Presentación de caso
Manejo de exacerbación en endodoncia
Exacerbation management in endodontics
Manejo de exacerbación en endodoncia
Revista Cubana de Estomatología, vol. 54, núm. 4, pp. 1-7, 2017
Centro Nacional de Información de Ciencias Médicas

Recepción: 19 Agosto 2016
Aprobación: 17 Octubre 2017
Resumen: Introducción: la exacerbación endodóntica es un problema con bajo reporte de incidencia que puede ocurrir después de un tratamiento de endodoncia por la agudización de una condición pulpar asintomática, así como por una afección perirradicular. Lesiones mecánicas y químicas se asocian con frecuencia con su aparición, sin embargo, la lesión causada por microorganismos y sus productos es la causa principal y más común de ella. Puede presentarse posterior a la realización del tratamiento en una cita o entre sesiones. Objetivo: reportar un caso de exacerbación en endodoncia y el manejo de esta. Presentación del caso: paciente femenina de 49 años que acude a consulta por dolor e inflamación luego de haber iniciado tratamiento de endodoncia. Se llevó a cabo el manejo clínico y farmacológico de la exacerbación en un diente con diagnóstico de periodontitis apical asintomática. Luego de 5 días se termina el tratamiento de conducto usando mineral trióxido agregado y gutapercha. Posteriormente el diente es restaurado y se realizan controles clínicos y radiográficos. Conclusiones: es posible prevenir este tipo de complicaciones de causa variable identificando factores de riesgo, así como por medio de la experiencia del clínico e instauración de protocolos de atención adecuados.
Palabras clave: Exacerbación, endodoncia, dolor agudo.
Abstract: Introduction: endodontic exacerbation is a problem with low incidence that can occur after endodontic treatment due to the aggravation of an asymptomatic pulp condition, as well as a periradicular affection. Mechanical and chemical injuries are frequently associated with their onset; however, the injury caused by microorganisms and their products is the main and most common cause for it. It can occur after the treatment is performed at an appointment or between sessions. Objective: to report a case of endodontic exacerbation and its management. Case presentation: a 49-year-old female patient presented with pain and inflammation after beginning the endodontic treatment. The clinical and pharmacological management of the exacerbation was carried out in a tooth with diagnosis of asymptomatic apical periodontitis. After 5 days, the root canal treatment is finished using mineral trioxide aggregate and gutta-percha. The tooth is then restored and clinical and radiographic controls are carried out. Conclusions: it is possible to prevent this type of complications of variable cause by identifying risk factors, as well as through the experience of the clinician and the establishment of proper management protocols.
Keywords: Exacerbation, endodontics, acute pain.
INTRODUCCIÓN
La exacerbación endodóntica es una complicación definida como la aparición de dolor e inflamación severa después de una cita de tratamiento endodóntico, lo que requiere de una visita no programada y la reactivación del tratamiento. Lesiones mecánicas y químicas a menudo se asocian con factores yatrogénicos. Sin embargo, la lesión causada por microorganismos y sus productos es la causa principal y más común de exacerbaciones entre sesiones.1 Una exacerbación de origen infeccioso en ocasiones puede ocurrir a pesar de que los procedimientos en el conducto radicular se han realizado adecuadamente y con cuidado. Independientemente del tipo de injuria, la intensidad de las respuestas inflamatorias es directamente proporcional a la intensidad de tejido lesionado que causa exacerbaciones entre sesiones.2,3
De acuerdo con Sipaviciute y Maneliene, síntomas como dolor y/o inflamación de los tejidos blandos de la cara y la mucosa oral en la zona del diente tratado endodónticamente, ocurren dentro de unas horas o unos pocos días después del tratamiento de conducto.4,5 Algunos estudios muestran que el desarrollo de la excerbación es causado por dos grupos de factores de riesgo después de procedimientos extensos: 1) los factores de riesgo en función del paciente como la demografía, estado general de salud, condición de la pulpa y tejido periodontal apical, síntomas clínicos, diente tratado; 2) factores de riesgo asociados con los procedimientos terapéuticos que son una y/o varias visitas durante el tratamiento, tratamiento endodóntico primario/repetición del tratamiento y medicamentos intracanal.6
Debido a su poca presentación y/o escasos reportes en la literatura el objetivo del presente manuscrito es reportar un caso de exacerbacion en endodoncia y el trattamiento para ello.
PRESENTACIÓN DEL CASO
Paciente femenina de 49 años de edad que acude a la clínica de endodoncia de la Universidad de Cartagena refiriendo necesitar tratamiento de conducto en diente antero inferior derecho. No refiere sintomatología dolorosa y responde negativamente a las pruebas de sensibilidad; la radiografía periapical revela zona radiolucida a nivel apical de aproximadamente 9 mm de diámetro; así mismo se aprecia ápice en pico de flauta compatible con reabsorción apical de los últimos 3 mm del mismo. Clínicamente se observa atrición dental y vestibularización de dicho diente, así como leve cambio de color de la corona. Se realiza el diagnóstico de periodontitis apical asintomática y se planifica el tratamiento de endodoncia con preparación invertida que se inicia en la misma cita.
