Artículo original
Recepción: 09 Octubre 2014
Aprobación: 15 Julio 2015
Resumen: Introducción: en las prácticas médicas, ortopédicas y odontológicas se ha reconocido la importancia de diferenciar la edad cronológica de la edad esquelética o maduración ósea. La estimación del desarrollo óseo a partir de las vértebras cervicales es un método que se ha comprobado como confiable. Objetivo: relacionar los estadios de maduración ósea desde las vértebras cervicales según lo describe Baccetti y la edad cronológica en niños y adolescentes entre 8 y 14 años que asistieron a una clínica odontológica. Métodos: la muestra seleccionada fue probabilística y estuvo conformada por un total de 130 niños de la ciudad de Cali, Colombia. Se tomó una radiografía lateral de cráneo y se evaluaron los estadios de maduración ósea vertebral cervical bajo los estándares del método descrito por Baccetti. Resultados: el coeficiente de correlación entre la edad cronológica y estadios de maduración cervical fue r= 0,69, lo que muestra una moderada relación entre estas dos variables para los niños estudiados. Los estadios de maduración y el sexo explicaron el 50,4 % de la variabilidad de la edad cronológica. Para todos los estadios de maduración se encontraron diferencias significativas (p< 0,001). Los niños varones presentaron mayores estadios iniciales de maduración, aunque no se encontró diferencias significativas en función del sexo (p> 0,05). Conclusiones: Se logra determinar un modelo para explicar la variación de la edad cronológica del niño en función del estadio de maduración ósea cervical y el sexo del niño basado en la relacion positiva moderada entre la edad cronologica y la maduración osea evidenciada hasta el estadio C3.
Palabras clave: maduración cervical, determinación de la edad por el esqueleto, vértebras cervicales, crecimiento.
Abstract: Introduction: the importance of distinguishing chronological from skeletal age or bone maturation has been recognized in medical, orthopedic and dental practice. Estimation of bone development on the basis of cervical vertebrae has proved to be a reliable method. Objective: relate the stages of bone maturation based on cervical vertebral development as described by Baccetti to the chronological age of children and adolescents aged 8-14 years attending a dental clinic. Methods: probabilistic sampling was used to select 130 children from the city of Cali, Colombia. Lateral skull radiography was performed to evaluate the stages of cervical vertebral bone maturation using the method described by Baccetti. Results: the correlation coefficient between chronological age and cervical maturation stage was r= 0.69, showing a moderate relationship between the two variables for the children studied. Maturation stages and gender accounted for 50.4 % of the variability in chronological age. Significant differences were found for all maturation stages (p< 0.001). Boys had higher initial maturation stages, though significant differences were not found between the genders (p> 0.05). Conclusions: It is possible to determine a model to explain the change in chronological age depending on the stage of cervical bone maturation and sex of the child, based on moderate positive relationship between chronological age and bone maturation evidenced through C3 stadium.
Keywords: cervical vertebral maturation, age determination based on skeletal development, cervical vertebrae, growth.
INTRODUCCIÓN
En las prácticas médicas, ortopédicas y odontológicas se ha reconocido a través del tiempo la importancia de diferenciar la edad cronológica de la edad esquelética o maduración ósea.1 Debido a que el crecimiento no es uniforme entre los individuos, la edad cronológica no permite determinar los periodos en donde se acelera, se disminuye o se detiene el crecimiento.2 El crecimiento y desarrollo de los individuos ha sido evaluado a partir del grado de madurez sexual,3 la edad cronológica,4 el desarrollo dental,5 el peso,6 el desarrollo óseo estimado a partir de los huesos de la mano y muñeca,7 como a partir del desarrollo cervical.8
La estimación del desarrollo óseo a partir de las vértebras cervicales es un método que se ha comprobado como confiable.. Además, no se requiere de una exposición radiográfica adicional, ya que la radiografía cefálica lateral es necesaria para el diagnóstico ortodóntico y planteamiento del tratamiento.9 Dada la importancia de tener patrones de crecimiento para cada población o grupo poblacional, en este trabajo se pretende relacionar los estadios de maduración ósea desde las vértebras cervicales, según lo describe Baccetti y otros,10con la edad cronológica en niños y adolescentes entre 8 y 14 años que asistieron a una clínica odontológica.
