Presentación de Caso
Injerto de tejido conectivo subepitelial y colgajo reposicionado coronal modificado para tratamiento de recesiones periodontales
Subepithelial connective tissue graft and a modified coronal repositioned flap for treatment of periodontal recessions
Injerto de tejido conectivo subepitelial y colgajo reposicionado coronal modificado para tratamiento de recesiones periodontales
Revista Cubana de Estomatología, vol. 56, núm. 4, pp. 1-12, 2019
Centro Nacional de Información de Ciencias Médicas

Recepción: 18 Enero 2019
Aprobación: 22 Julio 2019
Resumen: Introducción: La recesión periodontal es un problema mucogingival frecuente, de origen multifactorial que usualmente se asocia a hipersensibilidad dentinaria, caries radicular y problemas estéticos. La cobertura radicular es parte integral de su tratamiento quirúrgico. Las técnicas bilaminares con injerto de tejido conectivo subepitelial son las más predecibles. Objetivo: Describir los resultados clínicos obtenidos al realizar en recesiones periodontales múltiples, injerto de tejido conectivo subepitelial cubierto por colgajo reposicionado coronal modificado. Presentación del caso: Paciente masculino, blanco, obrero, de 43 años, con antecedentes personales y familiares de salud que acudió al Servicio de Periodoncia de la Clínica Estomatológica “III Congreso del PCC”, Matanzas, Cuba, por “cambio de posición de la encía en algunos dientes”. Clínicamente existía exposición radicular en los dientes 13, 53 y 14, ausencia del 12, higiene bucal adecuada, no presencia de bolsas periodontales. Se diagnosticó recesión periodontal clase I de Miller localizada en dichos dientes. Para su tratamiento quirúrgico se realizó injerto de tejido conectivo subepitelial y colgajo desplazado coronal sin incisiones verticales de 11 a 15. A la semana, se retiró sutura de zona donante, se observó buena cicatrización. Se citó a los siete días para retirar cemento quirúrgico y sutura de la zona injertada; existía discreto edema, materia alba, biopelícula y cobertura radicular completa del 13, 53 y 14. Al año del procedimiento, las superficies expuestas estaban completamente cubiertas con tejido gingival posicionado en 13 y 53, ganancia de encía insertada y armonía de color entre sitio injertado y área adyacente. El 14 mostró 1 mm de raíz expuesta. Conclusiones: La técnica empleada, cubrió totalmente la superficie radicular del 13, del 53 y parcialmente la raíz del 14. Se obtuvo incremento de encía queratinizada, óptimo aspecto estético y buena evolución posoperatoria.
Palabras clave: recesión gingival, colgajos quirúrgicos, injertos de tejido.
Abstract: Introduction: periodontal recession is a frequent mucogingival problem, of multifactorial origin that is usually associated to dentin hypersensibility, radicular caries and esthetic problems. Root coverage is an integral part of its surgical treatment, considering bilaminar techniques with subepithelial connective tissue graft as the most predictable ones. Objective: to describe the clinical results obtained when making a sub epithelial connective tissue graft covered by a modified coronal repositioned flap, in multiple periodontal recessions. Case presentation: a male, white, worker patient, aged 43 years, with health personal and family antecedents, who assisted the Periodontics service of the Dental Clinic “III Congreso del Partido”, of Matanzas, Cuba, for "a change of the gum position in some teeth". Clinically, there it was a root exposition of the 13, 53 and 14 teeth, lack of the 12 one, adequate oral hygiene and absence of periodontal´s pockets. A Miller´s Class I periodontal recession located in those teeth was diagnosed. A subepithelial connective tissue graft and coronally advanced flap was performed without vertical incisions from 11 to 15 teeth. After a week, the suture of the donor zone was retired, showing good healing. He was cited at the seventh day to retire surgical cement and suture form the grafted zone, observing a discrete edema, debris, biofilm and complete root coverage of the 13, 53 and 14 teeth. At the year after the procedure, the exposed surface was completely covered with gingival tissue positioned in the 13 and 53 teeth, with a gaining of inserted gum and color harmony between the grafted site and adjacent areas. The 14 tooth showed 1 mm of exposed root. Conclusions: the used technique totally covered the root of the 13 and the 53, and most of the root of the 14 tooth, reaching an increase of the keratinized gum, and optimal esthetic aspect and post-surgery evolution.