Previo diligenciamiento de la historia clínica y consentimiento informado, se anestesia al paciente usando solución de roxicaina al 2 % con epinefrina 1:80/000; se realiza cavidad de acceso y aislamiento absoluto. La exploración revela un solo conducto; se procede a irrigar profusa y repetidamente con hipoclorito de sodio al 5 % para eliminar el tejido necrótico y microorganismos. La longitud de trabajo fue establecida usando localizador apical Raypex® 6 (VDW GmbH, Munich, Alemania) y se tomó una radiografía periapical.
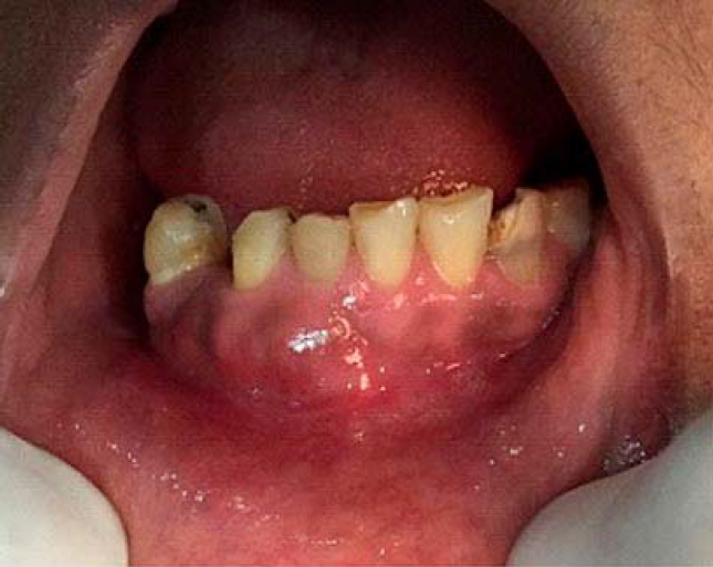
Se realizó instrumentación del sistema de conductos hasta longitud de trabajo y se colocó hidróxido de calcio como medicación intracanal. Se programó una próxima cita a los 7 días después; no obstante, la paciente acude 48 h después refiriendo dolor severo alrededor de 24 h posteriores a la intervención. Al examen clínico se aprecia inflamación y pérdida de contorno gingival a nivel dientes anteroinferiores derechos (Fig. 1).
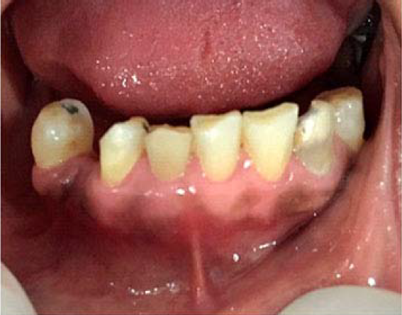
Por tal motivo se retoma el tratamiento previa anestesia e irrigación con hipoclorito de sodio y se formula a la paciente analgésicos y antibióticos, así como una inyección intramuscular de 4 mg de dexametasona. Una vez controlado el dolor, se programa nueva cita en 5 días; en esta se anestesia nuevamente, se realiza aislamiento absoluto, no se aprecia contenido purulento dentro del conducto por lo cual se procede a instrumentar hasta longitud de trabajo. Al no encontrarse tope apical, se decide colocar mineral trióxido agregado (MTA) para crear tapón apical en los últimos 4 mm de la raíz y posteriormente se obtura el resto del conducto con gutapercha en otra cita y el diente es restaurado (Fig. 2).
Se realiza un control clínico y radiográfico a los 15 días y se observa disminución de la lesión, además la paciente se encuentra asintomática (Fig. 3).



DISCUSIÓN
Se reportan variaciones en la incidencia de la exacerbación con valores que oscilan entre 1,5 % y 45 % para esta complicación posterior a un tratamiento independientemente de si se realiza en una o en dos citas.7,8,9 Sin embargo, en este caso la exacerbación ocurrió luego de una cita en un diente no vital tal como lo muestran varios estudios previos. Algunos autores reportan que no existe diferencia significativa si se indica profilaxis antibiótica con amoxicilina antes del procedimiento en dientes no vitales.10
En el caso presentado la agudización se presentó entre citas a pesar de haberse colocado medicación intracanal con hidróxido de calcio;11 según Mittal,12 no hay diferencias significativas en episodios de exacerbación con previa medicación en comparación con canales completamente instrumentados sin medicación.