MÉTODOS
La muestra seleccionada para este estudio fue probabilística, se obtuvo a través de un muestreo aleatorio estratificado por edades (entre 8 y 14 años). Estuvo conformada por un total de 130 niños que asistían a una clínica odontológica de la ciudad de Cali. Se obtuvo el consentimiento informado de los padres o de los familiares acompañantes de los menores, y el asentimiento por parte de los niños y niñas con capacidad de discernimiento y aceptación. Esta investigación fue aprobada por el Comité de Ética de la Institución Universitaria Colegios de Colombia UNICOC, y según Resolución 8430 del Ministerio de Salud de la República de Colombia, la investigación se consideró con riesgo mayor que el mínimo, debido a la posibilidad de afectar a los sujetos de investigación con radiación ionizante.
Los criterios de inclusión fueron: niños y adolescentes de 8 a 14 años con radiografía lateral de cráneo que presentaran hasta la cuarta vértebra cervical. Se excluyeron los pacientes que presentaran enfermedades sistémicas que comprometieran vértebras cervicales, deterioro o falla en la toma de la radiografía e historia clínica incompleta.
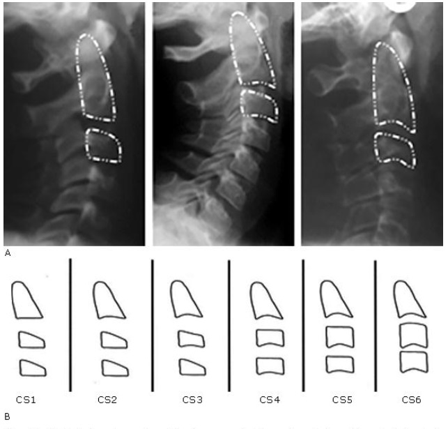
La radiografía lateral de cráneo se solicitó en el protocolo de diagnóstico de ortodoncia y ortopedia maxilar de las clínicas del posgrado de UNICOC, sede Cali. Estas radiografías fueron tomadas en un mismo centro radiológico. Se posicionó la cabeza en el plano de Frankfort paralelo al piso. Además, las radiografías debían involucrar las cuatro primeras vértebras cervicales (C1-C4) (Fig. 1).

A) Estadíos de maduración ósea cervical tomadas de la radiografía lateral de cráneo. B) Esquema representativo donde se identifican los estadios de maduración ósea vertebral cervical bajo los estándares del método descrito por Baccetti y otros.16
EVALUACIÓN DE LA SATISFACCIÓN GENERAL
Los resultados del análisis de los puntajes totales, esto es, la sumatoria de los subcomponentes HO, CF y AE se observan en la tabla.
Se observó una diferencia mayor a 10 puntos en el grado de satisfacción general reportado por los pacientes entre la primera y segunda evaluación.
Evaluación de los componentes de HO, CF y AE
Los puntajes obtenidos para cada dimensión de HO se presentan en la figura 1.
En el caso del componente de HO, se obtuvo un puntaje medio en la primera semana de uso de 8,06 ± 1,65 puntos el que aumentó en la segunda medición a 10,82 ± 1,52 puntos.
Los puntajes relacionados con el CF (Fig. 2) también presentaron una mejora entre las dos mediciones: se obtuvo un resultado de 10,51 ± 2,2 puntos a la semana de evaluación, y de 15,42 ± 1,97 puntos en la segunda aplicación.

Diagrama de dispersión entre la edad cronológica y los estadios de maduración cervical de los niños estudiados.
