un porcentaje de los casos, a pesar del tratamiento, la sobrevida del paciente a cinco años puede ser de menos del 30 %. Por consiguiente, el adecuado consejo del médico es clave en ayudar al paciente a enfrentar esta terrible enfermedad.2
Aproximadamente el 50 % de los pacientes con melanoma coroideo desarrollan enfermedad metastásica, que casi siempre es fatal. Con una vigilancia intensiva y una terapia adyuvante sistémica a pacientes de alto riesgo, se puede bridar tranquilidad a aquellos con un buen pronóstico.3
A menudo es asintomático y el tumor se detecta por casualidad en un examen rutinario de fondo de ojo; también puede haber gran variedad de trastornos visuales en función de las características de la tumoración. Clínicamente puede observarse una masa subretiniana solitaria y prominente en forma de cúpula, con color gris parduzco o rara vez amelanótica; es rara la infiltración difusa.
Aproximadamente el 60 % se localizan a menos de 3 mm de la papila óptica o la fóvea. Son frecuentes los cúmulos de pigmento naranja en su superficie. Si el tumor atraviesa la membrana de Bruch, adopta el aspecto de champiñón. A menudo hay hemorragias y líquido subretiniano asociados; el último puede producir un desprendimiento bulloso que oculte la lesión subyacente. Otros signos que pueden verse son: vasos centinela, pliegues coroideos, inflamación, rubeosis del iris, glaucoma secundario y catarata.1,4
El dolor severo es poco usual, a no ser que haya inflamación intraocular o una extensión extraocular masiva del tumor, lo que puede estar en relación con el tipo histológico en cuestión. Presenta un curso clínico impredecible, durante el cual pueden ocurrir metástasis fulminantes. En su etiología se sugiere la posibilidad de componentes hereditarios aún no identificados. Su diagnóstico clínico se basa en los hallazgos oftalmológicos característicos de este tipo de tumor, y aunque exámenes fluorangiográficos y de ultrasonografía ocular ayudan a corroborar este diagnóstico, son los estudios anatomopatológicos los que lo confirman.4,5
Existen diferentes clasificaciones histológicas. Callender divide a los melanomas malignos en seis tipos: fusiforme A, fusiforme B, fascicular, mixto, epitelioide y necrótico.4,5
El objetivo de este trabajo es reportar un caso de una paciente con diagnóstico histológico de melanoma de coroides necrótico, que desarrolló un cuadro de panoftalmitis y evolución con síntomas y signos inflamatorios intensos como forma atípica de presentación de este tipo de tumor.
PRESENTACIÓN DEL CASO
Motivo de consulta: dolor ocular intenso en el ojo derecho (OD).
Historia de la enfermedad: paciente masculino de 83 años, blanco, que refirió pérdida de la visión de forma lenta y progresiva hace aproximadamente dos años, con diagnóstico de catarata senil en el OD. Acudió al Cuerpo de Guardia de Oftalmología por presentar dolor ocular intenso, enrojecimiento ocular asociado a náusea y vómitos. Se constató hipertensión ocular y se decidió su ingreso como un glaucoma facogénico para mejor estudio y tratamiento.
Antecedentes patológicos personales (APP): hipertensión arterial (HTA), aneurisma de la aorta abdominal, operado de melanoma de piel a nivel de la nariz con colgajo a nivel de esta región hace cinco años.
Examen oftalmológico al ingreso:
MAVC: Ojo derecho (OD): no percepción luminosa (No PL); ojo izquierdo (OI): 0,3.
Tensión ocular: OD: 56 mmHg; OI: 17 mmHg.
Anexos: OD: edema palpebral moderado, inyección cilioconjuntival moderada, quemosis ligera; OI: blefarochalasis.
Segmento anterior:
OD: edema corneal moderado, pliegues en la membrana de Descemet, que no permitió ver detalles de las estructuras del segmento anterior, cámara anterior estrecha y midriasis media paralítica. (Fig. 1)
OI: sin alteraciones.
Medios:
OD: opacidad total del cristalino.
OI: opacidad parcial del cristalino.
Fondo de ojo: no se pudo observar por opacidad de los medios en ambos ojos.
Motilidad ocular: sin alteraciones en ambos ojos.

El paciente fue valorado por el equipo de guardia, que le diagnosticó un glaucoma facogénico. Por ello, fue ingresado con tratamiento antinflamatorio y antihipertensivo tópico y sistémico, logrando alivio del dolor, no así de los signos oftalmológicos.