Keywords: gingival recession, surgical flaps, tissue grafts.
INTRODUCCIÓN
La Academia Americana de Periodoncia define a la recesión periodontal (RP) como la exposición de la superficie radicular por el dislocamiento del margen gingival en sentido apical a la unión amelocementaria.(1) Esta entidad es multifactorial y presenta elevada prevalencia a nivel mundial pudiendo llegar al 100 % después de los 50 años. Puede asociarse a caries radicular, hiperestesia dentinal, abrasiones y crear problemas estéticos, retención de biopelícula e inflamación.(2)
Durante las últimas décadas los injertos de tejido blando se utilizan de manera rutinaria en Periodoncia y numerosas técnicas se usan para corregir las RP, entre ellas, colgajos de tejido pediculado e injertos libres de tejido blando. Todas logran mejorar la recesión, aumentan la inserción y altura de la encía. Su éxito depende de un buen diagnóstico, de la localización de la recesión, de la técnica a emplear y del entrenamiento del especialista, entre otros aspectos.(3,4,5,6,7)
El injerto de tejido conectivo subepitelial en combinación con un colgajo de avance coronal es de los procedimientos quirúrgicos más empleados. Logra excelentes resultados en términos de cobertura radicular y aumento del tejido queratinizado, con porcentaje de éxito del 92 al 97 %, según refieren estudios revisados.(8,9)
Es una técnica bilaminar que introduce Langer y Langer(10) en 1985 y consiste en realizar un colgajo de espesor parcial en la zona de la recesión con descargas verticales a ambos lados del defecto, raspado y alisado radicular, colocación del injerto de tejido conectivo subepitelial, reposición coronal del colgajo y sutura.
Dentro de las ventajas de este proceder se incluyen: aumento del aporte sanguíneo, protección del injerto, facilidad en la fijación y en la inmovilización, disminución de la contracción del injerto, acortamiento del periodo de cicatrización y disminución de los problemas posoperatorios derivados de la pérdida de estabilidad.(8,9,11,12)
En este caso clínico se utiliza injerto de tejido conectivo subepitelial, cubierto por colgajo desplazado coronal sin incisiones liberatrices. Zucchelli y otros(6) lo describieron para el tratamiento de recesiones múltiples en pacientes con demandas estéticas. Ellos consideran que las incisiones laterales, sus suturas y la tensión que ejercen sobre el colgajo, interrumpen la vascularización del área e interfieren negativamente en la cicatrización y en la estética.
La presentación del caso tiene el objetivo de describir los resultados clínicos obtenidos al realizar este procedimiento, que combina las bondades de las técnicas bilaminares y del colgajo tipo bolsillo.
PRESENTACIÓN DEL CASO
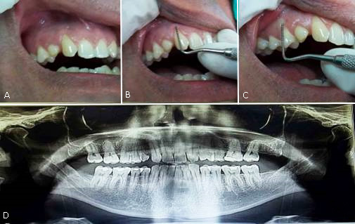
Paciente masculino, blanco, obrero, de 43 años de edad, que acude a consulta de Periodoncia de la Clínica Estomatológica “III Congreso del PCC” de Matanzas, Cuba, remitido del nivel primario de atención por retracción apical del margen gingival vestibular en 13, 53 y 14. Se confecciona historia clínica de la especialidad. Al interrogatorio, niega la existencia de antecedentes médicos personales y familiares de relevancia; refiere “cambio de posición de la encía en dichos dientes” que comenzó desde aproximadamente dos años y progresó en los últimos meses. Clínicamente existía ausencia clínica del 12, presencia del 53, exposición de la superficie radicular en 13, 53 y 14 por migración del margen gingival vestibular hacia apical del límite amelocementario, sin alcanzar la línea mucogingival (Fig. 1, A).
Con sonda periodontal de William se midió la profundidad del surco gingival de 13, 53 y 14; en todos fue 1 mm interproximalmente y 0 mm en caras libres. No se observó sangramiento al sondaje ni signos clínicos de inflamación, las papilas interdentales cubrían los nichos gingivales. Con pie de Rey marca NSK se midieron las coronas clínicas de los dientes afectados desde el margen gingival hasta el borde incisal u oclusal (15 mm la del 13; 7 mm la del 53 y 12 mm la del 14). La RP se midió con sonda periodontal, de la LAC al cenit gingival de cada diente (RP del 13= 5 mm, RP del 53= 3 mm y RP del 14= 4 mm) (Fig. 1, B y C). Encía adherida de 1,5 mm en 13 y 53 y 1 mm en el 14 (desde cenit gingival de dichos dientes a unión mucogingival) con pie de Rey.
