Linfangioma cavernoso em língua
Linfangioma cavernoso de la lengua
Cavernous lymphangioma of the tongue
Linfangioma cavernoso em língua
Revista Cubana de Estomatología, vol. 54, núm. 1, pp. 113-120, 2017
Centro Nacional de Información de Ciencias Médicas

Recepção: 18 Julho 2016
Aprovação: 18 Dezembro 2016
Resumo: O linfangioma é uma má formação congênita dos vasos linfáticos. É considerada rara na cavidade bucal e quando presente nesta área pode levar a distúrbios funcionais do sistema estomatognático. O objetivo relatar o caso de um paciente jovem com linfangioma cavernoso em dorso de língua, revisando os aspectos clínicos e terapêuticos da doença, com enfoque principal naqueles de cavidade oral, sobretudo a língua. Trata-se de um paciente do gênero masculino, 17 anos de idade, apresentava lesão em dorso lingual com cerca de 10 anos de evolução. A lesão se apresentava com textura pedregosa, base séssil e media cerca de 3 cm de comprimento. O paciente foi submetido a remoção cirúrgica da lesão, sem intercorrências. Atualmente, o paciente está em acompanhamento clínico, sem sinais de recidiva da lesão após 2 anos do tratamento. A remoção cirúrgica total da lesão parece ser o tratamento mais adequado para os linfangiomas linguais, com baixe índice de recidiva.
Palavras-chave: linfangioma, língua, doenças linfáticas.
Resumen: Los linfangiomas son malformaciones congénitas de los vasos linfáticos. Son raros en la cavidad oral y cuando se presentan en la misma pueden provocar trastornos funcionales del sistema estomatognático. El objetivo es presentar un caso de linfangioma cavernoso del dorso de la lengua, revisando los aspectos clínicos y de tratamiento de la enfermedad, con énfasis en la ubicación en la cavidad oral, fundamentalmente en la lengua. Un paciente de 17 años de edad se presenta con una lesión en el dorso de la lengua de aproximadamente 10 años de evolución. La lesión tiene una apariencia pedregosa y una base sésil, y mide aproximadamente 3 cm. El paciente es sometido a escisión quirúrgica de la lesión, sin intercurrencias. Actualmente el paciente se encuentra en seguimiento, sin signos clínicos de recidiva del tumor después de 2 años de tratamiento. La escisión quirúrgica de la lesión parece ser el tratamiento más apropiado para los linfangiomas de la lengua, con bajas tasas de recidiva.
Palabras clave: linfangioma, lengua, enfermedades linfáticas.
Abstract: Lymphangiomas are congenital malformations of the lymphatic vessels. They are rare in the oral cavity and when present in this area they may cause functional disturbances of the stomatognathic system. The objective is to report a case of cavernous lymphangioma of the dorsum of the tongue, reviewing the clinical and treatment features of the disease, with emphasis on the oral cavity location, mainly the tongue. A 17-year-old male patient presented with a lesion on dorsum of his tongue of approximately 10 years of evolution. The lesion had a pebbly appearance and a sessile base, and measured about 3 cm. The patient was submitted to surgical excision of the lesion, without any intercurrences. Currently, the patient is under clinical follow-up, without any clinical sign of tumor recurrence after 2 years of treatment. Surgical excision of the lesion seems to be the most adequate treatment for tongue lymphangiomas, with low rates of recurrence.
Keywords: lymphangioma, tongue, lymphatic diseases.