Examen oftalmológico a las 24 h del ojo afecto (derecho).
Tensión ocular: en el OD no se pudo registrar con pneumotonómetro por la presencia de signos inflamatorios intensos, pero se realizó toma digital y se constató ligeramente elevada.
Anexos:
OD: edema palpebral moderado, quemosis conjuntival severa que dificultó ver la córnea en detalle, pero se observó ligero edema corneal y discreta infiltración en sector inferior y presencia de secreciones amarillentas en fondo de saco inferior y ángulo interno. No se modificó la conducta terapéutica teniendo en cuenta que solo tenía el tratamiento desde hacía 24 h, pero se decidió realizar evoluciones frecuentes.
OI: sin variaciones con respecto al examen del ingreso.
OD: examen oftalmológico a las 72 h del ingreso.
Anexos: rubor, calor, aumento de volumen de zona periorbitaria y párpados. Secreciones amarillentas abundantes en fondo de saco. (Fig. 2)
Segmento anterior: quemosis hemorrágica en sábana, córnea deslustrada con infiltrado en 360°, más denso en sector nasal inferior con descematocele a ese nivel y contacto del iris con endotelio corneal que tapiza microperforación en hora 7, presencia de atalamia.
Movimientos oculares: limitación de los movimientos del recto superior, lateral y medial.

Se decidió comenzar con antibióticos tópicos y sistémicos e interconsulta con retina, donde se realizó ultrasonido ocular y se constató vítreo completamente ocupado por opacidades de baja reflectividad y presencia de membranas. Se observó imagen elevada de bordes poco definidos, de consistencia más densa, de aproximadamente 17 mm de base x 8 mm de altura, de reflectividad media a baja, sugestivo de melanoma de coroides, pero no concluyente. También pequeña zona de desprendimiento de retina seroso. (Fig. 3)

Por las características del cuadro clínico y los antecedentes patológicos del paciente se decidió realizar tomografía axial computarizada (TAC) de órbita, cráneo y senos perinasales.
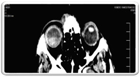
TAC de órbita: cortes a 2-3 mm donde se observó aumento de la densidad del globo ocular derecho de localización posterior con nivel, densidad que osciló entre 34-60 UH, sugestiva de lesión sólida. Musculatura extrínseca con ligero engrosamiento de los músculos rectos lateral y medial. (Fig. 4)

En la TAC de cráneo y senos perinasales no se encontraron alteraciones. El Rx de tórax y ultrasonido abdominal no aportaron datos positivos. Los estudios de laboratorio de rutina fueron normales. El exudado de las secreciones oculares arrojó la presencia de un estafilococo áureo.
Por las características clínicas del cuadro y los hallazgos ultrasonográficos y de la TAC, se planteó la presencia de un cuadro de panoftalmitis asociada a la presencia de un melanoma de coroides. Se les explicó a los familiares la severidad del cuadro y se les planteó la necesidad de la conducta quirúrgica necesaria en este caso, la que sería enucleación. Se realizó este procedimiento una vez cedido el cuadro inflamatorio y se constató, posteriormente, el resultado histopatológico que demostró la presencia de un melanoma coroideo de tipo necrótico, responsable del cuadro inflamatorio presente en este paciente.
DISCUSIÓN
El melanoma del cuerpo uveal (iris, cuerpo ciliar y coroides) es una entidad poco frecuente; su incidencia es de 5 a 6 casos por millón de habitantes. Es el tumor maligno intraocular primario y el tipo de melanoma no cutáneo más frecuentes. Su relación con el melanoma de piel es de 1-8 en los Estados Unidos. La edad de mayor presentación es la sexta década de la vida y su incidencia asciende con la edad; resulta más frecuente en hombres, con una relación de 3:1.6,7,8
Estas características se correspondieron con las del paciente objeto de estudio, el que además de encontrarse en el grupo que presenta estas características demográficas, tenía el antecedente de una cirugía de melanoma de piel a nivel de la nariz, aproximadamente cinco años antes.
