Presentación de caso
Cierre de diastema con resinas compuestas híbridas
Diastema closure with hybrid composite resins
Cierre de diastema con resinas compuestas híbridas
Revista Cubana de Estomatología, vol. 53, núm. 1, pp. 56-62, 2016
Centro Nacional de Información de Ciencias Médicas
Recepción: 20 Junio 2015
Aprobación: 15 Agosto 2015
Resumen: El tratamiento para el cierre de diastemas fundamentalmente está enfocado a otorgar estética y salud periodontal. Los diastemas pueden ser resueltos con prótesis y ortodoncia, sin embargo, estas opciones generalmente requieren de preparaciones del tejido sano, incluyen procedimientos de laboratorio y aumentan el tiempo clínico. La utilización de resinas compuestas constituye una opción estética y funcional para estos casos en los que se requiere de mínima intervención sobre el tejido sano o de ninguna. El propósito de esta presentación es describir un caso de cierre de diastema central anterosuperior utilizando resinas compuestas híbridas. Una paciente femenina de 21 años de edad acude a consulta para tratarse un diastema central superior. Se le propuso realizarle un cierre con resina compuesta híbrida. Se aplicó consentimiento informado y se obtuvo aprobación. Se realizó resolución del diastema con técnica incremental con resina híbrida hasta lograr el punto de contacto cuidando la salud periodontal. Se planificó el tratamiento, se pulieron las superficies a incrementar, se aplicaron sistemas adhesivos y se aplicaron capas de resina hasta lograr el resultado deseado. Mejoró la estética y se logró la total satisfacción de la paciente. En este caso, los pasos de la técnica de restauración directa con incremento d4e resina compuesta híbrida fueron seguidos adecuadamente. Se logró el cierre del diastema y el restablecimiento del punto de contacto sin forzar la papila interdental.
Palabras clave: diastema, resinas compuestas, estética dental.
Abstract: Treatment for diastema closure is mainly aimed at providing periodontal health and an appropriate esthetic appearance. Diastemata may be treated with prosthesis and orthodontics, but these options generally require preparation of the healthy tissue, including laboratory procedures which increase clinical time. The use of composite resins is an esthetic, functional option for cases in which little or no intervention is required upon healthy tissue. The paper is aimed at describing a case of central anterior superior diastema closure using hybrid composite resins. A 21-year-old female patient presents at consultation requesting treatment for a central superior diastema. Closure with hybrid composite resin was suggested. After obtaining informed consent, resolution of the diastema was performed using an incremental technique with hybrid resin until the contact point was reached, taking care of periodontal health. Treatment was planned, the surfaces to be increased were polished, adhesive systems were applied and resin layers were placed until the desired result was achieved. Esthetic appearance was improved, with total patient satisfaction. In this case the steps of direct restoration technique with hybrid composite resin increase were adequately followed. Diastema closure and contact point restoration were achieved without forcing the interdental papilla.
Keywords: diastema, composite resins, dental esthetics.
INTRODUCCIÓN
La estética es la ciencia que trata la belleza y la armonía. Su significado es sumamente subjetivo y relativo, ya que este se encuentra condicionado por diversos factores de orden social, psicológico y cultural, además de estar ligado a la edad y a una época concreta, lo cual determina que varíe según el individuo.1-3
En estomatología, el término estética abarca los aspectos morfológicos y fisiológicos armónicos, mientras que la cosmética se relaciona con los procedimientos empleados, los materiales, el color y la interacción entre ellos.4,5
Frecuentemente se acude al clínico en búsqueda de restauraciones compatibles con los estándares de la estética dental, no solo en casos de lesiones unitarias simples, sino también cuando se requiere rehabilitar denticiones, que durante mucho tiempo hayan padecido trastornos funcionales y estéticos significativos.. Éstos se presentan como consecuencia de alineamiento irregular de los dientes (diastemas, apiñamientos, rotaciones, extrusiones o anomalías dentarias), colapso oclusal y periodontal, desgaste de la dentición con pérdida de la guía anterior y las combinaciones de tales situaciones.2-4,6
A medida que fueron evolucionando las tecnologías y los materiales dentales entonces siguieron evolucionando las alternativas de tratamiento.4,7,8 Es entonces que con el nacimiento de la cosmética dental aparecen las nuevas terapéuticas para corregir defectos estéticos dentales, tales como: las carillas, el empleo de resinas compuestas, la ortodoncia en combinación de las anteriores, entre otras.9