INTRODUÇÃO
Linfangiomas (do latim "lympha" água, do grego "angéion" vaso, "oma" tumor) são neoplasias benignas de origem nos vasos linfáticos. São descritos como má formações congênitas, de crescimento lento, que ocorrem devido a um defeito na formação do sistema de vasos linfáticos no local afetado durante o período embrionário.1,2 Acredita-se que durante o período de formação fetal, ocorre um sequestro de aglomerados linfáticos, os quais não conseguem aderir ao sistema linfático durante o seu desenvolvimento, e por isso é questionável se a lesão é realmente uma neoplasia verdadeira.3,4
Essa doença é considerada incomum, visto que sua prevalência é estimada entre 1:6 000 e 1:16 000 nascidos vivos.1 Usualmente é diagnosticada na infância, onde 50 % de todas as lesões são notadas ao nascimento e 45 % é observada até os dois anos de idade.3 De uma forma geral as áreas mais comumente afetadas são as de cabeça e pescoço (cerca de 75 %), seguido da axila, mama e abdome.5
O linfangioma foi primeiramente descrito por Reyden-Backer em 1823 e os de língua posteriormente por Virchow em 1854. Em 1901, graças a Sabin se aceitou a teoria de sua origem no sistema linfático.4 A partir de então, mediante estudos microscópicos, surgiram classificações de acordo com o calibre do vaso linfático encontrado na lesão, o que repercutia no tipo clínico e histopatológico. Assim, o linfangioma foi classificado em linfangioma capilar, linfangioma cavernoso e linfangioma (Higroma) cístico.2
O linfangioma simples ou linfangioma capilar é formado por espaços linfáticos constituídos de uma fina parede capilar, enquanto o cavernoso apresenta grandes espaços linfáticos. O linfangioma cístico ou higroma cístico contém grandes áreas císticas podendo medir vários centímetros de diâmetro e podem se mostrar uni ou multiloculares.1,6No entanto, para alguns autores, este sistema de classificação é arbitrário, porque os diferentes tipos de espaços linfáticos frequentemente são encontrados numa mesma lesão.1
Na cavidade bucal, os linfangiomas cavernosos são mais frequentes, onde o tecido conjuntivo denso circunjacente e os músculos esqueléticos limitam a expansão dos vasos. Já os linfangiomas císticos são frequentes no pescoço e região axilar, regiões nas quais o tecido conjuntivo frouxo adjacente permite a maior expansão dos vasos.7 Estas variantes possuem características clínicas, sítios de acometimento e necessidades terapêuticas bem distintas. Apesar de não haver regressão espontânea, pode ser notada uma estabilização do crescimento após alguns anos de evolução.2 Estas más formações não costumam ser sensíveis à palpação ou doloridas, mas a inflamação por trauma ou infecção pode resultar em súbita exacerbação das dimensões e dor severa.8
Uma característica marcante do linfangioma cavernoso em língua é a textura "pedregosa" na superfície ou semelhante a "ovas de sapo", consequência das vesículas que na verdade representam os vasos linfáticos mal formados.
Normalmente são superficiais e de pequena extensão. Entretanto, pode apresentar diferentes graus de infiltração na musculatura subjecente.2,9,10Várias repercussões clínicas já foram relatadas nos casos de linfangiomas bucais, como dificuldade na fonação, mastigação, deglutição, macroglossia, constrangimento social e em casos severos obstrução de vias áreas e deformidades esqueléticas.2,6,9
A terapia de escolha deve ser direcionada de acordo com a especificidade de cada caso, sendo que várias modalidades já foram relatadas: excisão cirúrgica, terapia por radiação, crioterapia, embolização, cirurgia a laser, administração de esteroides e agentes esclerosantes.2,3,11,12Entretanto, algumas dessas opções não têm validade terapêutica assegurada.
O objetivo deste trabalho é relatar o caso de um paciente jovem com linfangioma cavernoso em dorso de língua, revisando os aspectos clínicos e terapêuticos da doença, com enfoque principal naqueles de cavidade oral, sobretudo a língua.
RELATO DE CASO
Paciente do gênero masculino, caucasiano, 17 anos de idade, compareceu ao ambulatório de Cirurgia Buco-Maxilo-Facial do Hospital Getúlio Vargas - Brasil, com queixa de "caroço na língua". O mesmo relatou cerca de 10 anos evolução e que a mesma era indolor. Ao exame físico observamos elevação no dorso lingual à direita com base séssil, superfície pedregosa, coloração variando de esbranquiçada a vermelha, medindo cerca de 4 × 2 cm (Fig. 1). Foi solicitada ressonância magnética de pescoço para descartar possibilidade de haver vasos calibrosos nutrindo a lesão, o qual foi negativo para a suspeita. A principal hipótese de diagnóstico foi linfangioma.


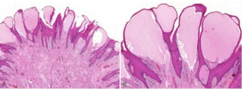
Optou-se por realizar biópsia excisional e a patologia foi submetida à ressecção cirúrgica tomando-se o cuidado de remover a totalidade da lesão, porém sem margens de segurança (Fig. 2). O espécime foi enviado para análise histopatológica. Microscopicamente, o fragmento tecidual era recoberto por epitélio pavimentoso estratificado, com espaços vasculares amplos revestidos por endotélio delgado e preenchido por material eosinofílico compatível com linfa ocupando o tecido conjuntivo superficial interpapilar (Fig. 3). Assim, de acordo com essas características, o diagnóstico de linfangioma foi estabelecido.
O paciente evoluiu sem complicações e atualmente se encontra em acompanhamento ambulatorial. Após dois anos do tratamento, não há sinais clínicos de recidiva da lesão.