Finalmente, en relación con la AE (Fig. 3) se verificó el aumento de los puntajes entre la primera y segunda aplicación del cuestionario de 8,64 ± 1,83 puntos a 11,37 ± 1,64 puntos. Se observó además, para este acápite, puntuaciones fuera del rango esperado en cuanto a los puntajes de la primera medición.
EVALUACIÓN DE LA MADURACIÓN ÓSEA
La variable estadio de maduración ósea vertebral cervical fue evaluada bajo los estándares del método descrito por Baccetti y otros.10 Este análisis visual se fundamentó en dos características principales:
1. Presencia de concavidad a nivel del borde inferior de los cuerpos de las vértebras cervicales C2, C3 y C4.
2. Forma de los cuerpos de las vértebras cervicales de C3 y C4 (trapezoidal, rectangular horizontal, cuadrada y rectangular vertical).
Estadios de maduración ósea vertebral cervical según Baccetti10 (Fig. 1):
CS1: Todos los bordes inferiores de las vértebras son planos (7 % puede presentar concavidad), C3 y C4 presentan forma trapezoidal. El pico de crecimiento mandibular ocurre 2 años después de este estadio.
CS2: El borde inferior de C2 presenta una concavidad (80 % de los sujetos). C3 y C4 continúan siendo de forma trapezoidal. El pico de crecimiento mandibular inicia 1 año después de este estadio.
CS3: El borde inferior de C2 y C3 presenta concavidad. Los cuerpos de C3 y C4 pueden ser de forma trapezoidal o de forma rectangular horizontal. El pico de crecimiento mandibular inicia en esta etapa.
CS4: Todos los bordes de las vértebras muestran concavidades. C3 y C4 muestran forma rectangular horizontal. El pico de crecimiento mandibular finaliza en esta etapa o ha finalizado un año antes de este estadio.
CS5: Todos los bordes inferiores de las vértebras presentan concavidad. Al menos uno de los cuerpos de C3 o C4 presenta forma cuadrada. Si no es cuadrado el cuerpo de la otra vértebra cervical continúa siendo rectangular horizontal. El pico de crecimiento mandibular ha finalizado 1 año antes de este estadio.
CS6: Todos los cuerpos vertebrales muestran concavidad evidente. Al menos uno de los cuerpos de C3 y C4 muestra forma rectangular vertical. El pico de crecimiento mandibular ha finalizado 2 años antes de este estadio.
Además de los estadios de maduración de las vértebras cervicales fueron operacionalizadas las variables edad cronológica y sexo de los niños y adolescentes.
Todas las radiografías fueron evaluadas mediante el uso de un negatoscopio convencional. Para la calibración entre los evaluadores (estudiantes de ortodoncia), se realizó una muestra piloto de 10 radiografías de niños en edades entre 8 y 14 años, mediante la cual cada evaluador determinó en cada radiografía (sin consentimiento de los otros) el estadio de maduración cervical según lo describe Baccetti.10 Estos resultados fueron comparados con los del estándar de Oro, mediante el coeficiente de correlación intraclase, se obtenía como resultado un indicador de concordancia superior a 0,80 para los evaluadores, lo cual indicaba que el juicio de los estadios de maduración cervical dado por los evaluadores tienía un nivel de coincidencia alto.
ANÁLISIS ESTADÍSTICO
Después de obtener una base de datos en un archivo de Excel, se trasladó al paquete estadístico R a lenguaje and environment for statistical computing (Development Core Team, 2013) para el posterior análisis de los datos. En el proceso de estandarización y calibración se utilizó el coeficiente de correlación intraclase. Se utilizaron estadísticas descriptivas como medidas de tendencia central y dispersión para resumir las variables cuantitativas, y tablas de frecuencia y de contingencia para variables cualitativas.