Los individuos de raza blanca tienen un 8 a 15 % mayor riesgo de presentar melanomas uveales que los de raza negra, con una relación de 80:1; la incidencia es baja en la población mestiza, además de presentarse a edades más tempranas.7,9
Los melanomas uveales pueden aparecer en iris, cuerpo ciliar o coroides. El menos frecuente y de peor pronóstico es el del cuerpo ciliar, aunque la mayoría de los melanomas intraoculares son de origen coroideo y pueden ir desde hiperpigmentados hasta amelanóticos.1,7-9 La incidencia anual en Cuba es de aproximadamente 15 a 20 pacientes al año, y según datos del Registro Nacional del Cáncer (RNC) constituye el 6 % de todos los melanomas del resto del organismo.10 Su prevalencia mayor es entre la sexta y séptima década de la vida; no obstante, se ha observado en pacientes jóvenes y en niños. Este tumor, por su evolución, provoca una diseminación metastásica, fundamentalmente en el hígado, el pulmón, la piel y el tracto gastrointestinal, lo que resulta de muy mal pronóstico para la vida del paciente. Según la literatura revisada, solo el 1-2 % de los casos presentan extensión sistémica en el momento del diagnóstico y del tratamiento, y el 50 % presenta metástasis en los siguientes 15 años.10,11
El tipo celular es un elemento predictivo, pero otros factores pronósticos son el tamaño del tumor, la extensión extraocular y la localización.12 De estos factores depende el tipo de tratamiento a utilizar, que en la actualidad va encaminado a conservar el globo ocular y la agudeza visual, siempre y cuando las características del tumor lo permitan.
La inflamación ocular y orbitaria puede presentarse en pacientes con melanoma intraocular maligno, más frecuentemente asociada con aquellos que presentan compromiso extraocular.13 Una rápida expansión del mismo o, como en este caso, el tumor necrótico en sí, puede desencadenar un grado variable de inflamación intraocular y orbitaria, que puede simular una celulitis orbitaria o una panoftalmitis, que no es más que un proceso inflamatorio infeccioso de todas las estructuras que componen el globo ocular, con características similares a las presentadas en el paciente reportado. El término de melanoma necrótico se emplea en aquellos casos en los que la necrosis impide la identificación de las células tumorales; es este el tipo de melanoma de peor pronóstico.14,15 Se desconoce la causa de la necrosis celular, pero el tejido necrótico produce gran cantidad de mediadores inflamatorios, y ese probablemente sea el principal origen de la inflamación orbitaria. Si bien es una presentación clínica poco habitual, se la puede observar en aquellos casos en los que no hay extensión extraescleral.15) En la ultrasonografía modo-B no se encuentran las características típicas de un melanoma coroideo por la presencia de necrosis tumoral; ciertos hallazgos como la apariencia no-homogénea y la alta ecogenicidad del material intraocular orientan para su diagnóstico.16 En el paciente reportado las características del ultrasonido ocular no fueron concluyentes por la presencia del cuadro inflamatorio intenso asociado, por lo que fue necesario realizar la TAC de órbita para contribuir a definir el diagnostico.
Numerosos estudios sugieren la posibilidad de componentes ambientales o hereditarios hasta en un 12 % en el caso de los melanomas cutáneos, donde se han encontrado alteraciones genéticas en el cromosoma 1, así como pérdida o rearreglo en el brazo corto del cromosoma 9, identificado como lesión precursora del melanoma. Otros autores sugieren la presencia de una pequeña región de dos o tres mega bases en 9p21 que parecen contener un gen supresor del melanoma cutáneo, localizados en la región 9p13-p22.4,17-19 El caso que se estudió tuvo el antecedente de haber sido sometido a cirugía por presentar melanoma de piel de la nariz, lo que constituyó un antecedente importante a la hora de realizar un diagnóstico. Las características de las metástasis coroideas, de ser lesiones múltiples y en su mayoría bilaterales localizadas en polo posterior, hicieron descartar su presencia en este paciente, pero solo el estudio anatomopatológico confirmó el diagnóstico.
Clínicamente, este tipo de lesiones tienen la característica de ser un tumor unilateral, con el resto de sus manifestaciones clínicas muy variables. En algunos pacientes es asintomático, detectándose por oftalmoscopia de rutina; en otros es la causa de disminución o pérdida visual y defectos campimétricos según el tamaño y localización retiniana.1,4 El melanoma puede aparecer como un tumor pequeño en cuyo caso mostrará algo de pigmento y líquido subretiniano, mientras que uno de mayores dimensiones aparece como una masa elevada, ovoide y con un grado de pigmentación que puede variar, con frecuencia de color marrón oscuro o la persistencia de lesiones que clínicamente son amelanóticas.1,4,10,19
Estas características se pueden identificar al realizar un fondo de ojo, siempre que la transparencia de los medios lo permitan, lo que no fue posible realizar en el paciente estudiado por las alteraciones oftalmológicas asociadas al cuadro tumoral.
