Presentación de Caso
Implante transalveolar inmediato ante reabsorción dentinaria interna
Immediate transalveolar implant as an effective solution for internal tooth resorption
Implante transalveolar inmediato ante reabsorción dentinaria interna
Revista Cubana de Estomatología, vol. 56, núm. 1, pp. 78-85, 2019
Centro Nacional de Información de Ciencias Médicas

Recepción: 31 Mayo 2018
Aprobación: 25 Julio 2018
Resumen: Introducción: Dentro del marco de su actividad profesional el estomatólogo se enfrenta a diversas afecciones como la reabsorción radicular interna, cuyos casos avanzados pueden complicar el pronóstico del tratamiento endodóntico, debido al debilitamiento de la estructura dental remanente y las posibles afectaciones periodontales. Debido a que la boca está localizada en uno de los puntos focales de la cara, cualquier alteración en la apariencia estética puede provocar implicaciones psicológicas que pueden ir desde una simple forma de esconder el defecto hasta la más grande introversión. Objetivo: Presentar un caso clínico de reabsorción dentaria interna resuelto con implante postextractivo de carga inmediata. Presentación de caso: Paciente femenina de 31 años con reabsorción dental interna de incisivo central superior. Se llevó a cabo un adecuado diagnóstico y plan de tratamiento del caso, colocándose un implante transalveolar cargado de forma inmediata y la rehabilitación definitiva metalcerámica una vez concluida la fase de osteointegración. Conclusiones: Se consiguió una rehabilitación estética, funcional y biomecánicamente estable a largo plazo, que coincide con las expectativas del paciente, lo cual demuestra que cuando se cumplan los requisitos adecuados y la planificación sea exhaustiva, la implantología ofrece el tratamiento más avanzado en casos en que es inminente la extracción dental.
Palabras clave: implante postextractivo, reabsorción dentinaria interna, carga inmediata.
Abstract: Introduction: In their daily professional practice dentists are faced with a variety of conditions. An example is internal root resorption, the advanced stage of which may complicate the prognosis of dental treatment, due to the weakening of the remnant dental structure and the potential appearance of periodontal disease. Because the mouth is located in one of the focal points of the face, any alteration of its esthetic appearance may result in psychological disorders ranging from a simple attempt to mask the defect to the greatest introversion. Objective: Present a clinical case of internal tooth resorption solved with a post-extraction immediate load implant. Case presentation: A female 31-year-old patient presents with internal tooth resorption of the maxillary central incisor. Appropriate diagnosis was performed and a treatment plan devised, consisting in immediate placement of a transalveolar implant and definitive metal-ceramic rehabilitation upon completion of the osseointegration stage. Conclusions: Stable long-term esthetic, functional and biomechanical rehabilitation was achieved which met the patient's expectations. This result shows that when the established requirements are complied with and exhaustive planning is performed, implantology offers the most advanced treatment when dental extraction is imminent.
Keywords: post-extraction implant, internal tooth resorption, immediate load.
INTRODUCCIÓN
Dentro del marco de su actividad profesional, el estomatólogo se enfrenta a diversas afecciones dentarias como la reabsorción dentaria interna. Esta se define como la disolución patológica de las estructuras dentales mineralizadas como la dentina o el cemento, debido a la actividad de los odontoclastos. Si la reabsorción interna se extiende hasta llegar a la superficie externa de la raíz, esta pierde integridad y se produce la destrucción de los tejidos periodontales adyacentes.1,2 En casos en que es inminente la extracción dental el tratamiento implantológico sería la opción rehabilitadora de elección.