También se realizaron diagramas de barras y diagramas de dispersión para describir gráficamente las variables analizadas. La prueba chi cuadrado se utilizó para identificar una posible relación entre el género y el estadio de maduración ósea cervical. El coeficiente de correlación de Pearson fue utilizado con el objetivo de relacionar el estadio de maduración cervical y la edad cronológica de los niños. Se utilizó además, la prueba t de Student y el análisis de varianza ANOVA. Se empleó un análisis de regresión lineal múltiple con el objetivo de predecir la edad cronológica de los niños en función de los estadios de maduración ósea cervical y el sexo. El nivel de significación que se utilizó en todas las pruebas fue de 0,05.
RESULTADOS
De los niños seleccionados 44,6 % eran varones, los restantes eran hembras (55,4 %). El rango de edad estuvo comprendido entre 8 y 14 años, con un promedio de 11,3 años y una desviación típica de 2,1 años. La edad promedio de los varones fue de 11,3 años con una desviación típica de 2,2 años y la edad promedio de las hembras también fue de 11,3 años con una desviación también similar (2,1 años). No se encontró diferencia significativa entre la edad de los varones y las hembras a través de la prueba t de Student (p= 0,996) (tabla 1).

Media de edad y estadio de maduración ósea cervical en función del sexo de los participantes
En cuanto al estado de maduración ósea cervical se observó que 27,7 % de los niños y adolescentes estudiados estaban en el estadio 2, seguido por 25,4 % que están en el estadio 3; el 21,5 % estaba en el estadio 1, solo 5,4 % de los niños y el 2,3 % estaban en los estadios 5 y 6.
Al analizar los estadios de maduración cervical en función del sexo se identificó que 27,6 % de los varones y 16,7 % de las hembras presentaban un estadio de maduración 1. También se evidenció que 10,3 % de los varones y 23,6 % de las hembras están en el estadio 4. Debe destacarse que ningún varón, y 4,2 % de las hembras presentaron el estadio 6 (tabla 1).
Al realizar la prueba chi cuadrado para verificar la existencia o no de una relación entre el estadio de maduración cervical y el sexo, no se encontró evidencias suficientes para determinar una relación entre estas dos variables (p= 0,120).
En los estadios de maduración cervical, se apreció un aumento en los valores según aumentaba la edad cronológica, en ambos sexos. Por lo cual, para el estadio 1 el promedio de la edad cronológica fue de 9,3; para el estadio 2 el promedio de la edad aumentó a 10,1 y para el estadio 3 el incremento llegó a 12,4. Hasta aquí el aumento promedio de la edad para ambos sexos fue de más o menos 1 año. A partir del estadio 4 el aumento en la edad de los evaluados no fue tan notorio como entre los estadios 1 y 3 de la maduración cervical.
Al realizar contraste de promedios mediante la prueba de ANOVA se evidenció una diferencia significativa en la edad cronológica entre los diferentes estadios de maduración cervical (p< 0,001) (tabla 2). A partir de la prueba post a hoc de Tukey, se identificó que las diferencias se presentan solo en los primeros 3 estadios (p< 0,001) y del 4 estadio en adelante no existieron diferencias significativas (p> 0,05).

Edad cronológica en función de los estadios de maduración ósea cervical en los niños y niñas estudiados
Al revisar la relación entre la edad cronológica y los estadios de maduración cervical de los niños y adolescentes estudiados, a través de un diagrama de dispersión como el que se muestra en la figura 2, se encuentra que en los estados de maduración hay una tendencia creciente a medida que aumenta la edad cronológica de los niños y adolescentes. El coeficiente de correlación de Pearson entre estas dos variables fue de r= 0,69 (p< 0,001). Este valor muestra que la correlación entre ellas resultó estadísticamente significativa de cero y que fue una correlación moderadamente positiva. El coeficiente de correlación entre las dos variables para los niños fue de r= 0,661 (p< 0,001) y para las niñas de r= 0,756 (p< 0,001).