A medida que el tumor crece, atraviesa la membrana de Bruch y toma aspecto fungoide, lo que puede causar un desprendimiento exudativo de retina adyacente al tumor o en la zona más declive del globo ocular. Otras manifestaciones asociadas que se observan ocasionalmente son pliegues coroideos, hemorragia subretiniana o intrarretiniana, exudados de aspecto amarillento o hemorragia en vítreo.1,13
A la exploración ocular puede encontrarse aumento de la presión, que en más del 20 % se asocia con glaucoma por masas tumorales grandes o sinequias anteriores, cierre angular o sinequias posteriores con iris bombé, lo que se corresponde con el cuadro de hipertensión ocular que dio inicio a los síntomas de este paciente. Un glaucoma secundario de ángulo abierto puede desarrollarse por siembras neoplásicas en la cámara anterior o glaucoma neovascular relacionado con rubeosis iridis.1,13,20 Además, puede cursar con uveítis anterior o posterior y cataratas. El propósito de la exploración clínica general es determinar el grado de afección ocular y excluir la posibilidad de un tumor metastásico en la coroides. Los más frecuentes son los bronquiales en el hombre y los de mama en la mujer, posibilidad que quedó descartada en este paciente por ser negativos los resultados de los exámenes sistémicos realizados, así como la posibilidad de metástasis a distancia del tumor ocular.9,10-12,20
Debido a que el 97 % de los melanomas corideos afectan hígado y pulmones en su evolución metastásica, se recomienda la realización de pruebas de función hepática y radiografía de tórax. Son muy útiles también el ultrasonido abdominal, la TAC y la resonancia magnética, no solo para el diagnóstico de esta entidad, sino también para el seguimiento que debe hacerse a estos pacientes por parte del oftalmólogo y del oncólogo, para poder detectar a tiempo cualquier alteración sistémica. Es importante tener en cuenta que pueden tener varias formas de presentación dependiendo del estadio clínico en que sea detectado, por lo que es crucial que ante cualquier afectación de la visión o la presencia de síntomas inflamatorios oculares, el paciente sea valorado por un especialista -sobre todos pacientes a partir de la sexta década de la vida y del sexo masculino, aunque es una entidad que se ha visto que puede afectar a pacientes jóvenes.
REFERENCIAS BIBLIOGRÁFICAS
Salmon J, ed. Kanski. Oftalmología clínica. Un enfoque sistemático [Internet]. Cap. 12. 9na ed. Valencia: Elsevier; 2021 [citado 26/04/2021]. Disponible en: Disponible en: https://www.elsevier.com/books/kanski-oftalmologia-clinica/salmon/978-84-9113-893-8
Di Luciano A, Adaniya A, Morales-Cantón V, et al. Melanoma coroideo: revisión sistemática. Oftalmol Clin Exp [Internet]. 2020 [citado 21/04/2021];13(2):68-81. Disponible en: Disponible en: https://www.researchgate.net/publication/344040104
Damato B, Eleuteri A, Hussain R, et al. Parsimonious Models for Predicting Mortality from Choroidal Melanoma. Invest Ophthalmol Vis Sci. 2020;61(4):35. Citado en PubMed; PMID:32334433.