La implantología se ha reconocido como la alternativa ideal para el reemplazo de piezas dentarias perdidas o en casos con afecciones incompatibles con tratamiento conservador, como en reabsorciones dentinarias avanzadas. Esta se ha convertido en un procedimiento cada vez más frecuente y predecible, que llega a alcanzar tasas de éxito de 95 % a 99 %.3
Hasta hace poco tiempo la rehabilitación con implantes preveía un protocolo quirúrgico estándar consistente en: inserción del implante sumergido, se esperaba de 6 a 4 meses para el maxilar y la mandíbula respectivamente y luego, se hacía una segunda intervención quirúrgica para colocar el tornillo de cicatrización. Se esperaba entonces otro mes y finalmente se tomaba una impresión para rehabilitar protésicamente el implante. Esta metódica se llevaba a cabo para poder conseguir una buena osteointegración, pensando que una carga anticipada podía inducir una formación de tejido fibroso entre la superficie implantar y el hueso. Estos intervalos de tiempo habían sido determinados empíricamente, pues ninguna investigación experimental lo había demostrado.4,5 Hoy, gracias a las nuevas superficies implantares y a las nuevas formas de los implantes utilizados, los tiempos de carga de un implante se han reducido a cero; o sea, implante más corona protésica al mismo tiempo y también en alveolos en que se acaba de hacer la extracción dentaria.4
Después de una exodoncia se desarrolla un proceso de remodelación alveolar con una progresiva atrofia ósea en sentido vertical y vestíbulo-lingual que se incrementa con la acción de la prótesis removible. Para prevenir estas alteraciones en la disponibilidad ósea de la cresta alveolar se ha desarrollado la técnica de los implantes postextracción que, según muchos autores, consiguen mantener un buen nivel de volumen óseo.6,7
Se describe como implante inmediato, transalveolar o postextractivo a la colocación de un implante en el mismo acto quirúrgico en que se realiza la extracción del diente a ser sustituido, cuando el hueso remanente es suficiente para asegurar la estabilidad primaria del implante y que es parte del mismo acto quirúrgico.3,8
El objetivo principal del implante postextractivo es conseguir una terapia que evite lo más posible la pérdida estructural de la cresta alveolar, de manera que se pueda posicionar un implante dental, en la correcta posición espacial y en consecuencia, poderlo rehabilitar con una corona que permita que se desarrollen los tejidos cicatrizales duros y blandos en la posición correcta.4
La colocación de implantes transalveolares es una técnica aparentemente simple y extremadamente precisa y sensible, y puede ser recomendada solamente para áreas anteriores con indicaciones específicas: avulsión traumática, reabsorciones apicales de la raíz de dientes temporarios con agenesia del permanente, fracaso de la terapia endodóntica, fracturas dentales no tratables y piezas con enfermedad periodontal irrecuperable.8-11
Entre sus ventajas respecto a los implantes diferidos se encuentran: el mantenimiento de la forma de la interfase restauradora gingival que maximiza el resultado estético; la preservación del hueso al disminuir la reabsorción ósea del alveolo postextracción; la preservación del contorno gingival manteniendo el suplemento vascular; la optimización de la longitud del implante utilizando el tejido óseo residual; la cicatrización con completa osteointegración; la preservación de la anatomía gingival antes de su colapso; la reducción de los tiempos quirúrgicos; y el acortamiento del tiempo de tratamiento rehabilitador.8,10-12
Además, la extracción aporta vascularización muy favorable para el proceso de cicatrización y regeneración ósea, permite una posición ideal del implante y, al no tener que perforar cortical, se genera menor calor al corte con el instrumental rotatorio aun con refrigeración. No podemos dejar de mencionar el efecto psicológico, muy favorable para el paciente, pues en el momento de la exodoncia comienza la fase de rehabilitación con la colocación del implante.3,9
Entre las desventajas que describe la literatura sobre los implantes postextracción se encuentran: la mayor complejidad de la técnica quirúrgica, la mayor dificultad para lograr anclaje primario, el requerimiento de técnicas de regeneración hística guiada, la mayor dificultad para el cierre de la herida, la posibilidad de fractura de la tabla vestibular cuando es muy delgada y la necesidad de mayor experiencia profesional.9