Un diastema es una característica normal de la dentición mixta y temporal, que tiende a cerrarse luego de la erupción de los caninos y segundos molares permanentes, como resultado de la erupción, migración y ajuste fisiológico de las piezas dentarias. Sin embargo, existen algunos factores que pueden predisponer a la presencia de un diastema luego de la maduración de la oclusión; el más común es el diastema interincisivo superior. Deben tenerse en cuenta elementos congénitos y hereditarios como aspectos de gran importancia en la persistencia de estos diastemas. Un diastema puede afectar acentuadamente el aspecto de la sonrisa de los pacientes.8 Los diastemas, y en particular el diastema medio interincisivo, son uno de los hallazgos más frecuentes en la práctica odontoestomatológica; pueden ocurrir por diversas causas: maloclusión, discrepancias en el tamaño dental o enfermedad periodontal.2
La incidencia de los diastemas varía enormemente con la edad y con la raza. Taylor describió, en 1939, que en los niños de hasta cinco años existía una incidencia de 97 %, lo cual disminuía a medida que los pacientes crecían. Lavelle, en un estudio realizado en el Reino Unido, determinó una mayor prevalencia de los diastemas maxilares en la línea media en individuos de raza negra (5,5 %) que en los de raza blanca (3,4 %), así como en las personas de ascendencia asiática (1,7 %).6,10
Aunque es evidente que la prevalencia de los diastemas de la línea media maxilar varía según la población y el grupo de edad, este fenómeno está asociado a un factor importante de maloclusión.2,8 En los niños en proceso de desarrollo, los diastemas de la línea media maxilar son normales. Sin embargo, en los adultos este efecto está asociado a la discrepancia en el tamaño de los dientes y a una excesiva superposición vertical de los incisivos.10,11 También puede originarse por la angulación mesiodistal de los incisivos, la inclinación labio lingual de los incisivos, los frenillos, discrepancia del tamaño de los dientes en relación a las arcadas de los maxilares, los procesos patológicos y en menor medida, la excesiva superposición vertical anterior. La rehabilitación de casos de diastemas mediante carillas de porcelana o cosmética en grupos anterosuperiores se considera una solución muy conservadora, siempre y cuando el tratamiento ortodóntico no sea el indicado o el paciente no lo acepte.8,10-12
El tratamiento para el cierre de diastemas fundamentalmente está enfocado a otorgar estética y salud periodontal. Puede ser: a) ortodóntico: por medio de fuerzas ortodónticas se puede promover la atrofia de un frenillo superior hipertrófico, o bien en pacientes con secuelas de enfermedad periodontal; b) quirúrgico: atendiendo a la presencia de enfermedad quística, tumoral, mesiodens o frenectomía; c) mixto: ortodóntico-quirúrgico.8
Los diastemas exigen un tratamiento muchas veces indispensable, complejo, largo y costoso.3,6,8 En ciertos casos los diastemas pueden ser tratados con restauraciones protésicas como coronas o carillas, sin embargo, esta opción generalmente requiere de preparaciones del tejido sano e incluye procedimientos de laboratorio, lo que encarece el costo y aumenta el tiempo clínico.13-15
Por otro lado, las restauraciones directas con resina compuestas son una opción estética y funcional para casos en los que se requiere de mínima intervención sobre el tejido sano, o de ninguna.3,6,8-13,15,16
El tratamiento restaurador: puede ser a través de carillas o restauraciones directas; que solo produce una mínima modificación del tejido dentario sano, o ninguna.9,11,12Dependiendo del número y tamaño de los diastemas, las restauraciones adhesivas pueden representar una excelente alternativa de tratamiento.14
En este contexto, el tratamiento restaurador se destaca por otorgar soluciones simples, rápidas, previsibles y de bajo costo. Por medio de procedimientos adhesivos es posible acondicionar el tejido gingival para la formación de la papila interdental, devolviendo el equilibrio estético entre los tejidos duros y blandos.8,11,13-16
Estas son técnicas novedosas, poco costosas, están disponibles los recursos en centros asistenciales y ofertan la posibilidad de ser conservadores. Por todo esto nos propusimos como objetivo describir un caso de cierre de diastema central anterosuperior utilizando resinas compuestas híbridas.
PRESENTACIÓN DEL CASO
Una paciente femenina de 21 años de edad acude a consulta para realizarse una evaluación estética de su sonrisa, particularmente por un diastema central maxilar. Refirió haber asistido a otras consultas de Ortodoncia donde le habían recomendado un tratamiento, cuyo resultado se obtendría luego de 2 a 3 años. No se refirieron antecedentes patológicos personales ni tratamiento ortodóntico anterior. La paciente refirió antecedentes familiares de diastemas con características similares.