El poder de predicción y respectivos coeficientes del estado de maduración cervical en la estimación de la edad cronológica de los niños fueron analizados mediante el análisis de regresión lineal múltiple. Se encontró que las variables dependientes (estadios de maduración y el sexo) explican el 50,4 % de la variabilidad de la edad cronológica en niños y adolescentes. Todos los coeficientes del modelo de regresión fueron significativos.
Un análisis minucioso de los supuestos del modelo de regresión estimado, a través de la prueba ShapiroWilks, se determinó que los residuos del modelo tenían un comportamiento similar al de una distribución normal (p> 0,05). A través de la prueba de Levene, se comprobó que los residuos del modelo cumplían con el supuesto de homogeneidad de varianzas (p> 0,05) y finalmente a través de la prueba Durbin Watson, se identificó que los residuos del modelo cumplían con el supuesto de independencia (p> 0,05).
DISCUSIÓN
Para los niños evaluados se encontró que los estadios de maduración cervical aumentaban según aumentaba la edad; sin embargo, a partir de la prueba pos hoc de Tukey se evidencia que las diferencias se presentaban solo en los primeros 3 estadios y que del 4 estadio en adelante no existen diferencias significativas, por lo tanto el crecimiento en la edad cronológica se produjo hasta el estadio 3.
Por medio del coeficiente de correlación de Pearson se determinó que la edad cronológica y la maduración ósea muestran relación moderadamente positiva. El análisis de regresión, encontró que los estadios de maduración y el sexo, solo pueden explicar cerca de 50 % de la variación de la edad de los niños, lo que permite sugerir que por cada aumento en los estadios de maduración se incrementa la edad cronológica aproximadamente en 1,2 años, y que permane constante la variable sexo. Además se evidenció que ser varón aumenta la edad cronológica en tan solo 0,73 años, mientras estan constante los estadios de maduración cervical.
En otros estudios se han reportado coeficientes también bajos entre la edad cronológica y la maduración ósea cervical. Alkhal y otros, en 2008 reportaron un coeficiente de correlación de r= 0,76 para varones y r= 0,79 para hembras, al comparar la edad cronológica y la maduración cervical.11 Otro trabajo reporta una muy baja correlación entre la edad y la maduración ósea cervical.12Todas estas investigaciones confirman que la edad cronológica no permite determinar con exactitud la maduración ósea, ni mucho menos estimar el pico máximo de maduración puberal.. Saudi .Baidas , condujeron en 2011 un estudio en el que se incluyó población infantil, en el se reportó un coeficiente de correlación de r= 0,86 para estas dos variables y concluyó que la maduración ósea cervical tenía mayor probabilidad de determinar la edad cronológica en la que se debe comenzar un tratamiento ortodóntico.13
Al analizar los estadios de maduración cervical en función del sexo se determinó que los varones presentaban mayor porcentaje de estadios iniciales de maduración que las hembras; sin embargo, no se hallaron evidencias suficientes para determinar una relación entre estas dos variables. En el análisis del método de Hassel y Farman se identificó que durante la pubertad el cambio de forma de las vértebras cervicales no tenía ninguna diferencia entre varones y hembras.9 Otro estudio reportó que los indicadores de las vértebras cervicales eran los mismos para varones y hembras, pero que las últimas desarrollaban los cambios más tempranamente.14Rivas y otros, en 2009 informaron que en el estadio 3 la edad individual de las pacientes oscila entre 12 a 13 años, mientras que en los varones corresponde a los 13 años de edad.15
CONCLUSIONES
Se logró determinar que la edad cronológica y la maduración ósea muestran relación moderadamente positiva. Aunque las hembras presentaron un estadio de maduración más avanzado que los varones, no se encontraron diferencias estadísticas que permitieran validar este tipo de relación. Hasta el estadio de maduración cervical 3 se evidencia un aumento en la edad cronológica de los niños y adolescentes. También se pudo determinar que a partir del estadio 4 este aumento en la edad no resulta evidente. A la edad de 13 años los niños y adolescentes presentaron estadios de maduración ósea desde CVM3 hasta CVM6, lo que muestra que se puede encontrar niños de 13 años empezando el pico máximo puberal o en etapas avanzadas del desarrollo óseo.