DISCUSSÃO
A etiologia desta doença é incerta. Porém, existem duas teorias que podem explicar o desenvolvimento do sistema linfático, e nelas há base para explicar a origem dos linfangiomas. A primeira teoria de desenvolvimento do sistema linfático é a centrífuga, através da qual, dois botões endoteliais crescem dos sacos jugulares e desenvolvem-se em vasos linfáticos. A segunda é a teoria centrípeta pela qual ocorre um desenvolvimento em conjunto que conduz a um sistema linfático o qual eventualmente se junta ao sistema venoso central.2,4,11 Nesse contexto, o linfangioma resultaria da impossibilidade de parte da rede linfática se conectar à rede central, resultando em acúmulo de linfa e expansão excessiva dos vasos linfáticos. Portanto, o que se aceita é que aglomerados de sacos linfáticos não conseguiriam aderir ao sistema linfático durante o seu desenvolvimento, provocando esse hamartoma.3
Dentre estas variantes de linfangioma a cavernosa é a mais encontrada na língua e em toda a cavidade bucal. Normalmente se apresentam superficiais com formações tipo pedregosas semelhantes a vesículas dispersas e claras, sendo que estas podem se revelar arroxeadas por hemorragias secundarias dentro dos espaços linfáticos.13
As repercussões clínicas do linfangioma em língua são geralmente bastante notórias. Quando infectado, demonstra quase em sua totalidade formações granulosas e com suas papilas dilatadas, podendo levar a um intempestivo rompimento dos capilares linfáticos propiciando coloração preto-azulada na região. Há relato de casos onde houve consequente macroglossia e quadros de sialorreia, dificuldade de fechamento bucal e de mastigação, xerostomia, feridas nos lábios e transtornos fonatórios.3,7,9 Mas vale ressaltar que estas complicações só são vistas em casos severos e não foram observadas no caso do presente artigo.
Entre os achados histopatológicos, são vistos vasos linfáticos de espessuras variadas, os quais se constituem de paredes finas revestidas por endotélio achatado podendo demonstrar agregados linfoides. A luz pode estar preenchida por fluido proteico, linfócitos ou eritrócitos. Em alguns casos os vasos linfáticos estão localizados logo abaixo da superfície do epitélio substituindo o tecido conjuntivo interpapilar, exibindo configuração papilar,1,3 como observado no presente caso.
Comumente o tratamento de eleição é a excisão cirúrgica, no entanto outras modalidades terapêuticas estão sendo difundidas para o tratamento dessa doença, como o uso de agentes esclerosantes, embolização e cirurgias a laser.2,4,12,13A embolização pode ser recomendada quando a lesão for muito extensa ou de difícil acesso12 e o uso de laser (CO2 ou Nd-YAG) pode ter indicação nos linfangiomas de laringe, quando se deseja preservar o órgão.13
De uma forma geral a excisão é o tratamento mais empregado e eficaz, e deve ser realizada de forma total sempre que houver possibilidade.2 No entanto, também pode ser realizada parcialmente se a cirurgia implicar risco a estruturas nobres ou mutilação de órgão. Especialmente na língua, é observado certo potencial de recidiva do linfangioma. Por isso é recomendada a remoção da totalidade da lesão.10,14 Segundo Coloma et al., a taxa de recorrência após a excisão cirúrgica completa varia de 0 % a 27 % e após a ressecção parcial, de 50 % a 100 %. A recorrência quando ocorre normalmente é vista durante o primeiro ano após a cirurgia.15 No caso do presente artigo, a lesão foi totalmente removida, sem evidências de recidiva após 2 anos do tratamento.
A terapia com uso de agentes esclerosantes como o OK-432 e a bleomicina são alternativas à cirurgia ou quando se deseja reduzir as dimensões da lesão previamente à cirurgia. O agente OK-432 se trata de mistura liofilizada incubada de Streptococcus pyogenes e penicilina G potássica, e já teve sua utilidade reconhecida para linfangiomas desde meados da década de 80.14
Embora os hemangiomas regridam ou desapareçam com o uso de injeção de agentes esclerosantes, muitos autores afirmam que os linfangiomas não respondem a esta terapêutica. A razão disso não está esclarecida, porém, é possível que diferenças na camada endotelial ou nos componentes da parede vascular possam ser contribuintes.15,16
Segundo o estudo de Qin et al., as injeções de bleomicina tiveram excelentes resultados nos casos de higroma cístico, mas para os linfangiomas cavernosos a resposta a escleroterapia foi menos eficaz. Já segundo o trabalho de Ruiz-Jr et al., de 19 pacientes pediátricos com linfangioma em cabeça e pescoço tratados com OK-432, 12 tiveram a lesão regredida totalmente e 7 parcialmente, com melhores resultados para as lesões maiores. Os autores sugeriram que esta terapia deve ser primeira escolha no tratamento dos linfangiomas, apesar da regressão ser apenas parcial em cerca de 37 % dos casos apresentados.17
Pode-se concluir que é mais comum o aparecimento de linfagiomas na primeira década de vida e que normalmente é imperativo a necessidade de tratamento. A abordagem cirúrgica permanece com grande indicação para os linfangiomas, especialmente quando em cavidade oral e a execução da cirurgia não predispuser a risco a estruturas nobres adjacentes. Além disso, nos casos onde se consegue remover a totalidade da lesão, há baixos índices de recidiva.