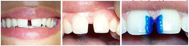
Al examen clínico se comprobó la existencia de un diastema central superior (Fig. 1a). No se detectaron alteraciones faciales o deformaciones; intrabucalmente existía neutro oclusión de molares y buena relación de caninos; no existían frenillos patológicos, ni en la radiografía oclusal superior se observó falta de fusión de la sutura maxilar. Luego de esto se le propone realizar un cierre del diastema con resinas compuestas híbridas.

A) Comprobación de la armonía de la sonrisa al examen clínico. B) Comprobación proporcional y morfológica de los incisivos centrales. C) Grabado ácido de las superficies a incrementar
Se le explica a la paciente paso a paso la terapéutica a emplear, así como todas las ventajas y desventajas de esta, los materiales restauradores, complicaciones y resultados a obtener. Se le explicó otras posibilidades de tratamiento, a lo cual accedió luego de firmar el consentimiento informado que contenía todo lo anteriormente expuesto.
Se utilizaron las proporciones para definir la anchura adecuada que pudieran alcanzar los dientes a restaurar y que de esta manera no afectara estéticamente a la paciente. Con un pie de rey se midió la distancia mesial entre los dos incisivos centrales y se añadió la mitad de esta medida a la distancia mesiodistal de ambos incisivos centrales. En este momento se pudo comprobar que los incisivos centrales admitían una anchura superior a la que tenían previamente sin provocar una afectación estética (Fig. 1b).
Posteriormente se realizaron las pruebas de color y el análisis minucioso de las estructuras cercanas al área de restauración e incremento. Se definieron los colores y matices que se utilizarían en el procedimiento.
Se hizo una profilaxis total de toda la superficie con cepillos y pasta a base de piedra pómez. De esta manera se eliminarían residuos y grasas de las superficies dentarias, las cuales interfieren en la adecuada adhesión y acción de los componentes restauradores. Se realizó aislamiento relativo del campo operatorio con rollos de algodón estériles.
Más tarde se procedió al grabado ácido —preferentemente se recomienda ácido fosfórico al 37 %—, por un tiempo de 45-60 segundos (Fig. 1c). Se enjuagó con aire y agua el mismo tiempo que estuvo expuesta la superficie dentaria al ácido grabador.
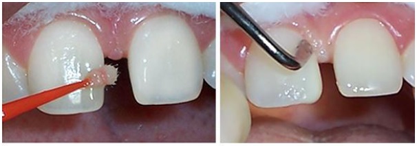
Se emplearon aplicadores de uso único para realizar la aplicación del sistema adhesivo monocomponente y se distribuyó por toda la superficie a incrementar (Fig. 2a). Se procedió a una segunda aplicación del adhesivo, luego de fotopolimerizado y aplicada una primera vez. La fotopolimerización se realizó según las instrucciones del fabricante, 15-25 segundos.

A) Aplicación y distribución del adhesivo por la superficie a incrementar. B) Empleo del sistema incremental para el cierre del diastema.
De palatino a vestibular se fueron colocando finas capas de resina compuesta en ambos dientes, al unísono y se cerró poco a poco el diastema hasta obtener un punto de contacto adecuado (Fig. 2b). Entre cada capa de resina compuesta colocada, se realizó polimerización según las orientaciones del fabricante de la resina empleada (Prime-Dent Hybrid.).
Finalmente se realizó terminación y pulido de los incrementos con gomas de pulir, cepillos rotatorios y pasta abrasiva. Se obtuvo un resultado satisfactorio en la devolución de la armonía de la sonrisa de la paciente (Fig. 3c).

A) Fotopolimerizado de cada incremento con lámpara de luz LED. B) Restablecimiento del punto de contacto y cierre del diastema. C) Resultado final luego del pulido y comprobación de la armonía de la sonrisa
DISCUSIÓN
Dependiendo de los factores, y del número y tamaño de los diastemas, se determina el tipo de tratamiento;15 ya sea con restauraciones con resinas compuestas, restauraciones con carillas estéticas, tratamiento periodontal o tratamiento ortodóntico. Es de gran importancia realizar un buen diagnóstico para determinar las causas de la presencia de los diastemas. Varios autores8-13 coinciden en que este primer paso al realizar cierres de diastema con resinas compuestas es crucial para obtener resultados satisfactorios.
En el caso expuesto, es muy probable que el diastema se haya formado después de completado el crecimiento de los maxilares, podemos notar que la cara mesial de los incisivos centrales es ligeramente cóncava e incluso con una desviación de la angulación de esta pared que impresiona una convergencia entre las paredes mesial y distal.12 Esto constituyó uno de los hallazgos que favoreció lo satisfactorio de este caso. Jon12 plantea que la morfología dentaria de los dientes involucrados en el diastema puede ser una herramienta satisfactoria o insatisfactoria para el resultado de este tipo de terapias, pero en nuestro caso los resultados fueron favorables en este sentido.