Las indicaciones que contraindican absolutamente la colocación de estos implantes son: la falta de fijación primaria y la presencia de infección aguda, activa y sintomática, con supurado y cuadros radiográficos asociados con una osteolisis amplia. Se sugiere en estos casos prescribir una profilaxis antibiótica antes de proceder con la extracción y la contemporánea inserción del implante.9,13 Se deberán administrar antibióticos bactericidas como la amoxicilina, clindamicina y eritromicina, y contraindicar los implantes inmediatos si el día de la cirugía la infección continúa activa tras la premedicación antibiótica.14
La investigación científica ha confirmado que los porcentajes de éxito y de supervivencia de los implantes postextractivos son del todo similares a los implantes insertados en condiciones estándar, y la osteointegración se produce de igual forma que la de los implantes insertados en zonas cicatrizadas. Según diferentes autores los implantes inmediatos postextracción tienen un éxito variable entre un 92,7 % y 98,0 %.13,15
En implantología y sobre todo, durante la colocación de un implante postextractivo, resulta muy importante la correcta selección del paciente para que el tratamiento sea exitoso y cumpla su objetivo fundamental: restituir las funciones masticatorias, estéticas, fonéticas y psicológicas. Para ello es necesaria una visión integrada de la ciencia y práctica odontológica y una adecuada coordinación de los profesionales del equipo multidisciplinario con criterios de valoración unánimemente compartidos, tanto para establecer el cronograma como para decidir el enfoque terapéutico adecuado.16
El objetivo es describir un caso clínico de reabsorción dentaria interna resuelto con implante postextractivo de carga inmediata.
PRESENTACIÓN DEL CASO
Paciente femenina con antecedentes de salud, de 31 años de edad y muy preocupada por su aspecto estético, quien acude a consulta por discromia en incisivo central superior izquierdo que impresiona necrosis pulpar. Al realizar acceso cameral se detecta sangramiento profuso del tejido existente en la cámara pulpar y al realizar radiografía periapical constata una reabsorción dentinaria interna que llegaba a la superficie externa de la raíz con destrucción de los tejidos periodontales adyacentes (Fig. 1).

Fig. 1 . Reabsorción dentinaria interna detectada al examen clínico y corroborada al examen radiográfico.
Se le explicó a la paciente que no era posible tratamiento conservador ante tal situación y se le ofreció la opción de rehabilitación inmediata mediante un implante transalveolar. Se explicaron todas las ventajas y desventajas del tratamiento y se le informó cada etapa del proceder implantológico. De esta forma se obtuvo el consentimiento de la paciente. Se realizaron estudios clínicos y una historia clínica minuciosa. Se chequeó que toda la boca estuviera saneada y con cualquier posible enfermedad periodontal controlada. Se tomaron las impresiones, se confeccionaron y evaluaron los modelos y se tomaron los registros para el montaje en articulador. Se realizó un encerado diagnóstico y se confeccionó corona provisoria con acrílico autopolimerizable color A3 para la rehabilitación inmediata del caso.
La exodoncia se ejecutó de forma cuidadosa tratando de conservar la integridad del alveolo. Se realizó un correcto curetaje de los tejidos duros y blandos a fin de lograr un sangrado del lecho alveolar y remover el tejido de granulación y todo resto patológico que pudiera existir. Con una cureta se procedió a examinar todo el alveolo en busca de dehiscencias, fenestraciones o fracturas de las paredes alveolares y se constató el estado de salud, consistencia y capacidad de cierre de los tejidos blandos perialveolares. Se observó cuidadosamente el alveolo estudiando su forma, profundidad y diámetro para la selección correcta del implante a utilizar en cuanto a longitud y diámetro de este. Idealmente las paredes deben estar intactas, pero nunca debe faltar más de una pared alveolar cuando la intención es colocar un implante postextractivo.