El 13 y 14 estaban firmes, libres de caries y obturaciones, 53 con atrición del borde incisal y movilidad dentaria grado I según Miller.(13) En el paciente la higiene bucal era adecuada, con índice de análisis de higiene bucal de Love(13) igual a 7 %.
Se indicó radiografía ortopantomográficala que mostró oligodoncia del 12 y 22, reabsorción radicular del tercio medio y apical del 53, sin pérdida ósea interproximal, ni áreas radiolúcidas laterales ni periapicales en los dientes con recesión. (Fig. 1, D).

Fig. 1 - A: Recesiones periodontales de 13, 53 y 14. B y C: Sondaje y medición de recesiones. D: Aspecto radiográfico de los dientes a tratar.
Se interconsultó el paciente, con equipo multidisciplinario de Implantología para en un segundo momento valorar exodoncia del 53, su sustitución por un implante osteointegrado y coronoplastia del 13.
Se diagnosticó RP Clase I de Miller(14) localizada en 13, 53 y 14. Se informó al paciente el tratamiento propuesto y se solicitó su autorización mediante formato escrito de consentimiento informado. Se realizó un injerto de tejido conectivo subepitelial cubierto por colgajo de espesor parcial desplazado coronalmente tipo bolsillo.
Procedimiento prequirúrgico: Se prescribieron exámenes complementarios: estudio hemático completo, recuento plaquetario y glicemia. Los valores estaban dentro del rango de normalidad.
Acto quirúrgico: Previa antisepsia del campo operatorio con solución acuosa de acetato de clorhexidina al 0,2 %, se anestesió el área quirúrgica con lidocaína al 2 % con epinefrina (1:80 000) y técnica infiltrativa en ambos sitios receptor y donante. Primero se anestesió el sitio receptor en el fondo del surco vestibular del 11 al 15 reforzando en base de papilas. Luego el sitio donante zona palatina entre 15 y 17.
Preparación de las raíces: Se rasparon las superficies radiculares expuestas de 13, 53 y 14, con uñas de Moore y se alisaron con curetas periodontales tipo Grace. No se empleó acondicionador radicular.
Preparación del lecho receptor: Con hoja de bisturí # 15 y mango de bisturí Bard-Parker # 3, perpendicular a la base de las papilas aledañas a los dientes involucrados, se realizó una incisión horizontal coronal a la línea amelocementaria del 13, 53 y 14. Se disecó un colgajo de espesor parcial con incisión festoneada, que se extendió 6 mm apicalmente a las recesiones del 13, 53 y 14 y en sentido mesiodistal hasta el ángulo proximal de los dientes adyacentes (de mesial del 11 a mesial del 15). Se introdujo el bisturí entre la encía y la superficie radicular a nivel de las recesiones, sin perforar la superficie vestibular del colgajo. Las papilas involucradas se desespitelizaron. Las fibras musculares se desinsertaron para dejar sin tensión al colgajo tipo bolsillo, que se diseñó del 11 al 15 con lecho perióstico firme (Fig. 2, A).
Preparación del lecho donante y obtención del injerto: Se seleccionó como sitio donador la fibromucosa palatina de distal de 15 a distal de 17. Con el bisturí mediante el abordaje de la puerta trampa a 2 mm apical al margen gingival, se separó el conjuntivo del epitelio de la mucosa masticatoria del paladar y del periostio subyacente (Fig. 2, B). Seguidamente se extrajo el injerto con pinza de disección sin dientes y se colocó en una gasa estéril impregnada de suero fisiológico. Se obtuvo un injerto de tejido conectivo de 22 mm de largo, 9,5 mm de alto y 1,6 mm de espesor. Se suturó la herida lineal resultante con sutura continua (seda negra 3-0 no reabsorbible), se usó Tisuacryl como apósito periodontal (Fig. 2, C y D).