El cierre de diastemas con resinas compuestas es una técnica que demanda mucha atención del profesional para evitar la formación de dientes desproporcionados ya que involucra aumento de volumen mesiodistal de los dientes. Muchas veces podrían realizarse tratamientos de este tipo en el que si no se toman en cuenta las proporciones de la sonrisa, lejos de favorecer al problema estético, más bien lo empeoraría: provocando una impresión de macrodoncia en los pacientes tratados de esta manera. Así lo refieren numerosos autores.3,6,8-13,15,16En nuestro caso en particular esta proporción se tuvo en cuenta; la paciente admitía (por las dimensiones mesiodistales) un incremento en sentido mesial de ambos incisivos.
El pulido total de toda la superficie con cepillos y pasta a base de piedra pómez, se realiza para eliminar residuos y grasas de las superficies dentarias, las cuales interfieren en la adecuada adhesión y acción de los componentes restauradores.6 Dell’acqua,17Gomes18 y otros plantean que esto aumenta en 35 % la posibilidad de supervivencia de las resinas compuestas.
El espacio existente en el diastema central ha de tenerse en consideración cuando se decida realizar este procedimiento directo. Dell’acqua,17 Gomes18 y sus colaboradores han recomendado otros tratamientos alternativos cuando esta distancia es excesivamente amplia. Del mismo modo Alam15 recomienda en casos de distancia interincisiva aumentada, el tratamiento ortodóntico. Cuando se calcula este espacio entre ambos incisivos centrales, ha de sumársele la mitad de esta medida al ancho de cada incisivo central en particular. Si la medida es mayor que 11 mm entonces se tendrían como resultado dientes con aspecto macrodónticos y por consiguiente, llevaría a una afectación estética añadida para el paciente.8,10,15,17,18En el caso presentado esta medida resultante favorecía el incremento de cada incisivo en particular, lo que se tradujo en un resultado satisfactorio.
Para tratar diastemas existen muchas consideraciones en la planificación de restauraciones con resinas compuestas, la técnica descrita en este reporte de caso es simple, ya que restablece la función y la estética con un tratamiento conservador, las restauraciones mesiocervicales reducen la apariencia de espacios abiertos al alterar la forma de la corona y la resina puede ser colocada en el surco gingival para guiar la forma de la papila interdental. Sin embargo, hay que tener en cuenta que al utilizar materiales adhesivos se debe mantener un área de trabajo seca (en esmalte), limpia y de forma imprescindible se deben seguir los protocolos de adhesión para cada tipo de material y así asegurar al éxito de nuestras restauraciones.5,6,9-14Dell’acqua17 y otros refieren que para un mejor resultado en técnicas como esta, se requiere de habilidad y experiencia del operador.
Según Gomes18y otros a partir de la aparición en el mercado de las resinas compuestas híbridas, la gama de tratamientos disponibles a la hora de realizar tratamientos cosméticos dentales aumentó. Estas resinas ofrecen buenos resultados por sus características de mimetizarse fácilmente con la estructura dentaria y en su primera aparición solo tenían la desventaja de un proceso de pulido superior a lo habitual. En nuestro caso en particular no se requirió de un pulido excesivo ya que la terminación misma mostraba que era innecesario realizarlo. Otros autores8,10,16-18 han empleado, también satisfactoriamente, resinas híbridas.
Se debe considerar la posibilidad de devolver el punto de contacto del diente y la salud periodontal, ya que impide el empaquetamiento de los alimentos y favorece a una buena higienización. El espacio interdental está formado en la dimensión vertical por el punto de contacto y la cresta alveolar, y en la dimensión horizontal por las superficies mesial y distal del diente adyacente. Con el recontorno de las superficies dentales interproximales podemos conseguir la formación de la papila. Se debe considerar en el momento de restablecer el punto de contacto, conseguir una distancia de 5 mm entre la cresta alveolar y el punto de contacto para conseguir una papila interdental adecuada y sana.8,12,15,16Kim,10Vargas13 y sus colaboradores han descrito, al igual que en este caso, lo esencial del mantenimiento fisiológico de la papilla interdentaria sin afectarla por incrementos excesivos a ese nivel.