Posteriormente se procedió al labrado del lecho implantario mediante el fresado secuencial para el implante elegido, teniendo en cuenta que el implante debe tomar anclaje 3 a 5 mm en el hueso transapical. Se inició la perforación con fresa piloto de 1,80 mm de tallo largo, profundizando a 3 mm por debajo del ápice del alvéolo. Se buscó la adecuada posición del implante tanto en sentido corono-apical como vestíbulo-lingual. Se sumergió el cuello del implante de 1 a 2 mm por encima del límite amelocementario de las piezas vecinas en sentido vertical y 1 mm por dentro de la línea que une ambos dientes vecinos a nivel del cuello en sentido vestíbulo palatino. Se tuvo especial cuidado en la conservación del hueso a nivel de los dientes vecinos para dar apoyo a la papila dental. Se colocó un implante monocuerpo Leader de 3,2 mm de diámetro y 13 mm de longitud.
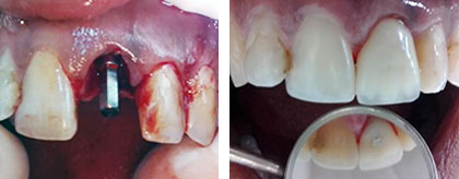
Se realizó radiografía inmediatamente después de concluida la fase quirúrgica y se procedió a la rehabilitación inmediata del caso. Por último nos cercioramos, dadas las condiciones del lecho implantario, de que la restauración provisional quedara completamente sin carga funcional, solo manteniendo el contorno y el perfil de emergencia ideal de los tejidos blandos (Fig. 2).

Fig 2 . Implante transalveolar y rehabilitación provisional inmediata.
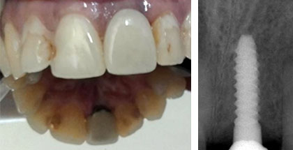
Se chequeó clínica y radiológicamente a la paciente a los 15 días, al mes y a los 3 meses de la intervención; y al cumplir los seis meses de la implantación se procedió a la rehabilitación definitiva del caso con corona metalcerámica consiguiendo una rehabilitación estética, funcional y biomecánicamente estable, lo que coincidió con las expectativas del paciente (Fig. 3).

Fig 3 . Rehabilitación definitiva metalcerámica y control radiográfico de la osteointegración.
DISCUSIÓN
Debido al hecho de que la boca está localizada en uno de los puntos focales de la cara, la sonrisa es uno de los principales aspectos involucrados en el concepto de una apariencia armónica. En casos en que la integridad biológica del diente está comprometida, cualquier alteración en la apariencia estética puede provocar implicaciones psicológicas que pueden ir desde una simple forma de esconder el defecto hasta la más grande introversión, sobre todo si el afectado es joven y del sexo femenino. Sin lugar a duda, la sustitución de dientes en el sector anterior es un reto para el profesional en cuanto al resultado final del paciente.
Coincidimos con los autores que plantean que el mantenimiento de la dentición natural, bien sea mediante tratamiento endodóntico, periodontal, prostodóncico y conservador, debe ser siempre el primer objetivo terapéutico, y solo cuando estos no sean posibles o tengan un mal pronóstico a corto plazo se deberá optar por el tratamiento implantológico.17
En nuestro caso se pusieron de manifiesto las ventajas de la técnica que plantea la literatura cuando la comparamos con la inserción diferida del implante una vez conformados los tejidos. La eliminación del protocolo mecanizado de fresas quirúrgicas en la conformación del lecho alveolar disminuyó las probabilidades de calentamiento del área de perforación durante la preparación, se redujo la reabsorción ósea postextracción, se minimizó el colapso de los tejidos blandos que rodean el hueso y se logró un acortamiento en el tiempo de rehabilitación al combinarse la cicatrización postextracción y la regeneración ósea alrededor del implante.18 El grado de satisfacción de la paciente una vez concluida la primera fase de implantación y rehabilitación provisoria inmediata fue evidente, pues acortamos considerablemente el tiempo de tratamiento brindando un mayor confort físico, mental y social.
Entre las desventajas de esta técnica que señalan algunos autores 7,14 se encuentra la frecuente utilización de sustitutos óseos y la aplicación de técnicas de regeneración hística, para compensar los espacios existentes entre el lecho alveolo-implantológico y el propio implante, lo que evita así la migración de células epiteliales a esta zona y, por tanto, interfiere en el proceso de osteointegración.