Referencias
1. Goyal S, Goyal S. Assessment of skeletal maturation and pubertal growth spurt using cervical vertebrae maturation indicators. Rwanda Medical Journal. 2013;70(3):28-33.
2. Canavese F, Charles YP, Dimeglio A, Schuller S, Rousset M, Samba A, et al. A comparison of the simplified olecranon and digital methods of assessment of skeletal maturity during the pubertal growth spurt. Bone . Joint Journal. 2014;96-B(11):1556-60.
3. Johnson W, Stovitz SD, Choh AC, Czerwinski SA, Towne B, Demerath EW. Patterns of linear growth and skeletal maturation from birth to 18 years of age in overweight young adults. International journal of obesity. 2012;36(4):535-41.
4. Lloyd RS, Oliver JL, Hughes MG, Williams CA. The influence of chronological age on periods of accelerated adaptation of stretch-shortening cycle performance in pre and postpubescent boys. The Journal of Strength . Conditioning Research. 2011;25(7):1889-97.
5. Coquerelle M, Bookstein FL, Braga J, Halazonetis DJ, Weber GW, Mitteroecker P. Sexual dimorphism of the human mandible and its association with dental development. American journal of physical anthropology. 2011;145(2):192-202.
6. Xu Y, Zhu X, Xiao Z, Yu L, Zhao X. Influence of aggressive nutritional support on growth and development of very low birth weight infants. Clinical and Experimental Obstetrics . Gynecology. 2013;41(6):717-22.
7. Prasad C, Reddy VN, Sreedevi G, Ponnada SR, Priya KP, Naik BR. Objective Evaluation of Cervical Vertebral Bone Age'Its Reliability in Comparison with Hand-Wrist Bone Age: By TW3 Method. The Journal of Contemporary Dental Practice. 2013;14(5):806-13.
8. Varshosaz M, Ehsani S, Nouri M, Tavakoli MA. Bone age estimation by cervical vertebral dimensions in lateral cephalometry. Progress in Orthodontics. 2012;13(2):126-31.
9. Hassel B, Farman AG. Skeletal maturation evaluation using cervical vertebrae. American Journal of Orthodontics and Dentofacial Orthopedics. 1995;107(1):58-66.
10. Baccetti T, Franchi L, McNamara JA, editors. The cervical vertebral maturation (CVM) method for the assessment of optimal treatment timing in dentofacial orthopedics. Seminars in Orthodontics; 2005: Elsevier.
11. Alkhal HA, Wong RW, Rabie ABM. Correlation between chronological age, cervical vertebral maturation and Fishman's skeletal maturity indicators in southern Chinese. The Angle Orthodontist. 2008;78(4):591-6.
12. Ramos NAA, Lozano MB, OcampoII AM. Comparative analysis between dental, skeletal and chronological age. Revista Mexicana de Ortodoncia. 2013;1(1):33-7.
13. Baidas L. Correlation between cervical vertebrae morphology and chronological age in Saudi adolescents. King Saud University Journal of Dental Sciences. 2012;3(1):21-6.
14. Chatzigianni A, Halazonetis DJ. Geometric morphometric evaluation of cervical vertebrae shape and its relationship to skeletal maturation. American Journal of Orthodontics and Dentofacial Orthopedics. 2009;136(4):481. e1-. e9.
15. Rivas C, Avaria C, Guzmán C. Correlación entre la edad cronológica y la maduración ósea en vértebras cervicales en adolescentes chilenos para determinar peak de crecimiento puberal. Revista Dental de Chile. 2009;100(3):4-11.