Los procedimientos de terminación y pulido contribuyen a la eliminación de soluciones de continuidad en la interface resina compuesta-esmalte. Varios autores como Rao,8Kim,10Dell’acqua,17Gomes18 y sus colaboradores, exhortan a su realización por todos los medios, ya que hay situaciones en las que la terminación misma aparenta que no es necesario realizarlo, pero luego de la polimerización quedan microporosidades que han de ser suprimidas con técnicas de pulimento. En este sentido coincide con nuestro estudio, donde no se realizó de manera excesiva pero si se llevó a cabo para obtener mejores resultados.
Una de las ventajas de la aplicación de esta técnica es la del corto tiempo para su realización. Otras terapias para el tratamiento de esta afección estética requerirían de un periodo más largo como el caso de la ortodoncia. El empleo de carillas y/o coronas conllevaría un trabajo de laboratorio y preparaciones a realizar en los dientes involucrados, que tomaría un tiempo prolongado para alcanzar el resultado final y el compromiso de tejido dentario sano.2,4,5-8,16-18 Con la implementación de este procedimiento se llega al restablecimiento de la sonrisa de los pacientes en una sola sesión clínica, como el caso que se expone en este artículo.
En el presente caso, los pasos de la técnica de restauración directa con incremento de resina híbrida fueron seguidos adecuadamente. Se obtuvo el el cierre del diastema y en el restablecimiento del punto de contacto sin forzar la papila interdental. Se planificó el tratamiento, se pulieron las superficies a incrementar, se aplicaron sistemas adhesivos y se aplicaron capas de resina compuesta hasta lograr el resultado deseado, con lo cual se obtuvo la solución estética requerida y la total satisfacción del paciente.
Referencias
1. Navarro CF, Villanueva JA. Proporciones del equilibrio facial. Quintessence técnica (ed. esp.). 2011;22(2):80-95.
2. Remoh PV. Manual práctico para el ortodoncista del estudio de la radiografía cone beam (guía práctica). Rev Esp Ortod. 2011;41(1):39-48.
3. Autrán Mateu F, Cañameras I. Cierre de diastemas. Clasificación y técnicas de composite. Gaceta Dental: Industria y Profesiones. 2011;22(229):156-83.
4. Eugenio J. Aplicación clínica de los parámetros estéticos en odontología restauradora. Acta Odontológica Venezolana. 2011;47(1):38-45.
5. Baratieri LN. Odontología restauradora: fundamentos y técnicas. Brazil: Livraria Santos; 2011.
6. Castro M. Diastemas: restabelecimento da harmonia do sorriso. RGO. Revista Gaúcha de Odontologia. 2010;58(2):253-6.
7. King KA, Powell L. Quick and Easy: Indirect Fabrication of Composite Veneers. Journal of the Tennessee Dental Association. 2010;90(2):32.
8. Rao R, Vishwanath BT. Esthetic enhancement with diastema closure—a case report. Indian Journal of Dentistry. 2011;2(4):184-6.
9. Wolff D. Recontouring teeth and closing diastemas with direct composite buildups: a clinical evaluation of survival and quality parameters. Journal of dentistry. 2010;38(12):1001-9.
10. Kim Y, Cho Y. Diastema closure with direct composite: architectural gingival contouring. Journal of Korean Academy of Conservative Dentistry. 2011;36(6):515-20.
11. Latempa AMA, Benther RFA, Accetta DF, Latempa AA. Fechamento de diastema através do uso de resinas compostas–Relato de caso. International Journal of Science Dentistry. 2013;1(37):220-1.
12. Jon LY. Cierre de diastema con restauraciones directas: reporte de caso. Rev Estomatol Herediana. 2010;20(4):203-7.
13. Vargas MA. Step-by-step approach to a diastema closure-a dual-purpose technique that manages black triangles. J. Cosmetic Dent. 2010; 26(3):40-5.
14. Furuse AY. Remodelación Cosmética de la Sonrisa. Acta Odontológica Venezolana. 2011;47(4).
15. Alam MK. The multidisciplinary management of median diastema. Bangladesh Journal of Medical Science. 2010;9(4):234-7.
16. Mazaheri H, Shirban MR. Diastema closure with composite resin using a new direct technique: a case report. Journal of Isfahan Dental School [Internet]. 2010 [citado enero 2015];6(4):[aprox. 5 pág.]. Disponible en: http://en.journals.sid.ir/ViewPaper.aspx?ID=219075
17. Dell’acqua A, Espinosa Fernandez R, Fernández-Bodereau (h) E, Henao Pérez D, Kohen S, Mondelli J, et al. Estética en Odontología Restauradora. 1. ed. Madrid: Editorial Ripano S.A.; 2006.
18. Gomes JC. Estética em clínica Odontológica. 15º Congreso Internacional de Odontologia. 1ª ed. Ponta Grossa: Editora Maio; 2005.