El doctor Eugenio Velasco y su equipo19 demostraron en su investigación que el betafosfato tricálcico incrementa significativamente la regeneración ósea alrededor de los implantes insertados inmediatamente después de la extracción dental. En nuestro caso como la discrepancia existente entre el alveolo y el implante no era mayor a 2 mm y no se había perdido ninguna tabla alveolar, se decidió no colocar ningún elemento osteoformador y/o membrana.
En cuanto a la posición del implante en el alveolo seguimos la pauta que el doctor González Beriau y otros aconsejan sobre la colocación del implante con el cuello sumergido 2 mm por debajo de la cresta alveolar, pues esto compensa cualquier pérdida ósea que pueda ocurrir en las paredes del alveolo.3
La preferencia en este caso por un implante monofásico está dada, como plantean en sus trabajos Mostafa Eldibanya y otros, en el diseño de estos, que elimina la debilidad estructural incorporada en un sistema de implantes de dos piezas y evita la manipulación de los tejidos blandos alrededor del implante tras la cicatrización inicial. Además, este sistema está diseñado para reducir la absorción ósea marginal, pues no hay ningún microespacio submucosal entre implante y encía.18
La restauración provisional quedó completamente sin carga funcional. Como bien plantean Arencibia García y otos en sus trabajos, es necesario desde que se cargan los implantes, dar una adecuada relación oclusal, para que las cargas oclusales se trasmitan a la interfase hueso-implante en un tejido óseo en proceso de cicatrización. El punto de contacto debe quedar idealmente en el eje axial del implante, para así poder evitar cargas oblicuas u horizontales que incrementan las fuerzas de tracción y cizallamiento a las cuales el hueso es poco resistente.17
Se ha demostrado en estudios histológicos la mejor condición de la interfase ósea de los implantes sometidos a carga funcional, pero no debemos olvidar que el implante no posee los elementos propioceptivos del periodonto que protegen al diente natural ante una sobrecarga; de ahí la importancia de establecer una adecuada oclusión en todos los tratamientos restauradores fijos implantosoportados.
Los implantes postextractivos demuestran ser una excelente alternativa en casos de reabsorción dentaria interna en que es inminente la extracción dental.
Conflicto de intereses
No se declara conflicto de intereses.
REFERENCIAS BIBLIOGRÁFICAS
1. Lima TF, Neto JV, de Jesus Soares A. Diagnosis and management of root resorption in traumatized teeth: Report of two cases. Eur J Gen Dent. 2017;6:127-30.
2. Peiris Barbieri SV, Pérez Alfayate R, González-Baquero Alonso A, Díaz Flores V, Valencia de Pablo O. Actualización sobre reabsorción dentinaria interna. Cient Dent. 2012;9(3):185-92.
3. González Beriau Y, Castillo Betancourt E, Bienvenido Mesa R. Comportamiento del proceso de osteointegración en implantes transalveolares inmediatos. MediSur. 2015;14(1). Acceso: 09/05/2018. Disponible en: http://www.redalyc.org/articulo.oa?id=180044014003
4. Mainetti T. Proceso de curación en implantes post-extractivos inmediatos o en sitios curados con o sin carga. Estudio en perros. [Tesis Doctoral]. La Habana 2015. Acceso: 09/05/2018. Disponible en: http://tesis.sld.cu/index.php?P=FullRecord&ID=185
5. Wanderley C, De Assis F, Muñoz A. Sobredentadura inmediata y con carga tardía: revisión de la literatura. Rev Cubana Estomatol. 2016 Ene-Mar;44(1).
6. Pato J, Jiménez A, Monsalve L, Segura J, Velasco E. Regeneración ósea guiada con implante unitario con nanosuperficie y betafosfato tricálcico. Avances en Periodoncia e Implantología Oral. 2015 Dic;22(3).