Fijación en sitio receptor: El injerto que se obtuvo en el paso anterior, se fijó al periostio del área receptora con Tisuacryl y se cubrió con el colgajo reposicionado coronalmente (Fig. 2, D y E). Con seda negra 3-0 no reabsorbible y aguja de 3/8 de círculo con reverso cortante, se fijó la parte más coronal del colgajo con sutura suspensoria alrededor del cuello de los dientes. Se realizó sutura continua en el fondo del surco vestibular del 11 al 15 (Fig. 3, F). Se colocó cemento quirúrgico Quirucém.

Fig. 2 - A: Preparación del lecho receptor. B: Toma del injerto de zona palatina. C: Sutura de zona donante. D: Injerto de tejido conectivo. E: Fijación con Tisuacryl al periostio de zona receptora. F: Sutura del colgajo.
Posoperatorio: Se prescribió analgésico por vía oral en caso de dolor, dipirona de 300 mg 2 tabletas cada 8 h, vitamina C de 500 mg, 1 tableta cada 24 h por 15 días, mantener la cabeza elevada, sin acostarse en las primeras 6 h. Ingerir líquido y alimentos blandos durante 2 semanas, realizar colutorios de solución acuosa de clorhexidina al 0, 2 % cada 12 h a partir de las primeras 24 h, por 15 días. Se orientó cepillado dentogingival en zonas no intervenidas. Ante cualquier malestar volver a consulta. Se citó a la semana para retirar sutura del paladar.
Evolución posoperatoria: Al retirar sutura palatina a la semana, existía adecuada cicatrización. El paciente no refirió dolor, ni molestias posoperatorias mediatas. La zona injertada se mantenía protegida por Quirucém.
A los 15 días se retiró cemento quirúrgico y suturas del área intervenida. Clínicamente había CR completa del 13, 53 y 14, discreto edema, materia alba y biopelícula. Se orientó cepillar la zona cuidadosamente con cepillo de cerdas blandas y técnica Stillman modificada. Se suspendieron colutorios con clorhexidina (Fig. 3, A).
Al mes, se observó tejido gingival engrosado, raíces totalmente cubiertas, incremento del tejido queratinizado y armonía de color entre zona injertada y área adyacente. Excelente cicatrización del paladar (Fig. 3, B).
A los seis meses había 1 mm de raíz expuesta en 14 y 53, evolución satisfactoria del área receptora y donante (Fig. 3, C).
Al año, existía aspecto estético favorable en zona receptora y CR completa de 13 y 53; 1 mm de raíz expuesta en el 14. Corona clínica del 13 de 10 mm, del 53 de 4,5 mm y del 14 de 9 mm. Incrementó la altura de encía queratinizada (7 mm), verificada con pie de Rey, adecuada inserción clínica de los tejidos, constatada con sonda periodontal (Fig. 3. D).

Fig. 3 - Evolución. A: 15 días; B: 1 mes; C: 6 meses; D: 1 año.
DISCUSIÓN
Actualmente, se han desarrollado nuevos diseños de incisiones y técnicas de suturas de los colgajos para favorecer una mayor reposición coronal de los tejidos.(8,9)
En el presente caso clínico se omitieron las incisiones verticales de la técnica original de Langer y Langer(10) en el sitio receptor, porque el colgajo en bolsillo preserva la irrigación lateral, promueve mejor cicatrización y elimina la posibilidad de cicatriz en el tejido.(6)
Se tomó en consideración la profundidad palatina y el adecuado espesor de fibromucosa del paladar en molares, aspectos anatómicos que permitieron realizar modificaciones en zona donante. Se obtuvo el injerto del área palatina de distal del 15 a distal del 17 con la técnica de una sola incisión descrita por Hürzeler (1999) que, aunque de mayor dificultad técnica, conlleva una mejor cicatrización del paladar. Lo habitual en los procedimientos descritos en la literatura, es utilizar para este fin, la zona palatina de bicúspides a primer molar.(8,9,10,12,15)
En las técnicas bilaminares que se usan tradicionalmente para CR, el injerto se fija al periostio del sitio receptor con suturas reabsorbibles. (6,7,8,9,10,11,12,14,15,16,17,18) En este caso, se modificó este paso al considerar las propiedades del Tisuacryl(19) como adhesivo tisular para fijar el tejido conectivo en la zona receptora, lo que facilitó el procedimiento quirúrgico.