REFERÊNCIAS
1. Neville BW, Damm DD, Allen CM, Bouquot JE. Patologia Oral e Maxilofacial. 3ra ed. Rio de Janeiro: Elsevier; 2009.
2. Berri T, Azizi S. Large cystic lymphangioma of the parotid gland in the adult. Egyptian Journal of Ear, Nose, Throat and Allied Sciences. 2014;15(3):259-61.
3. Catalfamo L, Nava C, Lombardo G, Iudicello V, Siniscalchi EN, Saverio de PF. Tongue lymphangioma in adult. J Craniofac Surg. 2012 Nov;23(6):1920-2.
4. Jaiswal AA, Garg AK, Ravindranath M, Sarkar J, Mohanty MK. A huge congenital cervical lymphangioma'-Case report with review of literature. Egyptian Journal of Ear, Nose, Throat and Allied Sciences. 2015;16:283-90.
5. Zouari M, Dhaou MB, Kchaou R, Jallouli M, Mhiri R. Unusual sites of cystic lymphangioma in children. Archives de Pédiatrie. 2015;22(6):676-7.
6. Gonzalez Morales CD, Herrera Herrera A, Diaz Caballero A. Exéresis de linfangioma en encía con electrobisturí. Rev Cubana Estomatol [revista en Internet]. 2015 [citado 29 Dic 2015];52(4):[aprox. 4 p.]. Disponible en:http://www.revestomatologia.sld.cu/index.php/est/article/view/222
7. Chung CJ, Hwang S, Choi YJ, Kim KH. Treatment of skeletal open-bite malocclusion with lymphangioma of the tongue. Am J Orthod Dentofacial Orthop. 2012 May;141(5):627-40.
8. Neri I, Montanari F, Baraldi C, Ricci L, Patrizi A. Erysipelas as a Superinfection of an Oral Lymphangioma. J Pediatr. 2014;165(1):205.
9. Hong JP, Lee MY, Kim EK, Seo DH. Giant Lymphangioma of the Tongue. Journal of Craniofacial Surgery. 2009;20(1):252-4.
10. Usha V, Sivasankari T, Jeelani S, Asokan GS, Parthiban J. Lymphangioma of the Tongue - A Case Report and Review of Literature. Journal of Clinical and Diagnostic Research. 2014;8(9):12-4.
11. Chakravarti A, Bhargava R. Lymphangioma circumscriptum of the tongue in children: Successful treatment using intralesional bleomycin. Int J of Pediatric Otorhinolaryngology. 2013;77(8):1367-9.
12. Kang J, Qiao F, He S, Wang Y, Nie L, Ji F, et al. Treatment of Cystic Lymphangioma by Transcatheter Lymphatic Sclerotherapy and Embolization. Journal of Vascular and Interventional Radiology. 2015;26(3):455-7.
13. Thompson TL, Gungor A. Diffuse, encasing lymphangioma of the supraglottis. > American Journal of Otolaryngology. 2016;37(1):41-3.
14. Ogita S, Tsuto T, Nakamura K, Deguchi E, Tokiwa K, Iwai N. OK-432 Therapy for lympjhangioma in Children: Why And How Does It Work? J Pediatr Surg. 1996;31(4):477-80.
15. Coloma CB, Martínez IM, Prósper AA, Serrano RM, Diago MAP, Diago MP. Clinical Characteristics, Treatment, and Evolution in 14 Cases of Pediatric Orofacial Lymphangioma. Journal of Oral and Maxillofacial Surgery. 2011;69(6):96-9.
16. Qin ZP, Xin ZF, Ren L, Liu XJ, Yao SG. Long-term results of intretumorous bleomycin-A5 injection for head and neck lymphangioma. Oral Surg, Oral Med, Oral Pathol, Oral Radiol Endod. 1998;86:139-44.
17. Ruiz-Jr E, Valera ET, Veríssimo F, Tone LG. Uso de OK-432 em crianças com linfangioma. J Pediatr. 2004;80(2):154-8.