Santander P, Prado A, Rodríguez A. Melanoma gigante de coroides: presentación de un caso clínico. Rev Mex Oftalmol [Internet]. 2007 [citado 18/03/2021];81(5):283-90. Disponible en: Disponible en: https://www.medigraphic.com/pdfs/revmexoft/rmo-2007/rmo075j.pdf
Abraldes López-Veiga MJ. Clasificación histopatológica del melanoma uveal: un debate abierto. Arch Soc Canar Oftal [Internet]. 1999 [citado 26/03/2021];10:105-9. Disponible en: Disponible en: http://sociedadcanariadeoftalmologia.com/wp-content/revista/revista-10/sco21.pdf
Delgado L. Melanoma ocular. En: Cátedra de Oncología Clínica. Pautas de oncología médica para el diagnóstico, tratamiento sistémico y seguimiento [Internet]. Montevideo: Universidad de la República; 2020 [citado 14/04/2021]. Disponible en: Disponible en: http://www.oncologiamedica.hc.edu.uy/index.php?option=com_content&view=article&id=69:pautas-de-oncologia-medica-para-el-diagnostico-tratamiento-sistemico-y-seguimiento
Fernández Soler JA, Fuentes Hidalgo JE, Orges Ramírez M, et al. Melanoma maligno de coroides: a propósito de un caso. Corr Cient Méd [Internet]. 2017 [citado 26/04/2021];21(1). Disponible en: Disponible en: http://www.revcocmed.sld.cu/index.php/cocmed/article/view/2405
Anaya-Pava EJ, Cárdenas Hernández RI, Castro Santana NA. Estudios de imagen en el melanoma coroideo. Imagen Diagn [Internet]. 2014 [citado 12/04/2021];5(2). Disponible en: Disponible en: http://dx.doi.org/10.1016/j.imadi.2014.08.002
Aronoso ME, Singh AD, Topham AK. Uveal Melanoma: 5-Year Update on Incidence, Treatment and Survival (SEER 1973-2013). Ocul Oncol Pathol. 2018;4(3):145-51. Citado en PubMed; PMID: 29765944.
Fernández González O, Abreu Perdomo FA, Hernández Perugorría A, et al. Caracterización clínico patológica del melanoma uveal. Rev Cubana Oftalmol [Internet]. 2018 [citado 26/04/2021];31(4). Disponible en: Disponible en: http://scielo.sld.cu/scielo.php?script=sci_arttext&pid=S0864-21762018000400003
Dogrusöz M, Brouwer NJ, De Geus SJR, et al. Pronostic Factors Five Years After Enucleation for Uveal Melanoma. Invest Ophthalmol and Vis Sci. 2020;61(31). Citado en PubMed; PMID: 32186672.
Moshari A, Cheeseman EW, Mclean IW. Totally necrotic choroidal and ciliary body melanomas: associations with prognosis, episcleritis, and scleritis. Am J Ophthalmol. 2001;131(2):232-6. Citado en PubMed; PMID: 11228300.
Li AL, Hendrick AM. Necrotic uveal melanoma presenting as orbital cellulitis with intraocular hemorrhage: A case report. Am J Ophthalmol Case Rep. 2019;16:100557. Citado en PubMed; PMID: 31650085.
Singh P, Sen S, Banerjee M, et al. Choroidal melanoma masquerading as orbital cellulitis. BMJ Case Rep. 2018;11(1):e227486. Citado en PubMed; PMID: 30567222.
Barraquer RI. Melanoma de coroides. Diagnóstico y tratamiento [Internet]. Barcelona: Fundación Barraquer; 2016 [citado 26/04/2021]. Disponible en: Disponible en: https://www.barraquer.com/noticias/melanoma-coroides
Lucena E, Goldemberg DC, De Melo AC. Epidemiology of uveal melanoma in Brazil. Internat J Retina Vitreous [Internet]. 2020 [citado 26/04/2021];5. Disponible en: Disponible en: https://journalretinavitreous.biomedcentral.com/articles/10.1186/s40942-020-00261-w
Xu Y, Lou L, Wang Y, et al. Epidemiological Study of Uveal Melanoma from US Surveillance, Epidemiology, and End Results Program (2010-2015). J Ophthalmol. 2020 Feb;2020:3614039. Citado en PubMed; PMID: 32148939.
Jialu X, Zhenyu W, Xiaogang D, et al. Screening and identification of key genes and pathways in metastatic uveal melanoma based on gene expression using bioinformatics analysis. Medicine (Baltimore). 2020;99(43). Citado en PubMed; PMID: 33120861.
Filloy A, Caminal JM, Varela MM, et al. Cytogenetic analysis of choroidal melanoma. Arch Soc Esp Oftalmol. 2014;89(1):17-21. Citado en PubMed; PMID: 24269414.
Prado Serrano A, Camas Benítez JT, Bosque Vega M, et al. Características ecográficas de los melanomas uveales en población mexicana (serie de casos). Rev Mex Oftalmol [Internet]. 2014 [citado 11/04/2021];88(4). Disponible en: Disponible en: https://cyberleninka.org/article/n/952199.
Notas de autor
* Autor para la correspondencia: yperez.ssp@infomed.sld.cu
Declaración de intereses