7. Labanca M, Amosso E, Rodella LF. The post-extraction immediate implant. A new approach for filling residual bone defects. Case report. Implants. 2017;18(1). Acceso: 09/05/2018. Disponible en: https://www.osstell.com/wp-ontent/uploads/2017/02/IM0117_00-00_Labanca.pdf
8. Acosta-Pantoja A, Salso-Morell R, de-la-Guardia-Casate A, Moreno-Chala Y. Tratamiento de fractura radicular mediante implante post extracción. MULTIMED Granma [revista en Internet]. 2012;16(4). Acceso: 09/05/2018. Disponible en: http://www.revmultimed.sld.cu/index.php/mtm/article/view/600
9. Cacciacane T. Implantes post extracción situación actual. En: Rehabilitación Implanto-Asistida. Bases y Fundamentos. Madrid: Editorial RIPANO; Febrero 2008.
10. Fajardo Puig J. Implante transalveolar en sustitución de una corona espiga de pronóstico dudoso. Presentación de un caso. Rev Cubana Estomatol. 2016 Ene;53(1):71-5. Acceso: 09/05/2018. Disponible en: http://www.revestomatologia.sld.cu/index.php/est/article/view/962/254
11. Pérez Pérez O. Factores de riesgo para el fracaso de implantes dentales osteointegrados en la fase quirúrgica. [Tesis Doctoral]. La Habana: Facultad de Estomatología "Raúl González Sánchez"; 2012. Acceso: 09/05/2018. Disponible en: http://tesis.sld.cu/index.php?P=FullRecord&ID=362
12. Bishara M, Kurtzman GM. Surgical and prosthetic considerations with immediate implant placement. Compendium. 2017 Jul/Aug;38(7).
13. Casentini P, Gatti C. Los implantes postextractivos inmediatos. En: Manual Ilustrado de Implantología Oral. Diagnóstico, Cirugía y Prótesis. Madrid: Editorial AMOLCA; 2009. [En línea]. Acceso: 12/01/2018. Disponible en: http://media.axon.es/pdf/75855_3.pdf
14. Rodríguez L, Velasco V, Castellanos L, Martín L, López FJ, Segura J. Patología implanto-endodóncica: concepto, tipos, diagnóstico, tratamiento y prevención. Avances en Periodoncia e Implantología Oral. 2013 Ago;25(2).
15. Ripollés de Ramón J, Gómez Font R, Bascones-Ilundain C, Bascones-Ilundain J, Bascones-Martínez A. Estudio clínico de los implantes dentales Naturactis en postextracción dental. Avances en Periodoncia e Implantología Oral. 2013 Dic;25(3).
16. Almagro Z, Sáez R, Lemus LM, Sánchez C. Incorrecta planificación en casos de implantes bucales oseointegrados. Rev Cubana Estomatol [En línea]. 2009 Ene-Mar;46(1). Acceso: 05/12/2015. Disponible en: http://scielo.sld.cu/scielo.php?script=sci_arttext&pid=S0034-75072009000100008&lng=es
17. Arencibia García E, Sixto Iglesias MS, Ordaz Hernández E, Rodríguez Perera EZ, Cardentey García J. La rehabilitación protésica unitaria sobre implantes en el paciente parcialmente desdentado. Rev Ciencias Médicas. 2015 Mayo-Junio;19(3):403-12.
18. Eldibany RM, García-Rodriguezb J. Carga inmediata de implantes monofásicos postextracción utilizando los expansores roscados atraumáticos: estudio retrospectivo 2001-2011. Revista Española de Cirugía Oral y Maxilofacial. 2015 Oct-Dic;37(4):207-14.
19. Velasco E, Pato J, Segura J, Pérez O, Medel R. La utilización del beta-fosfato tricálcico como biomaterial en implantología oral. Avances en Periodoncia e Implantología Oral. 2007 Dic;19(3).
Notas de autor
leinad.hdez@infomed.sld.cu
Información adicional
Citar como: Hernández L, Ramos M, Carrazana S. Implante transalveolar inmediato ante reabsorción dentinaria interna. Rev Cubana Estomatol. 2019;56(1):78- 85.