Para el tratamiento de la exacerbación varias citas fueron necesarias para llevar a cabo una terapéutica adecuada, y en concordancia con Walton6 se instauró un tratamiento que incluye tres fases: psicológica, de tratamiento localizado y farmacéutico. La paciente aceptó el tratamiento, y la exacerbación no causó efecto perjudicial en cuanto a la relación paciente-odontólogo que en algunos casos se hareportado como afectada.13,14
Cuando la paciente refirió dolor producto de la exacerbación, se formuló una ampolla de 4 mg de dexametasona intramuscular, esto redujo considerablemente el dolor y la inflamación; resultados estos que concuerdan con los de trabajos de Marshall y Walton.15
La exacerbación y los síntomas molestos que esta genera para el paciente, puede poner en tela de juicio la habilidad del clínico, tal como lo expresa Onay y otros;16 por esta razón es necesario que esta sea manejada de forma apropiada y eficaz para su pronta resolución.
Se puede concluir que las exacerbaciones posteriores a un tratamiento de conducto se constituyen como un problema en endodoncia. Sin embargo, esta complicación es evitable si se logran identificar factores de riesgo de la misma y mediante la combinación de la experiencia del clínico y la implementación de protocolos de atención adecuados. Por otra parte, la relación entre la aparición de esta complicación y el número de citas en que se realice el tratamiento sigue siendo controversial y materia de estudio.
Conflicto de intereses
Los autores no declaran conflicto de intereses.
REFERENCIAS
1. Goncalves, S.H., de Vasconcelos, R.A., Cavalcanti, B., Camargo, C.H. Persistent infection by Staphylococcus epidermidis in endodontic flare-up: a case report. General Dentistry. 2016;64(2):e18-21.
2. Jayakodi, H., Kailasam, S., Kumaravadivel, K., Thangavelu, B., Mathew, S. Clinical and pharmacological management of endodontic flare-up. Journal of Pharmacy & Bioallied Sciences. 2012;4(Suppl 2):S294-8.
3. Vera, C.L.M., Ballesteros, L.R., Caballero, A.D. Exacerbación apical posterior a tratamiento endodontico. UstaSalud. 2012;11(2):130-4.
4. Sipaviciute, E., Maneliene, R. Pain and flare-up after endodontic treatment procedures. Stomatologija / issued by public institution. Stomatologija. 2014;16(1):25-30.
5. Yu, V.S.H., Messer, H.H., Yee, R., Shen, L. Incidence and impact of painful exacerbations in a cohort with post-treatment persistent endodontic lesions. Journal of endodontics. 2012;38(1):41-6.
6. Walton, R.E. Interappointment flare-ups: incidence, related factors, prevention, and management. Endodontic Topics. 2002;3(1):67-76.
7. Pando, J.A.G., Crespo, E.G., Chico, J.A.G., Socorro, A.A., Camargo, J.F.M. Agudizaciones endodónticas al concluir diferentes variantes técnicas de tratamiento pulporadicular/Incidence of endodontic acuteness when concluding the different technical variants in the pulp-radicular treatment. Revista de Ciencias Médicas de Pinar del Río. 2009;13(4).
8. Shahi, S., Asghari, V., Rahimi, S., Lotfi, M., Samiei, M., Yavari, H., et al. Postoperative Pain after Endodontic Treatment of Asymptomatic Teeth Using Rotary Instruments: A Randomized Clinical Trial. Iranian Endodontic Journal. 2016;11(1):38-43.
9. Patil, A.A., Joshi, S.B., Bhagwat, S.V., Patil, S.A. Incidence of Postoperative Pain after Single Visit and Two Visit Root Canal Therapy: A Randomized Controlled Trial. Journal of Clinical and Diagnostic Research, JCDR. 2016;10(5):ZC09-12.
10. Akbar, I. Efficacy of Prophylactic use of Antibiotics to Avoid Flare up During Root Canal Treatment of Nonvital Teeth: A Randomized Clinical Trial. Journal of clinical and diagnostic research : JCDR. 2015;9(3):ZC08-11.
11. Jalali, P., Hasselgren, G. Endodontic inter-appointment flare-ups: An example of chaos? Dental Hypotheses. 2015;6(2):44.
12. Mittal, R. Endodontic flare-ups: an overview. J Oral Health Comm Dent. 2010;4(3):67-71.
13. Mor, C., Rotstein, I., Friedman, S. Incidence of interappointment emergency associated with endodontic therapy. Journal of Endodontics. 1992;18(10):509-11.
14. Albashaireh, Z.S., Alnegrish, A.S. Postobturation pain after single- and multiplevisit endodontic therapy. A prospective study. Journal of Dentistry. 1998;26(3):227-32.
15. Marshall, J.G., Walton, R.E. The effect of intramuscular injection of steroid on posttreatment endodontic pain. Journal of endodontics. 1984;10(12):584-8.
16. Onay, E.O., Ungor, M., Yazici, A.C. The evaluation of endodontic flare-ups and their relationship to various risk factors. BMC Oral Health. 2015;15(1):142.