Varios autores(5,6,7,8,9) reconocen la técnica empleada como muy predecible y estable a largo plazo. En ella, el aporte sanguíneo está menos comprometido; provee mimetismo de color y aumenta el grosor gingival, lo que previene la recidiva de la recesión y proporciona excelente control de la biopelícula, importante para mantener saludables los tejidos periodontales.
Bueno Rossi (15) refiere que el injerto de tejido conjuntivo subepitelial es “el patrón de oro” en los tratamientos de CR. Sin embargo, en la literatura se le adjudican desventajas como: un segundo sitio quirúrgico con riesgo de hemorragia, requiere entrenamiento del especialista, mayor tiempo operatorio y tamaño limitado del injerto que se obtiene; (16,17) aspectos que no influyeron negativamente en este caso.
Los informes de Vargas-Casillas(11) y Rojo(12) con respecto a CR, incremento del tejido queratinizado y aspecto estético, son comparables con los resultados clínicos del procedimiento descrito.
Vignoletti(18) por su parte, logra mayor CR con el uso del túnel desplazado coronal en combinación con injerto de tejido conectivo, sobretodo en recesiones clase III. Considera que deben valorarse previamente el espesor, diseño y tensión del colgajo, grosor de las papilas interdentales, ausencia de incisiones verticales liberatrices y la no utilización de acondicionadores radiculares.
Se concluye que la técnica empleada cubrió totalmente la superficie radicular del 13, del 53 y parcialmente la raíz del 14. Se obtuvo incremento de encía queratinizada, óptimo aspecto estético y favorable evolución posoperatoria.
Conflicto de intereses
Los autores declaran que no existe conflicto de intereses en el presente artículo.
Declaración de autoría
Rosario Cruz Morales: Realizó tratamiento y preparación del artículo, y revisó, conformó y aprobó la versión final del manuscrito.
Dunia Caballero López::Tomó fotos y colaboró en la elaboración del artículo, y revisó, conformó y aprobó la versión final del manuscrito.
REFERENCIAS BIBLIOGRÁFICAS
1. American Academy of Periodontology. Glossary of periodontal terms. 4th ed. Chicago: American Academy of Periodontology; 2001.
2. García-Rubio A, Bujaldón-Daza AL, Rodríguez-Archilla A. Recesión gingival. Diagnóstico y tratamiento. Av Periodon Implantol. 2015 [citado 4 de sep.de 2016];27(1): [aprox. 5 p.]. Disponible en: http://dx.doi.org/10.4321/S1699-65852015000100003
3. Robles-Andrade MS. Predicción de la cobertura radicular completa: abordaje basado en evidencia. Rev. Mex. Periodontol. 2015 [citado 14 de sep. de 2016]; VI (1): [aprox. 5 p.] Disponible en: http://www.medigraphic.com/pdfs/periodontologia/mp-2015/mp151c.pdf
4. Henry H, Takei E, Todd S, Robert R, Azzi EP, Edgard PA, et al. Periodontal Plastic and Esthetic Surgery. In: Newman MG, Takei HH, Klokkevold PR, Carranza FA. Carranza´s Clinical Periodontology. 11th. ed. Estados Unidos: Elsevier Saunders; 2012. p. 595-600.
5. Sarduy Bermúdez L, González Valdés Y, Barreto Fiu EE, Corrales Álvarez M. Tratamiento de recesiones periodontales con injerto libre y colgajo de reposición coronal más tejido conectivo. Medicent Electrón. 2018 jul.- sep. [citado 19 de feb. de 2019];22(3):[aprox. 9 p.] Disponible: http://scielo.sld.cu/pdf/mdc/v22n3/mdc04318.pdf
6. Zuchelli G, Mounssif I, Mazzotti C. Coronally advanced flap without connective tissue graft for the treatment of multiple gingival recessions: a comparative short-and long-term controlled randomized clinical trial. J Clin Periodontol. 2014 Apr. [citado 21 de nov. de 2017];41(4):[aprox. 7 p.] Disponible en: http://dx.doi.org/10.1111/jcpe.12224
7. Chambrone L, Tatakis DN. Periodontal soft tissue root coverage procedures: a systematic review from the AAP Regeneration Workshop. J Periodontol. [En línea] feb 2015 [citado 23 de feb. de 2018];86(2 Suppl):[aprox. 43 p.] Disponible en: https://www.researchgate.net/publication/272086026_Periodontal_Soft_Tissue_Root_Coverage_Procedures_Practical_Applications_From_the_AAP_Regeneration_Workshop
8. Sales D, Rettori E, Romanelli H, Achinini G, Adam E. Tratamiento de múltiples recesiones gingivales con diferentes técnicas quirúrgicas: descripción de un caso clínico. Actas odontol. [En línea] 2016 [citado 5 de abr. de 2018]; 7(1): [aprox. 6 p.] Disponible en: https://revistas.ucu.edu.uy/index.php/actasodontologicas/article/view/1075
9. Rovira-Ortiz CJ, Tirado-Amador LR, Camargo-Moreno CJ. Tratamiento de recesión gingival con injerto conectivo subepitelial y colgajo desplazado coronal. Rev Nac Odontol. 2017 [citado 19 de mar. de 2019];13(25):[aprox. 8 p.] Disponible: https://revistas.ucc.edu.co/index.php/od/article/view/1707/1976
10. Langer B, Langer L. Subepithelial connective tissue graft technique for root coverage. J Periodontol. 1985 [ cited 5 de abr. de 2018];56(12): [aprox. 5 p.]. Available from: https://onlinelibrary.wiley.com/doi/abs/10.1902/jop.1985.56.12.715
11. Vargas- Casillas AP, Mendoza-Espinosa BI, Borges-Yáñez SA. Comparación clínica del uso del colgajo de avance coronal e injerto de tejido conectivo subepitelial con o sin proteínas derivadas de la matriz del esmalte para la cobertura de recesiones gingivales. Caso clínico. Rev Odontol Mex. [En línea] 2015 [citado 21 de mar. de 2018];19(4):[aprox. 9 p.]
12. Rojo-Botello NR, Serrano-García SA, Vargas-Casillas AP. Injerto de tejido conjuntivo subepitelial. Caso clínico. Rev Esp Med Quir. 2016 [citado 23 de abril de 2018];21(1):[aprox. 7 p.]. Disponible en: http://www.redalyc.org/html/473/47345802006/
13. Colectivo de autores. Compendio de Periodoncia. 2da ed. La Habana: Editorial Ciencias Médicas; 2017. p. 19, 20.
14. Miller DDS. Miller Classification of Marginal Tissue Recession Revisited After 35 Years. Compendium of Continuing Education in Dentistry. sep. 2018 [citado 23 de oct. de 2018];39(8):[aprox. 8 p.]. Disponible en: https://www.aegisdentalnetwork.com/cced/2018/09/miller-classification-of-marginal-tissue-recession-revisited-after-35-years
15. Bueno-Rossy LA. Cirugía Plástica Periodontal: reporte de un caso clínico. Odontoestomatología. 2016 may. [citado 24 de jun. de 2018];18(27): [aprox. 6 p.]. Disponible en: http://www.scielo.edu.uy/scielo.php?pid=S1688-93392016000100007&script=sci_arttext&tlng=ptLA%20Bueno%20Rossy%20-%20Odontoestomatolog%C3%ADa,%202016%20-%20scielo.edu.uy
17. Lino Aguiar V, Hernández Ávila Y, Arellano FC, Galán Torres G. Tratamiento de recesiones gingivales múltiples con colgajo desplazado coronal. ORAL .2018 [citado 25 de feb. de 2018];19(59):[aprox. 5 p.] Disponible en: http://www.medigraphic.com/pdfs/oral/ora-2018/ora1859f.pdf
18. Vignoletti F, Aroca S, De Santis M. Cobertura radicular en recesiones gingivales Clase III de Miller. Técnicas quirúrgicas y eficacia clínica basada en evidencia. Periodon Clinic. 2016;II 4):92-101.
19. Pérez Álvarez MC, Márquez Argüelles DM, García Rodríguez L, Guerra Bretaña M, Rodríguez Hernández JA. Evidencias clínicas empleando el biomaterial cubano Tisuacryl® para tratar heridas de piel y mucosa oral. Rev Cubana Invest Biomed. 2017 [citado 20 feb. 2019];36(1):[aprox. 9 p.] Disponible en: http://www.medigraphic.com/pdfs/revcubinvbio/cib-2017/cib171d.pdf
Notas de autor
rosarioc.mtz@infomed.sld.cu